髁状突冷冻再植后颞下颌关节改变的实验研究
作者:方平科 赵怡芳
单位:武汉市(430070)湖北医科大学口腔医学院(方平科,现为北京医科大学口腔医学院口腔颌面外科博士研究生)
关键词:髁状突;冷冻;再植
口腔医学纵横990403 摘要 目的:为颞下颌关节肿瘤的治疗及关节重建提供一定的理论依据。材料和方法:对16只未成年日本大耳白兔的右侧髁状突施行了冷冻再植术。术后所有动物正常存活,第2、4、8、12周分别处死4只动物。采用常规组织学、扫描电镜及微血管显像等对髁状突和关节盘进行观察。结果:组织学检查发现随着血供逐渐恢复,失去活力的骨被新骨“爬行替代”,而髁状突软骨的结构未完全恢复;扫描电镜检查证明了关节盘下腔面的表面结构基本正常,实验后期髁状突的表面较光滑,但无明显胶冻样物;微血管显像显示冷冻再植髁状突逐渐再血管化。16只动物中有3只的手术侧颞下颌关节发生轻度粘连。 结论 这些结果证明:髁状突冷冻再植在颞下颌关节重建时有应用的可行性。
, http://www.100md.com
中图分类号 R730.53
The changes of temporomandibular joint following reimplantaion
of freeze-treated mandibular condyles.
Fang Pingke, Zhao Yifang.
College of Stomatology, Hubei Medical University, Wuhan, 430070
Abstract Objective:This study was undertook to provide one of the rationale for reconstruction of temporomandibular joint suffering from tumor. Materials and Methods: Sixteen juvenile Japanese large ear rabbits were used in this study. The right mandibular condyles of the animals were resected, freeze-treated and reimplantated. All the animals survived without postoperative complications. The animals were sacrificed at the 2, 4, 8 and 12 weeks after the operation, respectively, and each group included four animals. Condyles and discs were examined by histopathology, scanning electron microscopy and microangiography. Results: The histologic examination exhibited creeping substitution of the newly formed bone for devitalized bone and incomplete reconstruction of the condylar cartilage layers as the implanted condyles were gradually revascularized. The scanning electron microscopy examination displayed no significant changes of the inferior surface of the discs, and smoother surface of the condyles with a little gelatinous substance at the later period of the experiment. Slight fibrous adhesions between the disc and condyle of the operated side occurred in three animals. The microangiography demonstrated the revasularization of the frozen and reimplanted condyles. Conclusion: These results indicate that the technique in this experiment is practicable for reconstruction of the temporomadibular joint.
, 百拇医药
Key words Condyle Freezing Reimplantation
