FLAIR序列在高场强颅脑MR的应用价值
作者:李晋川 张红 马强华 王云冰 李志国 王秀兰 周怀阳
单位:李晋川(兰州军区兰州总医院,甘肃 兰州 730050);张红(兰州军区兰州总医院,甘肃 兰州 730050);马强华(兰州军区兰州总医院,甘肃 兰州 730050);王云冰(兰州军区兰州总医院,甘肃 兰州 730050);李志国(兰州军区兰州总医院,甘肃 兰州 730050)
关键词:磁共振成像;液体衰减反转恢复序列;颅脑
西北国防医学杂志000404
摘要:目的:通过对头颅液体衰减反转恢复序列的应用研 究,了解其特点及临床价值。方法:本组32例经FLAIR序 列及常规SE序列扫描的病例进行对比分析,并讨论了FLAIR序列的原理、特点及应用价值。 结果:在FLAIR序列显示的81个病灶中,常规SE序列只显 示66个病灶,FLAIR序列在显示脑室内、脑室旁及脑灰质区病灶方面优于常规SE序列。结论:FLAIR序列在特定部位病变显示方面更敏感,有很高的 临床使用价值。
, 百拇医药
中图分类号:R 445.2 文献标识码 :A 文章编号:1007-8622(2000)04-0251-03
Application of fluid attenuated inversion recovery sequences in MRI of the brain
LI Jin-chuan,ZHANG Hong,MA Qiang-hua,et al.
(Department of MR ,Lanzhou General Hospital,Lanzhou Command,PLA,730050)
Abstract:Objective:To evaluate the characteristics a nd clinical ap plication of fluid attenuated inversion recovery(FLAIR) sequences in MRI of the brain.Methods:Contrastive analysis were employed to study 32 cases examined with FLAIR sequen ces and SE sequence.In addition,the principle,characteristics and clinical appli cation of FLAIR sequences were discussed.Results:In 81 focuses found by FLAIR sequences,only 66 focuses were found by conventional S E sequences.FLAIR sequences was superior to conventional SE sequences to detect subcortical,intraventricular and periventricular focuses.Conclusio n:FLAIR sequences might be more sensitive in detecting focus in so me position than conventional SE sequences,so it has high clinical value in diag nosing brain disease.
, 百拇医药
Key words:MR imaging; Fluid attenuated inversion re covery; Brain
传统SE序列T2加权像,图像对比度好,显示病灶清楚,但脑室及脑室旁和脑皮质的微小 病变受脑脊液影响而显示不清。液体衰减反转恢复序列(fluid attenuated inversion rec overy FLAIR)已应用临床。这种技术在T2加权像抑制脑脊液的信号,而使微小病变显示清楚 ,有效地解决了这些问题。笔者对32例患者(共81个病灶)进行了FLAIR序列和SE序列扫描, 对SE序列没有发现而FLAIR序列发现的15个病灶进行对比分析,以探讨FLAIR序列临床诊断价 值。
1 材料与方法
本组男19例,女13例;年龄25~72岁。病种:脑梗塞15例,脱 髓鞘改变5例,皮层下动脉硬 化性脑病4例,脑膜瘤1例,脑炎脑膜炎2例,转移瘤2例,硬膜下积液1例,脑出血1例,血管 畸形1例。
, 百拇医药
采用以色列Elscint公司2.0T高场强MR机。所有病例均做SE序列T1W(TR/TE=500/12 ms), FSE序列T2W(TR/TE=4000/96 ms)及FLAIR序列(TR/TE/TI=6000/90/2000 ms)。均做 横断面扫描及SE序列T1W矢状面扫描。
