卵巢恶性肿瘤细胞凋亡的电镜观察
作者:李莉 苏杏满 程建新 雷建章
单位:李莉 苏杏满 程建新 河北医科大学附属第四医院妇产科,050011;雷建章 河北医科大学附属第四医院电镜室,050017
关键词:
现代妇产科进展990113 细胞凋亡(apoptosis)又称细胞程序性死亡(programmed cell death),是细胞自发的生理性死亡过程,对维持机体内环境的稳定、组织器官的正常结构和功能,以及平衡细胞的分化、发育、生长、增殖等,均有重要的生物学意义。一旦这种细胞程序性死亡过程出现障碍,如生长多于死亡,就会导致细胞总数过度累积,形成肿瘤。由此可见,细胞凋亡与病因学、病理学密切相关。自1972年美国病理学家Kerr等〔1〕提出细胞凋亡的概念后,近年来相继在生物医学不同领域报道了细胞凋亡的模式,但有关肿瘤,特别是卵巢恶性肿瘤细胞凋亡的超微结构变化报道较少。我们使用超薄切片透射电子显微镜对卵巢恶性肿瘤细胞凋亡进行了观察,现报道如下。
, http://www.100md.com
1 资料与方法
选择1996年12月至1997年3月临床诊断为卵巢恶性肿瘤8例,用透视电镜进行超微结构病理学分析,其中上皮癌5例,恶性性腺间质肿瘤3例。于术中快速切取样品,体积1.5mm×2mm,经4%戊二醛前固定,清洗后用1%锇酸后固定,常规脱水、浸透、环氧树脂包埋,制成树脂块,用LKB Ⅴ型超薄切片机切片,醋酸双氧铀/枸橼酸铅双重染色,用日立H-500透射电镜观察。
2 结果
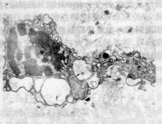
2.1 肿瘤细胞的形态 见照片1。由照片1可见,核质比增大,常染色质明显存在,异染色质呈细颗粒状,散在或边集于核膜下,核仁呈网团状,表明核增殖功能旺盛,细胞质内散在各种细胞器。
肿瘤细胞中,常散在一些形态结构趋向死亡的肿瘤细胞,即凋亡细胞。后者与肿瘤细胞明显不同,而且核的变化似乎发生在其它变化之先。卵巢肿瘤细胞凋亡的规律大致是:先出现核内异染色质增多和边集,常染色质减少,胞浆电子密度增高,细胞体积缩小,相邻细胞间的细胞连接消失,细胞突起减少,见照片2。代表性的变化为异染色质边集呈新月状,见照片3。此时细胞器改变不明显,内质网及线粒体结构完整正常,只是部分细胞溶酶体增多,除初级溶酶体外,更引人注目的是大型次级溶酶体,后者外披单层膜,内含质地不均、高电子密度及空泡状物质。进一步的变化是固缩核呈不均一的块状结构,见照片4。核周间隙增大,且腔隙大小不一,核孔增大,内质网及高尔基复合体(Golgi complex)扩张,呈空泡状,线粒体嵴模糊或消失。部分细胞胞浆内出现糖原颗粒堆积,表明糖代谢障碍,该类颗粒较大,每一颗粒又由细粒集结成簇,故证明属α型糖原颗粒(glycogen granules)。细胞体积进一步缩小,约为肿瘤细胞的1/5~1/4。
, 百拇医药
照片1 卵巢恶性肿瘤细胞,核质比增大,核异形性明显(×4000)
照片2 细胞凋亡最初的表现,异染色质边集,细胞周围连接消失(×8000)
照片3 典型的异染色质边集呈新月状(×8000)
照片4 核固缩呈块状,胞浆内充满呈空泡状的膨大内质网(×10 000)
照片5 核固缩呈不均匀的点状结构,细胞凋亡小体形成(×8000)
, 百拇医药
照片6 异吞噬现象,上方为肿瘤细胞的核,下方为降解的细胞凋亡(×6000)
2.2 卵巢肿瘤细胞凋亡的结局 本观察结果表明,卵巢肿瘤细胞凋亡一是形成细胞凋亡小体(apoptosis body),核及胞浆进行性退化;二是被周围肿瘤细胞吞噬。本组2例恶性性腺间质肿瘤中,我们观察到较典型的细胞凋亡小体,见照片5。内质网、高尔基复合体等膨大,与核外膜及细胞膜融合,胞浆被分割成大小不等的细胞碎块,逐渐与细胞体分离、脱落,形成细胞凋亡小体。有的细胞凋亡小体内含完整的线粒体、板层体及膨大的内质网等。由于性腺间质肿瘤中,肿瘤细胞周围多为胶原纤维。因此,细胞凋亡小体及固缩核可逐渐降解、吸收。Arends等〔2〕及黄宇烽等〔3〕报道的情况与我们的观察结果相符。异吞噬现象(iso-phagocytosing phenomenon)即吞噬凋亡细胞的肿瘤细胞,在恶性性腺间质肿瘤中只发现1个,在3例上皮癌中,却观察到有较多的异吞噬现象。被吞噬的凋亡细胞外披双层膜,有的包含完整的核及胞浆,有的出现核破裂,有的则已被降解、消化并形成空泡及电子密度高的物质,见照片6。令人惊异的是,在所有的肿瘤细胞集落中,我们既未看到巨噬细胞存在;也未观察到细胞凋亡小体的任何迹象。
