蛋白激酶Cζ在银屑病发病中的意义
作者:张晓艳 马圣清 柳惠图
单位:100034北京医科大学第一医院皮肤科;张晓艳 现在北京中日友好医院皮肤科,100029;马圣清 北京师范大学生物系(柳惠图)
关键词:银屑病;蛋白激酶C
中华皮肤科杂志990202 【摘 要】 目的 探讨蛋白激酶Cζ在银屑病发病中的作用 。方法 通过原位杂交和免疫组化的方法,研究了12例寻常型银屑病患者皮损区、非皮损区和5例正常人表皮中蛋白激酶Cζ的mRNA和蛋白的表达及分布特点。 结果 银屑病皮损区表皮中PKCζ的mRNA和蛋白表达均较非皮损区和正常表皮中的表达明显增强,正常人表皮中PKCζ的mRNA表达分布于表皮上层,而银屑病皮损区PKCζ的mRNA表达几乎分布于表皮全层。结论 PKCζ在银屑病表皮中的过表达提示,PKCζ可能与银屑病表皮细胞的过度增殖相关。
Significance of Protein Kinase Cζ in Pathogenesis of Psoriasis
, 百拇医药
ZHANG Xiaoyan,MA Shengqing,LIU Huitu.
Department of Dermatology, The First Hospital, Beijing Medical University, Beijing 100034
【Abstract】 Objective To investigate the effects of protein kinase Cζ (PKCζ) on the pathogenesis of psoriasis. Methods The expression and distribution of PKCζ were studied by in situ hybridization and immunohistochemistry in 12 cases of psoriasis. Results The expressions of both PKCζ mRNA and the protein were significantly higher in psoriatic epidermis than those in normal epidermis and uninvolved epidermis of psoriatic cases. The expression of PKCζ mRNA was located in the upper layers of normal epidermis but the expression was almost in the whole layer in psoriatic epidermis. Conclusion The overexpression of PKCζ in psoriatic epidermis suggests that PKCζ might be related to the hyperproliferation of psoriatic keratinocytes.
, 百拇医药
【Key words】 Psoriasis Protein kinase C
近年来研究表明蛋白激酶C(简称PKC)信号通路在细胞增殖、分化等功能的调节中起关键作用[1],PKC是由多种亚类组成的一个大家族,不同亚类的功能互有差异[2]。迄今发现 PKC至少由12种亚类所组成,按照对钙依赖性的不同分为钙依赖性和非钙依赖性二大类,前者包括α、βI、βII、γ,激活时需要钙;后者包括δ、ε、η、θ、ζ、λ、μ和ι,激活时不需要钙[2]。近年来的研究表明PKCζ可促进多种细胞的增殖[3,4],但是与表皮细胞增殖的关系尚不清楚。有报道,PKC信号通路的异常参与了银屑病的发生[5],但是哪种亚类与银屑病的发病相关仍不清楚,本文通过原位杂交和免疫组化的方法检测了银屑病皮损区、非皮损区和正常表皮中PKCζ基因和蛋白的表达,初步探讨了PKCζ在银屑病发病中的意义。
材料和方法
材料:斑块状银屑病12例,取材前3个月内均未系统或局部用过皮质类固醇和免疫抑制剂。皮损区及皮损周围正常皮肤取材,正常对照5例来源于北京医科大学第一医院烧伤科成型手术患者的正常皮肤,标本用OCT包埋、液氮速冻、-80℃保存。地高辛RNA标记与检测试剂购于Bochringer Mannheim公司,质粒PTB949-PKCζ由日本神户大学Ono教授惠赠,免疫组化染色试剂盒、兔抗PKCζ 多抗分别为Zymed 和 Santa Cruz公司产品。
, 百拇医药
方法:重组质粒的构建过程参照《分子克隆》。按照试剂盒说明合成地高辛标记的反义RNA,合成的探针经点实验证实。冰冻切片用4%多聚甲醛固定,原位杂交过程参照试剂盒说明。免疫组化方法按免疫组化试剂盒说明进行。用图像分析仪对杂交图象进行灰度扫描。
结 果
