超声对正常人胆管末段及乳头部的测量
作者:霍 苓 陈敏华
单位:100036 北京医科大学临床肿瘤学院超声科
关键词:超声;末段胆管;乳头部
中国超声医学杂志990609 摘 要 目的:完善肝外胆管测量标准,提高下段胆管及壶腹乳头部病变的超声显示率及壶腹周围癌早期诊断率。方法:采用充盈胃、十二指肠,以胰头及肝脏为超声窗,利用横、纵旋转扫查法显示下段胆管。测量78例正常人胰头段(C3)及末段(C4)胆管的内径并观察乳头部的显示状况。结果:应用横旋转扫查法C3、C4段胆管显示率分别为87%、76%,正常值为3.59±0.91mm、1.97±0.51mm,有44例(56%)乳头部得以显示。纵旋转扫查法显示率为78%、47%,正常值为3.57±0.78mm、1.99±0.39mm,乳头部显示仅达8%(6例)。不同年龄组测值存在统计学差异,50岁以上成人较宽。横旋转扫查法明显优于纵旋转法,两者正常值无统计学差异。乳头部声像图表现为胆管、十二指肠开口处壁稍增厚,回声增强之小鱼唇状结构。结论:横旋转扫查法对C3、C4段胆管及乳头部的显示率高于纵旋转扫查法,是显示末段胆管较为理想的方法。C3、C4段胆管正常值测量及乳头部的显示,将提高超声对该部位病变的早期诊断率,具有重要临床意义。
, 百拇医药
Measurement the Distal End of Bile Duct and Papillary part
by Ultrasound in Normal Individual
Huo Ling,Chen Minhua
Department of Ultrasonography,the School of Oncology,BMU,Beijing 100036
ABSTRACT Objective:To imporve the normal measurement values of extrahepatic duct and promote the demonstration rate of lesions in lower bile segment and ampullo-papillary region.Methods:The filled stomach,duodonum and pancreatic head were used as the ultrasonic window.Transverse and longitudinal rotation sweeping methods used to demonstrate and measure the internal diameters of pancreatic head segment(C3)and terminal end(C4)of bile duct in 78 cases of normal individuals.Results:Transverse rotation sweeping method disclosed the demonstration rates of C3 and C4 segment of bile duct to be 87% and 76%,their normal values were 3.59±0.91mm and 1.97±0.51mm respectively with papillary part in 44cases(56%)being able to be demonstrated.Longitudinal rotation sweeping method showed the demonstration rates of the same segments to be 78% and 47%,and the normal values 3.57±0.78mm and 1.99±0.39mm respectively,papillary part only 6 cases(8%)being demonstrated.The ultrasonogram of papillary part showed segmental thickening of the wall in bile duct and opening part of duodonum increased,echo like the shape of fish lips.No statistical difference existed between the two methods.The values among different age groups had some statistical difference,more widening in the ages above 50.Conclusion:The demonstration rates for C3 and C4 segment of bile duct by transverse rotation sweeping method,were higher than these by longitudinal.This was especially true for the papillary part,in which the transverse method had marked preponderance over the longitudinal method and thus constituted an ideal method for demonstrating the terminal part of the bile duct.On this basis,the demonstration of C3 and C4 segments of bile duct and the measurement of their normal values provide a solid foundation for the early diagnosis of tumors and other kinds of lesions in these localities,and can thus endowed important clinical significance.