, http://www.100md.com
3 讨论
细胞凋亡由遗传因素决定〔4〕。根据遗传因素,各种细胞损伤性刺激可改变遗传信息转录(genetic signal transcription)和(或)翻译(translation),形成死亡蛋白(death protein),后者能激活核酸内切酶,引起DNA双链在核小体联结子部断裂形成一些不连续的低分子量双股寡核苷酸片段(double strands oligoamino acid fragments),其碱基数为180~200bp的整数倍,凝胶电泳(gel electrophoresis)呈现为梯形条带(ladder strip zone)。在形态上表现为染色质凝集、断裂,标志着细胞凋亡的开始,不可逆的胞浆损害随之发生。
本观察结果表明,细胞凋亡的形态变化与功能变化是一致的,DNA链断裂导致核的变化是最早出现的现象。根据细胞凋亡的变化进程,大致可分为3个阶段。第1阶段为异染色质边集期,部分细胞出现典型的新月状染色质,处于此阶段的凋亡细胞具有可复性;第2阶段为核固缩期,伴有细胞器变化;第3阶段为细胞凋亡终变期,或形成细胞凋亡小体,或凋亡细胞被周围肿瘤细胞清除。我们发现某些细胞核与胞浆的改变不一致。核已固缩为一点状结构,胞浆中细胞器的形态却仍保持正常,表明只有当DNA断裂损伤到某些影响转录的重要环节时,才会发生胞浆损害,集中表现为细胞器结构受损,形态异常,并出现功能障碍。
, 百拇医药
文献报道凋亡后的细胞可形成细胞凋亡小体或被巨噬细胞清除消灭。我们认为并不完全如此。在对卵巢肿瘤的观察中,我们未见到巨噬细胞的痕迹,在上皮癌细胞中,也未见到细胞凋亡小体形成,即使在恶性性腺间质肿瘤中,异吞噬现象也很少。因此,我们提出:①在卵巢恶性肿瘤中,细胞凋亡的清除主要靠周围的肿瘤细胞;②在卵巢上皮癌中,由于细胞排列较紧密,细胞一旦凋亡,早期即被周围细胞吞噬,很少形成细胞凋亡小体;③在恶性性腺间质肿瘤中,凋亡细胞主要通过形成细胞凋亡小体而逐渐降解、消失。
细胞凋亡与坏死过程是细胞死亡的两种方式,二者的形态学特征差异有显著性。其主要差别见附表。
附表 细胞死亡两种方式的比较 观察指标
坏死细胞
凋亡细胞
细胞数
, 百拇医药
细胞膜完整性
细胞凋亡小体形成
炎性细胞浸润
多个,呈片状
破裂
无
有
单个
完整
有
无
我们还发现两种方式在核的变化上基本是一致的,均由异染色质凝集,细胞核固缩到破裂、崩解。掌握两者特征可以鉴别。
, 百拇医药
目前国内、外学者正致力于细胞凋亡相关基因结构与功能的研究,利用转基因(transfer gene)和逆转录(retro-transcriptian)等先进技术,实现对人体生命状态的调控,并为某些疾病,如肿瘤、免疫性疾病等的治疗提供新途径〔5〕。在妇科肿瘤的病理学研究中,掌握卵巢恶性肿瘤中细胞凋亡的形态变化,将有助于加深理解其功能的变化。 参考文献
1.Kerr JH,Wyllie AH,Currie AR.Apoptosis:A basic biological phenomenon with wide-ranging implication in tissue kinetics.Br J Cancer 1972;26:239
2.Arends MJ.Morris RG,Wyllie AH.Apoptosis:The role of endonuclease.Am J Pathol 1990;136:593
3.黄宇烽,徐建平,商学军,等.凋亡生精细胞的观察.解剖学报 1996;27:58
4.武忠弼(主编).病理学.第3版,北京:人民卫生出版社 1993:31~36
5.曹炜,牛建昭.细胞凋亡(Apoptosis)研究概况.解剖学报 1995;26:443