(一)体外转录模板载体的构建与RNA探针的合成:经Hind III 和EcoR I酶切、电泳鉴定证实PKCζ的cDNA3′端0.361kb的片段已定向插入载体PGEM-4Z上(图1),体外转录合成的RNA探针用地高辛RNA检测试剂盒经点实验证实(图2)。
图1 重组质粒经限制酶切电泳鉴定:1.PGEM-4Z经EcoRⅠ酶切,2.重组质粒经EcoRⅠ+HindⅢ酶切,3.PTB-PKCζ经EcoRⅠ+HindⅢ酶切,4.分子量标志(λDNA/HindⅢ)
, 百拇医药
图2 点试验检测地高辛标记的RNA探针:1.地高辛标记的珠蛋白RNA对照,2.地高辛标记的PKCα反义RNA,3.地高辛标记的PKCβ1反义RNA,4.地高辛标记的PKCζ反义RNA
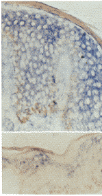
(二)PKCζ基因在银屑病患者皮损和非皮损区表皮及正常人表皮中的表达与分布:通过原位杂交的方法检测了12例寻常型银屑病患者皮损和非皮损区表皮及5例正常人表皮中PKCζ基因的表达,阳性信号为胞浆或胞核内出现深蓝色或蓝紫色颗粒。结果显示银屑病皮损中PKCζ 基因的表达分布于全层,以表皮上部较显著,其表达水平较银屑病患者非皮损区和正常表皮中明显增强(图3),正常表皮中PCKζ基因的表达仅位于表皮上部(图4),银屑病非皮损表皮中PKCζ基因的表达强度和分布与正常表皮相似(图5),以PKCζ正义RNA探针为对照同时进行杂交,未见明显阳性信号(图6)。

, http://www.100md.com
图3 银屑病皮损中PKCζ基因的表达 图4 正常表皮中PKCζ基因的表达 图5 银屑病非皮损表皮中PKCζ基因的表达 图6 正义RNA探针为对照的原位杂交结果
(三)PKCζ蛋白在银屑病患者皮损和非皮损区表皮及正常人表皮中的表达与分布:用免疫组化法检测了12例寻常型银屑病患者皮损和非皮损区表皮及5例正常人表皮中PKCζ蛋白的表达。阳性为胞浆或胞核内出现棕黄色或棕褐色颗粒。结果显示,银屑病皮损中PKCζ蛋白的表达分布于全层,以中上层为主,其表达水平较非皮损区表皮和正常人表皮中的表达明显增强;正常人表皮中PKCζ蛋白的表达位于表皮全层,以表皮上部较明显;银屑病非皮损表皮中PKCζ蛋白的表达强度和分布与正常表皮相似,不加抗体的阴性对照未见明显阳性信号。
讨 论
我们用组织原位杂交的方法从基因水平检测了银屑病表皮中PKCζ的表达和分布。原位杂交技术中,为获得比较可靠的结果,我们选用RNA探针,尽管制备过程较复杂,但杂交时探针无需变性,RNA与RNA的杂交子较稳定,杂交过程中可耐受洗涤,杂交后用弱的RNA酶可去除未结合的探针,因此用RNA探针进行原位杂交的敏感性和特异性均优于其他探针。结果表明,银屑病皮损中PKCζ基因和蛋白的表达比较一致,均明显增高。Fisher等[6]用免疫印迹的方法检测了银屑病皮损中PKCζ的表达,发现银屑病皮损中PKCζ蛋白的表达较正常表皮约升高两倍,与本文免疫组化的结果一致。Fisher等[6]还用RT-PCR-Northern方法检测了银屑病皮损中PKCζ的基因表达,结果发现银屑病皮损中PKCζ基因的表达水平与正常表皮无明显差异, 这与本研究的结果不太一致。我们认为可能与所采用的检测方法不同有关。原位杂交技术不需要先从组织中提取RNA,可避免提取过程中所带来的RNA的损失,因此敏感性较强,而且可以定位。我们发现,正常人表皮中PKCζ基因的表达主要位于表皮上部,PKCζ蛋白的表达则位于表皮全层,表明该亚类基因的表达调控位于转录和翻译水平。本文分别采用正义探针和抗体阴性为原位杂交和免疫组化对照,结果均为阴性,表明了本研究结果的特异性和可靠性。
, http://www.100md.com
Dominguze等通过假底物肽抑制PKCζ,使蟾蜍卵巢细胞依赖于ras和磷脂酰胆碱-磷脂酶C 的分裂成熟通路被封闭[5]。Oka等指出,PKCζ活性增高可促进黑素细胞的生长[6]。PKCζ与表皮细胞增殖的关系目前尚缺乏报道,本研究中,银屑病表皮中PKCζ的基因和蛋白均高表达,表明PKCζ可从基因转录水平上被激活,从而使其蛋白含量增高,容易导致其活性的升高,从而引起表皮细胞的过度增殖,因此本文结果提示PKCζ可能与银屑病表皮细胞的过度增殖相关,参与银屑病的发病,但例数尚少,有待进一步研究。通过基因转染等方法将PKCζ的反义基因导入增殖过速的角质形成细胞将有助于说明该亚类与角质形成细胞过度增殖的关系,我们将对这一问题进行研究和探讨。
国家自然科学基金(39430080)和高等学校博士学科点专项基金资助
参考文献
1 Kiley SC, Jaken S, Whelan R, et al. Intracellular targeting of protein kinase C isoenzymes: functional implications. Biochem Society Trans, 1995,23:601-605.
