牙髓损伤性刺激对牙髓组织中P物质等的影响*
作者:朱美玲1 赵 皿1 胡三觉2
单位:第四军医大学:1.口腔医学院,2.神经科学研究所,陕西 西安 710032
关键词:急性牙髓炎;开髓;牙髓;P物质;降钙素基因相关肽
牙体牙髓牙周病学杂志990216 摘要 目的: 比较和分析急性牙髓炎和牙齿开髓刺激后,牙髓组织中P物质(SP)、降钙素基因相关肽(CGRP)的变化。方法:利用免疫组织化学方法观察大鼠牙齿开髓后2h、4h和急性牙髓炎2h、4h组牙髓组织中SP、CGRP免疫阳性纤维的变化。结果:牙髓炎性及机械损伤性伤害刺激引起牙髓组织SP/CGRP免疫阳性纤维一致性变化。牙齿开髓及牙髓炎2h、4h组牙髓组织中SP、CGRP免疫阳性纤维减少。结论:两种刺激均引起牙髓组织内神经末梢释放SP、CGRP。
, http://www.100md.com 中图号:R338.3 文献标识码:A 文章编号:1005-2593(1999)02-0133-03
[牙体牙髓牙周病学杂志,1999,9(2):133
Effect of noxious pulpal stimulation on SP and
CGRP in pulpal tissue
Zhu Meiling, Zhao Min, Hu Sanjue
School of Stomatology, The Fourth Military Medical University, Xian 710032
Abstract Aim: To investigate the change of SP and CGRP in the pulpal tissue with acute pulpitis and after opening of pulp chamber. Method: To observe the change of the SP- and CGRP- immunoreactive fibres in the pulpal tissue of rat by immunohistochemical method. Results: The changes of SP- and CGRP- immunoreactive fibres in the pulpal tissue were identical in the two noxious stimulations. These fibres decreased at 2h and 4h after stimulations. Conclusion: The two stimulations lead to the release of SP and CGRP from the pulp nervous terminals.
, 百拇医药
Key words acute pulpitis;opening of pulp chamber;pulp;SP;CGRP
[Chinese Journal of Conservative Dentiststry, 1999,9(2):133]
牙齿受到伤害性刺激后,一方面引起传入纤维兴奋,在中枢端释放神经递质及神经调质,引起痛觉传递过程。另一方面通过轴突反射,牙髓神经末梢向牙髓组织中大量释放SP、CGRP 等神经调节物质[1],在外周组织中发挥生物学效能,参与伤害性感受、炎症、免疫等反应。曹志中[2]实验证实牙髓炎5h,牙髓组织内CGRP免疫阳性染色变得稀疏,SP免疫阳性纤维增多,我们将进一步观察并比较牙髓炎和机械损伤状况下牙髓组织中SP和CGRP免疫阳性纤维的变化,分析牙髓炎和机械损伤性伤害刺激时,牙髓组织中SP、CGRP 的变化及可能作用。
, 百拇医药
1 材料和方法
实验用雄性SD大鼠,体重165~230g。分5个实验组:①正常大鼠(n=4),②开髓2h组(n=4),③开髓4h组(n=4),④牙髓炎2h组(n=4),⑤牙髓炎4h组(n=4)。4g/L戊巴比妥钠1ml/100g腹腔注射。待动物麻醉后,实验组大鼠第一磨牙面开髓至点状露髓,探针搔刮穿髓点3~4次。炎症组大鼠封1%角叉菜胶2h或4h。开髓组封生理盐水1h、2h或4h。待动物到规定时间点后,在深度麻醉状态下,经心脏灌注40g/L多聚甲醛500ml,1.5h。固定结束后取实验侧上颌骨入100g/L EDTA中,4℃脱钙10d。将脱钙的上颌骨入200g/L蔗糖中,4℃ 24h。恒冷箱切片机切片,片厚30μm,收集到0.01mol/L PBS中浸泡,行ABC免疫组织化学染色。同时取一套切片行一抗抗体替代免疫组织化学染色。
2 结果
2.1 正常大鼠牙髓内SP/CGRP免疫阳性纤维的形态
, http://www.100md.com
