人外周血γδT细胞选择性增殖及其体内抗肿瘤的特性研究
作者:许凯黎 陈松华 葛锡锐 周瑾 刘新垣
单位:许凯黎 周瑾 上海市肿瘤研究所(上海200032);陈松华 葛锡锐 中科院上海细胞生物学研究所;刘新垣 上海华新生物高科技有限公司
关键词:γδT细胞 选择性扩增;人肠癌LoVo细胞;体内杀伤活性
肿瘤990404 目的 观察人外周血γδT细胞在裸鼠体内的抗肿瘤效应。方法 用MEP和IL-2共刺激培养方法,扩增人外周血γδT细胞,与人肠癌细胞系(LoVo)细胞混合接种于裸鼠体皮下。结果 经共刺激培养10天后,细胞总数可增加100~300倍,γδT细胞的比率上升到70%以上。给裸鼠接种1×106 LoVo细胞1个月后,不接种γδT细胞的对照组裸鼠皮下瘤块重量为0.4 g~0.9 g,瘤块病理切片显示有明显肿瘤细胞堆积;而同时接种1×107γδT细胞的实验组裸鼠瘤块重量仅为0~0.005g,瘤块病理切片显示其中除肿瘤细胞外,还伴有增生性淋巴细胞。 结论 人外周血γδT细胞能有效地抑制人肠癌细胞LoVo在裸鼠体内的生长。
, 百拇医药
SELECTIVE EXPANSION OF HUMAN γδT CELLS AND ITS ANTITUMOR ACTIVITY IN VIVO
Xu Kaili1, Chen Songhua2, Ge Xirui2, et al.
1.Shanghai Cancer Institute 200032
, 2.Shanghai Institute of Cell Biology, Chinese Academy of Science
Objective:To investigate the antitumor activity of human peripheral γδT cellsto human colon adenocarcinoma (LoVo) in nude mice. Methods:Human γδT cells from peripheral blood mononuclear cells of healthy donors were expanded in vitro with the costimulation of MEP and IL-2. Both the expanded γδT cells and LoVo cells were inoculated subcutaneously to the nude mice, and growth of tumor was recorded. Results:When PBMC were cultured in the medium containing 1 mM MEP and 300 U/ml IL-2 for 10 days, the total cell number increased about 100~300 folds; and the ratio of γδT cells increased to above 70%. One month after inoculationof LoVo cells (without γδT cells), the weight of carcinoma in control group reached 0.4~0.9 g, however, those in the experimental group (with γδT cells) were 0~0.05 g. Conclusion:γδT cells can inhibit the growth of human colon adenocarcinoma (LoVo) in nude mice effectively.
, 百拇医药
Key words Human γδT cells Selective expansion Antitumor activity in vivo Human colon adenocarcinoma(LoVo)
肿瘤浸润性淋巴细胞(TIL)在肿瘤患者体内能够对肿瘤产生特异性的免疫攻击反应,其细胞数量多少与肿瘤患者预后之间存在密切的相关性。Zocchi等[1]报道人肺癌组织中TIL细胞中富含有γδ-T淋巴细胞,并发现该类细胞经白介素-2(IL-2)刺激下可出现大量增殖及能攻击自身肿瘤细胞的能力。据于正常人外周血及淋巴结中γδ-T细胞中约有5%的CD3+T细胞[2],因此这类细胞一旦在体外被选择性扩增和激活,就有可能杀伤肿瘤细胞。近年来,国内外一些实验室都在研究扩增γδT细胞的方法[3~5]。Chen等[6]曾采用培养液内加入IL-2及Monoethylphosphate(MEP)的共刺激培养方法,使人外周血PBMC中的γδT淋巴细胞选择性的增殖,并观察到扩增出的γδT细胞具有体外攻击一系列异体肿瘤细胞株的活性,其中包括SQ-5,Daudi,K562等。最近,有人报道人γδT淋巴细胞还具备体外杀伤自体肝癌细胞及培养的人原发性肝癌细胞株的能力[7]。尽管大量实验证据证实了人体外周血γδT细胞具有体外攻击异体肿瘤细胞的活性,但对于这类细胞是否能在体内直接杀伤或攻击异体肿瘤细胞,至今为止还未见报道。为此,本文采用Chen等建立的γδT细胞的培养方法,利用上海肿瘤所建立的荷人体肠癌细胞(LoVo)裸鼠模型,以观察γδT细胞在体内对异体肿瘤细胞的直接杀伤功效,以期为今后将γδT细胞直接应用于肿瘤过继免疫临床研究提供有效的实验依据。
