HCV5′NCR和结构蛋白编码序列的克隆及对PA317细胞的转染
作者:傅涌水 吕凌 王斌
单位:510089 广州,中山医科大学分子医学研究中心实验室
关键词:克隆,分子;肝炎病毒,丙型;逆转录病毒;转染
中华传染病杂志980303 【摘要】 目的 进一步研究丙型肝炎病毒5′NCR对结构蛋白编码基因的表达调控。方法 以拼接好的HCV5′NCR,C,E1和E2/NS1区基因共长2547个核苷酸片段克隆于逆转录病毒载体LNSX得重组体pLHC2547,用聚合酶链反应(PCR)及核苷酸序列分析等方法对重组体进行鉴定。通过磷酸钙-DNA共沉淀法把经鉴定的重组体转染入PA317细胞,用G418进行克隆筛选,以NIH3T3细胞测其病毒滴度。提取转染细胞DNA及培养上清RNA分别用PCR和逆转录PCR进行鉴定。结果 培养上清的病毒滴度为2×105CFU/ml,PCR及逆转录PCR(RT-PCR)分别可以从转染的细胞DNA及培养上清中扩增出HCV的基因片段。结论 目的基因已整合到细胞的基因组中并得以表达。
, 百拇医药
Cloning of HCV 5′NCR,C,E1,E2/NS1 sequences and its transfection into the PA317 cell line Fu Yongshui,Lu Ling,Wang Bing. The Research Center of Molecular Medicine, Zhongshan Medical Univeristy, Guangzhou 510089
【Abstract】 Objective The study was performed as basic research preparing for further investigation on HCV gene regulation. Methods The target gene was a 2547bp HCV-cDNA (HCV2547) ligated by PCR and inserted into the sma Ⅰ site of pGEM-3Zf(+)previonsly,containing the whole 5′NCR,C,E1,E2/NS1.Using Pst Ⅰ and EcoRI ,the target gene was cut and cloned into the hind Ⅲ site of a retroviral vector LNSX and a recombinant pLHC2574 was yielded thereafter,which was further analysed by polymerase chain reaction (PCR) and sequenced.By means of co-precipitation with calcium phosphate,the recombinant pLHC2547 was transfected into PA317 cells.The lines were screened with G418 and the virus titer in supernatant of the colones was determined by NIH3T3 cells.DNA was extracted from transfected cells and tested by PCR with HCV specific primers.RNA was also extracted from the supernatant of cell culture and was tested by RT-PCR.Results The virus titer was 2×105 CFU/ml.Both the result of PCR,RT-PCR showed positive. Conclusion HCV2547 sequence had been integrated into the genomic groups of cells and the target gene had been expressed.
, http://www.100md.com
【Key words】 Cloning,Molecular Hepatitis C virus Retrovirus Transfection