正常大鼠第一磨牙牙髓组织中含有丰富的CGRP免疫阳性纤维。粗大的神经纤维束由根尖孔进入,经根髓直达冠髓,在冠髓顶部成牙本质细胞下层,纤维长轴与冠髓顶近平行排列成网状,大量CGRP免疫阳性纤维从网状结构中分出垂直进入成牙本质细胞层及牙本质内层。牙颈部和牙根部较少见到成牙本质细胞下CGRP免疫阳性纤维的网状分布。牙髓组织中SP免疫阳性纤维的数量明显少于CGRP免疫阳性纤维,根髓内SP免疫阳性纤维呈束状进入冠髓。形成不典型的成牙本质细胞下神经丛 (图1)。
图1 正常大鼠牙髓组织中SP、CGRP免疫阳性纤维的分布 (×60)
A:正常大鼠冠髓内成牙本质细胞下层CGRP免疫阳性纤维网和成牙本质细胞层、牙本质小管内CGRP免疫阳性纤维
B:正常大鼠冠髓内SP免疫阳性纤维 C:正常大鼠根髓内SP免疫阳性纤维
, 百拇医药
2.2 牙髓炎性及机械损伤性刺激引起牙髓组织SP/CGRP免疫阳性纤维的变化
牙髓炎性及机械损伤性伤害刺激引起牙髓组织SP/CGRP免疫阳性纤维一致性变化。牙齿开髓及牙髓炎2h组牙髓组织中CGRP阳性纤维少见。正常的成牙本质细胞下CGRP免疫阳性纤维网状结构消失。牙本质小管内极少见 CGRP免疫阳性纤维。牙髓组织中SP免疫阳性纤维更为少见。牙齿开髓4h组与2h组无明显差异,但图像处理的SP/CGRP免疫阳性纤维的灰度值高于2h组,并可见轻度血管扩张。牙髓炎症4 h组可见稀疏的SP围绕在极度扩张的血管周围(图2)。
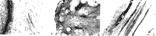
图2 牙髓伤害性刺激对牙髓组织SP、CGRP免疫阳性纤维数量的影响(×60)
A:牙齿开髓2h组,冠髓内CGRP免疫阳性纤维少见 B:牙髓炎4h组,冠髓内SP免疫阳性纤维围绕在血管周围
, 百拇医药
C:牙髓炎4h组,根髓内SP免疫阳性纤维沿血管走行
3 讨论
3.1 牙齿伤害性刺激对牙髓神经释放SP、CGRP的影响
研究证实[3],伤害性刺激对牙髓组织中SP/CGRP免疫阳性纤维表达呈双相性影响:轻度牙髓损伤引起CGRP免疫阳性染色增强,重度牙髓损伤使CGRP免疫阳性染色消失或减弱。急性炎症早期SP/CGRP免疫阳性纤维消失,急性炎症后期、慢性炎症和长期损伤引起牙髓组织SP/CGRP免疫阳性纤维增强。我们观察到无论是牙齿开髓还是牙髓炎的早期,牙髓组织中CGRP免疫阳性纤维及SP免疫阳性纤维均明显降低,结合他人的实验我们认为牙髓组织中SP/CGRP免疫阳性纤维的变化与刺激后的时间点有关。在我们另外的实验中发现,相同的牙齿伤害性刺激引起三叉神经节中PPTA mRNA及CGRP mRNA表达增强。说明牙髓炎性及机械损伤性刺激可以激活牙髓神经的传出功能,牙髓神经释放SP和CGRP 增多,使牙髓组织中CGRP免疫阳性纤维及SP免疫阳性纤维减少。
, 百拇医药
3.2 SP、CGRP对牙髓神经末梢感受性的影响
实验证实,SP、CGRP均引起牙髓组织血管扩张及浆液渗出[4,5],使牙髓腔内压增高,提高牙髓神经末梢兴奋性。SP和CGRP还可导致免疫活性细胞释放组织胺、5-HT等物质[6],进一步促进前列腺素和缓激肽的形成,引起神经末梢的兴奋。P物质本身也是一种致痛物质。上述因素的共同结果可能使牙髓神经末梢感受性增高。
3.3 SP、CGRP对牙髓组织微循环、免疫、炎症及修复反应的影响
以往的观点认为[7],牙髓受到物理、化学、细菌毒素的侵害,引起组织细胞释放各种炎性介质,造成牙髓微循环的改变。牙髓微循环障碍加之细菌毒素的作用导致炎症扩散。新近的概念认为[1],任何刺激都可引起牙髓神经末梢向牙髓中释放SP、CGRP等神经肽。这些神经肽引起逆行性血管变化。SP参与了早期的血管扩张活动以及浆液渗出过程,CGRP参与了晚期血管扩张过程[4,5,9,10]。本实验结果支持上述结论。
, 百拇医药
Byers[13]发现,无感觉神经支配的牙比有神经支配牙在类似的损伤条件下更容易坏死。提示神经肽在牙髓组织防御及修复反应中发挥作用。牙髓组织中免疫活性细胞,如巨噬细胞与SP和CGRP神经纤维非常接近,并可见细胞与末梢膨大处的接触[14],在冠髓成牙本质细胞下层这种接触联系更广泛 ,占CGRP纤维70%以上,占SP阳性纤维的50%。这些空间上的联系提示牙髓组织中也存在着神经免疫系统的相互作用。一般认为神经释放SP和CGRP等神经肽,作用于淋巴细胞促进免疫反应,作用于巨噬细胞,使巨噬细胞释放各种细胞因子,并引起中性粒细胞的粘附、游走和趋化,参与免疫、炎性防御及修复反应[11,12]。
* 国家自然科学基金资助项目(39370736)
参考文献