2 结果
在FLAIR序列所发现81个病灶中,FSET2序列能显示的有66个,FSET2序列对病变显示率 为81.4%。FSET2序列未显示的15个病灶均位于侧脑室下、脑室旁及脑灰质区(图1,2) 。位 于脑室下的病灶,T2像未能显示。而位于基底节区,脑白质区的病灶,FLAIR及FSET2序列都 能显示。T2加权像上,所有病灶均为高信号。但在FLAIR序列,有2个病灶为低信号,1例出 血,出血灶的低信号部份T2像未能显示。另1例是T2加权像没能显示的血管畸形远端侧枝 循环(图3,4),此例为左侧颈内动脉畸形,左顶叶侧枝循环,T2像未能显示。在T2像上没能 显示而FLAIR像显示的15个病灶中,有10例为脑梗塞、脱髓鞘病变和皮层下动脉硬化性脑病 , 病灶位于脑灰质,受脑脊液影响T2像未能显示。2例为转移瘤(图5,6),肿瘤位于脑灰质,T 2像仅见水肿影。2例为脑炎、脑膜炎(图7,8),在T2像上病灶完全被脑沟中的脑脊液所掩盖 。







, 百拇医药
图1 FLAIR像示左顶叶脑梗塞灶,而FSET2像(图2)仅可见水肿影
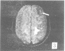
图3 FLAIR像左侧颈内动脉畸形,伴左顶叶远端侧枝循环,为树枝 状低信号。FSET2像(图4)左顶叶相同部位未见树枝状低信号
图5 FLAIR像示左小脑半球转移瘤,肿瘤与水肿界限清楚。FSET2 像(图6)肿瘤与水肿界限不清
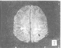
图7 FLAIR像示两侧顶叶脑膜炎,可见顶叶脑沟高信号。FSET2像( 图8)病灶受脑脊液掩盖,显示不清
3 讨论
3.1 FLAIR序列的原理:FLAIR 序列是一组2个脉冲的序列[1],在产生信号的90°射频脉冲前附加一个180°的反转脉冲[2],使磁化矢量反转180°,指向-Z轴方 向,此后所有组织的磁矢量均沿自身的T1恢复曲线向+Z轴方向恢复,最终达到施加180°脉 冲前的磁化矢量值。磁化矢量在沿T1曲线恢复过程中,随着时间的推移逐渐变小,在某一时 间其值为零,即为零点,此后组织的磁化矢量仍按其T1曲线恢复至反转前水平。如果施加的 90°脉冲恰好在该种组织曲线的零点时,即在纵向磁化为零时,此时没有FID产生,所以此 时采集无任何信号,组织信号被抑制,表现为低信号。由于每种组织的T1值不同,所以零点 也因组织不同而异。选择脑脊液T1弛豫曲线为零时施加90°脉冲,即可使脑脊液信号被抑制 。
, http://www.100md.com
3.2 FLAIR序列的图像特点与正常所见:FLAIR序列由于采用了较长的TE,所以为一种特 殊重T2加权象[3],组织对比类似于FSET2加权像,脑灰质信号较高,在图像上为 灰 白,脑白质为较暗的灰黑。FLAIR序列由于可以抑制脑脊液信号,重T2加权像在病理情况下 又可突出长T2成分,产生病变与背景的高对比[4]。FLAIR序列的另一特点是特定部 位的脑白质表现为高或较高信号[5],如位于脑室周围,为脑室内的脑脊液漏入室 管膜下所致。而远离脑室的白质内高信号,如半卵圆中心、枕丘放射冠、内囊后肢及顶桥束 等,可能与局部脑白质神经纤维髓鞘形成不全或髓鞘形成稀少有关。
3.3 FLAIR序列的应用价值:F LAIR序列抑制了脑脊液信号,从而可避免脑脊液产生的部 分容积效应及流动性伪影的干扰,使位于脑室内、脑室旁及灰质区的小病灶得以显示[ 6],同时又延长TE产生重T2加权像,突出长T2成分,形成病变与背景的高对比,更清楚 地显示病变,提高了对疾病诊断的灵敏度。本组有15个病灶由于位于脑室下、脑室旁、脑灰 质区,在FSET2像上就没有被显示,而在FLAIR序列上,都得到清楚显示,其中脑梗塞及脑肿 瘤等病灶为高信号,是由于脑室内及脑沟内的脑脊液信号被抑制后得以显示。而一例侧枝循 环是由于呈现低信号而被显示的,估计是由于FLAIR序列抑制了脑实质中的游离水,而使脑 实质背景信号降低,从而使在FSET2像上不能显示的低信号得以显示。
, http://www.100md.com
FLAIR序列用于颅脑疾病检查,与T2W像比较,能提高病变与周围脑实质的对比度,能发现T2 W像上不能发现的特定部位的病灶,因此我们建议对临床症状明显而常规SE序列检查阴性者 加做FLAIR序列,可以使阳性率大为增加。
作者简介:李晋川(1957-),男,硕士,副主任医师
王秀兰(兰州军区兰州总医院,甘肃 兰州 730050)
周怀阳(兰州军区兰州总医院,甘肃 兰州 730050)
参考文献:
[1]隋邦森,陈雁冰,主编.神经系统磁共振诊断学[M].北京:宇航出版社 ,1990.47-50.
