疱疮抗体亚类在天疱疮发病中的作用
作者:李渝 刁庆春 王鲁 钟白玉 唐书谦 叶庆佾 刘荣卿
单位:李渝(100039北京,解放军第三O七医院皮肤科);刁庆春 王鲁 钟白玉 唐书谦 叶庆佾 刘荣卿(第三军医大学西南医院皮肤科)
关键词:天疱疮;IGG
中华皮肤科杂志000401
【摘要】目的了解天疱疮抗体亚类在天疱疮发病中的作用。方法用亲和层析法提取并纯
化天疱疮抗体亚类,在天疱疮器官培养模型上观察各抗体亚类致棘层松解的作用;并用
免疫印迹法测定各抗体亚类与角质形成细胞膜抗原的结合。结果纯化的抗体亚类在浓度
达到0.5mg/mL时均能在器官培养模型上致表皮产生棘层松解,并能与角质形成细胞膜表
, 百拇医药
面相对分子质量为100000和15000蛋白结合。结论天疱疮抗体亚类在体外模型上均有一定
的致病性,但在活动期患者体内,滴度较高的抗体亚类对疾病的发生、发展可能起主要
作用。
Study on the Role of Pemphigus IgG Subclasses in the Pathogenesis of Pemphigus
LI Yu,DIAO Qingchun,WANG Lu,etal.
(Department of Dermatology,307 Hospital,Beijing 100039)
【Abstract】 Objective To investigate the role of pemphigus IgG subclasses in the pathogenesis of pemphigus. Methods Pemphigus IgG subclasses from serum of a patient with active pemphigus vulgaris were purified by affinity chromatography. IgG subclasses were determined by indirect immunofluorescence and histopathology in the skin organ culture system. The reaction of IgG subclasses with membrane antigens on keratinocytes was observed by immunoblot analysis. Results The acantholysis was induced when the concentration of IgG subclasses reached to 0.5 mg/mL in pemphigus organ culture system. All four subclasses of IgG were reacted with 100 kD and 15 kD proteins on the surface of keratinocytes.Conclusions All four IgG subclasses are involved in the production of acantholysis in vitro. However,IgG subclasses with high titre may play an important part in the pathogenesis of pemphigus among patients in active stage.
, 百拇医药
【 Key words】 Pemphigus IgG
天疱疮抗体(PAb)是天疱疮发病的关键因素。目前国内外学者对PAbIgG1~IgG4在天疱疮发 病中的致病性研究仍未达成共识,多数研究表明在寻常型天疱疮(PV)中PAbIgG4是其发病 中的致病性抗体亚类,而IgG2在其发病过程中意义不明[1,2]。本实验在天疱疮器官培养模型上,对PAb各抗体亚类作用于培养的人表皮进行观察,分析抗体亚类与人表皮角质形成细胞膜抗原结合情况,对PAb亚类的致病性进行初步探讨,为天疱疮发病机制的深入 研究奠定基础。
材料和方法
一、材料
1.天疱疮患者血清:天疱疮患者1例,女性,16岁,经临床、病理和直接免疫荧光(DIF)、 间接免疫荧光(IIF)确诊为活动期天疱疮患者。经血浆置换疗法置换出1000mL血浆,-20 ℃冻存。
, http://www.100md.com
2.主要试剂:CNBrActivatedSepharose4B(Phar macia公司);鼠抗人IgG亚类McAb(重 庆医科大学)。
二、方法
(一)制备PAbIgG亚类:
1.硫酸铵盐析法和DEAE-32纤维素层析法纯化患者血浆中的PAb。亲和层析法提取PAb IgG亚类:以CNBr-ActivatedSepharose4B为基质,分别用鼠抗人IgG亚类McAb作配基,从PAb中 提取PAbIgG1~IgG4。提取正常人血清IgG作对照。
2.PAbIgG亚类的鉴定:①SDS-PAGE:浓缩胶、分离胶分别为5%和10%凝胶,垂直板电泳 槽电泳,银染色。②免疫琼脂双向扩散试验:用1.5%的琼脂制板,鉴定纯化的PAbIgG亚 类。
