153Sm-EDTMP治疗肺癌骨转移
作者:邓候富 谭天秩 张锡英 匡安仁 梁正路 李林 李云春 王全林 柴力 杨小川 田蓉 胡疏
单位:邓候富 谭天秩 张锡英 匡安仁 梁正路 李林 李云春 王全林 柴力 杨小川 田蓉 胡疏(610041 成都,华西医科大学附属第一医院核医学科)
关键词:153Sm-EDTMP;肺肿瘤;骨转移;疼痛缓解;转移灶缩小;转移灶消失
中国肺癌杂志000307 【摘要】 目的 探讨153Sm-EDTMP治疗肺癌骨转移的临床效果。方法 110例肺癌伴骨转移的患者接受该治疗。采用两次给药法,第一次先注射示踪剂量,分别计算尿排谢率、骨摄取率、骨累积活性、红骨髓的吸收剂量、总用药量以后,再注射第二次剂量。结果 疼痛完全缓解者38例,中度缓解者60例,总止痛有效率为89.1%(98/110)。患者疼痛缓解出现的时间为3h~4周(7.5d±6.3d),疼痛完全缓解维持的时间范围为2~4周。110例中有12例病灶消失(CR),Karnofsky评分上升20分左右,减少或取消止痛药;20例患者转移病灶数量减少、病灶缩小(PR),Karnofsky评分上升10~15分。转移灶治疗总有效率为29.1%(32/110)。35例患者的白细胞和血小板计数与治疗前比较,有明显减少,1~3月后恢复到治疗前水平。结论 153Sm-EDTMP治疗肺癌骨转移是一种安全、有效的方法。
, http://www.100md.com
153Sm-EDTMP in the treatment of bone metastasis of lung cancer
DENG Houfu, TAN Tianzhi, ZHANG Xiying, KUANG Anren, LIANG Zhenglu, LI Lin, LI Yunchun, WANG Quanlin, Chai Li, YANG Xiaochuan, TIAN Rong, HU Shu. Department of Nuclear Medicine, The First University Hospital, West China University of Medical Sciences, Chengdu, Sichuan 610041, P.R.China
【Abstract】 Objective To explore the clinical effect of 153Sm-EDTMP therapy in the treatment of bone metastasis of lung cancer. Methods One hundred and ten patients with painful bone metastasis were entered into this study. The patients were administrated with two steps. At first, they were injected with tracer dose of 153Sm-EDTMP. After a series of index were calculated, such as urine discharge, bone uptake, cumulated skeletal activity, absorbed dose of red marrow and total dose, the second injection was given. Results Of 110 cases, 98(89.1%) experienced pain relief with complete response in 38 cases and partial response in 60 ones. Pain relief occurred from 3h to 4 weeks(7.5d±6.3d). Duration of pain relief from single injection ranged from 2 to 4 weeks. Follow-up imaging studies were performed within 3 months. In 12 cases, metastatic foci disappeared completely (CR), Karnofsky score increased by 20, and analgesic were discontinued. In 20 patients, both number and diameter of metastatic foci decreased (PR), with an improvement in Karnofsky score ranging from 10 to 15. There were significant decreases in WBC and platelet count found in 35 of 110 patients after therapy, however, blood cell counts returned to baseline within 1 to 3 months. Conclusion 153Sm-EDTMP has proven to be a safe and effective therapy for bone pain in lung cancer, and often results in shrinkage or disappearance of metastatic foci.
, 百拇医药
【Key words】 153Sm-EDTMP Lung neoplasms Bone metastasis Pain relief Metastatic foci shrinkage Metastatic foci disappear
This work was supported by a grant from National Natural Science Foundation (to Deng Houfu) (No.39470791).
肺癌是一种常见病和多发病,其发病率已列为恶性肿瘤的首位[1]。肺癌极易发生骨转移,由转移引起的剧烈疼痛可严重地影响患者的生活质量。本研究应用153Sm-EDTMP(153钐-乙二胺四甲撑磷酸)治疗110例肺癌伴骨转移的患者,现报道如下。
1 材料与方法
, http://www.100md.com
