肋骨韧带状纤维瘤一例
作者:金以文 胡永毅
单位:金以文(200002 上海市府大厦门诊部放射科);胡永毅(200010 上海南市区中西医结合医院放射科)
关键词:
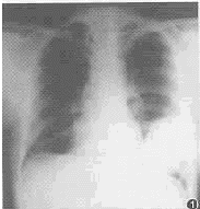
临床放射学杂志000627 患者 男,48岁。发现左胸壁突出2个月。胸 片后前位示左下肺野约8cm×11cm软组织肿块。左侧位片椭圆形肿块与斜行肋骨相一致。稍 右前斜位点片见肿块部分向侧胸壁突出,边界清楚,无钙化。左第7前肋骨约9cm溶骨性破坏 ,无明显骨膜反应(图1~3)。
手术所见: 术中见左胸壁肿块,质硬,光整。病理诊断:肿瘤原发肋骨,破坏骨组织,浸 润周围软组织。病理免疫组片标记结果为肋骨韧带状纤维瘤,部分区域细胞增生活跃。
讨论 骨韧带状纤维瘤是少见的良性骨肿瘤,具有局部侵袭性和易 复发的特点。据陈伟等[1]对147例资料分析,以长骨干骺端发生率最高(52%),其 次为盆骨和颌骨(38%)。本病文献报道有不同的分型法[1,2],除小梁型外,大部 分骨韧带状纤维瘤的X线表现变化很大,不具有特征性X线征象,术前诊断困难。本例发生在 肋骨,非常少见,表现为肋骨明显的溶骨性破坏及巨大的胸壁软组织肿块,需与软组织韧带 状纤维瘤相鉴别。软组织韧带状纤维瘤可侵及骨,而本瘤亦可侵犯软组织,二者组织像相似 ,MRI对鉴别肿瘤原发于骨内或骨外具有重要价值[3]。骨韧带状纤维瘤手术后易复 发,手术时扩大切除范围可有效地降低复发率。
图1 左下肺野巨大软组织肿块,边界清楚,无钙化
图2 与斜行肋骨相一致 的椭圆形肿块
图3 左第7肋骨明显溶骨性破坏,无明显骨膜反应
参考文献
1,陈伟,肖官惠,黄兆民,等.骨韧带状纤维瘤影像学分析(附5例报 告).中华放射学杂志, 1992, 26:777
2,王林森,张培功,孙鼎元,等.骨韧带样纤维瘤(附15例分析).中 华放射学杂志, 1995, 29:695
3,中山医科大学病理教研室,同济医科大学病理学教研室.外科病理学,第2 版 湖北:科学技术出版社, 1999, 934
(收稿: 1999-11-10), 百拇医药
单位:金以文(200002 上海市府大厦门诊部放射科);胡永毅(200010 上海南市区中西医结合医院放射科)
关键词:
临床放射学杂志000627 患者 男,48岁。发现左胸壁突出2个月。胸 片后前位示左下肺野约8cm×11cm软组织肿块。左侧位片椭圆形肿块与斜行肋骨相一致。稍 右前斜位点片见肿块部分向侧胸壁突出,边界清楚,无钙化。左第7前肋骨约9cm溶骨性破坏 ,无明显骨膜反应(图1~3)。
手术所见: 术中见左胸壁肿块,质硬,光整。病理诊断:肿瘤原发肋骨,破坏骨组织,浸 润周围软组织。病理免疫组片标记结果为肋骨韧带状纤维瘤,部分区域细胞增生活跃。
讨论 骨韧带状纤维瘤是少见的良性骨肿瘤,具有局部侵袭性和易 复发的特点。据陈伟等[1]对147例资料分析,以长骨干骺端发生率最高(52%),其 次为盆骨和颌骨(38%)。本病文献报道有不同的分型法[1,2],除小梁型外,大部 分骨韧带状纤维瘤的X线表现变化很大,不具有特征性X线征象,术前诊断困难。本例发生在 肋骨,非常少见,表现为肋骨明显的溶骨性破坏及巨大的胸壁软组织肿块,需与软组织韧带 状纤维瘤相鉴别。软组织韧带状纤维瘤可侵及骨,而本瘤亦可侵犯软组织,二者组织像相似 ,MRI对鉴别肿瘤原发于骨内或骨外具有重要价值[3]。骨韧带状纤维瘤手术后易复 发,手术时扩大切除范围可有效地降低复发率。
图1 左下肺野巨大软组织肿块,边界清楚,无钙化
图2 与斜行肋骨相一致 的椭圆形肿块
图3 左第7肋骨明显溶骨性破坏,无明显骨膜反应
参考文献
1,陈伟,肖官惠,黄兆民,等.骨韧带状纤维瘤影像学分析(附5例报 告).中华放射学杂志, 1992, 26:777
2,王林森,张培功,孙鼎元,等.骨韧带样纤维瘤(附15例分析).中 华放射学杂志, 1995, 29:695
3,中山医科大学病理教研室,同济医科大学病理学教研室.外科病理学,第2 版 湖北:科学技术出版社, 1999, 934
(收稿: 1999-11-10), 百拇医药