颞下颌关节髁状突的肿瘤并非罕见,主要包括来源于髁状突本身的原发性良、恶性肿瘤[1,2],也有原发于下颌骨体及升支部扩展至髁状突的肿瘤。鉴于冷冻在治疗身体其他部位肿瘤有肯定的疗效[3~6],因而,如果能将发生肿瘤或被肿瘤侵及的髁状突切除,体外冷冻后再植入体内,维持其良好的解剖结构,则可能为一部分颞下颌关节肿瘤的治疗及关节重建开辟一个新方法。
本实验的目的是探讨髁状突切除、冷冻、再植入体内后的愈合机理,为该区肿瘤的治疗及关节重建提供一个理论依据。
材料和方法
1. 动物及手术方法
16只同窝群的日本大耳白兔,兔龄为3个月,体重约为2.0公斤。右侧颞下颌关节为实验侧,左侧为对照侧。戊巴比妥钠(30mg/公斤体重)静脉麻醉,术区脱毛及常规消毒铺巾后,右侧颌后颌下皮肤切口,分离颊侧软组织及骨膜,暴露出下颌升支外侧面及后缘。自乙状切迹中点至下颌角稍上方设计一斜行截骨线。在其两侧分别钻孔以供骨间固定,然后截骨,游离并取出髁状突,液氮(-196.6℃)冷冻10分钟,室温下解冻15分钟,共两个冻融周期。第二次复温后再植入原位,不锈钢丝骨间栓结,分层缝合伤口。术后第七天拆线。
, 百拇医药
2. 标本处理
动物分别在第2、4、8、12周处死。在每批处死的动物中有2只作为常规组织学切片标本,H.E染色,1只作为扫描电镜标本,1只作为微血管显像标本。
微血管的显像标本处理过程如下:动物处死后,立即分离出双侧颈总动脉及颈内、外静脉。将输液器针向远心端方向插入颈总动脉并固定。剪断颈内、外静脉。然后用输液器注入生理盐水,直至流出液完全清亮为止。结扎颈内、外静脉。用输液器注入墨汁,至压力适当,巩膜变黑为止。最后断颈,把头颅置于10%福尔马林液中固定3天。取出双侧颞下颌关节,再在10%福尔马林液中固定48小时。20%甲酸脱钙两周,流水冲洗24小时,梯度酒精脱水,丙酮及二甲苯透明、浸蜡、包埋,切成厚度为100μm的矢状切片。脱蜡、封片,光镜下观察。
结 果
一、临床观察
, 百拇医药
所有动物术后无伤口裂开及感染,实验后期右侧面部略显缩小,上下中切牙中线轻度偏向实验侧。第2、8、12周处死动物时各组中分别有1只动物的颞下颌关节下腔发生轻度粘连,无关节强直现象发生。
二、组织学检查
对照侧:兔关节盘是一种纤维软骨。按解剖区域可分为前带、中间带、后带、双板区。中间带的胶原纤维绝大部分呈前后走向,水平排列,与应力方向垂直。关节盘本体随着兔龄的增长而增厚。
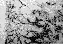
未成年兔髁状突由表及里可分如下数层(图1):纤维层、休止细胞层、增殖细胞层、透明软骨层、钙化软骨层以及软骨下骨层。随着兔龄的增加,髁状突软骨的增殖细胞层变薄。
图1 对照侧,髁状突及关节盘的组织学图像(HE,×10)
, 百拇医药
实验侧:术后2周,关节盘形态结构基本正常。髁状突软骨细胞的细胞形态存在,但细胞核溶解消失或残留遗迹(图2)。软骨下骨内骨细胞死亡,细胞核溶解、消失。除髁状突周边外,中央坏死区无肉芽组织侵入,无成骨及破骨活动。髁状突基本上保持其原来的形态。
图2 实验侧,髁状突冷冻再植后2周的组织学图像(HE,×20)
术后4周,关节盘形态结构无明显异常,髁状突被肉芽组织包绕,已发生明显改变。肉芽组织内有较多的软骨内成骨灶。在肉芽组织侵入的前沿地带, 成骨区、破骨区、死骨区同时并存现象比较普遍。
术后8周,有1只动物的髁状突与关节盘发生部分粘连(图3)。关节盘变厚,胶原纤维排列紊乱,方向不一。再植髁状突浅层可见肉芽组织,纤维层较明显,缺乏透明软骨层。钙化软骨层较薄且不明显。软骨下骨层成骨活动旺盛, 细胞周缘有类骨质存在,骨髓清晰可见。
, 百拇医药
图3 实验侧,术后8周可见髁状突浅面与关节盘粘连(HE,×10)
术后12周,关节盘形态结构类似对照侧,但胶原纤维排列方向不一。髁状突外形不规则,周围仍有少量的肉芽组织包绕,但较实验早期明显减少。在肉芽组织与骨组织的交界区仍可见到成骨活动,但远不如第8周的成骨活动明显。髁状突的软骨下骨层以骨细胞为主,成骨细胞较少。
三、扫描电镜检查
对照侧:关节盘的中央区呈沟回样,由许多排列不太规则的嵴及其间较平坦的区域组成,周边为比较粗大而的沟嵴。整个关节盘下腔面覆盖一层冻胶样物质。
髁状突的中央区比较平坦光滑,外周的表面呈沟嵴状。关节表面覆盖一层平滑的冻胶样物质。
实验侧:术后2周,关节盘表面所见类似非手术侧。髁状突表面呈结节样突起,无冻胶样物质存在。术后4周,关节盘及髁状突表面结构基本上同2周的标本。
, http://www.100md.com
术后8周及12周,关节盘表面结构基本。髁状突表面绝大部分区域较平坦,但未见明显冻胶样物。
四、微血管显像
对照侧:髁状突表层无血管,透明软骨层中可见到着色深浅不一呈带状分布的墨汁迹像,钙化软骨层可以看到充盈的血管未梢。软骨下骨层可以看到明显的呈树状分支的血管,其深部的骨髓腔内可以看到较大的分枝状的血管及呈团块状的“墨汁池”(图4)。
图4 对照侧,髁状突的墨汁充盈像(微血管显像,×10)
实验侧:术后2周,从髁状突软骨直至深层的骨髓腔均看不到任何血管充盈像。术后4周,透明软骨层出现较淡而稀疏的墨汁染迹,钙化软骨层及软骨下骨层可以见到树枝状但管径较细的血管,数量较少。骨髓腔中见散在的比较细小的分枝状血管。
, http://www.100md.com
