低剂量屏气三维对比增强磁共振肺动脉造影
作者:郑卓肇 谢敬霞 范家栋
单位:郑卓肇(北京医科大学第三医院放射科100083);谢敬霞(北京医科大学第三医院放射科 100083);范家栋(北京医科大学第三医院放射科 100083)
关键词:磁共振成像 肺动脉 血管造影
实用放射学杂志000202 摘要 目的:探讨低剂量屏气三维对比增强磁共振肺动脉造影(3D CEMRPA)的方法及初步应用。方法:18例病人接受3D CE MRPA检查,造影剂用量为每公斤体重0.1~0.15 mmol,分别进行增强前、增强后第Ⅰ期、增强后第Ⅱ期三维快速稳态进动(3D FISP)成像,所有图像分别经最大信号强度投影法(MIP)重建。比较增强前后各级肺动脉的信号噪声比(SNR)和对比噪声比(CNR)。结果:所有病例增强后的图像均优于增强前图像。增强后第Ⅰ期图像各级肺动脉的SNR和CNR均较增强前图像有显著升高(P<0.05)。结论:3D CE MRPA作为一种安全直观地评价肺动脉的方法,有着广阔的临床应用价值。
, 百拇医药
Low-dose Three-Dimensional Contrast-Enhanced MR Pulmonary Angiography in a Single Breath-hold
Zheng Zhuozhao Xie Jingxia Fan Jiadong
Department of Radiology,the Third Hospital of Beijing Medical University,Beijing 100083
ABSTRACT Objective:To investigate the low-dose three-dimensional contrast-enhanced MR pulmonary angiography in a single breath-hold and its preliminary application.Methods:3D CE MRPA was performed using a 3D fast imaging with steady-state precession sequence in 18 patients.A bolus of 0.1~0.15 mmol/kg Gd-DTPA was administered.All results were evaluated with the method of MIP.The SNR and the CNR of pulmonary arteries were compared between pre-contrast scans and first post-contrast scans.Results:The quality of the contrast-enhanced images was significantly better than that of precontrast 3D scans.In the first post-contrast scans,the SNR and CNR of pulmonary arteries were statistically superior than that of pre-contrast scans (p<0.05).Conclusion:3D CE MRPA with breath-hold is a hopeful method in evaluating the pulmonary artery system.
, 百拇医药
Key words MRI Pulmonary artery Angiography
由于肺部复杂的血流模式,空气肺组织界面的巨大磁化率伪影,以及呼吸、心跳的影响,使传统的二维时间飞跃法在肺动脉成像上受到极大的限制。单次屏气三维对比增强磁共振血管成像作为一种新兴的技术,使血管成像的质量明显改善。本研究目的在于探讨此技术在肺动脉的初步应用。
1 材料与方法
1.1 对象:自1998-09~1999-03,共有18例病人进行了三维对比增强磁共振肺动脉造影(3D CE MRPA),其中男8例,女10例,年龄23~63岁(平均44.3岁)。18例中11例为无心肺疾病者,2例为临床怀疑肺栓塞病例,3例为纵隔肿物,2例为肺动静脉畸形。2例疑为肺栓塞的病人均于MR检查前1周做了同位素灌注及通气扫描,3例纵隔肿物和1例肺动静脉畸形获手术证实。
