白介素8受体免疫阳性细胞在大鼠消化道的分布
作者:陈健康 朱运龙 张万会 赵玉峰 钟延清 曹云新 杨科
单位:陈健康(第四军医大学基础部:生理学教研室,陕西 西安 710033);朱运龙(第四军医大学基础部:生理学教研室,陕西 西安 710033);张万会(第四军医大学基础部:生理学教研室,陕西 西安 710033);赵玉峰(第四军医大学基础部:生理学教研室,陕西 西安 710033); 钟延清(第四军医大学基础部:生理学教研室,陕西 西安 710033);曹云新(第四军医大学基础部中心实验室,陕西 西安 710033);杨科(汉中师范学院生理学教研室)
关键词:白介素8受体;消化道;免疫组织化学技术
第四军医大学学报0004115 摘 要: 目的 观察白介素-8受体(IL-8R)免疫阳性物质在大鼠消化道的存在和 分 布. 方法 运用免疫组织化学方法对5只2~3 mo龄雄性SD大鼠胃肠道进行形态学 观察. 结果 IL-8R免疫阳性物质广泛分布于正常大鼠消 化道管壁的粘膜层内. 细胞形态不一,大部分呈柱状或锥形,散在分布于腺上皮间;部分呈 圆形或椭圆形,散在于粘膜固有层内. 结论 首次证明IL-8R分布于消化道 粘膜上皮细胞,提示IL-8在消化道局部可能具有生理调节作用.
, 百拇医药
中图号:R322.44 文献标识码:A
文章编号:1000-2790(2000)04-0440-03
Existence and distribution of IL-8R immunopositive cells in digestive tract of rats
CHEN Jian-Kang ZHU Yun-Long ZHANG Wan-Hui ZHAO Yu-Feng ZHONG Yan-Qing
(Department of Physiology,Faculty of Preclinical Me dicine,Fourth Military Medical University, Xi'an 710033, China)
CAO Yun-Xin2
, 百拇医药
(Central Laboratory, Faculty of Preclinical Me dicine,Fourth Military Medical University, Xi'an 710033, China)
WANG Yang-Ke
(Department of Physiology, Hanzhong Normal College)
Abstract: AIM To observe the distribution of interleukin-8 recept or (IL-8R) immunoreactivity in rat digestive tract. METHOD Immunohistochemica l method was u sed. RESULTS IL-8R positive cells distributed widely in gast rointestinal mu cosa and were variable in shape. Most of the cells were column-like or cone-li ke and distributed among epithelium. Part of the cells was round or elliptic in shape and inter-spersed among the lamina propria. CONCLUSION This is the first observation of the existence and distribution of IL-8R in epithelium of digestive tract, which suggests that IL-8 may possess some physiological fun ction in the local region of digestive tract.
, 百拇医药
Keywords:interleukin-8 receptor; gastrointestinal tract; immunohi stochemistry
0 引言
胃肠粘膜上皮细胞均可产生白介素8(IL-8)[1,2],IL-8的产生受到多种因素的调 节,如在慢性炎性肠病时,肠粘膜上皮细胞表达IL-8的量明显增加[3]. IL-8除 可诱导血液中的中性粒细胞向胃肠粘膜转移参与防御过程外,还可能直接作用于胃肠粘膜的 细胞,在局部起到调节作用. 为验 证IL-8在胃肠道中的局部调节作用,我们运用免疫组织化学方法对大鼠胃肠道中IL-8受体 (IL-8R)的存在和分布进行了研究,为进一步明确IL-8在胃肠道的作用提供了依据.
1 材料和方法
1.1 材料 SD大鼠5只,体质量(200±20)g,2~3 mo龄,由本校实验动物中心提供 . 免疫组化ABC试剂盒购自Sigma公司,IL-8R多克隆抗体购自Santa Cruze 公司. 其余试剂均为国内分析纯产品.