1 Matthews B, Vongsavan N. Interactions between neural and hydrodynamic mechanisms in dentine and pulp. Arch Oral Biol, 1994,39(Suppl):87S
, 百拇医药
2 曹志中,牙髓炎性痛过敏机制的实验研究:[学位论文]. 西安:第四军医大学口腔医学院,1995
3 Grutzner EH, Garry MG, Hargreaves KM. Effect of injury on pulpal levels of immunoreactive substance P and immunoreactive calctionin gene-related peptide. J Endod, 1992,18(11):553
4 Kerezoudis NP, Olgart L, Edwall L. Involvement of substance P but not nitric oxide or calcitonin gene-related peptide in neurogenic plasma extravasation in rat incisor pulp and lip. Arch Oral Biol, 1994, 39(9):769
, 百拇医药
5 Kerezoudis NP, Olgart L, Edwall L. CGRP (8-37) reduces the duration but not the maximal increase of antidromic vasodilation in dental pulp and lip of the rat. Acta physiol Scand, 1994, 151(1): 73
6 片俊彦,堀哲郎. 神经系免疫应答调节. 临床免疫,1992,24(1),99
7 樊明文. 牙髓微循环的病理生理. 见:樊明文主编. 口腔医学新进展. 武汉:湖北科学技术出版社,1993
8 Luthman J, Luthman D, Hokfelt T. Occurrence and distribution of different neurochemical markers in the human dental pulp. Arch Oral Biol, 1992,37(3):1938
, http://www.100md.com
9 Kerezoudis NP, Fried K, Olgart L. Haemodynamic and immunohistochemical studies of rat incisor pulp after denervation and subsequent re-innervation. Arch Oral Biol, 1995,40(9):815
10 Kerezoudis NP, Olgart L, Edwall L. Differential effect of nitricoxide synthesis inhibition on basal blood flow and antidromic vasodilation in rat oral tissues. Eur J Pharmacol, 1993, 241(2-3): 209
11 Fristad I. Dental innervation: functions and plasticity after periph eral injury . Acta Odontol Scand, 1997,55:236
, 百拇医药
12 Peck R. Neuropeptides modulating macrophage function. Ann NY Acad Sci, 1987,496:264
13 Byers MR, Taylor PE. Effect of sensory denervation on the response of rat molar pulp to exposure injury. J Dent Res, 1993,72(3):613
14 Okiji T, Jontell M, Belichenko P et al. Structural and functional a ssociation between substance P-and Calcitonin gene-related peptide -immunoreacti ve nerv es and accessory cells in the rat dental pulp. J Dent Res, 1997,76(12):1818
