生物可吸收材料L/DL-聚乳酸的生物相容性及体内降解
作者:陈宇轩 吕春堂 雷德林 周树夏 熊成东
单位:陈宇轩(第四军医大学秦都口腔医学院颌面外科 陕西 西安 710033);雷德林(第四军医大学秦都口腔医学院颌面外科 陕西 西安 710033);周树夏(第四军医大学秦都口腔医学院颌面外科 陕西 西安 710033);吕春堂(第二军医大学长海医 院口腔颌面外科);熊成东(中科 院成都有机化学研究所高分子室 四川 成都 610000)
关键词:生物相容性;生物降解;;聚乳酸;;可吸收材料
第四军医大学学报000409 摘 要:目的 研究L/DL-聚乳酸的生物相容性和生物降解情况,探讨其体内降解 机制. 方法 共28个试件分7组随机植入7只新西兰大白兔脊柱两侧皮下. 于术后2,4,8,12,16,20, 24 wk取出. 软组织包膜进行组织学、透射电镜观察. 试件测量分子质量、质量、弯曲强度 及 其变化率. 结果 植入物在初期有轻度炎症反应,12 wk后炎症反应基本消失 ,未见巨噬细胞积 聚现象. 至24 wk时材料产生的难于降解的微粒很少. L/DL-聚乳酸在体内早期分子质量下 降显 著,而吸收不明显. 伴随分子质量的降解有弯曲强度的相应降低. 结论 L/D L-聚乳酸具有良好的生物相容性,较适宜的降解性能及较高的机械强度,是一种有前途的 颌面部骨折内固定材料.
, 百拇医药
中图号::R318.08 文献标识码:A
文章编号:1000-2790(2000)04-0417-04
Biocompatibility and biodegradation of absorbable material of poly (L/DL-Lactid e) in vivo
CHEN Yu-Xuan, LEI De-Lin, ZHOU Shu-Xia
(Department of Maxillofacial Surgery, Qindu Stomatological College, Fourth Military Medical University, Xi'an 710033, China)
LU Chun-Tang
, 百拇医药
(Department of Maxill ofacial Surgery, Changhai Hospital, Second Military Medical university)
XIONG Chen g-Dong
(Polymer Laboratory Chengdu Institute of Organic Chemistry, Chinese Academy of Sciences Chengdu 610000)
Abstract: AIM To investigate the biodegradability and biocompatibility of poly (L/DL-Lactide) in vivo. METHODS A total of 28 samples of poly (L/DL-Lactide) plates, which were developed for internal fixation of fractures, were implanted in the subcutaneous tissue of 7 rabbits. The follow-up times were 2, 4, 8, 12, 1 6, 20 and 24 weeks, after which mechanical and histological examinations were ta k en to study the surrounding tissue reaction, degradation and resorption. R ESULTS ①The present results demonstrated that poly (L/DL-Lactide) had a mild inflam m atory reaction in the early days of grafting, and after 12 weeks the inflammatio n basically subsided. A few smaller particles of polymer could be detected by tr ansmission electron microscopy. ②It was shown that first there was a degradatio n of large molecule of poly (L/DL-Lactide), followed by absorption. Although th e plates became increasingly fragile as they degraded, they retained 57.64% of i t s initial bending strength after four weeks. Loss of mass of the plates was 36.0 4% after 24 weeks in vivo. CONCLUSION Poly (L/DL-Lactide ) is a biodegradable , biocompatible material and has better mechanical properties. It is worth furth er medical research and surgical application in oral and maxillofacial surgery.
, 百拇医药
Keywords:biocompatibility; biodegradation; polylactic ac id; absorbable material
0 引言
传统的骨折内固定物以金属材料为主, 金属固定物保留在体内常有有害作用, 其中最主要 的是应力摭挡和腐蚀释放金属离子,导致骨质疏松等并发症. 在颌面外科应用时固定物表浅 ,加重了患者的心理负担,有些需要二次手术拆除. 生物可吸收内固定装置由于其模量、强 度与人体周围组织相匹配,并且在一定时期内降解吸收,从而避免了这类问题的发生. 近年 来,可吸收内固定物的发展迅速,在国外已应用于临床[1]. 国内尚处于实验研究 阶段. 我们用国产L/DL-聚乳酸[P(L/DL)LA]材料进行动物体内生物相容性及降解研究 ,以评价该材料的应用前景.
