大支气管疾病的体层、高千伏摄影诊断
作者:陈平有 杨守俊 陈学强
单位:郧阳医学院附属太和医院放射科 十堰
关键词:支气管疾病;体层摄影术;X线
郧阳医学院学报/990109摘要 目的:分析评价体层、高千伏摄影诊断大支气管疾病的价值。方法:本组100例大支气管疾病,全部病例均摄有正位胸片及体层和/或高千伏片,部分病例同时有CT检查。结果:95例由质量良好的体层或高千伏片作出诊断,诊断符合率为95%(95/100)。结论:体层、高千伏摄影在大支气管疾病诊断中仍是一种简便、有效而经济的影像诊断方法,应作为首选。
中国图书资料分类法分类号 R814.4
High Kilovoltage,Tomography in the Diagnosis of Major Bronchopathy
, 百拇医药
Chen Pingyou,Yang Shoujun,Chen Xueqiang
(Department of Radiology,Taihe Hospital,Yunyang Medical College,Shiyan 442000)
Abstract Objective:To evaluate the application of high kilovoltage tomography in the diagnosis of major bronchopathy.Methods:100 cases were chosen.In all the cases were taken orthotopic chest radiogram and/or high kilovoltage radiogram.Some of the cases were scanned by CT.Results:95 cases of major bronchopathy were proved to be correctly diagnosed by good tomography or high kilovoltage radiogram,the diagnostic accordance rate being 95%(95/100).Conclusion:High kilovoltage,tomography is a simple,effective and economical method of diagnosis.It should be the prior choice in the diagnosis of major bronchopathy.
, 百拇医药
Key words bronchial disease; tomography,X-ray
目前,影像医学发展迅速,尤其CT,MRI相继应用于临床,使影像诊断水平向前跨了一大步。但在影像检查的选用中,有追求高新方法,忽略基础检查的趋向。为此,笔者分析一组大支气管疾病的体层、高千伏摄影诊断,着重探讨其诊断价值。
1 资料与方法
1.1 资料
男79例,女21例,年龄21~72岁。主或叶支气管肿瘤80例,其中支气管肺癌77例,支气管良性肿瘤3例(腺瘤2例,平滑肌瘤1例)。主或叶支气管结核18例。外伤性右主支气管断裂2例。
1.2 方法
所有患者摄有正位胸片,部分有侧位胸片,72例支气管肺癌、3例支气管良性肿瘤和12例支气管结核有支气管冠状体层,部分有支气管侧倾体层。1例支气管结核同时有体层和高千伏摄影。其余13例摄有高千伏片。另12例支气管肿瘤、3例支气管结核还有CT检查。支气管肿瘤和支气管结核均有纤维支气管镜检查,多数支气管肿瘤又做了手术。2例右主支气管断裂经手术证实。
, 百拇医药
2 结果
2.1 胸部平片表现
7例支气管肺癌、5例支气管结核表现为一侧性肺不张,1例支气管肺癌表现为一侧阻塞性肺气肿。另72例支气管肿瘤、13例支气管结核表现为阻塞性肺炎或肺不张,累及一个或二个肺叶。11例支气管结核同侧或对侧肺有结核病灶。外伤性支气管断裂为大量气胸、纵隔积气。
2.2 体层片表现
72例支气管肺癌、3例支气管良性肿瘤全部显示直接征象,为支气管腔内软组织肿块(图1)、腔壁增厚、支气管狭窄或中断、腔外侵犯(图2)。72例支气管肺癌正确诊断,3例支气管良性肿瘤全部误诊为支气管肺癌。支气管结核12例有体层摄影,6例表现为支气管长段不规则狭窄,部分有支气管扭曲(图3),诊断与病理相符。4例管腔渐进性狭窄,边缘光滑,其中2例阻塞肺野密度均匀,误诊为支气管肺癌。2例支气管完全阻断,呈尖角状,其中1例阻肺病变性质显示不清而又摄取高千伏片。
