动态增强MRI鉴别星形细胞瘤病理级别的价值
作者:王小宜 陈常青 王润文 彭仁罗
单位:王小宜(湖南医科大学湘雅医院放射科410008);陈常青(湖南医科大学湘雅医院放射科 410008);王润文(湖南医科大学湘雅医院放射科 410008);彭仁罗(湖南医科大学湘雅医院放射科 410008)
关键词:颅脑 星形细胞瘤 磁共振成像
实用放射学杂志000205 摘要 目的:评价动态增强MRI鉴别星形细胞瘤病理级别的作用。方法:采用1.0T MRI系统对35例星形细胞瘤进行动态增强扫描,分析各级别星形细胞瘤的对比增强率—时间(CE R-T)曲线,增强峰值(EP)和强化形态的差别。结果:Ⅰ、Ⅱ级星形细胞瘤均为Ⅳ、Ⅴ型CE R-T曲线,而Ⅲ、Ⅳ级星形细胞瘤12例中6例Ⅱ、Ⅲ型CE R-T曲线;高级别星形细胞瘤的EP值较低级别者高,低级别星形细胞瘤多为斑片状或单环状强化,高级别星形细胞瘤多为花圈状,多环状强化。结论:动态增强MRI对星形细胞瘤病理级别的鉴别有一定实用价值。
, http://www.100md.com
The Evaluation on Differentiating Pathologic Grade of Astrocytomas with Dynamic Enhanced MR Imaging
Wang Xiaoyi Chen Changqing Wang Runwen Peng Renluo
Department of Radiology,Xiangya Hospital,Hunan Medical University,Changsha 410008
ABSTRACT Objective:To evaluate the efficacy of dynamic enhanced MR imaging for differentiating pathologic grade of astrocytomas.Methods:35 patients with astrocytoma underwent dynamic enhanced MR imaging with 1.0 T MRI system.The contrast enhancement ratio-time(CER-T)curve,enhancement peak(EP) and enhanced feature were analyzed for the various grade of astrocytomas.Results:The all of ⅠandⅡgrade astrocytomas were Ⅳ and Ⅴ type of CER-T curve,while 6 of 12 cases of Ⅲ or Ⅳ grade were Ⅱ and Ⅲ type of CER-T curve.EP of high-grade astrocytomas was higher than that of low-grade.The majority of low-grade astrocytomas showed single ring or patchy of enhancement,while the high-grade showed multiple ring or wreathed enhancement.Conclusion:The dynamic enhanced MRI has utility for differentiating pathologic grade of astrocytomas.
, http://www.100md.com
Key words Brain Astrocytoma Magnetic resonance imaging
预测星形细胞瘤的病理级别关系到治疗方案的制定及病人预后的估计,不少作者利用CT、血管造影及常规MRI[1,2]在这方面作了大量工作,但仍然不尽人意。近年来,随着MRI快速成像技术的发展,动态MRI成为可能,应用于中枢神经系统以鉴别肿瘤性质、提高垂体微腺瘤的发现率起到了一定的作用。预测星形细胞瘤的病理分级亦可见报道[3,4],我们从1996-05开始对星形细胞瘤进行动态增强MRI检查,探讨其对比增强率—时间(contrast enhancement ratio-time,CE R-T)曲线类型,增强峰值(enhancement peak,EP),最大对比增强率(maximum contrast enhancement ratio,MCER)及强化形态对星形细胞瘤病理分级的价值。