1.1 放射性药物153Sm-EDTMP 153Sm-EDTMP由中国工程物理研究院提供,为无色澄清液体,pH值8.0,放化纯>98%[2]。
1.2 治疗对象 收集肺癌伴多发性骨转移的患者110例,其中男65例,女45例。年龄28~80岁。原发癌分别为肺鳞癌37例,肺腺癌30例,小细胞肺癌16例,其它类型27例。所有患者的原发病灶均经病理学或者组织细胞学活检所证实。转移病灶经X线、CT、MRI显像或者99mTc-MDP(99m锝-亚甲基二膦酸盐)ECT骨显像所证实。110例中有35例曾经接受过大面积放疗和化疗。但在用153Sm-EDTMP治疗前已停止放、化疗1个月以上。选择估计至少还能生存三个月、能够随访观察其治疗效果的病例纳入研究。
1.3 血液细胞学标准 所有患者WBC>3.0×109/L,血小板>80×109/L,血清生化指标正常。
, 百拇医药
1.4 给药方法[3~7] 采用两次给药法[6]。
1.4.1 第一次给药 先注射153Sm-EDTMP370MBq作为示踪剂量。收集8h以前的尿液测定排除的放射性,算出尿排泄率。计算骨摄取率(Bu)=1-尿排泄率。第一次注射153Sm-EDTMP骨摄取率(A01)=第一次注射量×Bu。进行153Sm-EDTMP骨显像和99mTc-MDP骨显像比较,并算出正常骨和转移灶的摄取比值。
1.4.2 第二次给药 按照下列公式确定第二次注射153Sm-EDTMP的量。
用上式算出第一次注射153Sm-EDTMP后骨摄取量的累积活性(A1)。
, 百拇医药
A1=A01×Tp/(0.693×37MBq.h)
Tp=46.3(153Sm的物理半衰期)
按下式计算第一次注射153Sm-EDTMP后红骨髓的吸收剂量(DRM)。
DRM=0.5×A1×ST+0.5×A1×Sc
=0.5×A1(ST+Sc)
ST表示153Sm在骨小梁表面和体积分布情况下红骨髓的S因子[mGy/(MBq*h)]。Sc表示153Sm在骨皮质表面和体积分布情况下红骨髓的S因子。0.5表示累积活性均匀分布在骨小梁和骨皮质。按Heggil报告,ST+Sc=0.0353mGy/(MBq*h)
, http://www.100md.com
用身高或体重校正DRM,即:
DRM×70/W或DRM×70/(22.5×H2)
确定红骨髓能接受的最大(或理想)的吸收剂量(DMA,我们采用150cGy),从而计算出患者注射153Sm-EDTMP的总量(AT)。
第二次注射153Sm-EDTMP剂量(补足剂量)=AT-第一次注射量。
1.5 重复治疗 下列情况下,为达到肿瘤消退的目的,可重复治疗:①骨痛未完全消失或复发。②第一次治疗反应好,效果明显,但未达到红骨髓最大吸收剂量。③虽达到红骨髓最大吸收剂量,但间隔1月后,血象变化不明显(白细胞>3.0×109/L,血小板>80×109/L)。重复用药的时间间隔为15d或1个月。
, http://www.100md.com
1.6 疗效判断标准
1.6.1 记录患者治疗前后止痛药的用量。
1.6.2 按Karnofsky行为评分标准逐一进行登记。
1.6.3 疼痛标准根据国际VRS法,分为:0级:无疼痛;Ⅰ级:轻度疼痛,有疼痛感觉但尚能忍受,不影响生活和睡眠;Ⅱ级:中度疼痛,有明显疼痛,要求服用止痛药物,影响生活和睡眠。定量标准相当于650mg阿斯匹林用量[8,9];Ⅲ级:疼痛剧烈并伴有植物神经功能紊乱,生活和睡眠受到严重干扰,必须服用止痛剂才能控制疼痛。定量标准相当于10mg吗啡或75mg度冷丁肌肉注射用量[8]。
疼痛缓解的评价:按首次用药以后能达到消失或缓解的程度,分别记载为:完全缓解(疼痛消失)、中度缓解(疼痛缓解达到25%以上)和无缓解。上述各类疼痛缓解的时间均以最大缓解时间为依据。
, http://www.100md.com
1.6.4 按WHO公布的国际抗癌联盟关于转移癌疗效评价标准进行评价[9],分为四级:Ⅰ级:有效,X线或骨显像检查证实所有转移灶均钙化或消失;Ⅱ级:显效,X线检查证实转移灶的上下径乘积减少或钙化>50%,或者骨显像显示转移灶大小或数目减少>50%;Ⅲ级:好转,X线检查证实转移灶的两径乘积减少或者钙化>25%,或者骨显像显示转移灶大小或数目减少>25%;Ⅳ级:无效,X线检查证实转移灶的两径乘积减少或者钙化<25%,或骨显像显示转移灶的大小和数目减少<25%或无变化。
1.7 统计学处理 采用方差分析。
2 结果
2.1 疼痛缓解情况 153Sm-EDTMP对全身各部位的疼痛都有良好止痛作用。疼痛完全缓解者38例,中度缓解者60例,总止痛有效率为89.1%(98/110)。患者疼痛缓解出现的时间为3h~4周(7.5d±6.3d),疼痛完全缓解维持的时间范围是2~4周。其中胸部疼痛的患者疼痛缓解最快,而骨盆和骶部疼痛的患者缓解最慢。
, http://www.100md.com
2.2 血象变化 一次用药后(相当于37MBq/kg)1个月,患者的白细胞和血小板计数与治疗前比较无显著性差异(P>0.05)。经过三次治疗后35例患者白细胞和血小板计数明显下降(P<0.02),用升白细胞药物后1~3月则恢复到治疗前的水平。未发现骨髓中毒征象。
2.3 整体治疗效果 110例患者中有12例获CR,病灶消失(图1),Karnofsky评分上升20分左右,止痛药用量减少一半或停用。20例患者获PR,转移灶数量减少,病灶缩小;X线检查示溶骨性病灶转变为硬化型,可见骨修复(图2);Karnofsky评分上升10~15分。153 Sm-EDTMP治疗肺癌骨转移灶的总有效率(CR+PR)为29.1%(32/110)。病变较小(<2cm)且位于胸、腰椎体和肋骨者,其转移灶消失的例数明显多于病变范围较大(>2cm,呈不规则巨块状)及位于骨盆和长骨者(P<0.05)。
, http://www.100md.com
图1 男性, 肺鳞癌。ECT骨显像发现肋骨和多数胸椎有广泛性骨转移。注射6次153Sm-EDTMP,总剂量大于11 110 MBq。6个月后骨显像提示转移病灶基本消失。
Fig 1 This is a male patient with squamous cell carcinoma. There were disseminated metastases in ribs and thoracic vertebra by bone scintigraphy. He was administrated 11110MBq153 Sm-EDTMP. Six months later, bone scintigraphy showed that the metastases disappeared.
