人参皂甙Rg1对体外培养鼠黑素瘤细胞系的化疗增敏作用
http://www.100md.com
中华皮肤科杂志 2000年第5期第33卷
作者:雷铁池 朱文元 夏明玉
单位:210029 南京医科大学第一附属医院皮肤科
关键词:人参皂甙;黑素瘤;脱噬作用
中华皮肤科杂志000513
【摘要】目的观察人参皂甙Rg1在体外能否诱导鼠黑素瘤细胞发生凋亡,与抗肿瘤剂甲环亚硝脲(MeCCNU)联合处理细胞时对细胞存活率的影响。方法用荧光染色技术和透射电镜技术观察药物作用后的细胞形态和超微结构改变,并用流式细胞术和MTT比色法测定药物对细胞生长周期、凋亡细胞诱导率以及细胞存活率的影响。结果经AO/EB双重荧光染色和超微结构显示100μmol/L人参皂甙Rg1作用72h能使部分体外培养细胞发生典型的凋亡细胞的形态改变。人参皂甙Rg1与甲环亚硝脲以3种不同处理方式处理细胞的凋亡细胞诱导率以联合处理组最高(61.75%),并无细胞周期选择性。MTT比色法测定细胞存活率结果提示人参皂甙Rg1单独处理细胞时本身未见明显细胞毒性,但与MeCCNU联合处理却能大大加强后者对黑素瘤细胞的细胞毒性。结论人参皂甙Rg1联合甲环亚硝脲在体外能以非细胞周期选择方式诱导部分黑素瘤细胞凋亡,推测这一作用可能与人参皂甙的抗肿瘤作用相关。
, http://www.100md.com
Gensenoside Rg1 has Sensitizing Effect in Chemotherapeutic Treatment of Murine Melanoma Cell Line in Vitro
LEI Tiechi,ZHU Wenyuan,XIA Mingyu.
(Department of Dermatology, The First Affiliated Hospital,Nanjing Medical University, Nanjing 210029)
【Abstract】 Objective To investigate whether gensenoside Rg1 could induce apoptosis of murine melanoma cells in vitro, and to observe the effect on cell viability when those cells were exposed to both gensenoside Rg1 and anti neoplastic(MeCCNU). Methods The morphological and ultrastructural changes of the cells treated with gensenoside Rg1(100μ mol/L) for 3 or 72 hours were examined by transmission electron microscopy(TEM) and double- fluorescent staining with acridine orange and ethidium bromide. Meanwhile, flow cytometer (FCM) and MTT assay were carried out to evaluate their cell cycle, percentage of apoptotic cells, and cell viability. Results The results of double- fluorescent staining and ultrastructural finding exhibited a characteristic morphological alteration of apoptotic cells. Flow cytometer analysis showed that the percentage of apoptotic cells exposed to both gensenoside Rg1 and MeCCNU was higher than those of cells treated by either of them alone (61.7% ). MTT assay demonstrated that gensenoside Rg1(100 μ mol/L) itself had no cytotoxity, but gensenoside Rg1 vigorously enhanced the cytotoxity of MeCCNU(50 μ mol/L) when the melanoma cells were concomitantly exposed to them in vitro. Conclusion Gensenoside Rg1 enhances in vitro cytotoxity of MeCCNU, the possible mechanism might be the apoptosis of murine melanoma cells induced in a non- cell cycle selective manner.
