抗HBV逆转录酶杂交瘤细胞系的建立及其单克隆抗体鉴定
作者:李陕区 张惠中
单位:李陕区(第四军医大学基因诊断技术研究所,陕西 西安 710033);张惠中(第四军医大学唐都医院全军骨肿瘤研究所)
关键词:HBV;逆转录酶;杂交瘤;单克隆抗体;免疫组化
第四军医大学学报000417 摘 要: 目的 建立抗乙型肝炎病毒逆转录酶单克隆抗体杂交瘤并研究杂交瘤细胞 及抗体特性. 方法 用经原核表达的乙型肝炎病毒逆转录酶蛋白(HBV-RT)免 疫BALB/c小鼠,取其脾细胞与骨髓瘤细胞Sp2/0融合,经筛选和克隆化制备杂交瘤细胞系,然后用ELISA法筛选出阳性克隆. 最后用免疫组化ABC方法研究杂交瘤细胞分泌的单克隆抗体特性. 结果 2株能持续、稳定分泌抗体的杂交瘤细胞系,其 杂交瘤细胞经过100 d连续培养,单克隆抗体分泌稳定、特异性强、 腹水抗体效价免疫组化ABC法1∶1000. 免疫组化检测显示其相应抗原在肝炎及肝硬变组织中呈高表达(73%),正常肝组织中未见阳性反应;其抗原主要分布于细胞质内. 结论 此2株抗乙型肝炎病毒逆转录酶杂交瘤细胞分泌的单克隆抗体具有特异亲合性,它们的成功制备为研究HBV感染的早期诊断及乙肝患者的治疗奠定了基础.
, 百拇医药
中图号::R392 文献标识码:A
文章编号:1000-2790(2000)04-0446-03
Establishment of anti-HBV reverse transcriptase antibody producing hybridoma ce ll lines and characterization of their monoclonal antibodies
LI Shan-Qu
(Chinese PLA Institute of Gene Diagnostic Techniques)
ZHANG Hui-Zhong
(Institute of Orthopedics of Chinese PLA, Tangdu Hospital, Fourth Military Medical University Xi'an 710033,China)
, 百拇医药
Abstract: AIM To establish anti-HBV reverse transcriptase antibody producing hybridoma cell lines and to study the characterization of the monoclonal antibo dies. METHODS The BALB/c mice were immunized with HBV reverse transcriptase protein (HBV-RT) and the immunized mouse spleen cells were fused with SP2/0 cel l s to raise hybridomas after three times of inoculation. The positive clones of h ybridomas were screened by ELISA methods using RT protein coated 96-well plate a nd the antibodies against HBV-RT from the positive clones were further identifi e d with the immunohistochemistry method. RESULTS There were t wo hybridoma c ell lines established and both of them secreted high quality mAbs steadily and a ll cells had the characters of hybridoma. It was found that more than 73 percent specimens of HBV related liver diseases showed positive staining, while there w as no positive staining in normal hepatocytes. CONCLUSION The su ccessful gener ation of high quality hybridomas secreting anti-HBV-RT monoclonal antibodies w ill facilitate both early diagnosis and treatment of HBV infection.
, http://www.100md.com
Keywords:HBV; reverse transcriptase; hybridoma; monoclo nal antibody; immunohistochemistry
0 引言
乙型病毒性肝炎(乙肝)是由HBV感染所引起的、波及全球的传染性疾病,该病易于慢性化,并与肝癌的发生密切相关. 对乙肝的防治工作仍是医学界的一大棘手问题. 目前,有关HBV感染的诊断及治疗效果的评估方法仍主要依赖于传统的乙肝五项及近年来发展起来的PCR技术,由于上述检测指标的某些局限性而不能作为病毒感染的早期指标应用. 我们应用原核表达的HBV逆转录酶蛋白为抗原免疫鼠制备单克隆抗体,并探讨他们在HBV相关的肝脏疾病诊断中应用意义.
1 材料和方法
1.1 材料 用于免疫鼠的抗原为重组HBV-RT蛋白[1],Sp2/0骨髓瘤 细胞系我所保存传代培养,BALB/c小鼠由本校实验动物中心提供;PEG(Mr 4000),HAT,HT为Gibco产品, ELISA试剂购自华美公司,免疫组化试剂盒UltraSensitiveTMS-P Ki t购自迈新生物技术公司.
