类产碱假单胞菌引起的假性淋巴瘤一例
作者:杨蓉娅 王文岭 杜娟 李大伟
单位:100700北京军区总医院皮肤科
关键词:
中华皮肤科杂志/990639
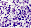
患儿男,3岁,因右颧部肿物40d入院。缘于40d前其母无意中发现颧部有一花生米大硬结,半月后增至核桃大。不疼不痒。在当地活检后诊断为蕈样肉芽肿,为求放疗来我院。病前无明确外伤史及蚊虫等节肢动物叮咬史。体检:各系统检查未见异常。皮肤科情况:右颧部肿物呈半球形隆起,约1cm×2.5cm×3cm,呈暗红色,表面可见毛细血管扩张,质中等,基底有浸润,境界清楚,活动差。入院后皮损组织2次细菌及真菌培养,无真菌生长。细菌培养经按美国微生物学会推荐的生化实验鉴定为类产碱假单胞菌生长:氧化酶实验(+)、硝酸盐同化实验(+)、枸橼酸盐(-)、明胶液化实验(-)、42℃(+)、OF管(-)、精氨酸双水解实验(-)、麦芽糖(-)、乳糖(-)、木糖(-)、吲哚(-)、葡萄糖(-),有类产碱假单胞菌生长。组织切片显示真皮中下层较致密的淋巴细胞浸润,并见一定数量的组织细胞和浆细胞,未见嗜酸粒细胞,真皮浅层可见灶性浸润,淋巴细胞大小一致,核深染,分化较好(图1),未见异型细胞或异型核分裂象。部分区域浸润细胞达皮下脂肪层。免疫组化结果显示:CD45(LCA)
(图2)、CD45RA(4KB5)
、CD45RO(UCHL-1)+(图3)、CD43(DF-T1)++、CD20+。结合病史、皮损表现、细菌培养、组织病理及免疫组化等,诊断为假性淋巴瘤(由假单胞菌感染引起)。经肌注青霉素、口服头孢氨苄等抗菌治疗1个月后,肿物明显缩小,出院。2个月后复诊,肿块消退,其后失访。治疗过程中,未并用皮质类固醇、免疫抑制剂及其他治疗。
图1 真皮中下层较致密的淋巴的细胞浸润
图2 免疫组化染色CD45(LCA)阳性
图3 免疫组化染色CD45RO(UCHL-1)阳性
讨论 本例患儿皮损表现为发生于一侧面部的无痛性结节、肿块,且快速增生肿大,病理上表现为真皮内致密的淋巴细胞浸润,很难与淋巴瘤区别。但在我院住院期间,经进一步组织病理及免疫组化检查发现真皮内较致密的淋巴细胞浸润中,既有T细胞,又有B细胞,两种细胞的浸润均较明显,但细胞分化较好,未见异形细胞或异形核分裂象。此外,浸润细胞中混杂一定数量的组织细胞和浆细胞。组织病理诊断考虑为假性淋巴瘤。皮损组织细菌培养2次,经严格的生化实验鉴定为类产碱假单胞菌。结合患儿年仅3岁,病程短,无并发症,抗感染治疗显效,均支持假性淋巴瘤的诊断。经文献检索,未见有类产碱假单胞菌感染引起假性淋巴瘤的报道。
(收稿:1998-11-09修回:1999-02-25), http://www.100md.com
单位:100700北京军区总医院皮肤科
关键词:
中华皮肤科杂志/990639
患儿男,3岁,因右颧部肿物40d入院。缘于40d前其母无意中发现颧部有一花生米大硬结,半月后增至核桃大。不疼不痒。在当地活检后诊断为蕈样肉芽肿,为求放疗来我院。病前无明确外伤史及蚊虫等节肢动物叮咬史。体检:各系统检查未见异常。皮肤科情况:右颧部肿物呈半球形隆起,约1cm×2.5cm×3cm,呈暗红色,表面可见毛细血管扩张,质中等,基底有浸润,境界清楚,活动差。入院后皮损组织2次细菌及真菌培养,无真菌生长。细菌培养经按美国微生物学会推荐的生化实验鉴定为类产碱假单胞菌生长:氧化酶实验(+)、硝酸盐同化实验(+)、枸橼酸盐(-)、明胶液化实验(-)、42℃(+)、OF管(-)、精氨酸双水解实验(-)、麦芽糖(-)、乳糖(-)、木糖(-)、吲哚(-)、葡萄糖(-),有类产碱假单胞菌生长。组织切片显示真皮中下层较致密的淋巴细胞浸润,并见一定数量的组织细胞和浆细胞,未见嗜酸粒细胞,真皮浅层可见灶性浸润,淋巴细胞大小一致,核深染,分化较好(图1),未见异型细胞或异型核分裂象。部分区域浸润细胞达皮下脂肪层。免疫组化结果显示:CD45(LCA)
图1 真皮中下层较致密的淋巴的细胞浸润
图2 免疫组化染色CD45(LCA)阳性
图3 免疫组化染色CD45RO(UCHL-1)阳性
讨论 本例患儿皮损表现为发生于一侧面部的无痛性结节、肿块,且快速增生肿大,病理上表现为真皮内致密的淋巴细胞浸润,很难与淋巴瘤区别。但在我院住院期间,经进一步组织病理及免疫组化检查发现真皮内较致密的淋巴细胞浸润中,既有T细胞,又有B细胞,两种细胞的浸润均较明显,但细胞分化较好,未见异形细胞或异形核分裂象。此外,浸润细胞中混杂一定数量的组织细胞和浆细胞。组织病理诊断考虑为假性淋巴瘤。皮损组织细菌培养2次,经严格的生化实验鉴定为类产碱假单胞菌。结合患儿年仅3岁,病程短,无并发症,抗感染治疗显效,均支持假性淋巴瘤的诊断。经文献检索,未见有类产碱假单胞菌感染引起假性淋巴瘤的报道。
(收稿:1998-11-09修回:1999-02-25), http://www.100md.com