大鼠额叶皮质损害后不同时期胚脑移植效果的比较
作者:吕广明 徐慧君 武义鸣 陈健
单位:南通医学院附属医院神经外科,南通226001
关键词:额叶皮质损伤;脑组织移植;脑电功率谱;大鼠
南通医学院学报000204 [摘 要] 目的:旨在探索脑外伤后进行脑组织移植的适宜时机。方法:用机械抽吸法制作大鼠右侧额叶皮质损害模型。在大鼠额叶皮质损害后立即、9~14天及2个月采用铺片法将E16~17天胚脑额叶皮质移植入皮质损害腔内。动物存活2个月再进行脑功能测试和形态学研究。结果:额叶皮质损害后立即移植鼠移植侧δ、θ频段相对功率值显著高于健侧(P<0.05),α、β频段相对功率值显著低于健侧(P<0.05);DT/AB值也显著高于健侧(P<0.05),脑电功率谱曲线两侧明显不对称。额叶皮质损害后9~14天及2个月移植鼠移植侧δ、θ、α、β频段相对功率值均与健侧近似(P>0.05),DT/AB值也与健侧相近似(P>0 .05),脑电功率谱曲线两侧基本对称。形态学观察可见损害后立即移植鼠未见有移植组织存活,受损的脑功能也没有恢复。损害后9~14天及2个月移植鼠,绝大多数见有良好的移植组织存活,脑电功率谱改善。结论:大鼠额叶皮质损害后9~14天及2个月胚脑移植效果优于损害后立即移植者。
, http://www.100md.com
[中图分类号] R622+.3 [文献标识码] A
[文章编号]1000-2057(2000)02-0126-03
EFFECTS OF FETAL NEOCORTEX TRANSPLANTATION AT DIFFERENT
PERIODS AFTER FRONTAL CORTEX INJURY IN RATS
LU Guangming,XU Huijun,WU Yiming
(Department of Neurobiology, Nantong Medical College, Nantong 226001)
CHEN Jian
, 百拇医药
(Neurosurgery, Nantong Medical College , Nantong 226001)
[Abstract] Objective : To compare the effects of fetal neocortex transplantation at different periods after frontal cortex injury in rats . Methods : The unilateral frontal cortex lesioned models made by gentle aspiration at the right site,were received E 15~17 fetal neocortex transplantation immediately after injury or at 9~14 days or 2 months postlesion respectively. After two months survival period ,host animals were received EEG power spectral analysis and morphological study .Results : The relative power of the brain at grafting sides received graft immediately after injury ,were significantly increased in delta and theta bands and significantly decreased in alpha and beta bands than those of the healthy sides (P<0.05), the values of (delta+theta) / (alpha+beta) [DT/AB] of the grafted sides were significantly higher than those of the healthy sides(P<0.05)and the power spectral curves at grafted sides and healthy sides were still asymmetrical. In the rats received graft either at 9~14 days or 2 months postlesion ,the relative power of the brain at grafted sides in delta, theta, alpha and beta bands were similar to those of healthy sides (P>0.05), and the[DT/AB]values were similar too(P>0.05),and their power spectral curves showed symmetrical at both sides .The morphological observation showed that in the rats received graft immediately after injury with smaller grafts in 2/8,their brain functions were not recovered . However ,in the rats received graft either at 9~14 days or 2 months postlesion, the neural grafts survived well ,and was able to induce sufficient functional effects .Conclusion: These results indicate that the optimal time for transplantation is at 9~14 days after frontal cortex lesion, and the grafting time at 2 months postlesion can also gain good results.
