尿激酶型纤溶酶原激活因子基因与胶质瘤的侵袭及预后的关系
作者:步星耀 章翔 陈恩志 刘先珍 梁景文 易声禹
单位:
章翔 陈恩志 刘先珍 梁景文 易声禹 第四军医大学西京医院神经外科(西安 710032);步星耀 河南省人民医院神经外科(郑州市 450003)
关键词:胶质瘤;纤溶酶原激活因子;基因表达
肿瘤990411 目的 探讨尿激酶型纤溶酶原激活因子(uPA)基因表达与胶质瘤发展及预后的关系。方法 采用Northern印迹分子杂交和免疫组化方法检测43例人脑胶质瘤和5例正常脑组织,其uPA mRNA和蛋白表达,并结合临床生物学参数进行综合分析。结果 上述组织或细胞均可表达2.5kb的uPA mRNA转录物,高级别胶质瘤较低级别和正常脑组织uPA mRNA表达水平明显增高(P<0.01);低级别胶质瘤与正常脑组织的表达无显著差异(P>0.05);术后18个月内复发和生存期小于3年者,uPA mRNA表达显著高于术后18个月无复发及生存期大于3年者(P<0.01);uPA mRNA表达水平与胶质瘤微血管数量呈显著相关(r=0.56,P<0.01),与患者性别、年龄及肿瘤大小无显著相关(P>0.05)。uPA蛋白主要分布在胶质母细胞瘤、间变性星形细胞瘤组织的瘤细胞及内皮细胞,低级别胶质瘤较少。结论 uPA基因表达与人脑胶质瘤恶性度、侵袭性及血管生成有关,对胶质瘤的复发和预后有一定意义。
, http://www.100md.com
CORRELATION OF UROKINASE TYPE PLASMINOGEN ACTIVATOR GENE WITH INVASION AND PROGNOSIS IN GLIOMA
Bu Xingyao, Zhang Xiang, Chen Enzhi, et al.
Dept of Neurosurgery, People's Hospital of Henan Province, Zhengzhou 450003
Objective:To investigate the relationship between the urokinase-type plasminogen activator (uPA) gene, tumor progression and prognosis in patient with glioma.Methods:The mRNA level and protein expression of uPA were examined with Northern blot hybridization and immunohistochemical method in 43 cases of glioma and 5 cases of normal brain tissues.Results:All tissues expressed 2.5 kb transcripts of uPA mRNA. The uPA mRNA level in high-grade glioma was higher than thosein low-grade glioma and normal brain (P<0.01), but not between low gradegliomas and normal brains tissues (P>0.05). Level of uPA mRNA expression in tumortissues recurred postoperatively within 18 months and less than 3 years survival period was significantly higher than the counterparts (P<0.01). uPA mRNAexpression was correlated with the microvessel quantity in gliomas (r=0.56, P<0.01) and not with sex,age of the patients and tumor size uPA protein distributed mainly in tumor cells and endothelial cells of glioblastoma and anaplastic astrocytoma, wheres it was almost undetectable in low grade glioma.Conclusion:uPA gene may take part in glioma invasion, angiogenesis and development of malignancy and play a role in theimpact of the tumor recurrence and patient's prognosis.
