6Gyγ射线照射诱导骨髓造血细胞凋亡
作者:邹仲敏 孙慧勤 罗成基
单位:邹仲敏 罗成基 (重庆,第三军医大学防原医学教研室 400038); 孙慧勤 (病理学教研室)
关键词:造血细胞;细胞凋亡;辐照
中华放射医学与防护杂志980607亡
目的 研究凋亡在射线损伤造血功能中的作用。方法 用原位末端标记(ISEL)、电镜技术和流式细胞术,研究6Gyγ射线照射后小鼠骨髓造血细胞(BMHCs)的凋亡。结果 在体射线损伤后,除细胞坏死外,骨髓造血细胞的形态学变化还与凋亡的特点相符。时效关系的研究显示射线照射后8小时BMHC凋亡发生率达最高水平(约30%),之后有所下降。结论 射线损伤造血功能的主要途径之一是诱导细胞发生凋亡。
6Gyγ-irradiation induces apoptosis of bone marrow hematopoietic cells.
, http://www.100md.com
Zou Zhongmin,Sun Huiqin,Luo Chengji. Department of Radiation Medicine,Third Militury Medical University,Chongqing 400038,China.
Objective To study the role of apoptosis in radiation-induced dysfunction of hematopoiesis.Methods Apoptosis of bone marrow hematopoietic cells (BMHCs) in 6Gy γ-irradiated mice was detected by in situ end labelling (ISEL),electron microscopy and flow cytometry.Resultls Except necrosis,the morphological characteristics of BMHCs after irradiation were consistent with those of apoptosis.The study on time-effect relationship showed that the percentage of apoptotic cells in BMHCs reached its peak (about 30%)8h after irradiation and then declined. Conclusion Apoptosis is one of important ways of death of irradiated hematopoietic cells.
, 百拇医药
Key words Hematopoietic cells Apoptosis Irradiation
经典的放射生物学把射线损伤后细胞的死亡分为间期死亡和增殖性死亡。由于骨髓造血细胞是辐射敏感细胞,而射线是诱导细胞凋亡的一个确定性因素,所以自凋亡的概念提出后,研究凋亡在射线损伤造血功能中的作用已越来越受到重视。一些以造血细胞系等为模型的离体实验证实放射损伤后凋亡是造血细胞的一个主要死亡方式[1,2]。本实验用多种凋亡特异的检测方法,研究凋亡与小鼠骨髓造血细胞在体放射损伤的关系,探讨凋亡在射线所致造血功能抑制中的作用。
1 材料和方法
1.1 动物及分组:选用雄性健康昆明系小鼠,体重20~25g,随机分为对照组和6Gy射线损伤组,于照后4,8,12,24和48小时五个时相点取材,每组动物12只。
, 百拇医药 1.2 致伤方法:用60Coγ射线按所需剂量单次全身照射,照射剂量率为0.67Gy/min。照后小鼠饮食条件如常。
1.3 形态学标本制作:股骨经脱钙和石蜡包埋,切片行HE染色。骨髓细胞涂片行瑞氏姬姆萨染色。骨髓细胞用3%戊二醛固定,按常规制作透射电镜样本。
1.4 采用原位末端脱氧核糖核酸转移酶标记法(ISEL)标记凋亡细胞:先后用甲醛和70%乙醇固定骨髓单个核细胞,取1×105~106个细胞于微型离心管中,在末端脱氧核糖核酸转移酶(TdT)作用下,把生物素化的dUTP结合于DNA断端的3'-OH上,用FITC标记的抗生物素(Nusse M教授惠赠,Oberschlei Bheim,Germany)显示阳性结果,PI配染,荧光显微镜下观察。
1.5 流式细胞仪检测细胞凋亡:骨髓单个核细胞经乙醇固定、破膜、HBSS(按HBSS:磷酸盐-枸橼酸缓冲液=1∶0.5)处理和PI染色后,用流式细胞仪检测,结果用Lysis II程序分析。DNA含量用道数表示。
, 百拇医药