, 百拇医药
【Key words】 Gensenoside Melanoma Apoptosis
为了探索人参及其有效活性成份对皮肤黑素生成调节的确切作用机制,研究的早期我们在观察人参总甙、人参皂甙Rg1对体外培养B16F10鼠黑素瘤细胞黑素生成影响时,发现一定浓度的人参总甙、人参皂甙Rg1能引起黑素瘤细胞特征性形态学改变和酪氨酸酶活性、黑素量生成的增加,且以人参皂甙Rg1的作用更明显。本实验目的是弄清人参总甙、人参皂甙Rg1诱导的细胞形态学改变与体外黑素瘤细胞凋亡诱导的关系,比较这些化合物在体外与细胞毒型抗肿瘤剂甲环亚硝脲(MeCCNU)单独、联合或序贯处理细胞时对黑素瘤细胞表型表达(phenotypicexpression)及存活率的影响,探讨这些化合物在恶性黑素瘤化学预防和化学治疗中的意义。
材料和方法
(一)主要试剂和材料:人参总甙(ginsenosides)、人参皂甙Rg1(ginsenosideRg1)购自中国药品生物制品鉴定所;MeCCNU为浙江丽水浙南制药厂提供;FACSCalibur流式细胞仪,美国BD公司;Philip透射电子显微镜(荷兰),Leitz荧光显微镜(德国)。
, 百拇医药
图1100μmol/L人参皂甙Rg1处理细胞72h,部分培养细胞变圆、树状突消失、脱壁以及不规则球形体产生(×200)
图2100μmol/L人参皂甙Rg1处理72h,培养细胞经AO/EB双重荧光(×200)
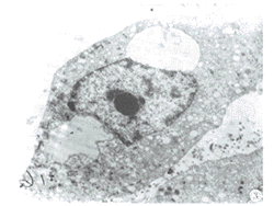
图3透射电镜观察100μmol/L人参皂甙Rg1处理72h,培养细胞的超微结构(×5000)
(二)B16F10细胞培养与光学显微镜观察:取指数生长期的B16F10细胞,初始接种5000个/cm2左右。细胞接种24h后,用添加药物的新鲜培养基换液1次。继续孵育72h。加药处理后3、12、24、48、72h在倒置显微镜下观察细胞形态学变化并摄像记录。收获细胞分为2份用于酪氨酸酶活性和黑素含量测定。
, 百拇医药
(三)试剂配制与实验分组:人参总甙、人参皂甙Rg1、MeCCNU贮液用DMSO新鲜配制,保存在-20℃冰箱2周内使用。临用时用新鲜培养基调至终浓度。实验设定人参总甙终浓度分别为1、10、50μg/mL;人参皂甙Rg1终浓度分别为10、100、500μmol/L。参照文献[1,2],另选黑素瘤细胞株敏感的MeCCNU50μmol/L作阳性对照。实验分组为:人参总甙、人参皂甙Rg1、MeCCNU单独处理组;“人参总甙+MeCCNU”和“人参皂甙Rg1+MeCCNU”联合处理组;“人参总甙→MeCCNU”和“人参皂甙Rg1→MeCCNU”序贯处理组。序贯处理程序为前一种药物处理3h后,换液除去,随后用第2种药物再处理3h。空白对照组仅加入溶媒DMSO。
(四)酪氨酸酶活性与黑素含量测定及MTT法测定细胞存活率:见我们以前报道的方法[3]。
(五)AO/EB荧光染色与荧光显微镜观察:①AO/EB荧光染液配制:用0.1mol/LpH7.2PBS将AO、EB分别配制成100μg/mL的贮液。使用前按1∶1混合。②细胞荧光染色:将B16F10细胞接种至6孔Corning细胞培养板,细胞初始接种3000个/孔左右,液体量4mL/孔。孵育6~12h待细胞贴壁后,吸去培养液,加入含终浓度50μg/mL人参总甙、100μmol/L人参皂甙Rg1新鲜培养液继续孵育72h。染色时用吸管轻轻自培养孔中吸取培养液,将AO、EB贮液等份混合后1∶20稀释成工作液,每孔加入工作液2mL,染色2min,弃染液加盖玻片,立即置荧光显微镜下观察细胞早期凋亡情况并摄像。
, 百拇医药
(六)透射电镜观察:收集约107细胞,离心弃上清液,常规超薄切片制作,电子显微镜观察早期凋亡细胞超微结构变化。
(七)流式细胞术(FCM)细胞周期分析与凋亡细胞百分率测定:收集约106细胞,离心弃上清液,常规制备流式细胞仪上样标本,进行细胞周期分析和凋亡细胞检测。
(八)数据处理和统计分析:所测实验数据采用配对计量资料t或t′检验。统计过程使用SPSS统计软件完成。
结果
(一)人参总甙、人参皂甙Rg1诱导体外培养B16F10细胞形态学改变:用50μg/mL人参总甙、100μmol/L人参皂甙Rg1处理细胞,24h即发现部分培养细胞变圆,树状突消失、脱壁以及不规则球形体产生(图1)。这种变化以100μmol/L人参皂甙Rg1作用48~72h最为明显。经AO/EB双重荧光染色发现这些细胞体积变小,核着色呈黄绿色,荧光强度增强(图2),判断为早期凋亡细胞形态改变[4]。用透射电镜技术观察经人参皂甙Rg1处理细胞的超微结构时,发现细胞呈现核异染色质边集、核空泡化、染色体固缩等变化,细胞内能见到Ⅲ~Ⅳ期黑素小体(图3),符合凋亡细胞形态学改变。
, 百拇医药
