334例选择性冠状动脉造影分析
作者:吴大哲 钟易 温德华 雷肖玲
单位:吴大哲(广西自治区人民医院放射科 530021)钟易(广西自治区人民医院放射科 530021);温德华(广西自治区人民医院放射530021);雷肖玲(广西自治区人民医院放射科 530021)
关键词:冠心病 冠状动脉 血管造影
实用放射学杂志000206 摘要 目的:探讨冠心病病人冠状动脉病变范围、程度、评估冠脉造影价值及其局限性。方法:用Judkins法行选择性左、右冠脉造影334例,观察并记录冠脉病变范围和程度。结果:334例冠脉造影有病理性改变212例(63.4%),其中单支病变97例(45.7%),双支病变66例(31.1%)三支病变45例(21.2%),四支病变4例(1.9%)。共累及417支血管,分别为前降支207支(49.6%),右冠119支(28.5%),回旋支85支(20.3%)左主干6支(1.4%)。心肌梗塞组(A组)阳性率88.9%,心绞痛组(B组)80%,胸痛组(C组)11.7%。结论:选择性冠状动脉造影仍然是诊断冠心病的金标准,它具有其他无创性检查无法替代的作用。
, 百拇医药
Investigation of Selective Coronary artery anglography in 334 Cases
Wu Dazhe Zhong Yi Wen Dehua Lei Xiaoling
Department of Radiology,The People′s Hospital of Guanxi Province,Nannig 530021
ABSTRACT Objective:To evaluate the diagnostic value of selective coronaly with Judkins method artery angiography.Methods:The selective coronary angiography were performed in 334 patients. Results:The abnormalties of coronary arteries were demonstrated in 212 of 334 patients,including one branch of coronary artery involved in 97 patients(45.7%),two branchcs in 66(31.1%),three branchcs in 45(21.2%),four branches in 4(1.9%).There were total 417 branches of coronal arteries involved,they were anterior descending coronary arteries(207 branches,49.6%),right coronal arteries(119 branches,28.5%),circumflex coronary arteries(85 branches,20.3%),left main coronary arteries(6 branches 1.4%).The lesions of coronary artery were found in 88.9% of patients with infarct,80% of patients with angina,11.7% of patients with chest pain.Conclusion:The selective coronary artery angiography is still gold standard for the diagnosis of coronary artery disease.
, 百拇医药
Key words Coronary heart disease Coronary artery Angiography
选择性冠状动脉造影(CAG)近年来已广泛应用于临床,我院1993~1999-08年间对334例病人进行选择性冠状动脉造影,并对其中10例急性心梗病人溶栓治疗,41例行PTCA术,26例植入支架,均收到较好的疗效,报道如下。
1 材料与方法
334例住院病人,男285例,女49例,年龄25~86岁,平均59±8.5岁。心肌梗塞组(A组)162例,其中急性心梗102例(发病时间<8周),亚急性、慢性心梗60例。累及前壁105例,下壁58例,正后侧壁11例,侧壁8例。心绞痛组(B组)70例,其中稳定型28例,不稳定型30例,混合型12例。胸痛+心电图缺血组(C组)102例。均采用Judkins方法经股动脉插管,行选择性左、右冠脉造影,采用35 mm X线电影摄影,投照体位采用后前位,双斜位+轴位(头向或足向)角度因个体差异适当调整,左室造影用RAO30°。判断病变标准采用面积法在机器上计算,以管腔面积减少<50%,51%~74%,75%~99%及100%定为轻、中、重度狭窄及完全闭塞,以>50%为CAG阳性。
