肾上腺嗜铬细胞瘤的DSA诊断及危象处理
作者:郑金龙 孔健 许林锋 冯敢生
单位:郑金龙(同济医科大学附属协和医院放射科430022);孔健(同济医科大学附属协和医院放射科430022);许林锋(同济医科大学附属协和医院放射科 430022);冯敢生(同济医科大学附属协和医院放射科 430022)
关键词:嗜铬细胞瘤 数字减影血管造影 危象
实用放射学杂志000203 摘要 目的:探讨肾上腺嗜铬细胞瘤的血管造影表现及并发症。方法:收集6例疑诊右侧肾上腺嗜铬细胞瘤病人行腹主动脉及选择性肾上腺动脉造影检查及数字电影摄影。结果:瘤体均由右肾上腺动脉供血。血管造影显示动脉期肿瘤血管增多、增粗、纡曲。2例见静脉早显。实质期染色浓密、不均匀。静脉期仍可见瘤体较长时间染色。2例出现高血压危象,经对症处理,血压趋于稳定。结论:肾上腺嗜铬细胞瘤由肾上腺动脉供血,其富血管性及延长显影的血管造影特点,有助于区别其它腹腔及腹膜后肿块。术中应密切监测血压,出现危象应及时处理。
, 百拇医药
Angiographic Diagnosis and Crisis Treatment for Adrenal Pheochromocytomas
Zheng Jinlong Kong Jian Xu Linfeng Feng Gansheng
Department of Radiology,Xiehe Hospital,Tongji Medical University,Wuhan 430022
ABSTRACT Objective:To study the angiographic manifestations and complications in patients with adrenal pheochromocytomas.Methods:The abdominal aortography,the selective angiography of suprarenal artery and digital cine photograph were performed in 6 patients with doubtful right adrenal pheochromocytomas.Results:The arterial blood supply of the tumors was derived from right adrenal artery.DSA features:There were numerous,coarse and tortuous vascularity on the arterial phase,and a few veins were seen in 2 cases.Capillary and venous phases revealed lasting heavy tumor stain.2 cases of hypertension crisis were recovered after appropriated management.Conclusion:The feeding arteries of pheochromocytomas are derived from adrenal arteries.DSA features including hypervascularity and lasting tumor stain in patients with pheochromocytomas are helpful to distinguish other abdominal masses.Blood pressure must be strict measured in the selective angiography and treat crisis at once.
, 百拇医药
Key words Pheochromocytomas DSA Crisis
对非创伤性影像检查而言,较大肾上腺嗜铬细胞瘤难与腹腔、腹膜后巨大肿瘤鉴别,必须借助血管造影确诊。本文通过分析6例较大肾上腺嗜铬细胞瘤的血管造影表现,结合文献,对其相关因素作一探讨,旨在提高嗜铬细胞瘤血管造影操作、诊断及危象的处理水平。
1 材料与方法
收集6例经手术病理证实的右侧肾上腺嗜铬细胞瘤,男女各3例,年龄16~54岁,平均34岁。4例临床表现为阵发性高血压,头晕、头痛。1例表现为右上腹痛伴呕吐,另1例表现为心慌、气促、出汗。临床及影像学检查(包括B超、CT、MRI)疑诊为嗜铬细胞瘤。采用Siemens公司Bicor.T.O.P血管机作腹主动脉及选择性肾上腺动脉造影和快速电影摄影检查。
2 结果
, 百拇医药
腹主动脉造影显示右侧肾上腺区少许肿瘤血管染色。选择性肾上腺动脉造影显示动脉期右肾上腺动脉不同程度增粗,肿瘤血管多而密集,呈网状,走行纡曲,粗细不均,以肾上腺中动脉造影时更明显。2例见少许静脉早显。实质期肿瘤染色浓密,不均匀。静脉期仍可见肿瘤较长时间淡薄染色(图1~3)。2例在血管造影中血压突然升高,达200~250/120~140 mmHg,伴恶心、腹痛,经降血压,镇痛等对症处理后,症状缓解。