, http://www.100md.com
[Key words] frontal cortex lesion;brain tissue transplantation;EEG power spectral analysis;rat
脑组织移植的动物实验显示移植的脑组织可以存活、生长和发育并与宿主脑组织整合,使受损的神经功能得以恢复[1,2]。损伤后不同时间移植是否均可获得相似的效果呢?本研究采用脑电功率谱分析技术结合形态学方法观察大鼠额叶皮质损害后不同时期胚脑移植的效果,以便为临床应用脑内移植治疗中枢神经系统损伤选择适宜的时机提供实验依据。
1 资料与方法
1.1 实验动物分组 Sprague-Dawley大鼠44只,雌雄不拘,体重180~250g。动物在额叶皮质损害后不同时期进行胚脑移植。根据移植的时间对实验动物进行分组:A正常对照组(n=9),B损害对照组(n=9),C损害后立即移植组(n=8),D损害后9~14天移植组(n=9),E损害后2个月移植组(n=9)。
, 百拇医药
1.2 右侧额叶皮质损害动物模型的制作 实验鼠经腹腔注射Chlorpent(2ml/kg)复合麻醉剂后固定于立体定位仪上。常规消毒。矢状位切开头皮,以冠状缝前1.0mm,矢状缝向右侧旁开2.0mm为中心,在颅骨上钻一个直径4.0mm圆孔,用机械抽吸法吸去孔内皮质,制成右侧额叶皮质损害动物模型[3]。
1.3 胚脑皮质移植 (1)供体准备:取E15~17天胚鼠,置于无菌Hank's液中,断头,剥去颅骨和硬脑膜,夹取前脑前端额区皮质,放入含无菌Hank's液的培养皿中,体视显微镜下剥去软脑膜,切成约1mm3大小的皮质片,准备移植。(2)移植方法和过程:损害后立即移植组在损害后随即直视下将预备好的胚脑皮质片铺覆在宿主脑皮质的创腔内。用小块湿明胶海绵覆盖,缝合头皮;损害后9~14天及2个月移植组在预制脑皮质创腔后相应时间,额叶皮质受损动物再次经Chlorpent腹腔麻醉,手术暴露预制的创腔,植入胚脑皮质。同样用明胶海绵覆盖,缝合头皮;损害对照组动物仅接受麻醉,手术暴露预制的创腔,但不植入任何组织。
, http://www.100md.com
1.4 脑电记录和功率谱分析 胚脑移植大鼠存活2个月后,分别记录上述五组动物两侧额区对称部位脑电活动,并进行功率谱分析。记录及分析方法详见文献[3]中所述。文中所有数据以均数±标准差(
±s)表示。差异显著性检验采用配对t检验方法进行统计学处理。
1.5 组织学方法 胚脑移植大鼠存活2个月在脑电记录之后腹腔注射Chlorpent麻醉,先用100ml生理盐水经心灌注,再用含4%多聚甲醛的0.1mol/L pH7.4 PB 400ml灌注。先快后慢,半小时后断头取脑后固定6~8小时,转入含30%蔗糖的0.1 mol/L pH7.4 PB中,4℃冰箱过夜。翌日恒冷箱切片机切片。片厚40μm,一套Nissl染色,一套AchE组化染色。光镜下观察额叶皮质损害移植区的变化。
2 结 果
, http://www.100md.com
2.1 各组实验动物的脑电功率谱分析 正常对照组动物两侧额区相应部位δ、θ、α、β频段相对功率值基本相近,P>0.05,DT/AB值(δ +θ/α +β)也相似,P>0.05 (表1),脑电功率谱分析曲线两侧额部基本对称(图1-A)。损害对照组动物损害侧δ、θ频段相对功率值显著高于健侧,α、β频段相对功率值显著低于健侧,P<0.05,DT/AB值显著高于健侧,P<0.05(表1)。损害侧与健侧脑电功率谱曲线明显不对称(图1-B)。损害后立即移植组动物移植侧与健侧各频段相对功率值及DT/AB值的变化与损害对照组相似(表1)。脑电功率谱曲线也呈现明显的不对称性(图1-C)。损害后9~14天移植组和损害后2个月移植组动物的脑电功率谱分析结果基本类似。δ、θ、α、β频段相对功率值和DT/AB值移植侧与健侧相近似,P>0.05(表1)。脑电功率谱曲线均接近于对称(图1-D,E)。
图1 大鼠额叶皮质损害不同时期胚脑移植后的脑电功率谱曲线
, http://www.100md.com
A正常鼠,B额叶皮质损害鼠,C损害后立即移植鼠,D损害后9~14天移植鼠,E损害后2个月移植鼠
表1 大鼠额叶皮质损害后不同时期胚脑移植的脑电功率谱分析(
±s) 组 别
侧别
相对功率值(%)
DT/AB
δ
θ
α
β
A
, 百拇医药
(n=9)
B
(n=9)
C
(n=8)
D
(n=9)
E
(n=9)
左
右
左
右△
, http://www.100md.com
左
右△
左
右△
左
右△
30.8±9.2
29.0±9.9
28.4±11.0
35.8±9.2*
17.8±9.0
23.2±6.0*
, 百拇医药
19.8±9.2
21.9±6.4
17.7±7.6
16.6±8.5
29.6±6.4
29.3±5.8
22.6±5.8
29.8±6.7*
20.7±7.8