, 百拇医药
2 结果
CAG阳性率:212例(63.4%),其中A组88.9%(144/162),B组80%(56/70),C组11.7%(12/102),A、B二组间P>0.05无显著性差异,A与C,B与C组之间比较P<0.01有显著性差异。冠脉病变共累及417支血管,其中左前降支207支(49.6%),右冠119支(28.5%),回旋支85支(20.3%),左主干6支(1.4%)。单支病变97例(45.7%),双支病变66例(31.1%),三支病变45例(21.2%),四支病变4例(1.9%)。CAG阴性:122例(36.5%)其中A组18例(11.1%),B组14例(20%),C组90例(88.2%),A、B两组间P>0.05无显著性差异,A与C,B与C两组间P<0.01有显著性差异。
3 讨论
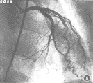
众多学者认为:冠心病冠脉病变以左前降支最多见,其次是右冠及回旋支(图1,2),本组病变左前降支占49.6%,右冠28.5%,回旋支20.3%,而左主干仅有6例,与文献[1,2]报道相一致。
图1 左前降支起始部,回旋支中段局限性偏心重度狭窄
, 百拇医药
图2 右冠脉多处偏心重度狭窄,主干呈串珠状
CAG最大特点是可视性,通过静态或动态从不同角度观察,可较准确地判断冠脉病变的部位、性质、形态、范围、程度及远端血运情况,为冠心病的治疗提供了准确的解剖学依据[3,4],本组334例冠脉造影发现212例417支血管有病理性改变,并对其中10例急性闭塞的血管予以溶栓治疗,41例行PTCA术26例植入支架,使原来病变血管得以疏通、扩展,恢复血供(图3~7),收到很好的效果。本组结果亦表明,A、B二组CAG阳性率明显高于C组,而阴性率C组明显高于A、B二组。A、B二组间P>0.05无显著性差异而A与C,B与C之间P<0.01有显著性差异。说明冠脉造影对冠心病的诊断价值是其他无创检查无法比拟的。近年来超高速CT(UFCT)问世,实现了电影CT,对冠脉钙化有极高的检出率,准确性达77%,为早期诊断冠心病,对无症状人群进行筛选开创了先河,并对冠脉造影提出了挑战[5],但UFCT仍无法检出无钙化性的血管狭窄,也无法看到冠脉的全貌,病变远端的灌注状况,更无法为临床进一步选择治疗方案提供依据。因此,我们认为冠脉造影目前仍是诊断冠心病的“金标准”,它具有其它无创性检查不能取代的价值。但是,从本组资料看,临床诊断急性心梗中仍有8例,慢性心梗中有9例CAG为阴性。文献[4,6]报道CAG不能显示0.6 mm以下小冠脉病变,也不能发现<0.2 mm冠脉血栓和小钙化灶,对冠脉微循环状态、冠脉储备功能难以准确了解。因此就会出现冠脉病变的血管造影狭窄程度同生理学的影响不一致。痉挛易造成心肌缺血,CAG常表现为阴性,也与临床相矛盾,同时CAG设备、技术条件要求高,费用昂贵,有X线损害,属创伤性检查,有一定危险性,这些都限制了临床的广泛应用。
, 百拇医药
图3 左前降支近端长约0.8 cm,重度狭窄
图4 与图3同一病例,经PTCA十支架植入后,原狭窄消失
图5 右冠近端完全闭塞
图6 与图5同一病例,溶栓后近端仍残留>50%局限狭窄
图7 与图5同一病例,植入支架后原狭窄消失
, 百拇医药
图8 “胸痛”病人,ECG有ST-T段缺血改变,平板试验(-),冠脉造影正常
临床医师经常将胸闷、胸痛伴心电图ST-T段缺血性改变或有冠心病危险因素时误诊为“冠心病”而做CAG检查,其阳性率从0%~36%,差别很大[7,8],本文C组102例均为“冠心病”可疑者,都做过ECG检查有ST-T段缺血表现,部分还作过平板运动试验,不少病例造影前都按“冠心病”治疗,但经CAG检查阳性率仅11.7%,阴性达88.2%(图8),蒲氏[8]对27例阵发性房颤病人行CAG检查,发现9例(33%)年龄较大房颤病人CAG有病理性狭窄表现,认为对这些病人不应轻易作出有无冠心病的诊断,有条件者应行CAG检查,以免造成漏诊或误诊。我们认为对“胸痛组”病人应先行无创性检查,以避免不必要的有创检查,如仍无法确诊,再行CAG检查。
4 参考文献
1,李敬帮,江海寿,孙立军,等.474例冠心病冠状动脉造影分析.中华放射学杂志,1993;7:458
, 百拇医药
2,许育瑜,陈,斌,陈少辉,等.128例冠心病病人冠状动脉造影分析.临床医学杂志,1998;5:359
3,王娟玲.冠状动脉造影在临床上的应用现状.临床荟萃,1998;8:341
4,王,云,颜红兵.冠状动脉造影术的临床应用.中日友好医院学报,1997;11:178
5,张少雄,戴汝平,吕,滨,等.冠状动脉钙化超高速CT检查及与冠状动脉造影的对比研究.中华放射学杂志,1997;6:388
6,杜日映,李志立.冠状动脉造影的诊断意义及其局限性.临床内科杂志,1997;1:7
7,蒋金法,张代富,徐文俊,等.47例胸痛伴心肌缺血病人冠状动脉造影结果分析.临床内科杂志,1998;4:192
8,蒲晓东,沈玉珍,陈诗泉,等.胸痛组冠脉造影结果正常85例分析.福建医药杂志,1996;1:9