术后8周,髁状表层有极少量纤细的血管。钙化软骨层、软骨下骨层以及骨髓腔内的血管均较第4周的血管数量为多,直径为大。术后12周,髁状突表层有零星、稀疏的血管,其中的一部分至髁状突深层与来自软骨下骨层的血管吻合。软骨下骨层的血管较第8周多,而且管径较粗。骨髓腔内存在较粗大的分枝血管及部分“墨汁池”(图5)。
图5 实验侧(12周),髁状突中的血管(微血管显像,×10)
讨 论
髁状突的肿瘤手术切除后如何修复或重建颞下颌关节的问题,一直未能得到比较圆满的解决。颞下颌关节的重建,按其材料来源可分为自体材料重建、同种异体材料重建、异种材料重建以及异质成形材料重建。由于这些材料本身存在着不可避免的局限性[5-8],因而,探索一种不仅能达到根治肿瘤的目的,而且兼具自体材料无继发性危害以及异质成形材料能够恢复关节良好解剖关系之优点的方法,将具有重要的临床意义。冷冻外科的发展将有可能使这一设想变成现实。
, 百拇医药
本项实验证明:髁状突再植后,咀嚼功能迅速恢复,绝大部分关节术后均无粘连发生,实验侧关节盘组织学特征或表面形态几乎没有异常变化。虽然髁状突软骨的结构未完全恢复,但髁状突表面光滑说明了髁状突冷冻再植具有很大的应用可行性。
然而,我们在实验中观察到手术后的动物随着年龄的增长,出现一定程度的下颌中线向手术侧偏斜。其原因可能有如下几点:(1)斜行截骨线造成的骨质缺损;(2)升支高度降低所造成髁状突功能的刺激减弱影响髁状突生长、发育;(3)非成年兔的髁状突生长中心破坏;(4)手术切断面面造成面部肌肉萎缩。根据“功能性基质”理论[9],肌肉萎缩及软组织发育不足可能导致该侧髁状突及下颌骨的生长发育障碍。
在髁状突冷冻再植的动物中,血管象恢复较即刻再植的动物慢,早期表面的形态学改变较即刻再植的动物更为明显[10]。冷冻再植的髁状突,失去活力的骨被新骨逐渐爬行替代,而髁状突表面的结构似是通过髁状突颈部的骨膜修复。组织学上,髁状突表面的软骨与髁状突颈部的骨膜相延续。如同骨膜中各种细胞可因局部或区域性因素作用而分化程度各异一样,髁状突软骨细胞的分化程度则因其功能状态的不同也可能出现各种不同时期的细胞或其中某些细胞之间过渡时期的细胞。实验12周的动物中,关节表面仍无典型的透明软骨细胞层。但随着时间的推移、关节功能的恢复,关节表面软骨结构可否完全恢复尚不清楚。
, http://www.100md.com
参考文献
1 Thomas KH. Tumors of the condyle and temporomandibular joint. Oral Surg,1954,7:1091
2 Thomas KH, Goldman HM. Oral Pathology.5th ed. C.V mosby Company, 1960:866-871
3 Sippel HW, Emmings FG. Cryotheray in the treatment of recurrent ossifying fibroma: report of a case. J Oral Surg,1969,27:32
4 Marciani RD, Roth GI, White DK. Healing of reimplanted freeze-treated maxillary bone. J Oral Maxillofac Surg,1982,40:401
, 百拇医药
5 Salmassy DA, Pogrel MA. Liquid nitrogen cryosurgery and immediate bone grafting in the management of aggressive primary jaw lesions,1995,53:784
6 Dong YJ, Zhang GZ, Wang SP, et al. The use of immediate frozen autogenous mandibular reconstruction.Br.J Oral Maxillofac Surg,1996,34:58
7 Buckley M J, Merrill RG, Braun TW. Surgical management of internal derangement of the temporomandibular joint. J Oral Maxillofac Surg,1993,51(suppl,1):20
, 百拇医药
8 Macintosh RB. The case for autogenous reconstruction of the adult temporomandibular joint. In: Worthington P, Evans J(ed). Controversies in oral and maxilofacial surgery. Philadelphia: WB Saunders Company. 1994:356 -380
9 Daniels S, Ellis III E, Carlson DS. Histologic analysis costochondral and sternoclavicular grafts in the TMJ of the juvenile monkey. J Oral Maxillofac Surg. 1987,45,675