25.4±9.0*
21.1±5.7
, 百拇医药
25.4±6.1
25.8±6.1
29.9±7.4
26.7±5.2
27.1±5.4
31.0±9.7
23.8±6.9*
43.2±16.0
36.9±14.1**
36.4±8.1
35.4±9.0
, 百拇医药
33.4±6.6
31.7±5.3
12.8±3.4
14.6±2.9
18.0±7.0
10.7±2.6**
18.3±8.1
14.6±5.2*
22.8±17.6
17.7±7.8
23.1±8.1
, 百拇医药
21.9±9.4
1.6±0.5
1.5±0.5
1.1±0.5
2.0±0.5*
0.7±0.5
1.1±0.6**
0.8±0.4
0.9±0.3
0.8±0.2
0.9±0.4
与左侧(健侧)比较,*P<0.05, **P<0.01;△损害侧或移植侧
, http://www.100md.com
2.2 形态学观察 从固定鼠脑标本大体形态上看,C组皮质移植部位大多数中央凹陷,其底部有黄褐色沉积物。D、E两组皮质移植部位大多数可见存活的移植物隆起于大脑皮层表面,色泽白,类似于宿主周围正常皮质。
Nissl染色切片镜下观察可见,C组移植区8例动物有6例未找到存活的移植组织,移植部位仍凹陷,深度与损伤腔相似,边缘整齐,底部可见有少量胶质细胞、成纤维细胞。2例动物虽有移植物存活,但其体积甚小,仅位于损害腔的底部,宿主和移植物连接不紧密,交界面有较多较大的空隙。移植区内所见神经元数目少,胶质细胞增生明显(图2)。D、E两组动物移植部位均可见有移植物存活,呈卵圆形或楔形,填满整个损伤腔。宿主和移植物紧密相连,空隙少见。移植区内所见存活的神经元数目多,排列方向各不相同。宿主与移植物交界处见有胶质细胞增生(图3,4)。AchE组化染色显示D、E两组移植区内有AchE阳性神经元和神经纤维,这种AchE阳性神经元既有胞体较大,突起较多较长的细胞,也可见有多个胞体小而圆,无突起的细胞(图5)。
, 百拇医药
3 讨 论
本研究发现无论从脑电功率谱和形态学结果上均可见损伤后立即移植效果明显不如损伤后9~14天及2个月移植效果好。由此可见脑损伤后立即进行脑内移植效果不佳,而采用延迟移植方法则效果较好,这与Gonzalez等报道的结果相一致[4]。损害后立即进行移植移植细胞不易存活,其机制可能有如下几个方面:(1)脑损伤初期损害区渗出多,周围脑组织水肿,移植入的胚脑组织难于及时获得血供和营养,且易招致细菌感染,不利于移植物存活生长[3]。(2)脑损伤可引起脑内乙酰胆碱、儿茶酚胺、兴奋性氨基酸、内源性阿片肽、氧自由基、缓激肽、5-羟色胺、组胺、血小板激活因子和钙离子等内源性损害因子的异常变化[5],直接损害脑细胞,破坏血脑屏障,加重脑水肿。Siesjo认为脑损伤后兴奋性氨基酸作用于钙通道使细胞外钙离子内流、产生氧自由基及酸中毒等可能是引起神经元坏死的三个主要因素[6]。脑损伤初期这些物质浓度相对较高,胚脑细胞移植入这种微环境之中,显然不易存活和生长。(3)脑损伤有可能激活宿主免疫防御系统,加之损害部位血脑屏障被破坏,血液中的免疫因子可渗入损伤区,此时植入胚脑组织容易引起排斥反应而不利于存活。


, http://www.100md.com
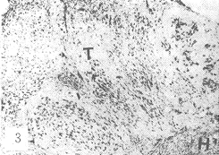
图2 损害后立即移植鼠脑尼氏染色切片可见移植区存活神经元数目少,有明显的胶质反应。(T移植物,H宿主皮质,下同)×13.2
图3 损害后9~14天移植鼠脑尼氏染色切片可见移植区存活神经元数目多,呈不同方向排列。 ×13.2
图4 损害后2个月移植鼠脑尼氏染色切片可见移植区存活神经元数目多,与宿主紧密相连。 ×13.2
图5 损害后2个月移植鼠脑AchE组织化学染色切片示胞体大且突起长的AchE阳性神经元。 ×66
损害后9~14天移植鼠存活2个月,发现不仅移植物存活生长良好,而且脑电功率谱改善。移植胚脑细胞能良好存活生长,其机制可能是损伤能诱导机体产生并释放某些内源性保护因子如神经生长因子、神经节苷脂、腺苷、热休克蛋白等[5], 对脑神经元起保护作用。这可能是损害后9~14天胚脑移植取得良好结果的原因之一。Cotman及其同事们经过一系列实验指出在皮质损伤和植入移植物之间经过一段时间的延迟是至关重要的[2]。Nieto-Sampedro等将胚纹状体移植物植入成年大鼠皮层预制的损伤腔内,发现术后延迟5~20天移植比术后立即移植的存活率大大改善,并认为术后8~10天是移植的最佳时机,因为有研究表明损伤后8~10天神经营养因子的活力达到最高峰[1]。Gibbs和Cotman关于胚内嗅皮质移植研究发现损伤后8~10天移植与伤后立即移植相比,不仅移植物存活大大改善,而且加速与宿主的整合[7]。Gonzalez和Sharp 发现皮质损害延迟7天移植比术后立即移植的移植物存活率增加4倍[4]。我们的研究结果与之结果相符合。
