兔膝内侧副韧带修复及内侧半月板切除对膝骨关节病发病过程的影响
作者:邱 平 于长隆 敖英芳 赵京元 刘燕
单位:邱 平 (山西医科大学第二医院康复医学科(太原030001));长隆 敖英芳 赵京元 刘燕 (北京医科大学运动医学研究所)
关键词:内侧副韧带;半月板切除;骨关节病
兔膝内侧副韧带修复及内侧半月板切除 对膝骨关节病发病过程的影响 提要 通过经典的建立膝骨关节病运动模型的方式,设计了在切除内侧半月板的情况下,将内侧副韧带(MCL)切断和切断后再缝合恢复张力的两组动物模型。观察术后5、10、15、20天,关节软骨的组织学、组织化学及扫描电镜下形态学方面的变化,旨在探讨切除内侧半月板时,恢复MCL的张力对膝骨关节病(OA)发病过程的影响。实验结果显示,MCL切断无张力组和MCL缝合有张力组于术后5天,在光镜下,关节软骨即出现某此变化。包括软骨细胞排列紊乱,增生层有软骨细胞簇集现象、簇集细胞的周围甲苯胺兰深染。增生层和肥大层一些软骨陷窝有细胞消失现象,其周围淡染。术后5、10天扫描电镜观察,两实验组关节软骨表面未见异常改变。术后15、20天,光镜下,两实验组关节软骨退行性改变进一步加重,扫描电镜观察,两实验组软骨表面正常结构消失、胶原纤维断裂,软骨显微骨折、出现部分软骨细胞裸露及细胞消失现象。韧带无张力组及有张力组,在软骨退行性变化方面未见明显程度上的差别。结果表明,只要兔半月板切除,无论MCL张力存在与否,都不能阻止OA的产生,亦不能减轻其发生的程度。
, 百拇医药
The Influence of Repair of Knee Medial Collateral ligament(MCL) and Medical Meniscectomy
on Pathogenesis Process of Osteoarthritis(OA) in Rabbits
Qiu ping
Department of rehabilitation medicine,2nd Hospital of Sanxi Medical University
Yu Changlong,Ao Yingfang,Zhao Jingyuan,Liu Yan
Institute of Sports Medicine,Beijing Medical University
, http://www.100md.com
Two groups of rabbits were operated for the purpose of observing the influence of repair of knee MCL and medial meniscectomy on the pathogenesis process of OA.Both groups accepted medial meniscectomy and in one group,MCL were severed and re-sutured for restoration of tension;in another,as the classical model for OA in rabbits,MCL were excised.After 5,10,15 and 20 days of operation,articular cartilage,synovium and medial capsule including MCL were harvested for examination histo-and histochemically,cartilage specimens were also processed for scanning electron microscopical(SEM) exam.Results showed that as early as 5 days after operation,some changes have already existed in cartilage,including disorder of chondrocytes arrangement;cell clusters around with strong staining by tuiluding blue in proliferation zone;local destaining area with cell disappearance in some lacunae in proliferation and hypertrophic zone.However,SEM remained unchanged on the surface of cartilage in 5 and 10 days after operation.15-20 days after operation,microscopic specimens showed typical OA changes including chondrocytes death with empty lacunae;cell clusters around with strong positive staning by tuiluding blue;enlarged destaining area proliferated synovial cells;disarranged and degenerated collagen fibres.SEM showed destroy of cartilage surface,rupture of collagen fibres,micro fracture of cartilage from surface down to deep zone with empty lacunae.There were no difference between two groups.Our results suggested,once the medial meniscus removed,no matter how the tension existed due to MCL,development of OA is inevitable.The tension from medial side might not help to prevent the pathogenesis process of OA,nor decrease the extent of severity.