1 材料与方法
, http://www.100md.com
1.1 一般资料:从1996-05~1998-06对颅内星形细胞瘤进行动态增强MRI检查的病例中,35例得到手术及病理证实,其中男22例,女13例。年龄13~65岁,平均38岁。星形细胞瘤按张福林法分级,Ⅰ级8例(其中1例无强化,未纳入统计)、Ⅱ级15例、Ⅲ、Ⅳ级12例。
1.2 动态增强MRI检查方法:使用1.0 Tesla超导MRI系统(Magnetom Impact,Siemens)。常规平扫后,从足背静脉注射磁显葡胺(北陆公司生产)0.1 mmol.kg-1的同时开始动态扫描,磁显葡胺10 s内快速注完。技术参数如下:SE(200/15),每序列5层,层厚4 mm,FOV 25 cm,Matrix128×256,成像时间每序列29~30 s(0,15,44,74……),连续成像16个序列,共需时间429 s。动态扫描后再作常规增强扫描。
1.3 资料处理:动态增强曲线分析利用MRI系统辅助软件,以肿瘤实质部分为信号测量区,求得信号强度—时间曲线,再转化为CER-T曲线,其中CERn=(SIn-SI1)×100/(SImax-SI1)。EP为整个动态增强过程中信号测量区的最大信号强度(SImax)。MC ER为(SImax-SI1)×100/SI1。CE R-T曲线分为5型(线图):Ⅰ、速升缓降型:EP在90 s内出现,以后逐渐下降;Ⅱ、快升平台型:EP在90~180 s内出现,以后维持平坦;Ⅲ、快升缓降型:EP在90~180 s内出现,以后逐渐下降;Ⅳ、持续缓升型:整个动态过程中强化曲线持续上升;Ⅴ、缓升平台型:EP在180 s后出现,以后维持平坦。
线图 CER-T曲线分型示意图
, http://www.100md.com
2 结果
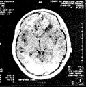
2.1 各级别星形细胞瘤的CE R-T曲线类型见表1,其中Ⅰ、Ⅱ级星形细胞瘤均为Ⅳ、Ⅴ型曲线(图1),Ⅲ、Ⅳ级星形细胞瘤12例中6例为Ⅱ、Ⅲ型曲线(图2),6例为Ⅳ、Ⅴ型曲线。
图1 星形细胞瘤Ⅱ级 表现为Ⅳ型CER-T曲线,图中曲线按右侧止点自上至下依
次为:肿瘤实质、脑实质、脑室、空气
图2 星形细胞Ⅲ级 表现为Ⅱ型CER-T曲线,图中曲线按右侧止点自上至下依次
为:大脑浅静脉、肿瘤实质、脑实质、空气
, 百拇医药
表1 各级别星形细胞瘤CER-T曲线类型 级别
例数
CER-T曲线类型(例数)
Ⅰ型
Ⅱ型
Ⅲ型
Ⅳ型
Ⅴ型
Ⅰ级
7
5
2
Ⅱ级
, 百拇医药
15
7
8
Ⅲ、Ⅳ级
12
4
2
3
3
合计
34
4
2
15
, 百拇医药
13
2.2 各级别星形细胞瘤的EP及MC ER见表2。EP与MCER的相关系数r=0.8106(P值<0.0005)。 表2 各级别星形细胞瘤的EP及MCER 级别
例数
EP
P值
MCER
P值
X
S
X
S
Ⅰ级
, 百拇医药
7
387.71
51.96
<0.01①
103.05
58.23
<0.05①
Ⅱ级
15
481.86
89.32
>0.05②
149.60
, 百拇医药
51.91
>0.05②
Ⅲ、Ⅳ级
12
504.58
72.13
<0.01③
168.93
59.80
<0.01③
注:P值①为Ⅰ级与Ⅱ级比较;②为Ⅱ级与Ⅲ、Ⅳ级比较;③为Ⅲ、Ⅳ级与Ⅰ级比较。
2.3 强化形态:8例Ⅰ级星形细胞瘤中,1例无强化,4例斑片状强化,2例因囊变为囊壁薄环状强化,1例因坏死为壁厚不均环状强化。15例Ⅱ级者花圈状,多环状强化4例,斑片状不均匀强化6例(图3),余5例为单环状伴斑片状强化。12例Ⅲ、Ⅳ级者花圈状,多环状强化5例(图4),单环状伴斑片状强化4例,不均匀斑片状强化3例。
图3 星形细胞瘤Ⅱ级 表现为不均匀斑点状强化
, 百拇医药
图4 星形细胞瘤Ⅲ级 表现为花圈状强化
3 讨论