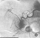
图1 导管置于腹腔动脉开口处,造影显示肝、脾动脉形态,分布正常,右膈下动脉发出的右肾上腺动脉远段增粗、纡曲
图2 导管选择性插入右肾上腺中动脉起始部,造影显示动脉期大量增粗、增多、纡曲的肿瘤血管,可见少许静脉早显
, http://www.100md.com
图3 导管位置同图2,造影显示静脉期见肿瘤持续染色,并见少血管区
3 讨论
3.1 肾上腺的供血动脉及回流静脉
肾上腺有三条供血动脉,即肾上腺上、中、下动脉。肾上腺上动脉来源恒定,主要发自膈下动脉,也有少数来自腹主动脉,肾动脉等。肾上腺中动脉主要来自腹主动脉,少数在腹腔动脉干和肾动脉,与肾上腺上、下动脉互相吻合。肾上腺下动脉主要起源于同侧肾动脉及腹主动脉,偶见于副肾动脉,肠系膜上动脉,性腺动脉,膈下动脉等。
肾上腺静脉系统腺内段称中央静脉,腺外段称 肾上腺静脉。左肾上腺静脉全部汇入左肾静脉,汇入角度均为钝角。右侧肾上腺静脉大部分汇入下腔静脉的右后壁,汇入角度均为锐角,少数分别汇入右副肝静脉或右肾静脉及膈下静脉。近来有作者认为肾上腺有中央静脉及伴行静脉两套静脉系统。后者分别称为肾上腺上、中、下静脉,两者间有毛细血管相通。当中央静脉受阻时,静脉血通过伴行静脉回流,肾上腺上静脉注入膈下静脉,肾上腺中静脉注入肾上腺静脉,肾上腺下静脉直接注入肾静脉[1]。
, 百拇医药
3.2 腹主动脉及选择性肾上腺动脉造影原则及注意点
腹主动脉及选择性肾上腺动脉造影一般用于下述三种情况:①对来源不明的腹腔、腹膜后较大肿瘤及疑为肾上腺病变病人,均应行血管造影检查,以明确肿块的部位和性质。②不能手术切除的腹部晚期肿瘤包括肾上腺肿瘤,拟行介入治疗者。③外科手术前栓塞,有利于肿瘤切除和减少术中出血。禁忌证同一般血管造影。
造影顺序为先行腹主动脉造影,后选择性膈下动脉,肾上腺中动脉及肾上腺下动脉造影,如仅用作诊断,只要一支肾上腺动脉造影能确诊为嗜铬细胞瘤者,可以停止进一步检查,造影剂的注入速率应低,以免诱发嗜铬细胞瘤危象。如肾上腺下动脉插入困难,可将导管尖端置于肾动脉起始部,经导管注入3~5μg肾上腺素,让肾脏血管不成比例收缩,造影剂进入肾上腺下动脉的量增加,使之充分显影。
因相当一部分较大嗜铬细胞瘤往往误诊为腹腔及腹膜后其他肿瘤,故对欲明确腹腔及腹膜后肿瘤部位和性质的血管造影检查应与嗜铬细胞瘤的血管造影同等对待,特别要作好抢救嗜铬细胞瘤危象的准备。对疑诊嗜铬细胞瘤者,术前应充分了解病情,血压高者,酌用酚苄明1~2 mg/kg,一日三次;心动过速者,用小剂量β-受体阻滞剂,如心得安5~10 mg,一日三次,术中应用心电监护仪密切观察病人生命体征,准备氧气和急救药品,包括降压药,一旦出现危象,积极抢救[2]。
, 百拇医药
3.3 肾上腺嗜铬细胞瘤的血管造影表现分析
嗜铬细胞瘤有完整包膜,血管丰富,间质很少,中心可有出血、坏死或囊变。组织构成为大多角形细胞形成细胞索或细胞巢,间质为丰富的毛细血管或血窦。瘤体有三条动脉供血,且互相吻合,为富血管肿瘤,故血管造影显示动脉期肿瘤血管增粗、增多、纡曲;实质期肿瘤染色浓密、不均匀,部分肿瘤因有坏死或囊变出现少血管或无血管区;静脉期仍可见肿瘤较长时间淡薄染色,原因有二、一是肿瘤血管和扩张的血窦缺乏肌层,收缩力下降;二是中央静脉受压,造影剂经静脉系统毛细血管交通支至肾上腺上、中、下静脉缓慢回流。所以嗜铬细胞瘤具有非常富于血管性和延长显影的特点,动脉期静脉早显,提示静脉短路,为恶性征象[3,4]。
3.4 嗜铬细胞瘤危象的发病机理、临床表现及其处理
嗜铬细胞瘤危象是指嗜铬细胞瘤病人因肿瘤短期内分泌较多的肾上腺素和去甲肾上腺素造成急性高儿茶酚胺血症,使病人骤发高血压或低血压或高血压与低血压交替发作而引起的一系列严重临床表现。诱因为:①情绪过分激动;②外部挤压或腹内压突然增加;③药物激发试验;④血管造影检查时导丝导管的机械刺激,造影剂激发反应及高流率的刺激引起大量儿茶酚胺的释放。
, 百拇医药
3.4.1 临床表现:①阵发性高血压或持续性高血压阵发性加剧,血压往往超过200/120 mm Hg;②心肌肥厚或灶性坏死,心电图可显示电轴偏移和S-T段改变;③低血压休克,见于肿瘤自发出血、坏死、破裂或手术后;④代谢紊乱,表现为高热,可出现血糖升高,电解质紊乱;⑤腹痛、恶心、呕吐等消化系统症状。
3.4.2 处理原则:①及时吸氧;②控制高血压发作。立即静脉注射酚妥拉明5 mg后,将20 mg酚妥拉明加入5%葡萄糖盐水中静脉滴注维持,严密观察心电监护仪心率、呼吸、血压、心电图、氧饱和度等变化,或静脉注射压宁定12.5 mg后,将50 mg压宁定加入5%葡萄糖盐水静脉滴注维持,让血压稳定在160/100 mmHg左右;③纠正低血压休克,补充血容量。用10~20 mg盐酸多巴胺加入5%葡萄糖溶液250 ml中滴注。纠正心力衰竭可给予强心剂,用0.4 mg西地兰加入10%~50%葡萄糖溶液20~40 ml中缓慢静注,对心率失常者可用100 mg利多卡因加入5%葡萄糖200 ml中静滴。④腹痛者可给予强镇痛剂,如杜冷丁50 mg,静注。⑤高热病人给予物理降温,可酌情加用冬眠药物,并注意纠正水电解质紊乱,经以上处理,危象的症状一般都会得到控制。必要时可请内科医生协助处理[5,6]。
