当前位置: 首页 > 期刊 > 《放射学实践》 > 2000年第1期
编号:10279856
肝癌CT边缘形态与微血管密度关系的初步研究
http://www.100md.com 《放射学实践》 2000年第1期
     作者:许乙凯 程天明 刘杏元 刘晓霞

    单位:许乙凯(510515 广州第一军医大学南方医院影像诊断中心);程天明(510515 广州第一军医大学南方医院影像诊断中心);刘杏元(510515 广州第一军医大学南方医院影像诊断中心);刘晓霞(510515 广州第一军医大学南方医院影像诊断中心)

    关键词:肝癌;X线计算机断层摄影术;血管生成

    放射学实践000114 【摘要】 目的:探讨肝癌CT边缘形态与瘤内微血管密度的关系。方 法:分析21例块状型肝癌的CT边缘特征;从手术切除标本上取材行免疫组化微血 管染色。结果:CT上肿瘤边界清楚型微血管密度(MCD)为18.3±11. 4,强化率为20.3%±10.3%,分别低于肿瘤边界模糊型的MCD(44.1±19.3)和强化率( 46.7%±13.7%)(二者0.01>P<0.05);混合型的边缘清楚区的MCD为21.6±14.7 ,而模糊区为39.7±10.4(0.01, 百拇医药
    Prelimanary study on the relationship between CT marginal features of massive he patocellular carcinoma and intratumorous microvascular density

    Xu Y ikai, Cheng Tianming, Liu Xingyuan, et al

    (Medical Imaging Center, Nan Fang Hos pital, The First Military Medical University, Guang Zhou, 510515)

    【Abstract】 Objective: To explore the relationship between the quan tity of microvasculature and the marginal features of massive hepatocellular car cinomas(HCCs) on CT scan. Methods: Twenty-one patients wi th HCCs underwent CT scanning. On the plain CT, the marginal features of HCCs we re classified into three types: the well-circumscribed, the poor-circumscribed and the mixed. After surgical resection, fresh tissues were sampled correspondi ng to the well circumscribed and poor circumscribed borders of HCCs. Then ,the m icrovessel density count(MDC) were determined under microscope by immunohisto-c hemical staining for the endothelial marker. Results: MDC from t he borders of HCCs with the well-circumscribed margin on CT was 8.3±11.4, sign ificantly lower than that from the borders of HCCs with the poor-circumscribed margin(44.1±19.3, 0.01>P>0.05). Moreover, the CT contrast enhancing rate from the well-circumscribed borders was 22.3%±10.3%, while 46.7%±13.7% from t he poor-circumscribed boredrs (0.01, 百拇医药
    【Key words】 Hepatocellulr carcinoma Computed tomography Angiog enesis

    肿瘤的血管生成(Angiogenesis)不仅与肿瘤形成,发展和转移密切相关:[1], 而且也为肿瘤的治疗(抑制肿瘤血管生成)提供新的思路。有关肿瘤的影像学表现与肿瘤血 管生成关系的文献很少。早期Zagzag等对兔脑移植vx2肿瘤的CT增强实验中显示肿块的强化 程度与肿瘤的微血管增生程度密切相关[2]。本文拟就肝癌的CT边缘形态与局部微 血管密度(或计数)(Microvessel density count,MDC)关系进行初步探讨。

    材料与方法

    病例资料1997.4~1999.1期间,共收集我院21例经手术切除的块状型肝癌患者,其中男性19 例,女性2例,大小3~11.2(平均5.4±4.1)cm。全部在我院用Somaton plus CT机行平扫 和单相增强扫描(1.2ml/sec,造影剂总量80~100ml)。按平扫时肿瘤最大切面上边界清楚 与否将肝癌CT边缘形态分为[3]:①边缘清楚;②边缘模糊;③混合型(部分边界 模糊不清,而部分边界则清楚)。测量门脉期感兴趣肿瘤边缘区的CT值,求出强化率(%) =(CT增强-CT平扫)/CT平扫×100%。
, http://www.100md.com
    免疫组织化学法测定肝癌边缘区微血管,将新鲜切除标本沿相同切面剖开,边缘清楚和边 缘模糊组各取1~2块组织块,而对肿瘤边缘呈混合型者,分别在其边缘清楚和不清楚区各取 1~2块组织块。除作HE染色行肝癌组织学分级外,尚作免疫组化微血管染色,技术要点如下 [4]:将标本置-18℃液氮冰冻,石蜡包埋,6μm厚度连续切片→用涂有APLS防脱 的玻片进行捞片→经脱蜡脱水后,用3%H2O2室温作用5~10min(消除内源性过氧化物 酶活性)→5%山羊血清封闭非特异性结合位点,倾去血清,滴加兔抗人多克隆 抗体rWF(1∶100稀释),4℃过夜;然后加1∶200稀释的VEA-1(生物素标记的荆豆凝集素,购 自北京中山公司),再滴加1∶100PBS缓冲液稀释的辣根过氧化物酶标记的链霉卵白素,37 ℃作用30min→PBS冲洗3次→用联苯胺显色→自来水冲洗→苏木素复染→中性树脂封片。