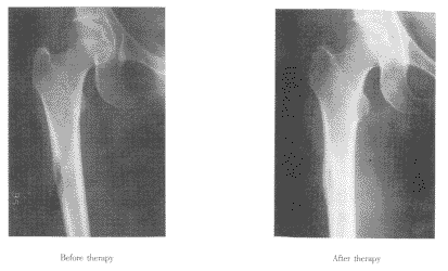
图2 女性,45岁,小细胞肺癌。治疗前X线检查发现右股骨中段有“溶骨型”骨破坏,皮质变薄。接受4次153Sm-EDTMP治疗,总剂量大于7400MBq。5个月后再次照X线片,股骨病灶已成“硬化型”,骨皮质变厚,有明显骨修复。
, 百拇医药
Fig 2 This is a 45-year-old female patient with small cell lung cancer. X-ray shew that there was a lytic disease in right femur with bone cortex becoming thinner. She received 7400MBq153 Sm-EDTMP. Five months later, X-ray showed that there was significant bone repairing.
3 讨论
肺癌多发性骨转移的治疗是临床上比较困难的问题之一。用外照射放疗只能对少数病灶或孤立性病灶有效,对多数转移病灶的疗效不理想。化疗药物对止痛和微小病灶有一定作用,但对广泛多发病灶的治疗效果仍然不显著,因为能够到达转移病灶的药物剂量极低。
, 百拇医药
153 Sm-EDTMP是一种用于内照射治疗的放射性药物,其特点如下:①153Sm发射β射线。β射线的平均能量为225KeV,射程为3.4mm。β射线对肿瘤有明显的破坏杀伤作用,致使病灶缩小、消失[8~11]。②153Sm β射线的射程较短,因此对骨髓的损坏较轻。③靶向性好。因为153Sm-EDTMP有较高的骨摄取率,骨肿瘤部位药物浓度可高于正常骨组织16~32倍。非骨组织的放射性约为1%,血清除很快。④良好的核物理性能。153 Sm-EDTMP发射103KeV的γ射线,能够用于显像,以监测其在生物体内的分布以及了解病灶好转情况。⑤极好的体内以及体外稳定性,放置7d以后标记化合物的放射化学纯度仍然大于99%。⑥153Sm-EDTMP的物理半衰期为46.8h,可以单独或者重复给药。因此,153Sm-EDTMP用来治疗骨肿瘤肯定有较好的临床效果[11,12]。
, http://www.100md.com
根据本组的治疗经验,肺癌的全身骨显像如表现为多发性、散在的小病灶,骨转移病灶位于肋骨、胸椎和腰椎者疗效好,病灶比较容易缩小、消退,而且止痛效果也较满意。如骨显像时骨转移灶为巨块,放射性浓聚高,位于骨盆、髋关节和下肢、股骨者疗效次之,止痛效果也较差,骨转移灶全部消退者少,多数骨显像示仅缩小变淡。X线片为溶骨病变和骨显像表现为“冷区”者,或者已有骨折形成者疗效不佳。本研究观察到,总止痛有效率为89.1%(98/110),约29.1%(32/110)的病例转移灶缩小、消失或在X线检查中表现为钙化(硬化型改变),Karnofsky行为评分上升10~20分,患者的生活质量明显改善。上述结果表明153Sm-EDTMP治疗肺癌骨转移是一种可靠、有效的方法。
据文献报道,按18.5~37MBq/kg体重给药[7,13~15]和Collins等[16]一次用111MBq/kg给药,都能缓解疼痛。多数学者报告采用一次给药。我们的经验是根据病情和想要达到的治疗目的来区别对待。我们治疗的患者大体分为:①患者较衰竭,曾经接受过多次化疗和放疗,治疗以止痛为主,剂量偏小,因为剂量大小与止痛效果无明显联系[7,13,17]。我们的观察结果与国外学者报道基本一致[3,13]。②部分患者仅有骨转移而其他脏器未受累,血象稳定。治疗目的除止痛外,还希望消除骨转移灶,则采用多次治疗。两次疗程的间隔时间为2~5周。个人总剂量范围为5180~11100MBq。分析治疗前后全身骨显像的变化,多次剂量使骨转移灶缩小、数量减少和影像变淡的几率要大一些。
, 百拇医药
Turner等[3]报告34例骨转移癌经153Sm-EDTMP治疗后有14例(41%)患者转移灶缩小、消失或钙化。有学者用153Sm-EDTMP治疗23条患原发性骨肿瘤的犬,均无治疗后的不良反应,多数犬的运动失调得以改善,11条犬经X线检查显示肿瘤呈静止状态,2条犬的肿瘤已治愈。上述结果都证明153Sm能使转移病灶消退或病变范围缩小。153Sm-EDTMP 使病灶缩小、消失的可能原因为:①病灶内的吸收剂量较大。注射153Sm-EDTMP以后,第一天测得病灶内药物浓度为正常骨的11倍(有的高达32倍),第3天为14倍,第7天为8倍。国外学者认为,当给于放射性核素的剂量为常用量的两倍时,作最低限度的估计,癌细胞会被大量杀伤、杀死。Denmaley[18]采用6~8Gy的单侧外照射放疗,认为可以杀死癌细胞。我们测得骨肿瘤病灶内的剂量为104~295Gy,完全可以达到治疗的目的。②153Sm所发射的β射线直接辐射骨肿瘤与正常骨的交界面。β射线的能量聚集在最靠近受损害病变的区域,β射线能够穿透血流灌注受限的低氧细胞群。我们观察到:经153Sm照射后的肿瘤细胞核仁的变化处于一个非常明显的地位,细胞核发生肿胀、固缩、核消失和核囊性扩张,最后导致核破裂。这些改变证实了许多学者观察到的“细胞核的放射敏感性比细胞质高100倍”。
, 百拇医药
153 Sm所发射的β射线可以缓解或消除癌变骨组织的疼痛,确切机理仍不清楚,其可能原因为[14,17]:153 Sm的β射线刺激癌变骨组织周围的疼痛感受器,干扰疼痛部位伤害冲动的形成,使该部位的pH值、氧压力和代谢物质发生改变;β射线直接辐射骨肿瘤与正常骨的交界面,引起骨母细胞活性增加,代谢旺盛,病灶内蓄积的总放射性增多,电离辐射效应影响神经末梢去极化的速度,干扰疼痛在轴索中的传导,使疼痛减轻或消失。
