肾上腺外腹膜后副节瘤的CT、MRI表现
作者:王亚蓉 王欣璐 王璐 杨健 杨广夫 郭佑民 鱼博浪 王泽忠 王莉君 杨志英
单位:王亚蓉(西安医科大学第一临床医学院医学影像中心 710061);王欣璐(西安医科大学第一临床医学院医学影像中心 710061);王璐(西安医科大学第一临床医学院医学影像中心 710061);杨健(西安医科大学第一临床医学院医学影像中心 710061);杨广夫(西安医科大学第一临床医学院医学影像中心710061);郭佑民(西安医科大学第一临床医学院医学影像中710061)
关键词:腹膜后副节瘤 体层摄影,X线计算机 磁共振成像
实用放射学杂志000201 摘要 目的:研究肾上腺外腹膜后副节瘤CT、MRI表现。方法:本组经手术病理证实14例,其中男7例,女7例,平均年龄39.2岁。其中功能性副节瘤8例,非功能性副节瘤6例;良性9例,恶性5例。CT平扫检查9例,其中5例作了强化扫描;MRI检查6例。结果:病变<10 cm者9/11例良性,>10 cm3/3恶性;<5 cm者5/6例功能性,>5 cm者6/8例为非功能性。CT密度和MRI信号强度对鉴别良恶性作用不大,但出现明确囊变恶性多见(4/5例),有明确侵犯者4/4例恶性。结论:腹膜后副节瘤的CT、MRI表现多样,其大小、囊变及侵犯对鉴别良恶性有帮助。
, 百拇医药
CT and MRI Findings of Extraadrenal Retroperitoneal Paraganglioma
Wang Yarong Wang Xinlu Wang Lu Yang Jian Yang Guangfu
Guo Youmin Yu Buolang Wang Zezhong Wang Lijun Yang Zhiying
Medical Imaging Centre,the First Clinical School of Medicine,Xi′an Medical University,Xi′an 710061
ABSTRACT Objective:To study the CT and MRI findings of extraadrenal retroperitoneal paraganglioma.Methods:14 cases of extraadrenal retroperitoneal paraganglioma proved by pathology were presented.There were 7 males and 7 females,with an average of 39.2 years.There were 8 cases of functional tumor and 6 cases of non-functional tumor,9 cases of benign tumor and 5 cases of malignant tumor.CT studies were done in 9 cases,of which contrast enhanced CT were obtained in 5 cases.MRI was done in 6 cases.Results:9 of 11 tumors less than 10 cm in diameter were benign,and all 3 cases more than 10 cm in diameter were malignant.5 of 6 tumors less than 5 cm in diameter were functional tumor,and 6 of 8 tumors more than 5 cm in diameter were non-functional tumor.No correlation was noted between the CT density and MRI signal intensity for benign and malignant differentiation.But 4 of 5 tumors with obvious necrosis and all 4 cases with invasion of adjacent tissues were malignant tumor.Conclusion:CT and MRI appearances of extraadrenal paraganglioma are various.The size,necrosis and invasion character are the reliable indicators of differentiating malignant tumor from benign one.
