CT在贲门癌诊断中价值
作者:叶明埕 颜厥棍
单位:叶明埕(浙江省洞头县人民医院CT室 325700);颜厥棍(浙江省洞头县人民医院CT室 325700)
关键词:
实用放射学杂志000225 The Value in Diagnosis of Carcinoma of Gastric Cardia
贲门癌是消化道最常见肿瘤之一,有关CT诊断本病的报告较少,本文收集我院近几年来经内窥镜活检及手术证实贲门癌,着重分析CT表现,以探讨CT诊断本病的价值。
1 资料与方法
32例中,男18例,女14例,年龄40~70岁,平均52岁,临床表现为吞咽困难24例,上腹部不适8例,胸骨后疼痛12例,本组32例全部经手术或内窥镜活检证实,所有病例至少行1次CT检查,其中11例行增强检查。
, 百拇医药
CT扫描机为西门子DR-H全身CT机,矩阵512×512,扫描时间为4 s,层厚8 mm,间距10 mm,窗宽窗位250/50,检查前4 h禁食,检查前10 min口服1%~2%泛影葡胺1000 ml,并于扫描时吞服2%泛影葡胺一口,增强检查:用76%泛影葡胺80 ml静脉团注法。
2 结果
本组32例,癌组织局限在贲门管10例,癌组织位于贲门管向食管下段浸润7例,癌组织位于贲门管向胃体胃底浸润15例。所有病例贲门管壁呈不规则环形增厚,胸段贲门管厚度在5 mm以上20例,其中大于12 mm15例,腹段贲门管厚度在10 mm以上12例,其中大于20 mm10例(图1)。贲门管向管外浸润表现为管外低密度脂肪影消失10例,贲门管与降主动脉接触面增大,贲门管与降主动脉距离增大15例(图2),贲门癌浸润食管下段表现为食管下段未扩张,其管壁增厚7例(图3)。15例贲门癌浸润胃体胃底部,表现为胃体胃底壁增厚,甚至形成软组织块影(图4)。其中单纯浸润胃体小弯侧4例,侵润胃底部6例,同时浸润胃体胃底部5例。经淋巴管播散至纵隔淋巴结肿大4例,肝胃韧带转移2例,腹膜后淋巴结肿大5例(图5)。
图1 贲门癌伴管外浸润:腹段贲门管壁增厚并形成软组织块影,其厚度约22 mm,管腔呈向心性狭窄,贲门管外低密度脂肪影模糊,消失。
, 百拇医药
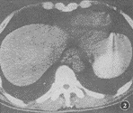
图2贲门癌伴主动脉浸润:胸段贲门管壁增厚,其厚度约15 mm,贲门管与主动脉脂肪影消失,与主动脉接触面大于90度,其管腔与主动脉距离增宽
图3 贲门癌浸润食管下段:食管下段未扩张管腔狭窄,管壁增厚,其厚度约10 mm
图4 贲门癌浸润胃底,胃体部,腹段贲门管壁增厚,其厚度约20 mm,胃底部,胃体部小弯侧胃壁不规则增厚,并形成软组织肿块
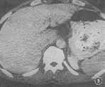
图5 贲门癌伴腹部淋巴结转移:于肝胃韧带处见大小约15 mm肿大淋巴结,增强扫描:肿大淋巴结呈轻度环状强化
, 百拇医药
3 讨论
本文所指贲门癌是癌组织主要发生于贲门管。但有关贲门管的问题至今尚无定论,目前公认为一独立单位,本文以教科书为标准,把膈肌食管裂口上下3~5 cm为贲门管,贲门管具有单独收缩功能,所以检查前准备做的好,口服对比剂量足,方法正确,就能取得较好检查效果,本组32例,于检查前10 min口服1%~2%泛影葡胺1000 ml,并于曝光时吞咽2%泛影葡胺一口,大都能清晰显示贲门管腔及胃底胃体情况。
