大鼠上涎核的传出神经纤维与翼腭神经节中的VIP-、DβH-、NPY-神经元的关系光镜研究
作者:邱建勇 王键 鞠躬
单位:邱建勇(第四军医大学全军神经科学研究所,西安 710032);王键(第四军医大学全军神经科学研究所,西安 710032);鞠躬(第四军医大学全军神经科学研究所,西安 710032)
关键词:翼腭神经节;上涎核;顺行追踪;免疫组织化学
解剖学报000302 【摘要】 目的 探讨翼腭神经节节前神经纤维在翼腭神经节中的形态、分布,以及与含不同神经活性物质的神经节细胞的关系。 方法 用顺行标记结合免疫组织化学方法进行研究。 结果 在翼腭神经节内,有大量的顺行追踪标记阳性神经纤维,呈篮状缠绕在神经节细胞周围,非常密集。免疫双标记法显示这些被顺行追踪阳性神经纤维包绕的神经元多呈VIP、DβH和NPY免疫反应性。在顺行追踪免疫反应性篮状神经纤维之间,还有SP、CGRP、VIP、DβH、NPY免疫反应性神经纤维。 结论 翼腭神经节中VIP(ChAT)和DβH、VIP免疫反应性神经元受到上涎核发出的节前神经纤维的调控。探讨翼腭神经节节前神经纤维在翼腭神经节中的形态、分布,以及与含不同神经活性物质的神经节细胞的关系。 方法 用顺行标记结合免疫组织化学方法进行研究。 结果 在翼腭神经节内,有大量的顺行追踪标记阳性神经纤维,呈篮状缠绕在神经节细胞周围,非常密集。免疫双标记法显示这些被顺行追踪阳性神经纤维包绕的神经元多呈VIP、DβH和NPY免疫反应性。在顺行追踪免疫反应性篮状神经纤维之间,还有SP、CGRP、VIP、DβH、NPY免疫反应性神经纤维。 结论 翼腭神经节中VIP(ChAT)和DβH、VIP免疫反应性神经元受到上涎核发出的节前神经纤维的调控。
, http://www.100md.com
【中图分类号】 R322.81 【文献标识码】 A 【文章编号】 0529-1356(2000)03-198
THE RELATIONSHIP BETWEEN THE PREGANGLIONIC NERVE FIBERS
FROM SUPERIOR SALIVATORY NUCLEUS AND THE VIP-,DβH-,AND NPY- ERGIC NEURONS IN THE PTERYGOPALATINE
GAGLIONA LIGHT MICROSCOPIC STUDY
QIU Jian-yong, WANG Jian, JU Gong
(Department of Neuromorphology,Institute of Neurosciences,the Fourth Military Medical University,Xi'an 710032,China)
, http://www.100md.com
【Abstract】 Objective The aim was to study the morphological features and distribution patterns of preganglionic nerve fibers in the pterygopalatine ganglion and the relationship between these fibers with the ganglion neurons containing different neuroactivity substances. Methods In this study,biotin-dextran anterograde tracing technique combined with immunohistochemical method was used. Results The dense biotin-dextran labeled terminals formed“baskets”-like structure closely surrounding the perikarya of postgaglionic neurons which were demonstrated VIP-,DβΗ-,or NPY-immunoreactive.Among the terminals of the“baskets”,there were also SP-,CGRP-,VIP-,DβH and NPY-like immunoreactive nerve fibers.It is still unknown where these immunoreactive nerve fibers come from and what function these nerve fibers have. Conclusion The VIP(ChAT)-,DβH,NPY-immunoreactive neurons in the pterygopalatine ganglion are innervated by the preganglionic nerve fibers from superior salivary nucleus.
, http://www.100md.com
【Key words】 Pterygopalatine(Sphenopalatine)ganglion; Superior salivary nucleus;Antergrade tracing;Immunohistochemistry
翼腭神经节(pterygopalatine ganglion)是颅脑副交感神经节中最大和最重要的一个神经节[1],位于大鼠翼腭窝内,在三叉神经上颌支内侧。神经元主要集中于呈三角形节的头部,也有的分散在节尾部相连的神经纤维中[2]。节后神经纤维支配泪腺、鼻腔和腭的粘膜以及颅内外血管[3]。神经节细胞含多种神经活性物质,如胆碱乙酰转移酶(choline acetyltransferase,ChAT)、血管活性肠肽(vasoactive intestinal polypeptide,VIP)[4]、神经肽Y(neuropeptide Y,NPY)[4,5]、多巴胺-β-羟化酶(dopamine-β-hydroxylase,DβH)[4]、甘丙肽(galanin,GAL)[6]和一氧化氮合成酶(nitric oxide synthase,NOS)[7]。用秋水仙碱阻断轴浆运输后,翼腭神经节还出现少量SP和CGRP免疫反应性的神经元[4]。翼腭神经节含有相当数量的SP(Substance P)和CGRP(calcitonin gene-related peptide)免疫反应性神经纤维[4,8]。支配翼腭神经节的节前神经纤维来自脑干网状结构中的上涎核[9],通过岩浅大神经、翼管神经支配翼腭神经节[9]。虽然已有不少对翼腭神经节进行逆行追踪的研究,但尚未见有关翼腭神经节节前神经纤维在翼腭神经节中的形态、分布以及节前神经纤维与何种性质节细胞形成联系的报道。为此我们利用顺行追踪结合免疫组织化学方法对此进行了研究。