1.6 统计学方法:单因素方差分析,以P<0.05为统计学意义显著。
2 结果
2.1 骨髓的组织学改变:正常骨髓造血细胞较均匀地分布在骨髓腔中,可以清楚地看到造血岛的细胞呈团状分布。照后4小时,可以看到异常的细胞分裂相,细胞间有少许细胞碎片。照后12小时,充血明显,有局灶性出血和间质水肿,血窦结构紊乱,细胞碎片随处可见。照后24小时骨髓造血细胞明显减少,每见吞噬细胞吞噬细胞碎片和整个细胞的现象,死亡细胞的碎片大部分被清除。照后48小时,骨髓腔出血明显,可见零星造血细胞和细胞碎片。
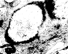
2.2 骨髓造血细胞的形态学改变:瑞氏姬姆萨染色的骨髓涂片显示,射线损伤后造血细胞的形态学改变,主要有细胞空泡变,染色质浓缩,细胞核畸型化。细胞核呈着色较深的团块状固缩、碎裂,形成膜结构包围部分细胞核和细胞质的细胞碎片,即凋亡小体(图1)。电镜下除了可见光镜的改变外,还可见损伤细胞的细胞膜或突起减少或起皱、发泡样改变,胞浆中有大小不等的空泡。细胞质内可见髓鞘样变性,线粒体和内质网的结构尚好(图2)。核仁边移,染色质浓缩成团块样(图3),或边缘化,形成环状或新月体样结构(图4)。晚期可见细胞核碎裂,碎裂的细胞核有较完整的核膜结构包裹(图5)。凋亡小体可被其他细胞吞噬。
, http://www.100md.com
图1 凋亡细胞碎裂,形成凋亡小体,凋亡小体由细胞膜包裹
细胞质和细胞核成分而成 Wright-Giemas×500
图2 凋亡早期细胞膜发泡样改变,细胞质广泛空泡形成和髓鞘样变性TEM×8,000
图3 染色体浓集,呈团块样,细胞质亦浓缩TEM×8,000
图4 染色质边集,形成环状,线粒体和内质网结构尚完好TEM×20,000
, http://www.100md.com
图5 凋亡晚期细胞核发生碎裂,碎裂的细胞核有较完整
的核膜结构包裹,染色质呈浓缩状TEM×15,000
2.3 ISEL法标记凋亡的造血细胞:DNA的广泛降解是凋亡的一个特征性表现,可以用标记其3’-OH的方法检测凋亡细胞,这一方法在形态学上得到普遍应用,并作为确认凋亡细胞的一个可靠而直接的方法[3]。镜下可见凋亡细胞的细胞核有很强的黄绿荧光,正常细胞核呈红色。凋亡细胞的核可以是畸型的和碎裂的,但也有核形态近于正常细胞的。该方法很好地显示了凋亡小体的存在,而且清楚地显示了凋亡小体被其他细胞所吞噬(图6)。
图6 发生核碎裂的凋亡细胞和被吞噬的凋亡小体(亮荧光)ISEL×500
2.4 射线诱导骨髓细胞凋亡的时效关系:在流式细胞仪的DNA含量直方图上,凋亡细胞出现在G0峰之前,称为亚G0峰[4],它反映凋亡的发生率(图7)。我们发现正常骨髓细胞发生凋亡的概率是6.85%。从剂量上看,照后4小时,射线诱导凋亡的发生率明显高于对照组:照后8小时达峰值;照后48小时显著高于对照组。
, 百拇医药
图7 射线诱导骨髓细胞凋亡的流式细胞仪检测结果
左图为凋亡细胞(AP)位于DNA含量直方图的亚G0峰; 右图为6Gy射线诱导凋亡的时效关系
3 讨论
由于造血细胞是一个增殖活跃的细胞群,首当其冲受射线损伤。放射损伤后,造血功能障碍的主要原因之一,就是射线杀伤了赖以维持造血功能的造血干祖细胞。经典的放射生物学把射线损伤后细胞的死亡分为间期死亡和增殖性死亡,而一些体外的研究结果显示这两种形式的细胞死亡均与凋亡有密切的关系[5]。我们观察到至少在照后4小时就出现造血细胞的破坏,多数细胞核碎片着色深。照后12小时,细胞破坏广泛,碎片随处可见,吞噬活跃,有的整个损伤细胞被吞噬。照后24小时细胞碎片被清除。除了以细胞水肿和崩解为特征的细胞坏死之外,我们观察到了着色很深的细胞核碎片,提示这些细胞是先有染色质的浓集,而后细胞发生碎裂,形成细胞碎片。这些细胞碎片由细胞膜包裹细胞核和细胞质成分,此即典型的凋亡小体。电镜下所见的造血细胞染色质边集,形成环状或新月体状的高密度区,也是凋亡细胞的特征之一。ISEL标记的凋亡细胞和凋亡小体证实了上述观察结果,同时,骨髓细胞DNA电泳结果(另文发表)也与之符合。
, http://www.100md.com
进一步,我们用流式细胞仪定量地检测6Gy射线损伤后骨髓细胞凋亡的时效关系。照后8小时细胞凋亡发生率最高,24小时有所下降,也就是说,我们只看到了峰值,而不是高台(plateau)。这与离体实验所见的细胞凋亡发生率持续上升趋势或维持在高台水平等表现不同[2]。我们认为,此差异乃在体清除机制的作用所致。在形态学观察到照后24小时细胞碎片已基本被清除,每见细胞碎片,甚至有的整个细胞被吞噬,说明此时吞噬活动非常活跃,支持上述观点。本实验结果显示,细胞凋亡是放射损伤后骨髓造血细胞死亡的主要途径之一,由于存在在体清除体制,凋亡的发生率有一个升高—降低过程。