收稿日期:1999-03-15, http://www.100md.com(朱美玲1 赵 皿1 胡三觉2)
单位:第四军医大学:1.口腔医学院,2.神经科学研究所,陕西 西安 710032
关键词:急性牙髓炎;开髓;牙髓;P物质;降钙素基因相关肽
牙体牙髓牙周病学杂志990216 摘要 目的: 比较和分析急性牙髓炎和牙齿开髓刺激后,牙髓组织中P物质(SP)、降钙素基因相关肽(CGRP)的变化。方法:利用免疫组织化学方法观察大鼠牙齿开髓后2h、4h和急性牙髓炎2h、4h组牙髓组织中SP、CGRP免疫阳性纤维的变化。结果:牙髓炎性及机械损伤性伤害刺激引起牙髓组织SP/CGRP免疫阳性纤维一致性变化。牙齿开髓及牙髓炎2h、4h组牙髓组织中SP、CGRP免疫阳性纤维减少。结论:两种刺激均引起牙髓组织内神经末梢释放SP、CGRP。
, http://www.100md.com 中图号:R338.3 文献标识码:A 文章编号:1005-2593(1999)02-0133-03
[牙体牙髓牙周病学杂志,1999,9(2):133
Effect of noxious pulpal stimulation on SP and
CGRP in pulpal tissue
Zhu Meiling, Zhao Min, Hu Sanjue
School of Stomatology, The Fourth Military Medical University, Xian 710032
Abstract Aim: To investigate the change of SP and CGRP in the pulpal tissue with acute pulpitis and after opening of pulp chamber. Method: To observe the change of the SP- and CGRP- immunoreactive fibres in the pulpal tissue of rat by immunohistochemical method. Results: The changes of SP- and CGRP- immunoreactive fibres in the pulpal tissue were identical in the two noxious stimulations. These fibres decreased at 2h and 4h after stimulations. Conclusion: The two stimulations lead to the release of SP and CGRP from the pulp nervous terminals.
, 百拇医药
Key words acute pulpitis;opening of pulp chamber;pulp;SP;CGRP
[Chinese Journal of Conservative Dentiststry, 1999,9(2):133]
牙齿受到伤害性刺激后,一方面引起传入纤维兴奋,在中枢端释放神经递质及神经调质,引起痛觉传递过程。另一方面通过轴突反射,牙髓神经末梢向牙髓组织中大量释放SP、CGRP 等神经调节物质[1],在外周组织中发挥生物学效能,参与伤害性感受、炎症、免疫等反应。曹志中[2]实验证实牙髓炎5h,牙髓组织内CGRP免疫阳性染色变得稀疏,SP免疫阳性纤维增多,我们将进一步观察并比较牙髓炎和机械损伤状况下牙髓组织中SP和CGRP免疫阳性纤维的变化,分析牙髓炎和机械损伤性伤害刺激时,牙髓组织中SP、CGRP 的变化及可能作用。
, 百拇医药
1 材料和方法
实验用雄性SD大鼠,体重165~230g。分5个实验组:①正常大鼠(n=4),②开髓2h组(n=4),③开髓4h组(n=4),④牙髓炎2h组(n=4),⑤牙髓炎4h组(n=4)。4g/L戊巴比妥钠1ml/100g腹腔注射。待动物麻醉后,实验组大鼠第一磨牙面开髓至点状露髓,探针搔刮穿髓点3~4次。炎症组大鼠封1%角叉菜胶2h或4h。开髓组封生理盐水1h、2h或4h。待动物到规定时间点后,在深度麻醉状态下,经心脏灌注40g/L多聚甲醛500ml,1.5h。固定结束后取实验侧上颌骨入100g/L EDTA中,4℃脱钙10d。将脱钙的上颌骨入200g/L蔗糖中,4℃ 24h。恒冷箱切片机切片,片厚30μm,收集到0.01mol/L PBS中浸泡,行ABC免疫组织化学染色。同时取一套切片行一抗抗体替代免疫组织化学染色。
2 结果
2.1 正常大鼠牙髓内SP/CGRP免疫阳性纤维的形态
, http://www.100md.com