, http://www.100md.com
皮质损害后2个月移植同样取得较令人满意的结果,移植物的存活和脑功能的恢复与损伤后9~14天移植结果无明显差别。本研究室在中枢神经系统损伤后胶质反应的研究中发现损伤区星形胶质细胞在7天后增生逐渐增加并见有胞体大、突起粗的反应性胶质细胞,在伤后10~14天达到高峰,且持续存在达数月之久[8]。有研究报道星形细胞能形成或分泌神经生长因子(nerve growth factor,NGF)、促轴索因子(neurite-promoting factor,NPF)、胰岛素生长因子(insulin-like growth factor,IGF)等多种神经营养因子,这些因子能促进中枢神经和周围神经轴索的生长和存活。Bjorklund等在尾状核背侧的脑皮层造腔,术后3~6周进行黑质移植,也取得较满意的结果。他们认为这时创腔内已有丰富的新生软脑膜血管生长,好似移植组织的“培养床”,有利于移植物存活。Grabowski等发现在制作缺血性脑梗塞模型后8周进行胚脑皮质移植,移植物与损伤后5~7天移植一样能较好地存活,他们将原因归之于移植部位的高度血管化[9],植入组织易获得血供而存活。这对于临床应用脑内移植治疗脑外伤后遗症来说,无疑具有积极意义。
, 百拇医药
选择适宜的移植时机不仅与移植物的存活有关,而且影响宿主脑功能的恢复过程。移植效应的大小不同程度上依赖于外伤后移植时间的长短。Kolb提出脑内移植促进神经功能最大程度恢复的诸因素中移植时机的选择可能是起决定作用的因素[10]。本实验表明损害后2周是进行脑内移植的最佳时机,但损害后2月移植亦获得相近的移植效果,这为临床应用脑内移植修复陈旧性脑外伤提供了实验依据。但对有关理论和机制尚需要作进一步的深入研究。
[基金项目]交通部基金资助项目,编号92-005-2
[参考文献]
[1] Nieto-Sampedro M,Manthope M,Barbin G,et al .Injury-induced neuronotrophic activity in adult rat brain: Correlation with survival of delayed implants in the wound cavity[J]. J Neurosci,1983,3∶2219.
, 百拇医药
[2] Cotman CW, Nieto-Sampedro M, Whittemore SR .Relationships between neuronotrophic factors and transplant-host integration .In :Neural grafting in the mammalian CNS ,edited by Bjorklund A and Stenevi U[J]. Elsevier Science Publishers BV, Amsterdam, 1985.169.
[3] Gonzalez MF,Sharp FR. Fetal frontal cortex transplanted to injured motorsensory cortex of adult rats.Ⅰ. NADPH-diaphorase neurons[J]. J Neursci, 1987,7∶2991.
[4] 吕广明,武义鸣,徐慧君,等.大鼠额叶皮质损害的脑电功率谱和形态学研究[J].神经解剖学杂志,1996,12(1)∶42.
, 百拇医药
[5] 江基尧,朱 诚.现代脑损伤[M].上海:上海科学技术文献出版社,1995.1.
[6] Siesjo BK. Pathophysiology and treatment of focal cerebral ischemia. PartⅡ: Mechanisms of damage and treatment[J]. J Neurosurg,1992,77∶337.
[7] Gibbs RB,Cotman CW .Factors affecting survival and outgrowth from transplants of entorhinal cortex[J]. Neuroscience,1987,21∶699.
[8] 冯家笙,徐慧君,武义鸣,等.中枢神经系统损伤后不同时期星形胶质细胞的变化[J].解剖学报,1996,27(1)∶11.
, http://www.100md.com
[9] Grabowski M,Johansson BB,Brundin P. Survival of fetal neocortical grafts implanted in brain infarcts of adult rats: The influence of postlesion time and age of donor tissue[J]. Exp Neurol,1994,127∶126.