, 百拇医药
2 Dekker LV, Parker PJ. Protein kinase C- a question of specificity. TIBS, 1994, 19:73-77.
3 Dominguez I, Diaz-Meco MT, Municio MM, et al. Evidence for a role of protein kinase Cζ isoenzyme in maturation of xenopus laevis oocytes. Mol Cell Biol, 1992,12:3776-3783.
4 Oka M, Ogita K, Ando H, et al. Differential down-regulation of protein kinase C subspecies in normal human melanocytes: possible involvement of the ζ subspecies in growth regulation. J Invest Dermatol,1995,105:567-571.
, 百拇医药
5 Rasmussen HH, Celis JE. Evidence for an altered protein kinase C signaling pathway in psoriasis. J Invest Dermatol, 1993, 101:560-566.
6 Fisher GJ, Tavakkol A, Leach K, et al. Differential expression of protein kinase C isoenzyme in normal and psoriatic adult human skin: reduced expression of protein kinase C-βII in psoriasis. J Invest Dermatol, 1993,101:553-559.
(收稿:1998-04-15 修回:1998-08-15), http://www.100md.com
单位:100034北京医科大学第一医院皮肤科;张晓艳 现在北京中日友好医院皮肤科,100029;马圣清 北京师范大学生物系(柳惠图)
关键词:银屑病;蛋白激酶C
中华皮肤科杂志990202 【摘 要】 目的 探讨蛋白激酶Cζ在银屑病发病中的作用 。方法 通过原位杂交和免疫组化的方法,研究了12例寻常型银屑病患者皮损区、非皮损区和5例正常人表皮中蛋白激酶Cζ的mRNA和蛋白的表达及分布特点。 结果 银屑病皮损区表皮中PKCζ的mRNA和蛋白表达均较非皮损区和正常表皮中的表达明显增强,正常人表皮中PKCζ的mRNA表达分布于表皮上层,而银屑病皮损区PKCζ的mRNA表达几乎分布于表皮全层。结论 PKCζ在银屑病表皮中的过表达提示,PKCζ可能与银屑病表皮细胞的过度增殖相关。
Significance of Protein Kinase Cζ in Pathogenesis of Psoriasis
, 百拇医药
ZHANG Xiaoyan,MA Shengqing,LIU Huitu.
Department of Dermatology, The First Hospital, Beijing Medical University, Beijing 100034
【Abstract】 Objective To investigate the effects of protein kinase Cζ (PKCζ) on the pathogenesis of psoriasis. Methods The expression and distribution of PKCζ were studied by in situ hybridization and immunohistochemistry in 12 cases of psoriasis. Results The expressions of both PKCζ mRNA and the protein were significantly higher in psoriatic epidermis than those in normal epidermis and uninvolved epidermis of psoriatic cases. The expression of PKCζ mRNA was located in the upper layers of normal epidermis but the expression was almost in the whole layer in psoriatic epidermis. Conclusion The overexpression of PKCζ in psoriatic epidermis suggests that PKCζ might be related to the hyperproliferation of psoriatic keratinocytes.
