诱生型一氧化氮合酶在妊娠高血压综合征患者胎盘与脐带中的表达及定量研究
作者:宋明清 刘 斌
单位:北京医科大学组织学与胚胎学系,北京 100083
关键词:妊娠中毒症;EPH;酶学;胎盘;化学;脐带;化学;一氧化氮合酶☆
北京医科大学学报990508 摘 要 目的:研究诱生型一氧化氮合酶(inducible nitric oxide synthase, iNOS)在正常足月妊娠和妊娠高血压综合征孕妇胎盘、脐带中的表达。方法:形态学观察、免疫组织化学、原位杂交、图像分析定量研究,检测iNOS mRNA和蛋白质表达水平。结果:妊娠高血压综合征患者胎盘合体滋养层细胞及脐带内皮细胞的iNOS表达增加;绒毛血管平滑肌细胞免疫组化染色显示iNOS表达减弱,原位杂交则显示有较强的iNOS mRNA表达;绒毛间质中表达iNOS的Hofbauer细胞增多。结论:妊娠高血压综合征患者胎盘及脐带中 iNOS表达异常,可能在妊高征发病过程中起生理或病理作用。
, http://www.100md.com
中国图书资料分类法分类号 R714.24
The expression and quantity study of inducible nitric oxide synthase in placenta and umbilical cord of pre-eclamptic pregnancy
SONG Ming-Qing, LIU Bin
(Department of Histology and Embryology, Beijing Medical University, Beijing 100083)
MeSH Gestosis, EPH/enzymol Placenta/chem Umbilical cord/chem Nitric oxide synthase☆
, 百拇医药
ABSTRACT Objective: To study the expression of inducible nitric oxide synthase (iNOS) in placenta and umbilical cord of normotensive and pre-eclamptic pregnancy. Methods: Histology, immunohistochemistry, in situ hybridization and image analysis. Results: The expression of iNOS was increased in the syncytiotrophoblast and endothelial cells of umbilical cord vessels of pre-eclampsia women , while the expression of iNOS in vascular smooth muscle cells decreased in this group. Conclusion: The abnormal expression of iNOS in placenta and umbilical cord of pre-eclamptic pregnancy may play physiological or pathalogical role in the development of pre-eclampsia.
, 百拇医药
(J Beijing Med Univ, 1999,31:412-414)
血管舒张因子一氧化氮(nitric oxide, NO)是导致母体妊娠期心血管系统发生血容量增加、血压下降、血液重新分布等生理性改变的重要因素。胎儿-胎盘循环所产生的NO是妊娠期NO的主要来源,NO产生异常被认为是妊娠高血压综合征(妊高征)发病的重要因素之一[1]。NO在体内由一族一氧化氮合酶(nitric oxide synthase , NOS)催化生成,人们常通过对NOS的研究来推导NO的产生状况。关于胎盘循环中NOS 的表达与妊高征的研究已有报道,但均为对内皮型NOS(eNOS)的研究[2],而对于诱生型NOS(iNOS)在胎盘、脐带中的表达及与妊高征的关系则少见报道。本研究采用免疫组化、原位杂交、图像分析等方法,对正常足月妊娠和妊高征者胎盘、脐带iNOS的表达进行了定位、定量研究,以探讨其在妊高征胎盘、脐带中的表达及其意义。
, 百拇医药 1 材料与方法
1.1 研究对象