, http://www.100md.com
材料和方法
1. 顺行追踪
1.1 动物准备:SD大鼠,15只,成年雄性,体重250±20g,1%戊巴比妥钠腹腔内注射麻醉(40mg/kg),待完全麻醉后将其固定于立体定向仪上(江湾Ⅰ型,上海),牙板低于耳杆3.3mm。准备上涎核立体定向注射。
1.2 顺行追踪剂及定向注射:将生物素-葡聚糖法(biotin dextran,BD;Sigma公司)溶于10mmol/L pH7.4的磷酸缓冲液中,配成终浓度为5%的溶液[10]。采用压力注射法将0.2μl的BD液缓慢地注射到左侧上涎核内。注射用微玻管直径约50μm,上涎核坐标为AP=-10.3mm、L=2.0mm、H=8.3mm[11],整个注射过程约持续30min。注射完后留针10min,去针缝合皮肤。
2. 组织准备及切片制备
, 百拇医药
注射后12d,将动物用1%戊巴比妥钠过量麻醉,经升主动脉灌注生理盐水100ml,冲净血液,再用400ml 4%多聚甲醛(4℃)灌流固定,此步先快灌200ml,后慢滴200ml,共约1.5h,然后取材,将左侧眼部皮肤剪开去除眼球、泪腺、眼外肌及其他组织,暴露出左上颌神经,将上颌神经向下掀开,可见细长的翼腭神经节。分离出翼腭神经节,投入20%蔗糖液(0.01mol/L PB)4℃过夜,恒冷箱切片,将翼腭神经节切成相邻的6套切片,片厚13μm,贴于1%铬钒明胶处理过的载玻片上。
3. 追踪剂呈色反应及免疫组织化学双标
待翼腭神经节切片完全干燥后(室温下30min~1h),切片进入0.01mol/L PBS 5min×3,0.3% Triton X-100 30min,0.01mol/L PBS 5min ×3,ABC(Sigma ABC Kit)室温下孵育8h后进行硫酸镍铵加强的DAB显色,显色完毕后进行免疫组织化学第2次标记,其方法步骤如下:将5套切片分别入抗-VIP兔血清(Incstar公司,1∶4 000),抗DβH兔血清(Incstar公司,1∶2 000),抗-NPY兔血清(本校组胚教研室,1∶2 000),抗-SP兔血清(Watpa公司,1∶5 000),抗CGRP兔血清(Oncogene Science公司,1∶5 000)。各套切片在一抗中孵育24h(室温),二抗及ABC中各孵育3h(室温下),0.01mol/L PBS清洗,进行DAB棕色反应(DAB 15mg用0.01mol/L PBS 100ml溶解后过滤,加葡萄糖200mg,氯化胺40mg混匀,临用前加葡萄糖氧化酶0.2mg),镜检呈色合适,0.01mol/L PBS洗涤终止反应,第6套进行中性红复染,切片晾干、酒精脱水、二甲苯透明,中性树胶封片。
, http://www.100md.com
结果
1. 注射区(图1)。15只动物中有5只动物的注射部位局限于左侧面神经核附近脑干腹外侧的网状结构中的上涎核区。我们选择这5例动物顺行追踪结果进行分析。
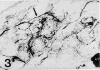
2. 左侧翼腭神经节内有大量BD标记阳性的线形神经纤维和篮状纤维团。右侧翼腭神经节没有任何阳性产物。阳性的线状神经主要分成两类:一类是较粗的神经纤维,纤维平滑,少有膨体;另一类是较细的神经纤维,成串珠状。除了线状纤维以外,还有神经纤维形成屈曲缠绕的篮状结构包绕着神经节细胞,形成一团浓密的纤维层。终末纤维上的膨体清晰可见。这些篮状纤维团有的是由较粗神经纤维在靠近神经节细胞时分出许多细的纤维终末组成(图2),还有的是由较细的神经纤维缠绕在细胞周围而成(图3)。篮状纤维团主要分布在翼腭神经节的头部,尾侧则以线状神经纤维为主,篮状纤维团少见。
3. 翼腭神经节中有数量较多的VIP(图4)、DβH(图5)、NPY(图6)免疫反应性神经元,但未见有SP、CGRP免疫反应性神经元(图7)。这些免疫反应性神经元在节中各处均有分布,但以头部分布为主。同时可见免疫反应性BD神经纤维及其形成的篮状终末可包绕在部分VIP、DβH、及NPY免疫反应性神经元周围(图4~6)。
, http://www.100md.com
4. 翼腭神经节内还可见含有多种物质的阳性神经纤维,如SP、CGRP、VIP、DβH、NPY等,其中以SP、CGRP免疫反应性神经纤维为最多。这些神经纤维同样走行在神经节细胞之间,有的也可以包绕在神经细胞周围,但其纤维的致密程度是无法与BD阳性纤维形成的篮状纤维团相比的。在一些顺行追踪的BD阳性篮状神经纤维团的篮黑色纤维之间,还可见棕色的SP、CGRP免疫反应性神经纤维(图7)。
讨论
上涎核位于脑干下部,面神经膝平面的脑干腹外侧,在面神经核与上橄榄核的背外侧,三叉神经运动核内侧的小细胞网状结构中[3,13],将逆行追踪剂fluoro-gold注射到翼腭神经节中,可见标记细胞多在面神经膝平面,并向背尾平面延伸各约250μm,约有330个神经元的上涎核发出中间神经加入到面神经中,在膝状神经节处发出岩浅大神经,经翼管神经到达翼腭神经节[14],在对翼腭神经节的顺行追踪研究中,可见节后神经纤维广泛地分布于颅脑内外的血管壁上。包括前脑动脉、中脑动脉、颅内动脉及附近的硬脑膜[2]。此外有的还分布于泪腺及鼻腔粘膜中。本实验在向上涎核定向注射的过程中,发现同侧大鼠泪液的分泌及鼻腔分泌物有明显增加。
, 百拇医药
以往对翼腭神经节的免疫组织化学研究中,也有报道SP、CGRP免疫反应性神经纤维可和节细胞形成篮状或帽状的结构,包绕着神经节细胞[4,14]。我们的实验中也观察到这一现象。但令我们惊奇的是翼腭神经节中源于上涎核的节前神经纤维和神经节细胞形成如此浓密的篮状结构是以前从未报道过的。这说明:(1)BD(分子量10 000 Delton)是一种非常好的顺行追踪剂,用于顺行追踪可以非常好地显示神经及其终末的细微结构,用它进行顺行追踪与PHA-L相比,结果与PHA-L相同,而BD的显色步骤要比PHA-L简单得多[10,12];(2)从形成致密的篮状结构上推测,上涎核对翼腭神经节中神经节细胞可能有着精细调控。虽然早已知道翼腭神经节的节后神经纤维可支配泪腺、鼻腔和腭粘膜,以及颅内血管[2],但我们尚不知这些被上诞核节前神经纤维包绕的神经节细胞是分别支配那些部位;同时也不知道来自上涎核的节前神经纤维是如何调节这些神经细胞,从而控制这些神经细胞节后纤维对靶器官的调控。