1 材料和方法
, 百拇医药
1.1 材料 中科院成都有机化学研究所高分子室提供的由700 mL.L-1 L 型乳酸与300 mL.L-1 DL型乳酸 经开环聚合合成的P(L/DL)LA板材,制备成25.0 mm×6.5 mm×2.0 mm条状试件. 质量300 ~400 mg. 健康新西兰大白兔7只(本校实验动物中心提供). 雌雄不限,体 质量1.5~2 kg.
1.2 方法 兔经25 g.L-1巴比妥钠按1 mg.kg-1耳缘静脉麻醉后,于无菌条件下将 28个试件分 7组随机植入7只兔脊柱两侧皮下组织中. 每只兔共植入4个试件,脊柱每侧各2个[2] . 于2,4,8,12,16及24 wk按预定分组取材,包括试件和纤维包膜. ①切取小块软组织 行电镜观察. ②剩余软组织常规HE染色,光镜下观察一般组织情况,纤维包膜形态,并 测量纤维包膜厚度. 聚乳酸试件进行大体形态及色泽观察后清洗干净,放入50 mL含胶原酶5×104 IU.L -1 PBS溶液中2 d ,消化残留组织,真空干燥样品. ①电子分析天平称质量,记录质量变化及吸收率. ② 采用岛津AG-5000A型电子万能实验机进行弯曲强度测定,测试条件为:弯曲试验加载速度1 0 mm.min-1,跨度20 mm. ③以四氢呋喃为溶剂,Waters公司产150ALC/GPC仪测定 聚乳酸的平均分子质量,记录分子质量变化并计算生物降解率.
, http://www.100md.com
2 结果
所有动物均成活,未见过敏、中毒及热源反应. 手术伤口愈合良好,未见 感染及窦道产生. 术后2 wk,试件形态无变化,透明度稍有降低. 4 wk,试件透明度呈不均匀降低,形态仍 无 变化. 8 wk,试件呈不均匀乳白色,表面光洁度下降. 12 wk,试件仍完整,呈乳白色,表 面 有点凹状吸收,边角变圆钝. 16 wk,试件变形,脆性较大,易折断. 20~24 wk,试件呈 白垩色,取出时已断裂.
2.1 光镜观察 植入2 wk,纤维包膜厚而疏松,界线不清,可见较多的炎细 胞浸润, 以中性粒细胞和淋巴细胞为主,伴有少量巨噬细胞. 4 wk组胶原纤维仍较疏松,可见大量成 纤维细胞. 炎细胞数量较2 wk组减少,淋巴细胞较多. 8 wk组,炎细胞数量进一步减少,以 淋巴细胞为主. 12 wk胶原纤维致密变薄,成纤维细胞减少,只见少量淋巴细胞. 16~20 wk,纤维包膜进一步变薄,胶原纤维成熟. 24 wk时,纤维包膜菲薄,仅由3~4层细胞组成 ,炎细胞偶见(Fig 1). 各组切片均未见组织变性. 坏死和异常增生. 无巨噬细胞大量积聚 现象. 各 时间组纤维包膜厚度与每高倍镜视野炎细胞数量见Tab 1;二者呈显著正相关(r=0.977 ,P<0.01).
, 百拇医药
表 1 植入样品炎性反应程度
Tab 1 Degree of inflammatory reaction of inplanted samples (n=4,
±s) t/wk
d(wrap film)/μm
N(inflammatory cell)/HP-1
2
222±42
80.5±16.3
4
207±50
, 百拇医药
60.3± 8.5
8
126±42
44.7±12.5
12
67±12a
9.3± 1.5b
16
58±12
3.2± 1.9
20
35±30
, 百拇医药
1.2± 1.0
24
16±11
0.2± 0.5
aP<0.01,bP<0.01 vs 2 wk. 2.2 电镜观察 2~8 wk取材样品炎细胞较多,血管丰富,胶原 纤维较疏松,可见 较多活跃的成纤维细胞,细胞核常染色质丰富,粗面内质网扩张. 无变性及退变细胞,未见 到核固缩或细胞器消失现象. 在12~20 wk时胶原纤维排列致密,周期横纹明显,细胞成分 较少. 于胶原纤维间可见少量密度均匀,呈圆形,方形或棱形的可吸收物降解. 吞噬颗粒的 成纤维细胞有坏死崩解现象. 在24 wk标本中,偶见含降解颗粒的多核巨细胞(Fig 2). 无 巨噬细胞积聚现象.