正常足月妊娠孕妇23例,平均年龄(31±4)岁,平均孕(39±1)周,其中阴道分娩2例,剖宫产21例。妊高征孕妇20例,平均年龄(30±3)岁,平均孕(36±4)周,其中阴道分娩1例,剖宫产19例。妊高征诊断标准按文献[3]。
1.2 取材
阴道分娩或剖宫产产妇的胎盘娩出后,立即取胎盘中段及脐带组织,固定于40 g.L-1多聚甲醛,石蜡包埋。
1.3 试剂
兔抗人iNOS多克隆抗体为Santa Cruz 公司产品,免疫组化ABC试剂盒为Vector公司生产。iNOS cDNA片段由北京医科大学医病理学系基因诊断中心制备,用随机引物法标记为地高辛探针,其标记和检测药盒为德国Boehringer Mannheim公司产品。
, 百拇医药
1.4 形态学观察
40 g.L-1多聚甲醛固定标本,石蜡包埋,6 μm切片,HE染色,光镜观察。
1.5 免疫组织化学染色
石蜡切片6 μm,脱蜡,体积分数为0.3 %的H2O2-甲醇处理消除内源性过氧化物酶,蒸馏水冲洗 3次,每次2 min,柠檬酸缓冲液(pH 6.0)92~98 ℃煮沸20 min,PBS 洗3次,每次5 min,用稀释的正常羊血清37 ℃ 孵育20 min,滴加兔抗人iNOS多克隆抗体1∶50(体积比),置湿盒4 ℃过夜;用ABC药盒染色,脱水,透明,封片,光镜观察iNOS在组织中的分布,出现棕黄色染色为阳性结果。以PBS代替iNOS抗体作为阴性对照。
1.6 原位杂交
, 百拇医药
iNOS mRNA的检测:石蜡切片二甲苯脱蜡,梯度酒精脱水,PBS洗2次,蛋白酶K 37℃ 15 min,40 g.L-1多聚甲醛10 min,PBS洗3次,每次5 min,0.1 mol.L-1 HCl室温10 min,体积分数90%的乙醇脱水,风干,混匀地高辛标记的cDNA探针和杂交液,95 ℃ 10 min加热变性,滴加切片后用封口膜覆盖,42 ℃ 20 h保温(湿盒中加体积分数为50%的甲酰胺),切片置5×SSC中揭去封口膜,体积分数为50%的甲酰胺/2×SSC 30 min, buffer1 洗2次 ,每次5 min,buffer2(试剂盒中的阻断剂用buffer1按1∶100体积比稀释)洗涤30 min,抗地高辛抗体(用buffer2按1∶500体积比稀释)37 ℃ 40 min,buffer3 3次,每次2 min,加显色液(1 μl NBT, 1 μl BCIP/100 μl buffer3),镜检终止显色。杂交液中不加iNOS探针或加无关探针作为阴性对照。
, http://www.100md.com
1.7 图像分析
用Leica Q500MC图像分析仪对iNOS 免疫组化及原位杂交切片染色进行定量分析,每例切片在绒毛或脐血管内皮处随机采集10个视野,以平均光密度(D)值表示着色强度。对绒毛间质Hofbauer细胞以同法采集视野,进行计数。实验结果以
±s
表示,用t检验作统计分析。
2 结果
2.1 免疫组化染色
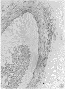
2.1.1 胎盘 胎盘组织内iNOS免疫组化染色显示,正常妊娠组大部分胎盘绒毛合体滋养层细胞不着色,或仅有浅淡着色,残留的细胞滋养层细胞有着色;妊高征者的绒毛合体滋养层细胞较多呈棕黄着色。正常及妊高征胎盘绒毛间质内可见散在的深棕黄色着色的Hofbauer细胞(图1、2)。正常妊娠组胎盘的绒毛干大血管及绒毛小血管平滑肌细胞多着色,内皮细胞扁平,着色少;而妊高征组胎盘的一些绒毛干大血管及绒毛小血管平滑肌细胞着色明显减弱或无,内皮细胞着色增强(图3、4)。
, http://www.100md.com
图1 免疫组化:正常妊娠胎盘,绒毛合体滋养层细胞iNOS 染色几乎 无着色。ABC 法 ×100
Figure 1 Immunohistochemistry: Normotensive placenta, the iNOS staining is almost no staining in syncytiotrophoblast . ABC ×100
图2 免疫组化:妊高征胎盘,绒毛合体滋养层细胞iNOS染色呈棕黄色颗粒。ABC 法 ×100
Figure 2 Immunohistochemistry: Preeclampsia placenta, the iNOS staining is stronger in syncytiotrophoblast. ABC ×100
, 百拇医药
