放射性脑病的临床表现与磁共振成像
作者:林红 许国英 慕容慎行 曹代荣
单位:林红 许国英 慕容慎行(福建医科大学附属第一医院神经内科,福州 350005);曹代荣(福建医科大学附属第一医院MRI室,福州 350005)
关键词:辐射损伤;脑;磁共振成像
福建医科大学学报000236
中图分类号:R742.804;R445.2 文献标识码:A
文章编号:1000-2235(2000)02-0186-02
放射性脑病(radiation encephalopathy,REP)可在脑瘤、颅外或颈部恶性肿瘤、白血病、脑和脊髓等放射治疗(放疗)时发生,是放疗后较为严重的并发症,REP逐渐引起临床的重视。对本病早发现、早诊断、早治疗,可取得较好疗效。笔者就1993~1999年确诊的18例REP,结合脑部核磁共振(MRI) 检查资料进行分析。
, 百拇医药
1 临床资料
1.1 一般资料 18例均系住院患者,男性14例,女性4例,年龄50.9±8.3 岁(27~64岁)。病因:17例发生于鼻咽癌放疗后,1例发生于乳腺癌根治术后锁骨上淋巴结放疗后。所有病例放疗前诊断均经病理证实。7例放疗平均剂量75.66±3.11 Gy(46.70~106 Gy),其余患者剂量不详。最后一次放疗至REP发病的时间(潜伏期)为4个月至9年10个月,平均3年2个月。
1.2 临床表现 急性或亚急性起病4例,渐进性起病14例。头痛、头晕11例(61.1%);构音障碍、饮水呛咳、吞咽障碍14例(77.8%);一侧或双侧肢体无力8例(44.4%);听力下降6例(33.3%);复视4例(22.2%);共济失调6例(33.3%);精神障碍:言语增多、胡言乱语、哭笑无常、记忆障碍4例(22.2%);意识障碍2例(11.1%)。
1.3 磁共振检查 全部病例的MRI均见异常信号。9例行Gd-DTPA增强检查。
, 百拇医药
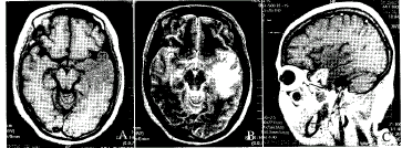
MRI表现 (1)病灶部位:病灶分布多以照射区为中心,脑白质受累为主,位于颞叶、脑干及小脑。累及一侧或双侧颞叶7例(26.9%),桥脑7例(26.9%),中脑4例(15.4%),延髓6例(23.1%),小脑2例(7.7%)。(2)病灶形态:多呈不规则形大片状或斑片状、椭圆形或圆形。(3)病灶信号改变:T1加权成像(T1WI)病灶信号强度为低信号或等信号(图A)。其中1例左颞叶低信号灶内见囊状水样信号。T2加权成像(T2WI)病灶信号强度均为高信号(图B)。(4)增强效应:9例静脉注射Gd-DTPA增强后,7例病灶可见环行强化或病灶不均匀强化影(图C),2例无强化。(5)占位效应:本组2例单侧病变显示明显占位效应。
1.4 治疗效果 所有病例均采用皮质类固醇治疗,其中15例采用地塞米松10~20 mg静脉滴注10~15天,3例采用大剂量甲基强的松龙500~1000 mg静脉滴注冲击治疗后逐渐减量为强的松口服,维持3~6个月。全部患者均同时予以神经细胞激活剂、适当脱水降颅压、改善微循环等对症治疗。出院时痊愈及好转12例,无变化4例,死亡2例;总有效率66.7%。
, 百拇医药
附图 放射性脑病MRI表现
A:平扫轴位T1WI双侧颞叶片状长T1信号,境界欠清.B:平扫轴位T2WI上述病灶呈长T2信号.C:增强矢状位T1WI上述病灶呈不规则环状强化.