, 百拇医药
KEY WORDS Ultrasound Distal end of bile duct Papillary part
应用超声对正常胆管进行测量的部位多选用中上段〔1~3〕,而下段胆管(简称C3段)及末段胆管(简称C4段)由于受胃肠气体影响显示较为困难,故国内外至今较少有报道〔4〕。为提高下段胆管及壶腹乳头部病变的显示率,完善肝外胆管正常值的测量标准,我们在以往胆管测量的基础上〔5,6〕,应用横、纵旋转扫查法进一步观察测量了C3、C4段胆管及乳头部的显示状况,本文报告了显示方法及正常测值。
资料与方法
研究对象 本组受检者78例。其中53例经临床及各种检查排除消化道病变,25例为本院正常志愿者,无胆胰病史及右上腹不适。男性43例,女性35例,年龄24~65岁,平均43岁。
, 百拇医药
仪器使用 ALOKA SSD-2000及ACUSON 128 XP彩超仪,凸阵探头,探头频率3.5~5.0MHz。
检查方法 禁食12小时后,饮水500~600ml,3~4分钟后检查。探头加压扫查并以横、纵旋转扫查法作为基本检查法〔6〕,于患者深吸气后屏气状态下进行。
横旋转扫查法多采用平卧位或右侧卧位检查,探头沿胰头体长轴显示胰腺段胆管(C3)横断面,继而以胰头为超声窗,探头右侧端做正负约60°范围内顺、逆时针旋转扫查,以达到连续显示胰头段至末段胆管,以及肝外胆管末端进入十二指肠处。
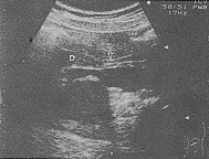
纵旋转扫查法多采用左侧卧位,探头自肝门部向下追踪至胰头,显示其背侧胆管,此时顺时针旋转探头足侧端约30°~60°,使C3、C4得以连续显示(见图1、2)。
胰头(PH)背侧显示胆管(↓↓),末段进入十二指肠(DU),背侧为下腔静脉(IVC)
, 百拇医药
图1 纵旋转法显示胆管全程
胰头(PH)背侧显示胆管(↑↑)
进入十二指肠(DU)
图2 横旋转法显示C3、C4段胆管
测量标准 各部位均选择最宽处测量,横旋转扫查法中C3的测量点为距肠系膜上静脉(SMV)最宽处最近处,C4测量点为距十二指肠乳头部最近处;纵旋转扫查法中C3测量点为胰头背侧胆管段中点,C4测量点为距十二指肠乳头部最近处;测量胆管前后径的内径〔2、7〕。
使用热敏纸摄片,利用毫米标尺在照片上进行测量,记录统计测量结果。
结 果
正常人下段胆管超声显示率及正常值见表1。
, 百拇医药
表1 正常人78例下段胆管超声显示率及正常值(mm,
±s) 扫查方法
胰腺段(C3)
末段胆管(C4)
显示率(%)
正常值
显示率(%)
正常值
横旋转法
纵旋转法
87
78
, 百拇医药
3.59±0.91
3.57±0.78
76
47
1.97±0.51
1.99±0.39
注:两种方法比较无统计学差异,P>0.05
应用横旋转扫查法,C3段及C4段胆管显示率分别为:87%、76%,正常值分别为3.59±0.91mm、1.97±0.51mm,有44例(56%)乳头部得以显示;纵旋转扫查法对C3、C4段胆管的显示率为78%、47%,正常值分别为3.57±0.78mm、1.99±0.39mm,乳头部显示率仅为8%(6例)。横旋转扫查法对C3、C4段胆管的显示率明显优于纵旋转扫查法,二者正常值无统计学差异(P>0.05)。
, 百拇医药
不同年龄组C3、C4段胆管径,详见表2。可见年龄≥50岁组测量值明显增宽(P<0.05)。
表2 横旋转法正常人不同年龄组胆管测量值(mm,
±s) 年龄组(岁)
C3
C4
A <40
B 40~49
C ≥50
3.38±0.81(n=27)
3.55±0.86(n=21)
, http://www.100md.com 4.05±0.88(n=20)
1.84±0.47(n=28)
1.85±0.46(n=16)
2.34±0.48(n=15)
注:C3测值各年龄组间相互比较,P<0.05
C4测值,A/B无差异性:A/C、B/C,P均<0.05讨 论
超声对胆系疾病的诊断价值已得到公认。显示肝外胆管下段的技巧、方法的研究大大提高了胆系疾病的超声诊断率。近年来研究证实,末段胆管的早期肿瘤及良性病变多数仅显示为肝外胆管的轻度扩张〔6〕,超声对肝外胆管轻度扩张病理意义的确认可以提高上述病变的诊断率。本文测量C3、C4段胆管正常值,其目的不仅在于完善肝外胆管测量标准,亦为判断胆管轻度扩张的病因即早期诊断提供依据。
, 百拇医药