2.3 试件变化 试件称质量结果表明,各时间组聚乳酸试件 均 有质量减轻现象,其质量吸收较平缓,至16 wk有较快上升峰,至24 wk吸收达16%(Fig 3). L/DL-聚乳酸分子质量变化在早期下降较快,至12 wk时趋于缓和, 至24 wk,分子质量下降 达92%(Fig 4). 与分子质量降解相对应,其机械弯曲强度在早期下降较快,2 wk降为91%,4 wk为58%,8 wk为34%.
, http://www.100md.com
3 讨论
3.1 P(L/DL)LA的生物相容性 动物皮下植入试验是目前国际 上通用的评价医用材料对组织毒性刺激的一种重要的体内试验方法. 聚乳酸是一种无毒、无抗原的医用高分子材料. 本实验将P(L/DL)A埋植于兔子皮下24 wk ,所有动物生存状态及生长良好,无全身及局部并发症. 通过组织学观察,组织对P(L/DL )LA的反应符合一般生物相容性材料的组织反应. 植入2 wk,组织反应处于急性炎症反应的 末期和慢性炎症反应的进行期. 12 wk,炎细胞数目和包膜厚度明显降低,炎症反应明显减 轻. 之后,包膜继续变薄并纤维 化. 24 wk包膜厚度已降到(16±11)μm,明显低于美国材料试验学会(ASTM-F4) 提出的植入兔体或犬体内6 mo,包膜厚度<30 μm的要求,具有良好的生物相容性. 可吸收材料在降解的最后阶段产生难于降解的<70 μm微粒,具有巨噬细胞 趋化作用,引起无菌性炎症反应[3]. 徐又佳等[4]在研究自身加强聚乙醇 酸(SR-PGA)在体 内降解过程中发现,在6~8 wk的取材样品中,可见大量可吸收材料的降解颗粒存在. 12~24 wk还可见到大量胞质中含降解颗粒的吞噬细胞,部分细胞核固缩. 本实验仅在12~24 wk发现极少量的降解颗粒. 我们认为,P(L/DL)LA不含编织纤维,且晶体含量较低,因 而释放的难于降解的微粒很少,不足以引起大量吞噬细胞的积聚而引起并发症.
, http://www.100md.com
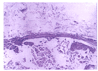
图 1 P(L/DL)LA-聚乳酸材料植入24 wk纤维包膜形态
Fig 1 Photomicrograph of fibrous membrane, P(L/DL)LA implanted after 24 wk HE ×100
图 2 巨噬细胞中P(L/DL)LA降解微粒
Fig 2 P(L/DL)LA degraded particles in phagocytes SEM ×20000
图 3 P(L/DL)LA植入时间与吸收率
Fig 3 Absorbance and the time after P(L/DL) LA implanted
, 百拇医药
图 4 P(L/DL)LA植入时间与相对分子质量
Fig 4 Molecular mass and the time after P(L/DL) LA implanted
3.2 P(L/DL)LA的体内降解与吸收 P(L/DL) )LA埋植于兔体内,分子质量早期显著下降,后期则趋于平缓. 这一规律表明其降解机制主 要是酯键的水解进行,表明聚乳酸中的酯键断裂. 分子链上酯键的断裂是随意的,共聚物中 每个酯键都可能被水解,在早期,P(L/DL)LA的分子链长,被水解的部位多,分子质量 的降低快. 关于聚酯类材料的降解 ,有研究发现还存在羧基自催化效应[5],认为聚乳酸材料在水解时生成了酸性的 端羧基,由 于聚乳酸材料的非亲水性和材料交联结构或材料本身高分子质量时的分子链高度缠结成端羧 基 在材料中不会马上被排除,积累的端羧基会加速材料的降解,从而产生自催化效应. 本实验 P(L/DL)LA在前4 wk内相对分子质量从7.0×105降至4.5×105,降解速率为35%. 4~8 wk内 相对分子质量由4.5×105降到2.5×105,降解速率为43%. 如只有水解机制,随降解时 间的延长,分子质 量 降解的速度应越来越慢,但在4~8 wk时,分子质量的降解有一个加速的阶段,至8 wk以后 开始减慢,说明材料在降解时有自催化现象存在的可能性. 有研究认为,体内巨噬细胞可吞噬清除共聚物周围已降解的小分子碎片,使其质量丧失加快 ;同时体内酶的特异性作用,也可能是材料降解重要因素[6]. 本实验在8 wk以后 吸收较快时 期并未见到大量吞噬细胞,可见细胞吞噬现象并不是降解吸收过程中的重要因素. 我们发现在植入材料2~8 wk时,炎症反应较重. 酶的大量 释放可能会对材料的降解产生一些影响. 目前对酶调节聚合物的生物降解作用仍有争议,有 待进一步研究. P(L/DL)LA植入早期在分子质量大量降解时质量丧失不明显,主要是因为只有当P(L/DL )LA 降解成能溶于介质的小分子时,才发生失重,而此时分子质量的减小已相当明显. 阮狄克等 [7]在对PDLLA降解性研究中也有同样报道.
