FGF、FN在临床创面愈合过程中变化的研究
作者:谷廷敏 牛星焘 郭宏 王玉舟 建春 孙志刚
单位:谷廷敏 郭宏 王玉舟 刘建春 孙志刚:白求恩国际和平医院烧伤整形科,河北 石家庄 050082;牛星焘:北京医科大学三院
关键词:创伤;创面愈合;成纤维细胞生长因子;纤维连接蛋白;免疫组织化学
西北国防医学杂志990407 摘要:目的:探讨内源性FGF、FN变化在创面愈合过程中的作用。方法:取25例中厚断层供皮区创面病人术后4 d、10 d和16 d时创面组织行HE和ABC免疫组织化学染色对照创面大体变化,观察创面愈合过程中内源性FGF、FN的变化及其与组织修复的关系。结果:伤后10 d时内源性FGF、FN表达明显,伤后4 d和16 d时表达较弱。FGF和FN的变化和创面愈合的组织学变化较一致。结论:内源性FGF、FN变化为机体的生理变化,可以促进修复,也可避免疤痕形成。
, http://www.100md.com
中图分类号:R 644 文献标识码:A 文章编号:1007-8622(1999)04-0257-03
Clinic study on the changes of endogenous FGF and FN during wound healing
CU Ting-min,NIU Xing-tao,GUO Hong,et al.
(Department of burn and plastic surgery,Bethune International Peace Hospital,050082)
Abstract:Purpose:To explore the effect of endogenous FGF and FN on the wound healing.Methods:This study detected the expression of FGF and FN during the 4 day,10 day and 16 day of wound healing with ABC immunohistochemistry staining in the 25 patients.Results:There were remarkab exprexssion of endogenous FGF and FN on the 10 day of the wound healing,there were slight expression of endogenous FGF and FN on the 4 day and 16 day of wound healing.Conclusion:The changes of endogenous FGF and FN,as a physiological changes during the wound healing,can promote repair and avoid scar formation.
, 百拇医药
Key words:Trauma; Wound Healing; Fibroblast Growth Factor; Fibronectin; Immunohistochemistry
创面愈合过程是一个极其复杂的病理过程,涉及了机体的许多病理变化,如出血、凝血、修复、重建等。许多研究表明:生长因子可以促进创面的愈合,加快组织的修复[1]。我们曾报道:大鼠供皮区创面愈合过程中组织内源性成纤维细胞生长因子(FGF)的变化,且与创面修复有关[2]。我们又观察了人供皮区创面愈合过程中FGF和纤维连接蛋白(FN)变化,探讨其与组织修复的关系。
1 材料与方法
1.1 材料
1.1.1 标本留取:选取烧伤或整形病人中厚断层供皮创面共25例,男15例,女10例;年龄18~50岁。病人无特殊和其它慢性疾患。创面位于大腿和下腹部。征得病人同意,分别于术后4 d、10 d和16 d时局麻下用眼科角膜环钻切取包括创面、创基及少许皮下脂肪在内的标本,正常皮肤作为对照。
