肾上腺腺瘤与转移瘤的CT鉴别诊断
作者:王东 熊明辉 喻敏 张挽时 徐家兴
单位:100036 北京,解放军空军总医院CT室
关键词:肾上腺肿瘤;肿瘤转移;体层摄影术,X线计算机
中华放射学杂志980613.htm 【摘要】 目的 探讨CT对肾上腺腺瘤与转移瘤的鉴别诊断价值。方法 109例共130个肾上腺腺瘤和转移瘤,分别观察肿瘤的大小、边界、内部结构及其与同侧肾上腺的关系,测量肿瘤的平扫和增强后CT值及增强程度,20例做了像素矩阵图分析,应用接受器工作特性(ROC)曲线对结果进行分析。结果 肿瘤平扫CT值的ROC曲线下面积是0.90±0.05,明显大于增强后CT值(0.81±0.04)、增强程度(0.71±0.08)和肿瘤大小(0.80±0.04)的ROC曲线下面积;以肿瘤直径≤3.0 cm,密度均匀,平扫CT值≤20HU,增强后CT值≤35 HU,增强程度≤20 HU为标准,诊断腺瘤的敏感性分别是86%、85%、88%、76%、和74%,特异性分别是68%、69%、90%、74%和59%;肿瘤与肾上腺相连(68%)、平扫CT值<0 HU、CT像素矩阵图上有轻度负CT值区域只见于腺瘤,边界模糊或(和)侵犯周围结构、呈不规则厚环状强化是转移瘤的特征。全组总体符合率为93%。结论 综合分析肿瘤的各种CT征象,CT能鉴别绝大多数肾上腺腺瘤和转移瘤。
, 百拇医药
The role of CT in differentiation of adrenal adenomas from metastases Wang Dong, Xiong Minghui, Yu Min, et al. Department of Radiology, Air Force General Hospital, Beijing 100036
【Abstract】 Purpose To evaluate the diagnostic efficacy of CT in differentiating adrenal adenoma from metastases. Methods 109 patients with 130 adrenal adenomas and metastases were analyzed. Tumor size, margin, internal structure and the relation of the tumor to the adrenal gland were investigated, both precontrast and postcontrast CT attenuation values of the tumor were measured and the enhanced degree was calculated. CT pixel mapping of the tumor was done in 20 patients. Results were analyzed by using ROC curve. Results The area under the ROC curve for precontrast CT attenuation values (0.90 ± 0.05) was significantly larger than that for postcontrast CT attenuation values (0.81 ± 0.04), enhanced degree (0.71±0.08) and tumor sizes (0.80 ± 0.04). With a threshold of tumor size ≤3.0 cm, hemogeneity, precontrast CT attenuation value ≤ 20 HU, postcontrast CT attenuation value ≤ 35 HU or enhanced degree ≤ 20 HU, the sensitiveity for characterizing adenomas were 86%,85%,88%,76% and 74% and the specificity 68%,69%,90%,74% and 59% respectively. Connectivity with normal adrenal gland (68%), precontrast CT attenuation value <0 HU (17%), and area of slightly negative CT attenuation value on CT pixel mapping were only seen in adrenal adenomas, whereas poorly defined margin or(and) invasion of surrounding structure (28%), irreguler thick rim enhancement(24%) were characteristic of metastases. The overall correspondence rate was 93% in our group. Conclusion Most of the adrenal adenomas and metastases can be distinguished by comprehensive analysis of the CT features
