张力性颅内气囊肿一例
作者:白林 曾庆玉 范占明 刘钟生
单位:
关键词:
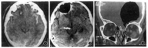
患者 男 患者 男,26岁。车祸后右眼视物不见1个月,伴头痛入院。体检:右眼视神经萎缩。直接光反射消失,间接光反射存在。于外伤当日CT平扫示:右侧额骨骨折,右侧额叶脑挫裂伤,外侧裂出血,但未见颅内积气(图1)。给以间断鼻腔吸氧,10日后头颅CT示:右侧额部气囊肿形成,大小约2.0 cm×2.0 cm×3.0 cm(图2)。右侧筛窦骨壁不规则骨折线,右侧视神经管内侧骨壁骨折。1个月后头颅CT示:右侧额部气囊肿增大为5.5 cm×5.5 cm×6.0 cm,与右侧筛窦相通(图3)。CT诊断:右侧额部硬膜下气囊肿。右侧筛窦骨壁骨折,右侧视神经管内侧壁骨折,右侧额骨骨折。行右侧额骨钻孔颅内积气引流术,术后气囊体积明显减小。经鼻腔填塞油纱条和明胶海绵,气囊逐渐减小至消失。
图1 外伤当日CT平扫:双侧额叶不均匀混杂密度,可见灶性高密度影,左侧外侧裂内亦见高密度影充盈。考虑脑组织挫裂伤,未见颅内积气征象 图2 外伤10日后CT示:右侧额部有一2.0 cm×2.0 cm×3.0 cm的气囊肿,未见头皮下软组织内积气及与外界交通 图3 外伤后1个月高分辨率CT冠状扫描:清晰显示筛窦骨壁骨折。右侧额部气囊增大为5.5 cm×5.5 cm×6.0 cm,与右侧筛窦连通
讨论 急性和慢性颅内气囊多见于外伤后颅底骨折合并硬膜撕裂与鼻窦直接交通所形成的张力性气囊。张力性气囊通常无神经系统症状,随着气囊体积的增大,可出现头痛,这是继发颅内压增高引起的。张力性气囊的发生机理是
作者单位:100028 北京,煤炭部总医院影像科
一个球-瓣(ball-valve)机制的作用。颅内张力性气囊的产生是在一定的压力下气体不断地进入颅内。颅内气囊与外界存在压力梯度,气体自压力高处进入低处(颅内压力低)。张力性气囊产生的另一个条件是颅内外有交通通道。常常是已骨折的鼻窦,典型情况伴有硬膜的撕裂。薄层高分辨率CT显示筛窦骨壁骨折及筛窦与气囊相通的关系上具有优势。鼻窦内压力可以在咳嗽或其他过度受力情况下瞬时增加。本例有外伤后间断鼻腔吸氧史,即过度加压,气体自骨折的筛窦进入颅内气囊,导致气囊体积逐渐增大。经鼻腔填塞术后,残留气体量明显减少,证实了交通通道的存在。 (收稿:1997-09-29 修回:1997-12-05), 百拇医药
单位:
关键词:
患者 男 患者 男,26岁。车祸后右眼视物不见1个月,伴头痛入院。体检:右眼视神经萎缩。直接光反射消失,间接光反射存在。于外伤当日CT平扫示:右侧额骨骨折,右侧额叶脑挫裂伤,外侧裂出血,但未见颅内积气(图1)。给以间断鼻腔吸氧,10日后头颅CT示:右侧额部气囊肿形成,大小约2.0 cm×2.0 cm×3.0 cm(图2)。右侧筛窦骨壁不规则骨折线,右侧视神经管内侧骨壁骨折。1个月后头颅CT示:右侧额部气囊肿增大为5.5 cm×5.5 cm×6.0 cm,与右侧筛窦相通(图3)。CT诊断:右侧额部硬膜下气囊肿。右侧筛窦骨壁骨折,右侧视神经管内侧壁骨折,右侧额骨骨折。行右侧额骨钻孔颅内积气引流术,术后气囊体积明显减小。经鼻腔填塞油纱条和明胶海绵,气囊逐渐减小至消失。
图1 外伤当日CT平扫:双侧额叶不均匀混杂密度,可见灶性高密度影,左侧外侧裂内亦见高密度影充盈。考虑脑组织挫裂伤,未见颅内积气征象 图2 外伤10日后CT示:右侧额部有一2.0 cm×2.0 cm×3.0 cm的气囊肿,未见头皮下软组织内积气及与外界交通 图3 外伤后1个月高分辨率CT冠状扫描:清晰显示筛窦骨壁骨折。右侧额部气囊增大为5.5 cm×5.5 cm×6.0 cm,与右侧筛窦连通
讨论 急性和慢性颅内气囊多见于外伤后颅底骨折合并硬膜撕裂与鼻窦直接交通所形成的张力性气囊。张力性气囊通常无神经系统症状,随着气囊体积的增大,可出现头痛,这是继发颅内压增高引起的。张力性气囊的发生机理是
作者单位:100028 北京,煤炭部总医院影像科
一个球-瓣(ball-valve)机制的作用。颅内张力性气囊的产生是在一定的压力下气体不断地进入颅内。颅内气囊与外界存在压力梯度,气体自压力高处进入低处(颅内压力低)。张力性气囊产生的另一个条件是颅内外有交通通道。常常是已骨折的鼻窦,典型情况伴有硬膜的撕裂。薄层高分辨率CT显示筛窦骨壁骨折及筛窦与气囊相通的关系上具有优势。鼻窦内压力可以在咳嗽或其他过度受力情况下瞬时增加。本例有外伤后间断鼻腔吸氧史,即过度加压,气体自骨折的筛窦进入颅内气囊,导致气囊体积逐渐增大。经鼻腔填塞术后,残留气体量明显减少,证实了交通通道的存在。 (收稿:1997-09-29 修回:1997-12-05), 百拇医药