[10] Kolb B,Fantie B. Cortical graft function in adult and neonatal rats. In:Functional neural transplantation ,edited by Dunnett SB and Bjorklund A[J]. New York :Raven Press,1994.415.
(1999-12-22收稿), 百拇医药
单位:南通医学院附属医院神经外科,南通226001
关键词:额叶皮质损伤;脑组织移植;脑电功率谱;大鼠
南通医学院学报000204 [摘 要] 目的:旨在探索脑外伤后进行脑组织移植的适宜时机。方法:用机械抽吸法制作大鼠右侧额叶皮质损害模型。在大鼠额叶皮质损害后立即、9~14天及2个月采用铺片法将E16~17天胚脑额叶皮质移植入皮质损害腔内。动物存活2个月再进行脑功能测试和形态学研究。结果:额叶皮质损害后立即移植鼠移植侧δ、θ频段相对功率值显著高于健侧(P<0.05),α、β频段相对功率值显著低于健侧(P<0.05);DT/AB值也显著高于健侧(P<0.05),脑电功率谱曲线两侧明显不对称。额叶皮质损害后9~14天及2个月移植鼠移植侧δ、θ、α、β频段相对功率值均与健侧近似(P>0.05),DT/AB值也与健侧相近似(P>0 .05),脑电功率谱曲线两侧基本对称。形态学观察可见损害后立即移植鼠未见有移植组织存活,受损的脑功能也没有恢复。损害后9~14天及2个月移植鼠,绝大多数见有良好的移植组织存活,脑电功率谱改善。结论:大鼠额叶皮质损害后9~14天及2个月胚脑移植效果优于损害后立即移植者。
, http://www.100md.com
[中图分类号] R622+.3 [文献标识码] A
[文章编号]1000-2057(2000)02-0126-03
EFFECTS OF FETAL NEOCORTEX TRANSPLANTATION AT DIFFERENT
PERIODS AFTER FRONTAL CORTEX INJURY IN RATS
LU Guangming,XU Huijun,WU Yiming
(Department of Neurobiology, Nantong Medical College, Nantong 226001)
CHEN Jian
, 百拇医药
(Neurosurgery, Nantong Medical College , Nantong 226001)
[Abstract] Objective : To compare the effects of fetal neocortex transplantation at different periods after frontal cortex injury in rats . Methods : The unilateral frontal cortex lesioned models made by gentle aspiration at the right site,were received E 15~17 fetal neocortex transplantation immediately after injury or at 9~14 days or 2 months postlesion respectively. After two months survival period ,host animals were received EEG power spectral analysis and morphological study .Results : The relative power of the brain at grafting sides received graft immediately after injury ,were significantly increased in delta and theta bands and significantly decreased in alpha and beta bands than those of the healthy sides (P<0.05), the values of (delta+theta) / (alpha+beta) [DT/AB] of the grafted sides were significantly higher than those of the healthy sides(P<0.05)and the power spectral curves at grafted sides and healthy sides were still asymmetrical. In the rats received graft either at 9~14 days or 2 months postlesion ,the relative power of the brain at grafted sides in delta, theta, alpha and beta bands were similar to those of healthy sides (P>0.05), and the[DT/AB]values were similar too(P>0.05),and their power spectral curves showed symmetrical at both sides .The morphological observation showed that in the rats received graft immediately after injury with smaller grafts in 2/8,their brain functions were not recovered . However ,in the rats received graft either at 9~14 days or 2 months postlesion, the neural grafts survived well ,and was able to induce sufficient functional effects .Conclusion: These results indicate that the optimal time for transplantation is at 9~14 days after frontal cortex lesion, and the grafting time at 2 months postlesion can also gain good results.