, 百拇医药
Key words Glioma Plasminogen activator Gene expression
Astedt等[1]首先发现肿瘤细胞能产生尿激酶型纤溶酶原激活因子(urokinase-type plasminogen activator, uPA), uPA的活性与肿瘤的恶性生物学行为相关。研究表明人uPA基因定位于10号染色体,由11个外显子构成,其编码产物介导的纤维蛋白溶解系统已在胃癌、肺癌、乳腺癌等肿瘤侵袭性研究中得到证实[2]。本文采用Northern印迹分子杂交和免疫组织化学方法对人脑胶质瘤uPA基因表达定位进行回顾性对比研究。
材料与方法
一、临床资料 标本选取第四军医大学西京医院神经外科脑胶质瘤患者手术切除标本43例。取材后立即液氮冻存;同时取相应标本的附近组织经10%福尔马林固定,行免疫组化和病理检察。参照1990年WHO脑肿瘤分类、分级标准,低级胶质瘤(LGG,Ⅰ、Ⅱ级)18例;高级胶质瘤(Ⅲ、Ⅳ级)25例,其中11例间变形星形细胞瘤(AA,Ⅲ级),14例胶质母细胞瘤(GBM,Ⅳ级)。所有病例术前均未接受化疗或放疗,首次行胶质瘤全切除或部分切除,术后辅以化疗和/或放疗。男24例,女19例,年龄3~72(平均42岁)。随访3年以上,3年内死亡22例,均为肿瘤复发,其中18个月内复发者15例。另取5例由脑减压术获得的正常脑组织作对照。
, http://www.100md.com
二、Northern blot分子杂交 组织RNA制备采用异硫氰酸胍一步法抽提总RNA,经0.8%琼脂糖凝胶电泳鉴定,明显见有28 S及18 S二条清晰的条带(见图1),余操作按文献[3]方法进行。
三、微血管计数 采用LSAB免疫组化法(抗人Ⅷ因子相关抗原抗体及LSAB试剂盒由Dako公司生产),微血管呈棕黄色,参照Maeda等[4]的方法,随机选择5个高倍(×200)瘤组织视野进行微血管数(microvessel quantity, MVQ)定量,求其平均值。
图1 组织RNA经0.8%琼脂糖凝胶电泳所示标本均见28S及18S两条清晰条带
四、uPA免疫组化检测 按常规ABC免疫方法进行。
, 百拇医药
五、统计学处理 采用两样本均数比较的t检验和直线相关分析。
结果
一、uPA Northern杂交结果 5例正常脑组织、43例胶质瘤组织均有2.5 kb片断的uPA mRNA表达,其中正常脑组织与低级别胶质瘤表达量较低,高级别胶质瘤组织有过表达。NB组与LGG(18例)组uPA mRNA水平无明显差别(P>0.05);AA(11例)组和GBM(14例)组uPA mRNA水平分别显著高于LGG组和AA组(P<0.01);术后18个月内复发(15例)和生存期小于3年者(22例)uPAmRNA表达水平显著高于术后18个月无复发(28例)及生存期大于3年者(21例)(P<0.01)(见附表)。脑胶质瘤uPA mRNA表达水平与组织MVC呈正相关(r=0.56,P<0.01),与患者性别、年龄及瘤体大小无明显相关(P>0.05)。
附表 胶质瘤uPA mRNA表达与病理、复发及预后
, http://www.100md.com
分 组
例数
uPA mRNA(
±s)
NB
5
2.54±1.20
LGG
18
2.68±2.14*
AA
11
, http://www.100md.com 14.83±5.76**
GBM
14
47.39±13.58***
复发(术后18个月)
有
15
38.59±14.62
无
28
7.02±6.67△
生存期(年)
, 百拇医药
<3年
22
35.55±15.21
>3年
21
4.42±6.73#
注:与NB比较,*P>0.05;与LGG比较,**P<0.01;与AA比较,***P<0.01;与复发组比较,△P<0.01;与生存期<3年比较,#P<0.01。
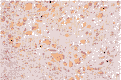
二、uPA免疫组化染色显示 uPA蛋白与uPA mRNA表达一致,主要分布在GBM、AA组织的肿瘤细胞及血管内皮细胞,定位于细胞浆(见插页第4页图4),LGG及正常脑组织则较少。
, 百拇医药
图4 多型性胶质母细胞瘤UPA表达,阳性产物定位于肿瘤细胞胞浆(ABC法宝×200)
讨论
局部侵袭是人脑胶质瘤演进的关键步骤和恶性标志。研究表明,肿瘤细胞发生侵袭,存在着细胞外基质及基底膜成分受相关蛋白溶解酶的作用。uPA是一种丝氨酸蛋白酶由肿瘤细胞或其它细胞分泌,以单链原酶形式(Pro-uPA)出现。Pro-uPA与肿瘤细胞表面uPA-R结合,激活成双链活性形式,活性uPA可使纤溶酶激活,对细胞外基质及基底膜成分起降解作用,参与或调节肿瘤细胞的迁移和侵袭过程。现已证明胃癌、乳腺癌、肺癌等肿瘤组织uPA基因及其产物表达增强,并与肿瘤的生长方式、分化程度、侵袭转移和预后等有一定关系[2]。