10 韩明生,赵怡芳. 髁状突即刻再植后的扫描电镜观察. 口腔医学纵横,1997,13(3):140
[收稿:1999-01-05], 百拇医药
单位:武汉市(430070)湖北医科大学口腔医学院(方平科,现为北京医科大学口腔医学院口腔颌面外科博士研究生)
关键词:髁状突;冷冻;再植
口腔医学纵横990403 摘要 目的:为颞下颌关节肿瘤的治疗及关节重建提供一定的理论依据。材料和方法:对16只未成年日本大耳白兔的右侧髁状突施行了冷冻再植术。术后所有动物正常存活,第2、4、8、12周分别处死4只动物。采用常规组织学、扫描电镜及微血管显像等对髁状突和关节盘进行观察。结果:组织学检查发现随着血供逐渐恢复,失去活力的骨被新骨“爬行替代”,而髁状突软骨的结构未完全恢复;扫描电镜检查证明了关节盘下腔面的表面结构基本正常,实验后期髁状突的表面较光滑,但无明显胶冻样物;微血管显像显示冷冻再植髁状突逐渐再血管化。16只动物中有3只的手术侧颞下颌关节发生轻度粘连。 结论 这些结果证明:髁状突冷冻再植在颞下颌关节重建时有应用的可行性。
, http://www.100md.com
中图分类号 R730.53
The changes of temporomandibular joint following reimplantaion
of freeze-treated mandibular condyles.
Fang Pingke, Zhao Yifang.
College of Stomatology, Hubei Medical University, Wuhan, 430070
Abstract Objective:This study was undertook to provide one of the rationale for reconstruction of temporomandibular joint suffering from tumor. Materials and Methods: Sixteen juvenile Japanese large ear rabbits were used in this study. The right mandibular condyles of the animals were resected, freeze-treated and reimplantated. All the animals survived without postoperative complications. The animals were sacrificed at the 2, 4, 8 and 12 weeks after the operation, respectively, and each group included four animals. Condyles and discs were examined by histopathology, scanning electron microscopy and microangiography. Results: The histologic examination exhibited creeping substitution of the newly formed bone for devitalized bone and incomplete reconstruction of the condylar cartilage layers as the implanted condyles were gradually revascularized. The scanning electron microscopy examination displayed no significant changes of the inferior surface of the discs, and smoother surface of the condyles with a little gelatinous substance at the later period of the experiment. Slight fibrous adhesions between the disc and condyle of the operated side occurred in three animals. The microangiography demonstrated the revasularization of the frozen and reimplanted condyles. Conclusion: These results indicate that the technique in this experiment is practicable for reconstruction of the temporomadibular joint.