(二)不同浓度人参总甙、人参皂甙Rg1对体外培养B16F10细胞酪氨酸酶活性和黑素量的影响:见表1。3种不同浓度人参总甙、人参皂甙Rg1在体外对B16F10细胞的酪氨酸酶活性和黑素量呈现剂量依赖性上调作用,且这种作用以50μg/mL人参总甙、100μmol/L人参皂甙Rg1作用最为明显。50μg/mL人参总甙组活细胞计数明显低于空白对照组(t=3.79,P<0.05),而100μmol/L人参皂甙Rg1组活细胞计数与空白对照组差异无显著性(t=0.87,P>0.05)。以
返回主列表(ReturntoMainList)
②
返回主列表(ReturntoMainList)
①
返回主列表(ReturntoMainList)
, 百拇医药
③
返回主列表(ReturntoMainList)
返回主列表(ReturntoMainList)
中华皮肤科杂志2000年10月第33卷第5期ChinJDermatol,October2000,Vol33,No.5
返回主列表(ReturntoMainList)
下实验选定这两种促黑素生成能力最强的浓度为实验浓度。
(三)人参总甙(50μg/mL)、人参皂甙Rg1(100μmol/L)与MeCCNU(50μmol/L)3种不同处理方式对体外培养B16F10细胞存活率的影响:见表2。50μg/mL人参总甙单独对体外培养的B16F10细胞处理72h,呈现一定细胞毒性,细胞存活率为67%。而100μmol/L人参皂甙Rg1则无细胞毒。与MeCCNU联合或序贯处理的人参总甙及人参皂甙Rg1组较其二者单独处理组的细胞存活率明显减低(P<0.05)。而联合或序贯处理的人参皂甙Rg1组的细胞存活率较人参皂甙Rg1单独处理组亦明显减低(P<0.01)。
, 百拇医药
表1 不同浓度人参总甙、人参皂甙Rg1对B16F10鼠黑素瘤细胞的酪氨酸酶活性和黑素含量的影响
处理因素
细胞计数(
±s,×106个/mL)
酪氨酸酶活性(
±s,%)
黑素含量(x±s,%)
空白对照
0.81±0.60
100.00
, http://www.100md.com
100.00
人参总甙
1μg/mL
1.36±0.03
52.95±3.33
88.43±1.19
10μg/mL
0.57±0.12
136.94±14.85
152.77±43.47
50μg/mL
0.46±0.04*
, http://www.100md.com
173.24±40.41
186.60±38.78
人参皂甙Rg1
10μmol/L
1.08±0.13
135.74±16.22
98.41±11.79
100μmol/L
0.77±0.11
164.13±72.70
94.47±39.39
, 百拇医药
500μmol/L
0.57±0.12
110.01±17.98
77.22±9.66
注:酪氨酸酶活性和黑素含量以处理组占对照组A值的百分率表示。每次实验重复3次。与空白对照相比,*P<0.05
表2人参总甙、人参皂甙Rg1与MeCCNU3种不同处理方式对B16F10细胞存活率影响
处理因素
处理方式
测定次数
细胞存活率(
±s,%)
, 百拇医药
人参总甙
单独
6
67.05±14.25
人参皂甙Rg1
单独
6
123.16±18.11
MeCCNU
单独
6
60.89±10.68
人参总甙+MeCCNU
, 百拇医药
联合
6
22.36±6.49*
人参皂甙Rg1+MeCCNU
联合
6
64.25±15.61*△
人参总甙→MeCCNU
序贯
6
42.56±14.67*
人参皂甙Rg1→MeCCNU
, http://www.100md.com
序贯
6
43.58±27.99*△
注:细胞存活率以处理组占对照组A值的百分率表示。与人参总甙、人参皂甙Rg1单独处理组比较*P<0.05;与人参皂甙Rg1单独处理组比较△P<0.01
表3人参总甙、人参皂甙Rg1与MeCCNU3种不同处理方式对B16F10细胞诱导凋亡率比较
处理因素
细胞凋亡率(%)
细胞周期分析(%)
G0-G1
S+G2/M
, 百拇医药
空白对照(DMSO)
4.71
44.76
55.24
人参总甙
7.13
44.51
55.49
人参皂甙Rg1
7.47
47.09
52.91
MeCCNU
, 百拇医药
4.16
41.50
58.50
人参总甙+MeCCNU
5.26
43.34
56.66
人参皂甙Rg1+MeCCNU
61.75
57.48
42.52
人参总甙→MeCCNU
, 百拇医药
11.08
46.76
53.24
人参皂甙Rg1→MeCCNU
5.17
53.62
46.38
(四)人参总甙(50μg/mL)、人参皂甙Rg1(100μmol/L)与MeCCNU(50μmol/L)3种不同处理方式对体外培养B16F10细胞诱导凋亡率和细胞周期分析:FCM细胞周期分析与凋亡细胞百分率测定结果见表3。人参总甙、人参皂甙Rg1与MeCCNU3种不同处理方式在体外诱导B16F10细胞凋亡百分率以人参皂甙Rg1与MeCCNU联合处理组最高(61.75%),其次是人参总甙与MeCCNU序贯处理组(11.08%)。与空白对照相比,人参总甙、人参皂甙Rg1仅能使细胞凋亡百分率轻度提高。而MeCCNU几乎无此作用。细胞周期分析显示人参皂甙Rg1与MeCCNU联合处理组诱导细胞凋亡的作用无明显细胞周期选择性。
