巨大少见神经纤维瘤的CT诊断(附3例报告)
作者:余文昌 王仁法
单位:余文昌(430030 武汉同济医科大学附属同济医院放射科);王仁法(430030 武汉同济医科大学附属同济医院放射科)
关键词:
放射学实践000138
神经纤维瘤是神经源性肿瘤的一种,任何年龄,许多部位均可发 生,但无特征性的影像学表现。我们收集经手术病理证实的3例巨大少见神经纤维瘤,将其C T表现结合文献作一报道,以提高对本病的认识和定性诊断能力。
病例报告 例1 女,24岁。体检:腹部可触及巨大实质性包块,占据全腹腔约2/3,边缘清、光滑、质 中、较固定。CT平扫示腹腔内巨大肿块,11cm×21cm×23cm,密度基本均匀,CT值43.3Hu, 内见1.0cm×0.3cm条状钙化,,边缘清晰,前部紧贴腹壁,Douglas腔内积液。增强肿块强 化较明显,内见相对低密度区。CT诊断:腹腔内巨大肿瘤伴盆腔积液(图1,2)。手术所见: 腹腔内一直径25cm,厚约5~6cm之灰红色肿块,边缘与胃大弯侧密不可分,且与横结肠、脾 脏粘连,淡黄色腹水800~1?000ml。病理:神经纤维瘤。
, http://www.100md.com
图1 CT平扫示腹腔巨大肿块,11cm×21cm×23cm,密度基本均匀, 可见条状钙化,边缘清晰,前部紧贴腹壁
图2 增强示肿块强化较 明显,内见相对低密度区
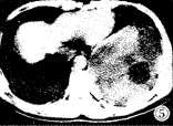
例2 男,49岁。体检无异常,主要临床症状为呃逆7年,伴左胸痛3年。CT平扫示左后下 纵隔12cm×10cm×13cm肿块,边界清晰,内部密度较均,可见低密度坏死区,肿块将左膈肌 影明显向前推移。此外,胰尾后部,左肾前部(相当于左肾上腺区域)也可见3.0cm类圆形软 组织肿块影,密度稍低于胰腺。增后肿块均匀强化,内见相对低密度区。CT诊断:左侧后纵 隔及左腹膜后肿瘤(图3-5)。胸部手术所见:胸腔内血性胸水800ml,肿瘤约15cm×10cm×1 0cm,为实性,部分囊变,包膜完整,与左下肺组织,部分心包,降主动脉粘连,并有有一 宽蒂与后纵隔相连。病理:(切片号99-3194)左后纵隔神经纤维瘤。
, http://www.100md.com
图3 CT平扫示左后下纵隔壁12cm×10cm×13cm肿块,边界清 晰,内部密度在碚份均匀,可见低密度坏死区
图4 胰尾后部,左 肾前部(相当于左肾上腺区)可见3.0cm类圆形软组织块影,密度低于胰腺
图5 增强示肿块强化较明显,内见相对低密度区
例3 男,12岁。患儿出生时,左顶枕部的头皮略厚,似有一肿块,2年前肿块开始增大。 体检:左顶部可见儿拳大小包块,质软,边缘清楚,表皮呈暗灰色。头颅正侧位片示双侧顶 骨后方外板不规则,可见多个大小不等的骨缺损,最大2.0cm×1.5cm。颅脑CT平扫示顶 后部10cm×15cm×6.3cm弧形软组织肿块,内部密度均匀,内缘紧贴颅骨外表面,骨窗示颅 骨局限性侵蚀。CT诊断:顶部血管瘤可能(图6,7)。手术所见:肿块位于头皮与帽状腱膜之 间、肉状、质软、血供丰富、边界不清。病理:头皮下神经纤维瘤。
, http://www.100md.com
图6 CT平 发示顶后部10cm×15cm×6.3cm弧形软组织上肿块,内部密度均匀,内缘紧贴切颅骨外表面
图7 骨窗示颅骨局限性侵蚀破坏。