, 百拇医药
1.2 方法 上午09∶00/10∶00, 动物经10 g*L-1戊巴比妥钠 ip麻醉后,于升主动脉插管,灌注生理盐水100 mL,迅速打开腹腔取组织置于Bouin液中固 定4~6 h. 依次乙醇脱水和二甲苯透明,常规石蜡包埋. 行5 μm厚纵切片,用经10 g*L -1明胶和5 g*L-1铬明矾处理的载玻片贴片. 37℃过夜备用. 石蜡切片经二甲苯 脱蜡和系列 乙醇脱水后 ,经甲醇-H2O2封闭处理20 min,用50 mL*L-1的羊血清封闭,室温1 h. 第一 抗体为IL- 8R抗体(1∶1000),于4℃孵育48 h,ABC法反应,DAB显色. 脱水透明后,中性树胶封片. 空 白对照用抗体稀释液和正常兔血清取代第一抗体进行染色. 吸收实验用IL-8R阻断肽和IL- 8R的抗体混合后20℃孵育1 h,再行组 织片染色.
2 结果
, 百拇医药
IL-8R免疫反应阳性物质呈棕黄色,存在于细胞膜上,阳性细胞轮廓清楚,对比反差 强烈. 阴性对照和吸收对照实验均未见有阳性着色.
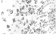
大鼠食管上、中、下各段及胃体均未见有IL-8R阳性细胞. 在大鼠胃窦可见IL-8R阳性 细胞, 主要存在于粘膜上皮(Fig 1). 自十二指肠至直肠均有IL-8R阳性细胞分布,以十二指肠分 布 最多. 在小肠各段,阳性细胞主要散在分布于粘膜肠腺上皮和绒毛上皮内,阳性细胞形态不 一,部分呈高柱状,部分呈锥形或卵圆形,部分开口于肠腔;部分阳性细胞散在于粘膜固有 层内,圆形或椭圆形(Fig 2). 在结肠的各段管壁中,IL-8R阳性细胞主要分布于粘膜的肠 腺,细胞呈圆形或椭圆形(Fig 3). 直肠中IL-8R阳性细胞与结肠中分布基本一致,阳性细 胞数目较结肠中减少(Fig 4).
图 1 大鼠胃窦IL-8R免疫阳性细胞
, 百拇医药
Fig 1 IL-8R immunopositive cells in rat antrum ABC ×40
图 2 大鼠十二指肠IL-8R免疫阳性细胞
Fig 2 IL-8R immunopositive cells in rat duodenum ABC ×40
图 3 大鼠结肠IL-8R免疫阳性细胞
Fig 3 IL-8R immunopositive cells in rat colon ABC ×40
, 百拇医药
图 4 大鼠直肠IL-8R免疫阳性细胞
Fig 4 IL-8R immunopositive cells in rat rectum ABC ×40
3 讨论
哺乳动物消化道除了其消化吸收功能外,还具有免疫功能. 人们发现IL-8在免疫功 能中 具有十分重要的作用,它与胃肠道的免疫以及消化道的病变均有一定的关系[4]. 过去研究 表明,在受到幽门螺杆菌感染时,人正常胃粘膜上皮细胞分泌IL-8的含量明显升高 [2]; 在受到细菌感染时,肠粘膜细胞同样可合成并产生IL-8[5]. 另外,一些胃肠上皮 起 源的肿瘤在生长过程中也产生IL-8[1,6]. 这些均表明IL-8与胃肠道疾病关系密 切. IL-8的作用通过其受体介导. IL-8R有IL-8RA和 IL-8RB两型,两种受体在氨基酸水平上 有7 7%同源性,均为G蛋白受体[7]. IL-8R主要分布于免疫细胞,在一些非免疫细胞如 脑星形胶质 细胞、黑素瘤细胞、上皮角质化细胞等的细胞膜上也发现有IL-8R的存在. IL-8在胃 肠 道中的表达情况的报道甚少. Roberts等[8]的研究发现5%~25%的肠上皮内淋巴细胞 (主要为T淋巴细胞)膜上存在各种不同类型的IL-8R. Roberts等是通过分离 的肠上皮内淋 巴细胞进行实验的,未能进行组织定位. 胃肠道其他细胞及部位是否表达有IL-8R未见报道 . 我们用免疫组 织化学方法观察了IL-8R免疫阳性物质在正常大鼠消化道的存在和分布,结果表明在正常大 鼠胃窦、十二指肠、小肠、结肠、直肠的粘膜上均存在IL-8R免疫阳性物质. 阳性细胞形态 不一,部分为圆形或椭圆形,可能是肠上皮内淋巴细胞;另一部分呈高柱形或锥形,其存在 部位、分布及形态类似肠上皮的柱状细胞或杯状细胞,也可能是内分泌细胞,其明确的细胞 类型仍须进一步证实.
