丙型肝炎患者胃粘膜细胞中HCV NS3、NS5抗原定位研究
作者:袁光辉 罗朝霞 黄其通 郎振为 安冬茹 涂多玛
单位:430060 武汉,湖北医科大学附属一院(袁光辉、罗朝霞、黄其通);武汉石化职工医院(安冬茹、涂多玛);北京佑安医院(郎振为)
关键词:肝炎病毒,丙型;免疫组织化学;胃粘膜
中华传染病杂志980307 【摘要】 目的 了解丙型肝炎病毒(HCV)在胃粘膜细胞中的感染状况。方法 采用免疫组化S-P法以抗-HCV NS3和抗-HCV NS5检测了33例慢性丙型肝炎(CHC)患者胃粘膜组织中HCV NS3及HCV NS5抗原。结果 HCV NS3、HCV NS5的检出率分别为33.33%(11/33)和27.27%(9/33)。阳性物质沉积于胃粘膜上皮腺体细胞胞浆,呈单个或片灶状分布,部分病例淋巴细胞胞浆中也可见到。结论 胃粘膜细胞中HCV抗原的检出,表明HCV可能是一种泛嗜性病毒,其机制及生物学意义须进一步研究。
, 百拇医药
Detection of HCV antigens in the gastric mucosa of patients with chronic hepatitis C Yuan Guanghui, Luo Zhaoxia, Huang Qitong, et al. The First Affiliated hospital, Hubei Medical University, Wuhan 430060
【Abstract】 Objective The purpose of this paper is to investigate the expression and distribution of hepatitis C virus (HCV) in the gastric mucosa of patients with chronic hepatitis C (CHC). Methods HCV NS3 and HCV NS5 antigen were detected by immunohistochemical method in 33 cases with CHC. Results HCV NS3 and HCV NS5 antigen in gastric mucosa had been detected in 33.33% (11/33) and 27.27% (9/33) of the cases,respectively.The two antigens with staining signals were mainly located in the cytoplasm of epithelial adenous cells and the positive cells distributed individually or focally. HCV antigen were also detected in the lymphocytes of some cases. Conclusion The results showed that HCV antigen in gastric mucosa could be detected;however,the pathogenesis of the disease and the ways of infection remained to be further studied.
, 百拇医药
【Key words】 Hepatitis C virus Immunohistochemistry Gastric mucosa
丙型肝炎病毒(HCV)在肝外感染的研究,日益受到重视。为探讨胃粘膜细胞中HCV的存在及分布状况,我们采用免疫组化S-P法对33例慢性丙型肝炎(CHC)的胃粘膜细胞进行了HCV抗原的检测,现报道如下。
材料与方法
一、病例
33例慢性丙型肝炎均为湖北医科大学附一院和北京佑安医院住院患者,经血清学检测抗-HCV或HCV RNA均阳性。临床诊断符合1995年全国传染病及寄生虫病学术会议修订标准。男25例,女8例,年龄21~75岁。33例中26例有输血及血制品史。患者行胃镜检查,分别夹取胃粘膜组织2~4块,标本经10%福尔马林固定,石蜡包埋,5μm连续切片,作HE染色及免疫组化HCV NS3、NS5的检测。
, 百拇医药
二、主要试剂及来源
鼠抗-HCV NS3单克隆抗体由中国预防医学病毒所詹美云教授馈赠;鼠抗-HCV NS5由北京医科大学肝病研究所研制。S-P试剂盒为美国Zemed公司产品。抗-HCV及HCV RNA试剂盒购自华美生物制品公司。 三、方法及步骤
采用免疫组化S-P法检测,步骤参照试剂盒说明书严格执行。
四、实验对照
1. 经免疫组化检测HCV抗原为阴性的正常胃组织6例及正常肝组织4例为阴性对照。
2. 用反复验证为HCV抗原阳性的慢性丙型肝炎患者的肝脏组织切片作阳性对照。
3. 用PBS液代替一抗作空白对照。
, 百拇医药
五、统计学方法
四格表资料χ2检验。
结 果
一、胃粘膜HCV NS3、NS5抗原的检出情况
33例患者胃粘膜中11例HCV NS3和9例HCV NS5检出为阳性,阳性率达33.33%和27.27%,其中7例阳性组织显示两种抗原均为阳性,其余的表现为HCV NS3或HCV NS5单独阳性。此外,还观察到胃粘膜中病毒抗原的多寡与相应组织的炎症病变无明显关联。
