幼年性透明蛋白纤维瘤病一例
作者:郑茂荣 卫连坤 牟贤龙
单位:200433 上海,第二军医大学长海医院皮肤科
关键词:
中华皮肤科杂志/980446 患者女,16岁。主诉下唇及项部出现片状粗糙斑13年,头皮及背部出现5个肿块12年,无自觉不适,肿块渐渐长大。8岁时在上海及成都等医院诊断多发性纤维瘤及毛细血管纤维瘤,当时曾切除1个肿块活检,以后局部未复发。10岁时两手指关节开始肿大变粗。1992年鼻尖出现1个小肿块。智力尚可,中学读书成绩在10名以内。父母非近亲婚配,患者为独生女,家族中无类似患者。
体检:身材稍矮,身高140cm,四肢与躯干比例匀称。头颅正常,五官端正,上下齿龈明显增生,齿龈无溢脓,口腔清洁,牙列整齐,无龋齿或缺牙。颈、胸、腹部均无异常。脊柱正直,无压痛。四肢无屈曲挛缩。膝反射正常,巴彬斯基征阴性。皮肤科情况:头皮及背部共有4个4cm~10cm直径大隆起的结节,左耳廓上缘有1个1cm直径大结节,头皮及左耳廓的2个结节呈皮色,背部3个结节表面有较多扩张的毛细血管,5个结节或柔软或硬如硬橡皮样,无波动或触痛(图1)。鼻尖部尚有一个1cm大小、半透明、淡红色结节,柔软,无触痛。两侧尺骨中上1/3外侧各有1个2cm×2cm、具硬橡皮样硬度的结节,表面皮色,不隆起,结节位置较深,似与其表面皮肤及其下方尺骨均相连,亦无触痛。下唇皮肤有一片2cm×2cm及项部有一片5cm×5cm大小鲨鱼皮样斑,其上散布粟粒到绿豆大色素减退并轻度凹陷的萎缩斑,表面粗糙。右手1~5及左手1~3、5指末端呈典型杵状指。
, http://www.100md.com
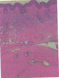
X线检查(包括颌骨、两手、右上肢、两侧锁骨及骨盆):上下齿槽骨骨质明显吸收;两手末节指骨除左无名指外,均呈膨胀性溶骨性破坏(图2);右尺骨近端背侧、左锁骨中段、右髋关节内下缘泪点旁及右股骨颈处均可见囊性破坏区。组织病理检查(头皮及左耳廓皮损):表皮基本正常。真皮中、深层有由细胞和基质构成的肿瘤,瘤体内血管较丰富(图3),细胞核圆形或椭圆形,有的为双核,胞浆丰富、淡染,有的呈空泡状,有的呈网状,有的胞浆中有嗜酸性细小颗粒,周围的间质呈均质嗜伊红性(图4)。两块标本病变一致。PAS染色阳性。
图1 幼年性透明蛋白纤维瘤病背部结节
图2 幼年性透明蛋白纤维瘤病手部X线
表现,末节指骨膨胀性溶骨性破坏
, 百拇医药
图3 幼年性透明蛋白纤维瘤病
皮损组织病理象
图4 幼年性透明蛋白纤维瘤病
皮损组织病理象
讨论 幼年性透明蛋白纤维瘤病为起病于幼童的头皮、面部及四肢的柔软结节性肿瘤,可伴发或不伴屈曲挛缩、齿龈增生、骨溶解性骨损害及身材矮小。1985年Guintal和Jackson报道1例不完全型病例,其结节内显示成纤维细胞中氨基葡聚糖合成[1]。组织病理显示在同质均匀性嗜酸性真皮基质中,内含有细胞浆内嗜酸性颗粒的成纤维细胞,PAS染色强阳性,耐淀粉酶[2]。本文病例具有头皮、面部的柔软性结节,齿龈增生,骨溶解及身材矮小,以及组织病理变化均符合幼年性透明蛋白纤维瘤病。但本例的结节性肿瘤多为柔软性,个别呈硬皮样硬度。可呈皮色,亦可为半透明的淡红色,或表面可有毛细血管扩张。由X线片上证实“与尺骨相连”的2个结节仍为软组织纤维瘤,且压迫而使附近骨质溶解;下唇及项部各有一片鲨鱼皮样斑;有杵状指。我们认为这些既往未见报道的特点都可能是本病可伴发的临床表现。治疗为对症处理。
参 考 文 献
1 Guintal D, Jackson R. Juvenile hyaline fibromatosis. Arch Dermatol, 1985,121∶1062.
2 Arnold H, Odom RB, James WD. Andrews′ diseases of the skin, Clinical dermatology. 8th ed. Philadelphia: Saunders, 1990.712.