我们的动物实验结果证明153Sm-EDTMP为强亲骨性靶向治疗药物,注药后3h骨摄取占总注入量的60%,而其他脏器(心、肝、肺、脾)中的含量约为1%。153 Sm的主要治疗作用为β射线,其射程短,对四周组织的辐射损伤不大。基于其物理和代谢特性,一般在给药后患者的全身反应较轻。放射性核素治疗骨转移的一个重要问题是骨髓中毒。由于我们采用了两次给药方法,并根据红骨髓的剂量限量(150cGy)计算患者的总剂量,做到了个体给药,可以防止患者红骨髓不必要的损伤,既保证了治疗效果,又为重复给药提供了依据。虽然本研究中也有白细胞和血小板降低的患者,但是1~3月以后,这些患者的血象又恢复到治疗前的水平,未发现有骨髓永久性损害的病例[13,14,18]。分析血液细胞学计数下降的原因为:骨髓中已有肿瘤浸润者,或者已接受过放、化疗、细胞毒或激素治疗者,中药抗癌者,这些患者的白细胞和血小板计数下降比较明显。
, 百拇医药
本研究受国家自然科学基金(39470791)资助
参考文献
1,程书钧,董向阳,高燕宁.肺癌基础研究的进展.见: 中国抗癌协会肺癌专委会、中华医学会呼吸病学分会编印.中国抗癌协会第七届全国肺癌学术会议论文汇编.成都.1999. 5-11.
2,邓候富,谭天秩,匡安仁,等.新的骨显像及骨肿瘤治疗剂, 153Sm-EDTMP的应用, 中华核医学杂志, 1992, 12(1)∶27-28.
3,Turner JH, Marinadale AA, Sorby P, et al. Samarium 153Sm-EDTMP therapy of disseminated skeletal metastasis. Eur J Nucl Med, 1989, 15(6)∶784-795.
, 百拇医药
4,Logan KW, Volkert WA, Homes RA. Radiation dose calculations in persons receiving injection of 153Sm-EDTMP. J Nucl Med, 1987, 28(5)∶505-509.
5,罗顺忠,邓候富综述,唐谨审校。骨转移癌治疗药物153Sm -EDTMP辐射剂量研究.国外医学放射医学核医学分册, 1993, 17(1)∶26-29.
6,谭天秩.放射性核素治疗(骨转移癌的治疗).见: 中华人民共和国卫生部医政司主编.核医学诊断与治疗规范.第1版.北京:科学出版社,1997. 292-295.
7,邓候富, 谭天秩, 莫廷树, 等. 153Sm-EDTMP的体内动力学及治疗骨转移癌的方法学探讨.中华核医学杂志, 1995, 15(1)∶21-22.
, 百拇医药
8,孙燕等译.止痛药的相对强度.见:成人与儿童肿瘤内科分册.第1版.北京:学术期刊出版社, 1988. 101.
9,Dechamps M, Porty LA, Corbin CA, et al. Assessments of adult cancer pain shortcoming of current methods. Pain, 1988, 22(2)∶133-137.
10,孙燕主编. 实体肿瘤的疗效标准.见:临床肿瘤内科手册.第2版.北京:人民卫生出版社, 1992. 25-32.
11,邓候富综述,罗顺忠,赵惠杨审校.放射性药物治疗恶性骨肿瘤的现状.国外医学放射医学核医学分册, 1992, 16(3)∶121-125.
12,Campa JA, Payne R. The management of intractable bone pain: A clinician's perspective. Semilars in Nucl Med, 1992, 22(1)∶3-10.
, 百拇医药
13,Farhanqi M, Holmes PA, Volkert WA, et al. 153Sm-EDTMP using an escalating dose schedule in treatment of metastatic bone cancer. J Nucl Med, 1992, 33(10)∶1451-1458.
14,Tong D, Gillick D, Hendrickson FR, et al. The palliation of symptomatic osseous metastases finial results of the study of the radiation therapy oncol group. Cancer, 1982, 50(7)∶893-896.
15,谭天秩,邓候富,梁正路.153Sm -EDTMP治疗骨转移癌的临床观察.中华核医学杂志, 1995, 15(1)∶23-25.
, 百拇医药
16,Collins C, Eary JF, Nonaldson G, et al. 153Sm-EDTMP in bone metastases with of hormone refractory prostate carcinoma a phase I/II trial. J Nucl Med, 1993, 34(12)∶1839-1843.
17,邓候富, 罗顺忠, 谭天秩, 等.153Sm-EDTMP对骨转移癌疼痛的止痛效果.华西医科大学学报, 1995, 26(4)∶391-394.
18,Denarnaley DP, Bayly RJ, A'Hem RP, et al. Pallation of bone metastases in prostate cancer. Hemibody irradiation of strontium-89 Clin Oncol,1992,4(1)∶101-107.