, 百拇医药
【Key words】 Adrenal gland neoplasms Neoplasm metastasis Tomography, X-ray computed
CT扫描是肾上腺疾病影像诊断的主要方法之一,以往文献多侧重于对各种肾上腺肿瘤的CT征象进行分析,较少系统地研究肾上腺腺瘤与转移瘤的鉴别诊断。笔者通过对109例肾上腺腺瘤和转移瘤的各种CT征象进行综合分析,进一步探讨CT扫描对两者的鉴别诊断价值。
材料与方法
本组109例中,男75例,女34例,年龄24~79岁,平均49.2岁。病例包括肾上腺腺瘤58例,其中无功能腺瘤25例(4例发生于恶性肿瘤患者,均经手术病理证实),柯兴(Cushing)综合征腺瘤11例和原发性醛固酮症(Conn综合征)腺瘤22例,除5例无功能腺瘤随访半年以上无改变、1例Conn综合征腺瘤由临床和生化检查证实外,其他病例都经手术病理证实。转移瘤51例,4例手术病理证实,1例穿刺活检证实,其余病例经影像学随访有动态变化。转移瘤的原发肿瘤都有病理证实:肺癌28例,胃癌和肾癌各5例,肝癌、贲门癌和恶性淋巴瘤各2例,结肠癌、乳腺癌、直肠癌、食管癌、胰腺癌、恶性黑色素瘤和恶性胸膜间皮瘤各1例。
, 百拇医药
采用Picker 1200 SX或岛津SCT 4500 TF全身CT扫描机,层厚和层距5 mm或10 mm,74例同时做了增强扫描。在CT图像上分别观察肿瘤的大小、边界、内部结构及其与同侧肾上腺的关系,选择肿瘤的最大层面, 用感兴趣区(ROI)分别测量肿瘤在平扫和增强扫描上的平均CT值,并计算肿瘤的增强程度(增强后CT值减去平扫CT值),ROI覆盖肿块的1/2~2/3,但需尽量避开出血、坏死区和伪影的影响。应用接收器工作特性(ROC)曲线[1]对肿瘤的大小、平扫CT值、增强后CT值和增强程度进行分析。20例在平扫图像上对肿瘤进行了CT像素矩阵图分析,观察瘤内有无轻度负CT值区域。数据采用均数和标准差(
±s)表示,统计学处理均用t检验。
结果
肾上腺腺瘤58例59个病灶,1例累及双侧。腺瘤呈类圆形或椭圆形,边界清楚,40例肿瘤与肾上腺相连或相邻层面可见相对正常的肾上腺;肿瘤最大径0.8~6.5 cm,平均2.2±1.2 cm,其中无功能腺瘤为2.4±1.4 cm,明显大于Conn 综合征腺瘤的1.6±0.7 cm (t=2.30,P<0.05),与Cushing综合征腺瘤的2.8±1.3 cm 相近(t=0.85, P<0.05);50个腺瘤密度均匀, 9个密度不均匀。转移瘤51例共71个病灶, 20例累及双侧肾上腺,呈椭圆形或不规则形, 20个肿瘤边界模糊或(和)侵犯周围结构; 肿瘤直径1.0~11.0 cm ,平均4.7±2.5 cm,明显大于腺瘤(t=7.03,P<0.01); 49个转移瘤密度不均匀, 22个密度尚均匀。
, 百拇医药
CT平扫腺瘤的CT值-11.0~38.0 HU,平均12.1±11.8 HU,其中无功能腺瘤是11.4±10.1 HU,明显低于Cushing综合征腺瘤的23.2±7.4 HU(t=3.60,P<0.01),与Conn综合征腺瘤(8.6±10.0 HU)相似(t=0.95,P>0.05),6例无功能腺瘤和4例Conn综合征腺瘤的CT值<0 HU;转移瘤的平扫CT值4.0~76.0 HU,平均29.2±10.6 HU,明显大于腺瘤(t=8.73,P<0.01)。49例共50个腺瘤增强后CT值为10.0~71.0 HU,平均30.2±15.7 HU,25例共34个转移瘤增强后CT值是20.0~80.0 HU,平均53.2±12.9 HU,两者比较有显著性差异(t=7.08,P<0.01);腺瘤增强程度1.0~52.0 HU,平均16.4±9.4 HU,低于转移瘤的22.4 ± 8.1 HU(7.0~45.0 HU)(t=3.04,P<0.01)。8个转移瘤增强后呈不规则厚环状强化。
在CT平扫图像上,对11例腺瘤(平均CT值为4.0~38.0 HU)做了CT像素矩阵图分析,8例肿瘤内可见轻度负CT值区域(3个以上相邻的负的像素,图1~3),9例共12个转移瘤未见此征象。
, 百拇医药