[2]Ray HH,Willian GB,Dar-yeong C,et al.Suspected multiple scler osis:MR imaging with a thin-section fast FLAIR pulse sequence[J].Radiology,19 95,196(2):505-510.
, 百拇医药
[3]Hajnal JV,Bryant DJ,Kasuboski L,et al.Use of fluid attenuated inversion recovery(FLAIR)pulse sequences in MRI of the brain[J].J Comput Assi st Tomogr,1992,16(6):841-844.
[4]Rydberg JN,Hammond CA,Grimm RC,et al.Initial clinical experie nce in MR imaging of the brain with a fast fluid attenuated inversion recovery p ulse sequence[J].Radiology,1994,193(1):173-177.
[5]Hajnal JV,Decoene B,Lewis PD,et al.High signal regions in nor mal white matter shown by heavily T2-weighted CSF nalled IR sequences[J].J Co mput Assist Tomogr,1992,16(4):506-513.
[6]Tourbah A,Deschamps R,Stievenant JL,et al.Magnetic resonance imaging using FLAIR pulse sequences in white matter disease[J].J Neuroradiol,1 996,23(4):217-221.
收稿日期:2000-04-13, 百拇医药
单位:李晋川(兰州军区兰州总医院,甘肃 兰州 730050);张红(兰州军区兰州总医院,甘肃 兰州 730050);马强华(兰州军区兰州总医院,甘肃 兰州 730050);王云冰(兰州军区兰州总医院,甘肃 兰州 730050);李志国(兰州军区兰州总医院,甘肃 兰州 730050)
关键词:磁共振成像;液体衰减反转恢复序列;颅脑
西北国防医学杂志000404
摘要:目的:通过对头颅液体衰减反转恢复序列的应用研 究,了解其特点及临床价值。方法:本组32例经FLAIR序 列及常规SE序列扫描的病例进行对比分析,并讨论了FLAIR序列的原理、特点及应用价值。 结果:在FLAIR序列显示的81个病灶中,常规SE序列只显 示66个病灶,FLAIR序列在显示脑室内、脑室旁及脑灰质区病灶方面优于常规SE序列。结论:FLAIR序列在特定部位病变显示方面更敏感,有很高的 临床使用价值。
, 百拇医药
中图分类号:R 445.2 文献标识码 :A 文章编号:1007-8622(2000)04-0251-03
Application of fluid attenuated inversion recovery sequences in MRI of the brain
LI Jin-chuan,ZHANG Hong,MA Qiang-hua,et al.
(Department of MR ,Lanzhou General Hospital,Lanzhou Command,PLA,730050)
Abstract:Objective:To evaluate the characteristics a nd clinical ap plication of fluid attenuated inversion recovery(FLAIR) sequences in MRI of the brain.Methods:Contrastive analysis were employed to study 32 cases examined with FLAIR sequen ces and SE sequence.In addition,the principle,characteristics and clinical appli cation of FLAIR sequences were discussed.Results:In 81 focuses found by FLAIR sequences,only 66 focuses were found by conventional S E sequences.FLAIR sequences was superior to conventional SE sequences to detect subcortical,intraventricular and periventricular focuses.Conclusio n:FLAIR sequences might be more sensitive in detecting focus in so me position than conventional SE sequences,so it has high clinical value in diag nosing brain disease.