, 百拇医药
1.2 病人准备:病人仰卧,右手抱头,左手置于身旁并开放左肘静脉通道,以连接管接与磁共振机相容的高压注射器。连接管内预置生理盐水(连接管容量约为7.5 ml),训练病人呼吸。磁共振仪为1.5 T机型(Magnetom Vision,Simens),采用相控阵体表面线圈接受信号。
1.3 常规检查:用T2WI半傅立叶转换单次激发快速自旋回波(Half fourier acquisition single shot turbo spin echo,HASTE)序列(层厚8 mm,间距2 mm,回波间距4.4 ms,TE90 ms)自肺尖至肺底进行横断扫描,接心电门控,每次屏气扫描7层,全肺扫描分次完成。
1.4 团注法测通过时间:以高压注射器预定2 ml造影剂和20 ml生理盐水,速度为3 ml/s。然后选主肺动脉分支的横断面,用T1WI超快速小角度激发(Turbo fast small angle shot,turbo-FLASH)序列(TR/TE=3.3/1.4 mm,层厚10 mm,1 s/层)做单层动态增强扫描,连续扫20层。启动高压注射器的同时开始动态扫描,以右肺动脉及肺静脉浓度急剧升高的时间做为通过时间。
, 百拇医药
1.5 三维对比增强磁共振肺动脉造影(3D CE MRPA):采用三维快速稳态进动(3D FISP)序列,TR及TE分别为5 ms和2 ms,20°的翻转角,FOV为400 mm,6/8的矩形视野,矩阵为114×256。采用冠状采集,3D块厚度为100~120 mm,前包肺动脉干,后约位于中部胸椎椎体后缘,层厚为2.5~3.0 mm。造影剂剂量为0.1~0.15 mmol/kg,用高压注射器以3 ml/s的速度注射,注射完后马上冲以20 ml生理盐水。先以3D FISP序列进行一次注药前扫描,范围满意后进行3D CE MRPA。以公式确定扫描和注射间的时间间隔Td,Td=Ta/2-Ti/2-Ttransit(Ta为3D FISP的采集时间,Ti为推注造影剂时间,Ttransit为肺动脉的通过时间),Td为正则先扫描后注药,为负则先注药后开始扫描。扫描完第一个3D FISP序列后,病人呼吸,间隔10 s后再屏气扫第二个3D FISP序列。
1.6 资料分析:先描绘右肺动脉、肺静脉内的造影剂浓度随时间的曲线,得出两者的通过时间,后以肺静脉的通过时间减去肺动脉的通过时间获得肺循环时间。
, http://www.100md.com
所有病人的三次3D FISP数据均以最大强度投影法(MIP法)处理。比较增强前及增强后第Ⅰ期中央肺动脉(包括肺动脉干及左右肺动脉),右上叶动脉,右下叶动脉及最清晰的段动脉的信噪比(SNR)和对比噪声比(CNR)。SNR等于动脉信号强度除以噪声的标准差,CNR等于动脉与皮下脂肪的信号差除以噪声的标准差[1]。
2 结果
2.1 本组病例均未出现与造影剂有关的副作用。典型的肺动脉、肺静脉的信号强度——时间曲线如图1。肺动脉的通过时间为5~7 s(平均5.9 s),肺静脉的通过时间为8~11 s(平均9.5 s),肺循环的时间为2~4 s(平均3.6 s)。
图1 肺动脉,肺静脉浓度时间曲线。线1代表肺动脉,线2代表肺静脉
2.2 除1例怀疑肺栓塞的病人因屏气不良而致3D CE MRPA图像模糊外,其余病例均获得令人满意的图像。从MIP像上可以看出,增强前的图像只隐约显示了中央肺动脉及大的叶、段动脉,SNR和CNR均很低(图2)。增强后第Ⅰ期肺动脉显示清晰,不但中央肺动脉和叶动脉清晰可见,大多数的段级动脉也清晰显示,尚可见一些亚段动脉及更细小分支直达胸壁,肺静脉可见显影并与肺动脉有重叠(图3)。心脏及主动脉有时也可见显影,但影像淡,不影响肺动脉的观察。增强后第Ⅱ期图像心脏及主动脉的影像明显变浓,遮盖部分中央肺动脉,肺野内肺动脉和肺静脉显影仍很清晰(图4)。增强前后SNR和CNR的比较见附表。
, 百拇医药
图2 增强前MIP像,仅隐约见肺动脉显影
图3 增强后第Ⅰ期MIP像,可见肺动脉清晰显影达亚段水平
图4 增强后第Ⅱ期MIP像,肺动脉仍然清晰,但主动脉及心脏影像变浓