, http://www.100md.com
[Key words] frontal cortex lesion;brain tissue transplantation;EEG power spectral analysis;rat
脑组织移植的动物实验显示移植的脑组织可以存活、生长和发育并与宿主脑组织整合,使受损的神经功能得以恢复[1,2]。损伤后不同时间移植是否均可获得相似的效果呢?本研究采用脑电功率谱分析技术结合形态学方法观察大鼠额叶皮质损害后不同时期胚脑移植的效果,以便为临床应用脑内移植治疗中枢神经系统损伤选择适宜的时机提供实验依据。
1 资料与方法
1.1 实验动物分组 Sprague-Dawley大鼠44只,雌雄不拘,体重180~250g。动物在额叶皮质损害后不同时期进行胚脑移植。根据移植的时间对实验动物进行分组:A正常对照组(n=9),B损害对照组(n=9),C损害后立即移植组(n=8),D损害后9~14天移植组(n=9),E损害后2个月移植组(n=9)。
, 百拇医药
1.2 右侧额叶皮质损害动物模型的制作 实验鼠经腹腔注射Chlorpent(2ml/kg)复合麻醉剂后固定于立体定位仪上。常规消毒。矢状位切开头皮,以冠状缝前1.0mm,矢状缝向右侧旁开2.0mm为中心,在颅骨上钻一个直径4.0mm圆孔,用机械抽吸法吸去孔内皮质,制成右侧额叶皮质损害动物模型[3]。
1.3 胚脑皮质移植 (1)供体准备:取E15~17天胚鼠,置于无菌Hank's液中,断头,剥去颅骨和硬脑膜,夹取前脑前端额区皮质,放入含无菌Hank's液的培养皿中,体视显微镜下剥去软脑膜,切成约1mm3大小的皮质片,准备移植。(2)移植方法和过程:损害后立即移植组在损害后随即直视下将预备好的胚脑皮质片铺覆在宿主脑皮质的创腔内。用小块湿明胶海绵覆盖,缝合头皮;损害后9~14天及2个月移植组在预制脑皮质创腔后相应时间,额叶皮质受损动物再次经Chlorpent腹腔麻醉,手术暴露预制的创腔,植入胚脑皮质。同样用明胶海绵覆盖,缝合头皮;损害对照组动物仅接受麻醉,手术暴露预制的创腔,但不植入任何组织。
, http://www.100md.com
1.4 脑电记录和功率谱分析 胚脑移植大鼠存活2个月后,分别记录上述五组动物两侧额区对称部位脑电活动,并进行功率谱分析。记录及分析方法详见文献[3]中所述。文中所有数据以均数±标准差(
1.5 组织学方法 胚脑移植大鼠存活2个月在脑电记录之后腹腔注射Chlorpent麻醉,先用100ml生理盐水经心灌注,再用含4%多聚甲醛的0.1mol/L pH7.4 PB 400ml灌注。先快后慢,半小时后断头取脑后固定6~8小时,转入含30%蔗糖的0.1 mol/L pH7.4 PB中,4℃冰箱过夜。翌日恒冷箱切片机切片。片厚40μm,一套Nissl染色,一套AchE组化染色。光镜下观察额叶皮质损害移植区的变化。
2 结 果
, http://www.100md.com
2.1 各组实验动物的脑电功率谱分析 正常对照组动物两侧额区相应部位δ、θ、α、β频段相对功率值基本相近,P>0.05,DT/AB值(δ +θ/α +β)也相似,P>0.05 (表1),脑电功率谱分析曲线两侧额部基本对称(图1-A)。损害对照组动物损害侧δ、θ频段相对功率值显著高于健侧,α、β频段相对功率值显著低于健侧,P<0.05,DT/AB值显著高于健侧,P<0.05(表1)。损害侧与健侧脑电功率谱曲线明显不对称(图1-B)。损害后立即移植组动物移植侧与健侧各频段相对功率值及DT/AB值的变化与损害对照组相似(表1)。脑电功率谱曲线也呈现明显的不对称性(图1-C)。损害后9~14天移植组和损害后2个月移植组动物的脑电功率谱分析结果基本类似。δ、θ、α、β频段相对功率值和DT/AB值移植侧与健侧相近似,P>0.05(表1)。脑电功率谱曲线均接近于对称(图1-D,E)。
图1 大鼠额叶皮质损害不同时期胚脑移植后的脑电功率谱曲线
, http://www.100md.com
A正常鼠,B额叶皮质损害鼠,C损害后立即移植鼠,D损害后9~14天移植鼠,E损害后2个月移植鼠
表1 大鼠额叶皮质损害后不同时期胚脑移植的脑电功率谱分析(
侧别
相对功率值(%)
DT/AB
δ
θ
α
β
A
, 百拇医药
(n=9)
B
(n=9)
C
(n=8)
D
(n=9)
E
(n=9)
左
右
左
右△
, http://www.100md.com
左
右△
左
右△
左
右△
30.8±9.2
29.0±9.9
28.4±11.0
35.8±9.2*
17.8±9.0
23.2±6.0*
, 百拇医药
19.8±9.2
21.9±6.4
17.7±7.6
16.6±8.5
29.6±6.4
29.3±5.8
22.6±5.8
29.8±6.7*
20.7±7.8
25.4±9.0*
21.1±5.7
, 百拇医药
25.4±6.1
25.8±6.1
29.9±7.4
26.7±5.2
27.1±5.4
31.0±9.7