, http://www.100md.com
1.2 方法 取HBV-RT蛋白300 μg溶于0.8 mL PBS, 与等体积福氏 完 全佐剂混合,分别皮下注射免疫8 wk龄雌性BALB/c 小鼠. 间隔4 wk同剂量追加免疫1次,再 间隔4 wk后腹腔加强免疫1次,第3日取免疫脾细胞与Sp2/0骨髓瘤细胞进行融合. 取BALB/c小鼠胸腺细胞做饲养细胞铺96孔板. 取免疫小鼠,摘眼球放血并收集血清,分别摘取脾制成脾细胞悬液,将Sp2/0细胞与免疫脾细胞(1∶5)在500 g.L-1 PEG介导下融合,接种96孔板. 7~10 d后,用重组HBV-RT蛋白分别包被96孔板,ELISA方法检测阳性克隆孔,阳性克隆扩大培养后,进行有限稀释法克隆化4次,每次均以上述方法进行阳性克隆鉴定. 诱生腹水法制备mAb及抗体效价测定, 将5×106杂交瘤细胞接种于预先腹腔注射降植烷的BALB/c雌鼠腹腔,10 d后获得腹水,测定效价. 染色体检查按常规核型分析[2]进行,DNA含量以FACS(Becton Dickinson)流式细胞术分析按文献[3]进行. 免疫组化法鉴定单克隆抗体特异性. 采用免疫组化试剂盒UltraSensitiveTM S-P Kit(迈新生物技术公司)对30例乙型肝炎病毒性肝脏疾病进行石蜡切片标本进行染色,分析相应抗原的定位, 胞质或胞核呈棕色者为“+”.
, http://www.100md.com
2 结果
2.1 细胞融合与克隆化 融合细胞接种于96孔板中, 其中半数以上之孔有杂交瘤细胞克隆生长(Fig 1),经ELISA鉴定共筛选出阳性克隆4个. 进一步扩大培养并进行克隆化,4个克隆中有2个克隆细胞经4次克隆化后阳性率达100%,经过100 d连续培养,单克隆抗体的分泌持续稳定,冻存细胞复苏后仍保持抗体分泌能力.
2.2 杂交瘤细胞的鉴定 2株杂交瘤细胞核型分析染色体数为99~1 1 6条,均有端着丝粒及标志染色体(中着丝粒染色体). 流式细胞仪分析表明,2株杂交瘤细 胞DNA含量都高于Sp2/0细胞. 上述结果说明该2株杂交瘤细胞特征,其分泌的单克隆抗体分别命名为C3 mAb和G5 mAb.
2.3 单克隆抗体效价及亚类鉴定 C3 mAb及G5 mAb均为Ig G1亚类, 免疫组化染色法培养上清抗体效价为1∶100, 腹水为1∶1000.
, 百拇医药
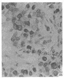
2.4 C3 mAb和G5 mAb的特异性分析 C3 mAb和G5 mAb相应 抗原在肝炎及肝硬变组织中阳性率为73%,正常肝组织中未见阳性反应. 两种抗体均以胞质染色为主(Fig 2 A,B).
图 1 HAT选择性培养5 d的杂交瘤细胞克隆
Fig 1 Hybridoma cell clone grew in HAT selecting 1640 medium 5 days post-fusing ×200

图 2 C3和G5单克隆抗体免疫组化染色
, 百拇医药
Fig 2 C3 mAb and G5mAb immunohistochemistry staining results ×400
A. The strong positive signal located in cytoplasm of hepatitis tissue stained with C3mAb; B. The strong positive signal in cytoplasm of hepatocirrhosis tissue stained with G5mAb.
3 讨论
我们应用重组表达的HBV逆转录酶蛋白免疫BALB/c小鼠后取其脾脏与Sp2/0细胞融合, 经ELISA筛选出2株分泌抗乙型肝炎病毒逆转录酶杂交瘤细胞的单克隆抗体. 实验结果为HBV-RT酶的临床检测奠定了基础,为今后HBV感染的诊断和乙肝患者治疗效果的评价提供依据. Summers 等[4]发现HBV虽为DNA病毒,但必须经过RNA中间体的逆转录复制. 最初的研究表明,这一过程需要病毒core基因及pol基因参与. HBV-pol基因编码4种蛋白,自N端起分别为末端蛋白(terminal,PT),spacer、逆转录酶(reverse transcriptase,RT)及RNA酶(RNaseH). Feitelson等[5]及Lega 等[6]分别于1988和1993年对HBV-Pol抗体及抗原 在乙肝患者血清中存在意义以及与其他HBV感染血清学检测指标之间的关系进行了比较性研究,他们的结果均表明HBV-Pol抗原及抗体可在多数HBV感染患者血清内出现,尤其是它们可以出现于其他HBV血清学指标均为阴性的HBV感染的个体血清中,提示这一指标在某些病例中可能是唯一反应HBV感染或体内HBV低水平复制的重要标记物. 我们应用抗HBV-RT酶的mAb进一步证实了这一抗原的存在与病毒复制的关系. Wang等[7]利用体外转录系统证实了HBV-Pol中的terminal蛋白在HB V负链DNA合成过程中具有重要的引物作用,其后的逆转录过程则是在pol基因编码的RT酶的作用下完成. 上述结果充分说明了HBV基因组中pol基因在该病毒生活周期中的存在意义. 阻断HBV-pol基因编码的RT酶对乙肝的防治具有重要的应用意义. 我们成功制备的抗体为进行以HBV-RT为靶蛋白的主动性免疫治疗及基因治疗奠定基础.