本组实验中6例胃粘膜的阴性对照均为阴性;正常肝组织及空白对照均为阴性;阳性对照为阳性。
, http://www.100md.com
二、两种抗原在胃粘膜中的定位与分布
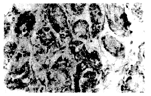
HCV NS3、NS5的阳性物质主要位于胃粘膜上皮腺体细胞的胞浆中,阳性细胞呈单个、散在或片灶状分布(见图1、2)。两种抗原在胃粘膜中的检出率分别为33.33%和27.27%,经统计学处理差异无显著性(χ2=0.48,P>0.05)。此外,部分病例的淋巴细胞的胞浆中也可见到两种抗原。
三、胃粘膜的组织学改变
图1 HCV NS3阳性胃粘膜体细胞(胞浆呈深色)
免疫组化×200
行胃镜检查,镜下均可见胃粘膜有不同程度的糜烂、充血、皱襞增粗或溃疡等表现。光镜下同步观察经HE染色的同一组织的连续切片,组织学表现为单个核细胞浸润为主的慢性炎症。实验中观察到两种抗原检测为阳性患者同阴性患者胃粘膜组织的炎症程度及病理改变无差异。
, http://www.100md.com
图2 HCV NS5阳性物质在胃腺体细胞胞浆内表达
免疫组化×400
讨 论
HCV为单股正链RNA病毒,基因组约由9 400个核苷酸组成。近年来研究显示,HCV不仅感染肝细胞,在肝外的许多脏器或组织,如外周血单个核细胞(PBMC)、唾液腺、肾脏、胰腺、淋巴结等均检测到HCV和/或HCV RNA[1]。本实验在丙型肝炎患者的胃粘膜上皮腺体细胞的胞浆中检测出HCV,而细胞间质或血管壁上没有,为HCV在肝外胃粘膜组织中的存在提供了依据。以上结果表明HCV可能与乙型肝炎病毒(HBV)一样具有泛嗜性。
目前有资料报道[2~4],HCV感染与一些肝外脏器功能障碍及综合征,如混合性冷球蛋白血症、膜性增殖性肾小球肾炎、糖尿病等疾病均有一定联系,但其致病机制及自身免疫特征仍不清楚。相反,也有一些HCV感染肝外组织的文献表明,HCV在肝外组织中的存在,并不导致相应脏器的病理改变[5]。本研究中HCV阳性与阴性患者的胃粘膜组织学改变较为一致,HCV的感染似乎没有加重胃粘膜的病变。HCV的感染与相应脏器炎症的关系还须深入观察。
, 百拇医药
HCV进入胃粘膜的途径及机制尚不清楚,推测有三种可能:1. HCV感染肝脏,释放抗原经血行进入胃粘膜;2. HCV抗原通过与IgG形成免疫复合物沉积在胃粘膜中;3. 通过底层蛋白Ⅱ(protein endonexin Ⅱ)的“吸附作用”,将HCV抗原导入胃粘膜。该蛋白仅存于猩猩、恒河猴的肝脏及人类的各个组织脏器中[6],此种蛋白易与HCV抗原相结合,故使HCV抗原在肝外脏器中存在。
近年有学者在肝硬化患者的胃粘膜中通过Southern吸印术检出HBV游离型和整合型DNA,表明HBV在胃粘膜中可能存在复制和整合[7]。本实验中采用的NS3蛋白为HCV基因组非结构蛋白区的一种重要多肽,能编码HCV RNA,复制时基因组展开解旋酶[8]。但HCV在胃粘膜中是否存在增殖复制,尚待作原位杂交进一步肯定。
参考文献
, http://www.100md.com
1 Hadziyannis ST. The spectrum of extrahepatic manifestation in hepatitis C virus infection (Review). J Vir Hepatol,1997,4:9-28.
2 Lunel F,Musset L,Cacouh P,et al.Cryoglobulinemia in chronic liver disease:Role of hepatitis C virus and liver damage.Gastroemerology,1994,106:1291-1300.
3 Johnson RJ,Gretch Dr,Yamabe H,et al.Membranoproliferative glomerulonephritis associated with hepatitis C virus infection.N Engl Med,1993,328:465-470.
, 百拇医药
4 Allison MED,Wreghitt T,Palmer CR,et al.Evidence for a link between hepatitis C virus infection and diabetes mellitus in a cirrhotic population.J Hepatol,1994,21:1135-1139.
5 Ferri C,Monti M,La Civita L, et al.Hepatitis C virus infection in non-Hodgkin's B-cell lymphoma complicating mixed cryoglobulinemia.Eur J Clin Invest,1994,24:781-784.
6 Bruin WC,Leenders WP,Moshage H,et al.Species specifcity for HBsAg binding protein endonexin Ⅱ.J Hepal,1996,Mar:24:265-270.
7 杨丽,陈德珍,赵连三,等.肝硬化、胃炎及溃疡病患者胃粘膜中HBV抗原与HBV DNA检测和组织学变化间关系.临床肝胆病杂志,1996,4:206-208.
