骨肉瘤中血管内皮生长因子表达与微血管密度的相关性研究
作者:李江 汤君燕 胡建中 冯德云 郑晖
单位:李江(湖南省岳阳卫校附属医院 岳阳 414000);汤君燕(湖南省岳阳卫校附属医院 岳阳 414000);胡建中(湖南省岳阳卫校附属医院 岳阳 414000);冯德云(湖南医科大学附属湘雅医院 长沙 410008);郑晖(湖南医科大学附属湘雅医院 长沙 410008)
关键词:骨肿瘤;血管生成因子;毛细血管;形态计量学
湖南医学000120 【中图分类号】 R730.45 【文献标识码】 B 【文章编号】 1001-9421(2000)01-0041-02
肿瘤血管生成是实体瘤生长和转移的必要条件[1]。微肿瘤血管(MV)生成期的开始标志着肿瘤细胞的快速增殖、局部侵袭乃至转移,故血管的生成参与和影响了肿瘤的生物学行为。血管内皮生长因子(VEGF)是与肿瘤血管生成有关的最重要因子之一[1,2]。本文利用免疫组化技术检测骨肉瘤组织中VEGF的表达、分布,以及VEGF表达与MV生成的相关性,为阐述VEGF在骨肉瘤发生发展中的生物学意义提供一些实验依据。
, http://www.100md.com
1 材料与方法
1.1 标本 收集湖南医科大学附属湘雅医院1990年3月至1999年6月骨肉瘤标本58例,男37例,女21例,平均年龄21.4(7~58)岁;骨样骨瘤14例,男9例,女5例,平均年龄37.2(25~62)岁。所有标本均经10% Formalin固定,常规石蜡包埋,5 μm厚的连续切片。全部病例均经病理确诊,骨肉瘤按WHO新标准[3]分型,其中高分化型12例,普通型32例,血管扩张型9例,圆形细胞型5例。
1.2 试剂 抗VEGF抗体、抗CD34抗体(显示血管内皮细胞)和SP试剂盒均购自武汉博士德公司。
1.3 方法 检测VEGF和CD34采用SP法;用PBS分别代替抗VEGF和抗CD34作阴性对照。
1.4 结果评估 VEGF染色结果采用Fromowitz[4]等的综合计分法;微血管密度(MVD)计数参照王东[5]的方法:在低倍镜下观察确定每例切片中3个血管密度最高区域,然后高倍镜下(200倍)计数每区域的MVD,其平均值即作为该例肿瘤的MVD值。
, 百拇医药
1.5 统计处理 采用t检验、F检验、χ2检验。
2 结果
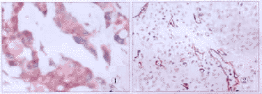
2.1 VEGF在骨肉瘤和骨样骨瘤中的表达强度及分布 VEGF在骨肉瘤和骨样骨瘤中的阳性表达率分别为87.9%(51/58)和37.5%(5/14),前者显著高于后者(P<0.01);阳性信号均为全浆型,定位于瘤细胞和血管内皮细胞胞浆;骨肉瘤中VEGF阳性信号强度明显高于骨样骨瘤(χ2=37.513,P<0.01),详见表1;骨肉瘤中VEGF阳性细胞呈簇状和弥漫分布(封四图1),而骨样骨瘤中为散在分布。
图1 显示骨肉瘤组织中VEGF阳性信号呈全浆型(SP法 ×400)
图2 显示骨肉瘤组织中微血管(SP法 ×200)
, http://www.100md.com
表1 在骨肉瘤和骨样骨瘤中VEGF的表达强度
及MVD(例,
±s) 类型
n
-
+

MVD
骨样骨瘤
14
9
, 百拇医药
4
1
0
8.3±2.6
骨肉瘤
高分化型
12
4
6
2
0
23.6±5.71)
普通型
, http://www.100md.com
32
3
13
11
5
40.2±7.11)2)
血管扩张型
9
0
2
4
3
42.8±13.21)2)
, http://www.100md.com
圆形细胞型
5
0
0
2
3
45.0±13.01)2)
1)与骨样骨瘤比较:P<0.01;2)与高分化骨肉瘤比较:P<0.01
2.2 骨肉瘤和骨样骨瘤组织中MVD 骨肉瘤组织MVD明显高于骨样骨瘤(P<0.01),见表2;骨肉瘤微血管显示肿瘤异质性特征程度,肿瘤边缘区,细胞丰富和瘤细胞高度异质区以及骨样组织少和幼稚区MVD高(封四图2),而骨样组织成熟区MVD较低。
, 百拇医药
2.3 骨肉瘤组织中VEGF表达强度与MVD的关系 骨肉瘤中MVD与VEGF表达强度呈明显正相关,其表达愈强MVD愈高(r=0.6323,P<0.01)。表2 骨肉瘤组织中VEGF的表达强度与MVD的相关性(
±s) VEGF强度
n
MV密度
-
7
6.2±2.2
+
21
39.7±8.51)
, http://www.100md.com
19
44.2±14.11)
11
52.6±15.31)2)
1)与(-)比较:P<0.01;2)与(+)比较:P<0.05
