颅内小圆形细胞肿瘤免疫组化和电镜研究
作者:孙文利 唐谊海 宋福林 王世贤 闫 玲 冯新莉 李 为
单位:孙文利 唐谊海 宋福林 王世贤 闫 玲 冯新莉 沈阳军区总医院(沈阳 110015);李 为 辽宁省金秋医院
关键词:
肿瘤990433 颅内小圆形细胞肿瘤主要包括:少突胶质细胞瘤,恶性淋巴瘤,髓母细胞瘤,神经母细胞瘤,松果体瘤,胶母细胞瘤和黑素瘤。光镜HE染色均为小圆细胞,胞浆少,很难确诊。本文采用免疫组化和电镜方法进行研究。
材料与方法
50例颅内小圆形细胞肿瘤,除HE染法外,免疫组化染色(胶质原纤维酸性蛋白-GFAP;神经元特异性烯醇化酶-NSE;波形蛋白-Vimentin;神经微丝蛋白-NF;突触囊泡蛋白-SY;白细胞共同抗原-LCA;角蛋白-Keratin)7种抗体均为Dako公司产品,ABC试剂盒为Vector公司产品。其中20例按常规电镜制样,JEM-100B透射电镜观察。
, http://www.100md.com
50例颅内小圆形细胞肿瘤,其中少突胶质细胞瘤15例,年龄9~35岁;恶性淋巴瘤6例,30~50岁;髓母细胞瘤8例(结节型3例,未分化型5例),7~20岁;神经母细胞瘤5例,3~4岁;松果体瘤2例,6~10岁;脑膜黑素瘤2例,32~40岁,胶母细胞瘤12例,19~39岁。
结果
一、少突胶质细胞瘤 电镜观察5例。细胞核圆,核仁突出,细胞器少疏电子性,有少量胶质丝,免疫组化GFAP(+)。
二、恶性淋巴瘤 电镜观察3例。细胞核圆形,核异形,分叶状有深裂和核袋,胞质内有核糖体及少量线粒体,免疫组化Vimentin及LCA均(+)。
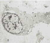
三、髓母细胞瘤 电镜观察3例。细胞呈弥漫分布,可见Horner-Wright菊形团样结构,细胞核圆大有核裂,核仁明显,胞质内有多聚核糖体,线粒体,少数粗面内质网及微丝。可见突触片层或胶质丝(见插页第4页图7)。免疫组化GFAP(+)。
, 百拇医药
图7 胶母细胞瘤的超微结构(×400)
四、神经母细胞瘤 电镜观察2例。细胞也可呈菊型团样结构排列,细胞核呈圆形或卵圆形,胞质内有核糖体。可见神经分泌颗粒,突起中有神经微丝、微管、突触复合体,空心小泡沿桥粒膜增多。免疫组化NSE,NF,SY均可(+)。
五、松果体细胞瘤 电镜观察1例,其超微结构与神经母细胞类似,但免疫组化仅SY可(+),若向星状型分化时则GFAP亦可(+)。
六、胶母细胞瘤 电镜观察5例。细胞圆形,核圆或卵圆形,胞质内有较多线粒体和少量粗面内质网,突起内有丰富胶质微丝(见插页第4页图8)。免疫组化GFAP及NSE均(+)。
图8 髓细胞瘤的超微结构(×500)
, http://www.100md.com
七、脑膜黑色素瘤病 电镜观察1例,细胞及核圆形,常有核裂,胞质内有线粒体及粗面内质网,常有特征性黑色素小体。免疫组化Vimentin及Keratin均(+)。
讨论
颅内原发小圆细胞肿瘤少见。本文50例占我院5000例中枢神经系统肿瘤1%。一般光镜下很难确诊具体肿瘤,电镜则可根据超微结构特征帮助诊断,如有免疫组化结果可以进行鉴别诊断而确诊。如少突胶质细胞瘤,髓母细胞胞瘤向胶质细胞分化时和胶母细胞瘤均有胶质微丝,但数量及发育程度三者有差异可予区分。神经母细胞瘤与松果体细胞瘤虽然两者超微结构亦类似,但是发生部位及免疫组化可予鉴别。对于恶性淋巴瘤则其核的形态及免疫组化LCA,Vimentin阳性可以区别其他小圆细胞肿瘤。如果髓母细胞向神经节细胞分化,则超微结构可见空心或实心小泡及突触片层。脑膜黑素瘤则有特征性黑色素小体,免疫组化阳性可以确诊。因此对颅内小圆细胞肿瘤的诊断和鉴别诊断,免疫组化和电镜具有重要作用。
第一作者简介 孙文利,男,大学,主治医师。