本组病例动态增强采用SE(200/15)序列,该序列图像清晰,信噪比高,磁敏伪影少[5],但成像时间相对较长,每序列约需时30 s。本组病例显示大脑浅静脉的EP出现在第二个成像序列(图2),肿瘤实质的EP最早出现在第五个成像序列,肿瘤的供血动脉甚至包括一些流速快的肿瘤血管呈流空信号,故我们认为这种成像速度并不影响对星形细胞瘤动态增强过程的观察。肿瘤动态增强的机理,一般认为早期增强主要取决于肿瘤的富血管度,血供丰富的肿瘤早期增强明显;后期增强主要取决于肿瘤血管对造影剂的通透性和血管外间隙造影剂的容量[6]。低浓度的Gd-DTPA主要通过缩短T1驰豫时间来实现信号增强,但Gd-DTPA剂量与信号强度之间并非完全正性线性关系。Brix等[7]用数学理论推断Gd-DTPA增强机制认为:SE及IR序列比较GER序列,其信号强度与Gd-DTPA浓度之间存在较高的线性相关,故采用SE及IR序列作动态增强能更好地反映肿瘤病理。
, http://www.100md.com
本组病例中23例Ⅰ、Ⅱ级星形细胞瘤除1例无强化外,余22例均为Ⅳ、Ⅴ型CER-T曲线,即EP均在180 s后,而12例 Ⅲ、Ⅳ级星形细胞瘤中有6例为Ⅱ、Ⅲ型CER-T曲线,即EP在90~180 s间。在22例Ⅰ、Ⅱ级星形细胞瘤中4例于术前作DSA检查,均未见明显肿瘤血管和肿瘤染色,6例Ⅱ、Ⅲ型CER-T曲线的Ⅲ、Ⅳ级星形细胞中2例作DSA检查均见不成熟肿瘤血管和肿瘤染色。这表明CER-T曲线类型能够反映肿瘤的富血管度。Aronen和Maeda等[3,4]报告了胶质瘤的动态增强MRI反映的肿瘤血流动力学改变和血容量多少与肿瘤富血管度之间有密切关系,胶质瘤病理级别愈高,其肿瘤血管愈丰富,血容量亦愈大。
EP值出现的早晚决定CER-T曲线的类型,与星形细胞瘤的分级有关。EP值的大小也与病理分级关系密切,高级别的星形细胞瘤EP值大于低级别者。MCER与EP值密切相关(r=0.8106),其区别在于后者为动态增强过程中T1信号强度最大值,前者则与第一动态系列(S1)T1信号强度有关,EP值相同的病例,S1的T1信号强度高者其MCER则相对较小。本组病例的S1成像时间在足背静脉注射Gd-DTPA开始后的0~15 s,造影剂尚未进入肿瘤循环,故S1成像相当于增强前图像。
, 百拇医药
星形细胞瘤的强化形态与病理分级的关系已有诸多常规MRI的经验[1,2],低级别者常为较均匀、斑片状或单环状强化,高级别者则多为不均匀、多环状、花圈状强化,本组病例也表现出这种趋势。
常规MRI根据肿瘤的信号不均匀性、囊变坏死、瘤周水肿、占位效应、增强程度和形态等指标来预测其病理分级。动态增强MRI根据其CER-T曲线类型、EP及MCER反映肿瘤循环过程,对预测星形细胞的病理分级,特别是了解肿瘤的富血管度具有较高的实用价值。
4 参考文献
1,Dean BL,Drayer BP,Bird CR,et al.Gliomas:Classification with MR imaging.Radiology,1990;174:411~415
2,Asari S,Makabe T,Katayama S,et al.Astrocytic gliomas:MRI and pathological grade.Acta Med Okayama,1993;47:383~389
, http://www.100md.com
3,Aronen HJ,Gazit IE,Louis DN,et al.Cerebral blood volume maps of gliomas:comparison with tumor grade and histologic findings.Radiology,1994;191:41~51
4,Maeda M,Itoh S,Kimura H,et al.Tumor vascularity in the brain:Evaluation with dynamic susceptibility-contrast MR imaging.Radiolgy,1993;189:233~238
5,Joo YG,Korogi Y,Hirai T,et al.Differential diagnosis of extra-axial tumors by dynamic spin-echo MRI.Neuroradiology,1995;37:522~525
6,Takashima S,Noguchi Y,Okumura T,et al.Dynamic MR imaging in the head and neck.Radiolgy,1993;189:813~821
7,Brix G,semmler W,Port R,et al.Pharmacokinetic parameters in CNS enhanced MR imaging.JCAT,1991;15(4):621~628