, 百拇医药
Key words Condyle Freezing Reimplantation
颞下颌关节髁状突的肿瘤并非罕见,主要包括来源于髁状突本身的原发性良、恶性肿瘤[1,2],也有原发于下颌骨体及升支部扩展至髁状突的肿瘤。鉴于冷冻在治疗身体其他部位肿瘤有肯定的疗效[3~6],因而,如果能将发生肿瘤或被肿瘤侵及的髁状突切除,体外冷冻后再植入体内,维持其良好的解剖结构,则可能为一部分颞下颌关节肿瘤的治疗及关节重建开辟一个新方法。
本实验的目的是探讨髁状突切除、冷冻、再植入体内后的愈合机理,为该区肿瘤的治疗及关节重建提供一个理论依据。
材料和方法
1. 动物及手术方法
16只同窝群的日本大耳白兔,兔龄为3个月,体重约为2.0公斤。右侧颞下颌关节为实验侧,左侧为对照侧。戊巴比妥钠(30mg/公斤体重)静脉麻醉,术区脱毛及常规消毒铺巾后,右侧颌后颌下皮肤切口,分离颊侧软组织及骨膜,暴露出下颌升支外侧面及后缘。自乙状切迹中点至下颌角稍上方设计一斜行截骨线。在其两侧分别钻孔以供骨间固定,然后截骨,游离并取出髁状突,液氮(-196.6℃)冷冻10分钟,室温下解冻15分钟,共两个冻融周期。第二次复温后再植入原位,不锈钢丝骨间栓结,分层缝合伤口。术后第七天拆线。
, 百拇医药
2. 标本处理
动物分别在第2、4、8、12周处死。在每批处死的动物中有2只作为常规组织学切片标本,H.E染色,1只作为扫描电镜标本,1只作为微血管显像标本。
微血管的显像标本处理过程如下:动物处死后,立即分离出双侧颈总动脉及颈内、外静脉。将输液器针向远心端方向插入颈总动脉并固定。剪断颈内、外静脉。然后用输液器注入生理盐水,直至流出液完全清亮为止。结扎颈内、外静脉。用输液器注入墨汁,至压力适当,巩膜变黑为止。最后断颈,把头颅置于10%福尔马林液中固定3天。取出双侧颞下颌关节,再在10%福尔马林液中固定48小时。20%甲酸脱钙两周,流水冲洗24小时,梯度酒精脱水,丙酮及二甲苯透明、浸蜡、包埋,切成厚度为100μm的矢状切片。脱蜡、封片,光镜下观察。
结 果
一、临床观察
, 百拇医药
所有动物术后无伤口裂开及感染,实验后期右侧面部略显缩小,上下中切牙中线轻度偏向实验侧。第2、8、12周处死动物时各组中分别有1只动物的颞下颌关节下腔发生轻度粘连,无关节强直现象发生。
二、组织学检查
对照侧:兔关节盘是一种纤维软骨。按解剖区域可分为前带、中间带、后带、双板区。中间带的胶原纤维绝大部分呈前后走向,水平排列,与应力方向垂直。关节盘本体随着兔龄的增长而增厚。
未成年兔髁状突由表及里可分如下数层(图1):纤维层、休止细胞层、增殖细胞层、透明软骨层、钙化软骨层以及软骨下骨层。随着兔龄的增加,髁状突软骨的增殖细胞层变薄。
图1 对照侧,髁状突及关节盘的组织学图像(HE,×10)
, 百拇医药
实验侧:术后2周,关节盘形态结构基本正常。髁状突软骨细胞的细胞形态存在,但细胞核溶解消失或残留遗迹(图2)。软骨下骨内骨细胞死亡,细胞核溶解、消失。除髁状突周边外,中央坏死区无肉芽组织侵入,无成骨及破骨活动。髁状突基本上保持其原来的形态。
图2 实验侧,髁状突冷冻再植后2周的组织学图像(HE,×20)
术后4周,关节盘形态结构无明显异常,髁状突被肉芽组织包绕,已发生明显改变。肉芽组织内有较多的软骨内成骨灶。在肉芽组织侵入的前沿地带, 成骨区、破骨区、死骨区同时并存现象比较普遍。
术后8周,有1只动物的髁状突与关节盘发生部分粘连(图3)。关节盘变厚,胶原纤维排列紊乱,方向不一。再植髁状突浅层可见肉芽组织,纤维层较明显,缺乏透明软骨层。钙化软骨层较薄且不明显。软骨下骨层成骨活动旺盛, 细胞周缘有类骨质存在,骨髓清晰可见。