, http://www.100md.com
作者简介:李陕区(1960-),男(汉族), 陕西省兴平市人. 硕士, 讲师. 发表文章7篇. Tel.(029)3374772
参考文献:
[1] 张惠中,王文亮. 乙型肝炎病毒多聚酶蛋白及逆转录酶的表达研究[ J]. 第四军医大学学报,1997; 18(6): 546-548.
[2] 鄂 征. 组织培养技术[M]. 第2版. 北京: 人民卫生出版社, 1986: 236 -238.
[3] Braylan RC. Correlated analysis of cellular DNA, membrane antigens and light scatter of human lymphoid cells[J]. Cytometry, 1982;2(5):337-34 0.
, http://www.100md.com
[4] Summers J, Mason WS. Replication of the genome of a hepatitis B-l ike virus by reverse transcription of an RNA intermediate[J]. Cell, 1982;29(8):403- 415.
[5] Feitelson MA, Millman I, Duncan GD et al. Presence of antibodi es to the polymerase gene product(s)of hepatitis B and woodchuck hepatitis virus in natural and experimental infections[J]. J Med Virol, 1988;24(2):121-136.
[6] Lega L, Resti M, Rossi ME et al. Hepatitis B virus: New marker s and their immunology[J]. Pediatr Med Chir, 1993;15(1): 5-10.
[7]Wang GH,Seeger C. The reverse transcriptase of hepatitis B virus ac t s as a protein primer for viral DNA synthesis[J]. Cell, 1992; 71(11): 663- 670.
收稿日期:1999-12-08; 修回日期:1999-12-14, 百拇医药
单位:李陕区(第四军医大学基因诊断技术研究所,陕西 西安 710033);张惠中(第四军医大学唐都医院全军骨肿瘤研究所)
关键词:HBV;逆转录酶;杂交瘤;单克隆抗体;免疫组化
第四军医大学学报000417 摘 要: 目的 建立抗乙型肝炎病毒逆转录酶单克隆抗体杂交瘤并研究杂交瘤细胞 及抗体特性. 方法 用经原核表达的乙型肝炎病毒逆转录酶蛋白(HBV-RT)免 疫BALB/c小鼠,取其脾细胞与骨髓瘤细胞Sp2/0融合,经筛选和克隆化制备杂交瘤细胞系,然后用ELISA法筛选出阳性克隆. 最后用免疫组化ABC方法研究杂交瘤细胞分泌的单克隆抗体特性. 结果 2株能持续、稳定分泌抗体的杂交瘤细胞系,其 杂交瘤细胞经过100 d连续培养,单克隆抗体分泌稳定、特异性强、 腹水抗体效价免疫组化ABC法1∶1000. 免疫组化检测显示其相应抗原在肝炎及肝硬变组织中呈高表达(73%),正常肝组织中未见阳性反应;其抗原主要分布于细胞质内. 结论 此2株抗乙型肝炎病毒逆转录酶杂交瘤细胞分泌的单克隆抗体具有特异亲合性,它们的成功制备为研究HBV感染的早期诊断及乙肝患者的治疗奠定了基础.