(收稿:1998-09-08), http://www.100md.com
单位:王小宜(湖南医科大学湘雅医院放射科410008);陈常青(湖南医科大学湘雅医院放射科 410008);王润文(湖南医科大学湘雅医院放射科 410008);彭仁罗(湖南医科大学湘雅医院放射科 410008)
关键词:颅脑 星形细胞瘤 磁共振成像
实用放射学杂志000205 摘要 目的:评价动态增强MRI鉴别星形细胞瘤病理级别的作用。方法:采用1.0T MRI系统对35例星形细胞瘤进行动态增强扫描,分析各级别星形细胞瘤的对比增强率—时间(CE R-T)曲线,增强峰值(EP)和强化形态的差别。结果:Ⅰ、Ⅱ级星形细胞瘤均为Ⅳ、Ⅴ型CE R-T曲线,而Ⅲ、Ⅳ级星形细胞瘤12例中6例Ⅱ、Ⅲ型CE R-T曲线;高级别星形细胞瘤的EP值较低级别者高,低级别星形细胞瘤多为斑片状或单环状强化,高级别星形细胞瘤多为花圈状,多环状强化。结论:动态增强MRI对星形细胞瘤病理级别的鉴别有一定实用价值。
, http://www.100md.com
The Evaluation on Differentiating Pathologic Grade of Astrocytomas with Dynamic Enhanced MR Imaging
Wang Xiaoyi Chen Changqing Wang Runwen Peng Renluo
Department of Radiology,Xiangya Hospital,Hunan Medical University,Changsha 410008
ABSTRACT Objective:To evaluate the efficacy of dynamic enhanced MR imaging for differentiating pathologic grade of astrocytomas.Methods:35 patients with astrocytoma underwent dynamic enhanced MR imaging with 1.0 T MRI system.The contrast enhancement ratio-time(CER-T)curve,enhancement peak(EP) and enhanced feature were analyzed for the various grade of astrocytomas.Results:The all of ⅠandⅡgrade astrocytomas were Ⅳ and Ⅴ type of CER-T curve,while 6 of 12 cases of Ⅲ or Ⅳ grade were Ⅱ and Ⅲ type of CER-T curve.EP of high-grade astrocytomas was higher than that of low-grade.The majority of low-grade astrocytomas showed single ring or patchy of enhancement,while the high-grade showed multiple ring or wreathed enhancement.Conclusion:The dynamic enhanced MRI has utility for differentiating pathologic grade of astrocytomas.
, http://www.100md.com
Key words Brain Astrocytoma Magnetic resonance imaging
预测星形细胞瘤的病理级别关系到治疗方案的制定及病人预后的估计,不少作者利用CT、血管造影及常规MRI[1,2]在这方面作了大量工作,但仍然不尽人意。近年来,随着MRI快速成像技术的发展,动态MRI成为可能,应用于中枢神经系统以鉴别肿瘤性质、提高垂体微腺瘤的发现率起到了一定的作用。预测星形细胞瘤的病理分级亦可见报道[3,4],我们从1996-05开始对星形细胞瘤进行动态增强MRI检查,探讨其对比增强率—时间(contrast enhancement ratio-time,CE R-T)曲线类型,增强峰值(enhancement peak,EP),最大对比增强率(maximum contrast enhancement ratio,MCER)及强化形态对星形细胞瘤病理分级的价值。