丙型肝炎病毒(HCV)为单股正链RNA病毒,基因组长约9400核苷酸(nt),其中5′末端非编码区(5′NCR)长341nt,核壳蛋白编码区(C区)和包膜蛋白1编码区(E1)分别为573和576nt,包膜蛋白2编码区(E2/NS1区)长1038个nt,这4段序列共长约2528个nt,含有HCV5′NCR及全部结构蛋白编码基因[1,2]。本研究应用分子克隆技术将拼接好的这4段序列正向插入LNSX载体的HindⅢ位点构建重组体pLHC2547,然后用磷酸钙-DNA共沉淀的方法将重组DNA转染入PA317细胞,以利于细胞内表达调控的研究。
材料与方法
一、材料来源
, http://www.100md.com
LNSX,PA317由本校梁振东博士提供。PstⅠ,EcoRⅠ,HindⅢ系promega公司产品。G418购自Boehringer/mannheim(BM)公司。细胞培养基
附表 HCV基因的引物序列 名称
位置
核苷酸序列(5′→3′)
NC1
-324--304
GGCGACACTCCACCATAGATC
NC2
-1--21
GGTGCACGGTCTACGAGACCT
, http://www.100md.com
NC3
-318--298
ACTCCACCATAGATCACTCC
NC4
4--16
TCATGGTGCACGGTCTACGA
NC5
-274--255
GCAGAAAGCCTCTAGCCATG
C1
-71--44
GCGAATTCCCTTGTFFTACTGCCTGATA
, http://www.100md.com
C2
479-507
CAGGATCCCTGTTGCATAGTTCACGCCG
E1
385-402
GTAGGATCCCAGTTCATCATCAT
E2
964-986
GTAGGATCCCAGTTCATCATCAT
E3
469-493
, http://www.100md.com
TTCTGCAGGACGGCGTGAACTATGC
E4
959-981
TGGAATTCGATGATGAACTGGTC
E5
1741-1763
TTTCTGCAGCAATCCTGGGGCA
E6
1444-1467
CAGAAGCTTTATTGCTGGCACTAC
E7
, 百拇医药
2200-2223
TATCTGCAGATCATCCACAAGCA
RPMI1640(GIBCO)购自北京天象人公司。
二、引物设计
比较多株HCV序列进行设计,以ABI391型DNA全自动合成仪合成,核苷酸序列见附表(核苷酸位置以中国河北株第一个ATG的A为1[3])。
三、重组体的构建及鉴定
对多株HCV核酸序列进行同源性比较,选取保守区合成引物,以RT-PCR扩增5′NCR,C,E1,和E2/NS1四片断,分别进行克隆。限制性酶切克隆序列,以连接PCR将这四个片断连接成一连续的长2547nt的片断,并克隆于pGEM-3Zf(+)。HindⅢ酶切LNSX为载体,PstⅠ与EcoRⅠ切出pGEM-3Zf(+)中的克隆基因,经Klenow酶补齐后,两者作钝端连接,连接物转化DH5a大肠杆菌,提取质粒DNA和LNSX空载体对照电泳,以PCR及核苷酸序列分析法进行鉴定,经鉴定的正向插入的重组体称pLHC2547。
, 百拇医药
四、阳性重组体对PA317细胞的转染及病毒滴度的测定
参照文献[4,5],用磷酸钙介导的贴壁细胞转染方法将pLHC2547引入病毒包装细胞PA317,经0.6mg/ml G418筛选获得阳性克隆,用NIH3T3测重组病毒滴度。
五、分泌双嗜性重组逆转录病毒的包装细胞系的鉴定
提取抗G418的PA317细胞(称PA317/pLHC2547细胞)的DNA,以引物NC3/NC4,C1/C2,E1/E2进行PCR扩增,提取抗G418细胞培养上清的病毒RNA,以NC3/NC4进行RT-PCR扩增,扩增产物进行电泳分析。
结 果
一、重组逆转录病毒载体的构建
经PCR及核苷酸序列分析证明HCV2547片断插入正确(图1)。
, 百拇医药
二、pLHC2547对PA317细胞的转染及病毒滴度测定
重组体经包装细胞PA317包装后产生G418(0.6mg/ml)的抗性克隆(图2),用NIH3T3测其病毒滴度为2×105CFU/ml。
三、转染细胞系的鉴定
pLHC2547转染PA317后,经G418(0.6mg/
M.SppⅠ/EcoRⅠ; 1.引物NC1和E2扩增的1310bp产物;2.引物E6和E7扩增的780bp产物; 3.引物E4和E5扩增的805bp产物;4.引物E4和E7扩增的1265bp产物; 5.引物NC5和C2扩增的781bp产物;6.引物E3和E2扩增的518bp产物; 7.引物C1和C2扩增的578bp产物;8.引物NC1和NC2扩增的324bp产物
, 百拇医药
图1 pLHC2547DNA的PCR鉴定
图2 pLHC2547转染PA317细胞所形成的细胞克隆
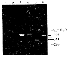