, http://www.100md.com
材料与方法
1.主要试剂
RPMI 1640培养基购自Gibco公司,新型重组人IL-2(新洛尔)由上海华新生物高科技公司提供,聚蔗糖-泛影葡胺(Ficoll-Hypaque)分离液(比重1.077)为上海试剂二厂产品,MEP(Monoethylphosphate)购自日本东京化成(Tokyo Kasei)公司。PE标记的鼠抗人的γδTCR单克隆抗体(PE-anti TCRγδ-1 MAb)购自美国Becton Dickson公司。
2.选择性扩增人外周血γδT细胞[6]:
采用Ficoll-hypaque法从正常人外周血分离出单个核细胞(PBMC)。将所分离的PBMC培养于37℃,5%CO2培养箱,培养液为含10%自体血浆、300 U/ml IL-2和1 mmol/L MEP的RPMI 1640培养基。每2~3天换液或传代以维持细胞浓度在5~10×105左右。培养7~10天后,采用常规染色方法,用PE-anti-TCRγδ-1 MAb染色,于FACScan上测γδT细胞的比值。最终,用血球计数器测定培养细胞的数目。
, 百拇医药
3.人肠癌实质性移植瘤裸鼠模型的建立:
本实验采用由上海市肿瘤研究所实验动物房(SPF级)多年建成的人体肠癌LoVo的腹水性移植瘤裸鼠模型。经取1×106细胞/0.2 ml腹水瘤细胞接种于裸鼠右腋处皮下,1月内瘤块重量可达0.6g~0.9g左右,成瘤率为100%。
4.γδT细胞体内抑瘤作用:
将荷有LoVo腹水性移植瘤的裸鼠脱颈处死,无菌针筒吸取0.5 ml腹水瘤并置于消毒试管内。经无菌生理盐水洗涤3~4次除去腹水及残留血细胞,精确计数后,将107细胞分成两半,分别置于两个无菌小管中,使每个试管内含瘤细胞总数为5×106。然后,将5×107 γδT细胞加入到其中的一个小管中(实验组);同时,将5×107非γδT细胞的人外周血细胞加入另一小管中(对照组)。离心后,除去生理盐水,分别用1 ml无血清RPMI 1640培养液悬浮细胞沉积,然后,分别以0.2 ml细胞悬液/只注射于每只体重为18g~20g裸鼠右腋皮下。实验组与对照组各为5只裸鼠,均存放于无菌室通风顺流架。饲养1个月后,脱颈处死裸鼠,分别取出瘤块称重照像后,将瘤块立即放入中性福尔马林固定液。常规切片,HE染色,作病理形态观察。
, 百拇医药
结果
一、正常成年人外周血γδT细胞的体外选择性扩增
在MEP和IL-2的共刺激下,体外培养的正常成年人外周血单个核细胞(PBMC)中的γδT细胞产生选择性扩增。当MEP浓度为0.125 mmol/L、IL-2浓度为300 U/ml就可刺激γδT细胞的增殖。在MEP浓度为1mmol/L、IL-2浓度为300 U/ml时,经10天的培养,γδT细胞的比率可达70%以上,培养细胞的总数增加100~300倍。如图1所示,某典型个体的PBMC经此培养条件作用后,γδT细胞比率上升至86.52%。
图1 流式细胞仪显示γδT细胞的比率
A:在新鲜分离的PBMC中,γδT CR+细胞占7.74%
, http://www.100md.com
B:在培养10天的PBMC中,γδT CR+细胞占86.52%
二、γδT细胞对荷人肠癌移植瘤裸鼠体内的异体肿瘤的攻击作用
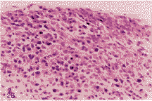
对照组的5只裸鼠均在接种处出现瘤块,瘤块的重量分别为0.4 g,0.5 g,0.6 g,0.8 g和0.9 g。而实验组的5只裸鼠中,肉眼观察仅发现3只在接种处有极小瘤块样结节,它们的重量分别为0.05 g,0.02 g和0.01 g。分别将瘤块取出后,可清楚地看出两组之间的瘤块大小的明显差异。病理观察结果显示,对照组的瘤块切片中有明显的肿瘤细胞堆积(见插页第3页图2A);实验组的瘤样结节的切片中除肿瘤细胞外,还伴有增生性淋巴细胞(见插页第3页图2B)。
图2 裸鼠皮下的瘤块大小

, 百拇医药
图2 裸鼠皮下瘤块的病理切片结果(HE×400)
A:对照组 B:实验组
讨论