参考文献
1 Radford IR,Murphy TK,Ellis SL.Radiation response of mouse lymphoid and myeloid cell lines.Part II.Apoptotic death is shown by all lines examined.Int J Radiat Biol, 1994;65:217.
, http://www.100md.com
2 Szumiel I.Ionizing radiation-induced cell death.Int J Radiat Biol, 1994,66:329.
3 Sgonc R,Wick G.Methods for the detection of apoptosis.Int Arch Allgergy Immunol, 1994, 105:327.
4 Telford WG,King LE,Fraker PJ.Rapid quantitation of apoptosis in pure and heterogeneous cell population using flow cytometry.J Immunol Methods, 1994,172:1.
5 Tauchi H,Sawada S.Analysis of mitotic cell death caused by radiation in mouse leukaemia L5178Y cells:apoptosis is the ultimate form of cell death following mitotic failure.Int J Radiat Biol, 1994, 65:449.
(收稿:1997-12-25 修回:1998-03-18), 百拇医药
单位:邹仲敏 罗成基 (重庆,第三军医大学防原医学教研室 400038); 孙慧勤 (病理学教研室)
关键词:造血细胞;细胞凋亡;辐照
中华放射医学与防护杂志980607亡
目的 研究凋亡在射线损伤造血功能中的作用。方法 用原位末端标记(ISEL)、电镜技术和流式细胞术,研究6Gyγ射线照射后小鼠骨髓造血细胞(BMHCs)的凋亡。结果 在体射线损伤后,除细胞坏死外,骨髓造血细胞的形态学变化还与凋亡的特点相符。时效关系的研究显示射线照射后8小时BMHC凋亡发生率达最高水平(约30%),之后有所下降。结论 射线损伤造血功能的主要途径之一是诱导细胞发生凋亡。
6Gyγ-irradiation induces apoptosis of bone marrow hematopoietic cells.
, http://www.100md.com
Zou Zhongmin,Sun Huiqin,Luo Chengji. Department of Radiation Medicine,Third Militury Medical University,Chongqing 400038,China.
Objective To study the role of apoptosis in radiation-induced dysfunction of hematopoiesis.Methods Apoptosis of bone marrow hematopoietic cells (BMHCs) in 6Gy γ-irradiated mice was detected by in situ end labelling (ISEL),electron microscopy and flow cytometry.Resultls Except necrosis,the morphological characteristics of BMHCs after irradiation were consistent with those of apoptosis.The study on time-effect relationship showed that the percentage of apoptotic cells in BMHCs reached its peak (about 30%)8h after irradiation and then declined. Conclusion Apoptosis is one of important ways of death of irradiated hematopoietic cells.