关于uPA与胶质瘤的关系研究,Moonen等[5]采用提纯人的uPA,通过实验诱导新生大鼠脑显微移植的GFAP阳性细胞增殖生长,提出uPA对胶质细胞具有促进有丝分裂作用。免疫荧光定位证实,人脑胶质母细胞瘤胞浆存在uPA,且产生uPA的胶质瘤细胞较不产生者生长速度快;肿瘤边缘或肿瘤浸润的脑组织,反应增生的星形细胞uPA组化染色阳性[6]。Yamamoto等[7]的研究表明,胶质瘤细胞分泌的uPA提供了启动肿瘤侵袭过程的关键性细胞机制,是造成恶性脑胶质瘤局部治疗失败的主要因素。本研究发现,正常脑组织、胶质瘤组织均可表达2.5 kb片断的uPA mRNA。其中5例正常脑组织和18例LGG均有低水平uPA mRNA表达,两组间无统计学差异(P>0.05)。随着病理分级和恶性程度的增高uPA mRNA水平呈明显上升趋势,AA组uPA mRNA水平显著高于LGG组(P<0.01);GBM组显著高于AA组(P<0.01);术后18个月复发和生存期小于3年者uPA mRNA表达水平显著高于术后18个月无复发者及生存期大于3年者(P<0.01),而且uPA蛋白与uPA mRNA表达一致,主要分布在GBM、AA组织的肿瘤细胞及血管内皮细胞,LGG组较少,提示胶质瘤细胞可合成uPA;在胶质瘤的发生发展过程中,uPA参与或促进其恶性演进;uPA基因表达对胶质瘤的复发和预后有一定意义。
, 百拇医药
血管形成本身具有一定的组织侵蚀性,瘤细胞可以沿着由新形成的血管启开的组织裂隙向外侵袭,侵蚀周围组织。伴随血管内皮细胞增生的大量微血管生成是胶质瘤细胞的恶性表型之一。尽管恶性胶质瘤细胞可产生uPA,但体内uPA的主要来源可能是血管内皮细胞。新生毛细血管顶端的内皮细胞可以分泌降解酶,使血管逐渐伸入肿瘤实质,并在肿瘤组织中形成新的血管网络。由于新生血管基底膜的缺损,瘤细胞易于穿过新生血管进入血流,易位增殖而造成肿瘤的侵袭和转移。在脑胶质瘤组织中,发现多种血管生成因子,包括FGF、VEGF、PDGF等,它们不仅是促细胞分裂原,而且也是内皮细胞产生uPA的潜在诱导剂[8]。Hsu等[6]观察发现,uPA强阳性的胶质瘤,其增生的血管内皮细胞也是阳性,推测uPA可能有助于肿瘤血管生成。本研究采用Ⅷ因子抗原的组化染色进行肿瘤微血管计数,发现其与肿瘤组织内uPA mRNA表达呈正相关。同时高恶性胶质瘤血管增生显著的内皮细胞uPA蛋白表达较高,表明uPA在胶质瘤血管生成中起重要调控作用。
本课题由国家自然科学基金资助(39470724)
, 百拇医药
第一作者简介 步星耀,男,博士后,副教授,副主任医师。
参考文献
1 Astedt B, Holimberg L. Immunological of urokinase and ovarian carcinoma plasminogen activator in tissue culture. Nature, 1976, 261:595
2 Heiss MM, Babic R, Allgayer H, et al. Tumor-associated proteolysis and prognosis: new functional risk factors in gastric cancer defined by the urokinase type plasminogen activator system. J Clin Oncol, 1995,13:2084
, http://www.100md.com
3 步星耀,金百祥,叶颖江等.nm23-H1 mRNA表达与肾母细胞瘤临床行为的关系。中国肿瘤临床,1997,24:179
4 Maeda K, Chung YS, Takatsuka S, et al. Tumor angiogenesis and tumor cell proliferation as prognostic indicators in gastric carcinoma. Br J Cancer, 1995,72:319
5 Moonen G, Grau-Wagemans MP, Selak I, et al. Plasminogen activator is a mitogen for astrocytes in developing cerebellum. Brain Res, 1985,352:41.