3 讨论
骨肉瘤是青少年最常见的骨原发性恶性肿瘤之一,其生长迅速,并较早发生转移[5]。既往研究表明实体肿瘤的生长和转移是血管依赖性的,血管作为肿瘤间质的一种重要成分,与肿瘤细胞相互作用,构成完整的微生态系统[5]。VEGF可特异性地促进血管内皮细胞有丝分裂,与血管生成密切相关,但其与骨肉瘤发生发展和生物学行为的关系尚不清楚。Wang[6]和Asai[7]等报道人成骨样细胞和鼠骨肉瘤细胞系LM8均可表达VEGF,并发现鼠骨肉瘤细胞VEGF表达与肿瘤的高浸润和高转移率密切相关。本文结果显示VEGF阳性信号主要位于骨肉瘤细胞和血管内皮细胞胞浆,并且其表达强度与肿瘤分化程度有关,分化愈差表达愈强。提示骨肉瘤细胞可能是产生VEGF的主要细胞,而血管内皮细胞阳性信号可能是作为其靶细胞吸收VEGF所致。
, 百拇医药
在骨肉瘤发生发展过程中伴随有MV的生成,MV主要是血管内皮细胞通过发芽方式生成。Coomber等[8]对犬骨肉瘤MVD的研究表明原发瘤的血管生成可能是肿瘤进展的标志;我国学者王东等[5]认为MVD和骨肉瘤的预后具显著相关性,MVD可能是一个有用的预后指标。作者发现MVD随瘤细胞的分化程度降低呈逐渐增高的趋势,表明MVD增高是以适应肿瘤的快速生长,故MVD可能是肿瘤进展和预后的标志之一。
肿瘤血管生成与多种细胞因子有关,其中VEGF是促血管生成主要因素之一,但骨肉瘤中VEGF的表达强度与MVD的关系尚未见文献报道。本资料显示骨肉瘤中VEGF表达强度与MVD呈明显正相关,提示骨肉瘤的发生发展中VEGF对MV生成可能起主要作用,可作为一种判断骨肉瘤预后的参考指标。
【作者简介】 李江(1963~),男,湖南岳阳市人,主治医师。毕业后一直从事骨科临床工作。
, 百拇医药
【参 考 文 献】
[1] Weidner N,Semple JP,Weleh WR,et al.Tumor angiogenesis and metastasis-correlation in invasive breast carcinoma[J].N Engl J Med,1991,324:1-5
[2] Chow NH,Hsu Pl,Lin XZ,et al.Expression of vascular endothelial growth factor in normal liver and hepatocelluar carcinoma:an immunohistochemical study[J].Hum Pathol,1997,28(6):698-703
[3] Schajowicz F,Sissons HA,Sobin H.The World Health Organization;histologic classification of bone tumor.A commentary on the second edition[J].Cancer,1995,75:1208
, http://www.100md.com
[4] Fromowitz FB,Viola MV,Chao S,et al.ras p21 expression in the progression of breast cancer[J].Hum Pathol,1987,18(12:1268-1275
[5] 王 东,陈 俐,高奉浔.骨肉瘤中微血管密度与预后的研究[J].中华病理学杂志,1997,26(5):266-269
[6] Wang DS,Yamazaki K,Nohtomi K,et al.Increase of vascular endothelial growth factor mRNA expression by 1,25-dihydroxyvitamin D3 in human osteoblast-like cells[J].J Bone Miner Res,1996,11(4):472-479
[7] Asai T,Ueda T,Itoh K,et al.Establishment and characterization of a murine osteosarcoma cell line(LM8) with high metastatic potential to the lung[J].Int J Cancer,1998,76(3):418-422
[8] Coomber BL,Denton J,Sylvestre A,et al.Blood vessel density in canine osteosarcoma[J].Can J Vet Res,1998,62(3):199-204