(收稿日期1998-01-20), 百拇医药
单位:李莉 苏杏满 程建新 河北医科大学附属第四医院妇产科,050011;雷建章 河北医科大学附属第四医院电镜室,050017
关键词:
现代妇产科进展990113 细胞凋亡(apoptosis)又称细胞程序性死亡(programmed cell death),是细胞自发的生理性死亡过程,对维持机体内环境的稳定、组织器官的正常结构和功能,以及平衡细胞的分化、发育、生长、增殖等,均有重要的生物学意义。一旦这种细胞程序性死亡过程出现障碍,如生长多于死亡,就会导致细胞总数过度累积,形成肿瘤。由此可见,细胞凋亡与病因学、病理学密切相关。自1972年美国病理学家Kerr等〔1〕提出细胞凋亡的概念后,近年来相继在生物医学不同领域报道了细胞凋亡的模式,但有关肿瘤,特别是卵巢恶性肿瘤细胞凋亡的超微结构变化报道较少。我们使用超薄切片透射电子显微镜对卵巢恶性肿瘤细胞凋亡进行了观察,现报道如下。
, http://www.100md.com
1 资料与方法
选择1996年12月至1997年3月临床诊断为卵巢恶性肿瘤8例,用透视电镜进行超微结构病理学分析,其中上皮癌5例,恶性性腺间质肿瘤3例。于术中快速切取样品,体积1.5mm×2mm,经4%戊二醛前固定,清洗后用1%锇酸后固定,常规脱水、浸透、环氧树脂包埋,制成树脂块,用LKB Ⅴ型超薄切片机切片,醋酸双氧铀/枸橼酸铅双重染色,用日立H-500透射电镜观察。
2 结果
2.1 肿瘤细胞的形态 见照片1。由照片1可见,核质比增大,常染色质明显存在,异染色质呈细颗粒状,散在或边集于核膜下,核仁呈网团状,表明核增殖功能旺盛,细胞质内散在各种细胞器。
肿瘤细胞中,常散在一些形态结构趋向死亡的肿瘤细胞,即凋亡细胞。后者与肿瘤细胞明显不同,而且核的变化似乎发生在其它变化之先。卵巢肿瘤细胞凋亡的规律大致是:先出现核内异染色质增多和边集,常染色质减少,胞浆电子密度增高,细胞体积缩小,相邻细胞间的细胞连接消失,细胞突起减少,见照片2。代表性的变化为异染色质边集呈新月状,见照片3。此时细胞器改变不明显,内质网及线粒体结构完整正常,只是部分细胞溶酶体增多,除初级溶酶体外,更引人注目的是大型次级溶酶体,后者外披单层膜,内含质地不均、高电子密度及空泡状物质。进一步的变化是固缩核呈不均一的块状结构,见照片4。核周间隙增大,且腔隙大小不一,核孔增大,内质网及高尔基复合体(Golgi complex)扩张,呈空泡状,线粒体嵴模糊或消失。部分细胞胞浆内出现糖原颗粒堆积,表明糖代谢障碍,该类颗粒较大,每一颗粒又由细粒集结成簇,故证明属α型糖原颗粒(glycogen granules)。细胞体积进一步缩小,约为肿瘤细胞的1/5~1/4。
, 百拇医药
照片1 卵巢恶性肿瘤细胞,核质比增大,核异形性明显(×4000)
照片2 细胞凋亡最初的表现,异染色质边集,细胞周围连接消失(×8000)
照片3 典型的异染色质边集呈新月状(×8000)
照片4 核固缩呈块状,胞浆内充满呈空泡状的膨大内质网(×10 000)
照片5 核固缩呈不均匀的点状结构,细胞凋亡小体形成(×8000)
, 百拇医药
照片6 异吞噬现象,上方为肿瘤细胞的核,下方为降解的细胞凋亡(×6000)
2.2 卵巢肿瘤细胞凋亡的结局 本观察结果表明,卵巢肿瘤细胞凋亡一是形成细胞凋亡小体(apoptosis body),核及胞浆进行性退化;二是被周围肿瘤细胞吞噬。本组2例恶性性腺间质肿瘤中,我们观察到较典型的细胞凋亡小体,见照片5。内质网、高尔基复合体等膨大,与核外膜及细胞膜融合,胞浆被分割成大小不等的细胞碎块,逐渐与细胞体分离、脱落,形成细胞凋亡小体。有的细胞凋亡小体内含完整的线粒体、板层体及膨大的内质网等。由于性腺间质肿瘤中,肿瘤细胞周围多为胶原纤维。因此,细胞凋亡小体及固缩核可逐渐降解、吸收。Arends等〔2〕及黄宇烽等〔3〕报道的情况与我们的观察结果相符。异吞噬现象(iso-phagocytosing phenomenon)即吞噬凋亡细胞的肿瘤细胞,在恶性性腺间质肿瘤中只发现1个,在3例上皮癌中,却观察到有较多的异吞噬现象。被吞噬的凋亡细胞外披双层膜,有的包含完整的核及胞浆,有的出现核破裂,有的则已被降解、消化并形成空泡及电子密度高的物质,见照片6。令人惊异的是,在所有的肿瘤细胞集落中,我们既未看到巨噬细胞存在;也未观察到细胞凋亡小体的任何迹象。