附表 增强前后MIP图像SNR和CNR的对比 时相
总例数
平均SNR
平均CNR
中央肺
, http://www.100md.com
动脉
右上叶
动脉
右下叶
动脉
段动脉
中央肺
动脉
右上叶
动脉
右下叶
动脉
段动脉
, 百拇医药 增强前MIP
17
13.0
6.8
7.6
6.5
0.6
-5.7
-4.8
-5.9
增强后第一期MIP
17
32.5
, 百拇医药
25.5
28.1
25.6
20.3
13.0
15.7
13.1
注:经t检验,各级动脉的SNR和CNR增强前后差别有显著差异(P<0.05)。
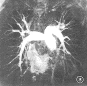
2.3 对病变的显示:2例临床怀疑肺栓塞病人其一显示了右下肺动脉的多支血管缺失(图5),另1例由于屏气不佳而致影像模糊。2例肺动静脉畸形在增强后的第Ⅰ及第Ⅱ期图像上均清晰显示,并可区分引流动脉及静脉(图6)。1例胸腺瘤和1例淋巴瘤在增强后第Ⅰ期均只见轻度强化,第Ⅱ期则见明显的周边强化。1例淋巴管囊肿未见强化。
, 百拇医药
图5 肺栓塞病人,右下肺动脉内及前基底段缺支,核素检查示右下肺内基底段,前基底段,背段多发肺栓塞
图6 肺动静脉畸形,可见供血动脉(长箭头)及引流静脉(短箭头)
3 讨论
3.1 3D CE MRPA的原理:从本文可以看出,注射Gd-DTPA前的3 D FISP图像几乎不具备诊断能力,肺动脉的可见度及SNR和CNR均较低,这主要是由于扫描容积包括了心脏,相当于预先给肺血流一个预饱和,同时3D FISP序列的TR值太短(5 ms),使肺血流的TOF效应不明显。然静脉内引入造影剂后,3D CE MRPA成像利用的主要是Gd-DTPA缩短血液T1值的效应,相当于用3D FISP序列直接成像短T1值的物质,与TOF效应无关,故也就可消除上述两因素的影响。同时,三维成像提高了空间分辨力并减少了体素内失相位效应,短的TR值(5 ms)明显压抑了血管周围背景信号并使屏气采集成为现实,短的TE值(2 ms)则明显减少了空气/组织界面间的磁化率伪影,这些因素的共同作用使3D CE MRPA获得了良好的效果。不管是注药后第Ⅰ期还是第Ⅱ期成像,肺动脉的可见度都大大改善,注药前只能隐约见到中央肺动脉及大的叶、段动脉,而注药后中央肺动脉,叶动脉及大多数的段动脉均清晰可见,并且还可见直达胸壁的部分亚段动脉。注药后第Ⅰ期肺动脉的SNR和CNR与注药前相比均获得了明显的升高。
, http://www.100md.com
3.2 造影剂剂量的选择:以往的3D CE MRPA所用的Gd-DTPA量均较大,常为0.3 mmol/kg或0.4 mmol/kg[2,3]。根据理论公式1/T1=1/1200 ms+R1×[Gd](R1为Gd-DTPA的T1驰豫率,[Gd]为血液中Gd-DTPA的浓度,T1为血液的T1值),可以看出,血液中造影剂浓度越高,血液的T1值会越低,成像时血管的信号就会越高。本研究利用较低的剂量同样也获得了令人满意的图像,从减少病人的费用和保障安全角度是大大有益的。当然,此组病例相对较少,尤其是肺栓塞的病例太少,用相对小的造影剂剂量是否会减少病变的检出率则不清楚,这也是我们进一步研究的目标。
3.3 测定通过时间的重要性:3D CE MRPA中,精确地测定肺动脉的通过时间是必要的,这样有助于使肺动脉内造影剂浓度最高期恰好位于K空间中心区域,从而获得最佳的对比度,但肺动脉的通过时间个体差异较大,受年龄、心肺功能多因素影响,通过估计的办法常常不能精确确定,结果导致3D CE MRPA的失败。本研究中因为采用了较低剂量造影剂,使得肺动脉内高浓度的时限变短,故对扫描时机的选择更显重要。我们对所有病例均进行了肺动脉通过时间的测定,结果为5~7 s,利用测得的通过时间进行3D CE MRPA,均获得了较满意的图像。最近,文献报道可利用一种特殊序列在3D CE MRA的过程中自动检测血管内造影剂浓度,并且在浓度最高时自动触发扫描,以此避免团注试验,并且用较少的剂量即可获得明显的动脉强化效果[4]。
, 百拇医药