, 百拇医药
Key words Hematopoietic cells Apoptosis Irradiation
经典的放射生物学把射线损伤后细胞的死亡分为间期死亡和增殖性死亡。由于骨髓造血细胞是辐射敏感细胞,而射线是诱导细胞凋亡的一个确定性因素,所以自凋亡的概念提出后,研究凋亡在射线损伤造血功能中的作用已越来越受到重视。一些以造血细胞系等为模型的离体实验证实放射损伤后凋亡是造血细胞的一个主要死亡方式[1,2]。本实验用多种凋亡特异的检测方法,研究凋亡与小鼠骨髓造血细胞在体放射损伤的关系,探讨凋亡在射线所致造血功能抑制中的作用。
1 材料和方法
1.1 动物及分组:选用雄性健康昆明系小鼠,体重20~25g,随机分为对照组和6Gy射线损伤组,于照后4,8,12,24和48小时五个时相点取材,每组动物12只。
, 百拇医药 1.2 致伤方法:用60Coγ射线按所需剂量单次全身照射,照射剂量率为0.67Gy/min。照后小鼠饮食条件如常。
1.3 形态学标本制作:股骨经脱钙和石蜡包埋,切片行HE染色。骨髓细胞涂片行瑞氏姬姆萨染色。骨髓细胞用3%戊二醛固定,按常规制作透射电镜样本。
1.4 采用原位末端脱氧核糖核酸转移酶标记法(ISEL)标记凋亡细胞:先后用甲醛和70%乙醇固定骨髓单个核细胞,取1×105~106个细胞于微型离心管中,在末端脱氧核糖核酸转移酶(TdT)作用下,把生物素化的dUTP结合于DNA断端的3'-OH上,用FITC标记的抗生物素(Nusse M教授惠赠,Oberschlei Bheim,Germany)显示阳性结果,PI配染,荧光显微镜下观察。
1.5 流式细胞仪检测细胞凋亡:骨髓单个核细胞经乙醇固定、破膜、HBSS(按HBSS:磷酸盐-枸橼酸缓冲液=1∶0.5)处理和PI染色后,用流式细胞仪检测,结果用Lysis II程序分析。DNA含量用道数表示。
, 百拇医药
1.6 统计学方法:单因素方差分析,以P<0.05为统计学意义显著。
2 结果
2.1 骨髓的组织学改变:正常骨髓造血细胞较均匀地分布在骨髓腔中,可以清楚地看到造血岛的细胞呈团状分布。照后4小时,可以看到异常的细胞分裂相,细胞间有少许细胞碎片。照后12小时,充血明显,有局灶性出血和间质水肿,血窦结构紊乱,细胞碎片随处可见。照后24小时骨髓造血细胞明显减少,每见吞噬细胞吞噬细胞碎片和整个细胞的现象,死亡细胞的碎片大部分被清除。照后48小时,骨髓腔出血明显,可见零星造血细胞和细胞碎片。
2.2 骨髓造血细胞的形态学改变:瑞氏姬姆萨染色的骨髓涂片显示,射线损伤后造血细胞的形态学改变,主要有细胞空泡变,染色质浓缩,细胞核畸型化。细胞核呈着色较深的团块状固缩、碎裂,形成膜结构包围部分细胞核和细胞质的细胞碎片,即凋亡小体(图1)。电镜下除了可见光镜的改变外,还可见损伤细胞的细胞膜或突起减少或起皱、发泡样改变,胞浆中有大小不等的空泡。细胞质内可见髓鞘样变性,线粒体和内质网的结构尚好(图2)。核仁边移,染色质浓缩成团块样(图3),或边缘化,形成环状或新月体样结构(图4)。晚期可见细胞核碎裂,碎裂的细胞核有较完整的核膜结构包裹(图5)。凋亡小体可被其他细胞吞噬。
, http://www.100md.com
图1 凋亡细胞碎裂,形成凋亡小体,凋亡小体由细胞膜包裹
细胞质和细胞核成分而成 Wright-Giemas×500
图2 凋亡早期细胞膜发泡样改变,细胞质广泛空泡形成和髓鞘样变性TEM×8,000
图3 染色体浓集,呈团块样,细胞质亦浓缩TEM×8,000
图4 染色质边集,形成环状,线粒体和内质网结构尚完好TEM×20,000
, http://www.100md.com
图5 凋亡晚期细胞核发生碎裂,碎裂的细胞核有较完整
的核膜结构包裹,染色质呈浓缩状TEM×15,000
2.3 ISEL法标记凋亡的造血细胞:DNA的广泛降解是凋亡的一个特征性表现,可以用标记其3’-OH的方法检测凋亡细胞,这一方法在形态学上得到普遍应用,并作为确认凋亡细胞的一个可靠而直接的方法[3]。镜下可见凋亡细胞的细胞核有很强的黄绿荧光,正常细胞核呈红色。凋亡细胞的核可以是畸型的和碎裂的,但也有核形态近于正常细胞的。该方法很好地显示了凋亡小体的存在,而且清楚地显示了凋亡小体被其他细胞所吞噬(图6)。