肿瘤大小及三组CT值诊断肾上腺腺瘤的ROC曲线见图4,平扫CT值的曲线下面积为0.90±0.05,明显大于增强后CT值的0.81±0.04(t=16.07,P<0.01),增强程度的0.71±0.08(t=34.54,P<0.01)和肿瘤大小的0.80±0.04(t=17.86,P<0.01)。
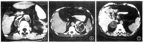
各种CT征象对肾上腺腺瘤与转移瘤鉴别诊断的价值见附表。肿瘤与相对正常的肾上腺相连、平扫CT值<0 HU或CT像素矩阵图上有轻度负CT值区域只见于腺瘤;肿瘤边界模糊或(和)侵犯周围结构、呈不规则厚环状强化则是转移瘤的特异性指标(图5,6)。本组符合一项特异性指标或四项非特异性指标以上者的总体符合率是93% (101/109),3例无功能腺瘤和2例Cushing综合征腺瘤难与恶性肿瘤区分(图7,8),3例转移瘤误为良性腺瘤。
附表 各种CT征象对肾上腺腺瘤与转移瘤鉴别诊断的价值
腺瘤(个)
, 百拇医药
(出现病灶数/病灶数)
转移瘤(个)
(出现病灶数/病灶总数)
Se
Sp
+PV
-PV
A
病灶大小≤3.0cm
51/59
23/71
0.86
0.68
, 百拇医药
0.69
0.86
0.76
平扫CT值≤20HU
52/59
7/71
0.88
0.90
0.88
0.90
0.89
增强后CT值≤35HU
38/50
, 百拇医药
9/34
0.76
0.74
0.81
0.68
0.75
增强程度≤20HU
37/50
14/34
0.74
0.59
0.73
0.61
, 百拇医药
0.68
密度均匀
50/59
22/71
0.85
0.69
0.69
0.84
0.76
累及单侧
57/58
31/51
0.98
, http://www.100md.com
0.39
0.65
0.95
0.70
与正常肾上腺相连
40/59
0
0.68
1.00
1.00
0.79
0.85
边界不清或(和)侵犯
, 百拇医药
0
20/71
0
0.72
0
0.46
0.39
周围结构
不规则厚环状强化
0
8/34
0
0.76
, http://www.100md.com
0
0.34
0.31
注:Se:敏感性;Sp:特异性;+PV:阳性预测值;-PV:阴性预测值;A:准确性;右纵栏最后三项为特异性指标
图1~3 右肾上腺无功能腺瘤。图1为CT平扫,肿瘤CT值38 HU。图2为CT增强扫描,肿瘤CT值增至44 HU。图3为CT像素矩阵图分析,瘤内有轻度负CT值区域
图4 肿瘤大小及三组CT值诊断肾上腺腺瘤的ROC曲线图讨论
肾上腺腺瘤与转移瘤的鉴别诊断具有重要的临床价值,虽然肾上腺是转移瘤的好发部位,但原发性肾上腺腺瘤的发生率也达2%~9%[2],恶性肿瘤患者中发现的肾上腺肿块仍可能是腺瘤而非转移瘤[3],本组有4例无功能腺瘤发生于癌症患者,对此类肾上腺肿块的鉴别直接影响到治疗措施的选择。
, 百拇医药
在CT图像上,肾上腺腺瘤多呈类圆或椭圆形,边界清晰,密度均匀,直径小于5.0 cm,增强后呈轻至中度强化,部分可呈网格状强化;转移瘤常累及单侧或双侧,体积较大(直径常大于5.0 cm),呈椭圆形或不规则形,边界清楚或模糊,可直接侵犯周围结构,密度多不均匀,中度至明显强化[2,4~7]。国内外学者对肾上腺腺瘤与转移瘤的CT鉴别诊断提出了许多标准[4~7],主要是依据肿瘤的CT值、大小、内部结构和增强表现进行鉴别,取得了很好的效果,但仍有部分肿瘤鉴别困难。以往的研究多侧重于一个或几个方面,较少对肾上腺腺瘤与转移瘤的各种CT征象进行全面的综合分析。
肾上腺腺瘤起源于局部肾上腺皮质,有完整的包膜,周边皮质受压,相邻肾上腺正常或呈轻度萎缩;转移瘤多发生于肾上腺髓质,早期形态无明显改变,而后弥漫性增大,逐渐破坏正常肾上腺的形态[8]。本组病例中,68%的腺瘤与肾上腺相连或邻近层面可见相对正常的肾上腺,轻度萎缩的肾上腺在CT上显示正常,部分腺瘤体积较大压迫推移邻近肾上腺,平扫两者有时不易区分,增强扫描能增加两者的密度差别,有利于残存肾上腺的显示;转移瘤中无一例可见相对正常的肾上腺结构。笔者认为肿瘤同侧相对正常的肾上腺是否存在是鉴别肾上腺腺瘤与转移瘤的可靠征象。
, 百拇医药
图5 右肾上腺无功能腺瘤。CT平扫,肿瘤与正常肾上腺相连,CT值-8 HU 图6 肺癌左肾上腺转移瘤。CT增强扫描,肿瘤呈不规则厚环状强化 图7 胃癌患者,右肾上腺肿块。CT平扫,肿瘤密度欠均匀,CT值29 HU
图8 与图7同一病例,CT增强扫描,肿瘤呈不均匀强化,CT值55 HU,手术证实为肾上腺腺瘤