19,邓候富,谭天秩,莫廷树,等.骨转移癌治疗药物,153Sm-EDTMP对患者造血系统和重要器官的影响.华西医科大学学报, 1995, 26(2)∶155-159.
(收稿:2000-01-10 修回:2000-03-30), 百拇医药
单位:邓候富 谭天秩 张锡英 匡安仁 梁正路 李林 李云春 王全林 柴力 杨小川 田蓉 胡疏(610041 成都,华西医科大学附属第一医院核医学科)
关键词:153Sm-EDTMP;肺肿瘤;骨转移;疼痛缓解;转移灶缩小;转移灶消失
中国肺癌杂志000307 【摘要】 目的 探讨153Sm-EDTMP治疗肺癌骨转移的临床效果。方法 110例肺癌伴骨转移的患者接受该治疗。采用两次给药法,第一次先注射示踪剂量,分别计算尿排谢率、骨摄取率、骨累积活性、红骨髓的吸收剂量、总用药量以后,再注射第二次剂量。结果 疼痛完全缓解者38例,中度缓解者60例,总止痛有效率为89.1%(98/110)。患者疼痛缓解出现的时间为3h~4周(7.5d±6.3d),疼痛完全缓解维持的时间范围为2~4周。110例中有12例病灶消失(CR),Karnofsky评分上升20分左右,减少或取消止痛药;20例患者转移病灶数量减少、病灶缩小(PR),Karnofsky评分上升10~15分。转移灶治疗总有效率为29.1%(32/110)。35例患者的白细胞和血小板计数与治疗前比较,有明显减少,1~3月后恢复到治疗前水平。结论 153Sm-EDTMP治疗肺癌骨转移是一种安全、有效的方法。
, http://www.100md.com
153Sm-EDTMP in the treatment of bone metastasis of lung cancer
DENG Houfu, TAN Tianzhi, ZHANG Xiying, KUANG Anren, LIANG Zhenglu, LI Lin, LI Yunchun, WANG Quanlin, Chai Li, YANG Xiaochuan, TIAN Rong, HU Shu. Department of Nuclear Medicine, The First University Hospital, West China University of Medical Sciences, Chengdu, Sichuan 610041, P.R.China
【Abstract】 Objective To explore the clinical effect of 153Sm-EDTMP therapy in the treatment of bone metastasis of lung cancer. Methods One hundred and ten patients with painful bone metastasis were entered into this study. The patients were administrated with two steps. At first, they were injected with tracer dose of 153Sm-EDTMP. After a series of index were calculated, such as urine discharge, bone uptake, cumulated skeletal activity, absorbed dose of red marrow and total dose, the second injection was given. Results Of 110 cases, 98(89.1%) experienced pain relief with complete response in 38 cases and partial response in 60 ones. Pain relief occurred from 3h to 4 weeks(7.5d±6.3d). Duration of pain relief from single injection ranged from 2 to 4 weeks. Follow-up imaging studies were performed within 3 months. In 12 cases, metastatic foci disappeared completely (CR), Karnofsky score increased by 20, and analgesic were discontinued. In 20 patients, both number and diameter of metastatic foci decreased (PR), with an improvement in Karnofsky score ranging from 10 to 15. There were significant decreases in WBC and platelet count found in 35 of 110 patients after therapy, however, blood cell counts returned to baseline within 1 to 3 months. Conclusion 153Sm-EDTMP has proven to be a safe and effective therapy for bone pain in lung cancer, and often results in shrinkage or disappearance of metastatic foci.
, 百拇医药
【Key words】 153Sm-EDTMP Lung neoplasms Bone metastasis Pain relief Metastatic foci shrinkage Metastatic foci disappear
This work was supported by a grant from National Natural Science Foundation (to Deng Houfu) (No.39470791).
肺癌是一种常见病和多发病,其发病率已列为恶性肿瘤的首位[1]。肺癌极易发生骨转移,由转移引起的剧烈疼痛可严重地影响患者的生活质量。本研究应用153Sm-EDTMP(153钐-乙二胺四甲撑磷酸)治疗110例肺癌伴骨转移的患者,现报道如下。
1 材料与方法
, http://www.100md.com
