肺炎性假瘤的X线、CT表现研究(附30例报告)
作者:奚日泉 谢道海 胡春洪 杨伟
单位:奚日泉(苏州医学院附属第一医院影像中心215006);谢道海(苏州医学院附属第一医院影像中心 215006);胡春洪(苏州医学院附属第一医院影像中心 215006);杨伟(苏州医学院附属第一医院影像中心 215006)
关键词:肺 炎性假瘤 体层摄影,X线计算机
实用放射学杂志000208 摘要 目的:探讨肺炎性假瘤的X线、CT表现及其特征。方法:对30例经手术病理证实肺的炎性假瘤病人进行胸部X线片、CT扫描,对其影像学特征进行了分析研究。结果:假瘤稳定阶段时,多数肿块包膜完整,边界光滑呈球形。病灶急性阶段时,灶周有炎性浸润,无包膜形成,病灶多呈团块状。肿块内空洞坏死,胸膜粘连,长毛刺等征像,对假瘤诊断具有重要意义。结论:全面分析假瘤的影像学特征,重视病人肺内感染病史,提高本病诊断的准确率是可能的。
, 百拇医药
Inflammatory Pseudotumor of the Lung:Radiographic and CT Appearances(A Report of 30 Cases)
Xi Riquan Xie Daohai Hu Chunhong Yang Wei
Department of Radiology,the First Affiliated Hospital,Suzhou Medical College,Suzhou 215006
ABSTRACT Objective:To investigate the X-ray and CT features of inflammatory pseudotumor.Methods:30 cases of pulmonary inflammatory pseudotumor confirmed by operation and pathology were examined by X-ray and CT imaging features were analyzed.Results:When the pseudotumors of lung were in the stable stage,most masses were ball-shaped with periphery smooth,and had intact capsule.When the disease was in the acute stage,there were infiltration of inflammation around the foci which were as ball and there were no capsule.The CT findings including necrosis of cavity in the mass,local plural thickness and adhesion,and the long speculation sign were of great significance in diagnosis of this disease.Conclusion:It is possible to increase the diagnostic rate by analysing the imaging features of pseudotumors all sidedly and emphasis on the history of infection of pitient.
, 百拇医药
Key words Lung Inflammatory pseucotumor Tomography X-ray computed
肺炎性假瘤是肺内炎性增生而形成的肿瘤样团块,易与肺癌,结核球和其它肺内良性病变混淆,术前诊断具有一定困难。为了进一步提高对本病的认识,作者收集自1979~1997年手术病理证实的30例肺炎性假瘤分析报告如下。
1 临床资料
1.1 发病年龄:本组男21例,女9例,男女之比为7∶3。发病年龄30~65岁之间,平均年龄50岁。其中30~45岁9例,46~65岁21例(占70%)。
1.2 临床症状:4例无症状被体检发现,其余26例均有不同程度的呼吸症状,其中咳嗽咳痰22例,发热伴脓痰4例,痰中带血19例,胸痛11例。本组病史最长2~6年,临床症状与肺内病变不相称,即X线表现往往明显,而临床症状轻微。
, 百拇医药
1.3 术前诊断:误诊肺癌19例(63%),结核球5例。正确诊断6例。
1.4 实验室检查:本组除4例白细胞计数增高外,其余均属正常,痰细菌,癌细胞检查为阴性。13例支气管镜检查,显示支气管开口正常,粘膜充血,未见新生物。
2 影像学表现