应用肿瘤的CT值鉴别肾上腺腺瘤与转移瘤有很高的准确性。本组88%的腺瘤平扫CT值≤20 HU,只有7例(3例无功能腺瘤和4例Cushing综合征腺瘤)高于此值,90%的转移瘤的CT值>20 HU,准确性为89%,与文献报道相似[4~6],少数转移瘤(10%)呈较低密度与瘤内坏死明显有关。本组6例无功能腺瘤和4例Conn综合征腺瘤呈轻度负CT值,与腺瘤细胞内含较多的类脂颗粒或空泡变性有关[9],无一例转移瘤的CT值低于0 HU。笔者应用CT像素矩阵图分析发现,部分无功能腺瘤和Conn综合征腺瘤的平扫平均CT值虽大于0 HU,但其内仍可见轻度负CT值区域,转移瘤未见此征象。CT像素矩阵图能得到病变区最小的CT值,初步应用的结果提示它对鉴别腺瘤与转移瘤的敏感性和特异性高于ROI测量法,但仍有待于更大组病例的证实。应用CT像素矩阵图分析时需有3个以上相邻的负的像素,单个像素负CT值可能是伪影所致[10]。腺瘤增强后CT值和增强程度都明显低于转移瘤,但两者重叠成分较大,鉴别诊断价值不如平扫CT值,可能与部分腺瘤血供较丰富致强化明显有关。
, http://www.100md.com
本组病例中肿瘤边界模糊或(和)侵犯周围结构、呈不规则厚环状强化只见于转移瘤,累及双侧者也多见于转移瘤,与文献报道相似[4,5]。肾上腺腺瘤密度多较均匀,其体积也明显小于转移瘤,但单凭肿瘤的大小或内部结构鉴别肾上腺腺瘤与转移瘤的特异性较低。
笔者综合分析了肾上腺腺瘤与转移瘤的各种CT征象,结果显示,CT扫描对两者具有很高的鉴别诊断价值,本组病例的总体符合率为93%,4例发生于恶性肿瘤的腺瘤患者中3例诊断正确。3例无功能腺瘤和2例Cushing综合征腺瘤由于体积较大、密度不均匀、CT值>20 HU、呈不均匀强化和未见同侧正常的肾上腺而误为转移瘤,3例转移瘤则因体积较小、密度均匀而诊断为良性腺瘤。对部分诊断困难的病例,应密切结合临床,必要时需穿刺活检证实。参考文献
1 何华昌,刘颖华,朱邦英,等. 接受器工作特性(ROC)曲线概念在X线诊断工作中的应用. 中华放射学杂志, 1982, 16 : 314-316.
, 百拇医药
2 Dunnick NR, Korobkin M, Francis I. Adrenal radiology: distinguishing benign from malignant adrenal masses. AJR, 1996,167: 861-867.
3 Oliver TW Jr, Bernardino ME, Miller JI, et al. Isolated adrenal masses in nonsmall-cell bronchogenic carcinoma. Radiology, 1984, 153: 217-218.
4 Hussain S, Belldegrum A, Seltzer SE, et al. Differentiation of malignant from benign adrenal masses: predictive indices on computed tomography. AJR, 1985, 144:61-65.
, http://www.100md.com
5 Lee MJ, Hahn PF, Papanicolaou N, et al. Benign and malignant adrenal masses: CT distinction with attenuation coefficients, size, and observer analysis. Radiology, 1991, 179: 415-418.
6 Korobkin M, Brodeur FJ, Yutzy GG, et al. Differentiation of adrenal adenomas from nonadenomas using CT attenuation values. AJR, 1996, 166: 531-536.
7 张琳, 王仪生, 夏同礼, 等.肾上腺肿瘤和肿瘤样病变的表现与病理组织学类型的关系. 中华放射学杂志, 1995, 29: 57-59.
, 百拇医药
8 李维华. 肾上腺疾病. 见: 白希清,主编. 病理学. 第二版. 北京: 科学技术出版社, 1992. 889-903.
9 Miyake H, Maeda H, Tashiro M, et al. CT of adrenal tumors: frequency and clincal significance of low-attenuation lesions. AJR, 1989,152: 1005 - 1007.
10 Takahashi K, Honda M,Okubo RS, et al. CT pixel mapping in the diagnosis of small angiomyolipoma of the kidneys. J Comput Assist Tomogr, 1993, 17: 98 - 101.