肿瘤过继免疫治疗主要途径为给肿瘤患者输入高剂量的抗肿瘤的免疫活性细胞,以期达到有效地攻击体内的肿瘤细胞,而不影响机体的正常免疫系统。因此要使过继性免疫治疗在肿瘤患者取得成效,其关键问题在于能否在体外获得数量多及特异性强的免疫活性细胞。继LAK、TIL之后,研究人员一直在寻找人体内其它的抗肿瘤免疫活性细胞。γδT细胞就是近年来被发现的一种新型的具有抗肿瘤细胞毒活性的T细胞。
利用IL-2和γδTCR特异配体MEP的共刺激作用,作者成功地将人外周血γδT细胞进行了选择性扩增。实验结果表明,单一使用MEP不能诱导γδT细胞增殖;只有同时加入IL-2和MEP才能达到上述效应。有文献报道,人体外周血γδT细胞主要表达Vδ1和Vδ2基因片段[8]。据于Tanaka等[9]人报道的MEP是针对Vγ9/Vδ2 TCR的配体,因此,本文在体外增殖的γδT细胞也应为Vγ9/Vδ2亚群。近年来,国际上许多研究工作已经显示,此类细胞在进化上有一定的保守性,有许多类似于NK细胞的功能,在机体抗感染和抗肿瘤的免疫监控中具有重要的作用[10]。
, 百拇医药
本实验按10∶1的效靶比,将γδT细胞和人肠癌细胞LoVo共同接种于裸鼠皮下,1个月的饲养之后,观察到γδT细胞能有效地抑制LoVo细胞在裸鼠体内的生长。更有意义的是,作者还从病理切片中观察到,在对照组的5个瘤块切片中,癌细胞呈弥漫状分布、异质性明显,未见淋巴细胞;在实验组的一个瘤块样结节切片中,虽仍有少量癌细胞,但大小形态较一致,异型性明显不如对照组;实验组的另外两个瘤块样结节的切片中,未见有任何癌细胞,只有淋巴细胞和部分纤维化区域。作者认为γδT细胞与LoVo细胞共同进入裸鼠体内后,γδT细胞能长期存活和增殖,明显地杀伤LoVo细胞,导致LoVo癌细胞生长能力减退和恶性程度降低。这一现象至今还未见有其它文献报道。至于γδT细胞的这种对LoVo癌细胞在裸鼠体内杀伤作用的机理,还有待进一步研究。
第一作者简介 许凯黎,男,大学本科,研究员。
参考文献
1 Zocchi MR, Ferrarini M, Migone N, et al. T cell receptor Vδ gene usage by tumour reactive γδT lymphocytes infiltrating human lung cancer. Immunology, 1994,81:123
, http://www.100md.com
2 Parker CM, Groh V, Band H, et al. Evidence for extrathymic changes in the T cell receptor γ/δ repertoire. J Exp Med,1990,171:1579
3 Selin LK, Stewart S, Shen C, et al. Reactivity of γδT cells induced by the tumor cell line RPMI 8226: Functional heterogeneity of clonal populations and role of GroEL heat shock protein. Scand J Immunol, 1992,36:107
4 李新燕,张学光,张毅等.特异性体外扩增人γδT淋巴细胞及其生物学特性的研究。中华医学杂志,1997,77:111
, 百拇医药
5 于松涛,张芒,何维.抗体固相法体外扩增人肿瘤浸润γδT淋巴细胞.免疫学杂志,1997,13(4):260
6 Chen SH, Oki A, Ohno T, et al. Selective proliferation of human γδT cell invitro. Cell Res, 1996,6:177
7 沈锋,王皓,钱卫珠等.克隆化γδT细胞对自体肝癌细胞的细胞活性及机制研究.中华实验外科杂志,1998,15(1):5
8 Kaufmann SHE. γδ and other unconventional T lymphocytes: what do they see and what do they do? Proc Natl Acad Sci USA, 1996,93:2272
9 Tanaka Y, Sano S, Nieves E, et al. Nonpeptide ligands for human γδT cells. Pro Natl Acad Sci USA, 1994,91:8175
10 Poccia F, Gougeon ML, Bonneville M, et al. Innate T-cell immunity to nonpeptidic antigens. Immunology Today, 1998,19(6):253