1.培养上清病毒RNA以NC3和NC4为引物的RT-PCR所得322bp产物; 2.PA317细胞上清以NC3和NC4为引物的RT-PCR结果无产物; 3.PA317/pLHC2547细胞DNA以C1和C2为引物扩增所得578bp的产物; 4.PA317/pLHC2547细胞DNA以E1和E2为引物扩增所得601bp的产物; 5.PA317/pLHC2547细胞DNA以NC3和NC4为引物扩增所得322bp的产物; 6.M:pBR322/HinfⅠ
, 百拇医药
图3 PA317/pLHC2547细胞DNA的PCR产物及转染细胞培养上清病毒RNA的RT-PCR产物电泳
ml)筛选3周,挑出阳性克隆扩大培养,提取细胞DNA,用PCR鉴定,结果见图3。提取培养上清RNA,用HCV特异引物进行RT-PCR扩增,扩增产物进行电泳分析,均提示转染成功。
讨 论
HCV是在未弄清完整病毒的情况下,经分子克隆方法甄别和鉴定的第一个人类病毒,HCV基因组极易发生变异,被认为是准种系病毒,已发现若干型和亚型,只有5′NCR高度保守,对HCV基因复制和表达有极其重要的调控作用,体外表达实验中反义寡核苷酸选择性地封闭某一区域可强力抑制后续序列的基因表达,但还缺乏细胞内和体内的实验依据[6,7]。
以逆转录病毒作为载体能高效地转入复制细胞,因此,逆转录病毒载体已成为介导人体基因治疗的重要手段之一[8]。外源基因进入细胞后,部分随细胞的有丝分裂而丢失;部分可整合到受体细胞的基因组中,随着其分裂和增殖得以持久表达,这种细胞具有长期稳定的G418抗性。在高选择性压力下培养整合了重组病毒的包装细胞,可以防止载体携带的基因丢失,并促进转染进细胞的基因大量表达[9]。
, 百拇医药
本实验采用传统的磷酸钙-DNA共沉淀法介导基因转染PA317包装细胞。磷酸钙介导的转染方法是最为常用的方法,虽然对其机制尚未完全清楚,但据认为转染DNA是通过内吞作用进入细胞质然后进入细胞核的[5]。该方法不仅简单,而且经济可行。本实验通过磷酸钙的介导,使重组体转入PA317包装细胞,转染成功的PA317细胞能在含G418(0.6mg/ml)的培养基生长,我们还用PCR和RT-PCR对转染结果作了进一步鉴定,均提示转染的成功,从而为细胞内基因表达调控打下基础。
本课题受国家自然科学基金资助(39570285)
参考文献
1 Okamoto H,Kojima M,Okada SJ,et al.Genetic drift of hepatitis C virus during an 8.2-year infection in a chimpanzee:variability and stability.Virology,1992,190:894-899.
, http://www.100md.com
2 金冬雁.丙型肝炎病毒分子生物学研究动态和发展趣向.见:侯云德,金冬雁,主编.现代病毒学选论.北京科学出版社,1994.224-260.
3 毕胜利,白宪鹤,刘崇柏,等.我国丙型肝炎病毒河北株基因组的克隆及cDNA全序列的测序和分析.中华临床与病毒学杂志,1992,6:425-434.
4 冯学胜,郑仲承,汤钊猷,等.逆转录病毒介导的人TNF在人肝癌细胞系(SMMC)中的表达.中华微生物学和免疫学杂志,1996,16:33-36.
5 金冬雁,黎孟枫,等译.分子克隆实验指南.第二版.北京:科学出版社,1992.786-791.
6 Wakita T,Wands JR.Specific inhibition of hepatitis c virus expression by antisense oligonucleotides:in vitro model for selection of target sequence.J bio Chem,1994,269:14205-14210.
, http://www.100md.com
7 Alt M,Renz R,Hofschneider Ph,et al.Specific inhibition of hepatitis c viral gene expression by antisense phosphorothioate oligodeoxynucleotides.Hepatology,1996,22:707-717.
8 Aoki K,Yochida T,Sugimura T,et al.Liposome-mediated in vivo gene transfer of antisense K-reconstruct inhibits pancreatic tumor dissemination in the murine peritoneal cavity.Cancer Res,1995,55:3810-3816.