图6 发生核碎裂的凋亡细胞和被吞噬的凋亡小体(亮荧光)ISEL×500
2.4 射线诱导骨髓细胞凋亡的时效关系:在流式细胞仪的DNA含量直方图上,凋亡细胞出现在G0峰之前,称为亚G0峰[4],它反映凋亡的发生率(图7)。我们发现正常骨髓细胞发生凋亡的概率是6.85%。从剂量上看,照后4小时,射线诱导凋亡的发生率明显高于对照组:照后8小时达峰值;照后48小时显著高于对照组。
, 百拇医药
图7 射线诱导骨髓细胞凋亡的流式细胞仪检测结果
左图为凋亡细胞(AP)位于DNA含量直方图的亚G0峰; 右图为6Gy射线诱导凋亡的时效关系
3 讨论
由于造血细胞是一个增殖活跃的细胞群,首当其冲受射线损伤。放射损伤后,造血功能障碍的主要原因之一,就是射线杀伤了赖以维持造血功能的造血干祖细胞。经典的放射生物学把射线损伤后细胞的死亡分为间期死亡和增殖性死亡,而一些体外的研究结果显示这两种形式的细胞死亡均与凋亡有密切的关系[5]。我们观察到至少在照后4小时就出现造血细胞的破坏,多数细胞核碎片着色深。照后12小时,细胞破坏广泛,碎片随处可见,吞噬活跃,有的整个损伤细胞被吞噬。照后24小时细胞碎片被清除。除了以细胞水肿和崩解为特征的细胞坏死之外,我们观察到了着色很深的细胞核碎片,提示这些细胞是先有染色质的浓集,而后细胞发生碎裂,形成细胞碎片。这些细胞碎片由细胞膜包裹细胞核和细胞质成分,此即典型的凋亡小体。电镜下所见的造血细胞染色质边集,形成环状或新月体状的高密度区,也是凋亡细胞的特征之一。ISEL标记的凋亡细胞和凋亡小体证实了上述观察结果,同时,骨髓细胞DNA电泳结果(另文发表)也与之符合。
, http://www.100md.com
进一步,我们用流式细胞仪定量地检测6Gy射线损伤后骨髓细胞凋亡的时效关系。照后8小时细胞凋亡发生率最高,24小时有所下降,也就是说,我们只看到了峰值,而不是高台(plateau)。这与离体实验所见的细胞凋亡发生率持续上升趋势或维持在高台水平等表现不同[2]。我们认为,此差异乃在体清除机制的作用所致。在形态学观察到照后24小时细胞碎片已基本被清除,每见细胞碎片,甚至有的整个细胞被吞噬,说明此时吞噬活动非常活跃,支持上述观点。本实验结果显示,细胞凋亡是放射损伤后骨髓造血细胞死亡的主要途径之一,由于存在在体清除体制,凋亡的发生率有一个升高—降低过程。
参考文献
1 Radford IR,Murphy TK,Ellis SL.Radiation response of mouse lymphoid and myeloid cell lines.Part II.Apoptotic death is shown by all lines examined.Int J Radiat Biol, 1994;65:217.
, http://www.100md.com
2 Szumiel I.Ionizing radiation-induced cell death.Int J Radiat Biol, 1994,66:329.
3 Sgonc R,Wick G.Methods for the detection of apoptosis.Int Arch Allgergy Immunol, 1994, 105:327.
4 Telford WG,King LE,Fraker PJ.Rapid quantitation of apoptosis in pure and heterogeneous cell population using flow cytometry.J Immunol Methods, 1994,172:1.
5 Tauchi H,Sawada S.Analysis of mitotic cell death caused by radiation in mouse leukaemia L5178Y cells:apoptosis is the ultimate form of cell death following mitotic failure.Int J Radiat Biol, 1994, 65:449.
(收稿:1997-12-25 修回:1998-03-18), 百拇医药