1 材料与方法
, http://www.100md.com
1.1 一般资料:从1996-05~1998-06对颅内星形细胞瘤进行动态增强MRI检查的病例中,35例得到手术及病理证实,其中男22例,女13例。年龄13~65岁,平均38岁。星形细胞瘤按张福林法分级,Ⅰ级8例(其中1例无强化,未纳入统计)、Ⅱ级15例、Ⅲ、Ⅳ级12例。
1.2 动态增强MRI检查方法:使用1.0 Tesla超导MRI系统(Magnetom Impact,Siemens)。常规平扫后,从足背静脉注射磁显葡胺(北陆公司生产)0.1 mmol.kg-1的同时开始动态扫描,磁显葡胺10 s内快速注完。技术参数如下:SE(200/15),每序列5层,层厚4 mm,FOV 25 cm,Matrix128×256,成像时间每序列29~30 s(0,15,44,74……),连续成像16个序列,共需时间429 s。动态扫描后再作常规增强扫描。
1.3 资料处理:动态增强曲线分析利用MRI系统辅助软件,以肿瘤实质部分为信号测量区,求得信号强度—时间曲线,再转化为CER-T曲线,其中CERn=(SIn-SI1)×100/(SImax-SI1)。EP为整个动态增强过程中信号测量区的最大信号强度(SImax)。MC ER为(SImax-SI1)×100/SI1。CE R-T曲线分为5型(线图):Ⅰ、速升缓降型:EP在90 s内出现,以后逐渐下降;Ⅱ、快升平台型:EP在90~180 s内出现,以后维持平坦;Ⅲ、快升缓降型:EP在90~180 s内出现,以后逐渐下降;Ⅳ、持续缓升型:整个动态过程中强化曲线持续上升;Ⅴ、缓升平台型:EP在180 s后出现,以后维持平坦。
, http://www.100md.com
2 结果
2.1 各级别星形细胞瘤的CE R-T曲线类型见表1,其中Ⅰ、Ⅱ级星形细胞瘤均为Ⅳ、Ⅴ型曲线(图1),Ⅲ、Ⅳ级星形细胞瘤12例中6例为Ⅱ、Ⅲ型曲线(图2),6例为Ⅳ、Ⅴ型曲线。
图1 星形细胞瘤Ⅱ级 表现为Ⅳ型CER-T曲线,图中曲线按右侧止点自上至下依
次为:肿瘤实质、脑实质、脑室、空气
图2 星形细胞Ⅲ级 表现为Ⅱ型CER-T曲线,图中曲线按右侧止点自上至下依次
为:大脑浅静脉、肿瘤实质、脑实质、空气
, 百拇医药
表1 各级别星形细胞瘤CER-T曲线类型 级别
例数
CER-T曲线类型(例数)
Ⅰ型
Ⅱ型
Ⅲ型
Ⅳ型
Ⅴ型
Ⅰ级
7
5
2
Ⅱ级
, 百拇医药
15
7
8
Ⅲ、Ⅳ级
12
4
2
3
3
合计
34
4
2
15
, 百拇医药
13
2.2 各级别星形细胞瘤的EP及MC ER见表2。EP与MCER的相关系数r=0.8106(P值<0.0005)。 表2 各级别星形细胞瘤的EP及MCER 级别
例数
EP
P值
MCER
P值
X
S
X
S
Ⅰ级
, 百拇医药
7
387.71
51.96
<0.01①
103.05
58.23
<0.05①
Ⅱ级
15
481.86
89.32
>0.05②
149.60
, 百拇医药
51.91
>0.05②
Ⅲ、Ⅳ级
12
504.58
72.13
<0.01③
168.93
59.80
<0.01③
注:P值①为Ⅰ级与Ⅱ级比较;②为Ⅱ级与Ⅲ、Ⅳ级比较;③为Ⅲ、Ⅳ级与Ⅰ级比较。
2.3 强化形态:8例Ⅰ级星形细胞瘤中,1例无强化,4例斑片状强化,2例因囊变为囊壁薄环状强化,1例因坏死为壁厚不均环状强化。15例Ⅱ级者花圈状,多环状强化4例,斑片状不均匀强化6例(图3),余5例为单环状伴斑片状强化。12例Ⅲ、Ⅳ级者花圈状,多环状强化5例(图4),单环状伴斑片状强化4例,不均匀斑片状强化3例。
, 百拇医药
图4 星形细胞瘤Ⅲ级 表现为花圈状强化
3 讨论
本组病例动态增强采用SE(200/15)序列,该序列图像清晰,信噪比高,磁敏伪影少[5],但成像时间相对较长,每序列约需时30 s。本组病例显示大脑浅静脉的EP出现在第二个成像序列(图2),肿瘤实质的EP最早出现在第五个成像序列,肿瘤的供血动脉甚至包括一些流速快的肿瘤血管呈流空信号,故我们认为这种成像速度并不影响对星形细胞瘤动态增强过程的观察。肿瘤动态增强的机理,一般认为早期增强主要取决于肿瘤的富血管度,血供丰富的肿瘤早期增强明显;后期增强主要取决于肿瘤血管对造影剂的通透性和血管外间隙造影剂的容量[6]。低浓度的Gd-DTPA主要通过缩短T1驰豫时间来实现信号增强,但Gd-DTPA剂量与信号强度之间并非完全正性线性关系。Brix等[7]用数学理论推断Gd-DTPA增强机制认为:SE及IR序列比较GER序列,其信号强度与Gd-DTPA浓度之间存在较高的线性相关,故采用SE及IR序列作动态增强能更好地反映肿瘤病理。
