人鼻粘膜免疫组化检测
作者:李延忠 张万荣 刘景琴 林忠辉
单位:271000 山东泰安 泰山医学院附属医院耳鼻咽喉科(李延忠),妇产科(张万荣);卫生部耳鼻咽喉科学重点实验室(刘景琴、林忠辉)
关键词:
中华耳鼻咽喉科杂志/990130 为了了解人类鼻粘膜免疫屏障形成和发展状况,对早产儿、足月新生儿和健康成人鼻粘膜内各种免疫活性细胞及体液免疫成分进行检测。
一、材料与方法
1.鼻粘膜标本:收集早产儿(27~37周)、足月新生儿和健康成人下鼻甲粘膜各8例,共24例, 常规10%甲醛固定,石蜡包埋,片厚5 μm。
2.试剂:各种单克隆及多克隆抗体CD43 、OPD4、CD20、CD57、CD68、HLA-DR、IgA、IgG、补体C3、溶菌酶及免疫组化SABC试剂盒均购于北京中山生物技术公司。
, http://www.100md.com
3.染色方法:切片进行常规HE染色及免疫组化染色,采用链霉亲合素-生物素过氧化物酶复合物(SABC)法,以上各种单克隆及多克隆抗体为一抗,阳性对照为淋巴结及其他已知阳性组织,阴性对照以磷酸盐缓冲溶液代替一抗,严格按照SABC试剂盒操作规程进行操作。
4.结果判定:胞膜或胞浆染为棕黄色为阳性细胞,采用双盲法在显微镜下观察并计数。各种免疫活性细胞每张切片观察10个高倍(×400)视野,取其平均数。体液成分依照是否着色判为阳性或阴性。
二、结果
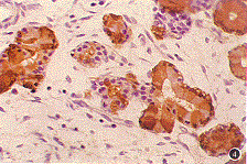
所有鼻粘膜均为假复层柱状纤毛上皮,早产儿及足月新生儿鼻粘膜固有层较薄,在小血管周围有少量散在的T淋巴细胞(图1)、T4细胞亚群和B淋巴细胞;粘膜上皮层及基底膜下有一定数量的NK细胞(图2)和巨噬细胞(图3),基底膜HLA-DR抗原大部分表达阳性,粘膜下腺体大部分溶菌酶阳性(图4),但IgA、IgG及补体C3均阴性。健康成人鼻粘膜固有层较厚,其内各种细胞较多,粘膜下腺体粘纤复合体溶菌酶、IgA、IgG、补体C3均可见阳性表达。各组鼻粘膜中免疫活性细胞的数量经统计学t检验,早产儿和足月新生儿鼻粘膜中T 淋巴细胞、T4 细胞亚群、B 淋巴细胞的数量明显少于健康成人(P<0.01),NK细胞、巨噬细胞的数量与健康成人差异无显著性(P>0.05)。
, 百拇医药
图1 早产儿(35周)鼻粘膜T淋巴细胞。SABC染色×400
图2 足月新生儿(40周)鼻粘膜NK细胞。SABC染色×400
图3 足月新生儿(40周)鼻粘膜巨噬细胞。SABC染色×400
图4 早产儿(28周)鼻粘膜下腺体溶菌酶阳性。SABC染色×400
三、讨论
在鼻粘膜的防御机制中免疫因素与非免疫因素均很重要。本检测发现人胎儿出生前鼻粘膜固有层较薄,其中各种细胞较少,但已经出现少量的T 淋巴细胞、T4细胞亚群、B淋巴细胞,并有部分粘膜上皮HLA-DR抗原标记阳性,尚缺乏IgA、IgG及补体C3等,说明人鼻粘膜免疫屏障在出生前形成了一定的细胞免疫的基础,但尚未接受外界各种抗原物质及微生物的侵袭,各种免疫细胞数量尚少,细胞免疫与体液免疫屏障尚不完善。健康成人鼻粘膜中各种免疫活性细胞数量增多,且以T淋巴细胞、T4细胞亚群等为主[1]。出生时鼻粘膜中NK细胞、巨噬细胞和溶菌酶等与健康成人无明显差异,说明胎儿时期非特异性防御系统已经形成,它们可能在胎儿出生后一段时期内抵抗外界病原体侵袭中发挥重要作用。
, 百拇医药
本课题为山东省卫生厅青年科学研究基金资助项目(95-16)
《参考文献》
[1] Igarashi Y, Kaliner MA, Hausfeld JN, et al. Quantification of resident inflammatory cells in the human nasal mucosa. J Allergy Clin Immunol, 1993,91:1082-1093.