讨 论 神经纤维瘤发病部位相当广泛,我们查阅了1992年以来我国几家主要放射影像学杂志,基本 上以个案的形式报道了14例(不含神经纤维瘤病),其部位涉及颈动脉、鼻腔、纵隔、横隔、 胸腔、胸壁、腹盆腔、胃、肾、卵巢、脊髓、肋骨间等。该病在临床中并不少见,呈零星报 道的原因,可能与其影像学表现特征性不强,术前诊断不清,又经手术及病理证实较少之故 。参阅文献,结合本文3例报导,我们总结出神经纤维瘤的以下特点:①该肿瘤属于良性, 偶有恶变,临床病程长,有文献报道长达26年者[1],症状轻缓。②尽管病理学讲 述其直径由数毫米到数厘米,大者达20cm以上[2],但是产生临床症状,由影像学 检查时,肿块较大,常达10cm以上。密度尚均匀,边缘大多光滑清楚,CT增强后少数不强化 ,大多数轻、中度强化[3],病灶内未强化的低密度区代表坏死液化或者肿瘤的粘 液样变性。③肿块因较大,常挤压、推移、粘连周围器官[4,5],局部骨质受侵蚀 ,但没有侵袭性,不会浸润破坏周围器官,引起功能障碍。
, 百拇医药
参考文献
[1]陈世勇,赖清泉,郭天德.肾间变(恶性)神经纤维瘤一例.临床放射学杂志,1995,14∶58.
[2]董郡.病理学.北京:人民卫生出版社,1996.969.
[3]Pui MH,Yang ZY,li ZP.Comouted tomography of abdominal neurogenic tumor s.Australas Radiol,1998,42∶183.
[4]许有生,沈纪林,王士兴,等.二例腹盆腔神经肿瘤的CT诊断.中华放射学杂志,1998,32∶472.
[5]李政伟,芦志刚,张新生.横膈神经纤维瘤一例.中华放射学杂志,1995,29∶214.
1999-06-18 收稿, 百拇医药
单位:余文昌(430030 武汉同济医科大学附属同济医院放射科);王仁法(430030 武汉同济医科大学附属同济医院放射科)
关键词:
放射学实践000138
神经纤维瘤是神经源性肿瘤的一种,任何年龄,许多部位均可发 生,但无特征性的影像学表现。我们收集经手术病理证实的3例巨大少见神经纤维瘤,将其C T表现结合文献作一报道,以提高对本病的认识和定性诊断能力。
病例报告 例1 女,24岁。体检:腹部可触及巨大实质性包块,占据全腹腔约2/3,边缘清、光滑、质 中、较固定。CT平扫示腹腔内巨大肿块,11cm×21cm×23cm,密度基本均匀,CT值43.3Hu, 内见1.0cm×0.3cm条状钙化,,边缘清晰,前部紧贴腹壁,Douglas腔内积液。增强肿块强 化较明显,内见相对低密度区。CT诊断:腹腔内巨大肿瘤伴盆腔积液(图1,2)。手术所见: 腹腔内一直径25cm,厚约5~6cm之灰红色肿块,边缘与胃大弯侧密不可分,且与横结肠、脾 脏粘连,淡黄色腹水800~1?000ml。病理:神经纤维瘤。
, http://www.100md.com
图1 CT平扫示腹腔巨大肿块,11cm×21cm×23cm,密度基本均匀, 可见条状钙化,边缘清晰,前部紧贴腹壁
图2 增强示肿块强化较 明显,内见相对低密度区