图3 免疫组化: 正常妊娠胎盘,绒毛干血管平滑肌细胞着色明显,内皮细胞几乎无着色。ABC 法 ×100
Figure 3 Immunohistochemistry: Normotensive placenta ,the iNOS staining is stronger in vascular smooth muscle cells of sterm villi and there is very weakly iNOS staining in endothelial cells . ABC ×100
图4 免疫组化:妊高征胎盘,绒毛干血管平滑肌细胞无着色,内皮细胞明显着色。ABC 法 ×100
Figure 4 Immunohistochemistry: Preeclampsia placenta, the iNOS staining is stronger in endothelial cells and no staning in vascular smooth muscle cells of sterm villi. ABC ×100
, http://www.100md.com
2.1.2 脐带 正常妊娠组脐动脉、脐静脉平滑肌细胞多有着色,内皮细胞扁平,着色较少;而妊高征组脐静脉或部分脐动脉内皮细胞着色增强(图5、6)。
图5 免疫组化: 正常妊娠脐静脉,内皮细胞iNOS着色少。ABC法 × 100
Figure 5 Immunohistochemistry: Normotensive umbilical vein, iNOS staining in endothelial cells is weak. ABC ×100
图6 免疫组化:妊高征脐静脉,内皮细胞着色明显增强。ABC法 ×100
Figure 6 Immunohistochemistry: Preeclampsia umbilical vein, there is stronger iNOS staining in endothelial cells. ABC×100
, 百拇医药
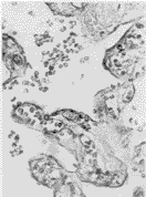
2.2 iNOS mRNA原位杂交
正常妊娠组多数胎盘合体滋养层细胞几乎无着色或仅有少许着色;妊高征组大多数胎盘的合体滋养层细胞内可见局灶性紫蓝色着色增加,说明妊高征胎盘合体滋养层细胞内iNOS mRNA的表达增加(图7、8),两组胎盘的血管平滑肌细胞均见较明显着色。
图7 正常妊娠胎盘,合体滋养层细胞内未见iNOS mRNA表达。 ISH×400
Figure 7 Normotensive placenta, there is no iNOS mRNA expression in syncytiotrophoblast. ISH ×400
, 百拇医药
图8 妊高征胎盘,合体滋养层细胞内可见iNOS mRNA表达。 ISH×400
Figure 8 Preeclampsia placenta, there is stronger iNOS mRNA expression in syncytiotrophoblast. ISH ×400
2.3 图像分析
对脐血管内皮细胞(endothelial cell,EC)及胎盘滋养层细胞的iNOS免疫组化和胎盘滋养层细胞iNOS mRNA原位杂交染色用图像分析仪测定,结果显示妊高征组(preeclampsia, PE)的iNOS免疫组化和iNOS mRNA原位杂交染色着色强度均高于正常组。对绒毛间质内Hofbauer细胞计数结果显示妊高征组胎盘绒毛间质内Hofbauer细胞多于正常组,详见表1。
表1 图像分析测量结果(
±s
)
, 百拇医药
Table 1 The Result of Image analysis(
±s
) Group
iNOS Immunohistochemistry
iNOS mRNA
Hofbauer cells
Syncyotrophablast
Umbilical EC
Normal
0.021±0.003
, 百拇医药
0.011 0±0.001 2
0.117±0.015
34±6
PE
0.025±0.004
0.040 2±0.008 4**
0.154±0.008*
71±18△
*P<0.05, t=3.605, **P<0.01, t=2.153, ; △P<0.01, t=1.970, vs normal group.