, 百拇医药
讨论
传统中医药学认为人参具有滋补养颜功效。实验的早期我们是设想用体外培养B16F10鼠黑素瘤细胞模型观察人参的有效活性成份人参总甙、人参皂甙Rg1对黑素细胞酪氨酸酶活性和黑素量的影响,以探明人参对皮肤黑素生成调节的确切作用机制。意外的是当用一定浓度的人参总甙(50μg/mL)、人参皂甙Rg1(100μmol/L)处理细胞,24h后即发现部分培养细胞胞浆变圆,树状突消失,脱壁以及不规则球形体产生。后经AO/EB双重荧光染色,透射电镜技术和流式细胞术证实这些细胞形态学变化为早期细胞凋亡。Zhai等[5]用生理剂量的UV(10mJ/cm2)照射培养的人黑素细胞和MM44人黑素瘤细胞2~3d,诱导出的特征性细胞凋亡形态学变化与我们用人参诱导的细胞形态变化类似。从表1可看出人参总甙、人参皂甙Rg1在体外对B16F10细胞均能剂量依赖性上调酪氨酸酶活性和黑素量,显示出一定分化诱导能力。
本研究我们还比较了这2种化合物与抗肿瘤剂MeCCNU单独、联合或序贯3种不同处理对黑素瘤细胞存活率以及细胞凋亡诱导率的影响,MTT比色法测定细胞存活率结果显示50μg/mL人参总甙单独对体外培养的B16F10细胞处理72h,呈现一定细胞毒性,细胞存活率为67%。而100μmol/L人参皂甙Rg1则无细胞毒。人参总甙与MeCCNU联合或序贯处理组细胞存活率较单独处理组明显减低。人参总甙对细胞存活率的抑制尚不能排除其本身的细胞毒作用。FCM细胞周期分析与凋亡细胞百分率测定结果显示人参皂甙Rg1联合MeCCNU在体外能以非细胞周期选择方式明显诱导B16F10细胞凋亡(61.75%)。因早期凋亡细胞仅表现为核染色体断裂,而细胞线粒体的形态结构和功能仍属正常,线粒体膜琥珀酸脱氢酶活性在凋亡早期并未发生改变[1],此时用MTT法检测的细胞存活率并不能代表真正的细胞存活数,还应包括部分早期凋亡细胞,实际上人参皂甙Rg1联合MeCCNU处理组的细胞存活率要比MTT测定结果更低。人参皂甙Rg1联合MeCCNU在体外如何启动黑素瘤细胞发生凋亡?是否针对黑素瘤细胞株有选择诱导?用正常人黑素细胞或非黑素细胞系进一步加以验证上述结果是有必要的。
, 百拇医药
传统的肿瘤化学治疗着眼于用药物来杀伤癌细胞。由于肿瘤细胞群体的非均一性,同一细胞株的不同克隆对药物的敏感性不同,且对化疗剂易产生抗药性。因此,寻求化疗敏化剂(sensitizer)来加强细胞毒药物的杀伤作用或改变肿瘤细胞的抗药性已成为今后肿瘤化学治疗的一个新策略[1,2]。本研究发现人参皂甙联合MeCCNU在体外能非细胞周期选择地诱导黑素瘤细胞凋亡。由于恶性黑素瘤对多数传统细胞毒型抗肿瘤剂抵抗[1,6],用人参皂甙Rg1来增强抗肿瘤剂的杀细胞作用,是否能在今后抗黑素瘤治疗中发挥作用有待进一步研究。
国家自然科学基金资助项目(39870701)
参考文献
[1]韩锐.抗肿瘤药研究进展.见:韩锐,主编.抗癌药物研究与实验技术.第1版.北京:北京医科大学中国协和医科大学联合出版社,1997.3-15.
, 百拇医药
[2] Rodriguez- Vicente J, Vicenet- Ortega V, Canteras- Jordana. Azelaic acid has sensitizing effect in the chemotherapeutic treatment of serveral melanoma cell lines. Pigment Cell Res,1996,9:317- 325.
[3] Lei TC, Zhu WY, Xia MY, et al. Study on regulation of melanogenesis induced by 8- methoxypsoralen and related signal transduction pathways in murine melanoma cells.Pigment Cell Res, 1998,11:396.
[4]陈丽娟,盛瑞兰,汪承亚,等.AO/EB荧光法测定阿糖胞苷诱导HL-60细胞凋亡.中华血液学杂志,1998,19:41.
, http://www.100md.com
[5] Zhai S, Yaar M, Doyle SM, et al. Nerve growth factor rescues pigment cells from ultraviolet- induced apoptosis by upregulating BCL- 2 levels. Exp Cell Res, 1996,224:335- 343.
