粉防己碱用于大鼠急性缺血性肾损伤的实验观察
作者:钱玲梅 王笑云 冷静
单位:钱玲梅 王笑云 南京医科大学第一附属医院急诊中心(210029);冷静 南京医大病理教研室
关键词:粉防己碱发;急性缺血性肾损伤;缺血再灌注;形态学
中国急救医学990401 [摘 要] 目的 探讨粉防己碱在急性缺血性肾损伤中的保护性作用机制。方法 采用动脉夹钳夹大鼠双侧肾蒂,造成双肾完全缺血45分钟的动物模型,对粉防己碱用药及未用药组大鼠不同再灌注时间以及肾组织不同部位的肾小管上皮细胞损伤情况进行观察。结果 在肾组织皮质区与外髓区缺血再灌注后的各时相内,用药组肾小管的损伤程度均明显低于未用药组(P<0.001);两组肾小管损伤程度在内髓区任何血再灌注时相内均无显著性差异(P>0.05);两组均以外髓处肾小管形态学变化最为明显,其次为皮质、内髓的肾小管形态学变化最不明显。结论 粉防己碱可减轻缺血再灌注后肾小管的损伤程度,它的主要作用部位可能在肾脏的皮质与外髓区域。
, http://www.100md.com
Experiment study on rats with acute ischemic renal injury under the treatment of tetrandrine
Qian Lingmei ,Wang Xiaoyun ,Leng Jing .
The First Affiliated Hospital of Nanjing Medical University ,NanJing 210029
[Obstract] Objective To elucidate the protective mechanism of tetrandrine on acute ischemic renal injury. Methods An animal model for bilateral post-ischemic renal injury in rats was developed by clamping renal pedicles for 45 minutes .The damage degrees of renal tubular epithelial cells in cortex, outer and inner medulla in both tetrandrine-treated rats and tetrandrine-untreated rats were analyzed at 12,24,48 hours of reperfusion phase after acute renal ischenemia.Results The damage degrees of renal tubular epithelial cells in tetrandrine-treated rats were significatly lower than those in tetrandrine-untreated rats in the areas of both cortex and outer medulla at any phases of reperfusion (P<0.001).But there were no signficant difference in the damage degees of renal tubular epithelial cells in inner medulla between these two groups at any phase of reperfusion (P>0.05).In both groups ,the renal tubule in outer medulla was of the highest damage degree ,while in inner medulla was the lowest.Conclusion Tetrandrine may protect kidney against acute post-ischemic damage by reducing the damage degree of renal tubular epithelial cells .The sections of cortex and outet medulla might be the active positions of tetrandrine.
, 百拇医药
[Key words] Tetrandrine Acute ischemic renal injury Reperfusion Morhology
现已知,中药粉防己碱具有抑制磷脂酶A2活性、降低血尿素氮和肌酐水平、改善肾血浆流量与肾小球滤过率等作用[1],并可减轻大鼠急性肾缺血性状态下的肾损伤程度。为进一步探讨该药在急性缺血性肾损伤中的保护性作用机制,本文从形态学角度,对粉防己碱用药组与未用药组大鼠缺血再灌注12 h、24 h、48 h时的肾小管上皮细胞在肾组织不同部位的损伤情况进行了观察比较,结果报告如下。