(收稿:1997-10-22 修回:1997-12-26), 百拇医药
单位:100036 北京,解放军空军总医院CT室
关键词:肾上腺肿瘤;肿瘤转移;体层摄影术,X线计算机
中华放射学杂志980613.htm 【摘要】 目的 探讨CT对肾上腺腺瘤与转移瘤的鉴别诊断价值。方法 109例共130个肾上腺腺瘤和转移瘤,分别观察肿瘤的大小、边界、内部结构及其与同侧肾上腺的关系,测量肿瘤的平扫和增强后CT值及增强程度,20例做了像素矩阵图分析,应用接受器工作特性(ROC)曲线对结果进行分析。结果 肿瘤平扫CT值的ROC曲线下面积是0.90±0.05,明显大于增强后CT值(0.81±0.04)、增强程度(0.71±0.08)和肿瘤大小(0.80±0.04)的ROC曲线下面积;以肿瘤直径≤3.0 cm,密度均匀,平扫CT值≤20HU,增强后CT值≤35 HU,增强程度≤20 HU为标准,诊断腺瘤的敏感性分别是86%、85%、88%、76%、和74%,特异性分别是68%、69%、90%、74%和59%;肿瘤与肾上腺相连(68%)、平扫CT值<0 HU、CT像素矩阵图上有轻度负CT值区域只见于腺瘤,边界模糊或(和)侵犯周围结构、呈不规则厚环状强化是转移瘤的特征。全组总体符合率为93%。结论 综合分析肿瘤的各种CT征象,CT能鉴别绝大多数肾上腺腺瘤和转移瘤。
, 百拇医药
The role of CT in differentiation of adrenal adenomas from metastases Wang Dong, Xiong Minghui, Yu Min, et al. Department of Radiology, Air Force General Hospital, Beijing 100036
【Abstract】 Purpose To evaluate the diagnostic efficacy of CT in differentiating adrenal adenoma from metastases. Methods 109 patients with 130 adrenal adenomas and metastases were analyzed. Tumor size, margin, internal structure and the relation of the tumor to the adrenal gland were investigated, both precontrast and postcontrast CT attenuation values of the tumor were measured and the enhanced degree was calculated. CT pixel mapping of the tumor was done in 20 patients. Results were analyzed by using ROC curve. Results The area under the ROC curve for precontrast CT attenuation values (0.90 ± 0.05) was significantly larger than that for postcontrast CT attenuation values (0.81 ± 0.04), enhanced degree (0.71±0.08) and tumor sizes (0.80 ± 0.04). With a threshold of tumor size ≤3.0 cm, hemogeneity, precontrast CT attenuation value ≤ 20 HU, postcontrast CT attenuation value ≤ 35 HU or enhanced degree ≤ 20 HU, the sensitiveity for characterizing adenomas were 86%,85%,88%,76% and 74% and the specificity 68%,69%,90%,74% and 59% respectively. Connectivity with normal adrenal gland (68%), precontrast CT attenuation value <0 HU (17%), and area of slightly negative CT attenuation value on CT pixel mapping were only seen in adrenal adenomas, whereas poorly defined margin or(and) invasion of surrounding structure (28%), irreguler thick rim enhancement(24%) were characteristic of metastases. The overall correspondence rate was 93% in our group. Conclusion Most of the adrenal adenomas and metastases can be distinguished by comprehensive analysis of the CT features