[6]Odashima S, Ohta T, Kohno H, et al. Control of phenotypic expression of cultured B16 melanoma cells by plant glycosides. Cancer Res,1985,45:2781- 2784.
(收稿日期:1999-10-18), http://www.100md.com
单位:210029 南京医科大学第一附属医院皮肤科
关键词:人参皂甙;黑素瘤;脱噬作用
中华皮肤科杂志000513
【摘要】目的观察人参皂甙Rg1在体外能否诱导鼠黑素瘤细胞发生凋亡,与抗肿瘤剂甲环亚硝脲(MeCCNU)联合处理细胞时对细胞存活率的影响。方法用荧光染色技术和透射电镜技术观察药物作用后的细胞形态和超微结构改变,并用流式细胞术和MTT比色法测定药物对细胞生长周期、凋亡细胞诱导率以及细胞存活率的影响。结果经AO/EB双重荧光染色和超微结构显示100μmol/L人参皂甙Rg1作用72h能使部分体外培养细胞发生典型的凋亡细胞的形态改变。人参皂甙Rg1与甲环亚硝脲以3种不同处理方式处理细胞的凋亡细胞诱导率以联合处理组最高(61.75%),并无细胞周期选择性。MTT比色法测定细胞存活率结果提示人参皂甙Rg1单独处理细胞时本身未见明显细胞毒性,但与MeCCNU联合处理却能大大加强后者对黑素瘤细胞的细胞毒性。结论人参皂甙Rg1联合甲环亚硝脲在体外能以非细胞周期选择方式诱导部分黑素瘤细胞凋亡,推测这一作用可能与人参皂甙的抗肿瘤作用相关。
, http://www.100md.com
Gensenoside Rg1 has Sensitizing Effect in Chemotherapeutic Treatment of Murine Melanoma Cell Line in Vitro
LEI Tiechi,ZHU Wenyuan,XIA Mingyu.
(Department of Dermatology, The First Affiliated Hospital,Nanjing Medical University, Nanjing 210029)
【Abstract】 Objective To investigate whether gensenoside Rg1 could induce apoptosis of murine melanoma cells in vitro, and to observe the effect on cell viability when those cells were exposed to both gensenoside Rg1 and anti neoplastic(MeCCNU). Methods The morphological and ultrastructural changes of the cells treated with gensenoside Rg1(100μ mol/L) for 3 or 72 hours were examined by transmission electron microscopy(TEM) and double- fluorescent staining with acridine orange and ethidium bromide. Meanwhile, flow cytometer (FCM) and MTT assay were carried out to evaluate their cell cycle, percentage of apoptotic cells, and cell viability. Results The results of double- fluorescent staining and ultrastructural finding exhibited a characteristic morphological alteration of apoptotic cells. Flow cytometer analysis showed that the percentage of apoptotic cells exposed to both gensenoside Rg1 and MeCCNU was higher than those of cells treated by either of them alone (61.7% ). MTT assay demonstrated that gensenoside Rg1(100 μ mol/L) itself had no cytotoxity, but gensenoside Rg1 vigorously enhanced the cytotoxity of MeCCNU(50 μ mol/L) when the melanoma cells were concomitantly exposed to them in vitro. Conclusion Gensenoside Rg1 enhances in vitro cytotoxity of MeCCNU, the possible mechanism might be the apoptosis of murine melanoma cells induced in a non- cell cycle selective manner.