8 郎振为,孟忻,郭新会,等.丙型肝炎患者胰腺中丙型肝炎病毒C33C抗原的检测.中华医学杂志,1996,76:229-331., http://www.100md.com
单位:430060 武汉,湖北医科大学附属一院(袁光辉、罗朝霞、黄其通);武汉石化职工医院(安冬茹、涂多玛);北京佑安医院(郎振为)
关键词:肝炎病毒,丙型;免疫组织化学;胃粘膜
中华传染病杂志980307 【摘要】 目的 了解丙型肝炎病毒(HCV)在胃粘膜细胞中的感染状况。方法 采用免疫组化S-P法以抗-HCV NS3和抗-HCV NS5检测了33例慢性丙型肝炎(CHC)患者胃粘膜组织中HCV NS3及HCV NS5抗原。结果 HCV NS3、HCV NS5的检出率分别为33.33%(11/33)和27.27%(9/33)。阳性物质沉积于胃粘膜上皮腺体细胞胞浆,呈单个或片灶状分布,部分病例淋巴细胞胞浆中也可见到。结论 胃粘膜细胞中HCV抗原的检出,表明HCV可能是一种泛嗜性病毒,其机制及生物学意义须进一步研究。
, 百拇医药
Detection of HCV antigens in the gastric mucosa of patients with chronic hepatitis C Yuan Guanghui, Luo Zhaoxia, Huang Qitong, et al. The First Affiliated hospital, Hubei Medical University, Wuhan 430060
【Abstract】 Objective The purpose of this paper is to investigate the expression and distribution of hepatitis C virus (HCV) in the gastric mucosa of patients with chronic hepatitis C (CHC). Methods HCV NS3 and HCV NS5 antigen were detected by immunohistochemical method in 33 cases with CHC. Results HCV NS3 and HCV NS5 antigen in gastric mucosa had been detected in 33.33% (11/33) and 27.27% (9/33) of the cases,respectively.The two antigens with staining signals were mainly located in the cytoplasm of epithelial adenous cells and the positive cells distributed individually or focally. HCV antigen were also detected in the lymphocytes of some cases. Conclusion The results showed that HCV antigen in gastric mucosa could be detected;however,the pathogenesis of the disease and the ways of infection remained to be further studied.
, 百拇医药
【Key words】 Hepatitis C virus Immunohistochemistry Gastric mucosa
丙型肝炎病毒(HCV)在肝外感染的研究,日益受到重视。为探讨胃粘膜细胞中HCV的存在及分布状况,我们采用免疫组化S-P法对33例慢性丙型肝炎(CHC)的胃粘膜细胞进行了HCV抗原的检测,现报道如下。
材料与方法
一、病例
33例慢性丙型肝炎均为湖北医科大学附一院和北京佑安医院住院患者,经血清学检测抗-HCV或HCV RNA均阳性。临床诊断符合1995年全国传染病及寄生虫病学术会议修订标准。男25例,女8例,年龄21~75岁。33例中26例有输血及血制品史。患者行胃镜检查,分别夹取胃粘膜组织2~4块,标本经10%福尔马林固定,石蜡包埋,5μm连续切片,作HE染色及免疫组化HCV NS3、NS5的检测。
, 百拇医药
二、主要试剂及来源
鼠抗-HCV NS3单克隆抗体由中国预防医学病毒所詹美云教授馈赠;鼠抗-HCV NS5由北京医科大学肝病研究所研制。S-P试剂盒为美国Zemed公司产品。抗-HCV及HCV RNA试剂盒购自华美生物制品公司。 三、方法及步骤
采用免疫组化S-P法检测,步骤参照试剂盒说明书严格执行。
四、实验对照
1. 经免疫组化检测HCV抗原为阴性的正常胃组织6例及正常肝组织4例为阴性对照。
2. 用反复验证为HCV抗原阳性的慢性丙型肝炎患者的肝脏组织切片作阳性对照。
3. 用PBS液代替一抗作空白对照。
, 百拇医药
五、统计学方法
四格表资料χ2检验。
结 果
一、胃粘膜HCV NS3、NS5抗原的检出情况
33例患者胃粘膜中11例HCV NS3和9例HCV NS5检出为阳性,阳性率达33.33%和27.27%,其中7例阳性组织显示两种抗原均为阳性,其余的表现为HCV NS3或HCV NS5单独阳性。此外,还观察到胃粘膜中病毒抗原的多寡与相应组织的炎症病变无明显关联。