(收稿:1997-07-25), 百拇医药
单位:200433 上海,第二军医大学长海医院皮肤科
关键词:
中华皮肤科杂志/980446 患者女,16岁。主诉下唇及项部出现片状粗糙斑13年,头皮及背部出现5个肿块12年,无自觉不适,肿块渐渐长大。8岁时在上海及成都等医院诊断多发性纤维瘤及毛细血管纤维瘤,当时曾切除1个肿块活检,以后局部未复发。10岁时两手指关节开始肿大变粗。1992年鼻尖出现1个小肿块。智力尚可,中学读书成绩在10名以内。父母非近亲婚配,患者为独生女,家族中无类似患者。
体检:身材稍矮,身高140cm,四肢与躯干比例匀称。头颅正常,五官端正,上下齿龈明显增生,齿龈无溢脓,口腔清洁,牙列整齐,无龋齿或缺牙。颈、胸、腹部均无异常。脊柱正直,无压痛。四肢无屈曲挛缩。膝反射正常,巴彬斯基征阴性。皮肤科情况:头皮及背部共有4个4cm~10cm直径大隆起的结节,左耳廓上缘有1个1cm直径大结节,头皮及左耳廓的2个结节呈皮色,背部3个结节表面有较多扩张的毛细血管,5个结节或柔软或硬如硬橡皮样,无波动或触痛(图1)。鼻尖部尚有一个1cm大小、半透明、淡红色结节,柔软,无触痛。两侧尺骨中上1/3外侧各有1个2cm×2cm、具硬橡皮样硬度的结节,表面皮色,不隆起,结节位置较深,似与其表面皮肤及其下方尺骨均相连,亦无触痛。下唇皮肤有一片2cm×2cm及项部有一片5cm×5cm大小鲨鱼皮样斑,其上散布粟粒到绿豆大色素减退并轻度凹陷的萎缩斑,表面粗糙。右手1~5及左手1~3、5指末端呈典型杵状指。
, http://www.100md.com
X线检查(包括颌骨、两手、右上肢、两侧锁骨及骨盆):上下齿槽骨骨质明显吸收;两手末节指骨除左无名指外,均呈膨胀性溶骨性破坏(图2);右尺骨近端背侧、左锁骨中段、右髋关节内下缘泪点旁及右股骨颈处均可见囊性破坏区。组织病理检查(头皮及左耳廓皮损):表皮基本正常。真皮中、深层有由细胞和基质构成的肿瘤,瘤体内血管较丰富(图3),细胞核圆形或椭圆形,有的为双核,胞浆丰富、淡染,有的呈空泡状,有的呈网状,有的胞浆中有嗜酸性细小颗粒,周围的间质呈均质嗜伊红性(图4)。两块标本病变一致。PAS染色阳性。
图1 幼年性透明蛋白纤维瘤病背部结节
图2 幼年性透明蛋白纤维瘤病手部X线
表现,末节指骨膨胀性溶骨性破坏
, 百拇医药
图3 幼年性透明蛋白纤维瘤病
皮损组织病理象
图4 幼年性透明蛋白纤维瘤病
皮损组织病理象
讨论 幼年性透明蛋白纤维瘤病为起病于幼童的头皮、面部及四肢的柔软结节性肿瘤,可伴发或不伴屈曲挛缩、齿龈增生、骨溶解性骨损害及身材矮小。1985年Guintal和Jackson报道1例不完全型病例,其结节内显示成纤维细胞中氨基葡聚糖合成[1]。组织病理显示在同质均匀性嗜酸性真皮基质中,内含有细胞浆内嗜酸性颗粒的成纤维细胞,PAS染色强阳性,耐淀粉酶[2]。本文病例具有头皮、面部的柔软性结节,齿龈增生,骨溶解及身材矮小,以及组织病理变化均符合幼年性透明蛋白纤维瘤病。但本例的结节性肿瘤多为柔软性,个别呈硬皮样硬度。可呈皮色,亦可为半透明的淡红色,或表面可有毛细血管扩张。由X线片上证实“与尺骨相连”的2个结节仍为软组织纤维瘤,且压迫而使附近骨质溶解;下唇及项部各有一片鲨鱼皮样斑;有杵状指。我们认为这些既往未见报道的特点都可能是本病可伴发的临床表现。治疗为对症处理。
参 考 文 献
1 Guintal D, Jackson R. Juvenile hyaline fibromatosis. Arch Dermatol, 1985,121∶1062.
2 Arnold H, Odom RB, James WD. Andrews′ diseases of the skin, Clinical dermatology. 8th ed. Philadelphia: Saunders, 1990.712.
(收稿:1997-07-25), 百拇医药