1 资料与方法
1.1 资料 ①急性缺血性肾损伤模型制备 采用钳夹大鼠双侧肾蒂致肾脏缺血45分钟的实验方法。取体重250克左右的雄性SD大鼠,在1%戊巴比妥钠腹腔注射麻醉大鼠后,于腹正中线作切口5厘米,分离双侧肾蒂,用动脉夹钳夹双侧肾蒂致肾缺血,缺血45分种后松下动脉夹,并逐层缝合腹壁。术后,大鼠放回笼中继续饲养,于模型制备后12 h、24 h、48 h时分别宰杀各时相大鼠以留取肾脏。②用药与分组 实验大鼠随机分为用药组与未用药组,两组按模型制备后不同时间进一步再分为12 h、24 h、48 h等实验组。用药组灌胃粉防己碱药液0.3 ml/100 g[2,3](以pH 7.4磷酸盐缓冲液新鲜配制,浓度20 mg/ml),于模型制备前30分钟及制备后4 h、22h、46 h各给药1次;未用药组则以等量的磷酸盐缓冲液替代。另外为便于观察比较,实验还设立了正常SD大鼠组。
, http://www.100md.com
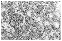
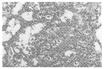
1.2 方法 肾脏在4%多聚甲醛中固定、常规酒精脱水、石腊包埋后,切取4~5 μm厚的组织切片,行HE染色。首先,光镜下观察皮质、内髓、外髓三个部位的肾组织,记录其病变情况;其后,于图像分析系统的高倍视野(×40)下,对每只大鼠的皮质、内髓、外髓三个部位各随机观察100个肾小管的组织形态(见插IV图1~图6),并按以下标准判断各部位肾小管的受损程度:++:肾小管受损细胞数超过1/2以上;+:肾小管受损细胞数小于1/2以上;-:肾小管基本无病发。
1.3 统计学处理 采用成组设计两样本比较及多个样本比较的秩和检验,以及多个样本两两比较的秩和检验进行分析。
图1 正常大鼠肾脏皮质
图2 缺血再灌注12小时时相的皮质病变情况,相对较少
, 百拇医药
图3 缺血再灌注12小时时相的外髓病变情况,满视野均为病变较严重
图4 缺血再灌注12小时时相的内髓情况,偶见病变相对更少
图5 未用药组肾缺血再灌注72小时仍可见部份嚼管尚未修复,出现核分裂现象
图6 用药组肾缺血再灌注72小时肾小管上皮细胞已基本正常
2 结果
2.1 缺血再灌注后不同时相大鼠肾小管的损伤情况 在正常大鼠肾脏HE染色切片中未发现明显的形态学变化。而缺血再灌注12 h、24 h、48 h大鼠,用药与未用药组病理切片中均可见到肾小管上皮细胞出现核固缩、核碎裂、胞浆浓缩等现象,部分细胞分解为数块,肾小管轮廊结构消失,有些管腔内还可见到蛋白管型的形成。两组均以外髓处的肾小管形态学变化最为明显,其次为皮质,内髓的肾小管形态学变化最不明显。
, http://www.100md.com
2.2 缺血再灌注后肾小管损伤程度在用药与未用药组之间的比较见表1。在内髓区任何缺血再灌注时间内,用药组未用药组的肾小管损伤程度间均无显著性差异。而皮质与外髓区缺血再灌注12 h、24 h、48 h各时相,两组间差异均具显著性意义,用药组的平均秩和均明显高于未用药组,显示用药组肾小管损伤程度较轻。
表1 缺血再灌注不同时相用药与未用药组大鼠肾小管的损伤程度
12小时
24小时
48小时
用药组
(n=6)
未用药组
(n=6)
, http://www.100md.com
用药组
(n=6)
未用药组
(n=6)
用药组
(n=6)
未用药组
(n=6)
皮质
++
19
65
9
, http://www.100md.com
27
1
5
+
77
155
42
114
31
59
-
504
380
549
, 百拇医药
459
568
536
观察小管总数
600
600
600
600
600
600
平均秩和
664.22
536.78
, http://www.100md.com
645.59
555.41
616.58
584.42
Uc值*
8.2730
7.0815
3.4198
P
<0.001
<0.001
<0.001
, http://www.100md.com
外髓
++
72
126
57
89
21
32
+
154
230
143
210
70
, 百拇医药
134
-
374
244
400
301
509
434
观察小管总数
600
600
600
600
, 百拇医药
600
600
平均秩和
667.87
533.13
650.63
550.37
637.52
563.48
Uc值*
7.4089
5.6979
, 百拇医药
5.1832
P
<0.001
<0.001
<0.001
内髓
++
13
12
18
13
0
0
, 百拇医药
+
53
53
75
58
30
35
-
534
353
507
529
570
565
, 百拇医药
观察小管总数
600
600
600
600
600
600
平均秩和
599.96
601.04
589.44
611.56
603.00
, http://www.100md.com
598.00
Uc值*
0.1004
1.8546
0.6372