, http://www.100md.com
3 讨论
细胞凋亡由遗传因素决定〔4〕。根据遗传因素,各种细胞损伤性刺激可改变遗传信息转录(genetic signal transcription)和(或)翻译(translation),形成死亡蛋白(death protein),后者能激活核酸内切酶,引起DNA双链在核小体联结子部断裂形成一些不连续的低分子量双股寡核苷酸片段(double strands oligoamino acid fragments),其碱基数为180~200bp的整数倍,凝胶电泳(gel electrophoresis)呈现为梯形条带(ladder strip zone)。在形态上表现为染色质凝集、断裂,标志着细胞凋亡的开始,不可逆的胞浆损害随之发生。
本观察结果表明,细胞凋亡的形态变化与功能变化是一致的,DNA链断裂导致核的变化是最早出现的现象。根据细胞凋亡的变化进程,大致可分为3个阶段。第1阶段为异染色质边集期,部分细胞出现典型的新月状染色质,处于此阶段的凋亡细胞具有可复性;第2阶段为核固缩期,伴有细胞器变化;第3阶段为细胞凋亡终变期,或形成细胞凋亡小体,或凋亡细胞被周围肿瘤细胞清除。我们发现某些细胞核与胞浆的改变不一致。核已固缩为一点状结构,胞浆中细胞器的形态却仍保持正常,表明只有当DNA断裂损伤到某些影响转录的重要环节时,才会发生胞浆损害,集中表现为细胞器结构受损,形态异常,并出现功能障碍。
, 百拇医药
文献报道凋亡后的细胞可形成细胞凋亡小体或被巨噬细胞清除消灭。我们认为并不完全如此。在对卵巢肿瘤的观察中,我们未见到巨噬细胞的痕迹,在上皮癌细胞中,也未见到细胞凋亡小体形成,即使在恶性性腺间质肿瘤中,异吞噬现象也很少。因此,我们提出:①在卵巢恶性肿瘤中,细胞凋亡的清除主要靠周围的肿瘤细胞;②在卵巢上皮癌中,由于细胞排列较紧密,细胞一旦凋亡,早期即被周围细胞吞噬,很少形成细胞凋亡小体;③在恶性性腺间质肿瘤中,凋亡细胞主要通过形成细胞凋亡小体而逐渐降解、消失。
细胞凋亡与坏死过程是细胞死亡的两种方式,二者的形态学特征差异有显著性。其主要差别见附表。
附表 细胞死亡两种方式的比较 观察指标
坏死细胞
凋亡细胞
细胞数
, 百拇医药
细胞膜完整性
细胞凋亡小体形成
炎性细胞浸润
多个,呈片状
破裂
无
有
单个
完整
有
无
我们还发现两种方式在核的变化上基本是一致的,均由异染色质凝集,细胞核固缩到破裂、崩解。掌握两者特征可以鉴别。
, 百拇医药
目前国内、外学者正致力于细胞凋亡相关基因结构与功能的研究,利用转基因(transfer gene)和逆转录(retro-transcriptian)等先进技术,实现对人体生命状态的调控,并为某些疾病,如肿瘤、免疫性疾病等的治疗提供新途径〔5〕。在妇科肿瘤的病理学研究中,掌握卵巢恶性肿瘤中细胞凋亡的形态变化,将有助于加深理解其功能的变化。 参考文献
1.Kerr JH,Wyllie AH,Currie AR.Apoptosis:A basic biological phenomenon with wide-ranging implication in tissue kinetics.Br J Cancer 1972;26:239
2.Arends MJ.Morris RG,Wyllie AH.Apoptosis:The role of endonuclease.Am J Pathol 1990;136:593
3.黄宇烽,徐建平,商学军,等.凋亡生精细胞的观察.解剖学报 1996;27:58
4.武忠弼(主编).病理学.第3版,北京:人民卫生出版社 1993:31~36
5.曹炜,牛建昭.细胞凋亡(Apoptosis)研究概况.解剖学报 1995;26:443
(收稿日期1998-01-20), 百拇医药