30例均摄有正侧位胸片,其中6例行体层摄片,18例行CT扫描检查。CT机采用日立W1000,西门子螺旋CT扫描机,距阵512×512,对18例假瘤灶进行层厚10 mm常规CT扫描,曝光时间1.2 s或2.4 s,采用适当的窗宽、窗位技术。
2.1 X线分析
2.2.1 发病部位:左肺10例,上叶2例,下叶8例;右肺20例,上叶12例,中叶3例,下叶5例。在30例中,5例发生纵隔旁形似纵隔肿瘤,3例发生在左右肺门旁形似中央型肺癌。
, 百拇医药
2.2.2 病灶大小:本组瘤体形态不一,大小不等,但均为单发,直径1.5~3 cm 8例,3.1~6.0 cm 13例,6 cm以上9例。
2.2.3 瘤体影像特征 X线表现呈球型10例(左肺4例,右肺6例);团块状20例(左肺6例,右肺14例)。球型的X线特征是:肿块大多呈圆形,椭圆形,大小1~4 cm不等,边缘光滑,密度均匀,轮廓清楚(图1)肿块周围多有假性包膜。团块型的特征是:病灶大小形态不一,密度多不均匀,边缘模糊,境界不清,有的形似大片渗出的炎性阴影(图2,3)或在肿块周围形成“外套”性炎症。4例可见明显的长毛刺,6例体层片上显示肿块内侧缘与肺门之间牵拉的索条影,2例形成压迫性肺不张,1例瘤体形似“倒雪人”状(图4)。
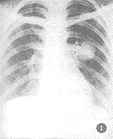
图1 左上肺见一5 cm×5 cm大小实质性肿块,边缘光滑、密度均匀、包膜完整,病理证实肺炎性假瘤
, 百拇医药
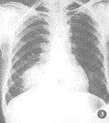
图2 右上肺见肿块呈大片团块影,并见肿块内侧缘与肺门之间呈牵拉的索条影,病理证实肺炎性假瘤
图3 右下肺见肿块呈团块状影,边缘有长毛刺
图4 左肺外带有一6 cm×5 cm之块影,呈“堆雪人”样表现,病理证实肺炎性假瘤
2.2 CT表现
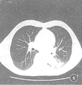
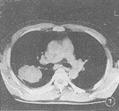
18例CT图像显示病灶呈明确的软组织块影,12例瘤体内有小空洞(图5),空洞内CT值为气体密度,8例在肿块的周围有炎性渗出(图6),4例瘤体边缘呈分叶状(图7),7例在肿块边缘具有长毛刺影(图8),9例在假瘤的附近可见局限性胸膜增厚,形成幕状,线状粘连带。
图5 CT扫描见左下肺肿块内多个小空洞影
, 百拇医药
图6 左肺块影周围呈炎性渗出表现
图7 假瘤呈软组织块影,边缘呈分叶状
图8 右上肺见肿块密度不匀,周围有粗长毛刺,病理证实肺炎性假瘤
3 讨论
肺炎性假瘤是炎性肉芽肿和各种非特异性炎症所致的瘤样肿块[1],据我院临床资料统计,此病有上升趋势,发病率仅次于结核球,好发于45岁以上年龄。
3.1 临床表现:本组26例均有不同程度的呼吸道症状,但症状轻,病程长,X线变化不大是其特点[2]。咳嗽咳痰、胸痛、痰中带血是常见表现或无症状,询问病史对本病的诊断具有一定的参考价值。
, 百拇医药
3.2 发病因素:多数人认为,此病与呼吸道的细菌、病毒感染有关,而抗菌素的不规则应用使肺部炎性病灶局限化,或延迟吸收,使得发病增加[2]。
3.3 影像学表现:肺炎性假瘤可发生在两肺的任何部位,本组右上肺(12/20)多于左上肺(2/10)。位于下叶的假瘤多位于下叶背段和内后基底段。球型瘤体一般边缘光滑锐利,直径多在1~4 cm,密度比较均匀,周围肺野清晰。团块样的瘤体一般境界不清,边缘模糊,部分病灶密度浓淡不匀,如多次并发急性炎症,可造成“瘤”影扩大,在其周围恰似炎性浸润的片状影。因此,假瘤边缘清楚与否取决于肿块周围的病理变化,境界面清楚者瘤体周围一般有假性包膜。若病灶处于急性阶段时,假瘤周围显示炎性渗出,在瘤体周围多呈模糊影,亦无假包膜形成。本组1例呈“堆雪人”状,这是由于假瘤生长不规则所致。3例假瘤跨叶生长的原因,可能是跨叶浸润的炎症使得假瘤跨叶融合的结果[1,4]。
CT图像把假瘤与肺的境界面显示得非常清楚,即使胸片表现为大片状或团块状模糊影,但在CT图像上则表现为境界清楚的块影[3]。本组30例胸部平片仅1例发现空洞,而18例CT扫描就有12例显示小空洞存在,这种小空洞可以单发,也可以多发。除此以外,CT图像上显示肿块周围长毛刺,胸膜增厚,粘连征像对本病诊断有着重要意义[3~7]。
, http://www.100md.com
3.4 误诊原因与鉴别诊断:本文19例术前误诊为肺癌,误诊原因是肺炎性假瘤的年龄偏大,对临床和肺内感染病史未加重视,加之X线、CT特征难与恶性病变鉴别,这是术前过多考虑肺癌的原因。与肺癌的鉴别点是:(1)假瘤临床症状轻,或无症状,肺癌症状明显,且逐渐加重;(2)假瘤的瘤体增长缓慢或无增长[4],而肺癌的肿块倍增时间短、发展快;(3)CT扫描可见假瘤内单个或多个小空洞,甚至呈蜂房样透亮。肺癌的空洞一般说来呈偏心性厚壁空洞,空洞内有癌结节,很少在一个癌灶内呈蜂房样低密度影;(4)假瘤在痰的检查、支气管镜活检中查不到癌细胞。与结核球的鉴别点是:结核球易发生在肺的上叶尖后段或下叶背段,密度均匀,可有钙化,病灶周围可有卫星灶。肺癌易发生在上叶前段,瘤体呈分叶、脐凹、短毛刺等征像有利于与假瘤鉴别。