9 王建安,朱元晓,郑建强,等.逆转录病毒载体介导IL-2受体基因转染鼠成纤维细胞.中华微生物和免疫学杂志,1991,11:397-400., http://www.100md.com
单位:510089 广州,中山医科大学分子医学研究中心实验室
关键词:克隆,分子;肝炎病毒,丙型;逆转录病毒;转染
中华传染病杂志980303 【摘要】 目的 进一步研究丙型肝炎病毒5′NCR对结构蛋白编码基因的表达调控。方法 以拼接好的HCV5′NCR,C,E1和E2/NS1区基因共长2547个核苷酸片段克隆于逆转录病毒载体LNSX得重组体pLHC2547,用聚合酶链反应(PCR)及核苷酸序列分析等方法对重组体进行鉴定。通过磷酸钙-DNA共沉淀法把经鉴定的重组体转染入PA317细胞,用G418进行克隆筛选,以NIH3T3细胞测其病毒滴度。提取转染细胞DNA及培养上清RNA分别用PCR和逆转录PCR进行鉴定。结果 培养上清的病毒滴度为2×105CFU/ml,PCR及逆转录PCR(RT-PCR)分别可以从转染的细胞DNA及培养上清中扩增出HCV的基因片段。结论 目的基因已整合到细胞的基因组中并得以表达。
, 百拇医药
Cloning of HCV 5′NCR,C,E1,E2/NS1 sequences and its transfection into the PA317 cell line Fu Yongshui,Lu Ling,Wang Bing. The Research Center of Molecular Medicine, Zhongshan Medical Univeristy, Guangzhou 510089
【Abstract】 Objective The study was performed as basic research preparing for further investigation on HCV gene regulation. Methods The target gene was a 2547bp HCV-cDNA (HCV2547) ligated by PCR and inserted into the sma Ⅰ site of pGEM-3Zf(+)previonsly,containing the whole 5′NCR,C,E1,E2/NS1.Using Pst Ⅰ and EcoRI ,the target gene was cut and cloned into the hind Ⅲ site of a retroviral vector LNSX and a recombinant pLHC2574 was yielded thereafter,which was further analysed by polymerase chain reaction (PCR) and sequenced.By means of co-precipitation with calcium phosphate,the recombinant pLHC2547 was transfected into PA317 cells.The lines were screened with G418 and the virus titer in supernatant of the colones was determined by NIH3T3 cells.DNA was extracted from transfected cells and tested by PCR with HCV specific primers.RNA was also extracted from the supernatant of cell culture and was tested by RT-PCR.Results The virus titer was 2×105 CFU/ml.Both the result of PCR,RT-PCR showed positive. Conclusion HCV2547 sequence had been integrated into the genomic groups of cells and the target gene had been expressed.
, http://www.100md.com
【Key words】 Cloning,Molecular Hepatitis C virus Retrovirus Transfection