6 Hsu DW, Efird JT, Hedley-Whyte ET. Prognostic role of urokinase-type plasminogen activator in human gliomas. Am J Pathol, 1995, 147:114
, 百拇医药
7 Yamamoto M, Sawaya R, Mohanam S, et al. Expression and localization of urokinase-type plasminogen activator in human astrocytomas in vivo. Cancer Res, 1994,54:3656
8 Chen ZQ, Fisher RJ, Riggs CW, et al. Inhibition of vascular endothelial growth factor-induced endothelial cell migration by ETS1 antisense oligonucleotides.Cancer, 1997, 57:2031
(收稿:1998-10-26 修回:1999-03-05), 百拇医药
单位:
章翔 陈恩志 刘先珍 梁景文 易声禹 第四军医大学西京医院神经外科(西安 710032);步星耀 河南省人民医院神经外科(郑州市 450003)
关键词:胶质瘤;纤溶酶原激活因子;基因表达
肿瘤990411 目的 探讨尿激酶型纤溶酶原激活因子(uPA)基因表达与胶质瘤发展及预后的关系。方法 采用Northern印迹分子杂交和免疫组化方法检测43例人脑胶质瘤和5例正常脑组织,其uPA mRNA和蛋白表达,并结合临床生物学参数进行综合分析。结果 上述组织或细胞均可表达2.5kb的uPA mRNA转录物,高级别胶质瘤较低级别和正常脑组织uPA mRNA表达水平明显增高(P<0.01);低级别胶质瘤与正常脑组织的表达无显著差异(P>0.05);术后18个月内复发和生存期小于3年者,uPA mRNA表达显著高于术后18个月无复发及生存期大于3年者(P<0.01);uPA mRNA表达水平与胶质瘤微血管数量呈显著相关(r=0.56,P<0.01),与患者性别、年龄及肿瘤大小无显著相关(P>0.05)。uPA蛋白主要分布在胶质母细胞瘤、间变性星形细胞瘤组织的瘤细胞及内皮细胞,低级别胶质瘤较少。结论 uPA基因表达与人脑胶质瘤恶性度、侵袭性及血管生成有关,对胶质瘤的复发和预后有一定意义。
, http://www.100md.com
CORRELATION OF UROKINASE TYPE PLASMINOGEN ACTIVATOR GENE WITH INVASION AND PROGNOSIS IN GLIOMA
Bu Xingyao, Zhang Xiang, Chen Enzhi, et al.
Dept of Neurosurgery, People's Hospital of Henan Province, Zhengzhou 450003
Objective:To investigate the relationship between the urokinase-type plasminogen activator (uPA) gene, tumor progression and prognosis in patient with glioma.Methods:The mRNA level and protein expression of uPA were examined with Northern blot hybridization and immunohistochemical method in 43 cases of glioma and 5 cases of normal brain tissues.Results:All tissues expressed 2.5 kb transcripts of uPA mRNA. The uPA mRNA level in high-grade glioma was higher than thosein low-grade glioma and normal brain (P<0.01), but not between low gradegliomas and normal brains tissues (P>0.05). Level of uPA mRNA expression in tumortissues recurred postoperatively within 18 months and less than 3 years survival period was significantly higher than the counterparts (P<0.01). uPA mRNAexpression was correlated with the microvessel quantity in gliomas (r=0.56, P<0.01) and not with sex,age of the patients and tumor size uPA protein distributed mainly in tumor cells and endothelial cells of glioblastoma and anaplastic astrocytoma, wheres it was almost undetectable in low grade glioma.Conclusion:uPA gene may take part in glioma invasion, angiogenesis and development of malignancy and play a role in theimpact of the tumor recurrence and patient's prognosis.