(收稿:1998-09-16 修回:1998-10-30)
, 百拇医药
单位:271000 山东泰安 泰山医学院附属医院耳鼻咽喉科(李延忠),妇产科(张万荣);卫生部耳鼻咽喉科学重点实验室(刘景琴、林忠辉)
关键词:
中华耳鼻咽喉科杂志/990130 为了了解人类鼻粘膜免疫屏障形成和发展状况,对早产儿、足月新生儿和健康成人鼻粘膜内各种免疫活性细胞及体液免疫成分进行检测。
一、材料与方法
1.鼻粘膜标本:收集早产儿(27~37周)、足月新生儿和健康成人下鼻甲粘膜各8例,共24例, 常规10%甲醛固定,石蜡包埋,片厚5 μm。
2.试剂:各种单克隆及多克隆抗体CD43 、OPD4、CD20、CD57、CD68、HLA-DR、IgA、IgG、补体C3、溶菌酶及免疫组化SABC试剂盒均购于北京中山生物技术公司。
, http://www.100md.com
3.染色方法:切片进行常规HE染色及免疫组化染色,采用链霉亲合素-生物素过氧化物酶复合物(SABC)法,以上各种单克隆及多克隆抗体为一抗,阳性对照为淋巴结及其他已知阳性组织,阴性对照以磷酸盐缓冲溶液代替一抗,严格按照SABC试剂盒操作规程进行操作。
4.结果判定:胞膜或胞浆染为棕黄色为阳性细胞,采用双盲法在显微镜下观察并计数。各种免疫活性细胞每张切片观察10个高倍(×400)视野,取其平均数。体液成分依照是否着色判为阳性或阴性。
二、结果
所有鼻粘膜均为假复层柱状纤毛上皮,早产儿及足月新生儿鼻粘膜固有层较薄,在小血管周围有少量散在的T淋巴细胞(图1)、T4细胞亚群和B淋巴细胞;粘膜上皮层及基底膜下有一定数量的NK细胞(图2)和巨噬细胞(图3),基底膜HLA-DR抗原大部分表达阳性,粘膜下腺体大部分溶菌酶阳性(图4),但IgA、IgG及补体C3均阴性。健康成人鼻粘膜固有层较厚,其内各种细胞较多,粘膜下腺体粘纤复合体溶菌酶、IgA、IgG、补体C3均可见阳性表达。各组鼻粘膜中免疫活性细胞的数量经统计学t检验,早产儿和足月新生儿鼻粘膜中T 淋巴细胞、T4 细胞亚群、B 淋巴细胞的数量明显少于健康成人(P<0.01),NK细胞、巨噬细胞的数量与健康成人差异无显著性(P>0.05)。
, 百拇医药
图1 早产儿(35周)鼻粘膜T淋巴细胞。SABC染色×400
图2 足月新生儿(40周)鼻粘膜NK细胞。SABC染色×400
图3 足月新生儿(40周)鼻粘膜巨噬细胞。SABC染色×400
图4 早产儿(28周)鼻粘膜下腺体溶菌酶阳性。SABC染色×400
三、讨论
在鼻粘膜的防御机制中免疫因素与非免疫因素均很重要。本检测发现人胎儿出生前鼻粘膜固有层较薄,其中各种细胞较少,但已经出现少量的T 淋巴细胞、T4细胞亚群、B淋巴细胞,并有部分粘膜上皮HLA-DR抗原标记阳性,尚缺乏IgA、IgG及补体C3等,说明人鼻粘膜免疫屏障在出生前形成了一定的细胞免疫的基础,但尚未接受外界各种抗原物质及微生物的侵袭,各种免疫细胞数量尚少,细胞免疫与体液免疫屏障尚不完善。健康成人鼻粘膜中各种免疫活性细胞数量增多,且以T淋巴细胞、T4细胞亚群等为主[1]。出生时鼻粘膜中NK细胞、巨噬细胞和溶菌酶等与健康成人无明显差异,说明胎儿时期非特异性防御系统已经形成,它们可能在胎儿出生后一段时期内抵抗外界病原体侵袭中发挥重要作用。
, 百拇医药
本课题为山东省卫生厅青年科学研究基金资助项目(95-16)
《参考文献》
[1] Igarashi Y, Kaliner MA, Hausfeld JN, et al. Quantification of resident inflammatory cells in the human nasal mucosa. J Allergy Clin Immunol, 1993,91:1082-1093.
(收稿:1998-09-16 修回:1998-10-30)
, 百拇医药