3.4 动静脉重叠的分析:即使在扫描时机最佳的3D CE MRPA中,肺动静脉的重叠也是不可避免的。肺动静脉的循环时间约为2~4 s,而本研究采用的3D FISP序列成像时间约为23 s,这样的时间分辨率是不足以单独成像肺动脉或肺静脉的,故注药后的第Ⅰ期即可见肺静脉的显影,给肺动脉小分支的判断带来困难。解决这一问题需要密切结合原始断层图像及多平面重建(MPR)进行综合分析(图7)。
图7 同图6病人,MPR重建更加明确供血动脉及引流静脉
随着梯度场的发展,在6~10 s内完成一次三维数据采集已成为可能,这就使肺部动静脉分开显影成为现实。同时,因为一次屏气可同时采集增强前、动脉期及平衡期三次图像,从而可以用三维磁共振数字减影法(3D MR DSA)来提高血管的对比噪声比(CNR),把动脉期图像减去增强前图像可突出肺动脉,把平衡期图像减去动脉期图像可以突出肺静脉。还有一种暂未用于商业的磁共振血管造影技术,称为三维时间决定造影剂动态成像法(3D time-resolved imaging on contrast kinetics,3D-TRICKS),可以以2 s采集一个三维数据的速度进行连续采集,这样高的时间分辨率足以单独成像肺动脉或肺静脉。
, http://www.100md.com
3D CE MRPA做为一种安全、直观、快速、无创的检查方法,极好地显示了肺动脉的形态学,可作为常规检查的有效补充。同时,MR还可以提供肺动脉的功能信息,例如血液动力学[5]及肺血流灌注信息[6,7]。3D CE MRPA与MR肺功能研究的共同应用将为肺血管疾病的研究提供广阔的前途。
4 参考文献
1,Krinsky GA,Rofsky NM,Decorato DR,et al.Thoracic aorta:comparison of Gadolinium-enhanced three-dimensional MR angiography with conventional MR imaging.Radiology,1997;202:183~193
2,Steiner P,Mckinnon GC,Romanowski B,et al.Contrast-enhanced,ultrafast 3D pulmonary MR angiography in a single berath-hold:initial assessment of imaging performance.J.Magn.Reson.Imaging,1997;7:177~182
, 百拇医药
3,Leung DA,Mckinnon GC,Davis CP,et al.Breath-hold,contrast-enhanced,three-dimensimal MR angiography.Radiology,1996;201:569~571
4,Prince MR,Chenevert TL,Foo TKF,et al.Contrast-enhanced abdomenal MRA:optization of imaging delay time by automating the detection of contrast material arrival in the aorta.Radiology,1997;203:109~114
5,Marcus JT,Noordegraaf AV,Vries PD,et al.MRI evaluation of right ventricular pressure overload in chronic obstructive pulmonary disease.J.Magn.Reson.Imaging,1998;8:999~1005
, 百拇医药
6,Hatabu H,Gaa J,Kim D,et al.Pulmonary perfusion and angiography:evalution with breath-hold enhanced three-dimensional fast imaging steadystate precession MR imaging with short TR and TE.AJR,1996;167:653~655
7,Berthezene Y,Croisille P,Wiart M,et al.Prospective comparison of MR lung perfution and lung scintigraphy.J.Magn.Reson.Imaging,1999;9:61~68