1.1 放射性药物153Sm-EDTMP 153Sm-EDTMP由中国工程物理研究院提供,为无色澄清液体,pH值8.0,放化纯>98%[2]。
1.2 治疗对象 收集肺癌伴多发性骨转移的患者110例,其中男65例,女45例。年龄28~80岁。原发癌分别为肺鳞癌37例,肺腺癌30例,小细胞肺癌16例,其它类型27例。所有患者的原发病灶均经病理学或者组织细胞学活检所证实。转移病灶经X线、CT、MRI显像或者99mTc-MDP(99m锝-亚甲基二膦酸盐)ECT骨显像所证实。110例中有35例曾经接受过大面积放疗和化疗。但在用153Sm-EDTMP治疗前已停止放、化疗1个月以上。选择估计至少还能生存三个月、能够随访观察其治疗效果的病例纳入研究。
1.3 血液细胞学标准 所有患者WBC>3.0×109/L,血小板>80×109/L,血清生化指标正常。
, 百拇医药
1.4 给药方法[3~7] 采用两次给药法[6]。
1.4.1 第一次给药 先注射153Sm-EDTMP370MBq作为示踪剂量。收集8h以前的尿液测定排除的放射性,算出尿排泄率。计算骨摄取率(Bu)=1-尿排泄率。第一次注射153Sm-EDTMP骨摄取率(A01)=第一次注射量×Bu。进行153Sm-EDTMP骨显像和99mTc-MDP骨显像比较,并算出正常骨和转移灶的摄取比值。
1.4.2 第二次给药 按照下列公式确定第二次注射153Sm-EDTMP的量。
用上式算出第一次注射153Sm-EDTMP后骨摄取量的累积活性(A1)。
, 百拇医药
A1=A01×Tp/(0.693×37MBq.h)
Tp=46.3(153Sm的物理半衰期)
按下式计算第一次注射153Sm-EDTMP后红骨髓的吸收剂量(DRM)。
DRM=0.5×A1×ST+0.5×A1×Sc
=0.5×A1(ST+Sc)
ST表示153Sm在骨小梁表面和体积分布情况下红骨髓的S因子[mGy/(MBq*h)]。Sc表示153Sm在骨皮质表面和体积分布情况下红骨髓的S因子。0.5表示累积活性均匀分布在骨小梁和骨皮质。按Heggil报告,ST+Sc=0.0353mGy/(MBq*h)
, http://www.100md.com
用身高或体重校正DRM,即:
DRM×70/W或DRM×70/(22.5×H2)
确定红骨髓能接受的最大(或理想)的吸收剂量(DMA,我们采用150cGy),从而计算出患者注射153Sm-EDTMP的总量(AT)。
第二次注射153Sm-EDTMP剂量(补足剂量)=AT-第一次注射量。
1.5 重复治疗 下列情况下,为达到肿瘤消退的目的,可重复治疗:①骨痛未完全消失或复发。②第一次治疗反应好,效果明显,但未达到红骨髓最大吸收剂量。③虽达到红骨髓最大吸收剂量,但间隔1月后,血象变化不明显(白细胞>3.0×109/L,血小板>80×109/L)。重复用药的时间间隔为15d或1个月。
, http://www.100md.com
1.6 疗效判断标准
1.6.1 记录患者治疗前后止痛药的用量。
1.6.2 按Karnofsky行为评分标准逐一进行登记。
1.6.3 疼痛标准根据国际VRS法,分为:0级:无疼痛;Ⅰ级:轻度疼痛,有疼痛感觉但尚能忍受,不影响生活和睡眠;Ⅱ级:中度疼痛,有明显疼痛,要求服用止痛药物,影响生活和睡眠。定量标准相当于650mg阿斯匹林用量[8,9];Ⅲ级:疼痛剧烈并伴有植物神经功能紊乱,生活和睡眠受到严重干扰,必须服用止痛剂才能控制疼痛。定量标准相当于10mg吗啡或75mg度冷丁肌肉注射用量[8]。
疼痛缓解的评价:按首次用药以后能达到消失或缓解的程度,分别记载为:完全缓解(疼痛消失)、中度缓解(疼痛缓解达到25%以上)和无缓解。上述各类疼痛缓解的时间均以最大缓解时间为依据。
, http://www.100md.com
1.6.4 按WHO公布的国际抗癌联盟关于转移癌疗效评价标准进行评价[9],分为四级:Ⅰ级:有效,X线或骨显像检查证实所有转移灶均钙化或消失;Ⅱ级:显效,X线检查证实转移灶的上下径乘积减少或钙化>50%,或者骨显像显示转移灶大小或数目减少>50%;Ⅲ级:好转,X线检查证实转移灶的两径乘积减少或者钙化>25%,或者骨显像显示转移灶大小或数目减少>25%;Ⅳ级:无效,X线检查证实转移灶的两径乘积减少或者钙化<25%,或骨显像显示转移灶的大小和数目减少<25%或无变化。
1.7 统计学处理 采用方差分析。
2 结果
2.1 疼痛缓解情况 153Sm-EDTMP对全身各部位的疼痛都有良好止痛作用。疼痛完全缓解者38例,中度缓解者60例,总止痛有效率为89.1%(98/110)。患者疼痛缓解出现的时间为3h~4周(7.5d±6.3d),疼痛完全缓解维持的时间范围是2~4周。其中胸部疼痛的患者疼痛缓解最快,而骨盆和骶部疼痛的患者缓解最慢。
, http://www.100md.com
2.2 血象变化 一次用药后(相当于37MBq/kg)1个月,患者的白细胞和血小板计数与治疗前比较无显著性差异(P>0.05)。经过三次治疗后35例患者白细胞和血小板计数明显下降(P<0.02),用升白细胞药物后1~3月则恢复到治疗前的水平。未发现骨髓中毒征象。
2.3 整体治疗效果 110例患者中有12例获CR,病灶消失(图1),Karnofsky评分上升20分左右,止痛药用量减少一半或停用。20例患者获PR,转移灶数量减少,病灶缩小;X线检查示溶骨性病灶转变为硬化型,可见骨修复(图2);Karnofsky评分上升10~15分。153 Sm-EDTMP治疗肺癌骨转移灶的总有效率(CR+PR)为29.1%(32/110)。病变较小(<2cm)且位于胸、腰椎体和肋骨者,其转移灶消失的例数明显多于病变范围较大(>2cm,呈不规则巨块状)及位于骨盆和长骨者(P<0.05)。
, http://www.100md.com
图1 男性, 肺鳞癌。ECT骨显像发现肋骨和多数胸椎有广泛性骨转移。注射6次153Sm-EDTMP,总剂量大于11 110 MBq。6个月后骨显像提示转移病灶基本消失。
Fig 1 This is a male patient with squamous cell carcinoma. There were disseminated metastases in ribs and thoracic vertebra by bone scintigraphy. He was administrated 11110MBq153 Sm-EDTMP. Six months later, bone scintigraphy showed that the metastases disappeared.