, http://www.100md.com
由于解剖和功能的特点,膝关节是运动外伤中最易损伤的关节[1]。膝关节内侧副韧带(以下简称MCL)断裂合并内侧半月板损伤是膝关节常见的运动创伤之一。
半月板撕裂可造成膝关节软骨的损伤,最终导致膝骨关节病的发生已多有报告[2、3、4]。其发生的原因与半月板的功能密切相关。正常情况下,半月板填充于股胫骨之间,使股胫关节更加吻合,增加膝关节的稳定性,缓冲股胫关节的撞击力,保护股骨髁及胫骨平台的关节软骨面[1]。半月板撕裂后,由原来对股骨髁及胫骨平台相对关节软骨的保护作用,变为对它的磨损作用,使关节软骨发生软化,龟裂,剥离等变化[2]。MCL是对抗膝关节外翻及胫骨外旋应的重要静态稳定结构[1]。当胫骨过度外旋,特别是伴有外翻应力时,MCL可发生断裂。由于MCL深层与内侧半月板边缘相连,当MCL在遭受较大外力发生断裂时,往往合并内侧半月板的损伤。这种联合损伤在临床上非常多见。MCL断裂合并内侧半月板损伤加重了膝关节的不稳定性。运动时,股胫膑关节活动轨迹发生改变,这种改变可引起相应关节软骨区的不合槽运动。久之,可使相应区域关节软骨发生损害[1]。
, 百拇医药
目前,临床上对急性MCL断裂合并内侧半月板撕裂的治疗,多主张行MCL修补加内侧半月板切除,这几乎已形成模式。手术的目的是尽量恢复膝关节稳定性,去除撕裂的半月板对关节软骨的磨损,改善膝关节的功能。但MCL修复加内侧半月板切除,能否阻止膝骨关节病的发生,或能减轻其发生的程度,尚未见到有文献报道。
经典动物实验,以兔为运动模型,切除内侧半月板及切断MCL,可导致骨关节病的发生[5]。这种情非常类似于临床MCL断裂和半月板切除的状况。在此基础上,我们设计了在切除内侧半月板的情况下,将MCL切断和切断后再缝合修复两组动物模型。观察在内侧半月板切除的情况下,恢复MCL张力对防止膝关节骨关节病产生的影响程度,目的在于为膝关节此类联合损伤的康复提供一定的实验依据。
1 实验方法
1.1 实验设计
健康新西兰兔18只,6月龄,体重2.0—2.5kg,经X线检查无明显膝关节骨关节病改变。随机将新西兰家兔分为3组,第1组为左膝关节内侧半月板切除,MCL切断组,简称韧带无张力组。第2组为左膝关节内侧半月板切除,MCL切断,经重新缝合恢复张力组,简称韧带有张力组。第3组兔的左膝关节作为正常对照。第1、2组兔分别于5、10、15、20天4个阶段取材,分别观察膝关节关节软骨的肉眼、光镜下组织学(HE)、组织化学(甲苯胺兰)及扫描电镜下形态学的改变。实验分组见表1。
, http://www.100md.com
表1 实验动物分组表
Tab l Subgroups table
5天取材
five days
10天取材
ten days
15天取材
fifteen days
20天取材
twenty days
韧带无张力组
No tension of MCL
, 百拇医药
2
2
2
2
韧带有张力组
with tension of MCL
2
2
2
2
对照组
Control group
2
, 百拇医药
1.2 手术步骤
使用25%乌拉坦,按1g/kg剂量对兔行静脉麻醉。将兔固定于手术台上,左膝屈曲90°位。常规剃毛、消毒、铺巾。作膝关节内侧纵切口,约3cm。依次切开皮肤,皮下筋膜、仔细分离MCL,将MCL与周围软组织完全分开,斜行切断MCL。随后小心分离内侧半月板并切除之。生理盐水冲洗关节腔。韧带有张力组在切除内侧半月板后,随即对MCL进行断端吻合,恢复MCL的张力。韧带无张力组、在切断MCL后,又将MCL切除约0.5cm,以免日后断端接合,使其确实处于无张力状态。完成上述处理后,关闭关节腔,依次缝合皮下筋膜、皮肤。术后,每只兔注射20万u青霉素,送回兔笼饲养。
1.3 取材时间及部位
术后5、10、15、20天,分4个阶段处死家兔。取手术侧膝关节股骨滑车及半月板区、胫骨平台内侧半月板区及膑骨内侧关节面的关节软骨。对照组取左膝同上述部位的关节软骨,做光镜及扫描电镜标本。
, 百拇医药
1.4 标本制作
1.4.1 光镜标本
标本取材后,固定于10%的中性福尔马林液,经常规脱钙、石蜡包埋后,切5μ厚片,作HE及甲苯胺兰染色。
1.4.2 扫描电镜标本
取材后的关节软骨置于戊二醛液中固定,临界点干燥,金—铂喷镀后,置扫描电镜(型号为日立S—450)观察。
2 实验结果
2.1 大体标本观察
2.1.1 对照组膝关节软骨
对照组膝关节软骨表面有光泽,微透明,软骨表面无充血,无溃疡,无龟裂。
, http://www.100md.com
2.1.2 实验组膝关节软骨
韧带有张力组与无张力组手术后5天、10天,膝关节软骨大体标本观察结果同对照组,未见异常改变。
术后15天,韧带有张力组中的一只兔、股骨关节软骨表面有局灶性轻度充血,但无溃疡,无龟裂。韧带无张力组,膝关节软骨表面均失去光泽。
术后20天,韧带有张力组与无张力组、膝关节软骨表面均无光泽。韧带有张力组中的一只兔,股骨关节软骨表现局灶充血,但无溃疡,无龟裂。
2.1.3 实验组MCL大体观察
术后5天、10天,韧带有张力组,左膝MCL断端吻合良好,有张力、侧搬无开口感。但缝合处有充血、水肿。韧带无张力组,左膝MCL断端分离,侧搬有开口感。
术后15天、20天,韧带有张力组左膝MCL大体观察愈合,与周围组织轻度粘连。韧带无张力组左膝MCL断端萎缩。
, http://www.100md.com
2.2 光镜观察结果
2.2.1 对照组
HE染色:软骨基质呈粉红染,均匀,软骨表层无裂隙,软骨细胞排列有序,分4层。表层细胞呈梭形,近似水平排列,中间层细胞圆形,散在分布。柱状层细胞呈柱状排列。潮线清晰。钙化层细胞较大,呈散在分布。无细胞簇集现象。
甲苯胺兰染色:软骨基质中,蛋白多糖呈紫蓝染色,着色均匀。见图1。
图1.对照组:软骨细胞排列有序,无细胞簇集现象,基质染色均匀。甲苯胺兰×100
Fig.1Control group:chondrocytes arrangement were in order,no cell clusters,matrix stained evenly. Toluidne blue×100
, 百拇医药
2.2.2 实验组
①术后5天