, 百拇医药
中图号::R392 文献标识码:A
文章编号:1000-2790(2000)04-0446-03
Establishment of anti-HBV reverse transcriptase antibody producing hybridoma ce ll lines and characterization of their monoclonal antibodies
LI Shan-Qu
(Chinese PLA Institute of Gene Diagnostic Techniques)
ZHANG Hui-Zhong
(Institute of Orthopedics of Chinese PLA, Tangdu Hospital, Fourth Military Medical University Xi'an 710033,China)
, 百拇医药
Abstract: AIM To establish anti-HBV reverse transcriptase antibody producing hybridoma cell lines and to study the characterization of the monoclonal antibo dies. METHODS The BALB/c mice were immunized with HBV reverse transcriptase protein (HBV-RT) and the immunized mouse spleen cells were fused with SP2/0 cel l s to raise hybridomas after three times of inoculation. The positive clones of h ybridomas were screened by ELISA methods using RT protein coated 96-well plate a nd the antibodies against HBV-RT from the positive clones were further identifi e d with the immunohistochemistry method. RESULTS There were t wo hybridoma c ell lines established and both of them secreted high quality mAbs steadily and a ll cells had the characters of hybridoma. It was found that more than 73 percent specimens of HBV related liver diseases showed positive staining, while there w as no positive staining in normal hepatocytes. CONCLUSION The su ccessful gener ation of high quality hybridomas secreting anti-HBV-RT monoclonal antibodies w ill facilitate both early diagnosis and treatment of HBV infection.
, http://www.100md.com
Keywords:HBV; reverse transcriptase; hybridoma; monoclo nal antibody; immunohistochemistry
0 引言
乙型病毒性肝炎(乙肝)是由HBV感染所引起的、波及全球的传染性疾病,该病易于慢性化,并与肝癌的发生密切相关. 对乙肝的防治工作仍是医学界的一大棘手问题. 目前,有关HBV感染的诊断及治疗效果的评估方法仍主要依赖于传统的乙肝五项及近年来发展起来的PCR技术,由于上述检测指标的某些局限性而不能作为病毒感染的早期指标应用. 我们应用原核表达的HBV逆转录酶蛋白为抗原免疫鼠制备单克隆抗体,并探讨他们在HBV相关的肝脏疾病诊断中应用意义.
1 材料和方法
1.1 材料 用于免疫鼠的抗原为重组HBV-RT蛋白[1],Sp2/0骨髓瘤 细胞系我所保存传代培养,BALB/c小鼠由本校实验动物中心提供;PEG(Mr 4000),HAT,HT为Gibco产品, ELISA试剂购自华美公司,免疫组化试剂盒UltraSensitiveTMS-P Ki t购自迈新生物技术公司.
, http://www.100md.com
1.2 方法 取HBV-RT蛋白300 μg溶于0.8 mL PBS, 与等体积福氏 完 全佐剂混合,分别皮下注射免疫8 wk龄雌性BALB/c 小鼠. 间隔4 wk同剂量追加免疫1次,再 间隔4 wk后腹腔加强免疫1次,第3日取免疫脾细胞与Sp2/0骨髓瘤细胞进行融合. 取BALB/c小鼠胸腺细胞做饲养细胞铺96孔板. 取免疫小鼠,摘眼球放血并收集血清,分别摘取脾制成脾细胞悬液,将Sp2/0细胞与免疫脾细胞(1∶5)在500 g.L-1 PEG介导下融合,接种96孔板. 7~10 d后,用重组HBV-RT蛋白分别包被96孔板,ELISA方法检测阳性克隆孔,阳性克隆扩大培养后,进行有限稀释法克隆化4次,每次均以上述方法进行阳性克隆鉴定. 诱生腹水法制备mAb及抗体效价测定, 将5×106杂交瘤细胞接种于预先腹腔注射降植烷的BALB/c雌鼠腹腔,10 d后获得腹水,测定效价. 染色体检查按常规核型分析[2]进行,DNA含量以FACS(Becton Dickinson)流式细胞术分析按文献[3]进行. 免疫组化法鉴定单克隆抗体特异性. 采用免疫组化试剂盒UltraSensitiveTM S-P Kit(迈新生物技术公司)对30例乙型肝炎病毒性肝脏疾病进行石蜡切片标本进行染色,分析相应抗原的定位, 胞质或胞核呈棕色者为“+”.
, http://www.100md.com
2 结果
2.1 细胞融合与克隆化 融合细胞接种于96孔板中, 其中半数以上之孔有杂交瘤细胞克隆生长(Fig 1),经ELISA鉴定共筛选出阳性克隆4个. 进一步扩大培养并进行克隆化,4个克隆中有2个克隆细胞经4次克隆化后阳性率达100%,经过100 d连续培养,单克隆抗体的分泌持续稳定,冻存细胞复苏后仍保持抗体分泌能力.
2.2 杂交瘤细胞的鉴定 2株杂交瘤细胞核型分析染色体数为99~1 1 6条,均有端着丝粒及标志染色体(中着丝粒染色体). 流式细胞仪分析表明,2株杂交瘤细 胞DNA含量都高于Sp2/0细胞. 上述结果说明该2株杂交瘤细胞特征,其分泌的单克隆抗体分别命名为C3 mAb和G5 mAb.