    表1 肿瘤CT边缘形态与微血管密度、癌组织分级关系 CT分型
, http://www.100md.com
    例数

    取样块数

    MCD(血管记数/

    200倍视野)

    强化率%

    癌细胞Ⅲ 、Ⅳ级比例

    边界清楚型:

    6

    8

    18.3±11.4

    20.3±10.3

    65.2%

    边界模糊型:
, http://www.100md.com
    2

    4

    44.1±19.3*

    46.7±13.7*

    76.3%

    混合型:

    13

    清楚区

    17

    21.6±14.7

    29.8±12.7

    68.9%

    模糊区
, 百拇医药
    16

    39.7±10.4**

    34.2±12.0

    71.4%

    注:*代表t检验分析,边缘清楚型与边缘模糊型二组数据比较有显著差异(0.01
    **代表混合型中,清楚边缘区与模糊边缘区的数据有显著的差异(0.01
    将切片置低倍镜(×100)全面观察。发现肿瘤区血管内皮细胞被染色为棕色,与肿瘤背景 有较好对比度。选择4处血管密度最高区域,改用高倍镜(×200,约0.74mm2/视野)观察 ,将任何一个被染的内皮细胞或内皮细胞丛作为一个血管;只要结构不相连,其分支结构也 视为一个血管计[5],将4个视野血管数目进行平均。结果
, 百拇医药
    本文21例肝癌中,CT呈完全边缘清楚者有6例,边缘模糊者2例,混合型13例。从附表可见, 边缘模糊型的MCD及强化率均分别高于边缘清楚(二者0.01

    图1 平扫肝右叶有一肝癌结节,边界模糊
, http://www.100md.com
    图2 增强后病变范围明显缩小

    图3 同一病人术后标本作免疫组化微血管染色,发现癌边缘区有十分丰 富的微血管(×200)

    图4 平扫肝癌边界清楚

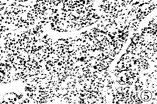
    图5 术后标本免疫组化微血管染色,显示癌边缘带微血管数目稀少(×100)

    讨论

    近年来,国外许多学者对多种恶性肿瘤组织中的MCD密度及其生物学意义进行积极探索,发 现当实体瘤在1~2mm直径以前,其生长所需营养主要来源于扩散;当直径>1~2mm后,就需 要血管生成(Angiogenesis)介入[6]。肿瘤的微血管定义为瘤体内细小血管和毛 细血管,分布于瘤细胞之间的间质中,其特点是动静脉区别不明显,互相重叠,分支系乱, 癌块毛细血管数量增多。肿瘤血管形成受到血管内皮细胞生长因子等多种生长因子的调节。 如果肿瘤血管生成较多,营养供应丰富,瘤细胞生长就会越活跃,发生侵袭和转移的可能性 就会相对增大。相反,如果肿瘤没有足够的血管形成,瘤细胞生长就相对缓慢,容易产生坏 死或凋亡。我们发现,肝癌边缘形态与局部MCD定量有密切关系,肝癌以膨胀生长为主时,C T表现边界清楚,局部MCD密度也较小,提示这些肿瘤细胞生长相对缓慢,浸润性较低,而CT 边缘模糊区的癌细胞多呈浸润性生长,局部MCD密度较高,可见,肝癌的CT边缘形态特征, 不但反映了肝癌的生长方式,而且与肿瘤血管生成程度有关。
, 百拇医药
    应用影像学手段无创性评价肝癌微血管密度是一种新的尝试,可为肿瘤疗效及预后判断提 供新的依据,这方面研究有重要价值。本文研究发现,以碘造影剂为示踪剂, 肿瘤CT强化率高者,局部MCD密集度也高,相反,CT强化率低者,局部MCD含量较低,提示CT 增强程度在一定程度上与肝癌的微血管密度有关。

    参考文献

    [1]Natalie s, larsen I. Angiogenesis research yields new approaches t o cancer treatment and prognosis. J National Cancer Institute,1993,85∶1029.[ ZK)〗

    [2]Zagzag D, Goldenberg M, Brem S. Angiogenesis and blood brain barrier b reakdown modulate CT contrast enhancement; An experimental study in a rabbit bra in-tumor model. AJR, 1989,153∶141.
, 百拇医药
    [3]沈冰齐,郑可国,许达生等.肝细胞癌边缘部CT与病理对照研究.中华放射杂志 ,1996,30(12)∶815.

    [4]Terayama N, Terada T. Nakanuma Y. A morphometric and Immunohisto chemi cal study on angiogenesis of human metastatic carcinoma of the liver, Hepatology , 1996,24∶816.

    [5]Bosari S, Delellis RA, Healtley G J, Micro vessel quantitation and pro gnosis in invasive breast carcinoma. Hum pathol, 1992,23∶755

    [6]李江,王文亮,刘斌.人类肝细胞肝癌的细胞凋亡和癌组织内血管形成的调控.华 人消化杂志,1998,6(12)∶1057.

    1999-04-20 收稿, 百拇医药