, 百拇医药
3.3 P(L/DL)LA的机械强度变化 机械性能是可吸收 接骨材料的一个重要指标. 本结果 显示,P(L/DL)LA板材的机械性能与人体骨的机械性能相接近,其机械强度的丧失和分 子质量的降解基本是同步的(r=0.9860). 在聚乳酸分子质量大量降解的同时,机械强 度 丧失较快. 有研究表明,人皮质骨的极限压缩强度在120~ 210 MPa. 人股骨的弯曲强度平均 值为170 MPa. 虽然P(L/DL)LA有160 MPa的初始弯曲强度,但因其强度丧失较快,用为 固定四肢长管状骨等受力部位的骨折,强度显然是不够的. 但对于血运丰富,愈合及改建均 快的下颌骨骨折来说,作为内固定材料是可行的. 与胫骨相比,下颌骨外骨痂出现的时间早 ,体积 小,骨折线提前消失. 在原始骨痂形成前期,下颌骨与胫骨愈合无差异. 随着愈合进展,下 颌骨由于血运好,应力低,骨折段移位小,愈合比胫骨快. 由于断裂骨骼在愈合过程中仅需 要暂时性的帮助,并且在骨折固定期间,还可以通过适当控制饮食来降低下颌骨所承受的力 量,因而认为P(L/DL)LA有足够的强度固定下颌骨骨折. 聚乳酸为半结晶聚合物,有4种异构体. 其中外消旋DL-聚乳酸(PDLLA)为非晶态,强度低 ,降解较快. L-聚乳酸(PLLA)结晶较高,在体内降解慢[8]. 国外合成的PLLA强 度较高,但由于结晶度高,降解吸收非常缓慢,有人完全吸收需5~6 a[8]. 过长的 降解吸收 时间不但对骨折愈合已无任何意义,反而会增加炎症反应的发生率. 我们 所用P(L/DL)LA结晶度低于PDLLA,表现为亲水性增加, 降 解加快.其弯曲强度的保持率2 wk为89%,至术后8 wk仍有初始强度的34%,高于PDLLA [6]. 因而用于颌面部骨折的治疗更安全.
, 百拇医药
基金项目:军队“九五”指令性课题(96L047)
作者简介:陈宇轩(1968-),男(汉族),山西省阳泉市人. 硕士生(导师吕 春堂). 现在解放军252医院口腔科工作,河北 保定 071000. Tel.(0312)2024638
参考文献:
[1] 刘亚波,荣国威.可吸收内固定物在松质骨骨折中的应用[J]. 中 华外科杂志,1995;33(1):51-53.
[2] Matsusue Y, Yamamuro T, Ikada Y.Tissue reaction of bioabsorbable ultra high strength poly (l-laction) rod[J]. Clin Orthop,1995;317:246-253 .
, 百拇医药 [3] Bergsma JE, Rozema FR, Bos RRM et al. Biocompatibility of as- polymerized poly(l-lactide) in rats using a cage implant system[J]. J Biomed Mater Res , 1995;29(2):173-179.
[4] 徐又佳,郑祖根,王晓东et al. 骨折愈合中可吸收固定材料降解过程 的超微结构观察[J].骨与关节损伤杂志, 1997;12(6):323-325.
[5] Chu CC. The effect of on the in vitro degradation of poly(glyc olidelatide) coplymer absorbable sutures[J]. J Biomed Mater Res, 1982,16(2):117-124.
, http://www.100md.com
[6] Vasenius J, Vainionpaa S, Vihtonen K et al. Comparison of in vitro hydrolysi s, subcutaneous and intramedullary implantation to evaluate the strength retenti on of absorbable osteosynthesis implants[J]. Biomaterials, 1990;11(7):501- 505.
[7] 阮狄克,沈根标,邹宏思 et al. 可吸收聚乳酸植入材料的实验观察[ J]. 中华骨科杂志,1994;14(6):370-373.
[8] Leray B, Chabot F, Vert M. Bioresorbability and biocompatibility o f aliphatic polyestes[J]. J Mater Sci, 1992;6(5):432.
[9] Sunronen R, Pobjonen T, Hietanen J et al. A5-year in vit ro and in viv o study of the biodegradation of polylactide plate[J]. J Oral Maxillofac S urg, 1998;26(5):604-614.