韧带无张力组膝关节软骨细胞排列无规律,甲苯胺兰染色可见基质染色不均,尤以中间层及柱状层为著。细胞周围较对照组染色重,而远离细胞部位明显变浅,有个别基质区甚至完全不着色。细胞有簇集现象,偶见细胞分裂相。见图2。
韧带有张力组,膝关节软骨细胞排列无规律,基质染色不均,其特点基本同上述。细胞有簇集现象。见图3。
②术后10天
韧带无张力组,软骨基质染色不均,软骨细胞排列紊乱,细胞簇集较5天时明显,有核溶及软骨陷窝内细胞消失现象。韧带有张力组,软骨基质及细胞的改变基本同上述。两组无明显差异。
③术后15天
, 百拇医药
韧带无张力组,光镜下软骨退变较10天时又加重。细胞减少、有核缩、核碎、核溶现象。基质染色不均。韧带有张力组,软骨基质与细胞的改变较10天时也有加重。细胞减少,簇集现象更加明显,软骨表层凹陷不平。见图4。
图2.韧带无张力组:术后5天,软骨细胞排列紊乱,细胞有簇集,基质染色不均。甲苯胺兰×100
Fig.2Exp group. MCL no tension:5 days after operation disorder of chondrocytes arrangement,cell cluster,matrix stained unevenly. Toluidine blue×100
, 百拇医药
图3.韧带有张力组:术后5天,软骨细胞排列紊乱,细胞有簇集,基质染色不均。甲苯胺兰×100
Fig.3Exp group. MCL in normal tension:5 days after operation disorder of chondrocytes arrangement,cell cluster,matrix stained unevenly. Toluidine blue×100
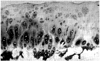
图4.韧带有张力组:术后15天,软骨细胞排列紊乱,细胞簇集增加,有核溶及细胞坏死现象,基质淡染,软骨表面凹陷不平。甲苯胺兰×100
Fig.4Exp group. MCL in normal tension:15 days after operation,further disorder of chondrocytes arrangement,more cell cluster,cell necrosis,matrix distained,surface was not smooth. Toluidine blue×100
, 百拇医药
④术后20天
韧带无张力组与有张力组,镜下软骨细胞退变进一步加重。除细胞减少、细胞簇集、核缩、核碎、核溶、核消失,基质淡染外,软骨表层出现裂隙。
⑤MCL镜下观察
术后5天、10天MCL修复处缝合未断开但未愈合,韧带内有大量炎细胞浸润。术后15天、20天,韧带有张力组,MCL呈部分愈合。其愈合的特点从断端缝合的两侧缘向中心愈合。韧带中成纤维细胞增生,毛细血管增生,炎细胞浸润,有局灶性玻璃样变。见图5。
2.3 扫描电镜结果
2.3.1 对照组膝关节软骨扫描电镜表现
正常兔膝关节软骨在扫描电镜下,其表面呈波浪起伏状结构,排列有序。显现出下方胶原纤维组成的网状拱形结构,胶原纤维表面有无形层复盖,纤维无裸露。软骨表面无血管分布,也无细胞可见。见图6。
, http://www.100md.com
图5.韧带有张力组:术后20天,MCL愈合,韧带中成纤维细胞及毛细血管增生,局灶性玻璃样变。H.E×40
Fig.5Exp group. MCL in normal tension:20 days after operation,MCL healed,proliferation of fibroblasts and capilaries,localhyaline degeneration in MCL. H.E×40
图6.对照组扫描电镜示:软骨表面呈波浪起伏状结构,排列有序,无胶原纤维及软骨细胞裸露。SEM×2500
Fig.6Controt group(SEM): cartilage surface showed furrows,no collagen fibers and chondrocytes could be seen.SEM×2500
, http://www.100md.com
2.3.2 实验组
①术后5天、10天
韧带无张力组、膝关节软骨扫描电镜未见异常改变。软骨表面波浪状结构完整,未见细胞及胶原纤维裸露。
韧带有张力组,膝关节软骨表面表现同韧带无张力组,未见明显异常。见图7。
图7.韧带有张力组:术后5天,扫描电镜示:软骨表面波浪状结构完整,无胶原纤维及软骨细胞裸露。SEM×2500
Fig.7Exp group MCL in normal tension: 5 days ofter operation, structure of cartilage surface was normal,no collagen fibers and chondrocytes exposed. SEM×2500
, http://www.100md.com
②术后15天、20天
韧带无张力组,术后15天,软骨表面正常结构消失,软骨细胞裸露,可见软骨陷窝细胞缺如,胶原纤维裸露,有断裂。术后20天时,上术现象更加明显。
韧带有张力组,术后15天、20天,软骨表面改变基本同韧带无张力组,未见明显程度上的差别。见图8。
图8.韧带有张力组:扫描电镜示:术后15天,软骨表面正常结构消失,胶原纤维裸露、断裂,软骨陷窝细胞缺如。SEM×2500
Fig.8Exp group MCL in normal tension:15 days after operation,structure of cartilage surface destroyed,collagen fibers exposed and rupture,some lacunae empty.SEM×2500
, 百拇医药
3 讨论
膝骨关节病又称退行性膝关节病,是一种累及关节软骨、软骨下骨、关节滑膜等多种组织的疾病,而关节软骨的退行性改变是该病中主要病变的部位。国内田、曲二氏将镜下软骨退变的表现描述为[6]病变处软骨细胞排列紊乱,细胞减少、簇集,重者细胞核缩、核溶、坏死。软骨基质变性,呈红染或浅染,基质中出现裂隙、空腔等改变。甲苯胺兰染色可见蛋白多糖着色变化,胶原纤维排列紊乱。本文实验组,在切除一侧膝内侧半月板和切断同侧MCL后,无论MCL修复与否,膝关节软骨手术后5天时,光镜下都开始出现退行性改变,随术后时间的推移,退行性改变进行性加重。术后15天到20天,不仅光镜下改变明显,扫描电镜亦出现明显的变化,与文献报告软骨退变时形态学变化一致。该结果表明,兔膝关节在切除半月板后,无论MCL修复与否,膝关节软骨退行性改变都不可避免地会发生。