我们的顺行追踪研究结果发现,上涎核来源的节前神经纤维,除了可以包绕VIP阳性神经细胞外,还可以包绕DβH、NPY阳性神经细胞。因此说明上涎核节前神经纤维能对翼腭神经节内含多种递质的神经细胞进行调控。当然神经节中还有其他VIP、DβH和NPY阳性神经细胞没有被顺行追踪的神经纤维包绕。这可能有两种解释:(1)上涎核是一较弥散的神经核团,对一侧注射顺行追踪剂后,不可能全部标记上涎核节前神经元;(2)翼腭神经节的传入神经纤维,除了来源上涎核外,还有来自交感神经节、三叉神经节以及其他部位[4,5,9,14]。
, 百拇医药
翼腭神经节的传入神经纤维不仅仅是由上涎核的传出神经纤维构成,还有多种其他来源。我们的研究中发现翼腭神经节中有相当多的SP、CGRP免疫反应性纤维。这些免疫反应性神经纤维可能的来源如下:(1)来源于同侧三叉神经或面神经的短轴突;(2)来源于同侧三叉神经的感觉神经节或面神经膝神经节的长轴突;(3)来自于脑干经三叉神经和面神经的传出神经纤维[14]。这些SP、CGRP免疫反应性节前神经纤维,与来自上涎核的神经纤维均可在翼腭神经节中节细胞形成篮状的结构,并包绕着节细胞[4,14]。我们在实验中也观察到BD阳性的篮状纤维团之间也存在着SP、CGRP免疫反应性神经,这一结果可能提示不同细胞来源的神经纤维可同时支配同一神经节细胞。但来源不同的节前神经纤维与神经节细胞的确切关系还有待于电镜观察。
翼腭神经节是一较大的副交感神经节,约80%~90%的神经节细胞是VIP及ChAT免疫反应性神经元,且绝大多数情况下VIP、ChAT是共存的[4,14],仅有少数ChAT免疫反应性神经节细胞中不含有VIP。实验中发现翼腭神经节中却含有相当数量的NPY、DβΗ免疫反应性神经元[4,5],甚至少数神经元也含GAL[6]。经秋水仙素处理后可出现SP、CGRP免疫反应性神经元[4,14],NPY、DβH免疫反应性物质常被认为是周围去甲肾上腺素能神经元的化学标志物;而SP、CGRP免疫反应性物质则被认为是初级感觉传入神经元的标志物[4,14]。翼腭神经节中NPY、DβH、SP、CGRP免疫反应性神经元却是与VIP和/或ChAT免疫反应性神经元是共存的[4,14]。因此NPY、DβΗ免疫反应性神经元已不再是去甲肾上腺素能神经元所特有,同样SP、CGRP免疫反应性神经元也并非是感觉神经元所特有[4,14]。这些物质在翼腭神经节节后神经纤维中的作用还有待进一步阐明。本研究的结果表明VIP-ChAT神经元和NPY-DβH神经元均受节前神经元的支配。






, 百拇医药
图版说明
图1 示注射区位于大鼠脑干腹外侧区(▲) ×16.5
图2 大鼠翼腭神经节内,顺行追踪的粗阳性神经纤维(↑)及其终末(▲)
图3 大鼠翼腭神经节内,顺行追踪的较细的阳性神经纤维(↑)及其终末可包绕神经节细胞,形成致密的篮状 ×330
图4 顺行追踪的阳性神经纤维与DBH-免疫反应性的神经纤维之间的关系。致密的顺行追踪阳性神经纤维包绕在部分DBH-阳性神经元周围(▲)。DBH阳性神经元(↑) ×330
图5 顺行追踪的阳性神经纤维与NPY-免疫反应性神经纤维和神经元之间的关系。致密的顺行追踪阳性神经纤维包绕NPY-阳性神经元周围(▲)。NPY阳性神经元(↑) ×330
, http://www.100md.com 图6 顺行追踪的阳性神经纤维与VIP-免疫反应性神经纤维之间的关系。顺行追踪的阳性神经之间存在VIP-免疫反应性神经纤维。致密的顺行追踪阳性神经纤维包绕VIP-阳性神经元周围(▲)。VIP阳性神经元(↑)
图7 蓝黑的顺行追踪的阳性神经纤维之间存在有棕色CGRP-免疫反应性神经纤维(▲) ×330
Explanation of figures
Fig.1 Injection site at the left ventrolateral area of the brain stem in rat(▲). ×16.5
Fig.2 The anterogradely labeled thicker nerve fibers(↑) and their terminals(▲). ×330
, http://www.100md.com
Fig.3 The anterogradely labeled thinner nerve fibers(↑) and their teminals(▲) which surround the perikarya of the ganglion cells and form dense “baskets”. ×330
Fig.4 The relationship of the anterogradely labeled nerve fibers and DBH-immunoreactive ganglion neurons(↑).The positive baskets enclose some DBH-immunoreactive ganglion neurons(▲). ×330
Fig.5 The relationship of the anterograde positive nerve fibers and NPY-immunoreactive ganglion neurons(↑).The positive baskets enclose some NPY-immunoreactive ganglion neurons(▲). ×330
, 百拇医药
Fig.6 The relationship of the anterograde positive nerve fibers and VIP-immunoreactive ganglion neurons(↑).The positive baskets enclose some VIP-immunoreactive ganglion neurons(▲). ×330
Fig.7 There are some brown CGRP-immunoreactive nerve fibers among the black anterograde labeled nerve fibers(▲). ×330
【作者简介】 邱建勇(1954—),女(汉族),河南省鄢陵县人,大专
通讯作者(To whom correspondence should be addressed)
, 百拇医药
参考文献