, 百拇医药
3 讨论
iNOS在胎盘中的表达研究少见,对iNOS在晚期胎盘中的存在与否及其在妊娠中是起生理作用还是病理作用,意见不一[2,4,5]。
本研究免疫组化染色发现正常妊娠时胎盘合体滋养层细胞及血管内皮细胞的iNOS表达较少。妊高征时内皮细胞和合体滋养层细胞iNOS表达增强,一些血管平滑肌细胞内iNOS表达减弱。原位杂交结果也证实,妊高征时胎盘血管内皮细胞和滋养层细胞 iNOS mRNA表达增加;但胎盘血管平滑肌细胞可见较明显的iNOS mRNA表达,这似乎与免疫组化观察到的胎盘血管平滑肌细胞内iNOS表达减弱相矛盾,我们认为这可能是由于该部位的iNOS在mRNA翻译为蛋白质水平受阻或由于iNOS的代谢增加所致。
另外还发现,在正常及妊高征组的胎盘绒毛间质中均有一些深染的细胞存在。有研究证实,这些细胞同时表达有iNOS抗原和CD14或CD45,认为这些细胞为Hofbauer细胞[6]。我们通过用图像分析仪对两组绒毛内这些细胞进行计数,证实妊高征组的Hofbauer细胞明显多于正常妊娠组。
, 百拇医药
资料及我们以前的研究[7]均证实妊高征者胎盘合体滋养层细胞及血管内皮细胞中的eNOS表达减少,而在本实验中又发现妊高征时胎盘这些部位内iNOS表达增加。对于这些细胞的来源,我们认为可能是合体细胞滋养层细胞,也可能是来源于细胞滋养层细胞或是细胞滋养层细胞向合体滋养层细胞的过渡阶段。至于产生这种现象的机制,我们认为可能是机体的一种代偿现象,在妊高征时eNOS表达不足的情况下,通过诱导iNOS生成来产生NO继续发挥部分生理作用。或者也可能是一种病理性表现,一些研究证实,妊高征时体内TNF-α等细胞因子较正常孕妇增加,这些增加的细胞因子可诱导血管内皮等细胞表达iNOS。在早期,这些iNOS产生的NO可舒张痉挛的血管,弥补eNOS的不足,但因iNOS产生的NO量较大而持续,进而可使血管发生持续扩张、淤血等变化,导致胎盘有效循环血量减少,加重胎盘结构病变, 胎盘缺血还被认为是妊高征发病的重要原因之一[8]。过量的NO还可生成大量的氧自由基,如过氧亚硝酸阴离子(ONOO-),引起细胞的损伤或程序性死亡[9],导致胎盘体积减小,胎儿宫内发育迟缓等。
, 百拇医药
Hofbauer细胞具有吞噬功能,被认为是胎盘中的巨噬细胞,具有免疫功能。妊高征胎盘表达iNOS的Hofbauer细胞增多,认为可能是用于杀伤、吞噬死亡或凋亡的细胞,也可能通过产生过多的iNOS或其他免疫因子引起胎盘病理性损伤。
本研究初步阐明妊高征时,胎盘、脐带的血管内皮细胞、合体滋养层细胞及Hofbauer细胞的iNOS mRNA和蛋白水平增高,这种变化在妊娠中可能有双重作用,对于其在妊高征发病过程中的确切作用机制尚需进一步研究。
注:国家教育部博士点基金(96024032)资助课题;
☆ 自由词。
参考文献
1 Seligman SP, Buyon JP, Clancy RM, et al. The role of nitric oxide in pathogenesis of preeclampsia. .Am J Obstet Gynecol, 1994, 171:944-948
, 百拇医药
2 Myatt L, Brockman DE,Eis AL, et al. Immunohistochemical localization of nitric oxide in the human placenta. Plancenta ,1993,14(5):487-495
3 郑怀美,苏应宽,主编. 妇产科学. 第2版. 北京:人民卫生出版社,1984.121
4 Dennes WJ, Slatetr DM ,Bennett PR.. Nitric oxide synthase mRNA expression in human fetal membranes : a possible role in partuition .Biochem Biophy Res Commun,1997 ,233(1): 276-278
5 Schonfelder G,John M,Hopp H, et al. Expression of inducible nitric oxide synthase in placenta of women with gestational diabets . FASEB J, 1996,10(7): 777-784
, http://www.100md.com