由于食管周围都有一层脂肪包绕,所以CT能清晰显示食管外形,但管壁扩张程度而厚薄不一,李果珍等认为:若食管壁超过0.5 cm应认为异常[1,2]。但膈下贲门管与胃连接处,因为贲门管穿过横膈后,水平向左进入胃体,其厚度正常在0.6~1.8 cm,可形成假肿瘤征[2]。本组胸段贲门管厚度多在0.5 cm,腹段厚度在1.0 cm以上,与文献上认为超过1.0 cm为异常相符[2]。食管外无浆膜包绕,因而很容易侵犯邻近结构,贲门癌向腔外扩展时早期表现为贲门管外低密度脂肪影消失,当贲门管与邻近结构无脂肪间隙时,根据本组资料和经验,我们认为胸段贲门管厚度在1.2 cm以上,腹段贲门管厚度在2.0 cm以上,就有可疑贲门癌向邻近组织浸润。当癌组织进一步发展,就有可能浸润降主动脉,表现为贲门管与降主动脉接触面增大,蔡祖龙等认为[2]:肿瘤与降主动脉接触面大于90度时,就有可疑降主动脉浸润。
, 百拇医药
贲门管是食管胃接合部,其粘膜为食管鳞状上皮和胃柱状上皮移行部,所以也很容易向上侵犯食管下段,向下侵犯胃底胃体部,本组就有22例侵犯食管下段与胃体胃底部,占所有病例70%。CT检查对发现纵隔及腹部淋巴结较敏感,一般认为判断淋巴结是否肿大,纵隔以1.5 cm,腹部则以1.0 cm为标准[2]。贲门癌经主淋巴管穿越肌层与外膜淋巴管连接,沿着外膜纵轴扩展,最后引流至纵隔及腹腔淋巴结,但CT不能判断正常大小淋巴结镜下转移,超过1.5 cm淋巴结也有可能为非肿瘤性,所以当发现淋巴结肿大时,应加以区别。
综上所述,CT检查能准确判断病变范围,能够显示食管与邻近结构关系,而且能显示有无淋巴结与远处脏器转移,所以我们建议在手术或放疗前做常规CT检查。
4 参考文献
1,李果珍,苏学曾.临床体部CT诊断学.第1版.北京:人民卫生出版社,1986;143~144
2,曹丹庆,蔡祖龙.全身CT诊断学.第1版.北京:人民军医出版社,1996;501~504
, 百拇医药
单位:叶明埕(浙江省洞头县人民医院CT室 325700);颜厥棍(浙江省洞头县人民医院CT室 325700)
关键词:
实用放射学杂志000225 The Value in Diagnosis of Carcinoma of Gastric Cardia
贲门癌是消化道最常见肿瘤之一,有关CT诊断本病的报告较少,本文收集我院近几年来经内窥镜活检及手术证实贲门癌,着重分析CT表现,以探讨CT诊断本病的价值。
1 资料与方法
32例中,男18例,女14例,年龄40~70岁,平均52岁,临床表现为吞咽困难24例,上腹部不适8例,胸骨后疼痛12例,本组32例全部经手术或内窥镜活检证实,所有病例至少行1次CT检查,其中11例行增强检查。
, 百拇医药
CT扫描机为西门子DR-H全身CT机,矩阵512×512,扫描时间为4 s,层厚8 mm,间距10 mm,窗宽窗位250/50,检查前4 h禁食,检查前10 min口服1%~2%泛影葡胺1000 ml,并于扫描时吞服2%泛影葡胺一口,增强检查:用76%泛影葡胺80 ml静脉团注法。
2 结果