P
<0.05
<0.05
<0.05
*成组设计两样本比较的秩和检验
2.3 缺血再灌注不同时相肾小管损伤程度在肾组织各部位之间的比较见表2。
, http://www.100md.com 表2 缺血再灌注后肾小管损伤程度在肾组织各部位之间的比较 缺血再灌
注时间
(小时)
平均秩和
多样本秩和检验
两两比较的P值**
皮质
(A)
外髓
(B)
内髓
(C)
, 百拇医药
Hc值*
P值
A-B
A-C
B-C
治疗组
12
952.7
751.8
997.0
147.7902
>0.005
<0.005
, 百拇医药
>0.05
<0.005
24
997.0
770.1
934.4
130.3478
<0.005
<0.005
<0.01
<0.005
48
929.5
, 百拇医药
839.5
932.6
53.1393
<0.005
<0.005
>0.05
<0.005
未治疗组
12
893.5
679.9
1128.1
311.2226
, 百拇医药
<0.005
<0.005
<0.005
<0.005
24
948.2
701.7
1051.6
230.3780
<0.005
<0.005
<0.005
, 百拇医药 <0.005
48
937.9
782.1
981.6
129.3362
<0.005
<0.005
>0.05
<0.005
*成组设计多个样本比较的秩和检验 **多个样本两两比较的秩和检验
采用成组设计多个样本比较的秩和检验,结果发现:用药组与未用药组大鼠在缺血再灌注各时相,肾组织各部位的肾小管损伤程度间均具显著性差异。对各组进一步行两两比较则发现:未用药组中,除皮质—内髓间比较在缺血再灌注48小时组无显著性差异外,其余两两比较均具显著性差异;各用药组中,皮质—外髓间、外髓—内髓间的比较均具显著性差异,但皮质—内髓间则在缺血再灌注24小时组有显著性差异,其余时相均无统计学差异。在平均秩和上,除缺血再灌注24小时用药组中按皮质>内髓>外髓顺序排列外,其余各组均按内髓>皮质>外髓顺序排列,提示外髓的肾小管损伤程度最为严重。
, 百拇医药
3 讨论
粉防己碱是异喹啉衍生物类的一种生物碱,在中西医治疗中常用于祛风除湿、利水消肿、行气止痛、降血压等〔4〕。我们在先前的研究中,曾利用大鼠缺血性肾损伤模型,证实了粉防己碱不但具有降低血清肌酐、尿素氮、PLA2活性的作用,而且还能明显改善肾小球滤过率与肾血浆流量,阐明了该药具有改善肾功能的作用〔1〕。本研究从肾组织形态学的角度则发现,缺血再灌注虽可导致肾小管上皮细胞出现各种细胞损伤的表现,但在缺血再灌注后12~48小时各时相,肾组织皮质区与外髓区粉防己碱用药组与未用药组的肾小管损伤程度间却存在显著差异,用药组肾小管损伤程度明显低于未用药组,从而进一步证实了粉防己碱在急性缺血性肾损伤中的保护性作用。同时,由于用药组与未用药组肾小管损伤程度在内髓区任何缺血再灌注时相内均无显著性差异,因而提示该药的主要作用部位可能在肾脏的皮质与外髓区域,而对肾脏内髓区域的作用并不明显。
研究还发现,未用药组中除皮质—内髓间在缺血再灌注48小时时相无显著性差异外,其余两两比较均具显著性差异,其平均秩和均按内髓>皮质>外髓顺序排列,因而提示缺血再灌注所致的肾小管损伤以外髓处最为严重,其次为皮质,而内髓质区受损最轻。这一结论与Hellberg的研究结果〔5〕相一致,其原因可能是缺血再灌注后近曲小管细胞发生明显肿胀,压迫周围血管使外髓区域供血不足所致〔6〕。但用药组的研究结果则有别于未用药组,用药组中皮质—内髓间比较在缺血再灌注12小时时相并无显著性差异,至24小时时相差异虽具统计学意义,但平均秩和皮质区却明显高于内髓。对于该现象,本文认为这可能是由于药物粉防己碱能够有效减轻缺血再灌注后皮质区域的肾小管损伤程度所致,因而出现了缺血再灌注12小时时相用药组肾小管伤程度在皮质—内髓间无统计学差异,至24小时时相皮质损伤程度明显低于内髓的结论。
, 百拇医药
至于缺血再灌注48小时时相,用药组、未用药组肾小管损伤程度在皮质—髓质间均无显著性差异的现象,则可能与以下两个因素有关:①皮质损伤虽较重,但由于存在肾包膜下毛细血管丛的供血,因此能够促进皮质损伤区域肾组织的恢复〔7〕;②随再灌注时间延长,肾组织各个区域损伤的肾小管均趋于恢复。但该结论尚有待于做进一步的研究。
参考文献
1 钱玲梅,王笑云.粉防己碱在急性缺血性肾损伤中的作用及与磷脂酶A2的关系.南京医科大学学报,1998,18(1):5-8
2 何华美,李新芳,张敏.粉防己碱对炎症白细胞磷脂酶A2的作用及其机理探讨.中国药理学通报,1995,11(1):53-57
3 何华美,李新芳,张敏,粉防己碱的抗炎作用与磷脂酶A2的关系中国药理学报,1994,15(5):477-80
, 百拇医药
4 李广勋主编.中药药理毒理与临床.第一版:天津科技翻译出版公司,1992.12:166-7