(收稿:1999-09-14), http://www.100md.com
单位:吴大哲(广西自治区人民医院放射科 530021)钟易(广西自治区人民医院放射科 530021);温德华(广西自治区人民医院放射530021);雷肖玲(广西自治区人民医院放射科 530021)
关键词:冠心病 冠状动脉 血管造影
实用放射学杂志000206 摘要 目的:探讨冠心病病人冠状动脉病变范围、程度、评估冠脉造影价值及其局限性。方法:用Judkins法行选择性左、右冠脉造影334例,观察并记录冠脉病变范围和程度。结果:334例冠脉造影有病理性改变212例(63.4%),其中单支病变97例(45.7%),双支病变66例(31.1%)三支病变45例(21.2%),四支病变4例(1.9%)。共累及417支血管,分别为前降支207支(49.6%),右冠119支(28.5%),回旋支85支(20.3%)左主干6支(1.4%)。心肌梗塞组(A组)阳性率88.9%,心绞痛组(B组)80%,胸痛组(C组)11.7%。结论:选择性冠状动脉造影仍然是诊断冠心病的金标准,它具有其他无创性检查无法替代的作用。
, 百拇医药
Investigation of Selective Coronary artery anglography in 334 Cases
Wu Dazhe Zhong Yi Wen Dehua Lei Xiaoling
Department of Radiology,The People′s Hospital of Guanxi Province,Nannig 530021
ABSTRACT Objective:To evaluate the diagnostic value of selective coronaly with Judkins method artery angiography.Methods:The selective coronary angiography were performed in 334 patients. Results:The abnormalties of coronary arteries were demonstrated in 212 of 334 patients,including one branch of coronary artery involved in 97 patients(45.7%),two branchcs in 66(31.1%),three branchcs in 45(21.2%),four branches in 4(1.9%).There were total 417 branches of coronal arteries involved,they were anterior descending coronary arteries(207 branches,49.6%),right coronal arteries(119 branches,28.5%),circumflex coronary arteries(85 branches,20.3%),left main coronary arteries(6 branches 1.4%).The lesions of coronary artery were found in 88.9% of patients with infarct,80% of patients with angina,11.7% of patients with chest pain.Conclusion:The selective coronary artery angiography is still gold standard for the diagnosis of coronary artery disease.
, 百拇医药
Key words Coronary heart disease Coronary artery Angiography
选择性冠状动脉造影(CAG)近年来已广泛应用于临床,我院1993~1999-08年间对334例病人进行选择性冠状动脉造影,并对其中10例急性心梗病人溶栓治疗,41例行PTCA术,26例植入支架,均收到较好的疗效,报道如下。
1 材料与方法
334例住院病人,男285例,女49例,年龄25~86岁,平均59±8.5岁。心肌梗塞组(A组)162例,其中急性心梗102例(发病时间<8周),亚急性、慢性心梗60例。累及前壁105例,下壁58例,正后侧壁11例,侧壁8例。心绞痛组(B组)70例,其中稳定型28例,不稳定型30例,混合型12例。胸痛+心电图缺血组(C组)102例。均采用Judkins方法经股动脉插管,行选择性左、右冠脉造影,采用35 mm X线电影摄影,投照体位采用后前位,双斜位+轴位(头向或足向)角度因个体差异适当调整,左室造影用RAO30°。判断病变标准采用面积法在机器上计算,以管腔面积减少<50%,51%~74%,75%~99%及100%定为轻、中、重度狭窄及完全闭塞,以>50%为CAG阳性。