收稿日期:1999-04-19; 修回日期:1999-07-10, http://www.100md.com
单位:陈宇轩(第四军医大学秦都口腔医学院颌面外科 陕西 西安 710033);雷德林(第四军医大学秦都口腔医学院颌面外科 陕西 西安 710033);周树夏(第四军医大学秦都口腔医学院颌面外科 陕西 西安 710033);吕春堂(第二军医大学长海医 院口腔颌面外科);熊成东(中科 院成都有机化学研究所高分子室 四川 成都 610000)
关键词:生物相容性;生物降解;;聚乳酸;;可吸收材料
第四军医大学学报000409 摘 要:目的 研究L/DL-聚乳酸的生物相容性和生物降解情况,探讨其体内降解 机制. 方法 共28个试件分7组随机植入7只新西兰大白兔脊柱两侧皮下. 于术后2,4,8,12,16,20, 24 wk取出. 软组织包膜进行组织学、透射电镜观察. 试件测量分子质量、质量、弯曲强度 及 其变化率. 结果 植入物在初期有轻度炎症反应,12 wk后炎症反应基本消失 ,未见巨噬细胞积 聚现象. 至24 wk时材料产生的难于降解的微粒很少. L/DL-聚乳酸在体内早期分子质量下 降显 著,而吸收不明显. 伴随分子质量的降解有弯曲强度的相应降低. 结论 L/D L-聚乳酸具有良好的生物相容性,较适宜的降解性能及较高的机械强度,是一种有前途的 颌面部骨折内固定材料.
, 百拇医药
中图号::R318.08 文献标识码:A
文章编号:1000-2790(2000)04-0417-04
Biocompatibility and biodegradation of absorbable material of poly (L/DL-Lactid e) in vivo
CHEN Yu-Xuan, LEI De-Lin, ZHOU Shu-Xia
(Department of Maxillofacial Surgery, Qindu Stomatological College, Fourth Military Medical University, Xi'an 710033, China)
LU Chun-Tang
, 百拇医药
(Department of Maxill ofacial Surgery, Changhai Hospital, Second Military Medical university)
XIONG Chen g-Dong
(Polymer Laboratory Chengdu Institute of Organic Chemistry, Chinese Academy of Sciences Chengdu 610000)
Abstract: AIM To investigate the biodegradability and biocompatibility of poly (L/DL-Lactide) in vivo. METHODS A total of 28 samples of poly (L/DL-Lactide) plates, which were developed for internal fixation of fractures, were implanted in the subcutaneous tissue of 7 rabbits. The follow-up times were 2, 4, 8, 12, 1 6, 20 and 24 weeks, after which mechanical and histological examinations were ta k en to study the surrounding tissue reaction, degradation and resorption. R ESULTS ①The present results demonstrated that poly (L/DL-Lactide) had a mild inflam m atory reaction in the early days of grafting, and after 12 weeks the inflammatio n basically subsided. A few smaller particles of polymer could be detected by tr ansmission electron microscopy. ②It was shown that first there was a degradatio n of large molecule of poly (L/DL-Lactide), followed by absorption. Although th e plates became increasingly fragile as they degraded, they retained 57.64% of i t s initial bending strength after four weeks. Loss of mass of the plates was 36.0 4% after 24 weeks in vivo. CONCLUSION Poly (L/DL-Lactide ) is a biodegradable , biocompatible material and has better mechanical properties. It is worth furth er medical research and surgical application in oral and maxillofacial surgery.
, 百拇医药
Keywords:biocompatibility; biodegradation; polylactic ac id; absorbable material
0 引言
传统的骨折内固定物以金属材料为主, 金属固定物保留在体内常有有害作用, 其中最主要 的是应力摭挡和腐蚀释放金属离子,导致骨质疏松等并发症. 在颌面外科应用时固定物表浅 ,加重了患者的心理负担,有些需要二次手术拆除. 生物可吸收内固定装置由于其模量、强 度与人体周围组织相匹配,并且在一定时期内降解吸收,从而避免了这类问题的发生. 近年 来,可吸收内固定物的发展迅速,在国外已应用于临床[1]. 国内尚处于实验研究 阶段. 我们用国产L/DL-聚乳酸[P(L/DL)LA]材料进行动物体内生物相容性及降解研究 ,以评价该材料的应用前景.