5 Hellberg POA,K llskog,Wolgast M.Red cell trapping and postischemic renal blood flow.Differences between the cortex,outer and inner medulla.Kidney Int,1991,40:625-631
6 Mason J,Joeris B,Welsch J,et al.Vascular congestion in ischemic renal failure:the role of cell swelling.Miner Electrolyte Metab,1989,15:114-124.
7 徐秉栋,张人立主编.病理学.第一版.南京:东南大学出版社,1995.(2):27
(收稿:1999-03-10), 百拇医药
单位:钱玲梅 王笑云 南京医科大学第一附属医院急诊中心(210029);冷静 南京医大病理教研室
关键词:粉防己碱发;急性缺血性肾损伤;缺血再灌注;形态学
中国急救医学990401 [摘 要] 目的 探讨粉防己碱在急性缺血性肾损伤中的保护性作用机制。方法 采用动脉夹钳夹大鼠双侧肾蒂,造成双肾完全缺血45分钟的动物模型,对粉防己碱用药及未用药组大鼠不同再灌注时间以及肾组织不同部位的肾小管上皮细胞损伤情况进行观察。结果 在肾组织皮质区与外髓区缺血再灌注后的各时相内,用药组肾小管的损伤程度均明显低于未用药组(P<0.001);两组肾小管损伤程度在内髓区任何血再灌注时相内均无显著性差异(P>0.05);两组均以外髓处肾小管形态学变化最为明显,其次为皮质、内髓的肾小管形态学变化最不明显。结论 粉防己碱可减轻缺血再灌注后肾小管的损伤程度,它的主要作用部位可能在肾脏的皮质与外髓区域。
, http://www.100md.com
Experiment study on rats with acute ischemic renal injury under the treatment of tetrandrine
Qian Lingmei ,Wang Xiaoyun ,Leng Jing .
The First Affiliated Hospital of Nanjing Medical University ,NanJing 210029
[Obstract] Objective To elucidate the protective mechanism of tetrandrine on acute ischemic renal injury. Methods An animal model for bilateral post-ischemic renal injury in rats was developed by clamping renal pedicles for 45 minutes .The damage degrees of renal tubular epithelial cells in cortex, outer and inner medulla in both tetrandrine-treated rats and tetrandrine-untreated rats were analyzed at 12,24,48 hours of reperfusion phase after acute renal ischenemia.Results The damage degrees of renal tubular epithelial cells in tetrandrine-treated rats were significatly lower than those in tetrandrine-untreated rats in the areas of both cortex and outer medulla at any phases of reperfusion (P<0.001).But there were no signficant difference in the damage degees of renal tubular epithelial cells in inner medulla between these two groups at any phase of reperfusion (P>0.05).In both groups ,the renal tubule in outer medulla was of the highest damage degree ,while in inner medulla was the lowest.Conclusion Tetrandrine may protect kidney against acute post-ischemic damage by reducing the damage degree of renal tubular epithelial cells .The sections of cortex and outet medulla might be the active positions of tetrandrine.