(收稿:1999-05-13), http://www.100md.com
单位:郑卓肇(北京医科大学第三医院放射科100083);谢敬霞(北京医科大学第三医院放射科 100083);范家栋(北京医科大学第三医院放射科 100083)
关键词:磁共振成像 肺动脉 血管造影
实用放射学杂志000202 摘要 目的:探讨低剂量屏气三维对比增强磁共振肺动脉造影(3D CEMRPA)的方法及初步应用。方法:18例病人接受3D CE MRPA检查,造影剂用量为每公斤体重0.1~0.15 mmol,分别进行增强前、增强后第Ⅰ期、增强后第Ⅱ期三维快速稳态进动(3D FISP)成像,所有图像分别经最大信号强度投影法(MIP)重建。比较增强前后各级肺动脉的信号噪声比(SNR)和对比噪声比(CNR)。结果:所有病例增强后的图像均优于增强前图像。增强后第Ⅰ期图像各级肺动脉的SNR和CNR均较增强前图像有显著升高(P<0.05)。结论:3D CE MRPA作为一种安全直观地评价肺动脉的方法,有着广阔的临床应用价值。
, 百拇医药
Low-dose Three-Dimensional Contrast-Enhanced MR Pulmonary Angiography in a Single Breath-hold
Zheng Zhuozhao Xie Jingxia Fan Jiadong
Department of Radiology,the Third Hospital of Beijing Medical University,Beijing 100083
ABSTRACT Objective:To investigate the low-dose three-dimensional contrast-enhanced MR pulmonary angiography in a single breath-hold and its preliminary application.Methods:3D CE MRPA was performed using a 3D fast imaging with steady-state precession sequence in 18 patients.A bolus of 0.1~0.15 mmol/kg Gd-DTPA was administered.All results were evaluated with the method of MIP.The SNR and the CNR of pulmonary arteries were compared between pre-contrast scans and first post-contrast scans.Results:The quality of the contrast-enhanced images was significantly better than that of precontrast 3D scans.In the first post-contrast scans,the SNR and CNR of pulmonary arteries were statistically superior than that of pre-contrast scans (p<0.05).Conclusion:3D CE MRPA with breath-hold is a hopeful method in evaluating the pulmonary artery system.
, 百拇医药
Key words MRI Pulmonary artery Angiography
由于肺部复杂的血流模式,空气肺组织界面的巨大磁化率伪影,以及呼吸、心跳的影响,使传统的二维时间飞跃法在肺动脉成像上受到极大的限制。单次屏气三维对比增强磁共振血管成像作为一种新兴的技术,使血管成像的质量明显改善。本研究目的在于探讨此技术在肺动脉的初步应用。
1 材料与方法
