左侧睾丸缺如伴左腹股沟管内肾上腺组织异位1例
作者:雷宇 王淑芹
单位:北京医科大学第一医院小儿外科,北京 100034
关键词:
北京医科大学学报990532 1 临床资料
患儿,男,2岁5个月。因发现左阴囊空虚2年5个月入院。患儿出生后至入院左阴囊内从未触及睾丸。其母孕期体健,无服药史。入院查体:发育正常,一般情况良好。心、肺无阳性体征,腹软,肝、脾未触及。左阴囊扁平,其内无睾丸,左腹股沟区亦未触及睾丸样物。右阴囊内可触及正常睾丸,约1.8 cm×1.5 cm×1.5 cm。阴茎发育正常。实验室检查:血红蛋白132 g.L-1,白细胞9.1×109 L-1,ALT 11.7 U.L-1。
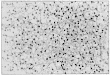
术中所见:在左腹股沟管内找到左侧输精管,其末端为一盲端,位于左腹股沟管中部。紧邻盲端尖部有一约3 mm×2 mm×2 mm大的白色结节,疑为发育极差之睾丸,未见附睾及精索。沿腹股沟管向上探查腹膜后并打开内环口上方腹膜探查腹腔,均未找到精索,故切除上述可疑结节送病理,常规逐层缝合切口,结束手术。术后病理报告:异位肾上腺组织(图1)。
图1 左腹股沟异位肾上腺组织 HE×500
Figure 1 Ectopia adrenic tissues, left inguinal HE×500
2 讨论
单侧睾丸缺如在隐睾患儿中约占1%~3%,其原因不清,可能是睾丸未发育,也可能是在胚睾形成后因某种原因发生退化。由于在绝大多数的病例中都能找到输精管、附睾或精索血管的残迹,故大多数人支持上述退化的观点。本病例从另一个方面为这种观点提供了例证。
我们知道,原始生殖腺在胚胎第5周发生于泌尿生殖嵴,而肾上腺则在胚胎第6周出现于肠系膜根部与发生中的生殖腺之间,此后男性生殖腺发育为睾丸,并逐渐下降而远离肾上腺。因此我们推断,由于某种原因部分肾上腺组织在睾丸,下降过程中被睾丸带入腹股沟管,从而形成肾上腺组织在腹股沟管内的异位。如此推断成立,则本病例中左睾丸缺如的产生应是在左睾丸已降入腹股沟管内后,因某种原因出现退化而造成的。
(1998-09-25收稿), 百拇医药
单位:北京医科大学第一医院小儿外科,北京 100034
关键词:
北京医科大学学报990532 1 临床资料
患儿,男,2岁5个月。因发现左阴囊空虚2年5个月入院。患儿出生后至入院左阴囊内从未触及睾丸。其母孕期体健,无服药史。入院查体:发育正常,一般情况良好。心、肺无阳性体征,腹软,肝、脾未触及。左阴囊扁平,其内无睾丸,左腹股沟区亦未触及睾丸样物。右阴囊内可触及正常睾丸,约1.8 cm×1.5 cm×1.5 cm。阴茎发育正常。实验室检查:血红蛋白132 g.L-1,白细胞9.1×109 L-1,ALT 11.7 U.L-1。
术中所见:在左腹股沟管内找到左侧输精管,其末端为一盲端,位于左腹股沟管中部。紧邻盲端尖部有一约3 mm×2 mm×2 mm大的白色结节,疑为发育极差之睾丸,未见附睾及精索。沿腹股沟管向上探查腹膜后并打开内环口上方腹膜探查腹腔,均未找到精索,故切除上述可疑结节送病理,常规逐层缝合切口,结束手术。术后病理报告:异位肾上腺组织(图1)。
图1 左腹股沟异位肾上腺组织 HE×500
Figure 1 Ectopia adrenic tissues, left inguinal HE×500
2 讨论
单侧睾丸缺如在隐睾患儿中约占1%~3%,其原因不清,可能是睾丸未发育,也可能是在胚睾形成后因某种原因发生退化。由于在绝大多数的病例中都能找到输精管、附睾或精索血管的残迹,故大多数人支持上述退化的观点。本病例从另一个方面为这种观点提供了例证。
我们知道,原始生殖腺在胚胎第5周发生于泌尿生殖嵴,而肾上腺则在胚胎第6周出现于肠系膜根部与发生中的生殖腺之间,此后男性生殖腺发育为睾丸,并逐渐下降而远离肾上腺。因此我们推断,由于某种原因部分肾上腺组织在睾丸,下降过程中被睾丸带入腹股沟管,从而形成肾上腺组织在腹股沟管内的异位。如此推断成立,则本病例中左睾丸缺如的产生应是在左睾丸已降入腹股沟管内后,因某种原因出现退化而造成的。
(1998-09-25收稿), 百拇医药