, 百拇医药
1.1.2 主要试剂:鼠抗人FGF、兔抗人FN抗体(1:100);兔抗鼠和羊抗兔生物素化Ig(1:200),ABC免疫复合物(1:100)。
1.2 方法
1.2.1 留取标本,马上置于4%多聚甲醛固定,脱水透明,石蜡包埋,切成5 μm的薄片,烤片后脱蜡浸水,分别行HE染色,观察组织学变化和ABC免疫组织化学染色,观察组织内FGF和FN蛋白的变化。
1.2.2 创面大体观察:肉眼观察创面表面渗液、渗血情况,以及创面、创缘新生上皮增生情况。
1.2.3 组织学观察
1.2.3.1 HE染色:组织薄片入水后,分别行苏木精、伊红染色,脱水透明封片进行观察。
1.2.3.2 ABC免疫组织化学染色:组织薄片入磷酸缓冲液5 min3次,0.3%H2O2甲醇20 min,二抗血清37℃30 min,一抗4℃过夜,Biotin二抗和ABC复合物37℃各30 min,DBA显色2~7 min。
, 百拇医药
1.2.3.3 光镜观察:在低倍和高倍镜下,分别观察组织结构变化和FGF和FN蛋白的表达变化。免疫组化结果判断以棕黄色阳性细胞在40倍镜下表达情况而分为阴性(视野内无阳性细胞),弱阳性(视野内可见10个以下阳性细胞),阳性(阳性细胞在11~30个),强阳性表达(阳性细胞多于30个)。
2 结果
2.1 创面大体观察:伤后4 d,创面表面仍有明显的渗液和少量渗血,创缘、创基新生上皮不明显。伤后10 d,创面表面有少量渗液,创缘及部分创基已有菲薄的新生上皮,上皮易被撕脱。伤后16 d,大部创面均有薄的新生上皮覆盖,但肉眼仍可见少量创基渗液和上皮不明显。
2.2 一般组织学变化:HE染色正常皮肤光镜下表皮厚度约4~5层细胞。基底细胞完整排列在基底膜,为低柱状,棘细胞和颗粒细胞层约3~4层,表皮角质蛋白较厚。真皮内可见毛囊、汗腺、皮脂腺和少量的纤维细胞、毛细血管。伤后4 d创缘处表皮细胞可见轻度增生,基底细胞排列紧密,真皮内较多的成纤维细胞和毛细血管。伤后10 d,创缘表皮进一步增厚,细胞层数增多,可见散在的表皮细胞迁移,离开创缘覆盖在创缘附近的创面上,皮肤附属器的上皮向创面表面迁移,覆盖创面形成菲薄的上皮层,真皮内成纤维细胞和毛细血管进一步增多(图1)。伤后16 d,创面表面基本上皮化,部分创面表面上皮较薄,无明显的皮肤附属器官,成纤维细胞数量较伤后10 d减少,毛细血管仍较多,真皮内可见粗大的胶原排列密集,平行于表皮,真皮层增厚。
, 百拇医药
图1 伤后10 d,创缘表皮增厚,表皮细胞迁移覆盖在
创缘附近的创面上,皮肤附属器上皮向创面迁移形成菲薄
的上皮层,真皮内成纤维细胞和毛细血管增多(HE 100×)
2.3 FGF、FN免疫组织化学变化
2.3.1 FGF表达变化:正常皮肤内无明显的FGF免疫组化阳性信号。伤后4 d,创面浅层、创缘与真皮连接处有较多的阳性细胞,棕黄色呈胞浆分布、胞核着色较浅,单个散在分布,多数为炎性细胞,少数为成纤维细胞。表面强度达弱阳性~阳性(图2)。伤后10 d,表达较前明显增强,达强阳性,可见许多聚集的阳性细胞;全层真皮内有些成纤维细胞、血管内皮细胞均有一定的表达(图3)。伤后16 d,表达弱阳性,主要分布于真皮部分成纤维细胞内,上皮或内皮细胞基本无表达(图4)。
, 百拇医药
图2 伤后4 d,FGF在创面表达强度达弱阳性~阳性。
阳性细胞呈棕黄色胞浆分布,散布单个分布,多为炎性
细胞,也有成纤维细胞(ABC法 400×)
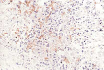
图3 伤后10 d,FGF表达呈强阳性,可见许多聚集
的阳性细胞存在于创面内,成纤维细胞和内皮细胞
均有一定表达(ABC法 400×)
图4 伤后16 d,FGF表达呈弱阳性,主要分布于真皮内成纤维细胞
, 百拇医药
(ABC法 400×)