, http://www.100md.com
Key words Extraadrenal retroperitoneal paraganglioma Tomography,X-ray computed Magnetic resonance imaging
副节瘤是起源于神经嵴细胞的一种较少见肿瘤,有关本病的CT、MRI表现国外有一些报告[2~5],鉴于国内有关报告较少,本文报告经手术病理证实的14例的CT、MRI表现,以便提高对本病的影像诊断。
1 资料与方法
本组经手术病理证实14例,其中男7例,女7例,年龄20~52岁,平均年龄39.2岁。临床有高血压史者8例。临床病理证实为功能性副节瘤8例,非功能性6例;良性副节瘤9例,恶性5例。CT检查9例,其中5例作了CT强化检查,MRI检查6例。
CT检查使用美国GE公司ProSpeed高分辨机,层厚、层距10 mm。增强CT使用美国Medrad公司注射器,以2.5 ml/s速度注射Omnipaque 300 100 ml,于注射25 s时扫描,2~3 min后作病变区延迟扫描。
, http://www.100md.com
MRI检查使用美国Diasonics 0.35T MT/S成像系统,体线圈,SE序列作冠状、横切T1WI及横切T2WI;成像条件:T1WI=500/15,T2WI=2000/30~120,层厚10 mm,矩阵256,采集次数2。
2 结果
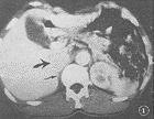
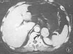
2.1 病变部位:本组14例均位于肾上腺外腹膜后,其中位于肾上腺区3例(图1,2),肾前区4例(图3~5),肾下区3例(图6),4例由肾上区到肾下区。病变位于腹主动脉右侧者6例(图1,3,4),左侧者7例(图2,5,6)。1例位于盆入口区正中线。
图1 良性功能性副节瘤 CT强化扫描示肾上区肿块(大箭头)轻强化,右侧肾上腺存在(小黑箭头)
, http://www.100md.com
图2 良性非功能性副节瘤 CT强化扫描示肾上区肿瘤(箭头),不均匀强化明显
图3 恶性非功能性副节瘤 CT平扫示肾前区肿瘤(大箭头)压迫侵犯右肾,肿瘤内部囊变呈低密度区(小箭头)
图4 恶性功能性副节瘤 CT强化示肾前区肿瘤不均匀强化(大箭头),肿瘤侵犯腰椎骨质(小箭头)
图5 良性功能性副节瘤 MRI扫描,A.T1WI示肾下区肿瘤(箭头)呈中等稍低信号强度。B.T2WI示肿瘤(箭头)信号强度增高明显
图6 良性功能性副节瘤 CT强化示肾下区肿瘤(箭头)周边强化明显
, http://www.100md.com
2.2 病变数目:本组14例均为单发,未见多发。其中呈团块结节者10例(图1,2,5,6),呈连续长块状4例(图4)。
2.3 病变大小:病变最大径<5 cm者6例(图1,2,5,6),其中良性5例,恶性1例;功能性5例,非功能性1例。病变5~10 cm者5例(图3),其中良性4例,恶性1例;功能性1例,非功能性4例。病变>10 cm者3例(图4),均为恶性;功能性1例,非功能性2例。
2.4 病变形态:病变边缘呈光滑圆形结节状3例,均为良性(图1,2,6),有不同程度分叶切迹,或呈分叶不规则状11例(图3,4,5)。
2.5 病变密度:9例CT平扫见肿瘤实质部分密度低于腰大肌密度者2例,均为良性;等密度者2例,均为恶性;高密度5例,其中2例为恶性,3例为良性。
2.6 病变信号强度:6例MRI T1WI信号强度均高于肌肉,低于肝组织信号强度,T2WI信号强度增高明显,均匀者5例(图5),不均匀者1例。
, http://www.100md.com
2.7 病变质地:病变密度或信号强度呈均匀者7例(图1,5),不均匀者2例(图2),有明显坏死囊变者5例(图3,4),其中1例有小点钙化。伴有坏死囊变者5例中4例为恶性,1例为良性。
2.8 病变强化特点:5例进行CT强化扫描均表现肿瘤周边部明显强化(图6),其中3例肿瘤内部见不规则强化,2例良性(图2),1例为恶性(图4)。
2.9 病变侵犯特点:14例中10例表现肿瘤压迫周围组织移位;4例侵犯周围组织均为恶性,其中1例伴骨侵犯(图4)。
2.10 转移:本组在扫描野内均未见淋巴结转移肿大或器官转移征象。
3 讨论
