颈部恶性副神经节瘤一例报告
作者:周忠 王万明 卢森桂 余英豪
单位:周忠 王万明 卢森桂(350001 福州,南京军区福州总医院骨科);余英豪(南京军区福州总医院病理科)
关键词:
中华骨科杂志000715
患者男,32岁。因右颈部包块无痛性进行性肿大2年余,伴右肩、右上臂酸痛2月余,于1999年7月入院。患者于1997年4月间无意中发现右颈部胸锁乳突肌中部肿块,约蚕豆大小,无任何不适。1997年7月在当地医院曾考虑进行肿块切除术,但术中因出血严重改行肿块活检术,病理报告:化学感受器瘤。患者术后局部伤口愈合良好,但颈部肿块继续增大,出现头面部向左侧偏斜,近2个月以来出现右肩及右上臂酸痛。
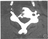
入院查体:神清,一般状况良好,血压105/68mmHg,头面部明显向左侧偏斜,右颈部沿胸锁乳突肌方向有约4cm×3cm×7cm肿块,质硬,无压痛,边界不清,活动差,挤压肿块未见血压变化,其上有2.5cm术后瘢痕,肿块处未闻及血管杂音。生化检查均正常。颈部CT(图1)及立体成像示:C5椎体右侧及横突骨质破坏。MRI示:C5椎体病灶及颈部右侧两个团块状肿块。术前诊断:颈部恶性肿瘤。
全麻下沿胸锁乳突肌内缘切开皮肤约12cm,在该肌深层即见颈部包块,分成两块,下方约2cm×2cm×1cm,位置较浅,较易分离;上方约4cm×3cm×2cm,位置深。向内一直分离至右侧颈内动脉外膜,均行膜外完整切除,再从前路暴露C5椎体,术中见软组织肿块与颈椎之间无联系,将病椎切除,上下椎体间插入钢板,周围用骨水泥固定。术后病理报告:肿瘤边界清楚,包膜不完整,切面灰白及灰红色相间,实质部分可见坏死灶。显微镜下可见:组织形态多样,呈团块、梁索、腺样等多种形式,与腺癌难以区分(图2)。免疫组化检查:NSE、S-100、GFAP均阳性,EMA及角蛋白阴性(图3)。所取破坏骨质内见瘤细胞,光镜检查同图2,支持恶性副神经节瘤诊断。
图1颈椎CT示C5椎体破坏
图2瘤细胞呈片状分布,可见清晰腺腔结构,酷似腺癌×200
图3瘤细胞S-100强阳性免疫组化染色×200
讨论 化学感受器系统包括颈动脉体、主动脉-肺动脉体、颈静脉球、迷走神经体和散在身体其他部位的化学感受器组织,由化学感受器发生的肿瘤称为“化学感受器瘤”,亦称“副神经节瘤”,一般较少见。最常见的部位为腹膜后,头颈部次之。少数副神经节瘤由于分泌儿茶酚胺,可出现阵发性高血压、心悸、头晕、多汗等表现,称为功能性副神经节瘤,但只有出现转移才能诊断为恶性副神经节瘤。本例患者经手术及术后病理证实为颈内动脉副神经节瘤转移至C5椎体,故诊断为颈部恶性副神经节瘤,病例实属罕见。
(收稿日期:1999-12-22), 百拇医药
单位:周忠 王万明 卢森桂(350001 福州,南京军区福州总医院骨科);余英豪(南京军区福州总医院病理科)
关键词:
中华骨科杂志000715
患者男,32岁。因右颈部包块无痛性进行性肿大2年余,伴右肩、右上臂酸痛2月余,于1999年7月入院。患者于1997年4月间无意中发现右颈部胸锁乳突肌中部肿块,约蚕豆大小,无任何不适。1997年7月在当地医院曾考虑进行肿块切除术,但术中因出血严重改行肿块活检术,病理报告:化学感受器瘤。患者术后局部伤口愈合良好,但颈部肿块继续增大,出现头面部向左侧偏斜,近2个月以来出现右肩及右上臂酸痛。
入院查体:神清,一般状况良好,血压105/68mmHg,头面部明显向左侧偏斜,右颈部沿胸锁乳突肌方向有约4cm×3cm×7cm肿块,质硬,无压痛,边界不清,活动差,挤压肿块未见血压变化,其上有2.5cm术后瘢痕,肿块处未闻及血管杂音。生化检查均正常。颈部CT(图1)及立体成像示:C5椎体右侧及横突骨质破坏。MRI示:C5椎体病灶及颈部右侧两个团块状肿块。术前诊断:颈部恶性肿瘤。
全麻下沿胸锁乳突肌内缘切开皮肤约12cm,在该肌深层即见颈部包块,分成两块,下方约2cm×2cm×1cm,位置较浅,较易分离;上方约4cm×3cm×2cm,位置深。向内一直分离至右侧颈内动脉外膜,均行膜外完整切除,再从前路暴露C5椎体,术中见软组织肿块与颈椎之间无联系,将病椎切除,上下椎体间插入钢板,周围用骨水泥固定。术后病理报告:肿瘤边界清楚,包膜不完整,切面灰白及灰红色相间,实质部分可见坏死灶。显微镜下可见:组织形态多样,呈团块、梁索、腺样等多种形式,与腺癌难以区分(图2)。免疫组化检查:NSE、S-100、GFAP均阳性,EMA及角蛋白阴性(图3)。所取破坏骨质内见瘤细胞,光镜检查同图2,支持恶性副神经节瘤诊断。
图1颈椎CT示C5椎体破坏
图2瘤细胞呈片状分布,可见清晰腺腔结构,酷似腺癌×200
图3瘤细胞S-100强阳性免疫组化染色×200
讨论 化学感受器系统包括颈动脉体、主动脉-肺动脉体、颈静脉球、迷走神经体和散在身体其他部位的化学感受器组织,由化学感受器发生的肿瘤称为“化学感受器瘤”,亦称“副神经节瘤”,一般较少见。最常见的部位为腹膜后,头颈部次之。少数副神经节瘤由于分泌儿茶酚胺,可出现阵发性高血压、心悸、头晕、多汗等表现,称为功能性副神经节瘤,但只有出现转移才能诊断为恶性副神经节瘤。本例患者经手术及术后病理证实为颈内动脉副神经节瘤转移至C5椎体,故诊断为颈部恶性副神经节瘤,病例实属罕见。
(收稿日期:1999-12-22), 百拇医药