, 百拇医药
Key words:MR imaging; Fluid attenuated inversion re covery; Brain
传统SE序列T2加权像,图像对比度好,显示病灶清楚,但脑室及脑室旁和脑皮质的微小 病变受脑脊液影响而显示不清。液体衰减反转恢复序列(fluid attenuated inversion rec overy FLAIR)已应用临床。这种技术在T2加权像抑制脑脊液的信号,而使微小病变显示清楚 ,有效地解决了这些问题。笔者对32例患者(共81个病灶)进行了FLAIR序列和SE序列扫描, 对SE序列没有发现而FLAIR序列发现的15个病灶进行对比分析,以探讨FLAIR序列临床诊断价 值。
1 材料与方法
本组男19例,女13例;年龄25~72岁。病种:脑梗塞15例,脱 髓鞘改变5例,皮层下动脉硬 化性脑病4例,脑膜瘤1例,脑炎脑膜炎2例,转移瘤2例,硬膜下积液1例,脑出血1例,血管 畸形1例。
, 百拇医药
采用以色列Elscint公司2.0T高场强MR机。所有病例均做SE序列T1W(TR/TE=500/12 ms), FSE序列T2W(TR/TE=4000/96 ms)及FLAIR序列(TR/TE/TI=6000/90/2000 ms)。均做 横断面扫描及SE序列T1W矢状面扫描。
2 结果
在FLAIR序列所发现81个病灶中,FSET2序列能显示的有66个,FSET2序列对病变显示率 为81.4%。FSET2序列未显示的15个病灶均位于侧脑室下、脑室旁及脑灰质区(图1,2) 。位 于脑室下的病灶,T2像未能显示。而位于基底节区,脑白质区的病灶,FLAIR及FSET2序列都 能显示。T2加权像上,所有病灶均为高信号。但在FLAIR序列,有2个病灶为低信号,1例出 血,出血灶的低信号部份T2像未能显示。另1例是T2加权像没能显示的血管畸形远端侧枝 循环(图3,4),此例为左侧颈内动脉畸形,左顶叶侧枝循环,T2像未能显示。在T2像上没能 显示而FLAIR像显示的15个病灶中,有10例为脑梗塞、脱髓鞘病变和皮层下动脉硬化性脑病 , 病灶位于脑灰质,受脑脊液影响T2像未能显示。2例为转移瘤(图5,6),肿瘤位于脑灰质,T 2像仅见水肿影。2例为脑炎、脑膜炎(图7,8),在T2像上病灶完全被脑沟中的脑脊液所掩盖 。
, 百拇医药
图1 FLAIR像示左顶叶脑梗塞灶,而FSET2像(图2)仅可见水肿影
图3 FLAIR像左侧颈内动脉畸形,伴左顶叶远端侧枝循环,为树枝 状低信号。FSET2像(图4)左顶叶相同部位未见树枝状低信号
图5 FLAIR像示左小脑半球转移瘤,肿瘤与水肿界限清楚。FSET2 像(图6)肿瘤与水肿界限不清
图7 FLAIR像示两侧顶叶脑膜炎,可见顶叶脑沟高信号。FSET2像( 图8)病灶受脑脊液掩盖,显示不清
3 讨论
3.1 FLAIR序列的原理:FLAIR 序列是一组2个脉冲的序列[1],在产生信号的90°射频脉冲前附加一个180°的反转脉冲[2],使磁化矢量反转180°,指向-Z轴方 向,此后所有组织的磁矢量均沿自身的T1恢复曲线向+Z轴方向恢复,最终达到施加180°脉 冲前的磁化矢量值。磁化矢量在沿T1曲线恢复过程中,随着时间的推移逐渐变小,在某一时 间其值为零,即为零点,此后组织的磁化矢量仍按其T1曲线恢复至反转前水平。如果施加的 90°脉冲恰好在该种组织曲线的零点时,即在纵向磁化为零时,此时没有FID产生,所以此 时采集无任何信号,组织信号被抑制,表现为低信号。由于每种组织的T1值不同,所以零点 也因组织不同而异。选择脑脊液T1弛豫曲线为零时施加90°脉冲,即可使脑脊液信号被抑制 。
, http://www.100md.com