3.1 腹膜后肾上腺外副节组织起源于神经嵴细胞。该组织发生的副节瘤分为功能性和非功能性两种,功能性副节瘤又称嗜铬性副节瘤,具有儿茶酚胺分泌功能,临床可出现高血压、糖尿病等症状,多见于腹膜后副腰节、纵隔、膀胱等部位。非功能性副节瘤又称非嗜铬性副节瘤、化学感受器瘤,多见于颈动脉体、颈静脉球体,也可见于腹膜后体、主动脉体、迷走神经体,偶见于鼻腔、胃十二指肠、膀胱颈部、肝脏等部位,具有副交感神经功能[1,4]。两种副节瘤的诊断主要依靠临床和实验室检查,一般临床表现有高血压者为功能性副节瘤[2]。本组14例中8例具有临床高血压者为功能性副节瘤。文献报告本病多见于30~50岁成年人,平均年龄37岁,男∶女=4∶3[2]。本组14例平均年龄39.2岁,男∶女=1∶1。
, 百拇医药
3.2 通过本组分析可以发现位于该部副节瘤左右两侧发病基本相同,可位于肾上区、肾前区及肾下区。病变以单发为主,10/14例呈团块结节状,4/14例沿腹膜后长轴存在,呈连续长块状,此类型病例文献称为副节瘤病[2]。病变大小变化很大,本组病变最小者直径2.5 cm,最大者15 cm,其中<5 cm者多为功能性副节瘤,因临床伴有高血压而行肾上腺扫描发现;病变直径>5 cm者常为非功能性副节瘤,临床常因腹部包块就诊而发现。病变以有不同切迹、分叶、结节或不规则边缘为特征,本组见11/14例。本病良恶性的病理学鉴别不易,诊断依靠病变对周围组织侵犯及转移而定。本组病例发现CT密度及强化特点和MRI信号变化对其良恶性质鉴别意义不大。但发现病变的质地有重要帮助,本组中4/5例出现较大坏死囊变者为恶性副节瘤,病变对周围组织有明确侵犯者4/4例均为恶性。Quint[3]研究发现MRI对本病诊断优于CT,尤其是对肿瘤的复发诊断和区分肿瘤和周围组织的关系的显示方面超过CT。因本组中仅1例作了CT和MRI对照观察,关于其间的作用尚需进一步研究。
, 百拇医药
3.3 腹膜后可发生一系列的间叶细胞源、生殖细胞源、尿生殖源、神经源的肿瘤和肿瘤样病变,这些病变需要和本病鉴别,其中最常见者为脂肪肉瘤,因绝大多数肿瘤内含有成熟脂肪组织,鉴别诊断较易。另一种常见肿瘤为平滑肌肉瘤,其位于腹膜后者多见于左上腹膜后区,即左侧肾上腺上脾胰尾区,病变常侵犯周围组织。腹膜后神经鞘瘤发病与本病类似,但位于中线旁区,肿瘤囊变坏死较本病明确。位于肾上腺区的副节瘤要与肾上腺的肿瘤鉴别,如发现使肾上腺的组织受压移位的肾上区肿块应考虑本病诊断,如影像学检查不能明确正常肾上腺组织存在,则需依靠仔细的病理学检查[1]。
作者单位:
鱼博浪(西安医科大学第一临床医学院医学影像中710061);
王泽忠(西安医科大学第一临床医学院医学影像中710061);
王莉君(西安医科大学第一临床医学院医学影像中710061);
, 百拇医药
杨志英(西安医科大学第一临床医学院医学影像中710061)
4 参考文献
1,武汉医学院病理学教研室,中山医学院病理教研组.外科病理学.上册.武汉:湖北人民出版社,1978:275~528
2,Hayes WS,Davidson AJ,Grimley PM,et al.Extraadrenal retroperitoneal paraganglioma:clinical,pathologic,and CT findings.AJR,1990;155:1247
3,Quint LE,Glazer GM,Francis IP,et al.Pheochromocytoma and paraganglioma:comparison of MR imaging with CT and I-131 MIBG scintigraphy.Radiology,1987;165:89
4,Kang YS.Kuhlman JE,Fishman EK,et al.Nonfunctional paraganglioma of the liver.Clin Imag,1991;15:216
5,Malthouse SR.Robison L,Rankin SC.Ultrasonic and computed tomographic apperances of paraganglioma simulating pancreatic mass.Clin Radiol,1992;46:271
(收稿:1999-07-06), 百拇医药