, http://www.100md.com
本组病例中23例Ⅰ、Ⅱ级星形细胞瘤除1例无强化外,余22例均为Ⅳ、Ⅴ型CER-T曲线,即EP均在180 s后,而12例 Ⅲ、Ⅳ级星形细胞瘤中有6例为Ⅱ、Ⅲ型CER-T曲线,即EP在90~180 s间。在22例Ⅰ、Ⅱ级星形细胞瘤中4例于术前作DSA检查,均未见明显肿瘤血管和肿瘤染色,6例Ⅱ、Ⅲ型CER-T曲线的Ⅲ、Ⅳ级星形细胞中2例作DSA检查均见不成熟肿瘤血管和肿瘤染色。这表明CER-T曲线类型能够反映肿瘤的富血管度。Aronen和Maeda等[3,4]报告了胶质瘤的动态增强MRI反映的肿瘤血流动力学改变和血容量多少与肿瘤富血管度之间有密切关系,胶质瘤病理级别愈高,其肿瘤血管愈丰富,血容量亦愈大。
EP值出现的早晚决定CER-T曲线的类型,与星形细胞瘤的分级有关。EP值的大小也与病理分级关系密切,高级别的星形细胞瘤EP值大于低级别者。MCER与EP值密切相关(r=0.8106),其区别在于后者为动态增强过程中T1信号强度最大值,前者则与第一动态系列(S1)T1信号强度有关,EP值相同的病例,S1的T1信号强度高者其MCER则相对较小。本组病例的S1成像时间在足背静脉注射Gd-DTPA开始后的0~15 s,造影剂尚未进入肿瘤循环,故S1成像相当于增强前图像。
, 百拇医药
星形细胞瘤的强化形态与病理分级的关系已有诸多常规MRI的经验[1,2],低级别者常为较均匀、斑片状或单环状强化,高级别者则多为不均匀、多环状、花圈状强化,本组病例也表现出这种趋势。
常规MRI根据肿瘤的信号不均匀性、囊变坏死、瘤周水肿、占位效应、增强程度和形态等指标来预测其病理分级。动态增强MRI根据其CER-T曲线类型、EP及MCER反映肿瘤循环过程,对预测星形细胞的病理分级,特别是了解肿瘤的富血管度具有较高的实用价值。
4 参考文献
1,Dean BL,Drayer BP,Bird CR,et al.Gliomas:Classification with MR imaging.Radiology,1990;174:411~415
2,Asari S,Makabe T,Katayama S,et al.Astrocytic gliomas:MRI and pathological grade.Acta Med Okayama,1993;47:383~389
, http://www.100md.com
3,Aronen HJ,Gazit IE,Louis DN,et al.Cerebral blood volume maps of gliomas:comparison with tumor grade and histologic findings.Radiology,1994;191:41~51
4,Maeda M,Itoh S,Kimura H,et al.Tumor vascularity in the brain:Evaluation with dynamic susceptibility-contrast MR imaging.Radiolgy,1993;189:233~238
5,Joo YG,Korogi Y,Hirai T,et al.Differential diagnosis of extra-axial tumors by dynamic spin-echo MRI.Neuroradiology,1995;37:522~525
6,Takashima S,Noguchi Y,Okumura T,et al.Dynamic MR imaging in the head and neck.Radiolgy,1993;189:813~821
7,Brix G,semmler W,Port R,et al.Pharmacokinetic parameters in CNS enhanced MR imaging.JCAT,1991;15(4):621~628
(收稿:1998-09-08), http://www.100md.com