1.检查方法及显示率 横旋转扫查法依据肝外胆管正常生理解剖特点,提出了利用胰头及充盈的胃十二指肠作为超声窗显示C3、C4段胆管〔6〕,是显示C3、C4段胆管重要的扫查方法之一。利用胆管自上而下达胰头背侧,而后向右侧(十二指肠降部)弯曲呈弓弦状的解剖学特点,首先显示胰腺段胆管短轴,再将探头右侧逆时针旋转,寻找胰头段胆管长轴,并在此小范围内(约30°~60°)稍侧动探头使C3、C4段胆管得以连续显示,追踪寻找肝外胆管入十二指肠处。充分利用回声较均匀的胰头及充盈的十二指肠作为超声窗,便于避开胃肠气体,是横旋转扫查显示率较高的关键;其对C4段及乳头部的显示率(76%、56%)明显高于纵旋转扫查法(47%、8%)尤对乳头部的显示具有显著的优越性,是较理想的方法。
纵旋转扫查法以传统的肝外胆管扫查方法为基础,利用肝脏做超声窗,沿肝门部胆管追踪至胰头显示胆管位于其背侧,而后沿胆管长轴,探头足侧端作顺时针旋转,以显示C3、C4段及乳头部。扫查过程中,十二指肠气体常对下段胆管显示造成干扰,胃肠充盈较好及胆囊位置适宜均可被利用作为超声窗。
, http://www.100md.com
2.正常值测量分析 上述两种方法测量C3段胆管内径均值分别为3.59mm、3.57mm;C4段胆管内径均值为1.97mm、1.99mm,二者均无统计学差异(P>0.05)。早在1985年国内张武等报道胆总管下段均值为5.1mm〔4〕,较本文C3段测值大,分析原因,可能与测量部位及测量方法不同有关。
根据正常解剖胰胆管汇合处管径约为1.9mm〔8〕,与本文报道C4段测值相近。在测量中作者注意到超声观察正常人胆胰管汇合处较为困难,可能与正常人二者长轴难以在同一平面上同时显示有关。
分析不同年龄组C3、C4段胆管测量值可见与以住结果相同,存在明显的统计学差异(P<0.05)。50岁以上老年人测值较大,尤C4段更显著,该结果与老年人胆管壁弹性下降及壶腹括约肌功能减退有关。
3.乳头部显示 早在1980年,Dewbury就曾观察到肝外胆管入十二指肠〔9〕,但未对其进行详细的观察和研究。本组78例正常受检者, 利用横旋转扫查法44例乳头部连同肝外胆管末段得以显示,显示率为56%。声像图表现为胆管入十二指肠处呈壁稍增厚增强之小鱼唇样结构(图3)。当十二指肠降部充盈较好时,随着十二指肠蠕动,偶可见该结构局部瞬间发生增厚性改变,呈低回声(图4),既而消失。作者推测此现象为Oddis括约肌收缩所致,小鱼唇即为十二指肠乳头开口部,此结论已在临床病例中得到初步证实。
图3 横旋转法显示末段胆管
, 百拇医药
(↓)进入十二指肠
乳头部随着十二指肠蠕动瞬间发生增厚性改变,呈低回声(
)
图4 末端胆管呈小鱼唇样结构(↑)
4.假阳性、假阴性分析 由于胰头周围解剖结构复杂,丰富的血管结构易造成胆管伪像,应予以重视。需与下列血管相鉴别:胰十二指肠后上静脉(PSPDV)〔10〕、胰十二指肠上动脉、肝右动脉、右肾静脉。尤其PSPDV走行及管径与胆管相似,位于胆管背侧,其内径一致,与胆管逐渐细窄有差别,重视追踪血管走行及CDFI有助于判断。此外,还应防止将胰腺段胆管后壁与紧邻的下腔静脉前壁误认为胆管管径(图5)。
, http://www.100md.com
末段胆管进入十二指肠(D)处呈小鱼唇样结构(
)
图5 胆管后壁与下腔静脉前壁(↓↑)形成胆管伪像
横、纵旋转扫查法未能显示C3、C4段胆管的主要原因为气体干扰约占70%,余30%为肥胖所致。作者经验饮水后右侧卧位及扫查中重视等待肠蠕动及水充盈排移气体,有助于提高显示率。
参考文献
[1]France Well,Albert Elsencher,Francois Zeltner,et al.Ultrasonic study of the normal and dilated biliary tree.Radiology,1978,127:221~224
, 百拇医药 [2]Peter L.Cooperberg.High-resolution real-time in the evaluation of the normal and obstructed biliary tract.Radiology,1978,129:477~480
[3]Claus Niederau,Jurgen Muller,Amono Sonnenberg,et al.Extrahepatic bile ducts in health subjects,in patients with cholelithiasis,and in postcholecystectomy patients:A prospective ultrasonic study.Clin Ultrasound,1983,11:23~27