, 百拇医药
我们以往的实验发现IL-8样免疫阳性物质存在于正常大鼠胃窦、幽门、十二指肠的粘 膜,小 肠和结肠的粘膜固有层及肠腺细胞内,尤以胃窦与十二指肠为多. 在消化道其他部位未见有 阳性细胞[9]. 我们观察到的IL-8R阳性细胞与IL-8样阳性细胞的分布及细胞形态 基本一致,表明IL-8在胃肠道可能以自分泌或旁分泌方式起作用. IL-8的主要生物活性为趋化和激活中性粒细胞及其他免疫细胞,在炎症反应中有一定意义 , 其趋化外作用已为人们所熟识. 另外已发现IL-8具有促进血管发生、促黑素瘤细胞生长、 促 进垂体激素分泌、促皮肤伤口愈合等作用[10]. IL-8在正常大鼠胃肠粘膜上皮细 胞上的存在 ,提示胃肠道细胞合成分泌IL-8对中性粒细胞等具有趋化和激活作用外,还可能以自分泌 或 旁分泌方式调节胃肠道上皮细胞的功能或参与杯状细胞或内分泌细胞的分泌活动,在胃肠道 中起局部调节作用.
作者简介:陈健康(1956-),男(汉族),陕西省城固县人. 实验师,发表论文3篇 . Tel.(029)3374766
, 百拇医药
参考文献:
[1] Kelly CP, Keates S, Siegenberg D et al. IL-8 secretion and neutrophil activat ion by HT-29 colonic epithelial cells[J]. Am J Physiol, 1994; 267(6 Pt 1 ): G991-G997.
[2] Ogura K, Takahashi M, Maeda S et al. Interleukin-8 production in primary cult ures of human gastric epithelial cells induced by helicobacter pylori[J]. Di g Dis Sci, 1998; 43(12): 2738-2743.
[3] Nielsen OH, Rudiger N, Gaustadnes M et al. Intestinal interleu kin-8 concentration and gene expression in inflammatory bowel disease[J]. Scand J gastroenterol, 1997; 32(10): 1028-1034.
, http://www.100md.com
[4] Kmiec Z. Cytokines in inflammatory bowel disease[J]. Arch Immu nol Ther Exp(Warsz), 1998; 46(3): 143-155.
[5] Eckmann L, Kagnoff MF, Fierer J. Epithelial cells secrete the chem okine inte rleukin-8 in response to bacterial entry[J]. Infect Immun, 1993; 61(11): 4569-4574.
[6] Masamune A, Shimosegawa T, Masamune O. Helicobacter pylori-depend ent ceramide production may mediate increased interleukin 8 expression in human gastric canc er cell lines[J]. Gastroenterology, 1999; 116(6): 1330-1341.
, 百拇医药
[7] Suetomi K, Lu Z, Heck T et al. Differential mechanisms of reco gnition and act ivation of interleukin-8 receptor subtypes[J]. J Biol Chem, 1999; 274(17) : 11768-11772.
[8] Roberts AI, Bilenker M, Ebert EC. Intestinal intraepithelial lym phocytes have a promiscuous interleukin-8 receptor[J]. Gut, 1997;40(3): 333-338.
[9] 张庆红,梅 琦,朱运龙. 大鼠脑和消化道内白细胞介素8样免疫反应阳性 细胞的分布[J]. 第四军医大学学报,1996;17(4):271-273.
[10] Kemeny L, Ruzicka T, Dobozy A et al. Role of interleukin-8 receptor in skin[J]. Int Arch Allergy Immunol, 1994;104(4): 317-322.