正常大鼠第一磨牙牙髓组织中含有丰富的CGRP免疫阳性纤维。粗大的神经纤维束由根尖孔进入,经根髓直达冠髓,在冠髓顶部成牙本质细胞下层,纤维长轴与冠髓顶近平行排列成网状,大量CGRP免疫阳性纤维从网状结构中分出垂直进入成牙本质细胞层及牙本质内层。牙颈部和牙根部较少见到成牙本质细胞下CGRP免疫阳性纤维的网状分布。牙髓组织中SP免疫阳性纤维的数量明显少于CGRP免疫阳性纤维,根髓内SP免疫阳性纤维呈束状进入冠髓。形成不典型的成牙本质细胞下神经丛 (图1)。
图1 正常大鼠牙髓组织中SP、CGRP免疫阳性纤维的分布 (×60)
A:正常大鼠冠髓内成牙本质细胞下层CGRP免疫阳性纤维网和成牙本质细胞层、牙本质小管内CGRP免疫阳性纤维
B:正常大鼠冠髓内SP免疫阳性纤维 C:正常大鼠根髓内SP免疫阳性纤维
, 百拇医药
2.2 牙髓炎性及机械损伤性刺激引起牙髓组织SP/CGRP免疫阳性纤维的变化
牙髓炎性及机械损伤性伤害刺激引起牙髓组织SP/CGRP免疫阳性纤维一致性变化。牙齿开髓及牙髓炎2h组牙髓组织中CGRP阳性纤维少见。正常的成牙本质细胞下CGRP免疫阳性纤维网状结构消失。牙本质小管内极少见 CGRP免疫阳性纤维。牙髓组织中SP免疫阳性纤维更为少见。牙齿开髓4h组与2h组无明显差异,但图像处理的SP/CGRP免疫阳性纤维的灰度值高于2h组,并可见轻度血管扩张。牙髓炎症4 h组可见稀疏的SP围绕在极度扩张的血管周围(图2)。
图2 牙髓伤害性刺激对牙髓组织SP、CGRP免疫阳性纤维数量的影响(×60)
A:牙齿开髓2h组,冠髓内CGRP免疫阳性纤维少见 B:牙髓炎4h组,冠髓内SP免疫阳性纤维围绕在血管周围
, 百拇医药
C:牙髓炎4h组,根髓内SP免疫阳性纤维沿血管走行
3 讨论
3.1 牙齿伤害性刺激对牙髓神经释放SP、CGRP的影响
研究证实[3],伤害性刺激对牙髓组织中SP/CGRP免疫阳性纤维表达呈双相性影响:轻度牙髓损伤引起CGRP免疫阳性染色增强,重度牙髓损伤使CGRP免疫阳性染色消失或减弱。急性炎症早期SP/CGRP免疫阳性纤维消失,急性炎症后期、慢性炎症和长期损伤引起牙髓组织SP/CGRP免疫阳性纤维增强。我们观察到无论是牙齿开髓还是牙髓炎的早期,牙髓组织中CGRP免疫阳性纤维及SP免疫阳性纤维均明显降低,结合他人的实验我们认为牙髓组织中SP/CGRP免疫阳性纤维的变化与刺激后的时间点有关。在我们另外的实验中发现,相同的牙齿伤害性刺激引起三叉神经节中PPTA mRNA及CGRP mRNA表达增强。说明牙髓炎性及机械损伤性刺激可以激活牙髓神经的传出功能,牙髓神经释放SP和CGRP 增多,使牙髓组织中CGRP免疫阳性纤维及SP免疫阳性纤维减少。
, 百拇医药
3.2 SP、CGRP对牙髓神经末梢感受性的影响
实验证实,SP、CGRP均引起牙髓组织血管扩张及浆液渗出[4,5],使牙髓腔内压增高,提高牙髓神经末梢兴奋性。SP和CGRP还可导致免疫活性细胞释放组织胺、5-HT等物质[6],进一步促进前列腺素和缓激肽的形成,引起神经末梢的兴奋。P物质本身也是一种致痛物质。上述因素的共同结果可能使牙髓神经末梢感受性增高。
3.3 SP、CGRP对牙髓组织微循环、免疫、炎症及修复反应的影响
以往的观点认为[7],牙髓受到物理、化学、细菌毒素的侵害,引起组织细胞释放各种炎性介质,造成牙髓微循环的改变。牙髓微循环障碍加之细菌毒素的作用导致炎症扩散。新近的概念认为[1],任何刺激都可引起牙髓神经末梢向牙髓中释放SP、CGRP等神经肽。这些神经肽引起逆行性血管变化。SP参与了早期的血管扩张活动以及浆液渗出过程,CGRP参与了晚期血管扩张过程[4,5,9,10]。本实验结果支持上述结论。
, 百拇医药
Byers[13]发现,无感觉神经支配的牙比有神经支配牙在类似的损伤条件下更容易坏死。提示神经肽在牙髓组织防御及修复反应中发挥作用。牙髓组织中免疫活性细胞,如巨噬细胞与SP和CGRP神经纤维非常接近,并可见细胞与末梢膨大处的接触[14],在冠髓成牙本质细胞下层这种接触联系更广泛 ,占CGRP纤维70%以上,占SP阳性纤维的50%。这些空间上的联系提示牙髓组织中也存在着神经免疫系统的相互作用。一般认为神经释放SP和CGRP等神经肽,作用于淋巴细胞促进免疫反应,作用于巨噬细胞,使巨噬细胞释放各种细胞因子,并引起中性粒细胞的粘附、游走和趋化,参与免疫、炎性防御及修复反应[11,12]。
* 国家自然科学基金资助项目(39370736)
参考文献
1 Matthews B, Vongsavan N. Interactions between neural and hydrodynamic mechanisms in dentine and pulp. Arch Oral Biol, 1994,39(Suppl):87S