6 Myatt L, Eis AL, Brockman DE, et al. Inducible (type II) nitric oxide synthase in human placental villous tissue of normotensive , pre-eclamptic and intrauterine growth-restricted pregnancies . Placenta, 1997,18(4):261-268
7 宋明清, 刘 斌.正常及妊娠高血压综合征时胎盘、脐带中一氧化氮合酶的计量研究. 北京医科大学学报, 1998, 30(6):497-499
8 林其德. 妊高征病因学研究的进展. 中华妇产科杂志, 1997, 32(1):3-5
9 Matheis G , Shermn MP , Buckberg GD, et al. Role of L-arginine-nitric-oxid pathway in myocardial reoxygenation injury . Am J Physiol , 1992,262: 16-20
(1998-11-25收稿), 百拇医药
单位:北京医科大学组织学与胚胎学系,北京 100083
关键词:妊娠中毒症;EPH;酶学;胎盘;化学;脐带;化学;一氧化氮合酶☆
北京医科大学学报990508 摘 要 目的:研究诱生型一氧化氮合酶(inducible nitric oxide synthase, iNOS)在正常足月妊娠和妊娠高血压综合征孕妇胎盘、脐带中的表达。方法:形态学观察、免疫组织化学、原位杂交、图像分析定量研究,检测iNOS mRNA和蛋白质表达水平。结果:妊娠高血压综合征患者胎盘合体滋养层细胞及脐带内皮细胞的iNOS表达增加;绒毛血管平滑肌细胞免疫组化染色显示iNOS表达减弱,原位杂交则显示有较强的iNOS mRNA表达;绒毛间质中表达iNOS的Hofbauer细胞增多。结论:妊娠高血压综合征患者胎盘及脐带中 iNOS表达异常,可能在妊高征发病过程中起生理或病理作用。
, http://www.100md.com
中国图书资料分类法分类号 R714.24
The expression and quantity study of inducible nitric oxide synthase in placenta and umbilical cord of pre-eclamptic pregnancy
SONG Ming-Qing, LIU Bin
(Department of Histology and Embryology, Beijing Medical University, Beijing 100083)
MeSH Gestosis, EPH/enzymol Placenta/chem Umbilical cord/chem Nitric oxide synthase☆
, 百拇医药
ABSTRACT Objective: To study the expression of inducible nitric oxide synthase (iNOS) in placenta and umbilical cord of normotensive and pre-eclamptic pregnancy. Methods: Histology, immunohistochemistry, in situ hybridization and image analysis. Results: The expression of iNOS was increased in the syncytiotrophoblast and endothelial cells of umbilical cord vessels of pre-eclampsia women , while the expression of iNOS in vascular smooth muscle cells decreased in this group. Conclusion: The abnormal expression of iNOS in placenta and umbilical cord of pre-eclamptic pregnancy may play physiological or pathalogical role in the development of pre-eclampsia.
, 百拇医药
(J Beijing Med Univ, 1999,31:412-414)