2.3.2 FN表达变化:正常皮肤细胞内FN为弱阳性表达,主要分布于基底细胞和少数成纤维细胞。伤后FN表达情况类似于FGF。伤后4 d,FN表达强度可达阳性,表达部位基本相同于伤后4d FGF表达部位,创缘上皮基底细胞较明显,部分真皮内成纤维细胞和炎性细胞也有表达。伤后10 d,FN表达较伤后4 d表达增强,达强阳性,部位仍以创缘上皮细胞、真皮内皮细胞和成纤维细胞表达为主。伤后16 d表达减弱,以上皮基底细胞和真皮浅中层的成纤维细胞为主。强度稍强于正常皮肤,达弱阳性~阳性。
3 讨论
FGF为细胞有丝分裂刺激原,可以加快细胞分裂、促进增殖、改变细胞的趋化性、增加细胞的迁移,创面愈合过程中应用FGF可明显增加创面内胶原和细胞DNA含量,加速创面愈合[3,4]。组织FN是真皮基质中的一种非胶原糖蛋白,在皮肤组织中可以由成纤维细胞、上皮或内皮细胞产生并具有多种生物功能,在创面愈合中可以促进成纤维细胞、上皮细胞的迁移、加速肉芽组织生长,加快创面愈合[5]。
, 百拇医药
本研究组织学观察表明:伤后4 d,创缘和真皮内附属器官的上皮已出现增殖,上皮细胞明显迁移,覆盖创面;伤后10 d,上皮增殖明显,成纤维细胞功能活跃,毛细血管丰富;伤后16 d,创面表面已上皮化,细胞增殖减轻、成纤维细胞数量和功能下降。本研究免疫组织化学结果表明:创面愈合过程中FGF、FN蛋白表达较为一致,均以伤后10 d时强阳性表达,伤后4 d或16 d时,表达强度减弱,为弱阳性或阳性表达。FGF、FN的这些变化与组织学变化较为吻合:伤后10 d时,创面上皮化明显、上皮覆盖加速,各种细胞功能活跃,而创面内FGF、FN表达也最明显,伤后4 d或16 d时,创面修复不明显或已近完成时,创面内FGF、FN蛋白表达相对较弱。从表达部位来看,两种蛋白均以创缘上皮、创面浅层的皮肤附属器官上皮、血管内皮、成纤维细胞表达明显。FGF、FN在这些创面修复细胞增殖的活跃部位内高表达,表明了内源性FGF、FN蛋白在创面愈合中的规律变化,提示两者共同参与了创面愈合的调控。
本研究结果表现的FGF、FN同期表达,且与大体观察及组织学变化相一致,反映了机体调控创面愈合作为一种生理反应,在创面愈合早期,机体为修复进行准备、发生细微的变化,FGF、FN蛋白含量亦少;当达到一定阶段,FGF、FN蛋白表达增强,细胞增殖明显,组织结构变化较大;当创面愈合近于完成时,上皮覆盖创面,内在抑制机制产生作用,FGF、FN蛋白表达减弱,含量减少,引起细胞增殖减慢。FGF、FN这种生理变化作用有利于组织修复,也可避免过度增殖、形成疤痕。临床一些难愈合创面或过度疤痕增生可能和内源性FGF、FN的不正常变化有关。而这种生理变化的机制有待进一步研究。
, 百拇医药
基金项目:国家自然科学基金资助项目(39370693)
作者简介:谷廷敏(1959-),男,博士,副主任医师
参考文献:
[1]Mary HM.Peptide growth factor and wound healing[J].Clin plas Surg,1990,17:421-422.
[2]谷廷敏,牛星焘,陈东明.创面愈合过程中内源性FGF的研究[J].实用美容整形外科杂志,1997,8:327-328.
[3]Michael J.Fibroblast growth factor receptor tyrosine kinase molecular analysis and signal transduction[J].Biochem Biophys Acta,1992,1153:185-186.
[4]Editorials.Enhancement of wound healing by growth factors[J].New Engl Medi,1989,324:453-454.
[5]Grinnell F,Billingham R,Burgess L.Distribution of fibronection during wound healing in vivo[J].J Invest Dermatol,1981,76:181-182.