2.3 单克隆抗体效价及亚类鉴定 C3 mAb及G5 mAb均为Ig G1亚类, 免疫组化染色法培养上清抗体效价为1∶100, 腹水为1∶1000.
, 百拇医药
2.4 C3 mAb和G5 mAb的特异性分析 C3 mAb和G5 mAb相应 抗原在肝炎及肝硬变组织中阳性率为73%,正常肝组织中未见阳性反应. 两种抗体均以胞质染色为主(Fig 2 A,B).
图 1 HAT选择性培养5 d的杂交瘤细胞克隆
Fig 1 Hybridoma cell clone grew in HAT selecting 1640 medium 5 days post-fusing ×200
图 2 C3和G5单克隆抗体免疫组化染色
, 百拇医药
Fig 2 C3 mAb and G5mAb immunohistochemistry staining results ×400
A. The strong positive signal located in cytoplasm of hepatitis tissue stained with C3mAb; B. The strong positive signal in cytoplasm of hepatocirrhosis tissue stained with G5mAb.
3 讨论
我们应用重组表达的HBV逆转录酶蛋白免疫BALB/c小鼠后取其脾脏与Sp2/0细胞融合, 经ELISA筛选出2株分泌抗乙型肝炎病毒逆转录酶杂交瘤细胞的单克隆抗体. 实验结果为HBV-RT酶的临床检测奠定了基础,为今后HBV感染的诊断和乙肝患者治疗效果的评价提供依据. Summers 等[4]发现HBV虽为DNA病毒,但必须经过RNA中间体的逆转录复制. 最初的研究表明,这一过程需要病毒core基因及pol基因参与. HBV-pol基因编码4种蛋白,自N端起分别为末端蛋白(terminal,PT),spacer、逆转录酶(reverse transcriptase,RT)及RNA酶(RNaseH). Feitelson等[5]及Lega 等[6]分别于1988和1993年对HBV-Pol抗体及抗原 在乙肝患者血清中存在意义以及与其他HBV感染血清学检测指标之间的关系进行了比较性研究,他们的结果均表明HBV-Pol抗原及抗体可在多数HBV感染患者血清内出现,尤其是它们可以出现于其他HBV血清学指标均为阴性的HBV感染的个体血清中,提示这一指标在某些病例中可能是唯一反应HBV感染或体内HBV低水平复制的重要标记物. 我们应用抗HBV-RT酶的mAb进一步证实了这一抗原的存在与病毒复制的关系. Wang等[7]利用体外转录系统证实了HBV-Pol中的terminal蛋白在HB V负链DNA合成过程中具有重要的引物作用,其后的逆转录过程则是在pol基因编码的RT酶的作用下完成. 上述结果充分说明了HBV基因组中pol基因在该病毒生活周期中的存在意义. 阻断HBV-pol基因编码的RT酶对乙肝的防治具有重要的应用意义. 我们成功制备的抗体为进行以HBV-RT为靶蛋白的主动性免疫治疗及基因治疗奠定基础.
, http://www.100md.com
作者简介:李陕区(1960-),男(汉族), 陕西省兴平市人. 硕士, 讲师. 发表文章7篇. Tel.(029)3374772
参考文献:
[1] 张惠中,王文亮. 乙型肝炎病毒多聚酶蛋白及逆转录酶的表达研究[ J]. 第四军医大学学报,1997; 18(6): 546-548.
[2] 鄂 征. 组织培养技术[M]. 第2版. 北京: 人民卫生出版社, 1986: 236 -238.
[3] Braylan RC. Correlated analysis of cellular DNA, membrane antigens and light scatter of human lymphoid cells[J]. Cytometry, 1982;2(5):337-34 0.
, http://www.100md.com
[4] Summers J, Mason WS. Replication of the genome of a hepatitis B-l ike virus by reverse transcription of an RNA intermediate[J]. Cell, 1982;29(8):403- 415.
[5] Feitelson MA, Millman I, Duncan GD et al. Presence of antibodi es to the polymerase gene product(s)of hepatitis B and woodchuck hepatitis virus in natural and experimental infections[J]. J Med Virol, 1988;24(2):121-136.
[6] Lega L, Resti M, Rossi ME et al. Hepatitis B virus: New marker s and their immunology[J]. Pediatr Med Chir, 1993;15(1): 5-10.
[7]Wang GH,Seeger C. The reverse transcriptase of hepatitis B virus ac t s as a protein primer for viral DNA synthesis[J]. Cell, 1992; 71(11): 663- 670.
收稿日期:1999-12-08; 修回日期:1999-12-14, 百拇医药