, 百拇医药
【Key words】 Adrenal gland neoplasms Neoplasm metastasis Tomography, X-ray computed
CT扫描是肾上腺疾病影像诊断的主要方法之一,以往文献多侧重于对各种肾上腺肿瘤的CT征象进行分析,较少系统地研究肾上腺腺瘤与转移瘤的鉴别诊断。笔者通过对109例肾上腺腺瘤和转移瘤的各种CT征象进行综合分析,进一步探讨CT扫描对两者的鉴别诊断价值。
材料与方法
本组109例中,男75例,女34例,年龄24~79岁,平均49.2岁。病例包括肾上腺腺瘤58例,其中无功能腺瘤25例(4例发生于恶性肿瘤患者,均经手术病理证实),柯兴(Cushing)综合征腺瘤11例和原发性醛固酮症(Conn综合征)腺瘤22例,除5例无功能腺瘤随访半年以上无改变、1例Conn综合征腺瘤由临床和生化检查证实外,其他病例都经手术病理证实。转移瘤51例,4例手术病理证实,1例穿刺活检证实,其余病例经影像学随访有动态变化。转移瘤的原发肿瘤都有病理证实:肺癌28例,胃癌和肾癌各5例,肝癌、贲门癌和恶性淋巴瘤各2例,结肠癌、乳腺癌、直肠癌、食管癌、胰腺癌、恶性黑色素瘤和恶性胸膜间皮瘤各1例。
, 百拇医药
采用Picker 1200 SX或岛津SCT 4500 TF全身CT扫描机,层厚和层距5 mm或10 mm,74例同时做了增强扫描。在CT图像上分别观察肿瘤的大小、边界、内部结构及其与同侧肾上腺的关系,选择肿瘤的最大层面, 用感兴趣区(ROI)分别测量肿瘤在平扫和增强扫描上的平均CT值,并计算肿瘤的增强程度(增强后CT值减去平扫CT值),ROI覆盖肿块的1/2~2/3,但需尽量避开出血、坏死区和伪影的影响。应用接收器工作特性(ROC)曲线[1]对肿瘤的大小、平扫CT值、增强后CT值和增强程度进行分析。20例在平扫图像上对肿瘤进行了CT像素矩阵图分析,观察瘤内有无轻度负CT值区域。数据采用均数和标准差(
结果
肾上腺腺瘤58例59个病灶,1例累及双侧。腺瘤呈类圆形或椭圆形,边界清楚,40例肿瘤与肾上腺相连或相邻层面可见相对正常的肾上腺;肿瘤最大径0.8~6.5 cm,平均2.2±1.2 cm,其中无功能腺瘤为2.4±1.4 cm,明显大于Conn 综合征腺瘤的1.6±0.7 cm (t=2.30,P<0.05),与Cushing综合征腺瘤的2.8±1.3 cm 相近(t=0.85, P<0.05);50个腺瘤密度均匀, 9个密度不均匀。转移瘤51例共71个病灶, 20例累及双侧肾上腺,呈椭圆形或不规则形, 20个肿瘤边界模糊或(和)侵犯周围结构; 肿瘤直径1.0~11.0 cm ,平均4.7±2.5 cm,明显大于腺瘤(t=7.03,P<0.01); 49个转移瘤密度不均匀, 22个密度尚均匀。
, 百拇医药
CT平扫腺瘤的CT值-11.0~38.0 HU,平均12.1±11.8 HU,其中无功能腺瘤是11.4±10.1 HU,明显低于Cushing综合征腺瘤的23.2±7.4 HU(t=3.60,P<0.01),与Conn综合征腺瘤(8.6±10.0 HU)相似(t=0.95,P>0.05),6例无功能腺瘤和4例Conn综合征腺瘤的CT值<0 HU;转移瘤的平扫CT值4.0~76.0 HU,平均29.2±10.6 HU,明显大于腺瘤(t=8.73,P<0.01)。49例共50个腺瘤增强后CT值为10.0~71.0 HU,平均30.2±15.7 HU,25例共34个转移瘤增强后CT值是20.0~80.0 HU,平均53.2±12.9 HU,两者比较有显著性差异(t=7.08,P<0.01);腺瘤增强程度1.0~52.0 HU,平均16.4±9.4 HU,低于转移瘤的22.4 ± 8.1 HU(7.0~45.0 HU)(t=3.04,P<0.01)。8个转移瘤增强后呈不规则厚环状强化。
在CT平扫图像上,对11例腺瘤(平均CT值为4.0~38.0 HU)做了CT像素矩阵图分析,8例肿瘤内可见轻度负CT值区域(3个以上相邻的负的像素,图1~3),9例共12个转移瘤未见此征象。
, 百拇医药