, 百拇医药
4 参考文献
1,叶章群主编.肾上腺疾病.北京:人民卫生出版社,1997:12~19
2,王建华,王小平,颜志平,等.腹部介入放射学.上海:上海医科大学出版社,1998:156~158
3,郑军华,闵志廉,雷良华,等.肾上腺肿瘤影像学诊断与病理组织学类型的关系.中华泌尿外科杂志,1997;18(9):515~517
4,Dunnick NR,Doppman JL,Gill JR,et al.Localixation of functional adrenal tumors by CT and venous sampling.Radiology,1982,142:428~433
5,丁桂芝主编.实用内分泌代谢病学.武汉:湖北科学技术出版社,1994:143~145
6,车玉英,李景梦,姜颜德,等.1例嗜铬细胞瘤危象抢救成功.中国危重病急救医学,1998;10(11):701
(收稿:1999-04-12 修回1999-04-28), 百拇医药
单位:郑金龙(同济医科大学附属协和医院放射科430022);孔健(同济医科大学附属协和医院放射科430022);许林锋(同济医科大学附属协和医院放射科 430022);冯敢生(同济医科大学附属协和医院放射科 430022)
关键词:嗜铬细胞瘤 数字减影血管造影 危象
实用放射学杂志000203 摘要 目的:探讨肾上腺嗜铬细胞瘤的血管造影表现及并发症。方法:收集6例疑诊右侧肾上腺嗜铬细胞瘤病人行腹主动脉及选择性肾上腺动脉造影检查及数字电影摄影。结果:瘤体均由右肾上腺动脉供血。血管造影显示动脉期肿瘤血管增多、增粗、纡曲。2例见静脉早显。实质期染色浓密、不均匀。静脉期仍可见瘤体较长时间染色。2例出现高血压危象,经对症处理,血压趋于稳定。结论:肾上腺嗜铬细胞瘤由肾上腺动脉供血,其富血管性及延长显影的血管造影特点,有助于区别其它腹腔及腹膜后肿块。术中应密切监测血压,出现危象应及时处理。
, 百拇医药
Angiographic Diagnosis and Crisis Treatment for Adrenal Pheochromocytomas
Zheng Jinlong Kong Jian Xu Linfeng Feng Gansheng
Department of Radiology,Xiehe Hospital,Tongji Medical University,Wuhan 430022
ABSTRACT Objective:To study the angiographic manifestations and complications in patients with adrenal pheochromocytomas.Methods:The abdominal aortography,the selective angiography of suprarenal artery and digital cine photograph were performed in 6 patients with doubtful right adrenal pheochromocytomas.Results:The arterial blood supply of the tumors was derived from right adrenal artery.DSA features:There were numerous,coarse and tortuous vascularity on the arterial phase,and a few veins were seen in 2 cases.Capillary and venous phases revealed lasting heavy tumor stain.2 cases of hypertension crisis were recovered after appropriated management.Conclusion:The feeding arteries of pheochromocytomas are derived from adrenal arteries.DSA features including hypervascularity and lasting tumor stain in patients with pheochromocytomas are helpful to distinguish other abdominal masses.Blood pressure must be strict measured in the selective angiography and treat crisis at once.