(二)建立天疱疮器官模型:参考Schiltz等[3,4]方法,观察PAbIgG亚类诱导表皮棘层松解:取 环切后的正常人包皮,无菌条件下制成4mm×4mm大小的表皮片,在24孔培养板中培养, 每孔加2mL细胞培养液的同时,分别加入浓度为0.5mg/mL的PAbIgG亚类,培养24、48、72 h后取材进行IIF和组织病理学检查。用天疱疮患者血清及正常人血清IgG作对照。
, http://www.100md.com
(三)PAbIgG亚类与角质形成细胞膜抗原结合的
免疫印迹测定:
1.提取天疱疮抗原:①根据Hashimoto等[5]方法将正常人包皮的表皮部分置于含0.15mol/L CaCl2、1%NP-40、40mmol/LDTT的样品缓冲液中,高速组织捣碎机捣碎(5000r/min×10s× 2),100℃煮沸3min后离心,取上清液待用。②SDS-PAGE:浓缩胶为5%,分离胶为10% ,垂直电泳槽电泳,电泳时浓缩胶中电压为60V,分离胶为150V,电泳后取出凝胶进行 凝胶蛋白银染或电转移。
2.免疫印迹:①转移电泳:采用恒流电转移,NC膜接正极,凝胶接负极,电流90mA,电 泳19h后将参考蛋白NC膜切下作氨基黑染色。②酶染色:一抗分别为PAbIgG1、PAbIgG2、 PAbIgG3、PAbIgG4,二抗为羊抗人辣根过氧化物酶标记抗体(工作浓度1∶1000)。
, 百拇医药
结果
(一)PAbIgG亚类的提取、鉴定:亲和层析法提取PV患者血中的抗体,经Lowry法测定浓度 后均调整为0.5mg/mL。经SDS-PAGE,与分子量蛋白电泳标准品对照,在相对分子质量为 50000和23000处各得到一条染色带,证实为IgG;免疫琼脂双向扩散试验鉴定:提取的抗 体均与各自的鼠抗人IgG亚类McAb反应,证实为纯化的PAbIgG1~IgG4。
(二)PAbIgG亚类诱导器官培养模型发生棘层松解的观察:
1.PAbIgG亚类作用培养表皮的IIF观察:各PAbIgG亚类均致表皮棘细胞间线状、均一的亮绿 色荧光(图1),荧光强度PAbIgG1为(±)~(+);PAbIgG2为(-)~(±);PAbIgG3为(+)~(
);PAb IgG4为(
)~(
);天疱疮患者血清(
),正常人血清IgG不引起棘层细胞间荧光染色。
, http://www.100md.com
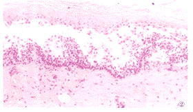
2.PAbIgG亚类诱导表皮棘层松解的组织病理学观察:培养48h后基底层上棘细胞间隙增宽 ,裂隙出现及小疱形成;72h形成明显的棘层松解和表皮内水疱(图2),比较各PAbIgG亚类 所致棘层松解程度无明显差异。正常人IgG作用培养表皮无棘层松解。
(三)PAbIgG亚类与角质形成细胞膜抗原结合的免疫印迹观察:正常人表皮提取液经SDS- PAGE电泳后银染色,在相对分子质量为14000~60000的低分子量区域蛋白染色带较浓, 高分子量区域在100000和150000各有一条深染蛋白带。转移至NC膜并分别用PAbIgG亚类作 一抗进行酶染色。免疫印迹显示:在100000和15000处各显示一条清晰的酶染色阳性带, 100000处较明显。
图1 天疱疮抗体亚类IgG4作用培养表皮的间接免疫荧光检查
, http://www.100md.com
图2 天疱疮抗体亚类IgG4作用培养表皮72h的组织病理改变(HE×200)
讨论
为了观察PAb各亚类是否具有单独致棘层松解的作用,在培养的正常人表皮中分别加入 纯化PAbIgG1~IgG4亚类(均为0.5mg/mL),培养72h后组织病理见典型棘层松解形成。IIF检查 PAb各亚类均可致表皮棘细胞间荧光染色阳性,以IgG4亚类所致荧光最强,其次为IgG3、 IgG1及IgG2,说明在同样浓度下,该PV患者血中的IgG4亚类与PAb表位有较强的亲和力,而 IgG1、IgG2、IgG3达到一定浓度后能被IIF测出。本实验中PAb各亚类在相同浓度时,致培养 表皮棘层松解的程度相似,而IIF染色不同,考虑为PAbIgG亚类浓度为0.5mg/mL时,已足以 致器官培养模型中的表皮发生棘层松解,而PAb各亚类的抗体滴度不同,导致免疫荧光 强度不同。以上试验说明,在体外,从个别活动期天疱疮患者血中提取的PAb各亚类在 到达一定浓度时均可被IIF测出,并致培养表皮发生棘层松解,同时也解释了少数天疱疮 患者在IgG4不能被检测出时,临床及组织学、IIF检查仍表现出典型的天疱疮病征的现象 。
, http://www.100md.com
免疫印迹结果显示PAbIgG1~IgG4均识别角质形成细胞膜上100000和约15000的蛋白带,并与之结合,进一步证实了PAb各亚类均能与角质 形成细胞膜抗原成分反应结合,且识别同样分子量的抗原,但天疱疮各抗体亚类识别表 皮角质形成细胞膜100000和约15000抗原,是否为各亚类在体外器官培养模型上致表皮棘 层松解的关键因素,有待进一步证实。
参考文献