, 百拇医药
2.3 高千伏片表现
5例支气管肺癌并一侧肺不张有高千伏摄影,表现为主支气管呈锥状或杯口状阻断,腔壁增厚和腔外肿块,不张肺密度均匀,全部诊断正确。7例支气管结核高千伏诊断,其中1例体层片未能诊断,而高千伏片发现阻塞肺密度极不均匀得以诊断。2例右主支气管断裂表现为主支气管气柱中断,肺坠积。
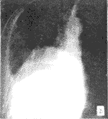
图1 左主支气管肺癌,体层片示左主支气管腔内小结节状肿块,左肺阻塞性肺气肿。
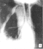
图2 支气管肺癌,体层片示右中间支气管呈杯口状阻断,右中下肺不张。
, 百拇医药 图3 支气管结核,高千伏片见右上叶支气管长段不规则狭窄扭曲,阻塞肺密度不均匀。
图4 支气管肺癌,体层片显示右下叶支气管病变全貌,包括病变位置、形态、长度范围、腔内外侵犯程度等。
图5 支气管结核,体层片未能诊断,高千伏片见左主支气管锥状狭窄阻塞,阻塞肺密度不均匀及广泛胸膜钙化。
3 讨论
3.1 大支气管疾病体层摄影的诊断价值
大支气管肿瘤较多见,其影像诊断并不困难。作为影像诊断方法之一的体层摄影在大支气管肿瘤的诊断中有自已的特点:(1)能清楚显示肿瘤的直接征象,如腔内肿块、腔壁增厚及支气管狭窄、阻塞等,诊断准确率高。本组75例,除3例良性肿瘤定性为恶性外,72例定性与病理相符,符合率为96.0%(72/75)。(2)在同一体层片上病变全貌,包括肿瘤的位置、形态、长度范围、病变处最窄内径和位置、肿瘤有无腔处侵犯等等显示清楚(图4),为手术方案的选择提供重要依据[1]。(3)体层摄影设备要求不高,操作简单,检查费用低,易被基层医院和广大患者接受。CT为横断分层摄影,对肿瘤整体形态的显示,即空间分辨率不及体层摄影,另外由于CT的部分容积效应,使病变长度范围的测量也不够精确[2]。但CT对肿瘤腔外侵犯以及侵犯范围、程度的显示明显优于体层摄影。MRI为三维成像,在显示肿瘤腔内、外侵犯方面优越于CT,但MRI设备昂贵,检查费用高,使其不能普及应用。由此可见,体层摄影特点突出,诊断大支气管肿瘤的可靠性高,应视为首选方法。在需要了解恶性肿瘤腔外侵犯范围和程度时,可适当选用CT。
, 百拇医药
支气管结核又名支气管内膜结核,一般由肺内结核或纵隔、肺门淋巴结核侵及支气管所致,发生率约为18%[3]。其主要影像表现是支气管长段不规则狭窄阻塞和阻塞肺内容物密度不均匀,有多种符合结核病理改变的病灶。体层摄影能较好显示支气管狭窄阻塞的特点和阻塞肺内容物的性质,对诊断有较大帮助。本组12例行体层摄影的支气管结核有9例作出诊断,正确率为75.0%(9/12)。CT在显示病变支气管全貌方面逊色于体层摄影,但CT密度分辨率高,对阻塞肺内容物性质的显示优于体层摄影[4]。因此,体层摄影对大支气管结核的诊断仍有较大价值,应作为基本诊断方法,在支气管结核与支气管肿瘤鉴别困难,需要进一步了解阻塞肺内容物性质时,CT具有重要作用。
3.2 大支气管疾病高千伏摄影的诊断价值
高千伏摄影穿透力强,肺野可见度增加,气管、肺门区支气管显示清楚。据Formin的总结,不用支气管镜和体层摄影,单用高千伏诊断支气管肺癌,其诊断准确率高达93%。本组仅5例支气管肺癌摄有高千伏,全部准确诊断。支气管结核的高千伏诊断同样有效,因为除了病变支气管显示清楚之外,它能较体层摄影更好的显示病变肺内容物,如小结节影、钙化、纤维化、空洞、支气管扩张等多种符合结核的病理改变。本组摄有高千伏的7例支气管结核全部诊断正确,其中1例体层片示左主支气管锥状阻塞狭窄,阻塞肺内容物性质显示不清,诊断困难,而高千伏发现阻塞肺密度不均匀,有陈旧性结核灶和条片状胸膜钙化而得以诊断(图5)。可见,高千伏摄影与体层摄影一样,在大支气管肿瘤和结核的诊断中起着重要作用,加之其设备、操作更简单,检查费用更低,因此,高千伏诊断大支气管疾病较体层摄影更易在基层医院普及应用。
, 百拇医药
外伤性支气管断裂虽不多见,但死亡率较高。以前推崇体层摄影,但高千伏摄影同样可以显示支气管的断端[5],并且操作比体层摄影更简单,出结果快。所以,笔者认为胸外伤病人疑有支气管断裂时宜首选高千伏摄影,而操作相对较复杂的体层摄影,尤其CT应作为必要时的辅助诊断方法。