1 材料和方法
, 百拇医药
1.1 材料 中科院成都有机化学研究所高分子室提供的由700 mL.L-1 L 型乳酸与300 mL.L-1 DL型乳酸 经开环聚合合成的P(L/DL)LA板材,制备成25.0 mm×6.5 mm×2.0 mm条状试件. 质量300 ~400 mg. 健康新西兰大白兔7只(本校实验动物中心提供). 雌雄不限,体 质量1.5~2 kg.
1.2 方法 兔经25 g.L-1巴比妥钠按1 mg.kg-1耳缘静脉麻醉后,于无菌条件下将 28个试件分 7组随机植入7只兔脊柱两侧皮下组织中. 每只兔共植入4个试件,脊柱每侧各2个[2] . 于2,4,8,12,16及24 wk按预定分组取材,包括试件和纤维包膜. ①切取小块软组织 行电镜观察. ②剩余软组织常规HE染色,光镜下观察一般组织情况,纤维包膜形态,并 测量纤维包膜厚度. 聚乳酸试件进行大体形态及色泽观察后清洗干净,放入50 mL含胶原酶5×104 IU.L -1 PBS溶液中2 d ,消化残留组织,真空干燥样品. ①电子分析天平称质量,记录质量变化及吸收率. ② 采用岛津AG-5000A型电子万能实验机进行弯曲强度测定,测试条件为:弯曲试验加载速度1 0 mm.min-1,跨度20 mm. ③以四氢呋喃为溶剂,Waters公司产150ALC/GPC仪测定 聚乳酸的平均分子质量,记录分子质量变化并计算生物降解率.
, http://www.100md.com
2 结果
所有动物均成活,未见过敏、中毒及热源反应. 手术伤口愈合良好,未见 感染及窦道产生. 术后2 wk,试件形态无变化,透明度稍有降低. 4 wk,试件透明度呈不均匀降低,形态仍 无 变化. 8 wk,试件呈不均匀乳白色,表面光洁度下降. 12 wk,试件仍完整,呈乳白色,表 面 有点凹状吸收,边角变圆钝. 16 wk,试件变形,脆性较大,易折断. 20~24 wk,试件呈 白垩色,取出时已断裂.
2.1 光镜观察 植入2 wk,纤维包膜厚而疏松,界线不清,可见较多的炎细 胞浸润, 以中性粒细胞和淋巴细胞为主,伴有少量巨噬细胞. 4 wk组胶原纤维仍较疏松,可见大量成 纤维细胞. 炎细胞数量较2 wk组减少,淋巴细胞较多. 8 wk组,炎细胞数量进一步减少,以 淋巴细胞为主. 12 wk胶原纤维致密变薄,成纤维细胞减少,只见少量淋巴细胞. 16~20 wk,纤维包膜进一步变薄,胶原纤维成熟. 24 wk时,纤维包膜菲薄,仅由3~4层细胞组成 ,炎细胞偶见(Fig 1). 各组切片均未见组织变性. 坏死和异常增生. 无巨噬细胞大量积聚 现象. 各 时间组纤维包膜厚度与每高倍镜视野炎细胞数量见Tab 1;二者呈显著正相关(r=0.977 ,P<0.01).
, 百拇医药
表 1 植入样品炎性反应程度
Tab 1 Degree of inflammatory reaction of inplanted samples (n=4,
d(wrap film)/μm
N(inflammatory cell)/HP-1
2
222±42
80.5±16.3
4
207±50
, 百拇医药
60.3± 8.5
8
126±42
44.7±12.5
12
67±12a
9.3± 1.5b
16
58±12
3.2± 1.9
20
35±30
, 百拇医药
1.2± 1.0
24
16±11
0.2± 0.5
aP<0.01,bP<0.01 vs 2 wk. 2.2 电镜观察 2~8 wk取材样品炎细胞较多,血管丰富,胶原 纤维较疏松,可见 较多活跃的成纤维细胞,细胞核常染色质丰富,粗面内质网扩张. 无变性及退变细胞,未见 到核固缩或细胞器消失现象. 在12~20 wk时胶原纤维排列致密,周期横纹明显,细胞成分 较少. 于胶原纤维间可见少量密度均匀,呈圆形,方形或棱形的可吸收物降解. 吞噬颗粒的 成纤维细胞有坏死崩解现象. 在24 wk标本中,偶见含降解颗粒的多核巨细胞(Fig 2). 无 巨噬细胞积聚现象.
2.3 试件变化 试件称质量结果表明,各时间组聚乳酸试件 均 有质量减轻现象,其质量吸收较平缓,至16 wk有较快上升峰,至24 wk吸收达16%(Fig 3). L/DL-聚乳酸分子质量变化在早期下降较快,至12 wk时趋于缓和, 至24 wk,分子质量下降 达92%(Fig 4). 与分子质量降解相对应,其机械弯曲强度在早期下降较快,2 wk降为91%,4 wk为58%,8 wk为34%.