半月板切除与膝骨关节病之间的关系,多年来,许多学者进行了大量的研究,比较一致的意见是,膝关节半月板的切除是造成膝关节软骨退变的主要原因[7—10]。本文动物实验的结果进一步证实了这一点。为了减少由于半月板的切除而造成的膝骨关节病的发病率,本实验结果提示,临床上应注意以下几方面的问题:
, http://www.100md.com
1、半月板损伤和MCL断裂常发生在膝关节屈伸伴有外翻和扭转动作的过程中。因此,平日加强下肢肌力的训练,以增强关节稳定性,训练前做好准备活动,以增加膝关节活动的灵活性,不在疲劳的状态下训练,以防动作失误的发生等,均有助于预防膝关节的损伤[1]。
2、由于半月板很难在一次急性损伤中造成严重的断裂,而比较复杂的混合裂、多发裂以及较大面积的磨损,几乎毫无例外地是在反复损伤后积累而成[11],因此,及早诊断、及早治疗,可使半月板全切的机会减少到较低限度。为尽可能恢复膝关节的功能,增强稳定性,延缓膝关节病的发生,我们建议,临床上应及早对破损的半月板行关节镜下成形术,以改善股胫关节的应力分布。
3、虽然,本实验结果显示MCL的张力恢复与否,在完全切除内侧半月板的情况下,并不能延缓膝骨关节病的发生,但是,在临床实践中,仍应考虑修复MCL,恢复其张力。因为,MCL是对抗膝外翻和胫骨外旋应力的重要静态稳定结构。内侧半月板全切,本身已使膝关节的稳定性受到影响,MCL断裂,必将加重膝内侧不稳,其结果可导致膝关节其它结构的进一步的损伤。对骨关节病的发展,只会有负面的影响。本组实验仅观察到术后20天,术后更长时间两组间的区别,值得进一步研究。
, 百拇医药
对于已经发生的膝骨关节病如何进行合理的康复,以尽快消除症状,改善膝关节的功能,文献多有报告。运动疗法、物理疗法等均有助于改善膝关节的血液循环,增强膝关节周围的肌力,提高其稳定性,减轻膝关节的疼痛,改善膝关节的功能[12—13]。近年来,动物实验使用抑制软骨降解酶的产生和活性的药物,以保护关节软骨,减轻软骨退变[14]。实验动物转基因疗法,治疗在分子水平的原因而致的骨关节病[15],这些成果已为人类骨关节病的预防和治疗展现了令人欣喜的前景。
参考文献
1.曲绵域等.实用运动医学(第2版)北京.北京科学技术出版社.1996:664
2.胡跃林等.半月板撕裂与股骨髁半月板区关节软骨损伤的关系.中国运动医学杂志.1995;14(2):80
3.J P Jackson.膝关节外科学.金惠生等译.北京:中国医药科技出版社.1990:69
, http://www.100md.com
4.Lane-NE. Physical activity at leisure and risk of osteoarthritis.Ann-Rheum-Dis 1996:Sep 55(9):682-4
5.Hans Telhag, et al. A Method for inducing osteoarthritic changes in rRabbits knees.Clinical orthopaedics and related reaserch.1972:NO 86 July-August 214-220
6.田得祥等.膑骨软骨病的病理探讨.中国运动医学杂志.1998;7(3):134—135
7.Maletius-w,et al. The Effect of Partial Meniscecotomy on the long-term prognosis of knees with localized Severe Chondral Damage.A tewlve-to fifteen-year follow up.Am-Sports-Med.1996;24(3):258-62
, 百拇医药
8.Matsusue-y,et al. Arthroscopic partial medial meniscectomy in patients over 40 years old:a 5-11 Year Follow-up study.Arthroscopy 1996;12(1):39-44
9.Benedetto-KP,et al.Arthroscopic partial meniscectomy:5-year follow-up. Kmee-surg sports-Traumatol-Arthrosc 1993;1(3-4):235-8
10.Friederich-NF,et al.Gonarthrosis after injury of the anterior cruciate ligament:a multicenter,long-term study.Z-unfallchir-versicher ungsmed 1993;86(2):81-9
, 百拇医药
11.王亦璁等.骨与关节损伤.第2版.北京:人民卫生出版社.1990:639
12.Ytterberg-SR,et al.Exercise for arthritis baillieres-clin -rheumatol.1994:8(1):63-77
13.Puett-DW,et al.Published trials of nonmedicinal and noninvasive therepies for hip and knee osteoarthnitis.Ann-intern-Med.1994,121(2):133-40
14.Testa-V,et al.proteases and antiproteases in cartilage homestasis.A brief review.Clin-orthop.1994 Nov(308):79-84
15.De-Crombrugghe-B,et al.Transgenic mice with deficiencies in cartilage collagens:possible models for gene therapy.J-Rheurnatol-suppl.1995 Feb;43:140-2