图2 女性,45岁,小细胞肺癌。治疗前X线检查发现右股骨中段有“溶骨型”骨破坏,皮质变薄。接受4次153Sm-EDTMP治疗,总剂量大于7400MBq。5个月后再次照X线片,股骨病灶已成“硬化型”,骨皮质变厚,有明显骨修复。
, 百拇医药
Fig 2 This is a 45-year-old female patient with small cell lung cancer. X-ray shew that there was a lytic disease in right femur with bone cortex becoming thinner. She received 7400MBq153 Sm-EDTMP. Five months later, X-ray showed that there was significant bone repairing.
3 讨论
肺癌多发性骨转移的治疗是临床上比较困难的问题之一。用外照射放疗只能对少数病灶或孤立性病灶有效,对多数转移病灶的疗效不理想。化疗药物对止痛和微小病灶有一定作用,但对广泛多发病灶的治疗效果仍然不显著,因为能够到达转移病灶的药物剂量极低。
, 百拇医药
153 Sm-EDTMP是一种用于内照射治疗的放射性药物,其特点如下:①153Sm发射β射线。β射线的平均能量为225KeV,射程为3.4mm。β射线对肿瘤有明显的破坏杀伤作用,致使病灶缩小、消失[8~11]。②153Sm β射线的射程较短,因此对骨髓的损坏较轻。③靶向性好。因为153Sm-EDTMP有较高的骨摄取率,骨肿瘤部位药物浓度可高于正常骨组织16~32倍。非骨组织的放射性约为1%,血清除很快。④良好的核物理性能。153 Sm-EDTMP发射103KeV的γ射线,能够用于显像,以监测其在生物体内的分布以及了解病灶好转情况。⑤极好的体内以及体外稳定性,放置7d以后标记化合物的放射化学纯度仍然大于99%。⑥153Sm-EDTMP的物理半衰期为46.8h,可以单独或者重复给药。因此,153Sm-EDTMP用来治疗骨肿瘤肯定有较好的临床效果[11,12]。
, http://www.100md.com
根据本组的治疗经验,肺癌的全身骨显像如表现为多发性、散在的小病灶,骨转移病灶位于肋骨、胸椎和腰椎者疗效好,病灶比较容易缩小、消退,而且止痛效果也较满意。如骨显像时骨转移灶为巨块,放射性浓聚高,位于骨盆、髋关节和下肢、股骨者疗效次之,止痛效果也较差,骨转移灶全部消退者少,多数骨显像示仅缩小变淡。X线片为溶骨病变和骨显像表现为“冷区”者,或者已有骨折形成者疗效不佳。本研究观察到,总止痛有效率为89.1%(98/110),约29.1%(32/110)的病例转移灶缩小、消失或在X线检查中表现为钙化(硬化型改变),Karnofsky行为评分上升10~20分,患者的生活质量明显改善。上述结果表明153Sm-EDTMP治疗肺癌骨转移是一种可靠、有效的方法。
据文献报道,按18.5~37MBq/kg体重给药[7,13~15]和Collins等[16]一次用111MBq/kg给药,都能缓解疼痛。多数学者报告采用一次给药。我们的经验是根据病情和想要达到的治疗目的来区别对待。我们治疗的患者大体分为:①患者较衰竭,曾经接受过多次化疗和放疗,治疗以止痛为主,剂量偏小,因为剂量大小与止痛效果无明显联系[7,13,17]。我们的观察结果与国外学者报道基本一致[3,13]。②部分患者仅有骨转移而其他脏器未受累,血象稳定。治疗目的除止痛外,还希望消除骨转移灶,则采用多次治疗。两次疗程的间隔时间为2~5周。个人总剂量范围为5180~11100MBq。分析治疗前后全身骨显像的变化,多次剂量使骨转移灶缩小、数量减少和影像变淡的几率要大一些。
, 百拇医药
Turner等[3]报告34例骨转移癌经153Sm-EDTMP治疗后有14例(41%)患者转移灶缩小、消失或钙化。有学者用153Sm-EDTMP治疗23条患原发性骨肿瘤的犬,均无治疗后的不良反应,多数犬的运动失调得以改善,11条犬经X线检查显示肿瘤呈静止状态,2条犬的肿瘤已治愈。上述结果都证明153Sm能使转移病灶消退或病变范围缩小。153Sm-EDTMP 使病灶缩小、消失的可能原因为:①病灶内的吸收剂量较大。注射153Sm-EDTMP以后,第一天测得病灶内药物浓度为正常骨的11倍(有的高达32倍),第3天为14倍,第7天为8倍。国外学者认为,当给于放射性核素的剂量为常用量的两倍时,作最低限度的估计,癌细胞会被大量杀伤、杀死。Denmaley[18]采用6~8Gy的单侧外照射放疗,认为可以杀死癌细胞。我们测得骨肿瘤病灶内的剂量为104~295Gy,完全可以达到治疗的目的。②153Sm所发射的β射线直接辐射骨肿瘤与正常骨的交界面。β射线的能量聚集在最靠近受损害病变的区域,β射线能够穿透血流灌注受限的低氧细胞群。我们观察到:经153Sm照射后的肿瘤细胞核仁的变化处于一个非常明显的地位,细胞核发生肿胀、固缩、核消失和核囊性扩张,最后导致核破裂。这些改变证实了许多学者观察到的“细胞核的放射敏感性比细胞质高100倍”。
, 百拇医药
153 Sm所发射的β射线可以缓解或消除癌变骨组织的疼痛,确切机理仍不清楚,其可能原因为[14,17]:153 Sm的β射线刺激癌变骨组织周围的疼痛感受器,干扰疼痛部位伤害冲动的形成,使该部位的pH值、氧压力和代谢物质发生改变;β射线直接辐射骨肿瘤与正常骨的交界面,引起骨母细胞活性增加,代谢旺盛,病灶内蓄积的总放射性增多,电离辐射效应影响神经末梢去极化的速度,干扰疼痛在轴索中的传导,使疼痛减轻或消失。