[1]Segade LA,Quintanilla JS.Distribution of postganglionic parasympathetic fibers origining in the ptergopalatine ganglion in the maxillary and ophthalmic nerve branches of the trigeminal nerve;HRP and WGA-HRP study in the guinea pig[J].Brain Res,1990,522(3):327-332.
[2]Ten Tusscher MP,Klooster J,Baljet B,et al.Pre-and post-ganglionic nerve fibers of the pterygopalatine ganglion and their allocation to the eyeball of rats[J].Brain Res 1990,517(3):315-323.
, http://www.100md.com
[3]Hara H,Zhang QJ,Kuroyanagi T,et al.Parasympathetic cerebrovascular innervation:an anterograde tracing from sphenopalatine ganglion in the rat[J].Neurosurgy,1993,32(5):822-827.
[4]Hardebo JE,Suzuki N,Ekblad E,et al.Vasoactive intestinal polypeptide and acetycholine coexist with neuropeptide Y,dopamine-β-hydroxylase,tyrosine hydroxylase,Substance P or calcitonin gene-related peptide in neuronal subpopulations in cranial parasympathetic ganglia of rat[J].Cell Tissue Res,1992,267(2):291-300.
, 百拇医药
[5]Kuwayma Y,Emson P C,Pterygopalatine ganglion cells contain neuropeptide Y[J].Brain Res,1988,466(2),219-224.
[6]Suzuki N,Hardebo JE,Kahrstrom J,et al.Galanin -positive nerves of trigeminal origin innervate rat cerebral vessels.Neurosci Lett.1989,100(1):123-129.
[7]Ceccatelli S,Lundberg JM,Zhang X,et al.Immunohistochemical demonstration of nitric oxidase synthase in the peripheral autonomic neurons system[J].Brain Res,1994,656(3):381-395.
, 百拇医药
[8]Suzuki N,Hardebo JE,Owman CH.Origins and pathways of cerebrovascular nerve storing substance P and calcitonin gene-related peptide in rat[J].Neurosci,1989,31(2):427-438.
[9]Contreras RJ,Gomez M,Norgren R.Central origins of cranial nerve parasympthetic neurons in the rat[J].J Comp Neurol,1980,190(2):373-379.
[10]Wouterlood FG,Jorritsma-Byham B.The anterograde neuroanatomical tracer biotinylated dextran-amine:comparison with the tracer phaseolus vulgaris-leucoagglutinin in preparations for electron microscopy[J].J Neurosci Meth,1993,48(1):75-87.
, 百拇医药
[11]Paxinos G,Watson C.The rat brain in stereotaxic coordinates[M].2ed.Australia:Acdemic Press,1986,35.
[12]Spencer SE,Sawayer WB,Platt WKB,et al.CNS projections to the pteryopalatine parasympathetic preganglionic neurons in the rat:a retrograde transneuronal viral cell body labeling study[J].Brain Res,1990,534(2):149-169.
[13]Suzuki N,Hardebo JE,Owman C.Trigeminal fibre collaterals storing substance P and calcitonin gene-related peptide associate with ganglion cells containing choline acetyltransferase and sphenopalatine ganglion of the rat.An axon reflex modulating parasympathetic ganglionic activity[J]?Neurosci,1989,30(3):595-604.
[14]Brandt HM,Apkarian AV.Biotin-dextran:a sensitive anterograde tracer for neuroanatomic studies in rat and monkey[J].J Neurosci Meth,1992,45(1):35-40.