23.8±6.9*
43.2±16.0
36.9±14.1**
36.4±8.1
35.4±9.0
, 百拇医药
33.4±6.6
31.7±5.3
12.8±3.4
14.6±2.9
18.0±7.0
10.7±2.6**
18.3±8.1
14.6±5.2*
22.8±17.6
17.7±7.8
23.1±8.1
, 百拇医药
21.9±9.4
1.6±0.5
1.5±0.5
1.1±0.5
2.0±0.5*
0.7±0.5
1.1±0.6**
0.8±0.4
0.9±0.3
0.8±0.2
0.9±0.4
与左侧(健侧)比较,*P<0.05, **P<0.01;△损害侧或移植侧
, http://www.100md.com
2.2 形态学观察 从固定鼠脑标本大体形态上看,C组皮质移植部位大多数中央凹陷,其底部有黄褐色沉积物。D、E两组皮质移植部位大多数可见存活的移植物隆起于大脑皮层表面,色泽白,类似于宿主周围正常皮质。
Nissl染色切片镜下观察可见,C组移植区8例动物有6例未找到存活的移植组织,移植部位仍凹陷,深度与损伤腔相似,边缘整齐,底部可见有少量胶质细胞、成纤维细胞。2例动物虽有移植物存活,但其体积甚小,仅位于损害腔的底部,宿主和移植物连接不紧密,交界面有较多较大的空隙。移植区内所见神经元数目少,胶质细胞增生明显(图2)。D、E两组动物移植部位均可见有移植物存活,呈卵圆形或楔形,填满整个损伤腔。宿主和移植物紧密相连,空隙少见。移植区内所见存活的神经元数目多,排列方向各不相同。宿主与移植物交界处见有胶质细胞增生(图3,4)。AchE组化染色显示D、E两组移植区内有AchE阳性神经元和神经纤维,这种AchE阳性神经元既有胞体较大,突起较多较长的细胞,也可见有多个胞体小而圆,无突起的细胞(图5)。
, 百拇医药
3 讨 论
本研究发现无论从脑电功率谱和形态学结果上均可见损伤后立即移植效果明显不如损伤后9~14天及2个月移植效果好。由此可见脑损伤后立即进行脑内移植效果不佳,而采用延迟移植方法则效果较好,这与Gonzalez等报道的结果相一致[4]。损害后立即进行移植移植细胞不易存活,其机制可能有如下几个方面:(1)脑损伤初期损害区渗出多,周围脑组织水肿,移植入的胚脑组织难于及时获得血供和营养,且易招致细菌感染,不利于移植物存活生长[3]。(2)脑损伤可引起脑内乙酰胆碱、儿茶酚胺、兴奋性氨基酸、内源性阿片肽、氧自由基、缓激肽、5-羟色胺、组胺、血小板激活因子和钙离子等内源性损害因子的异常变化[5],直接损害脑细胞,破坏血脑屏障,加重脑水肿。Siesjo认为脑损伤后兴奋性氨基酸作用于钙通道使细胞外钙离子内流、产生氧自由基及酸中毒等可能是引起神经元坏死的三个主要因素[6]。脑损伤初期这些物质浓度相对较高,胚脑细胞移植入这种微环境之中,显然不易存活和生长。(3)脑损伤有可能激活宿主免疫防御系统,加之损害部位血脑屏障被破坏,血液中的免疫因子可渗入损伤区,此时植入胚脑组织容易引起排斥反应而不利于存活。
, http://www.100md.com
图2 损害后立即移植鼠脑尼氏染色切片可见移植区存活神经元数目少,有明显的胶质反应。(T移植物,H宿主皮质,下同)×13.2
图3 损害后9~14天移植鼠脑尼氏染色切片可见移植区存活神经元数目多,呈不同方向排列。 ×13.2
图4 损害后2个月移植鼠脑尼氏染色切片可见移植区存活神经元数目多,与宿主紧密相连。 ×13.2
图5 损害后2个月移植鼠脑AchE组织化学染色切片示胞体大且突起长的AchE阳性神经元。 ×66
损害后9~14天移植鼠存活2个月,发现不仅移植物存活生长良好,而且脑电功率谱改善。移植胚脑细胞能良好存活生长,其机制可能是损伤能诱导机体产生并释放某些内源性保护因子如神经生长因子、神经节苷脂、腺苷、热休克蛋白等[5], 对脑神经元起保护作用。这可能是损害后9~14天胚脑移植取得良好结果的原因之一。Cotman及其同事们经过一系列实验指出在皮质损伤和植入移植物之间经过一段时间的延迟是至关重要的[2]。Nieto-Sampedro等将胚纹状体移植物植入成年大鼠皮层预制的损伤腔内,发现术后延迟5~20天移植比术后立即移植的存活率大大改善,并认为术后8~10天是移植的最佳时机,因为有研究表明损伤后8~10天神经营养因子的活力达到最高峰[1]。Gibbs和Cotman关于胚内嗅皮质移植研究发现损伤后8~10天移植与伤后立即移植相比,不仅移植物存活大大改善,而且加速与宿主的整合[7]。Gonzalez和Sharp 发现皮质损害延迟7天移植比术后立即移植的移植物存活率增加4倍[4]。我们的研究结果与之结果相符合。
, http://www.100md.com