本组实验中6例胃粘膜的阴性对照均为阴性;正常肝组织及空白对照均为阴性;阳性对照为阳性。
, http://www.100md.com
二、两种抗原在胃粘膜中的定位与分布
HCV NS3、NS5的阳性物质主要位于胃粘膜上皮腺体细胞的胞浆中,阳性细胞呈单个、散在或片灶状分布(见图1、2)。两种抗原在胃粘膜中的检出率分别为33.33%和27.27%,经统计学处理差异无显著性(χ2=0.48,P>0.05)。此外,部分病例的淋巴细胞的胞浆中也可见到两种抗原。
三、胃粘膜的组织学改变
图1 HCV NS3阳性胃粘膜体细胞(胞浆呈深色)
免疫组化×200
行胃镜检查,镜下均可见胃粘膜有不同程度的糜烂、充血、皱襞增粗或溃疡等表现。光镜下同步观察经HE染色的同一组织的连续切片,组织学表现为单个核细胞浸润为主的慢性炎症。实验中观察到两种抗原检测为阳性患者同阴性患者胃粘膜组织的炎症程度及病理改变无差异。
, http://www.100md.com
图2 HCV NS5阳性物质在胃腺体细胞胞浆内表达
免疫组化×400
讨 论
HCV为单股正链RNA病毒,基因组约由9 400个核苷酸组成。近年来研究显示,HCV不仅感染肝细胞,在肝外的许多脏器或组织,如外周血单个核细胞(PBMC)、唾液腺、肾脏、胰腺、淋巴结等均检测到HCV和/或HCV RNA[1]。本实验在丙型肝炎患者的胃粘膜上皮腺体细胞的胞浆中检测出HCV,而细胞间质或血管壁上没有,为HCV在肝外胃粘膜组织中的存在提供了依据。以上结果表明HCV可能与乙型肝炎病毒(HBV)一样具有泛嗜性。
目前有资料报道[2~4],HCV感染与一些肝外脏器功能障碍及综合征,如混合性冷球蛋白血症、膜性增殖性肾小球肾炎、糖尿病等疾病均有一定联系,但其致病机制及自身免疫特征仍不清楚。相反,也有一些HCV感染肝外组织的文献表明,HCV在肝外组织中的存在,并不导致相应脏器的病理改变[5]。本研究中HCV阳性与阴性患者的胃粘膜组织学改变较为一致,HCV的感染似乎没有加重胃粘膜的病变。HCV的感染与相应脏器炎症的关系还须深入观察。
, 百拇医药
HCV进入胃粘膜的途径及机制尚不清楚,推测有三种可能:1. HCV感染肝脏,释放抗原经血行进入胃粘膜;2. HCV抗原通过与IgG形成免疫复合物沉积在胃粘膜中;3. 通过底层蛋白Ⅱ(protein endonexin Ⅱ)的“吸附作用”,将HCV抗原导入胃粘膜。该蛋白仅存于猩猩、恒河猴的肝脏及人类的各个组织脏器中[6],此种蛋白易与HCV抗原相结合,故使HCV抗原在肝外脏器中存在。
近年有学者在肝硬化患者的胃粘膜中通过Southern吸印术检出HBV游离型和整合型DNA,表明HBV在胃粘膜中可能存在复制和整合[7]。本实验中采用的NS3蛋白为HCV基因组非结构蛋白区的一种重要多肽,能编码HCV RNA,复制时基因组展开解旋酶[8]。但HCV在胃粘膜中是否存在增殖复制,尚待作原位杂交进一步肯定。
参考文献
, http://www.100md.com
1 Hadziyannis ST. The spectrum of extrahepatic manifestation in hepatitis C virus infection (Review). J Vir Hepatol,1997,4:9-28.
2 Lunel F,Musset L,Cacouh P,et al.Cryoglobulinemia in chronic liver disease:Role of hepatitis C virus and liver damage.Gastroemerology,1994,106:1291-1300.
3 Johnson RJ,Gretch Dr,Yamabe H,et al.Membranoproliferative glomerulonephritis associated with hepatitis C virus infection.N Engl Med,1993,328:465-470.
, 百拇医药
4 Allison MED,Wreghitt T,Palmer CR,et al.Evidence for a link between hepatitis C virus infection and diabetes mellitus in a cirrhotic population.J Hepatol,1994,21:1135-1139.
5 Ferri C,Monti M,La Civita L, et al.Hepatitis C virus infection in non-Hodgkin's B-cell lymphoma complicating mixed cryoglobulinemia.Eur J Clin Invest,1994,24:781-784.
6 Bruin WC,Leenders WP,Moshage H,et al.Species specifcity for HBsAg binding protein endonexin Ⅱ.J Hepal,1996,Mar:24:265-270.
7 杨丽,陈德珍,赵连三,等.肝硬化、胃炎及溃疡病患者胃粘膜中HBV抗原与HBV DNA检测和组织学变化间关系.临床肝胆病杂志,1996,4:206-208.
8 郎振为,孟忻,郭新会,等.丙型肝炎患者胰腺中丙型肝炎病毒C33C抗原的检测.中华医学杂志,1996,76:229-331., http://www.100md.com