, 百拇医药
图3 实验侧,术后8周可见髁状突浅面与关节盘粘连(HE,×10)
术后12周,关节盘形态结构类似对照侧,但胶原纤维排列方向不一。髁状突外形不规则,周围仍有少量的肉芽组织包绕,但较实验早期明显减少。在肉芽组织与骨组织的交界区仍可见到成骨活动,但远不如第8周的成骨活动明显。髁状突的软骨下骨层以骨细胞为主,成骨细胞较少。
三、扫描电镜检查
对照侧:关节盘的中央区呈沟回样,由许多排列不太规则的嵴及其间较平坦的区域组成,周边为比较粗大而的沟嵴。整个关节盘下腔面覆盖一层冻胶样物质。
髁状突的中央区比较平坦光滑,外周的表面呈沟嵴状。关节表面覆盖一层平滑的冻胶样物质。
实验侧:术后2周,关节盘表面所见类似非手术侧。髁状突表面呈结节样突起,无冻胶样物质存在。术后4周,关节盘及髁状突表面结构基本上同2周的标本。
, http://www.100md.com
术后8周及12周,关节盘表面结构基本。髁状突表面绝大部分区域较平坦,但未见明显冻胶样物。
四、微血管显像
对照侧:髁状突表层无血管,透明软骨层中可见到着色深浅不一呈带状分布的墨汁迹像,钙化软骨层可以看到充盈的血管未梢。软骨下骨层可以看到明显的呈树状分支的血管,其深部的骨髓腔内可以看到较大的分枝状的血管及呈团块状的“墨汁池”(图4)。
图4 对照侧,髁状突的墨汁充盈像(微血管显像,×10)
实验侧:术后2周,从髁状突软骨直至深层的骨髓腔均看不到任何血管充盈像。术后4周,透明软骨层出现较淡而稀疏的墨汁染迹,钙化软骨层及软骨下骨层可以见到树枝状但管径较细的血管,数量较少。骨髓腔中见散在的比较细小的分枝状血管。
, http://www.100md.com
术后8周,髁状表层有极少量纤细的血管。钙化软骨层、软骨下骨层以及骨髓腔内的血管均较第4周的血管数量为多,直径为大。术后12周,髁状突表层有零星、稀疏的血管,其中的一部分至髁状突深层与来自软骨下骨层的血管吻合。软骨下骨层的血管较第8周多,而且管径较粗。骨髓腔内存在较粗大的分枝血管及部分“墨汁池”(图5)。
图5 实验侧(12周),髁状突中的血管(微血管显像,×10)
讨 论
髁状突的肿瘤手术切除后如何修复或重建颞下颌关节的问题,一直未能得到比较圆满的解决。颞下颌关节的重建,按其材料来源可分为自体材料重建、同种异体材料重建、异种材料重建以及异质成形材料重建。由于这些材料本身存在着不可避免的局限性[5-8],因而,探索一种不仅能达到根治肿瘤的目的,而且兼具自体材料无继发性危害以及异质成形材料能够恢复关节良好解剖关系之优点的方法,将具有重要的临床意义。冷冻外科的发展将有可能使这一设想变成现实。
, 百拇医药
本项实验证明:髁状突再植后,咀嚼功能迅速恢复,绝大部分关节术后均无粘连发生,实验侧关节盘组织学特征或表面形态几乎没有异常变化。虽然髁状突软骨的结构未完全恢复,但髁状突表面光滑说明了髁状突冷冻再植具有很大的应用可行性。
然而,我们在实验中观察到手术后的动物随着年龄的增长,出现一定程度的下颌中线向手术侧偏斜。其原因可能有如下几点:(1)斜行截骨线造成的骨质缺损;(2)升支高度降低所造成髁状突功能的刺激减弱影响髁状突生长、发育;(3)非成年兔的髁状突生长中心破坏;(4)手术切断面面造成面部肌肉萎缩。根据“功能性基质”理论[9],肌肉萎缩及软组织发育不足可能导致该侧髁状突及下颌骨的生长发育障碍。