皮质损害后2个月移植同样取得较令人满意的结果,移植物的存活和脑功能的恢复与损伤后9~14天移植结果无明显差别。本研究室在中枢神经系统损伤后胶质反应的研究中发现损伤区星形胶质细胞在7天后增生逐渐增加并见有胞体大、突起粗的反应性胶质细胞,在伤后10~14天达到高峰,且持续存在达数月之久[8]。有研究报道星形细胞能形成或分泌神经生长因子(nerve growth factor,NGF)、促轴索因子(neurite-promoting factor,NPF)、胰岛素生长因子(insulin-like growth factor,IGF)等多种神经营养因子,这些因子能促进中枢神经和周围神经轴索的生长和存活。Bjorklund等在尾状核背侧的脑皮层造腔,术后3~6周进行黑质移植,也取得较满意的结果。他们认为这时创腔内已有丰富的新生软脑膜血管生长,好似移植组织的“培养床”,有利于移植物存活。Grabowski等发现在制作缺血性脑梗塞模型后8周进行胚脑皮质移植,移植物与损伤后5~7天移植一样能较好地存活,他们将原因归之于移植部位的高度血管化[9],植入组织易获得血供而存活。这对于临床应用脑内移植治疗脑外伤后遗症来说,无疑具有积极意义。
, 百拇医药
选择适宜的移植时机不仅与移植物的存活有关,而且影响宿主脑功能的恢复过程。移植效应的大小不同程度上依赖于外伤后移植时间的长短。Kolb提出脑内移植促进神经功能最大程度恢复的诸因素中移植时机的选择可能是起决定作用的因素[10]。本实验表明损害后2周是进行脑内移植的最佳时机,但损害后2月移植亦获得相近的移植效果,这为临床应用脑内移植修复陈旧性脑外伤提供了实验依据。但对有关理论和机制尚需要作进一步的深入研究。
[基金项目]交通部基金资助项目,编号92-005-2
[参考文献]
[1] Nieto-Sampedro M,Manthope M,Barbin G,et al .Injury-induced neuronotrophic activity in adult rat brain: Correlation with survival of delayed implants in the wound cavity[J]. J Neurosci,1983,3∶2219.
, 百拇医药
[2] Cotman CW, Nieto-Sampedro M, Whittemore SR .Relationships between neuronotrophic factors and transplant-host integration .In :Neural grafting in the mammalian CNS ,edited by Bjorklund A and Stenevi U[J]. Elsevier Science Publishers BV, Amsterdam, 1985.169.
[3] Gonzalez MF,Sharp FR. Fetal frontal cortex transplanted to injured motorsensory cortex of adult rats.Ⅰ. NADPH-diaphorase neurons[J]. J Neursci, 1987,7∶2991.
[4] 吕广明,武义鸣,徐慧君,等.大鼠额叶皮质损害的脑电功率谱和形态学研究[J].神经解剖学杂志,1996,12(1)∶42.
, 百拇医药
[5] 江基尧,朱 诚.现代脑损伤[M].上海:上海科学技术文献出版社,1995.1.
[6] Siesjo BK. Pathophysiology and treatment of focal cerebral ischemia. PartⅡ: Mechanisms of damage and treatment[J]. J Neurosurg,1992,77∶337.
[7] Gibbs RB,Cotman CW .Factors affecting survival and outgrowth from transplants of entorhinal cortex[J]. Neuroscience,1987,21∶699.
[8] 冯家笙,徐慧君,武义鸣,等.中枢神经系统损伤后不同时期星形胶质细胞的变化[J].解剖学报,1996,27(1)∶11.
, http://www.100md.com
[9] Grabowski M,Johansson BB,Brundin P. Survival of fetal neocortical grafts implanted in brain infarcts of adult rats: The influence of postlesion time and age of donor tissue[J]. Exp Neurol,1994,127∶126.
[10] Kolb B,Fantie B. Cortical graft function in adult and neonatal rats. In:Functional neural transplantation ,edited by Dunnett SB and Bjorklund A[J]. New York :Raven Press,1994.415.
(1999-12-22收稿), 百拇医药