, 百拇医药
[Key words] Tetrandrine Acute ischemic renal injury Reperfusion Morhology
现已知,中药粉防己碱具有抑制磷脂酶A2活性、降低血尿素氮和肌酐水平、改善肾血浆流量与肾小球滤过率等作用[1],并可减轻大鼠急性肾缺血性状态下的肾损伤程度。为进一步探讨该药在急性缺血性肾损伤中的保护性作用机制,本文从形态学角度,对粉防己碱用药组与未用药组大鼠缺血再灌注12 h、24 h、48 h时的肾小管上皮细胞在肾组织不同部位的损伤情况进行了观察比较,结果报告如下。
1 资料与方法
1.1 资料 ①急性缺血性肾损伤模型制备 采用钳夹大鼠双侧肾蒂致肾脏缺血45分钟的实验方法。取体重250克左右的雄性SD大鼠,在1%戊巴比妥钠腹腔注射麻醉大鼠后,于腹正中线作切口5厘米,分离双侧肾蒂,用动脉夹钳夹双侧肾蒂致肾缺血,缺血45分种后松下动脉夹,并逐层缝合腹壁。术后,大鼠放回笼中继续饲养,于模型制备后12 h、24 h、48 h时分别宰杀各时相大鼠以留取肾脏。②用药与分组 实验大鼠随机分为用药组与未用药组,两组按模型制备后不同时间进一步再分为12 h、24 h、48 h等实验组。用药组灌胃粉防己碱药液0.3 ml/100 g[2,3](以pH 7.4磷酸盐缓冲液新鲜配制,浓度20 mg/ml),于模型制备前30分钟及制备后4 h、22h、46 h各给药1次;未用药组则以等量的磷酸盐缓冲液替代。另外为便于观察比较,实验还设立了正常SD大鼠组。
, http://www.100md.com
1.2 方法 肾脏在4%多聚甲醛中固定、常规酒精脱水、石腊包埋后,切取4~5 μm厚的组织切片,行HE染色。首先,光镜下观察皮质、内髓、外髓三个部位的肾组织,记录其病变情况;其后,于图像分析系统的高倍视野(×40)下,对每只大鼠的皮质、内髓、外髓三个部位各随机观察100个肾小管的组织形态(见插IV图1~图6),并按以下标准判断各部位肾小管的受损程度:++:肾小管受损细胞数超过1/2以上;+:肾小管受损细胞数小于1/2以上;-:肾小管基本无病发。
1.3 统计学处理 采用成组设计两样本比较及多个样本比较的秩和检验,以及多个样本两两比较的秩和检验进行分析。
图1 正常大鼠肾脏皮质
图2 缺血再灌注12小时时相的皮质病变情况,相对较少
, 百拇医药
图3 缺血再灌注12小时时相的外髓病变情况,满视野均为病变较严重
图4 缺血再灌注12小时时相的内髓情况,偶见病变相对更少
图5 未用药组肾缺血再灌注72小时仍可见部份嚼管尚未修复,出现核分裂现象
图6 用药组肾缺血再灌注72小时肾小管上皮细胞已基本正常
2 结果
2.1 缺血再灌注后不同时相大鼠肾小管的损伤情况 在正常大鼠肾脏HE染色切片中未发现明显的形态学变化。而缺血再灌注12 h、24 h、48 h大鼠,用药与未用药组病理切片中均可见到肾小管上皮细胞出现核固缩、核碎裂、胞浆浓缩等现象,部分细胞分解为数块,肾小管轮廊结构消失,有些管腔内还可见到蛋白管型的形成。两组均以外髓处的肾小管形态学变化最为明显,其次为皮质,内髓的肾小管形态学变化最不明显。
, http://www.100md.com
2.2 缺血再灌注后肾小管损伤程度在用药与未用药组之间的比较见表1。在内髓区任何缺血再灌注时间内,用药组未用药组的肾小管损伤程度间均无显著性差异。而皮质与外髓区缺血再灌注12 h、24 h、48 h各时相,两组间差异均具显著性意义,用药组的平均秩和均明显高于未用药组,显示用药组肾小管损伤程度较轻。
表1 缺血再灌注不同时相用药与未用药组大鼠肾小管的损伤程度
12小时
24小时
48小时
用药组
(n=6)
未用药组
(n=6)
, http://www.100md.com
用药组
(n=6)
未用药组