, http://www.100md.com
3 讨论
3.1 P(L/DL)LA的生物相容性 动物皮下植入试验是目前国际 上通用的评价医用材料对组织毒性刺激的一种重要的体内试验方法. 聚乳酸是一种无毒、无抗原的医用高分子材料. 本实验将P(L/DL)A埋植于兔子皮下24 wk ,所有动物生存状态及生长良好,无全身及局部并发症. 通过组织学观察,组织对P(L/DL )LA的反应符合一般生物相容性材料的组织反应. 植入2 wk,组织反应处于急性炎症反应的 末期和慢性炎症反应的进行期. 12 wk,炎细胞数目和包膜厚度明显降低,炎症反应明显减 轻. 之后,包膜继续变薄并纤维 化. 24 wk包膜厚度已降到(16±11)μm,明显低于美国材料试验学会(ASTM-F4) 提出的植入兔体或犬体内6 mo,包膜厚度<30 μm的要求,具有良好的生物相容性. 可吸收材料在降解的最后阶段产生难于降解的<70 μm微粒,具有巨噬细胞 趋化作用,引起无菌性炎症反应[3]. 徐又佳等[4]在研究自身加强聚乙醇 酸(SR-PGA)在体 内降解过程中发现,在6~8 wk的取材样品中,可见大量可吸收材料的降解颗粒存在. 12~24 wk还可见到大量胞质中含降解颗粒的吞噬细胞,部分细胞核固缩. 本实验仅在12~24 wk发现极少量的降解颗粒. 我们认为,P(L/DL)LA不含编织纤维,且晶体含量较低,因 而释放的难于降解的微粒很少,不足以引起大量吞噬细胞的积聚而引起并发症.
, http://www.100md.com
图 1 P(L/DL)LA-聚乳酸材料植入24 wk纤维包膜形态
Fig 1 Photomicrograph of fibrous membrane, P(L/DL)LA implanted after 24 wk HE ×100
图 2 巨噬细胞中P(L/DL)LA降解微粒
Fig 2 P(L/DL)LA degraded particles in phagocytes SEM ×20000
图 3 P(L/DL)LA植入时间与吸收率
Fig 3 Absorbance and the time after P(L/DL) LA implanted
, 百拇医药
图 4 P(L/DL)LA植入时间与相对分子质量
Fig 4 Molecular mass and the time after P(L/DL) LA implanted
3.2 P(L/DL)LA的体内降解与吸收 P(L/DL) )LA埋植于兔体内,分子质量早期显著下降,后期则趋于平缓. 这一规律表明其降解机制主 要是酯键的水解进行,表明聚乳酸中的酯键断裂. 分子链上酯键的断裂是随意的,共聚物中 每个酯键都可能被水解,在早期,P(L/DL)LA的分子链长,被水解的部位多,分子质量 的降低快. 关于聚酯类材料的降解 ,有研究发现还存在羧基自催化效应[5],认为聚乳酸材料在水解时生成了酸性的 端羧基,由 于聚乳酸材料的非亲水性和材料交联结构或材料本身高分子质量时的分子链高度缠结成端羧 基 在材料中不会马上被排除,积累的端羧基会加速材料的降解,从而产生自催化效应. 本实验 P(L/DL)LA在前4 wk内相对分子质量从7.0×105降至4.5×105,降解速率为35%. 4~8 wk内 相对分子质量由4.5×105降到2.5×105,降解速率为43%. 如只有水解机制,随降解时 间的延长,分子质 量 降解的速度应越来越慢,但在4~8 wk时,分子质量的降解有一个加速的阶段,至8 wk以后 开始减慢,说明材料在降解时有自催化现象存在的可能性. 有研究认为,体内巨噬细胞可吞噬清除共聚物周围已降解的小分子碎片,使其质量丧失加快 ;同时体内酶的特异性作用,也可能是材料降解重要因素[6]. 本实验在8 wk以后 吸收较快时 期并未见到大量吞噬细胞,可见细胞吞噬现象并不是降解吸收过程中的重要因素. 我们发现在植入材料2~8 wk时,炎症反应较重. 酶的大量 释放可能会对材料的降解产生一些影响. 目前对酶调节聚合物的生物降解作用仍有争议,有 待进一步研究. P(L/DL)LA植入早期在分子质量大量降解时质量丧失不明显,主要是因为只有当P(L/DL )LA 降解成能溶于介质的小分子时,才发生失重,而此时分子质量的减小已相当明显. 阮狄克等 [7]在对PDLLA降解性研究中也有同样报道.