1.1 对象:自1998-09~1999-03,共有18例病人进行了三维对比增强磁共振肺动脉造影(3D CE MRPA),其中男8例,女10例,年龄23~63岁(平均44.3岁)。18例中11例为无心肺疾病者,2例为临床怀疑肺栓塞病例,3例为纵隔肿物,2例为肺动静脉畸形。2例疑为肺栓塞的病人均于MR检查前1周做了同位素灌注及通气扫描,3例纵隔肿物和1例肺动静脉畸形获手术证实。
, 百拇医药
1.2 病人准备:病人仰卧,右手抱头,左手置于身旁并开放左肘静脉通道,以连接管接与磁共振机相容的高压注射器。连接管内预置生理盐水(连接管容量约为7.5 ml),训练病人呼吸。磁共振仪为1.5 T机型(Magnetom Vision,Simens),采用相控阵体表面线圈接受信号。
1.3 常规检查:用T2WI半傅立叶转换单次激发快速自旋回波(Half fourier acquisition single shot turbo spin echo,HASTE)序列(层厚8 mm,间距2 mm,回波间距4.4 ms,TE90 ms)自肺尖至肺底进行横断扫描,接心电门控,每次屏气扫描7层,全肺扫描分次完成。
1.4 团注法测通过时间:以高压注射器预定2 ml造影剂和20 ml生理盐水,速度为3 ml/s。然后选主肺动脉分支的横断面,用T1WI超快速小角度激发(Turbo fast small angle shot,turbo-FLASH)序列(TR/TE=3.3/1.4 mm,层厚10 mm,1 s/层)做单层动态增强扫描,连续扫20层。启动高压注射器的同时开始动态扫描,以右肺动脉及肺静脉浓度急剧升高的时间做为通过时间。
, 百拇医药
1.5 三维对比增强磁共振肺动脉造影(3D CE MRPA):采用三维快速稳态进动(3D FISP)序列,TR及TE分别为5 ms和2 ms,20°的翻转角,FOV为400 mm,6/8的矩形视野,矩阵为114×256。采用冠状采集,3D块厚度为100~120 mm,前包肺动脉干,后约位于中部胸椎椎体后缘,层厚为2.5~3.0 mm。造影剂剂量为0.1~0.15 mmol/kg,用高压注射器以3 ml/s的速度注射,注射完后马上冲以20 ml生理盐水。先以3D FISP序列进行一次注药前扫描,范围满意后进行3D CE MRPA。以公式确定扫描和注射间的时间间隔Td,Td=Ta/2-Ti/2-Ttransit(Ta为3D FISP的采集时间,Ti为推注造影剂时间,Ttransit为肺动脉的通过时间),Td为正则先扫描后注药,为负则先注药后开始扫描。扫描完第一个3D FISP序列后,病人呼吸,间隔10 s后再屏气扫第二个3D FISP序列。
1.6 资料分析:先描绘右肺动脉、肺静脉内的造影剂浓度随时间的曲线,得出两者的通过时间,后以肺静脉的通过时间减去肺动脉的通过时间获得肺循环时间。
, http://www.100md.com
所有病人的三次3D FISP数据均以最大强度投影法(MIP法)处理。比较增强前及增强后第Ⅰ期中央肺动脉(包括肺动脉干及左右肺动脉),右上叶动脉,右下叶动脉及最清晰的段动脉的信噪比(SNR)和对比噪声比(CNR)。SNR等于动脉信号强度除以噪声的标准差,CNR等于动脉与皮下脂肪的信号差除以噪声的标准差[1]。
2 结果
2.1 本组病例均未出现与造影剂有关的副作用。典型的肺动脉、肺静脉的信号强度——时间曲线如图1。肺动脉的通过时间为5~7 s(平均5.9 s),肺静脉的通过时间为8~11 s(平均9.5 s),肺循环的时间为2~4 s(平均3.6 s)。
2.2 除1例怀疑肺栓塞的病人因屏气不良而致3D CE MRPA图像模糊外,其余病例均获得令人满意的图像。从MIP像上可以看出,增强前的图像只隐约显示了中央肺动脉及大的叶、段动脉,SNR和CNR均很低(图2)。增强后第Ⅰ期肺动脉显示清晰,不但中央肺动脉和叶动脉清晰可见,大多数的段级动脉也清晰显示,尚可见一些亚段动脉及更细小分支直达胸壁,肺静脉可见显影并与肺动脉有重叠(图3)。心脏及主动脉有时也可见显影,但影像淡,不影响肺动脉的观察。增强后第Ⅱ期图像心脏及主动脉的影像明显变浓,遮盖部分中央肺动脉,肺野内肺动脉和肺静脉显影仍很清晰(图4)。增强前后SNR和CNR的比较见附表。
, 百拇医药
图2 增强前MIP像,仅隐约见肺动脉显影
图3 增强后第Ⅰ期MIP像,可见肺动脉清晰显影达亚段水平
图4 增强后第Ⅱ期MIP像,肺动脉仍然清晰,但主动脉及心脏影像变浓