【收稿日期】 1999-12-10, 百拇医药
单位:李江(湖南省岳阳卫校附属医院 岳阳 414000);汤君燕(湖南省岳阳卫校附属医院 岳阳 414000);胡建中(湖南省岳阳卫校附属医院 岳阳 414000);冯德云(湖南医科大学附属湘雅医院 长沙 410008);郑晖(湖南医科大学附属湘雅医院 长沙 410008)
关键词:骨肿瘤;血管生成因子;毛细血管;形态计量学
湖南医学000120 【中图分类号】 R730.45 【文献标识码】 B 【文章编号】 1001-9421(2000)01-0041-02
肿瘤血管生成是实体瘤生长和转移的必要条件[1]。微肿瘤血管(MV)生成期的开始标志着肿瘤细胞的快速增殖、局部侵袭乃至转移,故血管的生成参与和影响了肿瘤的生物学行为。血管内皮生长因子(VEGF)是与肿瘤血管生成有关的最重要因子之一[1,2]。本文利用免疫组化技术检测骨肉瘤组织中VEGF的表达、分布,以及VEGF表达与MV生成的相关性,为阐述VEGF在骨肉瘤发生发展中的生物学意义提供一些实验依据。
, http://www.100md.com
1 材料与方法
1.1 标本 收集湖南医科大学附属湘雅医院1990年3月至1999年6月骨肉瘤标本58例,男37例,女21例,平均年龄21.4(7~58)岁;骨样骨瘤14例,男9例,女5例,平均年龄37.2(25~62)岁。所有标本均经10% Formalin固定,常规石蜡包埋,5 μm厚的连续切片。全部病例均经病理确诊,骨肉瘤按WHO新标准[3]分型,其中高分化型12例,普通型32例,血管扩张型9例,圆形细胞型5例。
1.2 试剂 抗VEGF抗体、抗CD34抗体(显示血管内皮细胞)和SP试剂盒均购自武汉博士德公司。
1.3 方法 检测VEGF和CD34采用SP法;用PBS分别代替抗VEGF和抗CD34作阴性对照。
1.4 结果评估 VEGF染色结果采用Fromowitz[4]等的综合计分法;微血管密度(MVD)计数参照王东[5]的方法:在低倍镜下观察确定每例切片中3个血管密度最高区域,然后高倍镜下(200倍)计数每区域的MVD,其平均值即作为该例肿瘤的MVD值。
, 百拇医药
1.5 统计处理 采用t检验、F检验、χ2检验。
2 结果
2.1 VEGF在骨肉瘤和骨样骨瘤中的表达强度及分布 VEGF在骨肉瘤和骨样骨瘤中的阳性表达率分别为87.9%(51/58)和37.5%(5/14),前者显著高于后者(P<0.01);阳性信号均为全浆型,定位于瘤细胞和血管内皮细胞胞浆;骨肉瘤中VEGF阳性信号强度明显高于骨样骨瘤(χ2=37.513,P<0.01),详见表1;骨肉瘤中VEGF阳性细胞呈簇状和弥漫分布(封四图1),而骨样骨瘤中为散在分布。
图1 显示骨肉瘤组织中VEGF阳性信号呈全浆型(SP法 ×400)
图2 显示骨肉瘤组织中微血管(SP法 ×200)
, http://www.100md.com
表1 在骨肉瘤和骨样骨瘤中VEGF的表达强度
及MVD(例,
n
-
+
MVD
骨样骨瘤
14
9
, 百拇医药
4
1
0
8.3±2.6
骨肉瘤
高分化型
12
4
6
2
0
23.6±5.71)
普通型
, http://www.100md.com
32
3
13
11
5
40.2±7.11)2)
血管扩张型
9
0
2
4
3
42.8±13.21)2)
, http://www.100md.com
圆形细胞型
5
0
0
2
3
45.0±13.01)2)
1)与骨样骨瘤比较:P<0.01;2)与高分化骨肉瘤比较:P<0.01
2.2 骨肉瘤和骨样骨瘤组织中MVD 骨肉瘤组织MVD明显高于骨样骨瘤(P<0.01),见表2;骨肉瘤微血管显示肿瘤异质性特征程度,肿瘤边缘区,细胞丰富和瘤细胞高度异质区以及骨样组织少和幼稚区MVD高(封四图2),而骨样组织成熟区MVD较低。
, 百拇医药
2.3 骨肉瘤组织中VEGF表达强度与MVD的关系 骨肉瘤中MVD与VEGF表达强度呈明显正相关,其表达愈强MVD愈高(r=0.6323,P<0.01)。表2 骨肉瘤组织中VEGF的表达强度与MVD的相关性(
n
MV密度
-
7
6.2±2.2
+
21
39.7±8.51)
, http://www.100md.com
19
44.2±14.11)
11
52.6±15.31)2)
1)与(-)比较:P<0.01;2)与(+)比较:P<0.05
3 讨论