本组32例,癌组织局限在贲门管10例,癌组织位于贲门管向食管下段浸润7例,癌组织位于贲门管向胃体胃底浸润15例。所有病例贲门管壁呈不规则环形增厚,胸段贲门管厚度在5 mm以上20例,其中大于12 mm15例,腹段贲门管厚度在10 mm以上12例,其中大于20 mm10例(图1)。贲门管向管外浸润表现为管外低密度脂肪影消失10例,贲门管与降主动脉接触面增大,贲门管与降主动脉距离增大15例(图2),贲门癌浸润食管下段表现为食管下段未扩张,其管壁增厚7例(图3)。15例贲门癌浸润胃体胃底部,表现为胃体胃底壁增厚,甚至形成软组织块影(图4)。其中单纯浸润胃体小弯侧4例,侵润胃底部6例,同时浸润胃体胃底部5例。经淋巴管播散至纵隔淋巴结肿大4例,肝胃韧带转移2例,腹膜后淋巴结肿大5例(图5)。
, 百拇医药
图2贲门癌伴主动脉浸润:胸段贲门管壁增厚,其厚度约15 mm,贲门管与主动脉脂肪影消失,与主动脉接触面大于90度,其管腔与主动脉距离增宽
图3 贲门癌浸润食管下段:食管下段未扩张管腔狭窄,管壁增厚,其厚度约10 mm
图4 贲门癌浸润胃底,胃体部,腹段贲门管壁增厚,其厚度约20 mm,胃底部,胃体部小弯侧胃壁不规则增厚,并形成软组织肿块
图5 贲门癌伴腹部淋巴结转移:于肝胃韧带处见大小约15 mm肿大淋巴结,增强扫描:肿大淋巴结呈轻度环状强化
, 百拇医药
3 讨论
本文所指贲门癌是癌组织主要发生于贲门管。但有关贲门管的问题至今尚无定论,目前公认为一独立单位,本文以教科书为标准,把膈肌食管裂口上下3~5 cm为贲门管,贲门管具有单独收缩功能,所以检查前准备做的好,口服对比剂量足,方法正确,就能取得较好检查效果,本组32例,于检查前10 min口服1%~2%泛影葡胺1000 ml,并于曝光时吞咽2%泛影葡胺一口,大都能清晰显示贲门管腔及胃底胃体情况。
由于食管周围都有一层脂肪包绕,所以CT能清晰显示食管外形,但管壁扩张程度而厚薄不一,李果珍等认为:若食管壁超过0.5 cm应认为异常[1,2]。但膈下贲门管与胃连接处,因为贲门管穿过横膈后,水平向左进入胃体,其厚度正常在0.6~1.8 cm,可形成假肿瘤征[2]。本组胸段贲门管厚度多在0.5 cm,腹段厚度在1.0 cm以上,与文献上认为超过1.0 cm为异常相符[2]。食管外无浆膜包绕,因而很容易侵犯邻近结构,贲门癌向腔外扩展时早期表现为贲门管外低密度脂肪影消失,当贲门管与邻近结构无脂肪间隙时,根据本组资料和经验,我们认为胸段贲门管厚度在1.2 cm以上,腹段贲门管厚度在2.0 cm以上,就有可疑贲门癌向邻近组织浸润。当癌组织进一步发展,就有可能浸润降主动脉,表现为贲门管与降主动脉接触面增大,蔡祖龙等认为[2]:肿瘤与降主动脉接触面大于90度时,就有可疑降主动脉浸润。
, 百拇医药
贲门管是食管胃接合部,其粘膜为食管鳞状上皮和胃柱状上皮移行部,所以也很容易向上侵犯食管下段,向下侵犯胃底胃体部,本组就有22例侵犯食管下段与胃体胃底部,占所有病例70%。CT检查对发现纵隔及腹部淋巴结较敏感,一般认为判断淋巴结是否肿大,纵隔以1.5 cm,腹部则以1.0 cm为标准[2]。贲门癌经主淋巴管穿越肌层与外膜淋巴管连接,沿着外膜纵轴扩展,最后引流至纵隔及腹腔淋巴结,但CT不能判断正常大小淋巴结镜下转移,超过1.5 cm淋巴结也有可能为非肿瘤性,所以当发现淋巴结肿大时,应加以区别。
综上所述,CT检查能准确判断病变范围,能够显示食管与邻近结构关系,而且能显示有无淋巴结与远处脏器转移,所以我们建议在手术或放疗前做常规CT检查。
4 参考文献
1,李果珍,苏学曾.临床体部CT诊断学.第1版.北京:人民卫生出版社,1986;143~144
2,曹丹庆,蔡祖龙.全身CT诊断学.第1版.北京:人民军医出版社,1996;501~504
, 百拇医药