附表 增强前后MIP图像SNR和CNR的对比 时相
总例数
平均SNR
平均CNR
中央肺
, http://www.100md.com
动脉
右上叶
动脉
右下叶
动脉
段动脉
中央肺
动脉
右上叶
动脉
右下叶
动脉
段动脉
, 百拇医药 增强前MIP
17
13.0
6.8
7.6
6.5
0.6
-5.7
-4.8
-5.9
增强后第一期MIP
17
32.5
, 百拇医药
25.5
28.1
25.6
20.3
13.0
15.7
13.1
注:经t检验,各级动脉的SNR和CNR增强前后差别有显著差异(P<0.05)。
2.3 对病变的显示:2例临床怀疑肺栓塞病人其一显示了右下肺动脉的多支血管缺失(图5),另1例由于屏气不佳而致影像模糊。2例肺动静脉畸形在增强后的第Ⅰ及第Ⅱ期图像上均清晰显示,并可区分引流动脉及静脉(图6)。1例胸腺瘤和1例淋巴瘤在增强后第Ⅰ期均只见轻度强化,第Ⅱ期则见明显的周边强化。1例淋巴管囊肿未见强化。
, 百拇医药
图5 肺栓塞病人,右下肺动脉内及前基底段缺支,核素检查示右下肺内基底段,前基底段,背段多发肺栓塞
3 讨论
3.1 3D CE MRPA的原理:从本文可以看出,注射Gd-DTPA前的3 D FISP图像几乎不具备诊断能力,肺动脉的可见度及SNR和CNR均较低,这主要是由于扫描容积包括了心脏,相当于预先给肺血流一个预饱和,同时3D FISP序列的TR值太短(5 ms),使肺血流的TOF效应不明显。然静脉内引入造影剂后,3D CE MRPA成像利用的主要是Gd-DTPA缩短血液T1值的效应,相当于用3D FISP序列直接成像短T1值的物质,与TOF效应无关,故也就可消除上述两因素的影响。同时,三维成像提高了空间分辨力并减少了体素内失相位效应,短的TR值(5 ms)明显压抑了血管周围背景信号并使屏气采集成为现实,短的TE值(2 ms)则明显减少了空气/组织界面间的磁化率伪影,这些因素的共同作用使3D CE MRPA获得了良好的效果。不管是注药后第Ⅰ期还是第Ⅱ期成像,肺动脉的可见度都大大改善,注药前只能隐约见到中央肺动脉及大的叶、段动脉,而注药后中央肺动脉,叶动脉及大多数的段动脉均清晰可见,并且还可见直达胸壁的部分亚段动脉。注药后第Ⅰ期肺动脉的SNR和CNR与注药前相比均获得了明显的升高。
, http://www.100md.com
3.2 造影剂剂量的选择:以往的3D CE MRPA所用的Gd-DTPA量均较大,常为0.3 mmol/kg或0.4 mmol/kg[2,3]。根据理论公式1/T1=1/1200 ms+R1×[Gd](R1为Gd-DTPA的T1驰豫率,[Gd]为血液中Gd-DTPA的浓度,T1为血液的T1值),可以看出,血液中造影剂浓度越高,血液的T1值会越低,成像时血管的信号就会越高。本研究利用较低的剂量同样也获得了令人满意的图像,从减少病人的费用和保障安全角度是大大有益的。当然,此组病例相对较少,尤其是肺栓塞的病例太少,用相对小的造影剂剂量是否会减少病变的检出率则不清楚,这也是我们进一步研究的目标。
3.3 测定通过时间的重要性:3D CE MRPA中,精确地测定肺动脉的通过时间是必要的,这样有助于使肺动脉内造影剂浓度最高期恰好位于K空间中心区域,从而获得最佳的对比度,但肺动脉的通过时间个体差异较大,受年龄、心肺功能多因素影响,通过估计的办法常常不能精确确定,结果导致3D CE MRPA的失败。本研究中因为采用了较低剂量造影剂,使得肺动脉内高浓度的时限变短,故对扫描时机的选择更显重要。我们对所有病例均进行了肺动脉通过时间的测定,结果为5~7 s,利用测得的通过时间进行3D CE MRPA,均获得了较满意的图像。最近,文献报道可利用一种特殊序列在3D CE MRA的过程中自动检测血管内造影剂浓度,并且在浓度最高时自动触发扫描,以此避免团注试验,并且用较少的剂量即可获得明显的动脉强化效果[4]。
, 百拇医药
3.4 动静脉重叠的分析:即使在扫描时机最佳的3D CE MRPA中,肺动静脉的重叠也是不可避免的。肺动静脉的循环时间约为2~4 s,而本研究采用的3D FISP序列成像时间约为23 s,这样的时间分辨率是不足以单独成像肺动脉或肺静脉的,故注药后的第Ⅰ期即可见肺静脉的显影,给肺动脉小分支的判断带来困难。解决这一问题需要密切结合原始断层图像及多平面重建(MPR)进行综合分析(图7)。