, 百拇医药
2 结果
CAG阳性率:212例(63.4%),其中A组88.9%(144/162),B组80%(56/70),C组11.7%(12/102),A、B二组间P>0.05无显著性差异,A与C,B与C组之间比较P<0.01有显著性差异。冠脉病变共累及417支血管,其中左前降支207支(49.6%),右冠119支(28.5%),回旋支85支(20.3%),左主干6支(1.4%)。单支病变97例(45.7%),双支病变66例(31.1%),三支病变45例(21.2%),四支病变4例(1.9%)。CAG阴性:122例(36.5%)其中A组18例(11.1%),B组14例(20%),C组90例(88.2%),A、B两组间P>0.05无显著性差异,A与C,B与C两组间P<0.01有显著性差异。
3 讨论
众多学者认为:冠心病冠脉病变以左前降支最多见,其次是右冠及回旋支(图1,2),本组病变左前降支占49.6%,右冠28.5%,回旋支20.3%,而左主干仅有6例,与文献[1,2]报道相一致。
, 百拇医药
图2 右冠脉多处偏心重度狭窄,主干呈串珠状
CAG最大特点是可视性,通过静态或动态从不同角度观察,可较准确地判断冠脉病变的部位、性质、形态、范围、程度及远端血运情况,为冠心病的治疗提供了准确的解剖学依据[3,4],本组334例冠脉造影发现212例417支血管有病理性改变,并对其中10例急性闭塞的血管予以溶栓治疗,41例行PTCA术26例植入支架,使原来病变血管得以疏通、扩展,恢复血供(图3~7),收到很好的效果。本组结果亦表明,A、B二组CAG阳性率明显高于C组,而阴性率C组明显高于A、B二组。A、B二组间P>0.05无显著性差异而A与C,B与C之间P<0.01有显著性差异。说明冠脉造影对冠心病的诊断价值是其他无创检查无法比拟的。近年来超高速CT(UFCT)问世,实现了电影CT,对冠脉钙化有极高的检出率,准确性达77%,为早期诊断冠心病,对无症状人群进行筛选开创了先河,并对冠脉造影提出了挑战[5],但UFCT仍无法检出无钙化性的血管狭窄,也无法看到冠脉的全貌,病变远端的灌注状况,更无法为临床进一步选择治疗方案提供依据。因此,我们认为冠脉造影目前仍是诊断冠心病的“金标准”,它具有其它无创性检查不能取代的价值。但是,从本组资料看,临床诊断急性心梗中仍有8例,慢性心梗中有9例CAG为阴性。文献[4,6]报道CAG不能显示0.6 mm以下小冠脉病变,也不能发现<0.2 mm冠脉血栓和小钙化灶,对冠脉微循环状态、冠脉储备功能难以准确了解。因此就会出现冠脉病变的血管造影狭窄程度同生理学的影响不一致。痉挛易造成心肌缺血,CAG常表现为阴性,也与临床相矛盾,同时CAG设备、技术条件要求高,费用昂贵,有X线损害,属创伤性检查,有一定危险性,这些都限制了临床的广泛应用。
, 百拇医药
图3 左前降支近端长约0.8 cm,重度狭窄
图4 与图3同一病例,经PTCA十支架植入后,原狭窄消失
图5 右冠近端完全闭塞
图6 与图5同一病例,溶栓后近端仍残留>50%局限狭窄
图7 与图5同一病例,植入支架后原狭窄消失
, 百拇医药
图8 “胸痛”病人,ECG有ST-T段缺血改变,平板试验(-),冠脉造影正常
临床医师经常将胸闷、胸痛伴心电图ST-T段缺血性改变或有冠心病危险因素时误诊为“冠心病”而做CAG检查,其阳性率从0%~36%,差别很大[7,8],本文C组102例均为“冠心病”可疑者,都做过ECG检查有ST-T段缺血表现,部分还作过平板运动试验,不少病例造影前都按“冠心病”治疗,但经CAG检查阳性率仅11.7%,阴性达88.2%(图8),蒲氏[8]对27例阵发性房颤病人行CAG检查,发现9例(33%)年龄较大房颤病人CAG有病理性狭窄表现,认为对这些病人不应轻易作出有无冠心病的诊断,有条件者应行CAG检查,以免造成漏诊或误诊。我们认为对“胸痛组”病人应先行无创性检查,以避免不必要的有创检查,如仍无法确诊,再行CAG检查。
4 参考文献
1,李敬帮,江海寿,孙立军,等.474例冠心病冠状动脉造影分析.中华放射学杂志,1993;7:458
, 百拇医药
2,许育瑜,陈,斌,陈少辉,等.128例冠心病病人冠状动脉造影分析.临床医学杂志,1998;5:359
3,王娟玲.冠状动脉造影在临床上的应用现状.临床荟萃,1998;8:341
4,王,云,颜红兵.冠状动脉造影术的临床应用.中日友好医院学报,1997;11:178
5,张少雄,戴汝平,吕,滨,等.冠状动脉钙化超高速CT检查及与冠状动脉造影的对比研究.中华放射学杂志,1997;6:388
6,杜日映,李志立.冠状动脉造影的诊断意义及其局限性.临床内科杂志,1997;1:7
7,蒋金法,张代富,徐文俊,等.47例胸痛伴心肌缺血病人冠状动脉造影结果分析.临床内科杂志,1998;4:192
8,蒲晓东,沈玉珍,陈诗泉,等.胸痛组冠脉造影结果正常85例分析.福建医药杂志,1996;1:9
(收稿:1999-09-14), http://www.100md.com