收稿日期:1999-10-26; 修回日期:1999-12-14, 百拇医药
单位:陈健康(第四军医大学基础部:生理学教研室,陕西 西安 710033);朱运龙(第四军医大学基础部:生理学教研室,陕西 西安 710033);张万会(第四军医大学基础部:生理学教研室,陕西 西安 710033);赵玉峰(第四军医大学基础部:生理学教研室,陕西 西安 710033); 钟延清(第四军医大学基础部:生理学教研室,陕西 西安 710033);曹云新(第四军医大学基础部中心实验室,陕西 西安 710033);杨科(汉中师范学院生理学教研室)
关键词:白介素8受体;消化道;免疫组织化学技术
第四军医大学学报0004115 摘 要: 目的 观察白介素-8受体(IL-8R)免疫阳性物质在大鼠消化道的存在和 分 布. 方法 运用免疫组织化学方法对5只2~3 mo龄雄性SD大鼠胃肠道进行形态学 观察. 结果 IL-8R免疫阳性物质广泛分布于正常大鼠消 化道管壁的粘膜层内. 细胞形态不一,大部分呈柱状或锥形,散在分布于腺上皮间;部分呈 圆形或椭圆形,散在于粘膜固有层内. 结论 首次证明IL-8R分布于消化道 粘膜上皮细胞,提示IL-8在消化道局部可能具有生理调节作用.
, 百拇医药
中图号:R322.44 文献标识码:A
文章编号:1000-2790(2000)04-0440-03
Existence and distribution of IL-8R immunopositive cells in digestive tract of rats
CHEN Jian-Kang ZHU Yun-Long ZHANG Wan-Hui ZHAO Yu-Feng ZHONG Yan-Qing
(Department of Physiology,Faculty of Preclinical Me dicine,Fourth Military Medical University, Xi'an 710033, China)
CAO Yun-Xin2
, 百拇医药
(Central Laboratory, Faculty of Preclinical Me dicine,Fourth Military Medical University, Xi'an 710033, China)
WANG Yang-Ke
(Department of Physiology, Hanzhong Normal College)
Abstract: AIM To observe the distribution of interleukin-8 recept or (IL-8R) immunoreactivity in rat digestive tract. METHOD Immunohistochemica l method was u sed. RESULTS IL-8R positive cells distributed widely in gast rointestinal mu cosa and were variable in shape. Most of the cells were column-like or cone-li ke and distributed among epithelium. Part of the cells was round or elliptic in shape and inter-spersed among the lamina propria. CONCLUSION This is the first observation of the existence and distribution of IL-8R in epithelium of digestive tract, which suggests that IL-8 may possess some physiological fun ction in the local region of digestive tract.
, 百拇医药
Keywords:interleukin-8 receptor; gastrointestinal tract; immunohi stochemistry
0 引言
胃肠粘膜上皮细胞均可产生白介素8(IL-8)[1,2],IL-8的产生受到多种因素的调 节,如在慢性炎性肠病时,肠粘膜上皮细胞表达IL-8的量明显增加[3]. IL-8除 可诱导血液中的中性粒细胞向胃肠粘膜转移参与防御过程外,还可能直接作用于胃肠粘膜的 细胞,在局部起到调节作用. 为验 证IL-8在胃肠道中的局部调节作用,我们运用免疫组织化学方法对大鼠胃肠道中IL-8受体 (IL-8R)的存在和分布进行了研究,为进一步明确IL-8在胃肠道的作用提供了依据.
1 材料和方法
1.1 材料 SD大鼠5只,体质量(200±20)g,2~3 mo龄,由本校实验动物中心提供 . 免疫组化ABC试剂盒购自Sigma公司,IL-8R多克隆抗体购自Santa Cruze 公司. 其余试剂均为国内分析纯产品.