我们的动物实验结果证明153Sm-EDTMP为强亲骨性靶向治疗药物,注药后3h骨摄取占总注入量的60%,而其他脏器(心、肝、肺、脾)中的含量约为1%。153 Sm的主要治疗作用为β射线,其射程短,对四周组织的辐射损伤不大。基于其物理和代谢特性,一般在给药后患者的全身反应较轻。放射性核素治疗骨转移的一个重要问题是骨髓中毒。由于我们采用了两次给药方法,并根据红骨髓的剂量限量(150cGy)计算患者的总剂量,做到了个体给药,可以防止患者红骨髓不必要的损伤,既保证了治疗效果,又为重复给药提供了依据。虽然本研究中也有白细胞和血小板降低的患者,但是1~3月以后,这些患者的血象又恢复到治疗前的水平,未发现有骨髓永久性损害的病例[13,14,18]。分析血液细胞学计数下降的原因为:骨髓中已有肿瘤浸润者,或者已接受过放、化疗、细胞毒或激素治疗者,中药抗癌者,这些患者的白细胞和血小板计数下降比较明显。
, 百拇医药
本研究受国家自然科学基金(39470791)资助
参考文献
1,程书钧,董向阳,高燕宁.肺癌基础研究的进展.见: 中国抗癌协会肺癌专委会、中华医学会呼吸病学分会编印.中国抗癌协会第七届全国肺癌学术会议论文汇编.成都.1999. 5-11.
2,邓候富,谭天秩,匡安仁,等.新的骨显像及骨肿瘤治疗剂, 153Sm-EDTMP的应用, 中华核医学杂志, 1992, 12(1)∶27-28.
3,Turner JH, Marinadale AA, Sorby P, et al. Samarium 153Sm-EDTMP therapy of disseminated skeletal metastasis. Eur J Nucl Med, 1989, 15(6)∶784-795.
, 百拇医药
4,Logan KW, Volkert WA, Homes RA. Radiation dose calculations in persons receiving injection of 153Sm-EDTMP. J Nucl Med, 1987, 28(5)∶505-509.
5,罗顺忠,邓候富综述,唐谨审校。骨转移癌治疗药物153Sm -EDTMP辐射剂量研究.国外医学放射医学核医学分册, 1993, 17(1)∶26-29.
6,谭天秩.放射性核素治疗(骨转移癌的治疗).见: 中华人民共和国卫生部医政司主编.核医学诊断与治疗规范.第1版.北京:科学出版社,1997. 292-295.
7,邓候富, 谭天秩, 莫廷树, 等. 153Sm-EDTMP的体内动力学及治疗骨转移癌的方法学探讨.中华核医学杂志, 1995, 15(1)∶21-22.
, 百拇医药
8,孙燕等译.止痛药的相对强度.见:成人与儿童肿瘤内科分册.第1版.北京:学术期刊出版社, 1988. 101.
9,Dechamps M, Porty LA, Corbin CA, et al. Assessments of adult cancer pain shortcoming of current methods. Pain, 1988, 22(2)∶133-137.
10,孙燕主编. 实体肿瘤的疗效标准.见:临床肿瘤内科手册.第2版.北京:人民卫生出版社, 1992. 25-32.
11,邓候富综述,罗顺忠,赵惠杨审校.放射性药物治疗恶性骨肿瘤的现状.国外医学放射医学核医学分册, 1992, 16(3)∶121-125.
12,Campa JA, Payne R. The management of intractable bone pain: A clinician's perspective. Semilars in Nucl Med, 1992, 22(1)∶3-10.
, 百拇医药
13,Farhanqi M, Holmes PA, Volkert WA, et al. 153Sm-EDTMP using an escalating dose schedule in treatment of metastatic bone cancer. J Nucl Med, 1992, 33(10)∶1451-1458.
14,Tong D, Gillick D, Hendrickson FR, et al. The palliation of symptomatic osseous metastases finial results of the study of the radiation therapy oncol group. Cancer, 1982, 50(7)∶893-896.
15,谭天秩,邓候富,梁正路.153Sm -EDTMP治疗骨转移癌的临床观察.中华核医学杂志, 1995, 15(1)∶23-25.
, 百拇医药
16,Collins C, Eary JF, Nonaldson G, et al. 153Sm-EDTMP in bone metastases with of hormone refractory prostate carcinoma a phase I/II trial. J Nucl Med, 1993, 34(12)∶1839-1843.
17,邓候富, 罗顺忠, 谭天秩, 等.153Sm-EDTMP对骨转移癌疼痛的止痛效果.华西医科大学学报, 1995, 26(4)∶391-394.
18,Denarnaley DP, Bayly RJ, A'Hem RP, et al. Pallation of bone metastases in prostate cancer. Hemibody irradiation of strontium-89 Clin Oncol,1992,4(1)∶101-107.
19,邓候富,谭天秩,莫廷树,等.骨转移癌治疗药物,153Sm-EDTMP对患者造血系统和重要器官的影响.华西医科大学学报, 1995, 26(2)∶155-159.
(收稿:2000-01-10 修回:2000-03-30), 百拇医药