超声诊断原发性膀胱淀粉样变2例
作者:孙玉东 李 颂
单位:孙玉东(273500 山东邹城市人民医院特检科);李颂(中国人民解放军总医院超声科)
关键词:
中国超声医学杂志990328 例1 男,70岁,间歇性无痛性全程肉眼血尿半年。超声检查:膀胱壁弥漫分布不规则结节样隆起,隆起结节表面不平,最厚处约1.5cm,基底宽,为中等均匀回声,CDFI:病灶内未见血流信号。膀胱镜检查:膀胱三角区及各侧壁粘膜散在绿豆至黄豆大小乳头状物,取活检,HE切片见膀胱粘膜上皮层次减少,粘膜下可见大量浅粉红色均匀无结构物质沉积,刚果红染色呈桔红色,偏振光显微镜呈苹果绿反折光。病理诊断为膀胱淀粉样变。
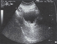
例2 男,71岁,间歇性无痛性血尿17年。既往多次和本次膀胱镜检及活检,均诊断为膀胱淀粉样变。超声检查:膀胱后壁偏右侧结节样隆起,大小约2.0cm×1.4cm,基底宽,中等均匀回声(图1)。CDFI:病灶内未见血流信号。另于左侧壁可见弥漫性隆起,最厚约0.5cm,中等均匀回声。膀胱镜检查:膀胱三角区右边块状肿物,表面不平呈菜花状。左侧壁及顶部散在病变。
图1 膀胱弥漫性分布结节样隆起病变
讨论:原发性膀胱淀粉样变为临床少见非肿瘤性疾病,其声像图酷似膀胱肿瘤极易误诊〔1〕,目前明确诊断主要依靠病理学检查。本组病例共同声像图表现为膀胱弥漫性分布结节样隆起。病变部位在膀胱壁各处均可见到,呈多灶性。其形态呈弥漫性增厚,结节状突起,基底宽,病灶内部回声多中等均匀。CDFI:病灶内未见血流信号。
参考文献
[1]曹立军,高汇年,王晓雄。膀胱局限性淀粉样变性四例报告。中华外科杂志,1997,35(6):363
(1998-09-08收稿), 百拇医药
单位:孙玉东(273500 山东邹城市人民医院特检科);李颂(中国人民解放军总医院超声科)
关键词:
中国超声医学杂志990328 例1 男,70岁,间歇性无痛性全程肉眼血尿半年。超声检查:膀胱壁弥漫分布不规则结节样隆起,隆起结节表面不平,最厚处约1.5cm,基底宽,为中等均匀回声,CDFI:病灶内未见血流信号。膀胱镜检查:膀胱三角区及各侧壁粘膜散在绿豆至黄豆大小乳头状物,取活检,HE切片见膀胱粘膜上皮层次减少,粘膜下可见大量浅粉红色均匀无结构物质沉积,刚果红染色呈桔红色,偏振光显微镜呈苹果绿反折光。病理诊断为膀胱淀粉样变。
例2 男,71岁,间歇性无痛性血尿17年。既往多次和本次膀胱镜检及活检,均诊断为膀胱淀粉样变。超声检查:膀胱后壁偏右侧结节样隆起,大小约2.0cm×1.4cm,基底宽,中等均匀回声(图1)。CDFI:病灶内未见血流信号。另于左侧壁可见弥漫性隆起,最厚约0.5cm,中等均匀回声。膀胱镜检查:膀胱三角区右边块状肿物,表面不平呈菜花状。左侧壁及顶部散在病变。
图1 膀胱弥漫性分布结节样隆起病变
讨论:原发性膀胱淀粉样变为临床少见非肿瘤性疾病,其声像图酷似膀胱肿瘤极易误诊〔1〕,目前明确诊断主要依靠病理学检查。本组病例共同声像图表现为膀胱弥漫性分布结节样隆起。病变部位在膀胱壁各处均可见到,呈多灶性。其形态呈弥漫性增厚,结节状突起,基底宽,病灶内部回声多中等均匀。CDFI:病灶内未见血流信号。
参考文献
[1]曹立军,高汇年,王晓雄。膀胱局限性淀粉样变性四例报告。中华外科杂志,1997,35(6):363
(1998-09-08收稿), 百拇医药