收稿日期:1999-08-08, 百拇医药
单位:谷廷敏 郭宏 王玉舟 刘建春 孙志刚:白求恩国际和平医院烧伤整形科,河北 石家庄 050082;牛星焘:北京医科大学三院
关键词:创伤;创面愈合;成纤维细胞生长因子;纤维连接蛋白;免疫组织化学
西北国防医学杂志990407 摘要:目的:探讨内源性FGF、FN变化在创面愈合过程中的作用。方法:取25例中厚断层供皮区创面病人术后4 d、10 d和16 d时创面组织行HE和ABC免疫组织化学染色对照创面大体变化,观察创面愈合过程中内源性FGF、FN的变化及其与组织修复的关系。结果:伤后10 d时内源性FGF、FN表达明显,伤后4 d和16 d时表达较弱。FGF和FN的变化和创面愈合的组织学变化较一致。结论:内源性FGF、FN变化为机体的生理变化,可以促进修复,也可避免疤痕形成。
, http://www.100md.com
中图分类号:R 644 文献标识码:A 文章编号:1007-8622(1999)04-0257-03
Clinic study on the changes of endogenous FGF and FN during wound healing
CU Ting-min,NIU Xing-tao,GUO Hong,et al.
(Department of burn and plastic surgery,Bethune International Peace Hospital,050082)
Abstract:Purpose:To explore the effect of endogenous FGF and FN on the wound healing.Methods:This study detected the expression of FGF and FN during the 4 day,10 day and 16 day of wound healing with ABC immunohistochemistry staining in the 25 patients.Results:There were remarkab exprexssion of endogenous FGF and FN on the 10 day of the wound healing,there were slight expression of endogenous FGF and FN on the 4 day and 16 day of wound healing.Conclusion:The changes of endogenous FGF and FN,as a physiological changes during the wound healing,can promote repair and avoid scar formation.
, 百拇医药
Key words:Trauma; Wound Healing; Fibroblast Growth Factor; Fibronectin; Immunohistochemistry
创面愈合过程是一个极其复杂的病理过程,涉及了机体的许多病理变化,如出血、凝血、修复、重建等。许多研究表明:生长因子可以促进创面的愈合,加快组织的修复[1]。我们曾报道:大鼠供皮区创面愈合过程中组织内源性成纤维细胞生长因子(FGF)的变化,且与创面修复有关[2]。我们又观察了人供皮区创面愈合过程中FGF和纤维连接蛋白(FN)变化,探讨其与组织修复的关系。
1 材料与方法
1.1 材料
1.1.1 标本留取:选取烧伤或整形病人中厚断层供皮创面共25例,男15例,女10例;年龄18~50岁。病人无特殊和其它慢性疾患。创面位于大腿和下腹部。征得病人同意,分别于术后4 d、10 d和16 d时局麻下用眼科角膜环钻切取包括创面、创基及少许皮下脂肪在内的标本,正常皮肤作为对照。