【收稿日期】1999-06-08 【修稿日期】2000-01-28, http://www.100md.com
单位:邱建勇(第四军医大学全军神经科学研究所,西安 710032);王键(第四军医大学全军神经科学研究所,西安 710032);鞠躬(第四军医大学全军神经科学研究所,西安 710032)
关键词:翼腭神经节;上涎核;顺行追踪;免疫组织化学
解剖学报000302 【摘要】 目的 探讨翼腭神经节节前神经纤维在翼腭神经节中的形态、分布,以及与含不同神经活性物质的神经节细胞的关系。 方法 用顺行标记结合免疫组织化学方法进行研究。 结果 在翼腭神经节内,有大量的顺行追踪标记阳性神经纤维,呈篮状缠绕在神经节细胞周围,非常密集。免疫双标记法显示这些被顺行追踪阳性神经纤维包绕的神经元多呈VIP、DβH和NPY免疫反应性。在顺行追踪免疫反应性篮状神经纤维之间,还有SP、CGRP、VIP、DβH、NPY免疫反应性神经纤维。 结论 翼腭神经节中VIP(ChAT)和DβH、VIP免疫反应性神经元受到上涎核发出的节前神经纤维的调控。探讨翼腭神经节节前神经纤维在翼腭神经节中的形态、分布,以及与含不同神经活性物质的神经节细胞的关系。 方法 用顺行标记结合免疫组织化学方法进行研究。 结果 在翼腭神经节内,有大量的顺行追踪标记阳性神经纤维,呈篮状缠绕在神经节细胞周围,非常密集。免疫双标记法显示这些被顺行追踪阳性神经纤维包绕的神经元多呈VIP、DβH和NPY免疫反应性。在顺行追踪免疫反应性篮状神经纤维之间,还有SP、CGRP、VIP、DβH、NPY免疫反应性神经纤维。 结论 翼腭神经节中VIP(ChAT)和DβH、VIP免疫反应性神经元受到上涎核发出的节前神经纤维的调控。
, http://www.100md.com
【中图分类号】 R322.81 【文献标识码】 A 【文章编号】 0529-1356(2000)03-198
THE RELATIONSHIP BETWEEN THE PREGANGLIONIC NERVE FIBERS
FROM SUPERIOR SALIVATORY NUCLEUS AND THE VIP-,DβH-,AND NPY- ERGIC NEURONS IN THE PTERYGOPALATINE
GAGLIONA LIGHT MICROSCOPIC STUDY
QIU Jian-yong, WANG Jian, JU Gong
(Department of Neuromorphology,Institute of Neurosciences,the Fourth Military Medical University,Xi'an 710032,China)
, http://www.100md.com
【Abstract】 Objective The aim was to study the morphological features and distribution patterns of preganglionic nerve fibers in the pterygopalatine ganglion and the relationship between these fibers with the ganglion neurons containing different neuroactivity substances. Methods In this study,biotin-dextran anterograde tracing technique combined with immunohistochemical method was used. Results The dense biotin-dextran labeled terminals formed“baskets”-like structure closely surrounding the perikarya of postgaglionic neurons which were demonstrated VIP-,DβΗ-,or NPY-immunoreactive.Among the terminals of the“baskets”,there were also SP-,CGRP-,VIP-,DβH and NPY-like immunoreactive nerve fibers.It is still unknown where these immunoreactive nerve fibers come from and what function these nerve fibers have. Conclusion The VIP(ChAT)-,DβH,NPY-immunoreactive neurons in the pterygopalatine ganglion are innervated by the preganglionic nerve fibers from superior salivary nucleus.
, http://www.100md.com
【Key words】 Pterygopalatine(Sphenopalatine)ganglion; Superior salivary nucleus;Antergrade tracing;Immunohistochemistry
翼腭神经节(pterygopalatine ganglion)是颅脑副交感神经节中最大和最重要的一个神经节[1],位于大鼠翼腭窝内,在三叉神经上颌支内侧。神经元主要集中于呈三角形节的头部,也有的分散在节尾部相连的神经纤维中[2]。节后神经纤维支配泪腺、鼻腔和腭的粘膜以及颅内外血管[3]。神经节细胞含多种神经活性物质,如胆碱乙酰转移酶(choline acetyltransferase,ChAT)、血管活性肠肽(vasoactive intestinal polypeptide,VIP)[4]、神经肽Y(neuropeptide Y,NPY)[4,5]、多巴胺-β-羟化酶(dopamine-β-hydroxylase,DβH)[4]、甘丙肽(galanin,GAL)[6]和一氧化氮合成酶(nitric oxide synthase,NOS)[7]。用秋水仙碱阻断轴浆运输后,翼腭神经节还出现少量SP和CGRP免疫反应性的神经元[4]。翼腭神经节含有相当数量的SP(Substance P)和CGRP(calcitonin gene-related peptide)免疫反应性神经纤维[4,8]。支配翼腭神经节的节前神经纤维来自脑干网状结构中的上涎核[9],通过岩浅大神经、翼管神经支配翼腭神经节[9]。虽然已有不少对翼腭神经节进行逆行追踪的研究,但尚未见有关翼腭神经节节前神经纤维在翼腭神经节中的形态、分布以及节前神经纤维与何种性质节细胞形成联系的报道。为此我们利用顺行追踪结合免疫组织化学方法对此进行了研究。