在髁状突冷冻再植的动物中,血管象恢复较即刻再植的动物慢,早期表面的形态学改变较即刻再植的动物更为明显[10]。冷冻再植的髁状突,失去活力的骨被新骨逐渐爬行替代,而髁状突表面的结构似是通过髁状突颈部的骨膜修复。组织学上,髁状突表面的软骨与髁状突颈部的骨膜相延续。如同骨膜中各种细胞可因局部或区域性因素作用而分化程度各异一样,髁状突软骨细胞的分化程度则因其功能状态的不同也可能出现各种不同时期的细胞或其中某些细胞之间过渡时期的细胞。实验12周的动物中,关节表面仍无典型的透明软骨细胞层。但随着时间的推移、关节功能的恢复,关节表面软骨结构可否完全恢复尚不清楚。
, http://www.100md.com
参考文献
1 Thomas KH. Tumors of the condyle and temporomandibular joint. Oral Surg,1954,7:1091
2 Thomas KH, Goldman HM. Oral Pathology.5th ed. C.V mosby Company, 1960:866-871
3 Sippel HW, Emmings FG. Cryotheray in the treatment of recurrent ossifying fibroma: report of a case. J Oral Surg,1969,27:32
4 Marciani RD, Roth GI, White DK. Healing of reimplanted freeze-treated maxillary bone. J Oral Maxillofac Surg,1982,40:401
, 百拇医药
5 Salmassy DA, Pogrel MA. Liquid nitrogen cryosurgery and immediate bone grafting in the management of aggressive primary jaw lesions,1995,53:784
6 Dong YJ, Zhang GZ, Wang SP, et al. The use of immediate frozen autogenous mandibular reconstruction.Br.J Oral Maxillofac Surg,1996,34:58
7 Buckley M J, Merrill RG, Braun TW. Surgical management of internal derangement of the temporomandibular joint. J Oral Maxillofac Surg,1993,51(suppl,1):20
, 百拇医药
8 Macintosh RB. The case for autogenous reconstruction of the adult temporomandibular joint. In: Worthington P, Evans J(ed). Controversies in oral and maxilofacial surgery. Philadelphia: WB Saunders Company. 1994:356 -380
9 Daniels S, Ellis III E, Carlson DS. Histologic analysis costochondral and sternoclavicular grafts in the TMJ of the juvenile monkey. J Oral Maxillofac Surg. 1987,45,675
10 韩明生,赵怡芳. 髁状突即刻再植后的扫描电镜观察. 口腔医学纵横,1997,13(3):140
[收稿:1999-01-05], 百拇医药