(1998.01.22收稿), http://www.100md.com
单位:邱 平 (山西医科大学第二医院康复医学科(太原030001));长隆 敖英芳 赵京元 刘燕 (北京医科大学运动医学研究所)
关键词:内侧副韧带;半月板切除;骨关节病
兔膝内侧副韧带修复及内侧半月板切除 对膝骨关节病发病过程的影响 提要 通过经典的建立膝骨关节病运动模型的方式,设计了在切除内侧半月板的情况下,将内侧副韧带(MCL)切断和切断后再缝合恢复张力的两组动物模型。观察术后5、10、15、20天,关节软骨的组织学、组织化学及扫描电镜下形态学方面的变化,旨在探讨切除内侧半月板时,恢复MCL的张力对膝骨关节病(OA)发病过程的影响。实验结果显示,MCL切断无张力组和MCL缝合有张力组于术后5天,在光镜下,关节软骨即出现某此变化。包括软骨细胞排列紊乱,增生层有软骨细胞簇集现象、簇集细胞的周围甲苯胺兰深染。增生层和肥大层一些软骨陷窝有细胞消失现象,其周围淡染。术后5、10天扫描电镜观察,两实验组关节软骨表面未见异常改变。术后15、20天,光镜下,两实验组关节软骨退行性改变进一步加重,扫描电镜观察,两实验组软骨表面正常结构消失、胶原纤维断裂,软骨显微骨折、出现部分软骨细胞裸露及细胞消失现象。韧带无张力组及有张力组,在软骨退行性变化方面未见明显程度上的差别。结果表明,只要兔半月板切除,无论MCL张力存在与否,都不能阻止OA的产生,亦不能减轻其发生的程度。
, 百拇医药
The Influence of Repair of Knee Medial Collateral ligament(MCL) and Medical Meniscectomy
on Pathogenesis Process of Osteoarthritis(OA) in Rabbits
Qiu ping
Department of rehabilitation medicine,2nd Hospital of Sanxi Medical University
Yu Changlong,Ao Yingfang,Zhao Jingyuan,Liu Yan
Institute of Sports Medicine,Beijing Medical University
, http://www.100md.com
Two groups of rabbits were operated for the purpose of observing the influence of repair of knee MCL and medial meniscectomy on the pathogenesis process of OA.Both groups accepted medial meniscectomy and in one group,MCL were severed and re-sutured for restoration of tension;in another,as the classical model for OA in rabbits,MCL were excised.After 5,10,15 and 20 days of operation,articular cartilage,synovium and medial capsule including MCL were harvested for examination histo-and histochemically,cartilage specimens were also processed for scanning electron microscopical(SEM) exam.Results showed that as early as 5 days after operation,some changes have already existed in cartilage,including disorder of chondrocytes arrangement;cell clusters around with strong staining by tuiluding blue in proliferation zone;local destaining area with cell disappearance in some lacunae in proliferation and hypertrophic zone.However,SEM remained unchanged on the surface of cartilage in 5 and 10 days after operation.15-20 days after operation,microscopic specimens showed typical OA changes including chondrocytes death with empty lacunae;cell clusters around with strong positive staning by tuiluding blue;enlarged destaining area proliferated synovial cells;disarranged and degenerated collagen fibres.SEM showed destroy of cartilage surface,rupture of collagen fibres,micro fracture of cartilage from surface down to deep zone with empty lacunae.There were no difference between two groups.Our results suggested,once the medial meniscus removed,no matter how the tension existed due to MCL,development of OA is inevitable.The tension from medial side might not help to prevent the pathogenesis process of OA,nor decrease the extent of severity.
