表皮松解性棘皮瘤一例
作者:姜祎群 孙建方 应作霖
单位:210042南京,中国医学科学院 中国协和医科大学皮肤病研究所
关键词:
中华皮肤科杂志000443
患者男,45岁,因阴囊瘙痒性丘疹2个月来我院就诊。患者2个月前发现右侧阴囊3个粟粒 大小丘疹,痒,渐大,曾在外院诊断为寻常疣,未作处理。既往无其它系统疾病,家族 中无类似发病。体检:一般情况好,各系统检查无异常。皮肤科情况:右侧阴囊见3个 孤立的2~3mm大小圆形扁平丘疹,淡褐色,表面轻度角化,似扁平疣。
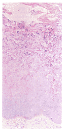
组织病理学检查:整个病变由表皮向真皮内凹陷。病变处角化过度,颗粒层增厚,增厚 的颗粒层内见粗大的透明角质颗粒,颗粒层和大部分棘层细胞边界不清,形成小的腔隙 甚至松解,细胞核周空晕,形成空泡化改变,部分胞浆内见嗜酸性细颗粒,呈典型的表 皮松解性角化过度改变(图1)。诊断:表皮松解性棘皮瘤(epidermolytic acanthoma)。
讨论表皮松解性角化过度又称作颗粒变性,具体表现为:①角化过度;②颗粒层明显增 厚并可见到增多的嗜碱性透明角质颗粒;③颗粒层和棘层细胞核周空晕;④胞浆内网状 淡染嗜酸或嗜碱性物质使细胞境界模糊不清[1]。电镜显示这种病变是由于表皮细胞不完 全角化和张力细丝异常聚集造成的[2],而后者可能跟细胞代谢加速导致某种蛋白糖原累积有关[3]。表皮松解性角化 过度主要见于先天性大疱性鱼鳞病样红皮病、系统性疣状痣和遗传性Vrner掌跖角皮症 ,有人认为后两者是先天性大疱性鱼鳞病样红皮病的限局型。1969年,Shapiro等[4]首先提 出表皮松解性棘皮瘤的命名,其临床表现为单发或局部多发的皮损,疣状或脂溢性角化 样,组织病理具有典型的表皮松解性角化过度的改变。1973年Hirone等[2]报告一例播散性 表皮松解性棘皮瘤的患者,表现为泛发的疣状损害,与先天性大疱性鱼鳞病样红皮病等 遗传性疾病无明显关系。本例患者具有典型的皮损和组织病理表现,表皮松解性棘皮瘤 的诊断可以确立。
图1患者皮损处组织病理学改变(×40)
参考文献
[1]Ackerman AB. Histopathologic concept of epidermolytic hyperkeratosis. Arch Dermatol, 1970,102:253- 259.
[2]Hirone T, Fukushiro R. Disseminated epidermolytic acanthoma nonsystematized multiple verrucoid lesions showing granular degeneration. Acta Derm Venereol, 1973,53:393- 402.
[3] Sawada Y, Ohashi M. Histochemical and electron microscopic cytochemical studies of granular degeneration in systemic nevus verrucosus. Jap J Dermatol, 1977,87:263- 272.
[4]Shapiro L, Baraf CS. Isolated epidermolytic acanthoma: a solitary tumor showing granular degeneration. Arch Dermatol, 1970,101:220- 223.
(收稿日期:1999-06-22), http://www.100md.com
单位:210042南京,中国医学科学院 中国协和医科大学皮肤病研究所
关键词:
中华皮肤科杂志000443
患者男,45岁,因阴囊瘙痒性丘疹2个月来我院就诊。患者2个月前发现右侧阴囊3个粟粒 大小丘疹,痒,渐大,曾在外院诊断为寻常疣,未作处理。既往无其它系统疾病,家族 中无类似发病。体检:一般情况好,各系统检查无异常。皮肤科情况:右侧阴囊见3个 孤立的2~3mm大小圆形扁平丘疹,淡褐色,表面轻度角化,似扁平疣。
组织病理学检查:整个病变由表皮向真皮内凹陷。病变处角化过度,颗粒层增厚,增厚 的颗粒层内见粗大的透明角质颗粒,颗粒层和大部分棘层细胞边界不清,形成小的腔隙 甚至松解,细胞核周空晕,形成空泡化改变,部分胞浆内见嗜酸性细颗粒,呈典型的表 皮松解性角化过度改变(图1)。诊断:表皮松解性棘皮瘤(epidermolytic acanthoma)。
讨论表皮松解性角化过度又称作颗粒变性,具体表现为:①角化过度;②颗粒层明显增 厚并可见到增多的嗜碱性透明角质颗粒;③颗粒层和棘层细胞核周空晕;④胞浆内网状 淡染嗜酸或嗜碱性物质使细胞境界模糊不清[1]。电镜显示这种病变是由于表皮细胞不完 全角化和张力细丝异常聚集造成的[2],而后者可能跟细胞代谢加速导致某种蛋白糖原累积有关[3]。表皮松解性角化 过度主要见于先天性大疱性鱼鳞病样红皮病、系统性疣状痣和遗传性Vrner掌跖角皮症 ,有人认为后两者是先天性大疱性鱼鳞病样红皮病的限局型。1969年,Shapiro等[4]首先提 出表皮松解性棘皮瘤的命名,其临床表现为单发或局部多发的皮损,疣状或脂溢性角化 样,组织病理具有典型的表皮松解性角化过度的改变。1973年Hirone等[2]报告一例播散性 表皮松解性棘皮瘤的患者,表现为泛发的疣状损害,与先天性大疱性鱼鳞病样红皮病等 遗传性疾病无明显关系。本例患者具有典型的皮损和组织病理表现,表皮松解性棘皮瘤 的诊断可以确立。
图1患者皮损处组织病理学改变(×40)
参考文献
[1]Ackerman AB. Histopathologic concept of epidermolytic hyperkeratosis. Arch Dermatol, 1970,102:253- 259.
[2]Hirone T, Fukushiro R. Disseminated epidermolytic acanthoma nonsystematized multiple verrucoid lesions showing granular degeneration. Acta Derm Venereol, 1973,53:393- 402.
[3] Sawada Y, Ohashi M. Histochemical and electron microscopic cytochemical studies of granular degeneration in systemic nevus verrucosus. Jap J Dermatol, 1977,87:263- 272.
[4]Shapiro L, Baraf CS. Isolated epidermolytic acanthoma: a solitary tumor showing granular degeneration. Arch Dermatol, 1970,101:220- 223.
(收稿日期:1999-06-22), http://www.100md.com