, 百拇医药
Key words Pheochromocytomas DSA Crisis
对非创伤性影像检查而言,较大肾上腺嗜铬细胞瘤难与腹腔、腹膜后巨大肿瘤鉴别,必须借助血管造影确诊。本文通过分析6例较大肾上腺嗜铬细胞瘤的血管造影表现,结合文献,对其相关因素作一探讨,旨在提高嗜铬细胞瘤血管造影操作、诊断及危象的处理水平。
1 材料与方法
收集6例经手术病理证实的右侧肾上腺嗜铬细胞瘤,男女各3例,年龄16~54岁,平均34岁。4例临床表现为阵发性高血压,头晕、头痛。1例表现为右上腹痛伴呕吐,另1例表现为心慌、气促、出汗。临床及影像学检查(包括B超、CT、MRI)疑诊为嗜铬细胞瘤。采用Siemens公司Bicor.T.O.P血管机作腹主动脉及选择性肾上腺动脉造影和快速电影摄影检查。
2 结果
, 百拇医药
腹主动脉造影显示右侧肾上腺区少许肿瘤血管染色。选择性肾上腺动脉造影显示动脉期右肾上腺动脉不同程度增粗,肿瘤血管多而密集,呈网状,走行纡曲,粗细不均,以肾上腺中动脉造影时更明显。2例见少许静脉早显。实质期肿瘤染色浓密,不均匀。静脉期仍可见肿瘤较长时间淡薄染色(图1~3)。2例在血管造影中血压突然升高,达200~250/120~140 mmHg,伴恶心、腹痛,经降血压,镇痛等对症处理后,症状缓解。
图2 导管选择性插入右肾上腺中动脉起始部,造影显示动脉期大量增粗、增多、纡曲的肿瘤血管,可见少许静脉早显
, http://www.100md.com
图3 导管位置同图2,造影显示静脉期见肿瘤持续染色,并见少血管区
3 讨论
3.1 肾上腺的供血动脉及回流静脉
肾上腺有三条供血动脉,即肾上腺上、中、下动脉。肾上腺上动脉来源恒定,主要发自膈下动脉,也有少数来自腹主动脉,肾动脉等。肾上腺中动脉主要来自腹主动脉,少数在腹腔动脉干和肾动脉,与肾上腺上、下动脉互相吻合。肾上腺下动脉主要起源于同侧肾动脉及腹主动脉,偶见于副肾动脉,肠系膜上动脉,性腺动脉,膈下动脉等。
肾上腺静脉系统腺内段称中央静脉,腺外段称 肾上腺静脉。左肾上腺静脉全部汇入左肾静脉,汇入角度均为钝角。右侧肾上腺静脉大部分汇入下腔静脉的右后壁,汇入角度均为锐角,少数分别汇入右副肝静脉或右肾静脉及膈下静脉。近来有作者认为肾上腺有中央静脉及伴行静脉两套静脉系统。后者分别称为肾上腺上、中、下静脉,两者间有毛细血管相通。当中央静脉受阻时,静脉血通过伴行静脉回流,肾上腺上静脉注入膈下静脉,肾上腺中静脉注入肾上腺静脉,肾上腺下静脉直接注入肾静脉[1]。
, 百拇医药
3.2 腹主动脉及选择性肾上腺动脉造影原则及注意点
腹主动脉及选择性肾上腺动脉造影一般用于下述三种情况:①对来源不明的腹腔、腹膜后较大肿瘤及疑为肾上腺病变病人,均应行血管造影检查,以明确肿块的部位和性质。②不能手术切除的腹部晚期肿瘤包括肾上腺肿瘤,拟行介入治疗者。③外科手术前栓塞,有利于肿瘤切除和减少术中出血。禁忌证同一般血管造影。
造影顺序为先行腹主动脉造影,后选择性膈下动脉,肾上腺中动脉及肾上腺下动脉造影,如仅用作诊断,只要一支肾上腺动脉造影能确诊为嗜铬细胞瘤者,可以停止进一步检查,造影剂的注入速率应低,以免诱发嗜铬细胞瘤危象。如肾上腺下动脉插入困难,可将导管尖端置于肾动脉起始部,经导管注入3~5μg肾上腺素,让肾脏血管不成比例收缩,造影剂进入肾上腺下动脉的量增加,使之充分显影。
因相当一部分较大嗜铬细胞瘤往往误诊为腹腔及腹膜后其他肿瘤,故对欲明确腹腔及腹膜后肿瘤部位和性质的血管造影检查应与嗜铬细胞瘤的血管造影同等对待,特别要作好抢救嗜铬细胞瘤危象的准备。对疑诊嗜铬细胞瘤者,术前应充分了解病情,血压高者,酌用酚苄明1~2 mg/kg,一日三次;心动过速者,用小剂量β-受体阻滞剂,如心得安5~10 mg,一日三次,术中应用心电监护仪密切观察病人生命体征,准备氧气和急救药品,包括降压药,一旦出现危象,积极抢救[2]。