, 百拇医药
Key words Glioma Plasminogen activator Gene expression
Astedt等[1]首先发现肿瘤细胞能产生尿激酶型纤溶酶原激活因子(urokinase-type plasminogen activator, uPA), uPA的活性与肿瘤的恶性生物学行为相关。研究表明人uPA基因定位于10号染色体,由11个外显子构成,其编码产物介导的纤维蛋白溶解系统已在胃癌、肺癌、乳腺癌等肿瘤侵袭性研究中得到证实[2]。本文采用Northern印迹分子杂交和免疫组织化学方法对人脑胶质瘤uPA基因表达定位进行回顾性对比研究。
材料与方法
一、临床资料 标本选取第四军医大学西京医院神经外科脑胶质瘤患者手术切除标本43例。取材后立即液氮冻存;同时取相应标本的附近组织经10%福尔马林固定,行免疫组化和病理检察。参照1990年WHO脑肿瘤分类、分级标准,低级胶质瘤(LGG,Ⅰ、Ⅱ级)18例;高级胶质瘤(Ⅲ、Ⅳ级)25例,其中11例间变形星形细胞瘤(AA,Ⅲ级),14例胶质母细胞瘤(GBM,Ⅳ级)。所有病例术前均未接受化疗或放疗,首次行胶质瘤全切除或部分切除,术后辅以化疗和/或放疗。男24例,女19例,年龄3~72(平均42岁)。随访3年以上,3年内死亡22例,均为肿瘤复发,其中18个月内复发者15例。另取5例由脑减压术获得的正常脑组织作对照。
, http://www.100md.com
二、Northern blot分子杂交 组织RNA制备采用异硫氰酸胍一步法抽提总RNA,经0.8%琼脂糖凝胶电泳鉴定,明显见有28 S及18 S二条清晰的条带(见图1),余操作按文献[3]方法进行。
三、微血管计数 采用LSAB免疫组化法(抗人Ⅷ因子相关抗原抗体及LSAB试剂盒由Dako公司生产),微血管呈棕黄色,参照Maeda等[4]的方法,随机选择5个高倍(×200)瘤组织视野进行微血管数(microvessel quantity, MVQ)定量,求其平均值。
图1 组织RNA经0.8%琼脂糖凝胶电泳所示标本均见28S及18S两条清晰条带
四、uPA免疫组化检测 按常规ABC免疫方法进行。
, 百拇医药
五、统计学处理 采用两样本均数比较的t检验和直线相关分析。
结果
一、uPA Northern杂交结果 5例正常脑组织、43例胶质瘤组织均有2.5 kb片断的uPA mRNA表达,其中正常脑组织与低级别胶质瘤表达量较低,高级别胶质瘤组织有过表达。NB组与LGG(18例)组uPA mRNA水平无明显差别(P>0.05);AA(11例)组和GBM(14例)组uPA mRNA水平分别显著高于LGG组和AA组(P<0.01);术后18个月内复发(15例)和生存期小于3年者(22例)uPAmRNA表达水平显著高于术后18个月无复发(28例)及生存期大于3年者(21例)(P<0.01)(见附表)。脑胶质瘤uPA mRNA表达水平与组织MVC呈正相关(r=0.56,P<0.01),与患者性别、年龄及瘤体大小无明显相关(P>0.05)。
附表 胶质瘤uPA mRNA表达与病理、复发及预后
, http://www.100md.com
分 组
例数
uPA mRNA(
NB
5
2.54±1.20
LGG
18
2.68±2.14*
AA
11
, http://www.100md.com 14.83±5.76**
GBM
14
47.39±13.58***
复发(术后18个月)
有
15
38.59±14.62
无
28
7.02±6.67△
生存期(年)
, 百拇医药
<3年
22
35.55±15.21
>3年
21
4.42±6.73#
注:与NB比较,*P>0.05;与LGG比较,**P<0.01;与AA比较,***P<0.01;与复发组比较,△P<0.01;与生存期<3年比较,#P<0.01。
二、uPA免疫组化染色显示 uPA蛋白与uPA mRNA表达一致,主要分布在GBM、AA组织的肿瘤细胞及血管内皮细胞,定位于细胞浆(见插页第4页图4),LGG及正常脑组织则较少。
, 百拇医药
图4 多型性胶质母细胞瘤UPA表达,阳性产物定位于肿瘤细胞胞浆(ABC法宝×200)
讨论
局部侵袭是人脑胶质瘤演进的关键步骤和恶性标志。研究表明,肿瘤细胞发生侵袭,存在着细胞外基质及基底膜成分受相关蛋白溶解酶的作用。uPA是一种丝氨酸蛋白酶由肿瘤细胞或其它细胞分泌,以单链原酶形式(Pro-uPA)出现。Pro-uPA与肿瘤细胞表面uPA-R结合,激活成双链活性形式,活性uPA可使纤溶酶激活,对细胞外基质及基底膜成分起降解作用,参与或调节肿瘤细胞的迁移和侵袭过程。现已证明胃癌、乳腺癌、肺癌等肿瘤组织uPA基因及其产物表达增强,并与肿瘤的生长方式、分化程度、侵袭转移和预后等有一定关系[2]。