, http://www.100md.com
由于解剖和功能的特点,膝关节是运动外伤中最易损伤的关节[1]。膝关节内侧副韧带(以下简称MCL)断裂合并内侧半月板损伤是膝关节常见的运动创伤之一。
半月板撕裂可造成膝关节软骨的损伤,最终导致膝骨关节病的发生已多有报告[2、3、4]。其发生的原因与半月板的功能密切相关。正常情况下,半月板填充于股胫骨之间,使股胫关节更加吻合,增加膝关节的稳定性,缓冲股胫关节的撞击力,保护股骨髁及胫骨平台的关节软骨面[1]。半月板撕裂后,由原来对股骨髁及胫骨平台相对关节软骨的保护作用,变为对它的磨损作用,使关节软骨发生软化,龟裂,剥离等变化[2]。MCL是对抗膝关节外翻及胫骨外旋应的重要静态稳定结构[1]。当胫骨过度外旋,特别是伴有外翻应力时,MCL可发生断裂。由于MCL深层与内侧半月板边缘相连,当MCL在遭受较大外力发生断裂时,往往合并内侧半月板的损伤。这种联合损伤在临床上非常多见。MCL断裂合并内侧半月板损伤加重了膝关节的不稳定性。运动时,股胫膑关节活动轨迹发生改变,这种改变可引起相应关节软骨区的不合槽运动。久之,可使相应区域关节软骨发生损害[1]。
, 百拇医药
目前,临床上对急性MCL断裂合并内侧半月板撕裂的治疗,多主张行MCL修补加内侧半月板切除,这几乎已形成模式。手术的目的是尽量恢复膝关节稳定性,去除撕裂的半月板对关节软骨的磨损,改善膝关节的功能。但MCL修复加内侧半月板切除,能否阻止膝骨关节病的发生,或能减轻其发生的程度,尚未见到有文献报道。
经典动物实验,以兔为运动模型,切除内侧半月板及切断MCL,可导致骨关节病的发生[5]。这种情非常类似于临床MCL断裂和半月板切除的状况。在此基础上,我们设计了在切除内侧半月板的情况下,将MCL切断和切断后再缝合修复两组动物模型。观察在内侧半月板切除的情况下,恢复MCL张力对防止膝关节骨关节病产生的影响程度,目的在于为膝关节此类联合损伤的康复提供一定的实验依据。
1 实验方法
1.1 实验设计
健康新西兰兔18只,6月龄,体重2.0—2.5kg,经X线检查无明显膝关节骨关节病改变。随机将新西兰家兔分为3组,第1组为左膝关节内侧半月板切除,MCL切断组,简称韧带无张力组。第2组为左膝关节内侧半月板切除,MCL切断,经重新缝合恢复张力组,简称韧带有张力组。第3组兔的左膝关节作为正常对照。第1、2组兔分别于5、10、15、20天4个阶段取材,分别观察膝关节关节软骨的肉眼、光镜下组织学(HE)、组织化学(甲苯胺兰)及扫描电镜下形态学的改变。实验分组见表1。
, http://www.100md.com
表1 实验动物分组表
Tab l Subgroups table
5天取材
five days
10天取材
ten days
15天取材
fifteen days
20天取材
twenty days
韧带无张力组
No tension of MCL
, 百拇医药
2
2
2
2
韧带有张力组
with tension of MCL
2
2
2
2
对照组
Control group
2
, 百拇医药
1.2 手术步骤
使用25%乌拉坦,按1g/kg剂量对兔行静脉麻醉。将兔固定于手术台上,左膝屈曲90°位。常规剃毛、消毒、铺巾。作膝关节内侧纵切口,约3cm。依次切开皮肤,皮下筋膜、仔细分离MCL,将MCL与周围软组织完全分开,斜行切断MCL。随后小心分离内侧半月板并切除之。生理盐水冲洗关节腔。韧带有张力组在切除内侧半月板后,随即对MCL进行断端吻合,恢复MCL的张力。韧带无张力组、在切断MCL后,又将MCL切除约0.5cm,以免日后断端接合,使其确实处于无张力状态。完成上述处理后,关闭关节腔,依次缝合皮下筋膜、皮肤。术后,每只兔注射20万u青霉素,送回兔笼饲养。
1.3 取材时间及部位
术后5、10、15、20天,分4个阶段处死家兔。取手术侧膝关节股骨滑车及半月板区、胫骨平台内侧半月板区及膑骨内侧关节面的关节软骨。对照组取左膝同上述部位的关节软骨,做光镜及扫描电镜标本。
, 百拇医药
1.4 标本制作
1.4.1 光镜标本
标本取材后,固定于10%的中性福尔马林液,经常规脱钙、石蜡包埋后,切5μ厚片,作HE及甲苯胺兰染色。
1.4.2 扫描电镜标本
取材后的关节软骨置于戊二醛液中固定,临界点干燥,金—铂喷镀后,置扫描电镜(型号为日立S—450)观察。
2 实验结果
2.1 大体标本观察
2.1.1 对照组膝关节软骨
对照组膝关节软骨表面有光泽,微透明,软骨表面无充血,无溃疡,无龟裂。
, http://www.100md.com
2.1.2 实验组膝关节软骨
韧带有张力组与无张力组手术后5天、10天,膝关节软骨大体标本观察结果同对照组,未见异常改变。
术后15天,韧带有张力组中的一只兔、股骨关节软骨表面有局灶性轻度充血,但无溃疡,无龟裂。韧带无张力组,膝关节软骨表面均失去光泽。
术后20天,韧带有张力组与无张力组、膝关节软骨表面均无光泽。韧带有张力组中的一只兔,股骨关节软骨表现局灶充血,但无溃疡,无龟裂。
2.1.3 实验组MCL大体观察
术后5天、10天,韧带有张力组,左膝MCL断端吻合良好,有张力、侧搬无开口感。但缝合处有充血、水肿。韧带无张力组,左膝MCL断端分离,侧搬有开口感。
术后15天、20天,韧带有张力组左膝MCL大体观察愈合,与周围组织轻度粘连。韧带无张力组左膝MCL断端萎缩。
, http://www.100md.com
2.2 光镜观察结果
2.2.1 对照组
HE染色:软骨基质呈粉红染,均匀,软骨表层无裂隙,软骨细胞排列有序,分4层。表层细胞呈梭形,近似水平排列,中间层细胞圆形,散在分布。柱状层细胞呈柱状排列。潮线清晰。钙化层细胞较大,呈散在分布。无细胞簇集现象。
甲苯胺兰染色:软骨基质中,蛋白多糖呈紫蓝染色,着色均匀。见图1。
图1.对照组:软骨细胞排列有序,无细胞簇集现象,基质染色均匀。甲苯胺兰×100
Fig.1Control group:chondrocytes arrangement were in order,no cell clusters,matrix stained evenly. Toluidne blue×100
, 百拇医药
2.2.2 实验组
①术后5天