[1]Bhol K,Mohimen A,Razzaque AA. Correlation of subclasses of IgG with disease activity in pemphigus vulgaris.Dermatology,1994,189(Suppl 1):85- 89.
[2]Emery DJ,Diaz LA,Fairley JA,et al. Pemphigus foliaceus and pemphigus vulgaris autoantibodies react with the extracellular domain of desmoglein- 1. J Invest Dermatol,1995,104:323- 328.
, 百拇医药
[3]Schiltz JR,Michel B. Production of epidermal acantholysis of normal human skin in vitro by the IgG fraction from pemphigus serum. J Invest Dermatol,1976,67:254- 260.
[4]聂祝湘,刘荣卿,叶庆佾,等.正常表皮表达尿激酶抗原的观察.中华皮肤科杂志,1996,79:277- 278.
[5]Hashimoto T,Ogawa MM,Konohana A,et al.Detection of pemphigus vulgaris and pemphigus folliaceus antigens by immunoblot analysis using different antigen sources.J Invest Dermatol, 1990,94:327- 331.
(收稿日期:1999-09-13), http://www.100md.com
单位:李渝(100039北京,解放军第三O七医院皮肤科);刁庆春 王鲁 钟白玉 唐书谦 叶庆佾 刘荣卿(第三军医大学西南医院皮肤科)
关键词:天疱疮;IGG
中华皮肤科杂志000401
【摘要】目的了解天疱疮抗体亚类在天疱疮发病中的作用。方法用亲和层析法提取并纯
化天疱疮抗体亚类,在天疱疮器官培养模型上观察各抗体亚类致棘层松解的作用;并用
免疫印迹法测定各抗体亚类与角质形成细胞膜抗原的结合。结果纯化的抗体亚类在浓度
达到0.5mg/mL时均能在器官培养模型上致表皮产生棘层松解,并能与角质形成细胞膜表
, 百拇医药
面相对分子质量为100000和15000蛋白结合。结论天疱疮抗体亚类在体外模型上均有一定
的致病性,但在活动期患者体内,滴度较高的抗体亚类对疾病的发生、发展可能起主要
作用。
Study on the Role of Pemphigus IgG Subclasses in the Pathogenesis of Pemphigus
LI Yu,DIAO Qingchun,WANG Lu,etal.
(Department of Dermatology,307 Hospital,Beijing 100039)
【Abstract】 Objective To investigate the role of pemphigus IgG subclasses in the pathogenesis of pemphigus. Methods Pemphigus IgG subclasses from serum of a patient with active pemphigus vulgaris were purified by affinity chromatography. IgG subclasses were determined by indirect immunofluorescence and histopathology in the skin organ culture system. The reaction of IgG subclasses with membrane antigens on keratinocytes was observed by immunoblot analysis. Results The acantholysis was induced when the concentration of IgG subclasses reached to 0.5 mg/mL in pemphigus organ culture system. All four subclasses of IgG were reacted with 100 kD and 15 kD proteins on the surface of keratinocytes.Conclusions All four IgG subclasses are involved in the production of acantholysis in vitro. However,IgG subclasses with high titre may play an important part in the pathogenesis of pemphigus among patients in active stage.