图7 同图6病人,MPR重建更加明确供血动脉及引流静脉
随着梯度场的发展,在6~10 s内完成一次三维数据采集已成为可能,这就使肺部动静脉分开显影成为现实。同时,因为一次屏气可同时采集增强前、动脉期及平衡期三次图像,从而可以用三维磁共振数字减影法(3D MR DSA)来提高血管的对比噪声比(CNR),把动脉期图像减去增强前图像可突出肺动脉,把平衡期图像减去动脉期图像可以突出肺静脉。还有一种暂未用于商业的磁共振血管造影技术,称为三维时间决定造影剂动态成像法(3D time-resolved imaging on contrast kinetics,3D-TRICKS),可以以2 s采集一个三维数据的速度进行连续采集,这样高的时间分辨率足以单独成像肺动脉或肺静脉。
, http://www.100md.com
3D CE MRPA做为一种安全、直观、快速、无创的检查方法,极好地显示了肺动脉的形态学,可作为常规检查的有效补充。同时,MR还可以提供肺动脉的功能信息,例如血液动力学[5]及肺血流灌注信息[6,7]。3D CE MRPA与MR肺功能研究的共同应用将为肺血管疾病的研究提供广阔的前途。
4 参考文献
1,Krinsky GA,Rofsky NM,Decorato DR,et al.Thoracic aorta:comparison of Gadolinium-enhanced three-dimensional MR angiography with conventional MR imaging.Radiology,1997;202:183~193
2,Steiner P,Mckinnon GC,Romanowski B,et al.Contrast-enhanced,ultrafast 3D pulmonary MR angiography in a single berath-hold:initial assessment of imaging performance.J.Magn.Reson.Imaging,1997;7:177~182
, 百拇医药
3,Leung DA,Mckinnon GC,Davis CP,et al.Breath-hold,contrast-enhanced,three-dimensimal MR angiography.Radiology,1996;201:569~571
4,Prince MR,Chenevert TL,Foo TKF,et al.Contrast-enhanced abdomenal MRA:optization of imaging delay time by automating the detection of contrast material arrival in the aorta.Radiology,1997;203:109~114
5,Marcus JT,Noordegraaf AV,Vries PD,et al.MRI evaluation of right ventricular pressure overload in chronic obstructive pulmonary disease.J.Magn.Reson.Imaging,1998;8:999~1005
, 百拇医药
6,Hatabu H,Gaa J,Kim D,et al.Pulmonary perfusion and angiography:evalution with breath-hold enhanced three-dimensional fast imaging steadystate precession MR imaging with short TR and TE.AJR,1996;167:653~655
7,Berthezene Y,Croisille P,Wiart M,et al.Prospective comparison of MR lung perfution and lung scintigraphy.J.Magn.Reson.Imaging,1999;9:61~68
(收稿:1999-05-13), http://www.100md.com