急性三烷基锡中毒性脑病
作者:王炳森
单位:200003 上海市劳动卫生职业病研究所
关键词:
中华劳动卫生职业病杂志980629.htm
有机锡烷化物主要侵犯中枢神经系统,累及部位是脑白质部,引起实质水肿和继发性脑病。
患者男,32岁,因工作接触大量三烷基锡蒸气,当时仅自觉眼、鼻刺激症状,翌日,患者感觉中等程度头痛,仍无其它不适,第3天患者还参加集体活动,至第5天,头痛加剧,且有阵发性上下肢抽搐,神志仍清楚,入院后头痛更剧,明显乏力,萎靡,多汗。检查发现:腱反射亢进,窦性心动过缓,血清钾降低。各项对症治疗效果不明显,患者继而出现明显恶心、呕吐,排尿困难,上下肢运动障碍,开始时轻度兴奋,旋即嗜睡,半昏迷,大小便失禁,接毒后10天入院,入院后第5天因中枢性呼吸循环衰竭死亡。
本例在尸检时的主要发现为大脑重度水肿,充塞颅腔,脑沟消失,脑回变宽,两侧脑室及第三脑室、第四脑室轻度扩张并充有液体,镜下示脑内大小血管重度扩张,血管周围多量炎细胞浸润,脑实质似海绵状结构,重度疏松水肿,部分区域有少量红细胞渗出。在颞叶及岛叶内尚发现有两处灶性脑软化。本例脊髓无明显变化。其它脏器的主要发现是肺淤血水肿、心肌纤
维肿胀断裂等。死亡原因为急性中毒性脑水肿和脑病并发中枢性呼吸循环衰竭。
三烷基锡多为固体或油状液,有味,常温下即能挥发,有刺激性,可通过呼吸道、皮肤等吸收,毒性较大,生产及使用时必须做好预防工作,避免发生中毒事故。
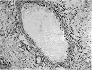
图1 急性三烷基锡中毒性脑水肿。可见脑内血管扩张,血管周围多炎细胞浸润,脑实质呈海绵状结构,重度疏松水肿HE×100
收稿:1998-02-16, http://www.100md.com
单位:200003 上海市劳动卫生职业病研究所
关键词:
中华劳动卫生职业病杂志980629.htm
有机锡烷化物主要侵犯中枢神经系统,累及部位是脑白质部,引起实质水肿和继发性脑病。
患者男,32岁,因工作接触大量三烷基锡蒸气,当时仅自觉眼、鼻刺激症状,翌日,患者感觉中等程度头痛,仍无其它不适,第3天患者还参加集体活动,至第5天,头痛加剧,且有阵发性上下肢抽搐,神志仍清楚,入院后头痛更剧,明显乏力,萎靡,多汗。检查发现:腱反射亢进,窦性心动过缓,血清钾降低。各项对症治疗效果不明显,患者继而出现明显恶心、呕吐,排尿困难,上下肢运动障碍,开始时轻度兴奋,旋即嗜睡,半昏迷,大小便失禁,接毒后10天入院,入院后第5天因中枢性呼吸循环衰竭死亡。
本例在尸检时的主要发现为大脑重度水肿,充塞颅腔,脑沟消失,脑回变宽,两侧脑室及第三脑室、第四脑室轻度扩张并充有液体,镜下示脑内大小血管重度扩张,血管周围多量炎细胞浸润,脑实质似海绵状结构,重度疏松水肿,部分区域有少量红细胞渗出。在颞叶及岛叶内尚发现有两处灶性脑软化。本例脊髓无明显变化。其它脏器的主要发现是肺淤血水肿、心肌纤
维肿胀断裂等。死亡原因为急性中毒性脑水肿和脑病并发中枢性呼吸循环衰竭。
三烷基锡多为固体或油状液,有味,常温下即能挥发,有刺激性,可通过呼吸道、皮肤等吸收,毒性较大,生产及使用时必须做好预防工作,避免发生中毒事故。
图1 急性三烷基锡中毒性脑水肿。可见脑内血管扩张,血管周围多炎细胞浸润,脑实质呈海绵状结构,重度疏松水肿HE×100
收稿:1998-02-16, http://www.100md.com