4 小结
本文对30例肺炎性假瘤的X线、CT图像进行了分析讨论,提出了X线表现的分型和CT影像特征,分析了误诊原因,讨论了与结核球、肺癌的诊断与鉴别诊断。
, 百拇医药
5 参考文献
1,计威康,邹,仲,孙秦剑.肺炎性假瘤的X线诊断.临床放射学杂志,1983;2:65
2,张伯生,王一镗,万明月,等.肺炎性假瘤26例临床分析.江苏医药杂志,1987;3:136
3,王鸿帼,朱纪吾,陆,建.肺炎性假瘤的影像学诊断.实用放射学杂志,1995;2:73
4,公纯秀,李建夫,郑丽茹,等.肺及胸膜炎性假瘤的X线研究.中华放射学杂志,1982;1:19
5,吕桂坚,纪建松,梁建娥,等.肺炎性假瘤CT分析.中国医学计算机成像杂志,1998;2:99
6,李铁一,李,纬,白逸秋,等.肺部疾病的X线影像及其病理基础.第1版,北京:人民卫生出版社,1986:87~93
7,,KleiN SB.Inflammatory pseudotumors of the lung Brit J Radiol,1947;47~94
(收稿:1998-05-11,修回:1998-07-24), 百拇医药
单位:奚日泉(苏州医学院附属第一医院影像中心215006);谢道海(苏州医学院附属第一医院影像中心 215006);胡春洪(苏州医学院附属第一医院影像中心 215006);杨伟(苏州医学院附属第一医院影像中心 215006)
关键词:肺 炎性假瘤 体层摄影,X线计算机
实用放射学杂志000208 摘要 目的:探讨肺炎性假瘤的X线、CT表现及其特征。方法:对30例经手术病理证实肺的炎性假瘤病人进行胸部X线片、CT扫描,对其影像学特征进行了分析研究。结果:假瘤稳定阶段时,多数肿块包膜完整,边界光滑呈球形。病灶急性阶段时,灶周有炎性浸润,无包膜形成,病灶多呈团块状。肿块内空洞坏死,胸膜粘连,长毛刺等征像,对假瘤诊断具有重要意义。结论:全面分析假瘤的影像学特征,重视病人肺内感染病史,提高本病诊断的准确率是可能的。
, 百拇医药
Inflammatory Pseudotumor of the Lung:Radiographic and CT Appearances(A Report of 30 Cases)
Xi Riquan Xie Daohai Hu Chunhong Yang Wei
Department of Radiology,the First Affiliated Hospital,Suzhou Medical College,Suzhou 215006
ABSTRACT Objective:To investigate the X-ray and CT features of inflammatory pseudotumor.Methods:30 cases of pulmonary inflammatory pseudotumor confirmed by operation and pathology were examined by X-ray and CT imaging features were analyzed.Results:When the pseudotumors of lung were in the stable stage,most masses were ball-shaped with periphery smooth,and had intact capsule.When the disease was in the acute stage,there were infiltration of inflammation around the foci which were as ball and there were no capsule.The CT findings including necrosis of cavity in the mass,local plural thickness and adhesion,and the long speculation sign were of great significance in diagnosis of this disease.Conclusion:It is possible to increase the diagnostic rate by analysing the imaging features of pseudotumors all sidedly and emphasis on the history of infection of pitient.