(n=6)
用药组
(n=6)
未用药组
(n=6)
皮质
++
19
65
9
, http://www.100md.com
27
1
5
+
77
155
42
114
31
59
-
504
380
549
, 百拇医药
459
568
536
观察小管总数
600
600
600
600
600
600
平均秩和
664.22
536.78
, http://www.100md.com
645.59
555.41
616.58
584.42
Uc值*
8.2730
7.0815
3.4198
P
<0.001
<0.001
<0.001
, http://www.100md.com
外髓
++
72
126
57
89
21
32
+
154
230
143
210
70
, 百拇医药
134
-
374
244
400
301
509
434
观察小管总数
600
600
600
600
, 百拇医药
600
600
平均秩和
667.87
533.13
650.63
550.37
637.52
563.48
Uc值*
7.4089
5.6979
, 百拇医药
5.1832
P
<0.001
<0.001
<0.001
内髓
++
13
12
18
13
0
0
, 百拇医药
+
53
53
75
58
30
35
-
534
353
507
529
570
565
, 百拇医药
观察小管总数
600
600
600
600
600
600
平均秩和
599.96
601.04
589.44
611.56
603.00
, http://www.100md.com
598.00
Uc值*
0.1004
1.8546
0.6372
P
<0.05
<0.05
<0.05
*成组设计两样本比较的秩和检验
2.3 缺血再灌注不同时相肾小管损伤程度在肾组织各部位之间的比较见表2。
, http://www.100md.com 表2 缺血再灌注后肾小管损伤程度在肾组织各部位之间的比较 缺血再灌
注时间
(小时)
平均秩和
多样本秩和检验
两两比较的P值**
皮质
(A)
外髓
(B)
内髓
(C)
, 百拇医药
Hc值*
P值
A-B
A-C
B-C
治疗组
12
952.7
751.8
997.0
147.7902
>0.005
<0.005
, 百拇医药
>0.05
<0.005
24
997.0
770.1
934.4
130.3478
<0.005
<0.005
<0.01
<0.005
48
929.5
, 百拇医药
839.5
932.6
53.1393
<0.005
<0.005
>0.05
<0.005
未治疗组
12
893.5
679.9
1128.1
311.2226
, 百拇医药
<0.005
<0.005
<0.005
<0.005
24
948.2
701.7
1051.6
230.3780
<0.005
<0.005
<0.005
, 百拇医药 <0.005
48
937.9
782.1
981.6
129.3362
<0.005
<0.005
>0.05
<0.005
*成组设计多个样本比较的秩和检验 **多个样本两两比较的秩和检验
采用成组设计多个样本比较的秩和检验,结果发现:用药组与未用药组大鼠在缺血再灌注各时相,肾组织各部位的肾小管损伤程度间均具显著性差异。对各组进一步行两两比较则发现:未用药组中,除皮质—内髓间比较在缺血再灌注48小时组无显著性差异外,其余两两比较均具显著性差异;各用药组中,皮质—外髓间、外髓—内髓间的比较均具显著性差异,但皮质—内髓间则在缺血再灌注24小时组有显著性差异,其余时相均无统计学差异。在平均秩和上,除缺血再灌注24小时用药组中按皮质>内髓>外髓顺序排列外,其余各组均按内髓>皮质>外髓顺序排列,提示外髓的肾小管损伤程度最为严重。