, 百拇医药
1.1.2 主要试剂:鼠抗人FGF、兔抗人FN抗体(1:100);兔抗鼠和羊抗兔生物素化Ig(1:200),ABC免疫复合物(1:100)。
1.2 方法
1.2.1 留取标本,马上置于4%多聚甲醛固定,脱水透明,石蜡包埋,切成5 μm的薄片,烤片后脱蜡浸水,分别行HE染色,观察组织学变化和ABC免疫组织化学染色,观察组织内FGF和FN蛋白的变化。
1.2.2 创面大体观察:肉眼观察创面表面渗液、渗血情况,以及创面、创缘新生上皮增生情况。
1.2.3 组织学观察
1.2.3.1 HE染色:组织薄片入水后,分别行苏木精、伊红染色,脱水透明封片进行观察。
1.2.3.2 ABC免疫组织化学染色:组织薄片入磷酸缓冲液5 min3次,0.3%H2O2甲醇20 min,二抗血清37℃30 min,一抗4℃过夜,Biotin二抗和ABC复合物37℃各30 min,DBA显色2~7 min。
, 百拇医药
1.2.3.3 光镜观察:在低倍和高倍镜下,分别观察组织结构变化和FGF和FN蛋白的表达变化。免疫组化结果判断以棕黄色阳性细胞在40倍镜下表达情况而分为阴性(视野内无阳性细胞),弱阳性(视野内可见10个以下阳性细胞),阳性(阳性细胞在11~30个),强阳性表达(阳性细胞多于30个)。
2 结果
2.1 创面大体观察:伤后4 d,创面表面仍有明显的渗液和少量渗血,创缘、创基新生上皮不明显。伤后10 d,创面表面有少量渗液,创缘及部分创基已有菲薄的新生上皮,上皮易被撕脱。伤后16 d,大部创面均有薄的新生上皮覆盖,但肉眼仍可见少量创基渗液和上皮不明显。
2.2 一般组织学变化:HE染色正常皮肤光镜下表皮厚度约4~5层细胞。基底细胞完整排列在基底膜,为低柱状,棘细胞和颗粒细胞层约3~4层,表皮角质蛋白较厚。真皮内可见毛囊、汗腺、皮脂腺和少量的纤维细胞、毛细血管。伤后4 d创缘处表皮细胞可见轻度增生,基底细胞排列紧密,真皮内较多的成纤维细胞和毛细血管。伤后10 d,创缘表皮进一步增厚,细胞层数增多,可见散在的表皮细胞迁移,离开创缘覆盖在创缘附近的创面上,皮肤附属器的上皮向创面表面迁移,覆盖创面形成菲薄的上皮层,真皮内成纤维细胞和毛细血管进一步增多(图1)。伤后16 d,创面表面基本上皮化,部分创面表面上皮较薄,无明显的皮肤附属器官,成纤维细胞数量较伤后10 d减少,毛细血管仍较多,真皮内可见粗大的胶原排列密集,平行于表皮,真皮层增厚。
, 百拇医药
图1 伤后10 d,创缘表皮增厚,表皮细胞迁移覆盖在
创缘附近的创面上,皮肤附属器上皮向创面迁移形成菲薄
的上皮层,真皮内成纤维细胞和毛细血管增多(HE 100×)
2.3 FGF、FN免疫组织化学变化
2.3.1 FGF表达变化:正常皮肤内无明显的FGF免疫组化阳性信号。伤后4 d,创面浅层、创缘与真皮连接处有较多的阳性细胞,棕黄色呈胞浆分布、胞核着色较浅,单个散在分布,多数为炎性细胞,少数为成纤维细胞。表面强度达弱阳性~阳性(图2)。伤后10 d,表达较前明显增强,达强阳性,可见许多聚集的阳性细胞;全层真皮内有些成纤维细胞、血管内皮细胞均有一定的表达(图3)。伤后16 d,表达弱阳性,主要分布于真皮部分成纤维细胞内,上皮或内皮细胞基本无表达(图4)。
, 百拇医药
图2 伤后4 d,FGF在创面表达强度达弱阳性~阳性。
阳性细胞呈棕黄色胞浆分布,散布单个分布,多为炎性
细胞,也有成纤维细胞(ABC法 400×)
图3 伤后10 d,FGF表达呈强阳性,可见许多聚集
的阳性细胞存在于创面内,成纤维细胞和内皮细胞
均有一定表达(ABC法 400×)
图4 伤后16 d,FGF表达呈弱阳性,主要分布于真皮内成纤维细胞
, 百拇医药
(ABC法 400×)