, http://www.100md.com
材料和方法
1. 顺行追踪
1.1 动物准备:SD大鼠,15只,成年雄性,体重250±20g,1%戊巴比妥钠腹腔内注射麻醉(40mg/kg),待完全麻醉后将其固定于立体定向仪上(江湾Ⅰ型,上海),牙板低于耳杆3.3mm。准备上涎核立体定向注射。
1.2 顺行追踪剂及定向注射:将生物素-葡聚糖法(biotin dextran,BD;Sigma公司)溶于10mmol/L pH7.4的磷酸缓冲液中,配成终浓度为5%的溶液[10]。采用压力注射法将0.2μl的BD液缓慢地注射到左侧上涎核内。注射用微玻管直径约50μm,上涎核坐标为AP=-10.3mm、L=2.0mm、H=8.3mm[11],整个注射过程约持续30min。注射完后留针10min,去针缝合皮肤。
2. 组织准备及切片制备
, 百拇医药
注射后12d,将动物用1%戊巴比妥钠过量麻醉,经升主动脉灌注生理盐水100ml,冲净血液,再用400ml 4%多聚甲醛(4℃)灌流固定,此步先快灌200ml,后慢滴200ml,共约1.5h,然后取材,将左侧眼部皮肤剪开去除眼球、泪腺、眼外肌及其他组织,暴露出左上颌神经,将上颌神经向下掀开,可见细长的翼腭神经节。分离出翼腭神经节,投入20%蔗糖液(0.01mol/L PB)4℃过夜,恒冷箱切片,将翼腭神经节切成相邻的6套切片,片厚13μm,贴于1%铬钒明胶处理过的载玻片上。
3. 追踪剂呈色反应及免疫组织化学双标
待翼腭神经节切片完全干燥后(室温下30min~1h),切片进入0.01mol/L PBS 5min×3,0.3% Triton X-100 30min,0.01mol/L PBS 5min ×3,ABC(Sigma ABC Kit)室温下孵育8h后进行硫酸镍铵加强的DAB显色,显色完毕后进行免疫组织化学第2次标记,其方法步骤如下:将5套切片分别入抗-VIP兔血清(Incstar公司,1∶4 000),抗DβH兔血清(Incstar公司,1∶2 000),抗-NPY兔血清(本校组胚教研室,1∶2 000),抗-SP兔血清(Watpa公司,1∶5 000),抗CGRP兔血清(Oncogene Science公司,1∶5 000)。各套切片在一抗中孵育24h(室温),二抗及ABC中各孵育3h(室温下),0.01mol/L PBS清洗,进行DAB棕色反应(DAB 15mg用0.01mol/L PBS 100ml溶解后过滤,加葡萄糖200mg,氯化胺40mg混匀,临用前加葡萄糖氧化酶0.2mg),镜检呈色合适,0.01mol/L PBS洗涤终止反应,第6套进行中性红复染,切片晾干、酒精脱水、二甲苯透明,中性树胶封片。
, http://www.100md.com
结果
1. 注射区(图1)。15只动物中有5只动物的注射部位局限于左侧面神经核附近脑干腹外侧的网状结构中的上涎核区。我们选择这5例动物顺行追踪结果进行分析。
2. 左侧翼腭神经节内有大量BD标记阳性的线形神经纤维和篮状纤维团。右侧翼腭神经节没有任何阳性产物。阳性的线状神经主要分成两类:一类是较粗的神经纤维,纤维平滑,少有膨体;另一类是较细的神经纤维,成串珠状。除了线状纤维以外,还有神经纤维形成屈曲缠绕的篮状结构包绕着神经节细胞,形成一团浓密的纤维层。终末纤维上的膨体清晰可见。这些篮状纤维团有的是由较粗神经纤维在靠近神经节细胞时分出许多细的纤维终末组成(图2),还有的是由较细的神经纤维缠绕在细胞周围而成(图3)。篮状纤维团主要分布在翼腭神经节的头部,尾侧则以线状神经纤维为主,篮状纤维团少见。
3. 翼腭神经节中有数量较多的VIP(图4)、DβH(图5)、NPY(图6)免疫反应性神经元,但未见有SP、CGRP免疫反应性神经元(图7)。这些免疫反应性神经元在节中各处均有分布,但以头部分布为主。同时可见免疫反应性BD神经纤维及其形成的篮状终末可包绕在部分VIP、DβH、及NPY免疫反应性神经元周围(图4~6)。
, http://www.100md.com
4. 翼腭神经节内还可见含有多种物质的阳性神经纤维,如SP、CGRP、VIP、DβH、NPY等,其中以SP、CGRP免疫反应性神经纤维为最多。这些神经纤维同样走行在神经节细胞之间,有的也可以包绕在神经细胞周围,但其纤维的致密程度是无法与BD阳性纤维形成的篮状纤维团相比的。在一些顺行追踪的BD阳性篮状神经纤维团的篮黑色纤维之间,还可见棕色的SP、CGRP免疫反应性神经纤维(图7)。
讨论
上涎核位于脑干下部,面神经膝平面的脑干腹外侧,在面神经核与上橄榄核的背外侧,三叉神经运动核内侧的小细胞网状结构中[3,13],将逆行追踪剂fluoro-gold注射到翼腭神经节中,可见标记细胞多在面神经膝平面,并向背尾平面延伸各约250μm,约有330个神经元的上涎核发出中间神经加入到面神经中,在膝状神经节处发出岩浅大神经,经翼管神经到达翼腭神经节[14],在对翼腭神经节的顺行追踪研究中,可见节后神经纤维广泛地分布于颅脑内外的血管壁上。包括前脑动脉、中脑动脉、颅内动脉及附近的硬脑膜[2]。此外有的还分布于泪腺及鼻腔粘膜中。本实验在向上涎核定向注射的过程中,发现同侧大鼠泪液的分泌及鼻腔分泌物有明显增加。
, 百拇医药
以往对翼腭神经节的免疫组织化学研究中,也有报道SP、CGRP免疫反应性神经纤维可和节细胞形成篮状或帽状的结构,包绕着神经节细胞[4,14]。我们的实验中也观察到这一现象。但令我们惊奇的是翼腭神经节中源于上涎核的节前神经纤维和神经节细胞形成如此浓密的篮状结构是以前从未报道过的。这说明:(1)BD(分子量10 000 Delton)是一种非常好的顺行追踪剂,用于顺行追踪可以非常好地显示神经及其终末的细微结构,用它进行顺行追踪与PHA-L相比,结果与PHA-L相同,而BD的显色步骤要比PHA-L简单得多[10,12];(2)从形成致密的篮状结构上推测,上涎核对翼腭神经节中神经节细胞可能有着精细调控。虽然早已知道翼腭神经节的节后神经纤维可支配泪腺、鼻腔和腭粘膜,以及颅内血管[2],但我们尚不知这些被上诞核节前神经纤维包绕的神经节细胞是分别支配那些部位;同时也不知道来自上涎核的节前神经纤维是如何调节这些神经细胞,从而控制这些神经细胞节后纤维对靶器官的调控。