, 百拇医药
【Key words】 Gensenoside Melanoma Apoptosis
为了探索人参及其有效活性成份对皮肤黑素生成调节的确切作用机制,研究的早期我们在观察人参总甙、人参皂甙Rg1对体外培养B16F10鼠黑素瘤细胞黑素生成影响时,发现一定浓度的人参总甙、人参皂甙Rg1能引起黑素瘤细胞特征性形态学改变和酪氨酸酶活性、黑素量生成的增加,且以人参皂甙Rg1的作用更明显。本实验目的是弄清人参总甙、人参皂甙Rg1诱导的细胞形态学改变与体外黑素瘤细胞凋亡诱导的关系,比较这些化合物在体外与细胞毒型抗肿瘤剂甲环亚硝脲(MeCCNU)单独、联合或序贯处理细胞时对黑素瘤细胞表型表达(phenotypicexpression)及存活率的影响,探讨这些化合物在恶性黑素瘤化学预防和化学治疗中的意义。
材料和方法
(一)主要试剂和材料:人参总甙(ginsenosides)、人参皂甙Rg1(ginsenosideRg1)购自中国药品生物制品鉴定所;MeCCNU为浙江丽水浙南制药厂提供;FACSCalibur流式细胞仪,美国BD公司;Philip透射电子显微镜(荷兰),Leitz荧光显微镜(德国)。
, 百拇医药
图1100μmol/L人参皂甙Rg1处理细胞72h,部分培养细胞变圆、树状突消失、脱壁以及不规则球形体产生(×200)
图2100μmol/L人参皂甙Rg1处理72h,培养细胞经AO/EB双重荧光(×200)
图3透射电镜观察100μmol/L人参皂甙Rg1处理72h,培养细胞的超微结构(×5000)
(二)B16F10细胞培养与光学显微镜观察:取指数生长期的B16F10细胞,初始接种5000个/cm2左右。细胞接种24h后,用添加药物的新鲜培养基换液1次。继续孵育72h。加药处理后3、12、24、48、72h在倒置显微镜下观察细胞形态学变化并摄像记录。收获细胞分为2份用于酪氨酸酶活性和黑素含量测定。
, 百拇医药
(三)试剂配制与实验分组:人参总甙、人参皂甙Rg1、MeCCNU贮液用DMSO新鲜配制,保存在-20℃冰箱2周内使用。临用时用新鲜培养基调至终浓度。实验设定人参总甙终浓度分别为1、10、50μg/mL;人参皂甙Rg1终浓度分别为10、100、500μmol/L。参照文献[1,2],另选黑素瘤细胞株敏感的MeCCNU50μmol/L作阳性对照。实验分组为:人参总甙、人参皂甙Rg1、MeCCNU单独处理组;“人参总甙+MeCCNU”和“人参皂甙Rg1+MeCCNU”联合处理组;“人参总甙→MeCCNU”和“人参皂甙Rg1→MeCCNU”序贯处理组。序贯处理程序为前一种药物处理3h后,换液除去,随后用第2种药物再处理3h。空白对照组仅加入溶媒DMSO。
(四)酪氨酸酶活性与黑素含量测定及MTT法测定细胞存活率:见我们以前报道的方法[3]。
(五)AO/EB荧光染色与荧光显微镜观察:①AO/EB荧光染液配制:用0.1mol/LpH7.2PBS将AO、EB分别配制成100μg/mL的贮液。使用前按1∶1混合。②细胞荧光染色:将B16F10细胞接种至6孔Corning细胞培养板,细胞初始接种3000个/孔左右,液体量4mL/孔。孵育6~12h待细胞贴壁后,吸去培养液,加入含终浓度50μg/mL人参总甙、100μmol/L人参皂甙Rg1新鲜培养液继续孵育72h。染色时用吸管轻轻自培养孔中吸取培养液,将AO、EB贮液等份混合后1∶20稀释成工作液,每孔加入工作液2mL,染色2min,弃染液加盖玻片,立即置荧光显微镜下观察细胞早期凋亡情况并摄像。
, 百拇医药
(六)透射电镜观察:收集约107细胞,离心弃上清液,常规超薄切片制作,电子显微镜观察早期凋亡细胞超微结构变化。
(七)流式细胞术(FCM)细胞周期分析与凋亡细胞百分率测定:收集约106细胞,离心弃上清液,常规制备流式细胞仪上样标本,进行细胞周期分析和凋亡细胞检测。
(八)数据处理和统计分析:所测实验数据采用配对计量资料t或t′检验。统计过程使用SPSS统计软件完成。
结果
(一)人参总甙、人参皂甙Rg1诱导体外培养B16F10细胞形态学改变:用50μg/mL人参总甙、100μmol/L人参皂甙Rg1处理细胞,24h即发现部分培养细胞变圆,树状突消失、脱壁以及不规则球形体产生(图1)。这种变化以100μmol/L人参皂甙Rg1作用48~72h最为明显。经AO/EB双重荧光染色发现这些细胞体积变小,核着色呈黄绿色,荧光强度增强(图2),判断为早期凋亡细胞形态改变[4]。用透射电镜技术观察经人参皂甙Rg1处理细胞的超微结构时,发现细胞呈现核异染色质边集、核空泡化、染色体固缩等变化,细胞内能见到Ⅲ~Ⅳ期黑素小体(图3),符合凋亡细胞形态学改变。
, 百拇医药
(二)不同浓度人参总甙、人参皂甙Rg1对体外培养B16F10细胞酪氨酸酶活性和黑素量的影响:见表1。3种不同浓度人参总甙、人参皂甙Rg1在体外对B16F10细胞的酪氨酸酶活性和黑素量呈现剂量依赖性上调作用,且这种作用以50μg/mL人参总甙、100μmol/L人参皂甙Rg1作用最为明显。50μg/mL人参总甙组活细胞计数明显低于空白对照组(t=3.79,P<0.05),而100μmol/L人参皂甙Rg1组活细胞计数与空白对照组差异无显著性(t=0.87,P>0.05)。以