, 百拇医药
3.3 P(L/DL)LA的机械强度变化 机械性能是可吸收 接骨材料的一个重要指标. 本结果 显示,P(L/DL)LA板材的机械性能与人体骨的机械性能相接近,其机械强度的丧失和分 子质量的降解基本是同步的(r=0.9860). 在聚乳酸分子质量大量降解的同时,机械强 度 丧失较快. 有研究表明,人皮质骨的极限压缩强度在120~ 210 MPa. 人股骨的弯曲强度平均 值为170 MPa. 虽然P(L/DL)LA有160 MPa的初始弯曲强度,但因其强度丧失较快,用为 固定四肢长管状骨等受力部位的骨折,强度显然是不够的. 但对于血运丰富,愈合及改建均 快的下颌骨骨折来说,作为内固定材料是可行的. 与胫骨相比,下颌骨外骨痂出现的时间早 ,体积 小,骨折线提前消失. 在原始骨痂形成前期,下颌骨与胫骨愈合无差异. 随着愈合进展,下 颌骨由于血运好,应力低,骨折段移位小,愈合比胫骨快. 由于断裂骨骼在愈合过程中仅需 要暂时性的帮助,并且在骨折固定期间,还可以通过适当控制饮食来降低下颌骨所承受的力 量,因而认为P(L/DL)LA有足够的强度固定下颌骨骨折. 聚乳酸为半结晶聚合物,有4种异构体. 其中外消旋DL-聚乳酸(PDLLA)为非晶态,强度低 ,降解较快. L-聚乳酸(PLLA)结晶较高,在体内降解慢[8]. 国外合成的PLLA强 度较高,但由于结晶度高,降解吸收非常缓慢,有人完全吸收需5~6 a[8]. 过长的 降解吸收 时间不但对骨折愈合已无任何意义,反而会增加炎症反应的发生率. 我们 所用P(L/DL)LA结晶度低于PDLLA,表现为亲水性增加, 降 解加快.其弯曲强度的保持率2 wk为89%,至术后8 wk仍有初始强度的34%,高于PDLLA [6]. 因而用于颌面部骨折的治疗更安全.
, 百拇医药
基金项目:军队“九五”指令性课题(96L047)
作者简介:陈宇轩(1968-),男(汉族),山西省阳泉市人. 硕士生(导师吕 春堂). 现在解放军252医院口腔科工作,河北 保定 071000. Tel.(0312)2024638
参考文献:
[1] 刘亚波,荣国威.可吸收内固定物在松质骨骨折中的应用[J]. 中 华外科杂志,1995;33(1):51-53.
[2] Matsusue Y, Yamamuro T, Ikada Y.Tissue reaction of bioabsorbable ultra high strength poly (l-laction) rod[J]. Clin Orthop,1995;317:246-253 .
, 百拇医药 [3] Bergsma JE, Rozema FR, Bos RRM et al. Biocompatibility of as- polymerized poly(l-lactide) in rats using a cage implant system[J]. J Biomed Mater Res , 1995;29(2):173-179.
[4] 徐又佳,郑祖根,王晓东et al. 骨折愈合中可吸收固定材料降解过程 的超微结构观察[J].骨与关节损伤杂志, 1997;12(6):323-325.
[5] Chu CC. The effect of on the in vitro degradation of poly(glyc olidelatide) coplymer absorbable sutures[J]. J Biomed Mater Res, 1982,16(2):117-124.
, http://www.100md.com
[6] Vasenius J, Vainionpaa S, Vihtonen K et al. Comparison of in vitro hydrolysi s, subcutaneous and intramedullary implantation to evaluate the strength retenti on of absorbable osteosynthesis implants[J]. Biomaterials, 1990;11(7):501- 505.
[7] 阮狄克,沈根标,邹宏思 et al. 可吸收聚乳酸植入材料的实验观察[ J]. 中华骨科杂志,1994;14(6):370-373.
[8] Leray B, Chabot F, Vert M. Bioresorbability and biocompatibility o f aliphatic polyestes[J]. J Mater Sci, 1992;6(5):432.
[9] Sunronen R, Pobjonen T, Hietanen J et al. A5-year in vit ro and in viv o study of the biodegradation of polylactide plate[J]. J Oral Maxillofac S urg, 1998;26(5):604-614.
收稿日期:1999-04-19; 修回日期:1999-07-10, http://www.100md.com