我们的顺行追踪研究结果发现,上涎核来源的节前神经纤维,除了可以包绕VIP阳性神经细胞外,还可以包绕DβH、NPY阳性神经细胞。因此说明上涎核节前神经纤维能对翼腭神经节内含多种递质的神经细胞进行调控。当然神经节中还有其他VIP、DβH和NPY阳性神经细胞没有被顺行追踪的神经纤维包绕。这可能有两种解释:(1)上涎核是一较弥散的神经核团,对一侧注射顺行追踪剂后,不可能全部标记上涎核节前神经元;(2)翼腭神经节的传入神经纤维,除了来源上涎核外,还有来自交感神经节、三叉神经节以及其他部位[4,5,9,14]。
, 百拇医药
翼腭神经节的传入神经纤维不仅仅是由上涎核的传出神经纤维构成,还有多种其他来源。我们的研究中发现翼腭神经节中有相当多的SP、CGRP免疫反应性纤维。这些免疫反应性神经纤维可能的来源如下:(1)来源于同侧三叉神经或面神经的短轴突;(2)来源于同侧三叉神经的感觉神经节或面神经膝神经节的长轴突;(3)来自于脑干经三叉神经和面神经的传出神经纤维[14]。这些SP、CGRP免疫反应性节前神经纤维,与来自上涎核的神经纤维均可在翼腭神经节中节细胞形成篮状的结构,并包绕着节细胞[4,14]。我们在实验中也观察到BD阳性的篮状纤维团之间也存在着SP、CGRP免疫反应性神经,这一结果可能提示不同细胞来源的神经纤维可同时支配同一神经节细胞。但来源不同的节前神经纤维与神经节细胞的确切关系还有待于电镜观察。
翼腭神经节是一较大的副交感神经节,约80%~90%的神经节细胞是VIP及ChAT免疫反应性神经元,且绝大多数情况下VIP、ChAT是共存的[4,14],仅有少数ChAT免疫反应性神经节细胞中不含有VIP。实验中发现翼腭神经节中却含有相当数量的NPY、DβΗ免疫反应性神经元[4,5],甚至少数神经元也含GAL[6]。经秋水仙素处理后可出现SP、CGRP免疫反应性神经元[4,14],NPY、DβH免疫反应性物质常被认为是周围去甲肾上腺素能神经元的化学标志物;而SP、CGRP免疫反应性物质则被认为是初级感觉传入神经元的标志物[4,14]。翼腭神经节中NPY、DβH、SP、CGRP免疫反应性神经元却是与VIP和/或ChAT免疫反应性神经元是共存的[4,14]。因此NPY、DβΗ免疫反应性神经元已不再是去甲肾上腺素能神经元所特有,同样SP、CGRP免疫反应性神经元也并非是感觉神经元所特有[4,14]。这些物质在翼腭神经节节后神经纤维中的作用还有待进一步阐明。本研究的结果表明VIP-ChAT神经元和NPY-DβH神经元均受节前神经元的支配。
, 百拇医药
图版说明
图1 示注射区位于大鼠脑干腹外侧区(▲) ×16.5
图2 大鼠翼腭神经节内,顺行追踪的粗阳性神经纤维(↑)及其终末(▲)
图3 大鼠翼腭神经节内,顺行追踪的较细的阳性神经纤维(↑)及其终末可包绕神经节细胞,形成致密的篮状 ×330
图4 顺行追踪的阳性神经纤维与DBH-免疫反应性的神经纤维之间的关系。致密的顺行追踪阳性神经纤维包绕在部分DBH-阳性神经元周围(▲)。DBH阳性神经元(↑) ×330
图5 顺行追踪的阳性神经纤维与NPY-免疫反应性神经纤维和神经元之间的关系。致密的顺行追踪阳性神经纤维包绕NPY-阳性神经元周围(▲)。NPY阳性神经元(↑) ×330
, http://www.100md.com 图6 顺行追踪的阳性神经纤维与VIP-免疫反应性神经纤维之间的关系。顺行追踪的阳性神经之间存在VIP-免疫反应性神经纤维。致密的顺行追踪阳性神经纤维包绕VIP-阳性神经元周围(▲)。VIP阳性神经元(↑)
图7 蓝黑的顺行追踪的阳性神经纤维之间存在有棕色CGRP-免疫反应性神经纤维(▲) ×330
Explanation of figures
Fig.1 Injection site at the left ventrolateral area of the brain stem in rat(▲). ×16.5
Fig.2 The anterogradely labeled thicker nerve fibers(↑) and their terminals(▲). ×330
, http://www.100md.com
Fig.3 The anterogradely labeled thinner nerve fibers(↑) and their teminals(▲) which surround the perikarya of the ganglion cells and form dense “baskets”. ×330
Fig.4 The relationship of the anterogradely labeled nerve fibers and DBH-immunoreactive ganglion neurons(↑).The positive baskets enclose some DBH-immunoreactive ganglion neurons(▲). ×330
Fig.5 The relationship of the anterograde positive nerve fibers and NPY-immunoreactive ganglion neurons(↑).The positive baskets enclose some NPY-immunoreactive ganglion neurons(▲). ×330
, 百拇医药
Fig.6 The relationship of the anterograde positive nerve fibers and VIP-immunoreactive ganglion neurons(↑).The positive baskets enclose some VIP-immunoreactive ganglion neurons(▲). ×330
Fig.7 There are some brown CGRP-immunoreactive nerve fibers among the black anterograde labeled nerve fibers(▲). ×330
【作者简介】 邱建勇(1954—),女(汉族),河南省鄢陵县人,大专
通讯作者(To whom correspondence should be addressed)
, 百拇医药
参考文献