(收稿:1997-09-20 修回 1999-04-26), 百拇医药
单位:孙文利 唐谊海 宋福林 王世贤 闫 玲 冯新莉 沈阳军区总医院(沈阳 110015);李 为 辽宁省金秋医院
关键词:
肿瘤990433 颅内小圆形细胞肿瘤主要包括:少突胶质细胞瘤,恶性淋巴瘤,髓母细胞瘤,神经母细胞瘤,松果体瘤,胶母细胞瘤和黑素瘤。光镜HE染色均为小圆细胞,胞浆少,很难确诊。本文采用免疫组化和电镜方法进行研究。
材料与方法
50例颅内小圆形细胞肿瘤,除HE染法外,免疫组化染色(胶质原纤维酸性蛋白-GFAP;神经元特异性烯醇化酶-NSE;波形蛋白-Vimentin;神经微丝蛋白-NF;突触囊泡蛋白-SY;白细胞共同抗原-LCA;角蛋白-Keratin)7种抗体均为Dako公司产品,ABC试剂盒为Vector公司产品。其中20例按常规电镜制样,JEM-100B透射电镜观察。
, http://www.100md.com
50例颅内小圆形细胞肿瘤,其中少突胶质细胞瘤15例,年龄9~35岁;恶性淋巴瘤6例,30~50岁;髓母细胞瘤8例(结节型3例,未分化型5例),7~20岁;神经母细胞瘤5例,3~4岁;松果体瘤2例,6~10岁;脑膜黑素瘤2例,32~40岁,胶母细胞瘤12例,19~39岁。
结果
一、少突胶质细胞瘤 电镜观察5例。细胞核圆,核仁突出,细胞器少疏电子性,有少量胶质丝,免疫组化GFAP(+)。
二、恶性淋巴瘤 电镜观察3例。细胞核圆形,核异形,分叶状有深裂和核袋,胞质内有核糖体及少量线粒体,免疫组化Vimentin及LCA均(+)。
三、髓母细胞瘤 电镜观察3例。细胞呈弥漫分布,可见Horner-Wright菊形团样结构,细胞核圆大有核裂,核仁明显,胞质内有多聚核糖体,线粒体,少数粗面内质网及微丝。可见突触片层或胶质丝(见插页第4页图7)。免疫组化GFAP(+)。
, 百拇医药
图7 胶母细胞瘤的超微结构(×400)
四、神经母细胞瘤 电镜观察2例。细胞也可呈菊型团样结构排列,细胞核呈圆形或卵圆形,胞质内有核糖体。可见神经分泌颗粒,突起中有神经微丝、微管、突触复合体,空心小泡沿桥粒膜增多。免疫组化NSE,NF,SY均可(+)。
五、松果体细胞瘤 电镜观察1例,其超微结构与神经母细胞类似,但免疫组化仅SY可(+),若向星状型分化时则GFAP亦可(+)。
六、胶母细胞瘤 电镜观察5例。细胞圆形,核圆或卵圆形,胞质内有较多线粒体和少量粗面内质网,突起内有丰富胶质微丝(见插页第4页图8)。免疫组化GFAP及NSE均(+)。
图8 髓细胞瘤的超微结构(×500)
, http://www.100md.com
七、脑膜黑色素瘤病 电镜观察1例,细胞及核圆形,常有核裂,胞质内有线粒体及粗面内质网,常有特征性黑色素小体。免疫组化Vimentin及Keratin均(+)。
讨论
颅内原发小圆细胞肿瘤少见。本文50例占我院5000例中枢神经系统肿瘤1%。一般光镜下很难确诊具体肿瘤,电镜则可根据超微结构特征帮助诊断,如有免疫组化结果可以进行鉴别诊断而确诊。如少突胶质细胞瘤,髓母细胞胞瘤向胶质细胞分化时和胶母细胞瘤均有胶质微丝,但数量及发育程度三者有差异可予区分。神经母细胞瘤与松果体细胞瘤虽然两者超微结构亦类似,但是发生部位及免疫组化可予鉴别。对于恶性淋巴瘤则其核的形态及免疫组化LCA,Vimentin阳性可以区别其他小圆细胞肿瘤。如果髓母细胞向神经节细胞分化,则超微结构可见空心或实心小泡及突触片层。脑膜黑素瘤则有特征性黑色素小体,免疫组化阳性可以确诊。因此对颅内小圆细胞肿瘤的诊断和鉴别诊断,免疫组化和电镜具有重要作用。
第一作者简介 孙文利,男,大学,主治医师。
(收稿:1997-09-20 修回 1999-04-26), 百拇医药