肿瘤大小及三组CT值诊断肾上腺腺瘤的ROC曲线见图4,平扫CT值的曲线下面积为0.90±0.05,明显大于增强后CT值的0.81±0.04(t=16.07,P<0.01),增强程度的0.71±0.08(t=34.54,P<0.01)和肿瘤大小的0.80±0.04(t=17.86,P<0.01)。
各种CT征象对肾上腺腺瘤与转移瘤鉴别诊断的价值见附表。肿瘤与相对正常的肾上腺相连、平扫CT值<0 HU或CT像素矩阵图上有轻度负CT值区域只见于腺瘤;肿瘤边界模糊或(和)侵犯周围结构、呈不规则厚环状强化则是转移瘤的特异性指标(图5,6)。本组符合一项特异性指标或四项非特异性指标以上者的总体符合率是93% (101/109),3例无功能腺瘤和2例Cushing综合征腺瘤难与恶性肿瘤区分(图7,8),3例转移瘤误为良性腺瘤。
附表 各种CT征象对肾上腺腺瘤与转移瘤鉴别诊断的价值
腺瘤(个)
, 百拇医药
(出现病灶数/病灶数)
转移瘤(个)
(出现病灶数/病灶总数)
Se
Sp
+PV
-PV
A
病灶大小≤3.0cm
51/59
23/71
0.86
0.68
, 百拇医药
0.69
0.86
0.76
平扫CT值≤20HU
52/59
7/71
0.88
0.90
0.88
0.90
0.89
增强后CT值≤35HU
38/50
, 百拇医药
9/34
0.76
0.74
0.81
0.68
0.75
增强程度≤20HU
37/50
14/34
0.74
0.59
0.73
0.61
, 百拇医药
0.68
密度均匀
50/59
22/71
0.85
0.69
0.69
0.84
0.76
累及单侧
57/58
31/51
0.98
, http://www.100md.com
0.39
0.65
0.95
0.70
与正常肾上腺相连
40/59
0
0.68
1.00
1.00
0.79
0.85
边界不清或(和)侵犯
, 百拇医药
0
20/71
0
0.72
0
0.46
0.39
周围结构
不规则厚环状强化
0
8/34
0
0.76
, http://www.100md.com
0
0.34
0.31
注:Se:敏感性;Sp:特异性;+PV:阳性预测值;-PV:阴性预测值;A:准确性;右纵栏最后三项为特异性指标
图1~3 右肾上腺无功能腺瘤。图1为CT平扫,肿瘤CT值38 HU。图2为CT增强扫描,肿瘤CT值增至44 HU。图3为CT像素矩阵图分析,瘤内有轻度负CT值区域
图4 肿瘤大小及三组CT值诊断肾上腺腺瘤的ROC曲线图讨论
肾上腺腺瘤与转移瘤的鉴别诊断具有重要的临床价值,虽然肾上腺是转移瘤的好发部位,但原发性肾上腺腺瘤的发生率也达2%~9%[2],恶性肿瘤患者中发现的肾上腺肿块仍可能是腺瘤而非转移瘤[3],本组有4例无功能腺瘤发生于癌症患者,对此类肾上腺肿块的鉴别直接影响到治疗措施的选择。
, 百拇医药
在CT图像上,肾上腺腺瘤多呈类圆或椭圆形,边界清晰,密度均匀,直径小于5.0 cm,增强后呈轻至中度强化,部分可呈网格状强化;转移瘤常累及单侧或双侧,体积较大(直径常大于5.0 cm),呈椭圆形或不规则形,边界清楚或模糊,可直接侵犯周围结构,密度多不均匀,中度至明显强化[2,4~7]。国内外学者对肾上腺腺瘤与转移瘤的CT鉴别诊断提出了许多标准[4~7],主要是依据肿瘤的CT值、大小、内部结构和增强表现进行鉴别,取得了很好的效果,但仍有部分肿瘤鉴别困难。以往的研究多侧重于一个或几个方面,较少对肾上腺腺瘤与转移瘤的各种CT征象进行全面的综合分析。
肾上腺腺瘤起源于局部肾上腺皮质,有完整的包膜,周边皮质受压,相邻肾上腺正常或呈轻度萎缩;转移瘤多发生于肾上腺髓质,早期形态无明显改变,而后弥漫性增大,逐渐破坏正常肾上腺的形态[8]。本组病例中,68%的腺瘤与肾上腺相连或邻近层面可见相对正常的肾上腺,轻度萎缩的肾上腺在CT上显示正常,部分腺瘤体积较大压迫推移邻近肾上腺,平扫两者有时不易区分,增强扫描能增加两者的密度差别,有利于残存肾上腺的显示;转移瘤中无一例可见相对正常的肾上腺结构。笔者认为肿瘤同侧相对正常的肾上腺是否存在是鉴别肾上腺腺瘤与转移瘤的可靠征象。
, 百拇医药
图5 右肾上腺无功能腺瘤。CT平扫,肿瘤与正常肾上腺相连,CT值-8 HU 图6 肺癌左肾上腺转移瘤。CT增强扫描,肿瘤呈不规则厚环状强化 图7 胃癌患者,右肾上腺肿块。CT平扫,肿瘤密度欠均匀,CT值29 HU
图8 与图7同一病例,CT增强扫描,肿瘤呈不均匀强化,CT值55 HU,手术证实为肾上腺腺瘤