, 百拇医药
3.3 肾上腺嗜铬细胞瘤的血管造影表现分析
嗜铬细胞瘤有完整包膜,血管丰富,间质很少,中心可有出血、坏死或囊变。组织构成为大多角形细胞形成细胞索或细胞巢,间质为丰富的毛细血管或血窦。瘤体有三条动脉供血,且互相吻合,为富血管肿瘤,故血管造影显示动脉期肿瘤血管增粗、增多、纡曲;实质期肿瘤染色浓密、不均匀,部分肿瘤因有坏死或囊变出现少血管或无血管区;静脉期仍可见肿瘤较长时间淡薄染色,原因有二、一是肿瘤血管和扩张的血窦缺乏肌层,收缩力下降;二是中央静脉受压,造影剂经静脉系统毛细血管交通支至肾上腺上、中、下静脉缓慢回流。所以嗜铬细胞瘤具有非常富于血管性和延长显影的特点,动脉期静脉早显,提示静脉短路,为恶性征象[3,4]。
3.4 嗜铬细胞瘤危象的发病机理、临床表现及其处理
嗜铬细胞瘤危象是指嗜铬细胞瘤病人因肿瘤短期内分泌较多的肾上腺素和去甲肾上腺素造成急性高儿茶酚胺血症,使病人骤发高血压或低血压或高血压与低血压交替发作而引起的一系列严重临床表现。诱因为:①情绪过分激动;②外部挤压或腹内压突然增加;③药物激发试验;④血管造影检查时导丝导管的机械刺激,造影剂激发反应及高流率的刺激引起大量儿茶酚胺的释放。
, 百拇医药
3.4.1 临床表现:①阵发性高血压或持续性高血压阵发性加剧,血压往往超过200/120 mm Hg;②心肌肥厚或灶性坏死,心电图可显示电轴偏移和S-T段改变;③低血压休克,见于肿瘤自发出血、坏死、破裂或手术后;④代谢紊乱,表现为高热,可出现血糖升高,电解质紊乱;⑤腹痛、恶心、呕吐等消化系统症状。
3.4.2 处理原则:①及时吸氧;②控制高血压发作。立即静脉注射酚妥拉明5 mg后,将20 mg酚妥拉明加入5%葡萄糖盐水中静脉滴注维持,严密观察心电监护仪心率、呼吸、血压、心电图、氧饱和度等变化,或静脉注射压宁定12.5 mg后,将50 mg压宁定加入5%葡萄糖盐水静脉滴注维持,让血压稳定在160/100 mmHg左右;③纠正低血压休克,补充血容量。用10~20 mg盐酸多巴胺加入5%葡萄糖溶液250 ml中滴注。纠正心力衰竭可给予强心剂,用0.4 mg西地兰加入10%~50%葡萄糖溶液20~40 ml中缓慢静注,对心率失常者可用100 mg利多卡因加入5%葡萄糖200 ml中静滴。④腹痛者可给予强镇痛剂,如杜冷丁50 mg,静注。⑤高热病人给予物理降温,可酌情加用冬眠药物,并注意纠正水电解质紊乱,经以上处理,危象的症状一般都会得到控制。必要时可请内科医生协助处理[5,6]。
, 百拇医药
4 参考文献
1,叶章群主编.肾上腺疾病.北京:人民卫生出版社,1997:12~19
2,王建华,王小平,颜志平,等.腹部介入放射学.上海:上海医科大学出版社,1998:156~158
3,郑军华,闵志廉,雷良华,等.肾上腺肿瘤影像学诊断与病理组织学类型的关系.中华泌尿外科杂志,1997;18(9):515~517
4,Dunnick NR,Doppman JL,Gill JR,et al.Localixation of functional adrenal tumors by CT and venous sampling.Radiology,1982,142:428~433
5,丁桂芝主编.实用内分泌代谢病学.武汉:湖北科学技术出版社,1994:143~145
6,车玉英,李景梦,姜颜德,等.1例嗜铬细胞瘤危象抢救成功.中国危重病急救医学,1998;10(11):701
(收稿:1999-04-12 修回1999-04-28), 百拇医药