[4]张 武,贾建文,苗利英,等。肝总管、胆总管分别超声定位测量及其临床意义。中华物理医学杂志,1985,7(4):196~199
, 百拇医药
[5]陈敏华,董宝玮。对肝外胆管下段病变超声诊断方法的改进。中华物理医学杂志,1984,6(4):197~200
[6]陈敏华,王 彬,朱 强,等。超声对提高胆管疾病诊断率的研究—注射Ceosunin及纵、横旋转扫查法的意义。中国医学影像学杂志,1993,1(1):28~32
[7]陈敏华,董宝玮,李建国,等。肝外胆管超声显像测量的临床意义—503例分析。实用外科杂志,1984,4(3):141~142
[8]孙百强。肝外胆道系统—胆总管。见韩永坚、刘牧之主编,《临床解剖学丛书》,295~297
[9]K.C.Dewbury.Visualization of normal biliary ducts with ultrasound.BJR,1980,53:774~780
[10]Ronald H.Wachsberg.Posterior superior pancreaticoduodenal vein:Mimic of distal common bile duct at sonography.AJR,1993,160:1033~1037
(1998-11-25收稿), 百拇医药
单位:100036 北京医科大学临床肿瘤学院超声科
关键词:超声;末段胆管;乳头部
中国超声医学杂志990609 摘 要 目的:完善肝外胆管测量标准,提高下段胆管及壶腹乳头部病变的超声显示率及壶腹周围癌早期诊断率。方法:采用充盈胃、十二指肠,以胰头及肝脏为超声窗,利用横、纵旋转扫查法显示下段胆管。测量78例正常人胰头段(C3)及末段(C4)胆管的内径并观察乳头部的显示状况。结果:应用横旋转扫查法C3、C4段胆管显示率分别为87%、76%,正常值为3.59±0.91mm、1.97±0.51mm,有44例(56%)乳头部得以显示。纵旋转扫查法显示率为78%、47%,正常值为3.57±0.78mm、1.99±0.39mm,乳头部显示仅达8%(6例)。不同年龄组测值存在统计学差异,50岁以上成人较宽。横旋转扫查法明显优于纵旋转法,两者正常值无统计学差异。乳头部声像图表现为胆管、十二指肠开口处壁稍增厚,回声增强之小鱼唇状结构。结论:横旋转扫查法对C3、C4段胆管及乳头部的显示率高于纵旋转扫查法,是显示末段胆管较为理想的方法。C3、C4段胆管正常值测量及乳头部的显示,将提高超声对该部位病变的早期诊断率,具有重要临床意义。
, 百拇医药
Measurement the Distal End of Bile Duct and Papillary part
by Ultrasound in Normal Individual
Huo Ling,Chen Minhua
Department of Ultrasonography,the School of Oncology,BMU,Beijing 100036
ABSTRACT Objective:To imporve the normal measurement values of extrahepatic duct and promote the demonstration rate of lesions in lower bile segment and ampullo-papillary region.Methods:The filled stomach,duodonum and pancreatic head were used as the ultrasonic window.Transverse and longitudinal rotation sweeping methods used to demonstrate and measure the internal diameters of pancreatic head segment(C3)and terminal end(C4)of bile duct in 78 cases of normal individuals.Results:Transverse rotation sweeping method disclosed