(收稿:1998-12-30), http://www.100md.com
单位:许凯黎 周瑾 上海市肿瘤研究所(上海200032);陈松华 葛锡锐 中科院上海细胞生物学研究所;刘新垣 上海华新生物高科技有限公司
关键词:γδT细胞 选择性扩增;人肠癌LoVo细胞;体内杀伤活性
肿瘤990404 目的 观察人外周血γδT细胞在裸鼠体内的抗肿瘤效应。方法 用MEP和IL-2共刺激培养方法,扩增人外周血γδT细胞,与人肠癌细胞系(LoVo)细胞混合接种于裸鼠体皮下。结果 经共刺激培养10天后,细胞总数可增加100~300倍,γδT细胞的比率上升到70%以上。给裸鼠接种1×106 LoVo细胞1个月后,不接种γδT细胞的对照组裸鼠皮下瘤块重量为0.4 g~0.9 g,瘤块病理切片显示有明显肿瘤细胞堆积;而同时接种1×107γδT细胞的实验组裸鼠瘤块重量仅为0~0.005g,瘤块病理切片显示其中除肿瘤细胞外,还伴有增生性淋巴细胞。 结论 人外周血γδT细胞能有效地抑制人肠癌细胞LoVo在裸鼠体内的生长。
, 百拇医药
SELECTIVE EXPANSION OF HUMAN γδT CELLS AND ITS ANTITUMOR ACTIVITY IN VIVO
Xu Kaili1, Chen Songhua2, Ge Xirui2, et al.
1.Shanghai Cancer Institute 200032
, 2.Shanghai Institute of Cell Biology, Chinese Academy of Science
Objective:To investigate the antitumor activity of human peripheral γδT cellsto human colon adenocarcinoma (LoVo) in nude mice. Methods:Human γδT cells from peripheral blood mononuclear cells of healthy donors were expanded in vitro with the costimulation of MEP and IL-2. Both the expanded γδT cells and LoVo cells were inoculated subcutaneously to the nude mice, and growth of tumor was recorded. Results:When PBMC were cultured in the medium containing 1 mM MEP and 300 U/ml IL-2 for 10 days, the total cell number increased about 100~300 folds; and the ratio of γδT cells increased to above 70%. One month after inoculationof LoVo cells (without γδT cells), the weight of carcinoma in control group reached 0.4~0.9 g, however, those in the experimental group (with γδT cells) were 0~0.05 g. Conclusion:γδT cells can inhibit the growth of human colon adenocarcinoma (LoVo) in nude mice effectively.
, 百拇医药
Key words Human γδT cells Selective expansion Antitumor activity in vivo Human colon adenocarcinoma(LoVo)
肿瘤浸润性淋巴细胞(TIL)在肿瘤患者体内能够对肿瘤产生特异性的免疫攻击反应,其细胞数量多少与肿瘤患者预后之间存在密切的相关性。Zocchi等[1]报道人肺癌组织中TIL细胞中富含有γδ-T淋巴细胞,并发现该类细胞经白介素-2(IL-2)刺激下可出现大量增殖及能攻击自身肿瘤细胞的能力。据于正常人外周血及淋巴结中γδ-T细胞中约有5%的CD3+T细胞[2],因此这类细胞一旦在体外被选择性扩增和激活,就有可能杀伤肿瘤细胞。近年来,国内外一些实验室都在研究扩增γδT细胞的方法[3~5]。Chen等[6]曾采用培养液内加入IL-2及Monoethylphosphate(MEP)的共刺激培养方法,使人外周血PBMC中的γδT淋巴细胞选择性的增殖,并观察到扩增出的γδT细胞具有体外攻击一系列异体肿瘤细胞株的活性,其中包括SQ-5,Daudi,K562等。最近,有人报道人γδT淋巴细胞还具备体外杀伤自体肝癌细胞及培养的人原发性肝癌细胞株的能力[7]。尽管大量实验证据证实了人体外周血γδT细胞具有体外攻击异体肿瘤细胞的活性,但对于这类细胞是否能在体内直接杀伤或攻击异体肿瘤细胞,至今为止还未见报道。为此,本文采用Chen等建立的γδT细胞的培养方法,利用上海肿瘤所建立的荷人体肠癌细胞(LoVo)裸鼠模型,以观察γδT细胞在体内对异体肿瘤细胞的直接杀伤功效,以期为今后将γδT细胞直接应用于肿瘤过继免疫临床研究提供有效的实验依据。