2.3.2 FN表达变化:正常皮肤细胞内FN为弱阳性表达,主要分布于基底细胞和少数成纤维细胞。伤后FN表达情况类似于FGF。伤后4 d,FN表达强度可达阳性,表达部位基本相同于伤后4d FGF表达部位,创缘上皮基底细胞较明显,部分真皮内成纤维细胞和炎性细胞也有表达。伤后10 d,FN表达较伤后4 d表达增强,达强阳性,部位仍以创缘上皮细胞、真皮内皮细胞和成纤维细胞表达为主。伤后16 d表达减弱,以上皮基底细胞和真皮浅中层的成纤维细胞为主。强度稍强于正常皮肤,达弱阳性~阳性。
3 讨论
FGF为细胞有丝分裂刺激原,可以加快细胞分裂、促进增殖、改变细胞的趋化性、增加细胞的迁移,创面愈合过程中应用FGF可明显增加创面内胶原和细胞DNA含量,加速创面愈合[3,4]。组织FN是真皮基质中的一种非胶原糖蛋白,在皮肤组织中可以由成纤维细胞、上皮或内皮细胞产生并具有多种生物功能,在创面愈合中可以促进成纤维细胞、上皮细胞的迁移、加速肉芽组织生长,加快创面愈合[5]。
, 百拇医药
本研究组织学观察表明:伤后4 d,创缘和真皮内附属器官的上皮已出现增殖,上皮细胞明显迁移,覆盖创面;伤后10 d,上皮增殖明显,成纤维细胞功能活跃,毛细血管丰富;伤后16 d,创面表面已上皮化,细胞增殖减轻、成纤维细胞数量和功能下降。本研究免疫组织化学结果表明:创面愈合过程中FGF、FN蛋白表达较为一致,均以伤后10 d时强阳性表达,伤后4 d或16 d时,表达强度减弱,为弱阳性或阳性表达。FGF、FN的这些变化与组织学变化较为吻合:伤后10 d时,创面上皮化明显、上皮覆盖加速,各种细胞功能活跃,而创面内FGF、FN表达也最明显,伤后4 d或16 d时,创面修复不明显或已近完成时,创面内FGF、FN蛋白表达相对较弱。从表达部位来看,两种蛋白均以创缘上皮、创面浅层的皮肤附属器官上皮、血管内皮、成纤维细胞表达明显。FGF、FN在这些创面修复细胞增殖的活跃部位内高表达,表明了内源性FGF、FN蛋白在创面愈合中的规律变化,提示两者共同参与了创面愈合的调控。
本研究结果表现的FGF、FN同期表达,且与大体观察及组织学变化相一致,反映了机体调控创面愈合作为一种生理反应,在创面愈合早期,机体为修复进行准备、发生细微的变化,FGF、FN蛋白含量亦少;当达到一定阶段,FGF、FN蛋白表达增强,细胞增殖明显,组织结构变化较大;当创面愈合近于完成时,上皮覆盖创面,内在抑制机制产生作用,FGF、FN蛋白表达减弱,含量减少,引起细胞增殖减慢。FGF、FN这种生理变化作用有利于组织修复,也可避免过度增殖、形成疤痕。临床一些难愈合创面或过度疤痕增生可能和内源性FGF、FN的不正常变化有关。而这种生理变化的机制有待进一步研究。
, 百拇医药
基金项目:国家自然科学基金资助项目(39370693)
作者简介:谷廷敏(1959-),男,博士,副主任医师
参考文献:
[1]Mary HM.Peptide growth factor and wound healing[J].Clin plas Surg,1990,17:421-422.
[2]谷廷敏,牛星焘,陈东明.创面愈合过程中内源性FGF的研究[J].实用美容整形外科杂志,1997,8:327-328.
[3]Michael J.Fibroblast growth factor receptor tyrosine kinase molecular analysis and signal transduction[J].Biochem Biophys Acta,1992,1153:185-186.
[4]Editorials.Enhancement of wound healing by growth factors[J].New Engl Medi,1989,324:453-454.
[5]Grinnell F,Billingham R,Burgess L.Distribution of fibronection during wound healing in vivo[J].J Invest Dermatol,1981,76:181-182.
收稿日期:1999-08-08, 百拇医药