韧带无张力组膝关节软骨细胞排列无规律,甲苯胺兰染色可见基质染色不均,尤以中间层及柱状层为著。细胞周围较对照组染色重,而远离细胞部位明显变浅,有个别基质区甚至完全不着色。细胞有簇集现象,偶见细胞分裂相。见图2。
韧带有张力组,膝关节软骨细胞排列无规律,基质染色不均,其特点基本同上述。细胞有簇集现象。见图3。
②术后10天
韧带无张力组,软骨基质染色不均,软骨细胞排列紊乱,细胞簇集较5天时明显,有核溶及软骨陷窝内细胞消失现象。韧带有张力组,软骨基质及细胞的改变基本同上述。两组无明显差异。
③术后15天
, 百拇医药
韧带无张力组,光镜下软骨退变较10天时又加重。细胞减少、有核缩、核碎、核溶现象。基质染色不均。韧带有张力组,软骨基质与细胞的改变较10天时也有加重。细胞减少,簇集现象更加明显,软骨表层凹陷不平。见图4。
图2.韧带无张力组:术后5天,软骨细胞排列紊乱,细胞有簇集,基质染色不均。甲苯胺兰×100
Fig.2Exp group. MCL no tension:5 days after operation disorder of chondrocytes arrangement,cell cluster,matrix stained unevenly. Toluidine blue×100
, 百拇医药
图3.韧带有张力组:术后5天,软骨细胞排列紊乱,细胞有簇集,基质染色不均。甲苯胺兰×100
Fig.3Exp group. MCL in normal tension:5 days after operation disorder of chondrocytes arrangement,cell cluster,matrix stained unevenly. Toluidine blue×100
图4.韧带有张力组:术后15天,软骨细胞排列紊乱,细胞簇集增加,有核溶及细胞坏死现象,基质淡染,软骨表面凹陷不平。甲苯胺兰×100
Fig.4Exp group. MCL in normal tension:15 days after operation,further disorder of chondrocytes arrangement,more cell cluster,cell necrosis,matrix distained,surface was not smooth. Toluidine blue×100
, 百拇医药
④术后20天
韧带无张力组与有张力组,镜下软骨细胞退变进一步加重。除细胞减少、细胞簇集、核缩、核碎、核溶、核消失,基质淡染外,软骨表层出现裂隙。
⑤MCL镜下观察
术后5天、10天MCL修复处缝合未断开但未愈合,韧带内有大量炎细胞浸润。术后15天、20天,韧带有张力组,MCL呈部分愈合。其愈合的特点从断端缝合的两侧缘向中心愈合。韧带中成纤维细胞增生,毛细血管增生,炎细胞浸润,有局灶性玻璃样变。见图5。
2.3 扫描电镜结果
2.3.1 对照组膝关节软骨扫描电镜表现
正常兔膝关节软骨在扫描电镜下,其表面呈波浪起伏状结构,排列有序。显现出下方胶原纤维组成的网状拱形结构,胶原纤维表面有无形层复盖,纤维无裸露。软骨表面无血管分布,也无细胞可见。见图6。
, http://www.100md.com
图5.韧带有张力组:术后20天,MCL愈合,韧带中成纤维细胞及毛细血管增生,局灶性玻璃样变。H.E×40
Fig.5Exp group. MCL in normal tension:20 days after operation,MCL healed,proliferation of fibroblasts and capilaries,localhyaline degeneration in MCL. H.E×40
图6.对照组扫描电镜示:软骨表面呈波浪起伏状结构,排列有序,无胶原纤维及软骨细胞裸露。SEM×2500
Fig.6Controt group(SEM): cartilage surface showed furrows,no collagen fibers and chondrocytes could be seen.SEM×2500
, http://www.100md.com
2.3.2 实验组
①术后5天、10天
韧带无张力组、膝关节软骨扫描电镜未见异常改变。软骨表面波浪状结构完整,未见细胞及胶原纤维裸露。
韧带有张力组,膝关节软骨表面表现同韧带无张力组,未见明显异常。见图7。
图7.韧带有张力组:术后5天,扫描电镜示:软骨表面波浪状结构完整,无胶原纤维及软骨细胞裸露。SEM×2500
Fig.7Exp group MCL in normal tension: 5 days ofter operation, structure of cartilage surface was normal,no collagen fibers and chondrocytes exposed. SEM×2500
, http://www.100md.com
②术后15天、20天
韧带无张力组,术后15天,软骨表面正常结构消失,软骨细胞裸露,可见软骨陷窝细胞缺如,胶原纤维裸露,有断裂。术后20天时,上术现象更加明显。
韧带有张力组,术后15天、20天,软骨表面改变基本同韧带无张力组,未见明显程度上的差别。见图8。
图8.韧带有张力组:扫描电镜示:术后15天,软骨表面正常结构消失,胶原纤维裸露、断裂,软骨陷窝细胞缺如。SEM×2500
Fig.8Exp group MCL in normal tension:15 days after operation,structure of cartilage surface destroyed,collagen fibers exposed and rupture,some lacunae empty.SEM×2500
, 百拇医药
3 讨论
膝骨关节病又称退行性膝关节病,是一种累及关节软骨、软骨下骨、关节滑膜等多种组织的疾病,而关节软骨的退行性改变是该病中主要病变的部位。国内田、曲二氏将镜下软骨退变的表现描述为[6]病变处软骨细胞排列紊乱,细胞减少、簇集,重者细胞核缩、核溶、坏死。软骨基质变性,呈红染或浅染,基质中出现裂隙、空腔等改变。甲苯胺兰染色可见蛋白多糖着色变化,胶原纤维排列紊乱。本文实验组,在切除一侧膝内侧半月板和切断同侧MCL后,无论MCL修复与否,膝关节软骨手术后5天时,光镜下都开始出现退行性改变,随术后时间的推移,退行性改变进行性加重。术后15天到20天,不仅光镜下改变明显,扫描电镜亦出现明显的变化,与文献报告软骨退变时形态学变化一致。该结果表明,兔膝关节在切除半月板后,无论MCL修复与否,膝关节软骨退行性改变都不可避免地会发生。