, 百拇医药
【Key words】 Psoriasis Protein kinase C
近年来研究表明蛋白激酶C(简称PKC)信号通路在细胞增殖、分化等功能的调节中起关键作用[1],PKC是由多种亚类组成的一个大家族,不同亚类的功能互有差异[2]。迄今发现 PKC至少由12种亚类所组成,按照对钙依赖性的不同分为钙依赖性和非钙依赖性二大类,前者包括α、βI、βII、γ,激活时需要钙;后者包括δ、ε、η、θ、ζ、λ、μ和ι,激活时不需要钙[2]。近年来的研究表明PKCζ可促进多种细胞的增殖[3,4],但是与表皮细胞增殖的关系尚不清楚。有报道,PKC信号通路的异常参与了银屑病的发生[5],但是哪种亚类与银屑病的发病相关仍不清楚,本文通过原位杂交和免疫组化的方法检测了银屑病皮损区、非皮损区和正常表皮中PKCζ基因和蛋白的表达,初步探讨了PKCζ在银屑病发病中的意义。
材料和方法
材料:斑块状银屑病12例,取材前3个月内均未系统或局部用过皮质类固醇和免疫抑制剂。皮损区及皮损周围正常皮肤取材,正常对照5例来源于北京医科大学第一医院烧伤科成型手术患者的正常皮肤,标本用OCT包埋、液氮速冻、-80℃保存。地高辛RNA标记与检测试剂购于Bochringer Mannheim公司,质粒PTB949-PKCζ由日本神户大学Ono教授惠赠,免疫组化染色试剂盒、兔抗PKCζ 多抗分别为Zymed 和 Santa Cruz公司产品。
, 百拇医药
方法:重组质粒的构建过程参照《分子克隆》。按照试剂盒说明合成地高辛标记的反义RNA,合成的探针经点实验证实。冰冻切片用4%多聚甲醛固定,原位杂交过程参照试剂盒说明。免疫组化方法按免疫组化试剂盒说明进行。用图像分析仪对杂交图象进行灰度扫描。
结 果
(一)体外转录模板载体的构建与RNA探针的合成:经Hind III 和EcoR I酶切、电泳鉴定证实PKCζ的cDNA3′端0.361kb的片段已定向插入载体PGEM-4Z上(图1),体外转录合成的RNA探针用地高辛RNA检测试剂盒经点实验证实(图2)。
图1 重组质粒经限制酶切电泳鉴定:1.PGEM-4Z经EcoRⅠ酶切,2.重组质粒经EcoRⅠ+HindⅢ酶切,3.PTB-PKCζ经EcoRⅠ+HindⅢ酶切,4.分子量标志(λDNA/HindⅢ)
, 百拇医药
图2 点试验检测地高辛标记的RNA探针:1.地高辛标记的珠蛋白RNA对照,2.地高辛标记的PKCα反义RNA,3.地高辛标记的PKCβ1反义RNA,4.地高辛标记的PKCζ反义RNA
(二)PKCζ基因在银屑病患者皮损和非皮损区表皮及正常人表皮中的表达与分布:通过原位杂交的方法检测了12例寻常型银屑病患者皮损和非皮损区表皮及5例正常人表皮中PKCζ基因的表达,阳性信号为胞浆或胞核内出现深蓝色或蓝紫色颗粒。结果显示银屑病皮损中PKCζ 基因的表达分布于全层,以表皮上部较显著,其表达水平较银屑病患者非皮损区和正常表皮中明显增强(图3),正常表皮中PCKζ基因的表达仅位于表皮上部(图4),银屑病非皮损表皮中PKCζ基因的表达强度和分布与正常表皮相似(图5),以PKCζ正义RNA探针为对照同时进行杂交,未见明显阳性信号(图6)。
, http://www.100md.com
图3 银屑病皮损中PKCζ基因的表达 图4 正常表皮中PKCζ基因的表达 图5 银屑病非皮损表皮中PKCζ基因的表达 图6 正义RNA探针为对照的原位杂交结果
(三)PKCζ蛋白在银屑病患者皮损和非皮损区表皮及正常人表皮中的表达与分布:用免疫组化法检测了12例寻常型银屑病患者皮损和非皮损区表皮及5例正常人表皮中PKCζ蛋白的表达。阳性为胞浆或胞核内出现棕黄色或棕褐色颗粒。结果显示,银屑病皮损中PKCζ蛋白的表达分布于全层,以中上层为主,其表达水平较非皮损区表皮和正常人表皮中的表达明显增强;正常人表皮中PKCζ蛋白的表达位于表皮全层,以表皮上部较明显;银屑病非皮损表皮中PKCζ蛋白的表达强度和分布与正常表皮相似,不加抗体的阴性对照未见明显阳性信号。
讨 论