, http://www.100md.com
材料与方法
1.主要试剂
RPMI 1640培养基购自Gibco公司,新型重组人IL-2(新洛尔)由上海华新生物高科技公司提供,聚蔗糖-泛影葡胺(Ficoll-Hypaque)分离液(比重1.077)为上海试剂二厂产品,MEP(Monoethylphosphate)购自日本东京化成(Tokyo Kasei)公司。PE标记的鼠抗人的γδTCR单克隆抗体(PE-anti TCRγδ-1 MAb)购自美国Becton Dickson公司。
2.选择性扩增人外周血γδT细胞[6]:
采用Ficoll-hypaque法从正常人外周血分离出单个核细胞(PBMC)。将所分离的PBMC培养于37℃,5%CO2培养箱,培养液为含10%自体血浆、300 U/ml IL-2和1 mmol/L MEP的RPMI 1640培养基。每2~3天换液或传代以维持细胞浓度在5~10×105左右。培养7~10天后,采用常规染色方法,用PE-anti-TCRγδ-1 MAb染色,于FACScan上测γδT细胞的比值。最终,用血球计数器测定培养细胞的数目。
, 百拇医药
3.人肠癌实质性移植瘤裸鼠模型的建立:
本实验采用由上海市肿瘤研究所实验动物房(SPF级)多年建成的人体肠癌LoVo的腹水性移植瘤裸鼠模型。经取1×106细胞/0.2 ml腹水瘤细胞接种于裸鼠右腋处皮下,1月内瘤块重量可达0.6g~0.9g左右,成瘤率为100%。
4.γδT细胞体内抑瘤作用:
将荷有LoVo腹水性移植瘤的裸鼠脱颈处死,无菌针筒吸取0.5 ml腹水瘤并置于消毒试管内。经无菌生理盐水洗涤3~4次除去腹水及残留血细胞,精确计数后,将107细胞分成两半,分别置于两个无菌小管中,使每个试管内含瘤细胞总数为5×106。然后,将5×107 γδT细胞加入到其中的一个小管中(实验组);同时,将5×107非γδT细胞的人外周血细胞加入另一小管中(对照组)。离心后,除去生理盐水,分别用1 ml无血清RPMI 1640培养液悬浮细胞沉积,然后,分别以0.2 ml细胞悬液/只注射于每只体重为18g~20g裸鼠右腋皮下。实验组与对照组各为5只裸鼠,均存放于无菌室通风顺流架。饲养1个月后,脱颈处死裸鼠,分别取出瘤块称重照像后,将瘤块立即放入中性福尔马林固定液。常规切片,HE染色,作病理形态观察。
, 百拇医药
结果
一、正常成年人外周血γδT细胞的体外选择性扩增
在MEP和IL-2的共刺激下,体外培养的正常成年人外周血单个核细胞(PBMC)中的γδT细胞产生选择性扩增。当MEP浓度为0.125 mmol/L、IL-2浓度为300 U/ml就可刺激γδT细胞的增殖。在MEP浓度为1mmol/L、IL-2浓度为300 U/ml时,经10天的培养,γδT细胞的比率可达70%以上,培养细胞的总数增加100~300倍。如图1所示,某典型个体的PBMC经此培养条件作用后,γδT细胞比率上升至86.52%。
图1 流式细胞仪显示γδT细胞的比率
A:在新鲜分离的PBMC中,γδT CR+细胞占7.74%
, http://www.100md.com
B:在培养10天的PBMC中,γδT CR+细胞占86.52%
二、γδT细胞对荷人肠癌移植瘤裸鼠体内的异体肿瘤的攻击作用
对照组的5只裸鼠均在接种处出现瘤块,瘤块的重量分别为0.4 g,0.5 g,0.6 g,0.8 g和0.9 g。而实验组的5只裸鼠中,肉眼观察仅发现3只在接种处有极小瘤块样结节,它们的重量分别为0.05 g,0.02 g和0.01 g。分别将瘤块取出后,可清楚地看出两组之间的瘤块大小的明显差异。病理观察结果显示,对照组的瘤块切片中有明显的肿瘤细胞堆积(见插页第3页图2A);实验组的瘤样结节的切片中除肿瘤细胞外,还伴有增生性淋巴细胞(见插页第3页图2B)。
图2 裸鼠皮下的瘤块大小
, 百拇医药
图2 裸鼠皮下瘤块的病理切片结果(HE×400)
A:对照组 B:实验组
讨论