半月板切除与膝骨关节病之间的关系,多年来,许多学者进行了大量的研究,比较一致的意见是,膝关节半月板的切除是造成膝关节软骨退变的主要原因[7—10]。本文动物实验的结果进一步证实了这一点。为了减少由于半月板的切除而造成的膝骨关节病的发病率,本实验结果提示,临床上应注意以下几方面的问题:
, http://www.100md.com
1、半月板损伤和MCL断裂常发生在膝关节屈伸伴有外翻和扭转动作的过程中。因此,平日加强下肢肌力的训练,以增强关节稳定性,训练前做好准备活动,以增加膝关节活动的灵活性,不在疲劳的状态下训练,以防动作失误的发生等,均有助于预防膝关节的损伤[1]。
2、由于半月板很难在一次急性损伤中造成严重的断裂,而比较复杂的混合裂、多发裂以及较大面积的磨损,几乎毫无例外地是在反复损伤后积累而成[11],因此,及早诊断、及早治疗,可使半月板全切的机会减少到较低限度。为尽可能恢复膝关节的功能,增强稳定性,延缓膝关节病的发生,我们建议,临床上应及早对破损的半月板行关节镜下成形术,以改善股胫关节的应力分布。
3、虽然,本实验结果显示MCL的张力恢复与否,在完全切除内侧半月板的情况下,并不能延缓膝骨关节病的发生,但是,在临床实践中,仍应考虑修复MCL,恢复其张力。因为,MCL是对抗膝外翻和胫骨外旋应力的重要静态稳定结构。内侧半月板全切,本身已使膝关节的稳定性受到影响,MCL断裂,必将加重膝内侧不稳,其结果可导致膝关节其它结构的进一步的损伤。对骨关节病的发展,只会有负面的影响。本组实验仅观察到术后20天,术后更长时间两组间的区别,值得进一步研究。
, 百拇医药
对于已经发生的膝骨关节病如何进行合理的康复,以尽快消除症状,改善膝关节的功能,文献多有报告。运动疗法、物理疗法等均有助于改善膝关节的血液循环,增强膝关节周围的肌力,提高其稳定性,减轻膝关节的疼痛,改善膝关节的功能[12—13]。近年来,动物实验使用抑制软骨降解酶的产生和活性的药物,以保护关节软骨,减轻软骨退变[14]。实验动物转基因疗法,治疗在分子水平的原因而致的骨关节病[15],这些成果已为人类骨关节病的预防和治疗展现了令人欣喜的前景。
参考文献
1.曲绵域等.实用运动医学(第2版)北京.北京科学技术出版社.1996:664
2.胡跃林等.半月板撕裂与股骨髁半月板区关节软骨损伤的关系.中国运动医学杂志.1995;14(2):80
3.J P Jackson.膝关节外科学.金惠生等译.北京:中国医药科技出版社.1990:69
, http://www.100md.com
4.Lane-NE. Physical activity at leisure and risk of osteoarthritis.Ann-Rheum-Dis 1996:Sep 55(9):682-4
5.Hans Telhag, et al. A Method for inducing osteoarthritic changes in rRabbits knees.Clinical orthopaedics and related reaserch.1972:NO 86 July-August 214-220
6.田得祥等.膑骨软骨病的病理探讨.中国运动医学杂志.1998;7(3):134—135
7.Maletius-w,et al. The Effect of Partial Meniscecotomy on the long-term prognosis of knees with localized Severe Chondral Damage.A tewlve-to fifteen-year follow up.Am-Sports-Med.1996;24(3):258-62
, 百拇医药
8.Matsusue-y,et al. Arthroscopic partial medial meniscectomy in patients over 40 years old:a 5-11 Year Follow-up study.Arthroscopy 1996;12(1):39-44
9.Benedetto-KP,et al.Arthroscopic partial meniscectomy:5-year follow-up. Kmee-surg sports-Traumatol-Arthrosc 1993;1(3-4):235-8
10.Friederich-NF,et al.Gonarthrosis after injury of the anterior cruciate ligament:a multicenter,long-term study.Z-unfallchir-versicher ungsmed 1993;86(2):81-9
, 百拇医药
11.王亦璁等.骨与关节损伤.第2版.北京:人民卫生出版社.1990:639
12.Ytterberg-SR,et al.Exercise for arthritis baillieres-clin -rheumatol.1994:8(1):63-77
13.Puett-DW,et al.Published trials of nonmedicinal and noninvasive therepies for hip and knee osteoarthnitis.Ann-intern-Med.1994,121(2):133-40
14.Testa-V,et al.proteases and antiproteases in cartilage homestasis.A brief review.Clin-orthop.1994 Nov(308):79-84
15.De-Crombrugghe-B,et al.Transgenic mice with deficiencies in cartilage collagens:possible models for gene therapy.J-Rheurnatol-suppl.1995 Feb;43:140-2
(1998.01.22收稿), http://www.100md.com