3.3 误诊病例分析
本组5例误诊病例反映了体层摄影的局限性,即密度分辨率较低。3例支气管良性肿瘤的误诊是因肿瘤基底部与支气管壁的关系未能显示清楚。2例支气管结核误诊是因患者年龄偏大(大于50岁),支气管呈光滑锥状狭窄,阻塞肺密度均匀,为非典型支气管结核。尽管如此,体层和高千伏对大支气管疾病的诊断价值是肯定的,只要提高认识,合理应用,定会减少误诊。
在影像医学迅速发展的今天,作为基础影像检查方法的体层和高千伏摄影,仍在大支气管疾病的诊断中占居重要地位,在某些方面不亚于甚至优于CT,它符合影像诊断检查原则:安全、有效、简便、经济,宜进一步应用提高。而CT的选用应根据诊断、治疗的需要和患者经济条件,不宜视为常规。
, http://www.100md.com
作者简介:陈平有,男,1965年生,讲师
参考文献
1 徐天乐,孙成孚,李泽坚.气管支气管肿瘤的诊断和治疗.中华外科杂志,1980,18:423
2 Spizarny DL,Shepard JA, McLoud TC,et al.CT of adenoid cystic carcinoma of the trachea.AJR,1986,146:129
3 Williams DJ,York EL, Nobert EJ, et al.Endobronchial tuberculosis presenting as asthma.Chest,1988,93:836
4 金德勤,马炳义,王颂章.X线、CT与纤维支气管镜对支气管结核的诊断.临床放射学杂志,1994,13:216
5 王 绪,阎 治,刘德佩,等.外伤性支气管断裂的X线表现与早期诊断.中华放射学杂志,1990,24:144
(1998-05-14 收稿), 百拇医药
单位:郧阳医学院附属太和医院放射科 十堰
关键词:支气管疾病;体层摄影术;X线
郧阳医学院学报/990109摘要 目的:分析评价体层、高千伏摄影诊断大支气管疾病的价值。方法:本组100例大支气管疾病,全部病例均摄有正位胸片及体层和/或高千伏片,部分病例同时有CT检查。结果:95例由质量良好的体层或高千伏片作出诊断,诊断符合率为95%(95/100)。结论:体层、高千伏摄影在大支气管疾病诊断中仍是一种简便、有效而经济的影像诊断方法,应作为首选。
中国图书资料分类法分类号 R814.4
High Kilovoltage,Tomography in the Diagnosis of Major Bronchopathy
, 百拇医药
Chen Pingyou,Yang Shoujun,Chen Xueqiang
(Department of Radiology,Taihe Hospital,Yunyang Medical College,Shiyan 442000)
Abstract Objective:To evaluate the application of high kilovoltage tomography in the diagnosis of major bronchopathy.Methods:100 cases were chosen.In all the cases were taken orthotopic chest radiogram and/or high kilovoltage radiogram.Some of the cases were scanned by CT.Results:95 cases of major bronchopathy were proved to be correctly diagnosed by good tomography or high kilovoltage radiogram,the diagnostic accordance rate being 95%(95/100).Conclusion:High kilovoltage,tomography is a simple,effective and economical method of diagnosis.It should be the prior choice in the diagnosis of major bronchopathy.