, 百拇医药
Key words Lung Inflammatory pseucotumor Tomography X-ray computed
肺炎性假瘤是肺内炎性增生而形成的肿瘤样团块,易与肺癌,结核球和其它肺内良性病变混淆,术前诊断具有一定困难。为了进一步提高对本病的认识,作者收集自1979~1997年手术病理证实的30例肺炎性假瘤分析报告如下。
1 临床资料
1.1 发病年龄:本组男21例,女9例,男女之比为7∶3。发病年龄30~65岁之间,平均年龄50岁。其中30~45岁9例,46~65岁21例(占70%)。
1.2 临床症状:4例无症状被体检发现,其余26例均有不同程度的呼吸症状,其中咳嗽咳痰22例,发热伴脓痰4例,痰中带血19例,胸痛11例。本组病史最长2~6年,临床症状与肺内病变不相称,即X线表现往往明显,而临床症状轻微。
, 百拇医药
1.3 术前诊断:误诊肺癌19例(63%),结核球5例。正确诊断6例。
1.4 实验室检查:本组除4例白细胞计数增高外,其余均属正常,痰细菌,癌细胞检查为阴性。13例支气管镜检查,显示支气管开口正常,粘膜充血,未见新生物。
2 影像学表现
30例均摄有正侧位胸片,其中6例行体层摄片,18例行CT扫描检查。CT机采用日立W1000,西门子螺旋CT扫描机,距阵512×512,对18例假瘤灶进行层厚10 mm常规CT扫描,曝光时间1.2 s或2.4 s,采用适当的窗宽、窗位技术。
2.1 X线分析
2.2.1 发病部位:左肺10例,上叶2例,下叶8例;右肺20例,上叶12例,中叶3例,下叶5例。在30例中,5例发生纵隔旁形似纵隔肿瘤,3例发生在左右肺门旁形似中央型肺癌。
, 百拇医药
2.2.2 病灶大小:本组瘤体形态不一,大小不等,但均为单发,直径1.5~3 cm 8例,3.1~6.0 cm 13例,6 cm以上9例。
2.2.3 瘤体影像特征 X线表现呈球型10例(左肺4例,右肺6例);团块状20例(左肺6例,右肺14例)。球型的X线特征是:肿块大多呈圆形,椭圆形,大小1~4 cm不等,边缘光滑,密度均匀,轮廓清楚(图1)肿块周围多有假性包膜。团块型的特征是:病灶大小形态不一,密度多不均匀,边缘模糊,境界不清,有的形似大片渗出的炎性阴影(图2,3)或在肿块周围形成“外套”性炎症。4例可见明显的长毛刺,6例体层片上显示肿块内侧缘与肺门之间牵拉的索条影,2例形成压迫性肺不张,1例瘤体形似“倒雪人”状(图4)。
图1 左上肺见一5 cm×5 cm大小实质性肿块,边缘光滑、密度均匀、包膜完整,病理证实肺炎性假瘤
, 百拇医药
图2 右上肺见肿块呈大片团块影,并见肿块内侧缘与肺门之间呈牵拉的索条影,病理证实肺炎性假瘤
图3 右下肺见肿块呈团块状影,边缘有长毛刺
图4 左肺外带有一6 cm×5 cm之块影,呈“堆雪人”样表现,病理证实肺炎性假瘤
2.2 CT表现
18例CT图像显示病灶呈明确的软组织块影,12例瘤体内有小空洞(图5),空洞内CT值为气体密度,8例在肿块的周围有炎性渗出(图6),4例瘤体边缘呈分叶状(图7),7例在肿块边缘具有长毛刺影(图8),9例在假瘤的附近可见局限性胸膜增厚,形成幕状,线状粘连带。
, 百拇医药
图6 左肺块影周围呈炎性渗出表现
图7 假瘤呈软组织块影,边缘呈分叶状
图8 右上肺见肿块密度不匀,周围有粗长毛刺,病理证实肺炎性假瘤
3 讨论
肺炎性假瘤是炎性肉芽肿和各种非特异性炎症所致的瘤样肿块[1],据我院临床资料统计,此病有上升趋势,发病率仅次于结核球,好发于45岁以上年龄。