the demonstration rates of C3 and C4 segment of bile duct to be 87% and 76%,their normal values were 3.59±0.91mm and 1.97±0.51mm respectively with papillary part in 44cases(56%)being able to be demonstrated.Longitudinal rotation sweeping method showed the demonstration rates of the same segments to be 78% and 47%,and the normal values 3.57±0.78mm and 1.99±0.39mm respectively,papillary part only 6 cases(8%)being demonstrated.The ultrasonogram of papillary part showed segmental thickening of the wall in bile duct and opening part of duodonum increased,echo like the shape of fish lips.No statistical difference existed between the two methods.The values among different age groups had some statistical difference,more widening in the ages above 50.Conclusion:The demonstration rates for C3 and C4 segment of bile duct by transverse rotation sweeping method,were higher than these by longitudinal.This was especially true for the papillary part,in which the transverse method had marked preponderance over the longitudinal method and thus constituted an ideal method for demonstrating the terminal part of the bile duct.On this basis,the demonstration of C3 and C4 segments of bile duct and the measurement of their normal values provide a solid foundation for the early diagnosis of tumors and other kinds of lesions in these localities,and can thus endowed important clinical significance.
, 百拇医药
KEY WORDS Ultrasound Distal end of bile duct Papillary part
应用超声对正常胆管进行测量的部位多选用中上段〔1~3〕,而下段胆管(简称C3段)及末段胆管(简称C4段)由于受胃肠气体影响显示较为困难,故国内外至今较少有报道〔4〕。为提高下段胆管及壶腹乳头部病变的显示率,完善肝外胆管正常值的测量标准,我们在以往胆管测量的基础上〔5,6〕,应用横、纵旋转扫查法进一步观察测量了C3、C4段胆管及乳头部的显示状况,本文报告了显示方法及正常测值。
资料与方法
研究对象 本组受检者78例。其中53例经临床及各种检查排除消化道病变,25例为本院正常志愿者,无胆胰病史及右上腹不适。男性43例,女性35例,年龄24~65岁,平均43岁。
, 百拇医药
仪器使用 ALOKA SSD-2000及ACUSON 128 XP彩超仪,凸阵探头,探头频率3.5~5.0MHz。
检查方法 禁食12小时后,饮水500~600ml,3~4分钟后检查。探头加压扫查并以横、纵旋转扫查法作为基本检查法〔6〕,于患者深吸气后屏气状态下进行。