3.2 FLAIR序列的图像特点与正常所见:FLAIR序列由于采用了较长的TE,所以为一种特 殊重T2加权象[3],组织对比类似于FSET2加权像,脑灰质信号较高,在图像上为 灰 白,脑白质为较暗的灰黑。FLAIR序列由于可以抑制脑脊液信号,重T2加权像在病理情况下 又可突出长T2成分,产生病变与背景的高对比[4]。FLAIR序列的另一特点是特定部 位的脑白质表现为高或较高信号[5],如位于脑室周围,为脑室内的脑脊液漏入室 管膜下所致。而远离脑室的白质内高信号,如半卵圆中心、枕丘放射冠、内囊后肢及顶桥束 等,可能与局部脑白质神经纤维髓鞘形成不全或髓鞘形成稀少有关。
3.3 FLAIR序列的应用价值:F LAIR序列抑制了脑脊液信号,从而可避免脑脊液产生的部 分容积效应及流动性伪影的干扰,使位于脑室内、脑室旁及灰质区的小病灶得以显示[ 6],同时又延长TE产生重T2加权像,突出长T2成分,形成病变与背景的高对比,更清楚 地显示病变,提高了对疾病诊断的灵敏度。本组有15个病灶由于位于脑室下、脑室旁、脑灰 质区,在FSET2像上就没有被显示,而在FLAIR序列上,都得到清楚显示,其中脑梗塞及脑肿 瘤等病灶为高信号,是由于脑室内及脑沟内的脑脊液信号被抑制后得以显示。而一例侧枝循 环是由于呈现低信号而被显示的,估计是由于FLAIR序列抑制了脑实质中的游离水,而使脑 实质背景信号降低,从而使在FSET2像上不能显示的低信号得以显示。
, http://www.100md.com
FLAIR序列用于颅脑疾病检查,与T2W像比较,能提高病变与周围脑实质的对比度,能发现T2 W像上不能发现的特定部位的病灶,因此我们建议对临床症状明显而常规SE序列检查阴性者 加做FLAIR序列,可以使阳性率大为增加。
作者简介:李晋川(1957-),男,硕士,副主任医师
王秀兰(兰州军区兰州总医院,甘肃 兰州 730050)
周怀阳(兰州军区兰州总医院,甘肃 兰州 730050)
参考文献:
[1]隋邦森,陈雁冰,主编.神经系统磁共振诊断学[M].北京:宇航出版社 ,1990.47-50.
[2]Ray HH,Willian GB,Dar-yeong C,et al.Suspected multiple scler osis:MR imaging with a thin-section fast FLAIR pulse sequence[J].Radiology,19 95,196(2):505-510.
, 百拇医药
[3]Hajnal JV,Bryant DJ,Kasuboski L,et al.Use of fluid attenuated inversion recovery(FLAIR)pulse sequences in MRI of the brain[J].J Comput Assi st Tomogr,1992,16(6):841-844.
[4]Rydberg JN,Hammond CA,Grimm RC,et al.Initial clinical experie nce in MR imaging of the brain with a fast fluid attenuated inversion recovery p ulse sequence[J].Radiology,1994,193(1):173-177.
[5]Hajnal JV,Decoene B,Lewis PD,et al.High signal regions in nor mal white matter shown by heavily T2-weighted CSF nalled IR sequences[J].J Co mput Assist Tomogr,1992,16(4):506-513.
[6]Tourbah A,Deschamps R,Stievenant JL,et al.Magnetic resonance imaging using FLAIR pulse sequences in white matter disease[J].J Neuroradiol,1 996,23(4):217-221.
收稿日期:2000-04-13, 百拇医药