单位:王亚蓉(西安医科大学第一临床医学院医学影像中心 710061);王欣璐(西安医科大学第一临床医学院医学影像中心 710061);王璐(西安医科大学第一临床医学院医学影像中心 710061);杨健(西安医科大学第一临床医学院医学影像中心 710061);杨广夫(西安医科大学第一临床医学院医学影像中心710061);郭佑民(西安医科大学第一临床医学院医学影像中710061)
关键词:腹膜后副节瘤 体层摄影,X线计算机 磁共振成像
实用放射学杂志000201 摘要 目的:研究肾上腺外腹膜后副节瘤CT、MRI表现。方法:本组经手术病理证实14例,其中男7例,女7例,平均年龄39.2岁。其中功能性副节瘤8例,非功能性副节瘤6例;良性9例,恶性5例。CT平扫检查9例,其中5例作了强化扫描;MRI检查6例。结果:病变<10 cm者9/11例良性,>10 cm3/3恶性;<5 cm者5/6例功能性,>5 cm者6/8例为非功能性。CT密度和MRI信号强度对鉴别良恶性作用不大,但出现明确囊变恶性多见(4/5例),有明确侵犯者4/4例恶性。结论:腹膜后副节瘤的CT、MRI表现多样,其大小、囊变及侵犯对鉴别良恶性有帮助。
, 百拇医药
CT and MRI Findings of Extraadrenal Retroperitoneal Paraganglioma
Wang Yarong Wang Xinlu Wang Lu Yang Jian Yang Guangfu
Guo Youmin Yu Buolang Wang Zezhong Wang Lijun Yang Zhiying
Medical Imaging Centre,the First Clinical School of Medicine,Xi′an Medical University,Xi′an 710061
ABSTRACT Objective:To study the CT and MRI findings of extraadrenal retroperitoneal paraganglioma.Methods:14 cases of extraadrenal retroperitoneal paraganglioma proved by pathology were presented.There were 7 males and 7 females,with an average of 39.2 years.There were 8 cases of functional tumor and 6 cases of non-functional tumor,9 cases of benign tumor and 5 cases of malignant tumor.CT studies were done in 9 cases,of which contrast enhanced CT were obtained in 5 cases.MRI was done in 6 cases.Results:9 of 11 tumors less than 10 cm in diameter were benign,and all 3 cases more than 10 cm in diameter were malignant.5 of 6 tumors less than 5 cm in diameter were functional tumor,and 6 of 8 tumors more than 5 cm in diameter were non-functional tumor.No correlation was noted between the CT density and MRI signal intensity for benign and malignant differentiation.But 4 of 5 tumors with obvious necrosis and all 4 cases with invasion of adjacent tissues were malignant tumor.Conclusion:CT and MRI appearances of extraadrenal paraganglioma are various.The size,necrosis and invasion character are the reliable indicators of differentiating malignant tumor from benign one.