血管舒张因子一氧化氮(nitric oxide, NO)是导致母体妊娠期心血管系统发生血容量增加、血压下降、血液重新分布等生理性改变的重要因素。胎儿-胎盘循环所产生的NO是妊娠期NO的主要来源,NO产生异常被认为是妊娠高血压综合征(妊高征)发病的重要因素之一[1]。NO在体内由一族一氧化氮合酶(nitric oxide synthase , NOS)催化生成,人们常通过对NOS的研究来推导NO的产生状况。关于胎盘循环中NOS 的表达与妊高征的研究已有报道,但均为对内皮型NOS(eNOS)的研究[2],而对于诱生型NOS(iNOS)在胎盘、脐带中的表达及与妊高征的关系则少见报道。本研究采用免疫组化、原位杂交、图像分析等方法,对正常足月妊娠和妊高征者胎盘、脐带iNOS的表达进行了定位、定量研究,以探讨其在妊高征胎盘、脐带中的表达及其意义。
, 百拇医药 1 材料与方法
1.1 研究对象
正常足月妊娠孕妇23例,平均年龄(31±4)岁,平均孕(39±1)周,其中阴道分娩2例,剖宫产21例。妊高征孕妇20例,平均年龄(30±3)岁,平均孕(36±4)周,其中阴道分娩1例,剖宫产19例。妊高征诊断标准按文献[3]。
1.2 取材
阴道分娩或剖宫产产妇的胎盘娩出后,立即取胎盘中段及脐带组织,固定于40 g.L-1多聚甲醛,石蜡包埋。
1.3 试剂
兔抗人iNOS多克隆抗体为Santa Cruz 公司产品,免疫组化ABC试剂盒为Vector公司生产。iNOS cDNA片段由北京医科大学医病理学系基因诊断中心制备,用随机引物法标记为地高辛探针,其标记和检测药盒为德国Boehringer Mannheim公司产品。
, 百拇医药
1.4 形态学观察
40 g.L-1多聚甲醛固定标本,石蜡包埋,6 μm切片,HE染色,光镜观察。
1.5 免疫组织化学染色
石蜡切片6 μm,脱蜡,体积分数为0.3 %的H2O2-甲醇处理消除内源性过氧化物酶,蒸馏水冲洗 3次,每次2 min,柠檬酸缓冲液(pH 6.0)92~98 ℃煮沸20 min,PBS 洗3次,每次5 min,用稀释的正常羊血清37 ℃ 孵育20 min,滴加兔抗人iNOS多克隆抗体1∶50(体积比),置湿盒4 ℃过夜;用ABC药盒染色,脱水,透明,封片,光镜观察iNOS在组织中的分布,出现棕黄色染色为阳性结果。以PBS代替iNOS抗体作为阴性对照。
1.6 原位杂交
, 百拇医药
iNOS mRNA的检测:石蜡切片二甲苯脱蜡,梯度酒精脱水,PBS洗2次,蛋白酶K 37℃ 15 min,40 g.L-1多聚甲醛10 min,PBS洗3次,每次5 min,0.1 mol.L-1 HCl室温10 min,体积分数90%的乙醇脱水,风干,混匀地高辛标记的cDNA探针和杂交液,95 ℃ 10 min加热变性,滴加切片后用封口膜覆盖,42 ℃ 20 h保温(湿盒中加体积分数为50%的甲酰胺),切片置5×SSC中揭去封口膜,体积分数为50%的甲酰胺/2×SSC 30 min, buffer1 洗2次 ,每次5 min,buffer2(试剂盒中的阻断剂用buffer1按1∶100体积比稀释)洗涤30 min,抗地高辛抗体(用buffer2按1∶500体积比稀释)37 ℃ 40 min,buffer3 3次,每次2 min,加显色液(1 μl NBT, 1 μl BCIP/100 μl buffer3),镜检终止显色。杂交液中不加iNOS探针或加无关探针作为阴性对照。
, http://www.100md.com
1.7 图像分析
用Leica Q500MC图像分析仪对iNOS 免疫组化及原位杂交切片染色进行定量分析,每例切片在绒毛或脐血管内皮处随机采集10个视野,以平均光密度(D)值表示着色强度。对绒毛间质Hofbauer细胞以同法采集视野,进行计数。实验结果以
2 结果
2.1 免疫组化染色
2.1.1 胎盘 胎盘组织内iNOS免疫组化染色显示,正常妊娠组大部分胎盘绒毛合体滋养层细胞不着色,或仅有浅淡着色,残留的细胞滋养层细胞有着色;妊高征者的绒毛合体滋养层细胞较多呈棕黄着色。正常及妊高征胎盘绒毛间质内可见散在的深棕黄色着色的Hofbauer细胞(图1、2)。正常妊娠组胎盘的绒毛干大血管及绒毛小血管平滑肌细胞多着色,内皮细胞扁平,着色少;而妊高征组胎盘的一些绒毛干大血管及绒毛小血管平滑肌细胞着色明显减弱或无,内皮细胞着色增强(图3、4)。
, http://www.100md.com
图1 免疫组化:正常妊娠胎盘,绒毛合体滋养层细胞iNOS 染色几乎 无着色。ABC 法 ×100
Figure 1 Immunohistochemistry: Normotensive placenta, the iNOS staining is almost no staining in syncytiotrophoblast . ABC ×100
图2 免疫组化:妊高征胎盘,绒毛合体滋养层细胞iNOS染色呈棕黄色颗粒。ABC 法 ×100