返回主列表(ReturntoMainList)
②
返回主列表(ReturntoMainList)
①
返回主列表(ReturntoMainList)
, 百拇医药
③
返回主列表(ReturntoMainList)
返回主列表(ReturntoMainList)
中华皮肤科杂志2000年10月第33卷第5期ChinJDermatol,October2000,Vol33,No.5
返回主列表(ReturntoMainList)
下实验选定这两种促黑素生成能力最强的浓度为实验浓度。
(三)人参总甙(50μg/mL)、人参皂甙Rg1(100μmol/L)与MeCCNU(50μmol/L)3种不同处理方式对体外培养B16F10细胞存活率的影响:见表2。50μg/mL人参总甙单独对体外培养的B16F10细胞处理72h,呈现一定细胞毒性,细胞存活率为67%。而100μmol/L人参皂甙Rg1则无细胞毒。与MeCCNU联合或序贯处理的人参总甙及人参皂甙Rg1组较其二者单独处理组的细胞存活率明显减低(P<0.05)。而联合或序贯处理的人参皂甙Rg1组的细胞存活率较人参皂甙Rg1单独处理组亦明显减低(P<0.01)。
, 百拇医药
表1 不同浓度人参总甙、人参皂甙Rg1对B16F10鼠黑素瘤细胞的酪氨酸酶活性和黑素含量的影响
处理因素
细胞计数(
酪氨酸酶活性(
黑素含量(x±s,%)
空白对照
0.81±0.60
100.00
, http://www.100md.com
100.00
人参总甙
1μg/mL
1.36±0.03
52.95±3.33
88.43±1.19
10μg/mL
0.57±0.12
136.94±14.85
152.77±43.47
50μg/mL
0.46±0.04*
, http://www.100md.com
173.24±40.41
186.60±38.78
人参皂甙Rg1
10μmol/L
1.08±0.13
135.74±16.22
98.41±11.79
100μmol/L
0.77±0.11
164.13±72.70
94.47±39.39
, 百拇医药
500μmol/L
0.57±0.12
110.01±17.98
77.22±9.66
注:酪氨酸酶活性和黑素含量以处理组占对照组A值的百分率表示。每次实验重复3次。与空白对照相比,*P<0.05
表2人参总甙、人参皂甙Rg1与MeCCNU3种不同处理方式对B16F10细胞存活率影响
处理因素
处理方式
测定次数
细胞存活率(
, 百拇医药
人参总甙
单独
6
67.05±14.25
人参皂甙Rg1
单独
6
123.16±18.11
MeCCNU
单独
6
60.89±10.68
人参总甙+MeCCNU
, 百拇医药
联合
6
22.36±6.49*
人参皂甙Rg1+MeCCNU
联合
6
64.25±15.61*△
人参总甙→MeCCNU
序贯
6
42.56±14.67*
人参皂甙Rg1→MeCCNU
, http://www.100md.com
序贯
6
43.58±27.99*△
注:细胞存活率以处理组占对照组A值的百分率表示。与人参总甙、人参皂甙Rg1单独处理组比较*P<0.05;与人参皂甙Rg1单独处理组比较△P<0.01
表3人参总甙、人参皂甙Rg1与MeCCNU3种不同处理方式对B16F10细胞诱导凋亡率比较
处理因素
细胞凋亡率(%)
细胞周期分析(%)
G0-G1
S+G2/M
, 百拇医药
空白对照(DMSO)
4.71
44.76
55.24
人参总甙
7.13
44.51
55.49
人参皂甙Rg1
7.47
47.09
52.91
MeCCNU
, 百拇医药
4.16
41.50
58.50
人参总甙+MeCCNU
5.26
43.34
56.66
人参皂甙Rg1+MeCCNU
61.75
57.48
42.52
人参总甙→MeCCNU
, 百拇医药
11.08
46.76
53.24
人参皂甙Rg1→MeCCNU
5.17
53.62
46.38
(四)人参总甙(50μg/mL)、人参皂甙Rg1(100μmol/L)与MeCCNU(50μmol/L)3种不同处理方式对体外培养B16F10细胞诱导凋亡率和细胞周期分析:FCM细胞周期分析与凋亡细胞百分率测定结果见表3。人参总甙、人参皂甙Rg1与MeCCNU3种不同处理方式在体外诱导B16F10细胞凋亡百分率以人参皂甙Rg1与MeCCNU联合处理组最高(61.75%),其次是人参总甙与MeCCNU序贯处理组(11.08%)。与空白对照相比,人参总甙、人参皂甙Rg1仅能使细胞凋亡百分率轻度提高。而MeCCNU几乎无此作用。细胞周期分析显示人参皂甙Rg1与MeCCNU联合处理组诱导细胞凋亡的作用无明显细胞周期选择性。
, 百拇医药
讨论