关于uPA与胶质瘤的关系研究,Moonen等[5]采用提纯人的uPA,通过实验诱导新生大鼠脑显微移植的GFAP阳性细胞增殖生长,提出uPA对胶质细胞具有促进有丝分裂作用。免疫荧光定位证实,人脑胶质母细胞瘤胞浆存在uPA,且产生uPA的胶质瘤细胞较不产生者生长速度快;肿瘤边缘或肿瘤浸润的脑组织,反应增生的星形细胞uPA组化染色阳性[6]。Yamamoto等[7]的研究表明,胶质瘤细胞分泌的uPA提供了启动肿瘤侵袭过程的关键性细胞机制,是造成恶性脑胶质瘤局部治疗失败的主要因素。本研究发现,正常脑组织、胶质瘤组织均可表达2.5 kb片断的uPA mRNA。其中5例正常脑组织和18例LGG均有低水平uPA mRNA表达,两组间无统计学差异(P>0.05)。随着病理分级和恶性程度的增高uPA mRNA水平呈明显上升趋势,AA组uPA mRNA水平显著高于LGG组(P<0.01);GBM组显著高于AA组(P<0.01);术后18个月复发和生存期小于3年者uPA mRNA表达水平显著高于术后18个月无复发者及生存期大于3年者(P<0.01),而且uPA蛋白与uPA mRNA表达一致,主要分布在GBM、AA组织的肿瘤细胞及血管内皮细胞,LGG组较少,提示胶质瘤细胞可合成uPA;在胶质瘤的发生发展过程中,uPA参与或促进其恶性演进;uPA基因表达对胶质瘤的复发和预后有一定意义。
, 百拇医药
血管形成本身具有一定的组织侵蚀性,瘤细胞可以沿着由新形成的血管启开的组织裂隙向外侵袭,侵蚀周围组织。伴随血管内皮细胞增生的大量微血管生成是胶质瘤细胞的恶性表型之一。尽管恶性胶质瘤细胞可产生uPA,但体内uPA的主要来源可能是血管内皮细胞。新生毛细血管顶端的内皮细胞可以分泌降解酶,使血管逐渐伸入肿瘤实质,并在肿瘤组织中形成新的血管网络。由于新生血管基底膜的缺损,瘤细胞易于穿过新生血管进入血流,易位增殖而造成肿瘤的侵袭和转移。在脑胶质瘤组织中,发现多种血管生成因子,包括FGF、VEGF、PDGF等,它们不仅是促细胞分裂原,而且也是内皮细胞产生uPA的潜在诱导剂[8]。Hsu等[6]观察发现,uPA强阳性的胶质瘤,其增生的血管内皮细胞也是阳性,推测uPA可能有助于肿瘤血管生成。本研究采用Ⅷ因子抗原的组化染色进行肿瘤微血管计数,发现其与肿瘤组织内uPA mRNA表达呈正相关。同时高恶性胶质瘤血管增生显著的内皮细胞uPA蛋白表达较高,表明uPA在胶质瘤血管生成中起重要调控作用。
本课题由国家自然科学基金资助(39470724)
, 百拇医药
第一作者简介 步星耀,男,博士后,副教授,副主任医师。
参考文献
1 Astedt B, Holimberg L. Immunological of urokinase and ovarian carcinoma plasminogen activator in tissue culture. Nature, 1976, 261:595
2 Heiss MM, Babic R, Allgayer H, et al. Tumor-associated proteolysis and prognosis: new functional risk factors in gastric cancer defined by the urokinase type plasminogen activator system. J Clin Oncol, 1995,13:2084
, http://www.100md.com
3 步星耀,金百祥,叶颖江等.nm23-H1 mRNA表达与肾母细胞瘤临床行为的关系。中国肿瘤临床,1997,24:179
4 Maeda K, Chung YS, Takatsuka S, et al. Tumor angiogenesis and tumor cell proliferation as prognostic indicators in gastric carcinoma. Br J Cancer, 1995,72:319
5 Moonen G, Grau-Wagemans MP, Selak I, et al. Plasminogen activator is a mitogen for astrocytes in developing cerebellum. Brain Res, 1985,352:41.
6 Hsu DW, Efird JT, Hedley-Whyte ET. Prognostic role of urokinase-type plasminogen activator in human gliomas. Am J Pathol, 1995, 147:114
, 百拇医药
7 Yamamoto M, Sawaya R, Mohanam S, et al. Expression and localization of urokinase-type plasminogen activator in human astrocytomas in vivo. Cancer Res, 1994,54:3656
8 Chen ZQ, Fisher RJ, Riggs CW, et al. Inhibition of vascular endothelial growth factor-induced endothelial cell migration by ETS1 antisense oligonucleotides.Cancer, 1997, 57:2031
(收稿:1998-10-26 修回:1999-03-05), 百拇医药