Krukenberg瘤1例报告
作者:李润根 侯民羊 高鑫
单位:李润根(西安五二一医院放射科 710065);侯民羊(西安五二一医院放射科 710065);高鑫(西安五二一医院放射科 710065)
关键词:
实用放射学杂志000230 One Case of Krukenberg′s Tumor
病人 女性,37岁。全腹持续性胀痛不适2月余,进行性加重伴恶心、呕吐入院。曾按盆腔炎、结核性腹膜炎、肝硬化腹水等在数家大医院治疗效果不明显。查体:慢性消耗病容,腹膨隆,全腹压痛,左中下腹扪及鸡蛋大硬质包块,活动度差;浅表淋巴结未触及。胸片、ECG显示心肺正常,B超示大量腹水,胃镜报告:(胃角)慢性萎缩性胃炎,镜下偶见肠化。
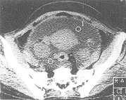
CT扫描:双侧附件区多个实性肿块影,边缘清楚、光整。腹腔大量积液,腹膜不均匀增厚,腹膜后多个肿大淋巴结融合呈团块状(图1,2)。
图1 双侧卵巢多发实性肿块,腹膜不均匀增厚,大量腹水
, 百拇医药
图2 腹膜后数个肿大淋巴结,融合成团块状
实验室检查:腹水呈淡黄色,混浊,弱碱性,离心后见少量血性沉淀,蛋白+,镜下见淋巴细胞,间皮细胞。ESR 30 mm/h,血清Na+123.3 mmol/L,K+3.0 mml/L,C1-69.1 mmol/L(电解质紊乱),尿、大便常规正常。
手术探查:腹腔内大量腹水及纤维索样物,肠管粘连,肠系膜变厚,其根部淋巴结肿大融合成块。盆腔脏器粘连为团,呈“冰冻盆腔”,双侧卵巢见多个大小不一质硬肿块。胃呈皮革样,明显挛缩。探查结果为弥漫浸润型胃癌并卵巢、腹膜腔广泛转移。取大网膜及卵巢硬性结节送病理检查。
病理:卵巢、大网膜转移性腺癌Ⅱ级,镜下找到印戒细胞。
1 讨论
, http://www.100md.com
Krukenberg氏瘤于1896年由Krukenberg首先描述6例,认为是原发性卵巢肉瘤,病理见肉瘤间质中的印戒细胞,并以此命名为癌样粘液细胞性纤维瘤[1]。Schlogenhaufer确认其大多数是胃肠道肿瘤的卵巢转移[1],并被近代多数学者采用。
本病多见于中年女性,说明卵巢生理功能活跃时易发生转移癌。Willis认为卵巢转移可以通过血路及淋巴路逆流,但主要由腹膜种植性转移(52.7%)[2],病变多为双侧性(80%)[3]。
CT对本病的显示较为优越,可直接显示卵巢区肿块的数目、大小、密度及与周围脏器的关系,并能发现有无腹膜转移及腹腔淋巴结转移等。但在定性诊断上还需结合胃镜、胃肠道钡剂造影作出判断。本例胃镜检查结果与手术探查及活组织病检不符原因我们认为主要是胃癌在粘膜下层或肌层浸润生长,胃镜不易夹取癌变组织。病人术前未做过胃肠钡餐检查确实令人遗憾。因而,在实际工作中,遇到大量腹水,下腹部不明原因包块,特别是女性病人,在除外其他疾病的情况下应怀疑本病,并行常规胃镜或胃肠道钡餐检查是非常必要的。
2 参考文献
1,范家栋,谢敬霞,粟周海.Krukenberg瘤CT诊断(附1例报告).中华放射学杂志,1993;27(3):210
2,徐光伟主编.胃癌.北京:人民卫生出版社,1987:98
3,周康荣主编.腹部CT.上海:上海医科大学出版社,1993:139, http://www.100md.com
单位:李润根(西安五二一医院放射科 710065);侯民羊(西安五二一医院放射科 710065);高鑫(西安五二一医院放射科 710065)
关键词:
实用放射学杂志000230 One Case of Krukenberg′s Tumor
病人 女性,37岁。全腹持续性胀痛不适2月余,进行性加重伴恶心、呕吐入院。曾按盆腔炎、结核性腹膜炎、肝硬化腹水等在数家大医院治疗效果不明显。查体:慢性消耗病容,腹膨隆,全腹压痛,左中下腹扪及鸡蛋大硬质包块,活动度差;浅表淋巴结未触及。胸片、ECG显示心肺正常,B超示大量腹水,胃镜报告:(胃角)慢性萎缩性胃炎,镜下偶见肠化。
CT扫描:双侧附件区多个实性肿块影,边缘清楚、光整。腹腔大量积液,腹膜不均匀增厚,腹膜后多个肿大淋巴结融合呈团块状(图1,2)。
, 百拇医药
图2 腹膜后数个肿大淋巴结,融合成团块状
实验室检查:腹水呈淡黄色,混浊,弱碱性,离心后见少量血性沉淀,蛋白+,镜下见淋巴细胞,间皮细胞。ESR 30 mm/h,血清Na+123.3 mmol/L,K+3.0 mml/L,C1-69.1 mmol/L(电解质紊乱),尿、大便常规正常。
手术探查:腹腔内大量腹水及纤维索样物,肠管粘连,肠系膜变厚,其根部淋巴结肿大融合成块。盆腔脏器粘连为团,呈“冰冻盆腔”,双侧卵巢见多个大小不一质硬肿块。胃呈皮革样,明显挛缩。探查结果为弥漫浸润型胃癌并卵巢、腹膜腔广泛转移。取大网膜及卵巢硬性结节送病理检查。
病理:卵巢、大网膜转移性腺癌Ⅱ级,镜下找到印戒细胞。
1 讨论
, http://www.100md.com
Krukenberg氏瘤于1896年由Krukenberg首先描述6例,认为是原发性卵巢肉瘤,病理见肉瘤间质中的印戒细胞,并以此命名为癌样粘液细胞性纤维瘤[1]。Schlogenhaufer确认其大多数是胃肠道肿瘤的卵巢转移[1],并被近代多数学者采用。
本病多见于中年女性,说明卵巢生理功能活跃时易发生转移癌。Willis认为卵巢转移可以通过血路及淋巴路逆流,但主要由腹膜种植性转移(52.7%)[2],病变多为双侧性(80%)[3]。
CT对本病的显示较为优越,可直接显示卵巢区肿块的数目、大小、密度及与周围脏器的关系,并能发现有无腹膜转移及腹腔淋巴结转移等。但在定性诊断上还需结合胃镜、胃肠道钡剂造影作出判断。本例胃镜检查结果与手术探查及活组织病检不符原因我们认为主要是胃癌在粘膜下层或肌层浸润生长,胃镜不易夹取癌变组织。病人术前未做过胃肠钡餐检查确实令人遗憾。因而,在实际工作中,遇到大量腹水,下腹部不明原因包块,特别是女性病人,在除外其他疾病的情况下应怀疑本病,并行常规胃镜或胃肠道钡餐检查是非常必要的。
2 参考文献
1,范家栋,谢敬霞,粟周海.Krukenberg瘤CT诊断(附1例报告).中华放射学杂志,1993;27(3):210
2,徐光伟主编.胃癌.北京:人民卫生出版社,1987:98
3,周康荣主编.腹部CT.上海:上海医科大学出版社,1993:139, http://www.100md.com