[1]Segade LA,Quintanilla JS.Distribution of postganglionic parasympathetic fibers origining in the ptergopalatine ganglion in the maxillary and ophthalmic nerve branches of the trigeminal nerve;HRP and WGA-HRP study in the guinea pig[J].Brain Res,1990,522(3):327-332.
[2]Ten Tusscher MP,Klooster J,Baljet B,et al.Pre-and post-ganglionic nerve fibers of the pterygopalatine ganglion and their allocation to the eyeball of rats[J].Brain Res 1990,517(3):315-323.
, http://www.100md.com
[3]Hara H,Zhang QJ,Kuroyanagi T,et al.Parasympathetic cerebrovascular innervation:an anterograde tracing from sphenopalatine ganglion in the rat[J].Neurosurgy,1993,32(5):822-827.
[4]Hardebo JE,Suzuki N,Ekblad E,et al.Vasoactive intestinal polypeptide and acetycholine coexist with neuropeptide Y,dopamine-β-hydroxylase,tyrosine hydroxylase,Substance P or calcitonin gene-related peptide in neuronal subpopulations in cranial parasympathetic ganglia of rat[J].Cell Tissue Res,1992,267(2):291-300.
, 百拇医药
[5]Kuwayma Y,Emson P C,Pterygopalatine ganglion cells contain neuropeptide Y[J].Brain Res,1988,466(2),219-224.
[6]Suzuki N,Hardebo JE,Kahrstrom J,et al.Galanin -positive nerves of trigeminal origin innervate rat cerebral vessels.Neurosci Lett.1989,100(1):123-129.
[7]Ceccatelli S,Lundberg JM,Zhang X,et al.Immunohistochemical demonstration of nitric oxidase synthase in the peripheral autonomic neurons system[J].Brain Res,1994,656(3):381-395.
, 百拇医药
[8]Suzuki N,Hardebo JE,Owman CH.Origins and pathways of cerebrovascular nerve storing substance P and calcitonin gene-related peptide in rat[J].Neurosci,1989,31(2):427-438.
[9]Contreras RJ,Gomez M,Norgren R.Central origins of cranial nerve parasympthetic neurons in the rat[J].J Comp Neurol,1980,190(2):373-379.
[10]Wouterlood FG,Jorritsma-Byham B.The anterograde neuroanatomical tracer biotinylated dextran-amine:comparison with the tracer phaseolus vulgaris-leucoagglutinin in preparations for electron microscopy[J].J Neurosci Meth,1993,48(1):75-87.
, 百拇医药
[11]Paxinos G,Watson C.The rat brain in stereotaxic coordinates[M].2ed.Australia:Acdemic Press,1986,35.
[12]Spencer SE,Sawayer WB,Platt WKB,et al.CNS projections to the pteryopalatine parasympathetic preganglionic neurons in the rat:a retrograde transneuronal viral cell body labeling study[J].Brain Res,1990,534(2):149-169.
[13]Suzuki N,Hardebo JE,Owman C.Trigeminal fibre collaterals storing substance P and calcitonin gene-related peptide associate with ganglion cells containing choline acetyltransferase and sphenopalatine ganglion of the rat.An axon reflex modulating parasympathetic ganglionic activity[J]?Neurosci,1989,30(3):595-604.
[14]Brandt HM,Apkarian AV.Biotin-dextran:a sensitive anterograde tracer for neuroanatomic studies in rat and monkey[J].J Neurosci Meth,1992,45(1):35-40.
【收稿日期】1999-06-08 【修稿日期】2000-01-28, http://www.100md.com