, 百拇医药
1.2 方法 上午09∶00/10∶00, 动物经10 g*L-1戊巴比妥钠 ip麻醉后,于升主动脉插管,灌注生理盐水100 mL,迅速打开腹腔取组织置于Bouin液中固 定4~6 h. 依次乙醇脱水和二甲苯透明,常规石蜡包埋. 行5 μm厚纵切片,用经10 g*L -1明胶和5 g*L-1铬明矾处理的载玻片贴片. 37℃过夜备用. 石蜡切片经二甲苯 脱蜡和系列 乙醇脱水后 ,经甲醇-H2O2封闭处理20 min,用50 mL*L-1的羊血清封闭,室温1 h. 第一 抗体为IL- 8R抗体(1∶1000),于4℃孵育48 h,ABC法反应,DAB显色. 脱水透明后,中性树胶封片. 空 白对照用抗体稀释液和正常兔血清取代第一抗体进行染色. 吸收实验用IL-8R阻断肽和IL- 8R的抗体混合后20℃孵育1 h,再行组 织片染色.
2 结果
, 百拇医药
IL-8R免疫反应阳性物质呈棕黄色,存在于细胞膜上,阳性细胞轮廓清楚,对比反差 强烈. 阴性对照和吸收对照实验均未见有阳性着色.
大鼠食管上、中、下各段及胃体均未见有IL-8R阳性细胞. 在大鼠胃窦可见IL-8R阳性 细胞, 主要存在于粘膜上皮(Fig 1). 自十二指肠至直肠均有IL-8R阳性细胞分布,以十二指肠分 布 最多. 在小肠各段,阳性细胞主要散在分布于粘膜肠腺上皮和绒毛上皮内,阳性细胞形态不 一,部分呈高柱状,部分呈锥形或卵圆形,部分开口于肠腔;部分阳性细胞散在于粘膜固有 层内,圆形或椭圆形(Fig 2). 在结肠的各段管壁中,IL-8R阳性细胞主要分布于粘膜的肠 腺,细胞呈圆形或椭圆形(Fig 3). 直肠中IL-8R阳性细胞与结肠中分布基本一致,阳性细 胞数目较结肠中减少(Fig 4).
图 1 大鼠胃窦IL-8R免疫阳性细胞
, 百拇医药
Fig 1 IL-8R immunopositive cells in rat antrum ABC ×40
图 2 大鼠十二指肠IL-8R免疫阳性细胞
Fig 2 IL-8R immunopositive cells in rat duodenum ABC ×40
图 3 大鼠结肠IL-8R免疫阳性细胞
Fig 3 IL-8R immunopositive cells in rat colon ABC ×40
, 百拇医药
图 4 大鼠直肠IL-8R免疫阳性细胞
Fig 4 IL-8R immunopositive cells in rat rectum ABC ×40
3 讨论
哺乳动物消化道除了其消化吸收功能外,还具有免疫功能. 人们发现IL-8在免疫功 能中 具有十分重要的作用,它与胃肠道的免疫以及消化道的病变均有一定的关系[4]. 过去研究 表明,在受到幽门螺杆菌感染时,人正常胃粘膜上皮细胞分泌IL-8的含量明显升高 [2]; 在受到细菌感染时,肠粘膜细胞同样可合成并产生IL-8[5]. 另外,一些胃肠上皮 起 源的肿瘤在生长过程中也产生IL-8[1,6]. 这些均表明IL-8与胃肠道疾病关系密 切. IL-8的作用通过其受体介导. IL-8R有IL-8RA和 IL-8RB两型,两种受体在氨基酸水平上 有7 7%同源性,均为G蛋白受体[7]. IL-8R主要分布于免疫细胞,在一些非免疫细胞如 脑星形胶质 细胞、黑素瘤细胞、上皮角质化细胞等的细胞膜上也发现有IL-8R的存在. IL-8在胃 肠 道中的表达情况的报道甚少. Roberts等[8]的研究发现5%~25%的肠上皮内淋巴细胞 (主要为T淋巴细胞)膜上存在各种不同类型的IL-8R. Roberts等是通过分离 的肠上皮内淋 巴细胞进行实验的,未能进行组织定位. 胃肠道其他细胞及部位是否表达有IL-8R未见报道 . 我们用免疫组 织化学方法观察了IL-8R免疫阳性物质在正常大鼠消化道的存在和分布,结果表明在正常大 鼠胃窦、十二指肠、小肠、结肠、直肠的粘膜上均存在IL-8R免疫阳性物质. 阳性细胞形态 不一,部分为圆形或椭圆形,可能是肠上皮内淋巴细胞;另一部分呈高柱形或锥形,其存在 部位、分布及形态类似肠上皮的柱状细胞或杯状细胞,也可能是内分泌细胞,其明确的细胞 类型仍须进一步证实.