横旋转扫查法多采用平卧位或右侧卧位检查,探头沿胰头体长轴显示胰腺段胆管(C3)横断面,继而以胰头为超声窗,探头右侧端做正负约60°范围内顺、逆时针旋转扫查,以达到连续显示胰头段至末段胆管,以及肝外胆管末端进入十二指肠处。
纵旋转扫查法多采用左侧卧位,探头自肝门部向下追踪至胰头,显示其背侧胆管,此时顺时针旋转探头足侧端约30°~60°,使C3、C4得以连续显示(见图1、2)。
, 百拇医药
图1 纵旋转法显示胆管全程
进入十二指肠(DU)
图2 横旋转法显示C3、C4段胆管
测量标准 各部位均选择最宽处测量,横旋转扫查法中C3的测量点为距肠系膜上静脉(SMV)最宽处最近处,C4测量点为距十二指肠乳头部最近处;纵旋转扫查法中C3测量点为胰头背侧胆管段中点,C4测量点为距十二指肠乳头部最近处;测量胆管前后径的内径〔2、7〕。
使用热敏纸摄片,利用毫米标尺在照片上进行测量,记录统计测量结果。
结 果
正常人下段胆管超声显示率及正常值见表1。
, 百拇医药
表1 正常人78例下段胆管超声显示率及正常值(mm,
胰腺段(C3)
末段胆管(C4)
显示率(%)
正常值
显示率(%)
正常值
横旋转法
纵旋转法
87
78
, 百拇医药
3.59±0.91
3.57±0.78
76
47
1.97±0.51
1.99±0.39
注:两种方法比较无统计学差异,P>0.05
应用横旋转扫查法,C3段及C4段胆管显示率分别为:87%、76%,正常值分别为3.59±0.91mm、1.97±0.51mm,有44例(56%)乳头部得以显示;纵旋转扫查法对C3、C4段胆管的显示率为78%、47%,正常值分别为3.57±0.78mm、1.99±0.39mm,乳头部显示率仅为8%(6例)。横旋转扫查法对C3、C4段胆管的显示率明显优于纵旋转扫查法,二者正常值无统计学差异(P>0.05)。
, 百拇医药
不同年龄组C3、C4段胆管径,详见表2。可见年龄≥50岁组测量值明显增宽(P<0.05)。
表2 横旋转法正常人不同年龄组胆管测量值(mm,
C3
C4
A <40
B 40~49
C ≥50
3.38±0.81(n=27)
3.55±0.86(n=21)
, http://www.100md.com 4.05±0.88(n=20)
1.84±0.47(n=28)
1.85±0.46(n=16)
2.34±0.48(n=15)
注:C3测值各年龄组间相互比较,P<0.05
C4测值,A/B无差异性:A/C、B/C,P均<0.05讨 论
超声对胆系疾病的诊断价值已得到公认。显示肝外胆管下段的技巧、方法的研究大大提高了胆系疾病的超声诊断率。近年来研究证实,末段胆管的早期肿瘤及良性病变多数仅显示为肝外胆管的轻度扩张〔6〕,超声对肝外胆管轻度扩张病理意义的确认可以提高上述病变的诊断率。本文测量C3、C4段胆管正常值,其目的不仅在于完善肝外胆管测量标准,亦为判断胆管轻度扩张的病因即早期诊断提供依据。
, 百拇医药
1.检查方法及显示率 横旋转扫查法依据肝外胆管正常生理解剖特点,提出了利用胰头及充盈的胃十二指肠作为超声窗显示C3、C4段胆管〔6〕,是显示C3、C4段胆管重要的扫查方法之一。利用胆管自上而下达胰头背侧,而后向右侧(十二指肠降部)弯曲呈弓弦状的解剖学特点,首先显示胰腺段胆管短轴,再将探头右侧逆时针旋转,寻找胰头段胆管长轴,并在此小范围内(约30°~60°)稍侧动探头使C3、C4段胆管得以连续显示,追踪寻找肝外胆管入十二指肠处。充分利用回声较均匀的胰头及充盈的十二指肠作为超声窗,便于避开胃肠气体,是横旋转扫查显示率较高的关键;其对C4段及乳头部的显示率(76%、56%)明显高于纵旋转扫查法(47%、8%)尤对乳头部的显示具有显著的优越性,是较理想的方法。
纵旋转扫查法以传统的肝外胆管扫查方法为基础,利用肝脏做超声窗,沿肝门部胆管追踪至胰头显示胆管位于其背侧,而后沿胆管长轴,探头足侧端作顺时针旋转,以显示C3、C4段及乳头部。扫查过程中,十二指肠气体常对下段胆管显示造成干扰,胃肠充盈较好及胆囊位置适宜均可被利用作为超声窗。
, http://www.100md.com
2.正常值测量分析 上述两种方法测量C3段胆管内径均值分别为3.59mm、3.57mm;C4段胆管内径均值为1.97mm、1.99mm,二者均无统计学差异(P>0.05)。早在1985年国内张武等报道胆总管下段均值为5.1mm〔4〕,较本文C3段测值大,分析原因,可能与测量部位及测量方法不同有关。