, http://www.100md.com
Key words Extraadrenal retroperitoneal paraganglioma Tomography,X-ray computed Magnetic resonance imaging
副节瘤是起源于神经嵴细胞的一种较少见肿瘤,有关本病的CT、MRI表现国外有一些报告[2~5],鉴于国内有关报告较少,本文报告经手术病理证实的14例的CT、MRI表现,以便提高对本病的影像诊断。
1 资料与方法
本组经手术病理证实14例,其中男7例,女7例,年龄20~52岁,平均年龄39.2岁。临床有高血压史者8例。临床病理证实为功能性副节瘤8例,非功能性6例;良性副节瘤9例,恶性5例。CT检查9例,其中5例作了CT强化检查,MRI检查6例。
CT检查使用美国GE公司ProSpeed高分辨机,层厚、层距10 mm。增强CT使用美国Medrad公司注射器,以2.5 ml/s速度注射Omnipaque 300 100 ml,于注射25 s时扫描,2~3 min后作病变区延迟扫描。
, http://www.100md.com
MRI检查使用美国Diasonics 0.35T MT/S成像系统,体线圈,SE序列作冠状、横切T1WI及横切T2WI;成像条件:T1WI=500/15,T2WI=2000/30~120,层厚10 mm,矩阵256,采集次数2。
2 结果
2.1 病变部位:本组14例均位于肾上腺外腹膜后,其中位于肾上腺区3例(图1,2),肾前区4例(图3~5),肾下区3例(图6),4例由肾上区到肾下区。病变位于腹主动脉右侧者6例(图1,3,4),左侧者7例(图2,5,6)。1例位于盆入口区正中线。
图1 良性功能性副节瘤 CT强化扫描示肾上区肿块(大箭头)轻强化,右侧肾上腺存在(小黑箭头)
, http://www.100md.com
图2 良性非功能性副节瘤 CT强化扫描示肾上区肿瘤(箭头),不均匀强化明显
图3 恶性非功能性副节瘤 CT平扫示肾前区肿瘤(大箭头)压迫侵犯右肾,肿瘤内部囊变呈低密度区(小箭头)
图4 恶性功能性副节瘤 CT强化示肾前区肿瘤不均匀强化(大箭头),肿瘤侵犯腰椎骨质(小箭头)
图5 良性功能性副节瘤 MRI扫描,A.T1WI示肾下区肿瘤(箭头)呈中等稍低信号强度。B.T2WI示肿瘤(箭头)信号强度增高明显
, http://www.100md.com
2.2 病变数目:本组14例均为单发,未见多发。其中呈团块结节者10例(图1,2,5,6),呈连续长块状4例(图4)。
2.3 病变大小:病变最大径<5 cm者6例(图1,2,5,6),其中良性5例,恶性1例;功能性5例,非功能性1例。病变5~10 cm者5例(图3),其中良性4例,恶性1例;功能性1例,非功能性4例。病变>10 cm者3例(图4),均为恶性;功能性1例,非功能性2例。
2.4 病变形态:病变边缘呈光滑圆形结节状3例,均为良性(图1,2,6),有不同程度分叶切迹,或呈分叶不规则状11例(图3,4,5)。
2.5 病变密度:9例CT平扫见肿瘤实质部分密度低于腰大肌密度者2例,均为良性;等密度者2例,均为恶性;高密度5例,其中2例为恶性,3例为良性。
2.6 病变信号强度:6例MRI T1WI信号强度均高于肌肉,低于肝组织信号强度,T2WI信号强度增高明显,均匀者5例(图5),不均匀者1例。
, http://www.100md.com
2.7 病变质地:病变密度或信号强度呈均匀者7例(图1,5),不均匀者2例(图2),有明显坏死囊变者5例(图3,4),其中1例有小点钙化。伴有坏死囊变者5例中4例为恶性,1例为良性。
2.8 病变强化特点:5例进行CT强化扫描均表现肿瘤周边部明显强化(图6),其中3例肿瘤内部见不规则强化,2例良性(图2),1例为恶性(图4)。
2.9 病变侵犯特点:14例中10例表现肿瘤压迫周围组织移位;4例侵犯周围组织均为恶性,其中1例伴骨侵犯(图4)。
2.10 转移:本组在扫描野内均未见淋巴结转移肿大或器官转移征象。
3 讨论