, 百拇医药
3 讨论
粉防己碱是异喹啉衍生物类的一种生物碱,在中西医治疗中常用于祛风除湿、利水消肿、行气止痛、降血压等〔4〕。我们在先前的研究中,曾利用大鼠缺血性肾损伤模型,证实了粉防己碱不但具有降低血清肌酐、尿素氮、PLA2活性的作用,而且还能明显改善肾小球滤过率与肾血浆流量,阐明了该药具有改善肾功能的作用〔1〕。本研究从肾组织形态学的角度则发现,缺血再灌注虽可导致肾小管上皮细胞出现各种细胞损伤的表现,但在缺血再灌注后12~48小时各时相,肾组织皮质区与外髓区粉防己碱用药组与未用药组的肾小管损伤程度间却存在显著差异,用药组肾小管损伤程度明显低于未用药组,从而进一步证实了粉防己碱在急性缺血性肾损伤中的保护性作用。同时,由于用药组与未用药组肾小管损伤程度在内髓区任何缺血再灌注时相内均无显著性差异,因而提示该药的主要作用部位可能在肾脏的皮质与外髓区域,而对肾脏内髓区域的作用并不明显。
研究还发现,未用药组中除皮质—内髓间在缺血再灌注48小时时相无显著性差异外,其余两两比较均具显著性差异,其平均秩和均按内髓>皮质>外髓顺序排列,因而提示缺血再灌注所致的肾小管损伤以外髓处最为严重,其次为皮质,而内髓质区受损最轻。这一结论与Hellberg的研究结果〔5〕相一致,其原因可能是缺血再灌注后近曲小管细胞发生明显肿胀,压迫周围血管使外髓区域供血不足所致〔6〕。但用药组的研究结果则有别于未用药组,用药组中皮质—内髓间比较在缺血再灌注12小时时相并无显著性差异,至24小时时相差异虽具统计学意义,但平均秩和皮质区却明显高于内髓。对于该现象,本文认为这可能是由于药物粉防己碱能够有效减轻缺血再灌注后皮质区域的肾小管损伤程度所致,因而出现了缺血再灌注12小时时相用药组肾小管伤程度在皮质—内髓间无统计学差异,至24小时时相皮质损伤程度明显低于内髓的结论。
, 百拇医药
至于缺血再灌注48小时时相,用药组、未用药组肾小管损伤程度在皮质—髓质间均无显著性差异的现象,则可能与以下两个因素有关:①皮质损伤虽较重,但由于存在肾包膜下毛细血管丛的供血,因此能够促进皮质损伤区域肾组织的恢复〔7〕;②随再灌注时间延长,肾组织各个区域损伤的肾小管均趋于恢复。但该结论尚有待于做进一步的研究。
参考文献
1 钱玲梅,王笑云.粉防己碱在急性缺血性肾损伤中的作用及与磷脂酶A2的关系.南京医科大学学报,1998,18(1):5-8
2 何华美,李新芳,张敏.粉防己碱对炎症白细胞磷脂酶A2的作用及其机理探讨.中国药理学通报,1995,11(1):53-57
3 何华美,李新芳,张敏,粉防己碱的抗炎作用与磷脂酶A2的关系中国药理学报,1994,15(5):477-80
, 百拇医药
4 李广勋主编.中药药理毒理与临床.第一版:天津科技翻译出版公司,1992.12:166-7
5 Hellberg POA,K llskog,Wolgast M.Red cell trapping and postischemic renal blood flow.Differences between the cortex,outer and inner medulla.Kidney Int,1991,40:625-631
6 Mason J,Joeris B,Welsch J,et al.Vascular congestion in ischemic renal failure:the role of cell swelling.Miner Electrolyte Metab,1989,15:114-124.
7 徐秉栋,张人立主编.病理学.第一版.南京:东南大学出版社,1995.(2):27
(收稿:1999-03-10), 百拇医药
参见:首页 > 医疗版 > 疾病专题 > 泌尿外科 > 肾脏 > 肾损伤