, 百拇医药
我们以往的实验发现IL-8样免疫阳性物质存在于正常大鼠胃窦、幽门、十二指肠的粘 膜,小 肠和结肠的粘膜固有层及肠腺细胞内,尤以胃窦与十二指肠为多. 在消化道其他部位未见有 阳性细胞[9]. 我们观察到的IL-8R阳性细胞与IL-8样阳性细胞的分布及细胞形态 基本一致,表明IL-8在胃肠道可能以自分泌或旁分泌方式起作用. IL-8的主要生物活性为趋化和激活中性粒细胞及其他免疫细胞,在炎症反应中有一定意义 , 其趋化外作用已为人们所熟识. 另外已发现IL-8具有促进血管发生、促黑素瘤细胞生长、 促 进垂体激素分泌、促皮肤伤口愈合等作用[10]. IL-8在正常大鼠胃肠粘膜上皮细 胞上的存在 ,提示胃肠道细胞合成分泌IL-8对中性粒细胞等具有趋化和激活作用外,还可能以自分泌 或 旁分泌方式调节胃肠道上皮细胞的功能或参与杯状细胞或内分泌细胞的分泌活动,在胃肠道 中起局部调节作用.
作者简介:陈健康(1956-),男(汉族),陕西省城固县人. 实验师,发表论文3篇 . Tel.(029)3374766
, 百拇医药
参考文献:
[1] Kelly CP, Keates S, Siegenberg D et al. IL-8 secretion and neutrophil activat ion by HT-29 colonic epithelial cells[J]. Am J Physiol, 1994; 267(6 Pt 1 ): G991-G997.
[2] Ogura K, Takahashi M, Maeda S et al. Interleukin-8 production in primary cult ures of human gastric epithelial cells induced by helicobacter pylori[J]. Di g Dis Sci, 1998; 43(12): 2738-2743.
[3] Nielsen OH, Rudiger N, Gaustadnes M et al. Intestinal interleu kin-8 concentration and gene expression in inflammatory bowel disease[J]. Scand J gastroenterol, 1997; 32(10): 1028-1034.
, http://www.100md.com
[4] Kmiec Z. Cytokines in inflammatory bowel disease[J]. Arch Immu nol Ther Exp(Warsz), 1998; 46(3): 143-155.
[5] Eckmann L, Kagnoff MF, Fierer J. Epithelial cells secrete the chem okine inte rleukin-8 in response to bacterial entry[J]. Infect Immun, 1993; 61(11): 4569-4574.
[6] Masamune A, Shimosegawa T, Masamune O. Helicobacter pylori-depend ent ceramide production may mediate increased interleukin 8 expression in human gastric canc er cell lines[J]. Gastroenterology, 1999; 116(6): 1330-1341.
, 百拇医药
[7] Suetomi K, Lu Z, Heck T et al. Differential mechanisms of reco gnition and act ivation of interleukin-8 receptor subtypes[J]. J Biol Chem, 1999; 274(17) : 11768-11772.
[8] Roberts AI, Bilenker M, Ebert EC. Intestinal intraepithelial lym phocytes have a promiscuous interleukin-8 receptor[J]. Gut, 1997;40(3): 333-338.
[9] 张庆红,梅 琦,朱运龙. 大鼠脑和消化道内白细胞介素8样免疫反应阳性 细胞的分布[J]. 第四军医大学学报,1996;17(4):271-273.
[10] Kemeny L, Ruzicka T, Dobozy A et al. Role of interleukin-8 receptor in skin[J]. Int Arch Allergy Immunol, 1994;104(4): 317-322.
收稿日期:1999-10-26; 修回日期:1999-12-14, 百拇医药