, 百拇医药
【 Key words】 Pemphigus IgG
天疱疮抗体(PAb)是天疱疮发病的关键因素。目前国内外学者对PAbIgG1~IgG4在天疱疮发 病中的致病性研究仍未达成共识,多数研究表明在寻常型天疱疮(PV)中PAbIgG4是其发病 中的致病性抗体亚类,而IgG2在其发病过程中意义不明[1,2]。本实验在天疱疮器官培养模型上,对PAb各抗体亚类作用于培养的人表皮进行观察,分析抗体亚类与人表皮角质形成细胞膜抗原结合情况,对PAb亚类的致病性进行初步探讨,为天疱疮发病机制的深入 研究奠定基础。
材料和方法
一、材料
1.天疱疮患者血清:天疱疮患者1例,女性,16岁,经临床、病理和直接免疫荧光(DIF)、 间接免疫荧光(IIF)确诊为活动期天疱疮患者。经血浆置换疗法置换出1000mL血浆,-20 ℃冻存。
, http://www.100md.com
2.主要试剂:CNBrActivatedSepharose4B(Phar macia公司);鼠抗人IgG亚类McAb(重 庆医科大学)。
二、方法
(一)制备PAbIgG亚类:
1.硫酸铵盐析法和DEAE-32纤维素层析法纯化患者血浆中的PAb。亲和层析法提取PAb IgG亚类:以CNBr-ActivatedSepharose4B为基质,分别用鼠抗人IgG亚类McAb作配基,从PAb中 提取PAbIgG1~IgG4。提取正常人血清IgG作对照。
2.PAbIgG亚类的鉴定:①SDS-PAGE:浓缩胶、分离胶分别为5%和10%凝胶,垂直板电泳 槽电泳,银染色。②免疫琼脂双向扩散试验:用1.5%的琼脂制板,鉴定纯化的PAbIgG亚 类。
(二)建立天疱疮器官模型:参考Schiltz等[3,4]方法,观察PAbIgG亚类诱导表皮棘层松解:取 环切后的正常人包皮,无菌条件下制成4mm×4mm大小的表皮片,在24孔培养板中培养, 每孔加2mL细胞培养液的同时,分别加入浓度为0.5mg/mL的PAbIgG亚类,培养24、48、72 h后取材进行IIF和组织病理学检查。用天疱疮患者血清及正常人血清IgG作对照。
, http://www.100md.com
(三)PAbIgG亚类与角质形成细胞膜抗原结合的
免疫印迹测定:
1.提取天疱疮抗原:①根据Hashimoto等[5]方法将正常人包皮的表皮部分置于含0.15mol/L CaCl2、1%NP-40、40mmol/LDTT的样品缓冲液中,高速组织捣碎机捣碎(5000r/min×10s× 2),100℃煮沸3min后离心,取上清液待用。②SDS-PAGE:浓缩胶为5%,分离胶为10% ,垂直电泳槽电泳,电泳时浓缩胶中电压为60V,分离胶为150V,电泳后取出凝胶进行 凝胶蛋白银染或电转移。
2.免疫印迹:①转移电泳:采用恒流电转移,NC膜接正极,凝胶接负极,电流90mA,电 泳19h后将参考蛋白NC膜切下作氨基黑染色。②酶染色:一抗分别为PAbIgG1、PAbIgG2、 PAbIgG3、PAbIgG4,二抗为羊抗人辣根过氧化物酶标记抗体(工作浓度1∶1000)。
, 百拇医药
结果
(一)PAbIgG亚类的提取、鉴定:亲和层析法提取PV患者血中的抗体,经Lowry法测定浓度 后均调整为0.5mg/mL。经SDS-PAGE,与分子量蛋白电泳标准品对照,在相对分子质量为 50000和23000处各得到一条染色带,证实为IgG;免疫琼脂双向扩散试验鉴定:提取的抗 体均与各自的鼠抗人IgG亚类McAb反应,证实为纯化的PAbIgG1~IgG4。
(二)PAbIgG亚类诱导器官培养模型发生棘层松解的观察:
1.PAbIgG亚类作用培养表皮的IIF观察:各PAbIgG亚类均致表皮棘细胞间线状、均一的亮绿 色荧光(图1),荧光强度PAbIgG1为(±)~(+);PAbIgG2为(-)~(±);PAbIgG3为(+)~(
, http://www.100md.com
2.PAbIgG亚类诱导表皮棘层松解的组织病理学观察:培养48h后基底层上棘细胞间隙增宽 ,裂隙出现及小疱形成;72h形成明显的棘层松解和表皮内水疱(图2),比较各PAbIgG亚类 所致棘层松解程度无明显差异。正常人IgG作用培养表皮无棘层松解。