根据正常解剖胰胆管汇合处管径约为1.9mm〔8〕,与本文报道C4段测值相近。在测量中作者注意到超声观察正常人胆胰管汇合处较为困难,可能与正常人二者长轴难以在同一平面上同时显示有关。
分析不同年龄组C3、C4段胆管测量值可见与以住结果相同,存在明显的统计学差异(P<0.05)。50岁以上老年人测值较大,尤C4段更显著,该结果与老年人胆管壁弹性下降及壶腹括约肌功能减退有关。
3.乳头部显示 早在1980年,Dewbury就曾观察到肝外胆管入十二指肠〔9〕,但未对其进行详细的观察和研究。本组78例正常受检者, 利用横旋转扫查法44例乳头部连同肝外胆管末段得以显示,显示率为56%。声像图表现为胆管入十二指肠处呈壁稍增厚增强之小鱼唇样结构(图3)。当十二指肠降部充盈较好时,随着十二指肠蠕动,偶可见该结构局部瞬间发生增厚性改变,呈低回声(图4),既而消失。作者推测此现象为Oddis括约肌收缩所致,小鱼唇即为十二指肠乳头开口部,此结论已在临床病例中得到初步证实。
, 百拇医药
(↓)进入十二指肠
图4 末端胆管呈小鱼唇样结构(↑)
4.假阳性、假阴性分析 由于胰头周围解剖结构复杂,丰富的血管结构易造成胆管伪像,应予以重视。需与下列血管相鉴别:胰十二指肠后上静脉(PSPDV)〔10〕、胰十二指肠上动脉、肝右动脉、右肾静脉。尤其PSPDV走行及管径与胆管相似,位于胆管背侧,其内径一致,与胆管逐渐细窄有差别,重视追踪血管走行及CDFI有助于判断。此外,还应防止将胰腺段胆管后壁与紧邻的下腔静脉前壁误认为胆管管径(图5)。
, http://www.100md.com
末段胆管进入十二指肠(D)处呈小鱼唇样结构(
图5 胆管后壁与下腔静脉前壁(↓↑)形成胆管伪像
横、纵旋转扫查法未能显示C3、C4段胆管的主要原因为气体干扰约占70%,余30%为肥胖所致。作者经验饮水后右侧卧位及扫查中重视等待肠蠕动及水充盈排移气体,有助于提高显示率。
参考文献
[1]France Well,Albert Elsencher,Francois Zeltner,et al.Ultrasonic study of the normal and dilated biliary tree.Radiology,1978,127:221~224
, 百拇医药 [2]Peter L.Cooperberg.High-resolution real-time in the evaluation of the normal and obstructed biliary tract.Radiology,1978,129:477~480
[3]Claus Niederau,Jurgen Muller,Amono Sonnenberg,et al.Extrahepatic bile ducts in health subjects,in patients with cholelithiasis,and in postcholecystectomy patients:A prospective ultrasonic study.Clin Ultrasound,1983,11:23~27
[4]张 武,贾建文,苗利英,等。肝总管、胆总管分别超声定位测量及其临床意义。中华物理医学杂志,1985,7(4):196~199
, 百拇医药
[5]陈敏华,董宝玮。对肝外胆管下段病变超声诊断方法的改进。中华物理医学杂志,1984,6(4):197~200
[6]陈敏华,王 彬,朱 强,等。超声对提高胆管疾病诊断率的研究—注射Ceosunin及纵、横旋转扫查法的意义。中国医学影像学杂志,1993,1(1):28~32
[7]陈敏华,董宝玮,李建国,等。肝外胆管超声显像测量的临床意义—503例分析。实用外科杂志,1984,4(3):141~142
[8]孙百强。肝外胆道系统—胆总管。见韩永坚、刘牧之主编,《临床解剖学丛书》,295~297
[9]K.C.Dewbury.Visualization of normal biliary ducts with ultrasound.BJR,1980,53:774~780
[10]Ronald H.Wachsberg.Posterior superior pancreaticoduodenal vein:Mimic of distal common bile duct at sonography.AJR,1993,160:1033~1037
(1998-11-25收稿), 百拇医药