我们用组织原位杂交的方法从基因水平检测了银屑病表皮中PKCζ的表达和分布。原位杂交技术中,为获得比较可靠的结果,我们选用RNA探针,尽管制备过程较复杂,但杂交时探针无需变性,RNA与RNA的杂交子较稳定,杂交过程中可耐受洗涤,杂交后用弱的RNA酶可去除未结合的探针,因此用RNA探针进行原位杂交的敏感性和特异性均优于其他探针。结果表明,银屑病皮损中PKCζ基因和蛋白的表达比较一致,均明显增高。Fisher等[6]用免疫印迹的方法检测了银屑病皮损中PKCζ的表达,发现银屑病皮损中PKCζ蛋白的表达较正常表皮约升高两倍,与本文免疫组化的结果一致。Fisher等[6]还用RT-PCR-Northern方法检测了银屑病皮损中PKCζ的基因表达,结果发现银屑病皮损中PKCζ基因的表达水平与正常表皮无明显差异, 这与本研究的结果不太一致。我们认为可能与所采用的检测方法不同有关。原位杂交技术不需要先从组织中提取RNA,可避免提取过程中所带来的RNA的损失,因此敏感性较强,而且可以定位。我们发现,正常人表皮中PKCζ基因的表达主要位于表皮上部,PKCζ蛋白的表达则位于表皮全层,表明该亚类基因的表达调控位于转录和翻译水平。本文分别采用正义探针和抗体阴性为原位杂交和免疫组化对照,结果均为阴性,表明了本研究结果的特异性和可靠性。
, http://www.100md.com
Dominguze等通过假底物肽抑制PKCζ,使蟾蜍卵巢细胞依赖于ras和磷脂酰胆碱-磷脂酶C 的分裂成熟通路被封闭[5]。Oka等指出,PKCζ活性增高可促进黑素细胞的生长[6]。PKCζ与表皮细胞增殖的关系目前尚缺乏报道,本研究中,银屑病表皮中PKCζ的基因和蛋白均高表达,表明PKCζ可从基因转录水平上被激活,从而使其蛋白含量增高,容易导致其活性的升高,从而引起表皮细胞的过度增殖,因此本文结果提示PKCζ可能与银屑病表皮细胞的过度增殖相关,参与银屑病的发病,但例数尚少,有待进一步研究。通过基因转染等方法将PKCζ的反义基因导入增殖过速的角质形成细胞将有助于说明该亚类与角质形成细胞过度增殖的关系,我们将对这一问题进行研究和探讨。
国家自然科学基金(39430080)和高等学校博士学科点专项基金资助
参考文献
1 Kiley SC, Jaken S, Whelan R, et al. Intracellular targeting of protein kinase C isoenzymes: functional implications. Biochem Society Trans, 1995,23:601-605.
, 百拇医药
2 Dekker LV, Parker PJ. Protein kinase C- a question of specificity. TIBS, 1994, 19:73-77.
3 Dominguez I, Diaz-Meco MT, Municio MM, et al. Evidence for a role of protein kinase Cζ isoenzyme in maturation of xenopus laevis oocytes. Mol Cell Biol, 1992,12:3776-3783.
4 Oka M, Ogita K, Ando H, et al. Differential down-regulation of protein kinase C subspecies in normal human melanocytes: possible involvement of the ζ subspecies in growth regulation. J Invest Dermatol,1995,105:567-571.
, 百拇医药
5 Rasmussen HH, Celis JE. Evidence for an altered protein kinase C signaling pathway in psoriasis. J Invest Dermatol, 1993, 101:560-566.
6 Fisher GJ, Tavakkol A, Leach K, et al. Differential expression of protein kinase C isoenzyme in normal and psoriatic adult human skin: reduced expression of protein kinase C-βII in psoriasis. J Invest Dermatol, 1993,101:553-559.
(收稿:1998-04-15 修回:1998-08-15), http://www.100md.com