丙型肝炎病毒(HCV)为单股正链RNA病毒,基因组长约9400核苷酸(nt),其中5′末端非编码区(5′NCR)长341nt,核壳蛋白编码区(C区)和包膜蛋白1编码区(E1)分别为573和576nt,包膜蛋白2编码区(E2/NS1区)长1038个nt,这4段序列共长约2528个nt,含有HCV5′NCR及全部结构蛋白编码基因[1,2]。本研究应用分子克隆技术将拼接好的这4段序列正向插入LNSX载体的HindⅢ位点构建重组体pLHC2547,然后用磷酸钙-DNA共沉淀的方法将重组DNA转染入PA317细胞,以利于细胞内表达调控的研究。
材料与方法
一、材料来源
, http://www.100md.com
LNSX,PA317由本校梁振东博士提供。PstⅠ,EcoRⅠ,HindⅢ系promega公司产品。G418购自Boehringer/mannheim(BM)公司。细胞培养基
附表 HCV基因的引物序列 名称
位置
核苷酸序列(5′→3′)
NC1
-324--304
GGCGACACTCCACCATAGATC
NC2
-1--21
GGTGCACGGTCTACGAGACCT
, http://www.100md.com
NC3
-318--298
ACTCCACCATAGATCACTCC
NC4
4--16
TCATGGTGCACGGTCTACGA
NC5
-274--255
GCAGAAAGCCTCTAGCCATG
C1
-71--44
GCGAATTCCCTTGTFFTACTGCCTGATA
, http://www.100md.com
C2
479-507
CAGGATCCCTGTTGCATAGTTCACGCCG
E1
385-402
GTAGGATCCCAGTTCATCATCAT
E2
964-986
GTAGGATCCCAGTTCATCATCAT
E3
469-493
, http://www.100md.com
TTCTGCAGGACGGCGTGAACTATGC
E4
959-981
TGGAATTCGATGATGAACTGGTC
E5
1741-1763
TTTCTGCAGCAATCCTGGGGCA
E6
1444-1467
CAGAAGCTTTATTGCTGGCACTAC
E7
, 百拇医药
2200-2223
TATCTGCAGATCATCCACAAGCA
RPMI1640(GIBCO)购自北京天象人公司。
二、引物设计
比较多株HCV序列进行设计,以ABI391型DNA全自动合成仪合成,核苷酸序列见附表(核苷酸位置以中国河北株第一个ATG的A为1[3])。
三、重组体的构建及鉴定
对多株HCV核酸序列进行同源性比较,选取保守区合成引物,以RT-PCR扩增5′NCR,C,E1,和E2/NS1四片断,分别进行克隆。限制性酶切克隆序列,以连接PCR将这四个片断连接成一连续的长2547nt的片断,并克隆于pGEM-3Zf(+)。HindⅢ酶切LNSX为载体,PstⅠ与EcoRⅠ切出pGEM-3Zf(+)中的克隆基因,经Klenow酶补齐后,两者作钝端连接,连接物转化DH5a大肠杆菌,提取质粒DNA和LNSX空载体对照电泳,以PCR及核苷酸序列分析法进行鉴定,经鉴定的正向插入的重组体称pLHC2547。
, 百拇医药
四、阳性重组体对PA317细胞的转染及病毒滴度的测定
参照文献[4,5],用磷酸钙介导的贴壁细胞转染方法将pLHC2547引入病毒包装细胞PA317,经0.6mg/ml G418筛选获得阳性克隆,用NIH3T3测重组病毒滴度。
五、分泌双嗜性重组逆转录病毒的包装细胞系的鉴定
提取抗G418的PA317细胞(称PA317/pLHC2547细胞)的DNA,以引物NC3/NC4,C1/C2,E1/E2进行PCR扩增,提取抗G418细胞培养上清的病毒RNA,以NC3/NC4进行RT-PCR扩增,扩增产物进行电泳分析。
结 果
一、重组逆转录病毒载体的构建
经PCR及核苷酸序列分析证明HCV2547片断插入正确(图1)。
, 百拇医药
二、pLHC2547对PA317细胞的转染及病毒滴度测定
重组体经包装细胞PA317包装后产生G418(0.6mg/ml)的抗性克隆(图2),用NIH3T3测其病毒滴度为2×105CFU/ml。
三、转染细胞系的鉴定
pLHC2547转染PA317后,经G418(0.6mg/
M.SppⅠ/EcoRⅠ; 1.引物NC1和E2扩增的1310bp产物;2.引物E6和E7扩增的780bp产物; 3.引物E4和E5扩增的805bp产物;4.引物E4和E7扩增的1265bp产物; 5.引物NC5和C2扩增的781bp产物;6.引物E3和E2扩增的518bp产物; 7.引物C1和C2扩增的578bp产物;8.引物NC1和NC2扩增的324bp产物
, 百拇医药
图1 pLHC2547DNA的PCR鉴定
图2 pLHC2547转染PA317细胞所形成的细胞克隆