3.1 临床表现:本组26例均有不同程度的呼吸道症状,但症状轻,病程长,X线变化不大是其特点[2]。咳嗽咳痰、胸痛、痰中带血是常见表现或无症状,询问病史对本病的诊断具有一定的参考价值。
, 百拇医药
3.2 发病因素:多数人认为,此病与呼吸道的细菌、病毒感染有关,而抗菌素的不规则应用使肺部炎性病灶局限化,或延迟吸收,使得发病增加[2]。
3.3 影像学表现:肺炎性假瘤可发生在两肺的任何部位,本组右上肺(12/20)多于左上肺(2/10)。位于下叶的假瘤多位于下叶背段和内后基底段。球型瘤体一般边缘光滑锐利,直径多在1~4 cm,密度比较均匀,周围肺野清晰。团块样的瘤体一般境界不清,边缘模糊,部分病灶密度浓淡不匀,如多次并发急性炎症,可造成“瘤”影扩大,在其周围恰似炎性浸润的片状影。因此,假瘤边缘清楚与否取决于肿块周围的病理变化,境界面清楚者瘤体周围一般有假性包膜。若病灶处于急性阶段时,假瘤周围显示炎性渗出,在瘤体周围多呈模糊影,亦无假包膜形成。本组1例呈“堆雪人”状,这是由于假瘤生长不规则所致。3例假瘤跨叶生长的原因,可能是跨叶浸润的炎症使得假瘤跨叶融合的结果[1,4]。
CT图像把假瘤与肺的境界面显示得非常清楚,即使胸片表现为大片状或团块状模糊影,但在CT图像上则表现为境界清楚的块影[3]。本组30例胸部平片仅1例发现空洞,而18例CT扫描就有12例显示小空洞存在,这种小空洞可以单发,也可以多发。除此以外,CT图像上显示肿块周围长毛刺,胸膜增厚,粘连征像对本病诊断有着重要意义[3~7]。
, http://www.100md.com
3.4 误诊原因与鉴别诊断:本文19例术前误诊为肺癌,误诊原因是肺炎性假瘤的年龄偏大,对临床和肺内感染病史未加重视,加之X线、CT特征难与恶性病变鉴别,这是术前过多考虑肺癌的原因。与肺癌的鉴别点是:(1)假瘤临床症状轻,或无症状,肺癌症状明显,且逐渐加重;(2)假瘤的瘤体增长缓慢或无增长[4],而肺癌的肿块倍增时间短、发展快;(3)CT扫描可见假瘤内单个或多个小空洞,甚至呈蜂房样透亮。肺癌的空洞一般说来呈偏心性厚壁空洞,空洞内有癌结节,很少在一个癌灶内呈蜂房样低密度影;(4)假瘤在痰的检查、支气管镜活检中查不到癌细胞。与结核球的鉴别点是:结核球易发生在肺的上叶尖后段或下叶背段,密度均匀,可有钙化,病灶周围可有卫星灶。肺癌易发生在上叶前段,瘤体呈分叶、脐凹、短毛刺等征像有利于与假瘤鉴别。
4 小结
本文对30例肺炎性假瘤的X线、CT图像进行了分析讨论,提出了X线表现的分型和CT影像特征,分析了误诊原因,讨论了与结核球、肺癌的诊断与鉴别诊断。
, 百拇医药
5 参考文献
1,计威康,邹,仲,孙秦剑.肺炎性假瘤的X线诊断.临床放射学杂志,1983;2:65
2,张伯生,王一镗,万明月,等.肺炎性假瘤26例临床分析.江苏医药杂志,1987;3:136
3,王鸿帼,朱纪吾,陆,建.肺炎性假瘤的影像学诊断.实用放射学杂志,1995;2:73
4,公纯秀,李建夫,郑丽茹,等.肺及胸膜炎性假瘤的X线研究.中华放射学杂志,1982;1:19
5,吕桂坚,纪建松,梁建娥,等.肺炎性假瘤CT分析.中国医学计算机成像杂志,1998;2:99
6,李铁一,李,纬,白逸秋,等.肺部疾病的X线影像及其病理基础.第1版,北京:人民卫生出版社,1986:87~93
7,,KleiN SB.Inflammatory pseudotumors of the lung Brit J Radiol,1947;47~94
(收稿:1998-05-11,修回:1998-07-24), 百拇医药