Figure 2 Immunohistochemistry: Preeclampsia placenta, the iNOS staining is stronger in syncytiotrophoblast. ABC ×100
, 百拇医药
图3 免疫组化: 正常妊娠胎盘,绒毛干血管平滑肌细胞着色明显,内皮细胞几乎无着色。ABC 法 ×100
Figure 3 Immunohistochemistry: Normotensive placenta ,the iNOS staining is stronger in vascular smooth muscle cells of sterm villi and there is very weakly iNOS staining in endothelial cells . ABC ×100
图4 免疫组化:妊高征胎盘,绒毛干血管平滑肌细胞无着色,内皮细胞明显着色。ABC 法 ×100
Figure 4 Immunohistochemistry: Preeclampsia placenta, the iNOS staining is stronger in endothelial cells and no staning in vascular smooth muscle cells of sterm villi. ABC ×100
, http://www.100md.com
2.1.2 脐带 正常妊娠组脐动脉、脐静脉平滑肌细胞多有着色,内皮细胞扁平,着色较少;而妊高征组脐静脉或部分脐动脉内皮细胞着色增强(图5、6)。
图5 免疫组化: 正常妊娠脐静脉,内皮细胞iNOS着色少。ABC法 × 100
Figure 5 Immunohistochemistry: Normotensive umbilical vein, iNOS staining in endothelial cells is weak. ABC ×100
图6 免疫组化:妊高征脐静脉,内皮细胞着色明显增强。ABC法 ×100
Figure 6 Immunohistochemistry: Preeclampsia umbilical vein, there is stronger iNOS staining in endothelial cells. ABC×100
, 百拇医药
2.2 iNOS mRNA原位杂交
正常妊娠组多数胎盘合体滋养层细胞几乎无着色或仅有少许着色;妊高征组大多数胎盘的合体滋养层细胞内可见局灶性紫蓝色着色增加,说明妊高征胎盘合体滋养层细胞内iNOS mRNA的表达增加(图7、8),两组胎盘的血管平滑肌细胞均见较明显着色。
图7 正常妊娠胎盘,合体滋养层细胞内未见iNOS mRNA表达。 ISH×400
Figure 7 Normotensive placenta, there is no iNOS mRNA expression in syncytiotrophoblast. ISH ×400
, 百拇医药
图8 妊高征胎盘,合体滋养层细胞内可见iNOS mRNA表达。 ISH×400
Figure 8 Preeclampsia placenta, there is stronger iNOS mRNA expression in syncytiotrophoblast. ISH ×400
2.3 图像分析
对脐血管内皮细胞(endothelial cell,EC)及胎盘滋养层细胞的iNOS免疫组化和胎盘滋养层细胞iNOS mRNA原位杂交染色用图像分析仪测定,结果显示妊高征组(preeclampsia, PE)的iNOS免疫组化和iNOS mRNA原位杂交染色着色强度均高于正常组。对绒毛间质内Hofbauer细胞计数结果显示妊高征组胎盘绒毛间质内Hofbauer细胞多于正常组,详见表1。
表1 图像分析测量结果(
, 百拇医药
Table 1 The Result of Image analysis(
iNOS Immunohistochemistry
iNOS mRNA
Hofbauer cells
Syncyotrophablast
Umbilical EC
Normal
0.021±0.003
, 百拇医药
0.011 0±0.001 2
0.117±0.015
34±6
PE
0.025±0.004
0.040 2±0.008 4**
0.154±0.008*
71±18△
*P<0.05, t=3.605, **P<0.01, t=2.153, ; △P<0.01, t=1.970, vs normal group.