肿瘤过继免疫治疗主要途径为给肿瘤患者输入高剂量的抗肿瘤的免疫活性细胞,以期达到有效地攻击体内的肿瘤细胞,而不影响机体的正常免疫系统。因此要使过继性免疫治疗在肿瘤患者取得成效,其关键问题在于能否在体外获得数量多及特异性强的免疫活性细胞。继LAK、TIL之后,研究人员一直在寻找人体内其它的抗肿瘤免疫活性细胞。γδT细胞就是近年来被发现的一种新型的具有抗肿瘤细胞毒活性的T细胞。
利用IL-2和γδTCR特异配体MEP的共刺激作用,作者成功地将人外周血γδT细胞进行了选择性扩增。实验结果表明,单一使用MEP不能诱导γδT细胞增殖;只有同时加入IL-2和MEP才能达到上述效应。有文献报道,人体外周血γδT细胞主要表达Vδ1和Vδ2基因片段[8]。据于Tanaka等[9]人报道的MEP是针对Vγ9/Vδ2 TCR的配体,因此,本文在体外增殖的γδT细胞也应为Vγ9/Vδ2亚群。近年来,国际上许多研究工作已经显示,此类细胞在进化上有一定的保守性,有许多类似于NK细胞的功能,在机体抗感染和抗肿瘤的免疫监控中具有重要的作用[10]。
, 百拇医药
本实验按10∶1的效靶比,将γδT细胞和人肠癌细胞LoVo共同接种于裸鼠皮下,1个月的饲养之后,观察到γδT细胞能有效地抑制LoVo细胞在裸鼠体内的生长。更有意义的是,作者还从病理切片中观察到,在对照组的5个瘤块切片中,癌细胞呈弥漫状分布、异质性明显,未见淋巴细胞;在实验组的一个瘤块样结节切片中,虽仍有少量癌细胞,但大小形态较一致,异型性明显不如对照组;实验组的另外两个瘤块样结节的切片中,未见有任何癌细胞,只有淋巴细胞和部分纤维化区域。作者认为γδT细胞与LoVo细胞共同进入裸鼠体内后,γδT细胞能长期存活和增殖,明显地杀伤LoVo细胞,导致LoVo癌细胞生长能力减退和恶性程度降低。这一现象至今还未见有其它文献报道。至于γδT细胞的这种对LoVo癌细胞在裸鼠体内杀伤作用的机理,还有待进一步研究。
第一作者简介 许凯黎,男,大学本科,研究员。
参考文献
1 Zocchi MR, Ferrarini M, Migone N, et al. T cell receptor Vδ gene usage by tumour reactive γδT lymphocytes infiltrating human lung cancer. Immunology, 1994,81:123
, http://www.100md.com
2 Parker CM, Groh V, Band H, et al. Evidence for extrathymic changes in the T cell receptor γ/δ repertoire. J Exp Med,1990,171:1579
3 Selin LK, Stewart S, Shen C, et al. Reactivity of γδT cells induced by the tumor cell line RPMI 8226: Functional heterogeneity of clonal populations and role of GroEL heat shock protein. Scand J Immunol, 1992,36:107
4 李新燕,张学光,张毅等.特异性体外扩增人γδT淋巴细胞及其生物学特性的研究。中华医学杂志,1997,77:111
, 百拇医药
5 于松涛,张芒,何维.抗体固相法体外扩增人肿瘤浸润γδT淋巴细胞.免疫学杂志,1997,13(4):260
6 Chen SH, Oki A, Ohno T, et al. Selective proliferation of human γδT cell invitro. Cell Res, 1996,6:177
7 沈锋,王皓,钱卫珠等.克隆化γδT细胞对自体肝癌细胞的细胞活性及机制研究.中华实验外科杂志,1998,15(1):5
8 Kaufmann SHE. γδ and other unconventional T lymphocytes: what do they see and what do they do? Proc Natl Acad Sci USA, 1996,93:2272
9 Tanaka Y, Sano S, Nieves E, et al. Nonpeptide ligands for human γδT cells. Pro Natl Acad Sci USA, 1994,91:8175
10 Poccia F, Gougeon ML, Bonneville M, et al. Innate T-cell immunity to nonpeptidic antigens. Immunology Today, 1998,19(6):253
(收稿:1998-12-30), http://www.100md.com