1.培养上清病毒RNA以NC3和NC4为引物的RT-PCR所得322bp产物; 2.PA317细胞上清以NC3和NC4为引物的RT-PCR结果无产物; 3.PA317/pLHC2547细胞DNA以C1和C2为引物扩增所得578bp的产物; 4.PA317/pLHC2547细胞DNA以E1和E2为引物扩增所得601bp的产物; 5.PA317/pLHC2547细胞DNA以NC3和NC4为引物扩增所得322bp的产物; 6.M:pBR322/HinfⅠ
, 百拇医药
图3 PA317/pLHC2547细胞DNA的PCR产物及转染细胞培养上清病毒RNA的RT-PCR产物电泳
ml)筛选3周,挑出阳性克隆扩大培养,提取细胞DNA,用PCR鉴定,结果见图3。提取培养上清RNA,用HCV特异引物进行RT-PCR扩增,扩增产物进行电泳分析,均提示转染成功。
讨 论
HCV是在未弄清完整病毒的情况下,经分子克隆方法甄别和鉴定的第一个人类病毒,HCV基因组极易发生变异,被认为是准种系病毒,已发现若干型和亚型,只有5′NCR高度保守,对HCV基因复制和表达有极其重要的调控作用,体外表达实验中反义寡核苷酸选择性地封闭某一区域可强力抑制后续序列的基因表达,但还缺乏细胞内和体内的实验依据[6,7]。
以逆转录病毒作为载体能高效地转入复制细胞,因此,逆转录病毒载体已成为介导人体基因治疗的重要手段之一[8]。外源基因进入细胞后,部分随细胞的有丝分裂而丢失;部分可整合到受体细胞的基因组中,随着其分裂和增殖得以持久表达,这种细胞具有长期稳定的G418抗性。在高选择性压力下培养整合了重组病毒的包装细胞,可以防止载体携带的基因丢失,并促进转染进细胞的基因大量表达[9]。
, 百拇医药
本实验采用传统的磷酸钙-DNA共沉淀法介导基因转染PA317包装细胞。磷酸钙介导的转染方法是最为常用的方法,虽然对其机制尚未完全清楚,但据认为转染DNA是通过内吞作用进入细胞质然后进入细胞核的[5]。该方法不仅简单,而且经济可行。本实验通过磷酸钙的介导,使重组体转入PA317包装细胞,转染成功的PA317细胞能在含G418(0.6mg/ml)的培养基生长,我们还用PCR和RT-PCR对转染结果作了进一步鉴定,均提示转染的成功,从而为细胞内基因表达调控打下基础。
本课题受国家自然科学基金资助(39570285)
参考文献
1 Okamoto H,Kojima M,Okada SJ,et al.Genetic drift of hepatitis C virus during an 8.2-year infection in a chimpanzee:variability and stability.Virology,1992,190:894-899.
, http://www.100md.com
2 金冬雁.丙型肝炎病毒分子生物学研究动态和发展趣向.见:侯云德,金冬雁,主编.现代病毒学选论.北京科学出版社,1994.224-260.
3 毕胜利,白宪鹤,刘崇柏,等.我国丙型肝炎病毒河北株基因组的克隆及cDNA全序列的测序和分析.中华临床与病毒学杂志,1992,6:425-434.
4 冯学胜,郑仲承,汤钊猷,等.逆转录病毒介导的人TNF在人肝癌细胞系(SMMC)中的表达.中华微生物学和免疫学杂志,1996,16:33-36.
5 金冬雁,黎孟枫,等译.分子克隆实验指南.第二版.北京:科学出版社,1992.786-791.
6 Wakita T,Wands JR.Specific inhibition of hepatitis c virus expression by antisense oligonucleotides:in vitro model for selection of target sequence.J bio Chem,1994,269:14205-14210.
, http://www.100md.com
7 Alt M,Renz R,Hofschneider Ph,et al.Specific inhibition of hepatitis c viral gene expression by antisense phosphorothioate oligodeoxynucleotides.Hepatology,1996,22:707-717.
8 Aoki K,Yochida T,Sugimura T,et al.Liposome-mediated in vivo gene transfer of antisense K-reconstruct inhibits pancreatic tumor dissemination in the murine peritoneal cavity.Cancer Res,1995,55:3810-3816.
9 王建安,朱元晓,郑建强,等.逆转录病毒载体介导IL-2受体基因转染鼠成纤维细胞.中华微生物和免疫学杂志,1991,11:397-400., http://www.100md.com