, 百拇医药
3 讨论
iNOS在胎盘中的表达研究少见,对iNOS在晚期胎盘中的存在与否及其在妊娠中是起生理作用还是病理作用,意见不一[2,4,5]。
本研究免疫组化染色发现正常妊娠时胎盘合体滋养层细胞及血管内皮细胞的iNOS表达较少。妊高征时内皮细胞和合体滋养层细胞iNOS表达增强,一些血管平滑肌细胞内iNOS表达减弱。原位杂交结果也证实,妊高征时胎盘血管内皮细胞和滋养层细胞 iNOS mRNA表达增加;但胎盘血管平滑肌细胞可见较明显的iNOS mRNA表达,这似乎与免疫组化观察到的胎盘血管平滑肌细胞内iNOS表达减弱相矛盾,我们认为这可能是由于该部位的iNOS在mRNA翻译为蛋白质水平受阻或由于iNOS的代谢增加所致。
另外还发现,在正常及妊高征组的胎盘绒毛间质中均有一些深染的细胞存在。有研究证实,这些细胞同时表达有iNOS抗原和CD14或CD45,认为这些细胞为Hofbauer细胞[6]。我们通过用图像分析仪对两组绒毛内这些细胞进行计数,证实妊高征组的Hofbauer细胞明显多于正常妊娠组。
, 百拇医药
资料及我们以前的研究[7]均证实妊高征者胎盘合体滋养层细胞及血管内皮细胞中的eNOS表达减少,而在本实验中又发现妊高征时胎盘这些部位内iNOS表达增加。对于这些细胞的来源,我们认为可能是合体细胞滋养层细胞,也可能是来源于细胞滋养层细胞或是细胞滋养层细胞向合体滋养层细胞的过渡阶段。至于产生这种现象的机制,我们认为可能是机体的一种代偿现象,在妊高征时eNOS表达不足的情况下,通过诱导iNOS生成来产生NO继续发挥部分生理作用。或者也可能是一种病理性表现,一些研究证实,妊高征时体内TNF-α等细胞因子较正常孕妇增加,这些增加的细胞因子可诱导血管内皮等细胞表达iNOS。在早期,这些iNOS产生的NO可舒张痉挛的血管,弥补eNOS的不足,但因iNOS产生的NO量较大而持续,进而可使血管发生持续扩张、淤血等变化,导致胎盘有效循环血量减少,加重胎盘结构病变, 胎盘缺血还被认为是妊高征发病的重要原因之一[8]。过量的NO还可生成大量的氧自由基,如过氧亚硝酸阴离子(ONOO-),引起细胞的损伤或程序性死亡[9],导致胎盘体积减小,胎儿宫内发育迟缓等。
, 百拇医药
Hofbauer细胞具有吞噬功能,被认为是胎盘中的巨噬细胞,具有免疫功能。妊高征胎盘表达iNOS的Hofbauer细胞增多,认为可能是用于杀伤、吞噬死亡或凋亡的细胞,也可能通过产生过多的iNOS或其他免疫因子引起胎盘病理性损伤。
本研究初步阐明妊高征时,胎盘、脐带的血管内皮细胞、合体滋养层细胞及Hofbauer细胞的iNOS mRNA和蛋白水平增高,这种变化在妊娠中可能有双重作用,对于其在妊高征发病过程中的确切作用机制尚需进一步研究。
注:国家教育部博士点基金(96024032)资助课题;
☆ 自由词。
参考文献
1 Seligman SP, Buyon JP, Clancy RM, et al. The role of nitric oxide in pathogenesis of preeclampsia. .Am J Obstet Gynecol, 1994, 171:944-948
, 百拇医药
2 Myatt L, Brockman DE,Eis AL, et al. Immunohistochemical localization of nitric oxide in the human placenta. Plancenta ,1993,14(5):487-495
3 郑怀美,苏应宽,主编. 妇产科学. 第2版. 北京:人民卫生出版社,1984.121
4 Dennes WJ, Slatetr DM ,Bennett PR.. Nitric oxide synthase mRNA expression in human fetal membranes : a possible role in partuition .Biochem Biophy Res Commun,1997 ,233(1): 276-278
5 Schonfelder G,John M,Hopp H, et al. Expression of inducible nitric oxide synthase in placenta of women with gestational diabets . FASEB J, 1996,10(7): 777-784
, http://www.100md.com
6 Myatt L, Eis AL, Brockman DE, et al. Inducible (type II) nitric oxide synthase in human placental villous tissue of normotensive , pre-eclamptic and intrauterine growth-restricted pregnancies . Placenta, 1997,18(4):261-268
7 宋明清, 刘 斌.正常及妊娠高血压综合征时胎盘、脐带中一氧化氮合酶的计量研究. 北京医科大学学报, 1998, 30(6):497-499
8 林其德. 妊高征病因学研究的进展. 中华妇产科杂志, 1997, 32(1):3-5
9 Matheis G , Shermn MP , Buckberg GD, et al. Role of L-arginine-nitric-oxid pathway in myocardial reoxygenation injury . Am J Physiol , 1992,262: 16-20
(1998-11-25收稿), 百拇医药