, 百拇医药
Key words bronchial disease; tomography,X-ray
目前,影像医学发展迅速,尤其CT,MRI相继应用于临床,使影像诊断水平向前跨了一大步。但在影像检查的选用中,有追求高新方法,忽略基础检查的趋向。为此,笔者分析一组大支气管疾病的体层、高千伏摄影诊断,着重探讨其诊断价值。
1 资料与方法
1.1 资料
男79例,女21例,年龄21~72岁。主或叶支气管肿瘤80例,其中支气管肺癌77例,支气管良性肿瘤3例(腺瘤2例,平滑肌瘤1例)。主或叶支气管结核18例。外伤性右主支气管断裂2例。
1.2 方法
所有患者摄有正位胸片,部分有侧位胸片,72例支气管肺癌、3例支气管良性肿瘤和12例支气管结核有支气管冠状体层,部分有支气管侧倾体层。1例支气管结核同时有体层和高千伏摄影。其余13例摄有高千伏片。另12例支气管肿瘤、3例支气管结核还有CT检查。支气管肿瘤和支气管结核均有纤维支气管镜检查,多数支气管肿瘤又做了手术。2例右主支气管断裂经手术证实。
, 百拇医药
2 结果
2.1 胸部平片表现
7例支气管肺癌、5例支气管结核表现为一侧性肺不张,1例支气管肺癌表现为一侧阻塞性肺气肿。另72例支气管肿瘤、13例支气管结核表现为阻塞性肺炎或肺不张,累及一个或二个肺叶。11例支气管结核同侧或对侧肺有结核病灶。外伤性支气管断裂为大量气胸、纵隔积气。
2.2 体层片表现
72例支气管肺癌、3例支气管良性肿瘤全部显示直接征象,为支气管腔内软组织肿块(图1)、腔壁增厚、支气管狭窄或中断、腔外侵犯(图2)。72例支气管肺癌正确诊断,3例支气管良性肿瘤全部误诊为支气管肺癌。支气管结核12例有体层摄影,6例表现为支气管长段不规则狭窄,部分有支气管扭曲(图3),诊断与病理相符。4例管腔渐进性狭窄,边缘光滑,其中2例阻塞肺野密度均匀,误诊为支气管肺癌。2例支气管完全阻断,呈尖角状,其中1例阻肺病变性质显示不清而又摄取高千伏片。
, 百拇医药
2.3 高千伏片表现
5例支气管肺癌并一侧肺不张有高千伏摄影,表现为主支气管呈锥状或杯口状阻断,腔壁增厚和腔外肿块,不张肺密度均匀,全部诊断正确。7例支气管结核高千伏诊断,其中1例体层片未能诊断,而高千伏片发现阻塞肺密度极不均匀得以诊断。2例右主支气管断裂表现为主支气管气柱中断,肺坠积。
图1 左主支气管肺癌,体层片示左主支气管腔内小结节状肿块,左肺阻塞性肺气肿。
图2 支气管肺癌,体层片示右中间支气管呈杯口状阻断,右中下肺不张。
, 百拇医药 图3 支气管结核,高千伏片见右上叶支气管长段不规则狭窄扭曲,阻塞肺密度不均匀。
图4 支气管肺癌,体层片显示右下叶支气管病变全貌,包括病变位置、形态、长度范围、腔内外侵犯程度等。
图5 支气管结核,体层片未能诊断,高千伏片见左主支气管锥状狭窄阻塞,阻塞肺密度不均匀及广泛胸膜钙化。
3 讨论
3.1 大支气管疾病体层摄影的诊断价值
大支气管肿瘤较多见,其影像诊断并不困难。作为影像诊断方法之一的体层摄影在大支气管肿瘤的诊断中有自已的特点:(1)能清楚显示肿瘤的直接征象,如腔内肿块、腔壁增厚及支气管狭窄、阻塞等,诊断准确率高。本组75例,除3例良性肿瘤定性为恶性外,72例定性与病理相符,符合率为96.0%(72/75)。(2)在同一体层片上病变全貌,包括肿瘤的位置、形态、长度范围、病变处最窄内径和位置、肿瘤有无腔处侵犯等等显示清楚(图4),为手术方案的选择提供重要依据[1]。(3)体层摄影设备要求不高,操作简单,检查费用低,易被基层医院和广大患者接受。CT为横断分层摄影,对肿瘤整体形态的显示,即空间分辨率不及体层摄影,另外由于CT的部分容积效应,使病变长度范围的测量也不够精确[2]。但CT对肿瘤腔外侵犯以及侵犯范围、程度的显示明显优于体层摄影。MRI为三维成像,在显示肿瘤腔内、外侵犯方面优越于CT,但MRI设备昂贵,检查费用高,使其不能普及应用。由此可见,体层摄影特点突出,诊断大支气管肿瘤的可靠性高,应视为首选方法。在需要了解恶性肿瘤腔外侵犯范围和程度时,可适当选用CT。