例2 男,49岁。体检无异常,主要临床症状为呃逆7年,伴左胸痛3年。CT平扫示左后下 纵隔12cm×10cm×13cm肿块,边界清晰,内部密度较均,可见低密度坏死区,肿块将左膈肌 影明显向前推移。此外,胰尾后部,左肾前部(相当于左肾上腺区域)也可见3.0cm类圆形软 组织肿块影,密度稍低于胰腺。增后肿块均匀强化,内见相对低密度区。CT诊断:左侧后纵 隔及左腹膜后肿瘤(图3-5)。胸部手术所见:胸腔内血性胸水800ml,肿瘤约15cm×10cm×1 0cm,为实性,部分囊变,包膜完整,与左下肺组织,部分心包,降主动脉粘连,并有有一 宽蒂与后纵隔相连。病理:(切片号99-3194)左后纵隔神经纤维瘤。
, http://www.100md.com
图3 CT平扫示左后下纵隔壁12cm×10cm×13cm肿块,边界清 晰,内部密度在碚份均匀,可见低密度坏死区
图4 胰尾后部,左 肾前部(相当于左肾上腺区)可见3.0cm类圆形软组织块影,密度低于胰腺
图5 增强示肿块强化较明显,内见相对低密度区
例3 男,12岁。患儿出生时,左顶枕部的头皮略厚,似有一肿块,2年前肿块开始增大。 体检:左顶部可见儿拳大小包块,质软,边缘清楚,表皮呈暗灰色。头颅正侧位片示双侧顶 骨后方外板不规则,可见多个大小不等的骨缺损,最大2.0cm×1.5cm。颅脑CT平扫示顶 后部10cm×15cm×6.3cm弧形软组织肿块,内部密度均匀,内缘紧贴颅骨外表面,骨窗示颅 骨局限性侵蚀。CT诊断:顶部血管瘤可能(图6,7)。手术所见:肿块位于头皮与帽状腱膜之 间、肉状、质软、血供丰富、边界不清。病理:头皮下神经纤维瘤。
, http://www.100md.com
图6 CT平 发示顶后部10cm×15cm×6.3cm弧形软组织上肿块,内部密度均匀,内缘紧贴切颅骨外表面
图7 骨窗示颅骨局限性侵蚀破坏。
讨 论 神经纤维瘤发病部位相当广泛,我们查阅了1992年以来我国几家主要放射影像学杂志,基本 上以个案的形式报道了14例(不含神经纤维瘤病),其部位涉及颈动脉、鼻腔、纵隔、横隔、 胸腔、胸壁、腹盆腔、胃、肾、卵巢、脊髓、肋骨间等。该病在临床中并不少见,呈零星报 道的原因,可能与其影像学表现特征性不强,术前诊断不清,又经手术及病理证实较少之故 。参阅文献,结合本文3例报导,我们总结出神经纤维瘤的以下特点:①该肿瘤属于良性, 偶有恶变,临床病程长,有文献报道长达26年者[1],症状轻缓。②尽管病理学讲 述其直径由数毫米到数厘米,大者达20cm以上[2],但是产生临床症状,由影像学 检查时,肿块较大,常达10cm以上。密度尚均匀,边缘大多光滑清楚,CT增强后少数不强化 ,大多数轻、中度强化[3],病灶内未强化的低密度区代表坏死液化或者肿瘤的粘 液样变性。③肿块因较大,常挤压、推移、粘连周围器官[4,5],局部骨质受侵蚀 ,但没有侵袭性,不会浸润破坏周围器官,引起功能障碍。
, 百拇医药
参考文献
[1]陈世勇,赖清泉,郭天德.肾间变(恶性)神经纤维瘤一例.临床放射学杂志,1995,14∶58.
[2]董郡.病理学.北京:人民卫生出版社,1996.969.
[3]Pui MH,Yang ZY,li ZP.Comouted tomography of abdominal neurogenic tumor s.Australas Radiol,1998,42∶183.
[4]许有生,沈纪林,王士兴,等.二例腹盆腔神经肿瘤的CT诊断.中华放射学杂志,1998,32∶472.
[5]李政伟,芦志刚,张新生.横膈神经纤维瘤一例.中华放射学杂志,1995,29∶214.
1999-06-18 收稿, 百拇医药