传统中医药学认为人参具有滋补养颜功效。实验的早期我们是设想用体外培养B16F10鼠黑素瘤细胞模型观察人参的有效活性成份人参总甙、人参皂甙Rg1对黑素细胞酪氨酸酶活性和黑素量的影响,以探明人参对皮肤黑素生成调节的确切作用机制。意外的是当用一定浓度的人参总甙(50μg/mL)、人参皂甙Rg1(100μmol/L)处理细胞,24h后即发现部分培养细胞胞浆变圆,树状突消失,脱壁以及不规则球形体产生。后经AO/EB双重荧光染色,透射电镜技术和流式细胞术证实这些细胞形态学变化为早期细胞凋亡。Zhai等[5]用生理剂量的UV(10mJ/cm2)照射培养的人黑素细胞和MM44人黑素瘤细胞2~3d,诱导出的特征性细胞凋亡形态学变化与我们用人参诱导的细胞形态变化类似。从表1可看出人参总甙、人参皂甙Rg1在体外对B16F10细胞均能剂量依赖性上调酪氨酸酶活性和黑素量,显示出一定分化诱导能力。
本研究我们还比较了这2种化合物与抗肿瘤剂MeCCNU单独、联合或序贯3种不同处理对黑素瘤细胞存活率以及细胞凋亡诱导率的影响,MTT比色法测定细胞存活率结果显示50μg/mL人参总甙单独对体外培养的B16F10细胞处理72h,呈现一定细胞毒性,细胞存活率为67%。而100μmol/L人参皂甙Rg1则无细胞毒。人参总甙与MeCCNU联合或序贯处理组细胞存活率较单独处理组明显减低。人参总甙对细胞存活率的抑制尚不能排除其本身的细胞毒作用。FCM细胞周期分析与凋亡细胞百分率测定结果显示人参皂甙Rg1联合MeCCNU在体外能以非细胞周期选择方式明显诱导B16F10细胞凋亡(61.75%)。因早期凋亡细胞仅表现为核染色体断裂,而细胞线粒体的形态结构和功能仍属正常,线粒体膜琥珀酸脱氢酶活性在凋亡早期并未发生改变[1],此时用MTT法检测的细胞存活率并不能代表真正的细胞存活数,还应包括部分早期凋亡细胞,实际上人参皂甙Rg1联合MeCCNU处理组的细胞存活率要比MTT测定结果更低。人参皂甙Rg1联合MeCCNU在体外如何启动黑素瘤细胞发生凋亡?是否针对黑素瘤细胞株有选择诱导?用正常人黑素细胞或非黑素细胞系进一步加以验证上述结果是有必要的。
, 百拇医药
传统的肿瘤化学治疗着眼于用药物来杀伤癌细胞。由于肿瘤细胞群体的非均一性,同一细胞株的不同克隆对药物的敏感性不同,且对化疗剂易产生抗药性。因此,寻求化疗敏化剂(sensitizer)来加强细胞毒药物的杀伤作用或改变肿瘤细胞的抗药性已成为今后肿瘤化学治疗的一个新策略[1,2]。本研究发现人参皂甙联合MeCCNU在体外能非细胞周期选择地诱导黑素瘤细胞凋亡。由于恶性黑素瘤对多数传统细胞毒型抗肿瘤剂抵抗[1,6],用人参皂甙Rg1来增强抗肿瘤剂的杀细胞作用,是否能在今后抗黑素瘤治疗中发挥作用有待进一步研究。
国家自然科学基金资助项目(39870701)
参考文献
[1]韩锐.抗肿瘤药研究进展.见:韩锐,主编.抗癌药物研究与实验技术.第1版.北京:北京医科大学中国协和医科大学联合出版社,1997.3-15.
, 百拇医药
[2] Rodriguez- Vicente J, Vicenet- Ortega V, Canteras- Jordana. Azelaic acid has sensitizing effect in the chemotherapeutic treatment of serveral melanoma cell lines. Pigment Cell Res,1996,9:317- 325.
[3] Lei TC, Zhu WY, Xia MY, et al. Study on regulation of melanogenesis induced by 8- methoxypsoralen and related signal transduction pathways in murine melanoma cells.Pigment Cell Res, 1998,11:396.
[4]陈丽娟,盛瑞兰,汪承亚,等.AO/EB荧光法测定阿糖胞苷诱导HL-60细胞凋亡.中华血液学杂志,1998,19:41.
, http://www.100md.com
[5] Zhai S, Yaar M, Doyle SM, et al. Nerve growth factor rescues pigment cells from ultraviolet- induced apoptosis by upregulating BCL- 2 levels. Exp Cell Res, 1996,224:335- 343.
[6]Odashima S, Ohta T, Kohno H, et al. Control of phenotypic expression of cultured B16 melanoma cells by plant glycosides. Cancer Res,1985,45:2781- 2784.
(收稿日期:1999-10-18), http://www.100md.com