(三)PAbIgG亚类与角质形成细胞膜抗原结合的免疫印迹观察:正常人表皮提取液经SDS- PAGE电泳后银染色,在相对分子质量为14000~60000的低分子量区域蛋白染色带较浓, 高分子量区域在100000和150000各有一条深染蛋白带。转移至NC膜并分别用PAbIgG亚类作 一抗进行酶染色。免疫印迹显示:在100000和15000处各显示一条清晰的酶染色阳性带, 100000处较明显。
图1 天疱疮抗体亚类IgG4作用培养表皮的间接免疫荧光检查
, http://www.100md.com
图2 天疱疮抗体亚类IgG4作用培养表皮72h的组织病理改变(HE×200)
讨论
为了观察PAb各亚类是否具有单独致棘层松解的作用,在培养的正常人表皮中分别加入 纯化PAbIgG1~IgG4亚类(均为0.5mg/mL),培养72h后组织病理见典型棘层松解形成。IIF检查 PAb各亚类均可致表皮棘细胞间荧光染色阳性,以IgG4亚类所致荧光最强,其次为IgG3、 IgG1及IgG2,说明在同样浓度下,该PV患者血中的IgG4亚类与PAb表位有较强的亲和力,而 IgG1、IgG2、IgG3达到一定浓度后能被IIF测出。本实验中PAb各亚类在相同浓度时,致培养 表皮棘层松解的程度相似,而IIF染色不同,考虑为PAbIgG亚类浓度为0.5mg/mL时,已足以 致器官培养模型中的表皮发生棘层松解,而PAb各亚类的抗体滴度不同,导致免疫荧光 强度不同。以上试验说明,在体外,从个别活动期天疱疮患者血中提取的PAb各亚类在 到达一定浓度时均可被IIF测出,并致培养表皮发生棘层松解,同时也解释了少数天疱疮 患者在IgG4不能被检测出时,临床及组织学、IIF检查仍表现出典型的天疱疮病征的现象 。
, http://www.100md.com
免疫印迹结果显示PAbIgG1~IgG4均识别角质形成细胞膜上100000和约15000的蛋白带,并与之结合,进一步证实了PAb各亚类均能与角质 形成细胞膜抗原成分反应结合,且识别同样分子量的抗原,但天疱疮各抗体亚类识别表 皮角质形成细胞膜100000和约15000抗原,是否为各亚类在体外器官培养模型上致表皮棘 层松解的关键因素,有待进一步证实。
参考文献
[1]Bhol K,Mohimen A,Razzaque AA. Correlation of subclasses of IgG with disease activity in pemphigus vulgaris.Dermatology,1994,189(Suppl 1):85- 89.
[2]Emery DJ,Diaz LA,Fairley JA,et al. Pemphigus foliaceus and pemphigus vulgaris autoantibodies react with the extracellular domain of desmoglein- 1. J Invest Dermatol,1995,104:323- 328.
, 百拇医药
[3]Schiltz JR,Michel B. Production of epidermal acantholysis of normal human skin in vitro by the IgG fraction from pemphigus serum. J Invest Dermatol,1976,67:254- 260.
[4]聂祝湘,刘荣卿,叶庆佾,等.正常表皮表达尿激酶抗原的观察.中华皮肤科杂志,1996,79:277- 278.
[5]Hashimoto T,Ogawa MM,Konohana A,et al.Detection of pemphigus vulgaris and pemphigus folliaceus antigens by immunoblot analysis using different antigen sources.J Invest Dermatol, 1990,94:327- 331.
(收稿日期:1999-09-13), http://www.100md.com