, 百拇医药
支气管结核又名支气管内膜结核,一般由肺内结核或纵隔、肺门淋巴结核侵及支气管所致,发生率约为18%[3]。其主要影像表现是支气管长段不规则狭窄阻塞和阻塞肺内容物密度不均匀,有多种符合结核病理改变的病灶。体层摄影能较好显示支气管狭窄阻塞的特点和阻塞肺内容物的性质,对诊断有较大帮助。本组12例行体层摄影的支气管结核有9例作出诊断,正确率为75.0%(9/12)。CT在显示病变支气管全貌方面逊色于体层摄影,但CT密度分辨率高,对阻塞肺内容物性质的显示优于体层摄影[4]。因此,体层摄影对大支气管结核的诊断仍有较大价值,应作为基本诊断方法,在支气管结核与支气管肿瘤鉴别困难,需要进一步了解阻塞肺内容物性质时,CT具有重要作用。
3.2 大支气管疾病高千伏摄影的诊断价值
高千伏摄影穿透力强,肺野可见度增加,气管、肺门区支气管显示清楚。据Formin的总结,不用支气管镜和体层摄影,单用高千伏诊断支气管肺癌,其诊断准确率高达93%。本组仅5例支气管肺癌摄有高千伏,全部准确诊断。支气管结核的高千伏诊断同样有效,因为除了病变支气管显示清楚之外,它能较体层摄影更好的显示病变肺内容物,如小结节影、钙化、纤维化、空洞、支气管扩张等多种符合结核的病理改变。本组摄有高千伏的7例支气管结核全部诊断正确,其中1例体层片示左主支气管锥状阻塞狭窄,阻塞肺内容物性质显示不清,诊断困难,而高千伏发现阻塞肺密度不均匀,有陈旧性结核灶和条片状胸膜钙化而得以诊断(图5)。可见,高千伏摄影与体层摄影一样,在大支气管肿瘤和结核的诊断中起着重要作用,加之其设备、操作更简单,检查费用更低,因此,高千伏诊断大支气管疾病较体层摄影更易在基层医院普及应用。
, 百拇医药
外伤性支气管断裂虽不多见,但死亡率较高。以前推崇体层摄影,但高千伏摄影同样可以显示支气管的断端[5],并且操作比体层摄影更简单,出结果快。所以,笔者认为胸外伤病人疑有支气管断裂时宜首选高千伏摄影,而操作相对较复杂的体层摄影,尤其CT应作为必要时的辅助诊断方法。
3.3 误诊病例分析
本组5例误诊病例反映了体层摄影的局限性,即密度分辨率较低。3例支气管良性肿瘤的误诊是因肿瘤基底部与支气管壁的关系未能显示清楚。2例支气管结核误诊是因患者年龄偏大(大于50岁),支气管呈光滑锥状狭窄,阻塞肺密度均匀,为非典型支气管结核。尽管如此,体层和高千伏对大支气管疾病的诊断价值是肯定的,只要提高认识,合理应用,定会减少误诊。
在影像医学迅速发展的今天,作为基础影像检查方法的体层和高千伏摄影,仍在大支气管疾病的诊断中占居重要地位,在某些方面不亚于甚至优于CT,它符合影像诊断检查原则:安全、有效、简便、经济,宜进一步应用提高。而CT的选用应根据诊断、治疗的需要和患者经济条件,不宜视为常规。
, http://www.100md.com
作者简介:陈平有,男,1965年生,讲师
参考文献
1 徐天乐,孙成孚,李泽坚.气管支气管肿瘤的诊断和治疗.中华外科杂志,1980,18:423
2 Spizarny DL,Shepard JA, McLoud TC,et al.CT of adenoid cystic carcinoma of the trachea.AJR,1986,146:129
3 Williams DJ,York EL, Nobert EJ, et al.Endobronchial tuberculosis presenting as asthma.Chest,1988,93:836
4 金德勤,马炳义,王颂章.X线、CT与纤维支气管镜对支气管结核的诊断.临床放射学杂志,1994,13:216
5 王 绪,阎 治,刘德佩,等.外伤性支气管断裂的X线表现与早期诊断.中华放射学杂志,1990,24:144
(1998-05-14 收稿), 百拇医药