, 百拇医药
2 曹志中,牙髓炎性痛过敏机制的实验研究:[学位论文]. 西安:第四军医大学口腔医学院,1995
3 Grutzner EH, Garry MG, Hargreaves KM. Effect of injury on pulpal levels of immunoreactive substance P and immunoreactive calctionin gene-related peptide. J Endod, 1992,18(11):553
4 Kerezoudis NP, Olgart L, Edwall L. Involvement of substance P but not nitric oxide or calcitonin gene-related peptide in neurogenic plasma extravasation in rat incisor pulp and lip. Arch Oral Biol, 1994, 39(9):769
, 百拇医药
5 Kerezoudis NP, Olgart L, Edwall L. CGRP (8-37) reduces the duration but not the maximal increase of antidromic vasodilation in dental pulp and lip of the rat. Acta physiol Scand, 1994, 151(1): 73
6 片俊彦,堀哲郎. 神经系免疫应答调节. 临床免疫,1992,24(1),99
7 樊明文. 牙髓微循环的病理生理. 见:樊明文主编. 口腔医学新进展. 武汉:湖北科学技术出版社,1993
8 Luthman J, Luthman D, Hokfelt T. Occurrence and distribution of different neurochemical markers in the human dental pulp. Arch Oral Biol, 1992,37(3):1938
, http://www.100md.com
9 Kerezoudis NP, Fried K, Olgart L. Haemodynamic and immunohistochemical studies of rat incisor pulp after denervation and subsequent re-innervation. Arch Oral Biol, 1995,40(9):815
10 Kerezoudis NP, Olgart L, Edwall L. Differential effect of nitricoxide synthesis inhibition on basal blood flow and antidromic vasodilation in rat oral tissues. Eur J Pharmacol, 1993, 241(2-3): 209
11 Fristad I. Dental innervation: functions and plasticity after periph eral injury . Acta Odontol Scand, 1997,55:236
, 百拇医药
12 Peck R. Neuropeptides modulating macrophage function. Ann NY Acad Sci, 1987,496:264
13 Byers MR, Taylor PE. Effect of sensory denervation on the response of rat molar pulp to exposure injury. J Dent Res, 1993,72(3):613
14 Okiji T, Jontell M, Belichenko P et al. Structural and functional a ssociation between substance P-and Calcitonin gene-related peptide -immunoreacti ve nerv es and accessory cells in the rat dental pulp. J Dent Res, 1997,76(12):1818
收稿日期:1999-03-15, http://www.100md.com(朱美玲1 赵 皿1 胡三觉2)