应用肿瘤的CT值鉴别肾上腺腺瘤与转移瘤有很高的准确性。本组88%的腺瘤平扫CT值≤20 HU,只有7例(3例无功能腺瘤和4例Cushing综合征腺瘤)高于此值,90%的转移瘤的CT值>20 HU,准确性为89%,与文献报道相似[4~6],少数转移瘤(10%)呈较低密度与瘤内坏死明显有关。本组6例无功能腺瘤和4例Conn综合征腺瘤呈轻度负CT值,与腺瘤细胞内含较多的类脂颗粒或空泡变性有关[9],无一例转移瘤的CT值低于0 HU。笔者应用CT像素矩阵图分析发现,部分无功能腺瘤和Conn综合征腺瘤的平扫平均CT值虽大于0 HU,但其内仍可见轻度负CT值区域,转移瘤未见此征象。CT像素矩阵图能得到病变区最小的CT值,初步应用的结果提示它对鉴别腺瘤与转移瘤的敏感性和特异性高于ROI测量法,但仍有待于更大组病例的证实。应用CT像素矩阵图分析时需有3个以上相邻的负的像素,单个像素负CT值可能是伪影所致[10]。腺瘤增强后CT值和增强程度都明显低于转移瘤,但两者重叠成分较大,鉴别诊断价值不如平扫CT值,可能与部分腺瘤血供较丰富致强化明显有关。
, http://www.100md.com
本组病例中肿瘤边界模糊或(和)侵犯周围结构、呈不规则厚环状强化只见于转移瘤,累及双侧者也多见于转移瘤,与文献报道相似[4,5]。肾上腺腺瘤密度多较均匀,其体积也明显小于转移瘤,但单凭肿瘤的大小或内部结构鉴别肾上腺腺瘤与转移瘤的特异性较低。
笔者综合分析了肾上腺腺瘤与转移瘤的各种CT征象,结果显示,CT扫描对两者具有很高的鉴别诊断价值,本组病例的总体符合率为93%,4例发生于恶性肿瘤的腺瘤患者中3例诊断正确。3例无功能腺瘤和2例Cushing综合征腺瘤由于体积较大、密度不均匀、CT值>20 HU、呈不均匀强化和未见同侧正常的肾上腺而误为转移瘤,3例转移瘤则因体积较小、密度均匀而诊断为良性腺瘤。对部分诊断困难的病例,应密切结合临床,必要时需穿刺活检证实。参考文献
1 何华昌,刘颖华,朱邦英,等. 接受器工作特性(ROC)曲线概念在X线诊断工作中的应用. 中华放射学杂志, 1982, 16 : 314-316.
, 百拇医药
2 Dunnick NR, Korobkin M, Francis I. Adrenal radiology: distinguishing benign from malignant adrenal masses. AJR, 1996,167: 861-867.
3 Oliver TW Jr, Bernardino ME, Miller JI, et al. Isolated adrenal masses in nonsmall-cell bronchogenic carcinoma. Radiology, 1984, 153: 217-218.
4 Hussain S, Belldegrum A, Seltzer SE, et al. Differentiation of malignant from benign adrenal masses: predictive indices on computed tomography. AJR, 1985, 144:61-65.
, http://www.100md.com
5 Lee MJ, Hahn PF, Papanicolaou N, et al. Benign and malignant adrenal masses: CT distinction with attenuation coefficients, size, and observer analysis. Radiology, 1991, 179: 415-418.
6 Korobkin M, Brodeur FJ, Yutzy GG, et al. Differentiation of adrenal adenomas from nonadenomas using CT attenuation values. AJR, 1996, 166: 531-536.
7 张琳, 王仪生, 夏同礼, 等.肾上腺肿瘤和肿瘤样病变的表现与病理组织学类型的关系. 中华放射学杂志, 1995, 29: 57-59.
, 百拇医药
8 李维华. 肾上腺疾病. 见: 白希清,主编. 病理学. 第二版. 北京: 科学技术出版社, 1992. 889-903.
9 Miyake H, Maeda H, Tashiro M, et al. CT of adrenal tumors: frequency and clincal significance of low-attenuation lesions. AJR, 1989,152: 1005 - 1007.
10 Takahashi K, Honda M,Okubo RS, et al. CT pixel mapping in the diagnosis of small angiomyolipoma of the kidneys. J Comput Assist Tomogr, 1993, 17: 98 - 101.
(收稿:1997-10-22 修回:1997-12-26), 百拇医药