3.1 腹膜后肾上腺外副节组织起源于神经嵴细胞。该组织发生的副节瘤分为功能性和非功能性两种,功能性副节瘤又称嗜铬性副节瘤,具有儿茶酚胺分泌功能,临床可出现高血压、糖尿病等症状,多见于腹膜后副腰节、纵隔、膀胱等部位。非功能性副节瘤又称非嗜铬性副节瘤、化学感受器瘤,多见于颈动脉体、颈静脉球体,也可见于腹膜后体、主动脉体、迷走神经体,偶见于鼻腔、胃十二指肠、膀胱颈部、肝脏等部位,具有副交感神经功能[1,4]。两种副节瘤的诊断主要依靠临床和实验室检查,一般临床表现有高血压者为功能性副节瘤[2]。本组14例中8例具有临床高血压者为功能性副节瘤。文献报告本病多见于30~50岁成年人,平均年龄37岁,男∶女=4∶3[2]。本组14例平均年龄39.2岁,男∶女=1∶1。
, 百拇医药
3.2 通过本组分析可以发现位于该部副节瘤左右两侧发病基本相同,可位于肾上区、肾前区及肾下区。病变以单发为主,10/14例呈团块结节状,4/14例沿腹膜后长轴存在,呈连续长块状,此类型病例文献称为副节瘤病[2]。病变大小变化很大,本组病变最小者直径2.5 cm,最大者15 cm,其中<5 cm者多为功能性副节瘤,因临床伴有高血压而行肾上腺扫描发现;病变直径>5 cm者常为非功能性副节瘤,临床常因腹部包块就诊而发现。病变以有不同切迹、分叶、结节或不规则边缘为特征,本组见11/14例。本病良恶性的病理学鉴别不易,诊断依靠病变对周围组织侵犯及转移而定。本组病例发现CT密度及强化特点和MRI信号变化对其良恶性质鉴别意义不大。但发现病变的质地有重要帮助,本组中4/5例出现较大坏死囊变者为恶性副节瘤,病变对周围组织有明确侵犯者4/4例均为恶性。Quint[3]研究发现MRI对本病诊断优于CT,尤其是对肿瘤的复发诊断和区分肿瘤和周围组织的关系的显示方面超过CT。因本组中仅1例作了CT和MRI对照观察,关于其间的作用尚需进一步研究。
, 百拇医药
3.3 腹膜后可发生一系列的间叶细胞源、生殖细胞源、尿生殖源、神经源的肿瘤和肿瘤样病变,这些病变需要和本病鉴别,其中最常见者为脂肪肉瘤,因绝大多数肿瘤内含有成熟脂肪组织,鉴别诊断较易。另一种常见肿瘤为平滑肌肉瘤,其位于腹膜后者多见于左上腹膜后区,即左侧肾上腺上脾胰尾区,病变常侵犯周围组织。腹膜后神经鞘瘤发病与本病类似,但位于中线旁区,肿瘤囊变坏死较本病明确。位于肾上腺区的副节瘤要与肾上腺的肿瘤鉴别,如发现使肾上腺的组织受压移位的肾上区肿块应考虑本病诊断,如影像学检查不能明确正常肾上腺组织存在,则需依靠仔细的病理学检查[1]。
作者单位:
鱼博浪(西安医科大学第一临床医学院医学影像中710061);
王泽忠(西安医科大学第一临床医学院医学影像中710061);
王莉君(西安医科大学第一临床医学院医学影像中710061);
, 百拇医药
杨志英(西安医科大学第一临床医学院医学影像中710061)
4 参考文献
1,武汉医学院病理学教研室,中山医学院病理教研组.外科病理学.上册.武汉:湖北人民出版社,1978:275~528
2,Hayes WS,Davidson AJ,Grimley PM,et al.Extraadrenal retroperitoneal paraganglioma:clinical,pathologic,and CT findings.AJR,1990;155:1247
3,Quint LE,Glazer GM,Francis IP,et al.Pheochromocytoma and paraganglioma:comparison of MR imaging with CT and I-131 MIBG scintigraphy.Radiology,1987;165:89
4,Kang YS.Kuhlman JE,Fishman EK,et al.Nonfunctional paraganglioma of the liver.Clin Imag,1991;15:216
5,Malthouse SR.Robison L,Rankin SC.Ultrasonic and computed tomographic apperances of paraganglioma simulating pancreatic mass.Clin Radiol,1992;46:271
(收稿:1999-07-06), 百拇医药