骨肉瘤是青少年最常见的骨原发性恶性肿瘤之一,其生长迅速,并较早发生转移[5]。既往研究表明实体肿瘤的生长和转移是血管依赖性的,血管作为肿瘤间质的一种重要成分,与肿瘤细胞相互作用,构成完整的微生态系统[5]。VEGF可特异性地促进血管内皮细胞有丝分裂,与血管生成密切相关,但其与骨肉瘤发生发展和生物学行为的关系尚不清楚。Wang[6]和Asai[7]等报道人成骨样细胞和鼠骨肉瘤细胞系LM8均可表达VEGF,并发现鼠骨肉瘤细胞VEGF表达与肿瘤的高浸润和高转移率密切相关。本文结果显示VEGF阳性信号主要位于骨肉瘤细胞和血管内皮细胞胞浆,并且其表达强度与肿瘤分化程度有关,分化愈差表达愈强。提示骨肉瘤细胞可能是产生VEGF的主要细胞,而血管内皮细胞阳性信号可能是作为其靶细胞吸收VEGF所致。
, 百拇医药
在骨肉瘤发生发展过程中伴随有MV的生成,MV主要是血管内皮细胞通过发芽方式生成。Coomber等[8]对犬骨肉瘤MVD的研究表明原发瘤的血管生成可能是肿瘤进展的标志;我国学者王东等[5]认为MVD和骨肉瘤的预后具显著相关性,MVD可能是一个有用的预后指标。作者发现MVD随瘤细胞的分化程度降低呈逐渐增高的趋势,表明MVD增高是以适应肿瘤的快速生长,故MVD可能是肿瘤进展和预后的标志之一。
肿瘤血管生成与多种细胞因子有关,其中VEGF是促血管生成主要因素之一,但骨肉瘤中VEGF的表达强度与MVD的关系尚未见文献报道。本资料显示骨肉瘤中VEGF表达强度与MVD呈明显正相关,提示骨肉瘤的发生发展中VEGF对MV生成可能起主要作用,可作为一种判断骨肉瘤预后的参考指标。
【作者简介】 李江(1963~),男,湖南岳阳市人,主治医师。毕业后一直从事骨科临床工作。
, 百拇医药
【参 考 文 献】
[1] Weidner N,Semple JP,Weleh WR,et al.Tumor angiogenesis and metastasis-correlation in invasive breast carcinoma[J].N Engl J Med,1991,324:1-5
[2] Chow NH,Hsu Pl,Lin XZ,et al.Expression of vascular endothelial growth factor in normal liver and hepatocelluar carcinoma:an immunohistochemical study[J].Hum Pathol,1997,28(6):698-703
[3] Schajowicz F,Sissons HA,Sobin H.The World Health Organization;histologic classification of bone tumor.A commentary on the second edition[J].Cancer,1995,75:1208
, http://www.100md.com
[4] Fromowitz FB,Viola MV,Chao S,et al.ras p21 expression in the progression of breast cancer[J].Hum Pathol,1987,18(12:1268-1275
[5] 王 东,陈 俐,高奉浔.骨肉瘤中微血管密度与预后的研究[J].中华病理学杂志,1997,26(5):266-269
[6] Wang DS,Yamazaki K,Nohtomi K,et al.Increase of vascular endothelial growth factor mRNA expression by 1,25-dihydroxyvitamin D3 in human osteoblast-like cells[J].J Bone Miner Res,1996,11(4):472-479
[7] Asai T,Ueda T,Itoh K,et al.Establishment and characterization of a murine osteosarcoma cell line(LM8) with high metastatic potential to the lung[J].Int J Cancer,1998,76(3):418-422
[8] Coomber BL,Denton J,Sylvestre A,et al.Blood vessel density in canine osteosarcoma[J].Can J Vet Res,1998,62(3):199-204
【收稿日期】 1999-12-10, 百拇医药