2 讨 论
2.1 诊断 结合患者有接受放射治疗史、神经系统症状、体征以及MRI检查,诊断REP不难:(1)有头颈部放射治疗史。有作者认为放射总剂量在50~70 Gy,但每次分剂量均超过或多数超过2 Gy/d,十分容易发病[1],也有人认为放疗总剂量不宜>60 Gy[2]。本组已知的7例放射剂量平均为75.66 Gy,剂量偏大。(2)发生病变的部位与照射野的范围基本一致。本组病例病灶主要分布在颞叶、脑干和小脑。(3)有一定的潜伏期。根据潜伏期的长短,REP分为:暂时性脑病:脑部放疗后数周发生;放射后脑病:一般在脑部放疗后9个月至2年内发生[1]。本组1例潜伏期4个月,其余17例均在9个月以上。(4)临床表现:一般表现为头痛、呕吐、头晕、视乳头水肿等高颅压征象;神经系统定位体征,颞叶受损可有精神症状,脑干受损可有颅神经及锥体束损害症状,小脑受损可出现共济失调等。(5)MRI检查:本组病例病灶主要分布在颞叶、脑干和小脑。MRI主要表现为脑白质区片状或斑片状异常信号,T1WI为低信号或等信号,T2WI为高信号;Gd-DTPA增强后部分病例可见环形或部分环形强化以及不均匀强化,本组2例表现明显的占位效应。(6)可进一步行正电子发射计算机体层摄影(PET)及功能性磁共振和原子磁共振频谱检查,对REP的诊断和鉴别诊断敏感性更高[3]。
, http://www.100md.com
在鉴别诊断方面,REP需与脑转移瘤、鼻咽癌颅内侵入鉴别:(1)当REP出现较大囊样变或有占位征象时,可与脑转移瘤相似,但后者有以下特点:病灶多见于额顶叶,并不以照射区为中心;病变可位于脑灰质、白质的任何部位;可见多个实体瘤结,增强扫描肿瘤呈明显块状强化;占位征象更为明显。(2)与鼻咽癌颅内侵犯鉴别,后者主要改变为:鼻咽部肿块向脑内侵入,冠状面或矢状面扫描可见肿瘤呈连续关系;肿块异常信号压迫脑组织;颅底骨质破坏(卵圆孔、棘孔扩大,岩尖变秃,斜坡破坏)。
MRI对REP的敏感性高,对早期发现REP特别是CT难以显示的脑干、小脑和脊髓的放射性损伤更具有重要价值。
2.2 治疗 尽早使用皮质激素治疗,并予以脑细胞激活剂、适当脱水降颅压以及改善循环等治疗。REP的发病机制有三种学说[4]:放射线直接照射损伤;血管损伤、闭塞,继发缺血改变;免疫机制损伤。激素治疗主要是抑制变态反应,改善血脑屏障与维护其完整的功能,对细胞膜与多酶体有稳定作用,改善脑血管的通透性。本组病例经上述治疗后 ,有效率66.7%,其中2例患者2~3年后脑病症状复发,再用上述治疗仍有效。文献报道使用抗凝剂如华法令和肝素治疗REP 3~6个月,临床症状减轻,推测抗凝剂可以阻止和逆转小血管内皮损伤[5]。此外,高压氧对REP有效,其作用为提高脑组织氧含量,促进细胞和血管的修复[6]。
, 百拇医药
2.3 预防 REP与放射源、单次剂量、总剂量的分割和总的治疗时间有密切关系,放射量越大,面积越广,越易发病。此外,尚与年龄、身体状况、血管硬化情况,多程放射、个体差异、免疫等因素有关。有作者认为照射野在10 cm×6 cm以内,总剂量<60 Gy,总治疗时间6周以内,可不发生严重的REP[2]。因此,正确使用TDF(时间、剂量、分割)和CRE(积累放射效应)是预防REP的关键。此外,在放射治疗期间可加用二硫硫胺、呋喃硫胺等有防辐射作用的药物,其作用是修复体内生物分子的损伤,保持蛋白质和酶的结构和功能完整,降低机体的放射敏感性[2]。
作者简介:林 红(1965~),女,主治医师.
参考文献:
[1]蒋雨平.临床神经疾病学—放射损伤[M].上海:上海医科大学出版社,1999.413~414.
, 百拇医药
[2]赵成三,向明清,王惠人.放射性脑脊髓病临床浅析[J].中华放射医学与防护杂志,1996,16(4):254~255.
[3]王 晨,周良辅,张福林.早期迟发性放射性脑坏死11例报道.中国神经精神疾病杂志,1997,23(2):114~116.
[4]龚启勇,郑国梁,黄其鎏.鼻咽癌放疗后放射性脑病MRI评价[J].实用放射学杂志,1993,9(4):193~196.
[5]Glantz MJ,Burger PC,Friedman Ah,et al.Treatment of radiation-induced nervous system injury with heparin and warfarin[J].Neurology,1994,44(11):2020~2027.
[6]Leber KA,Eder HG,Kovac H.Treatment of cerebral radionecrosis by hyperbaric oxygen therapy[J].Stereotact Funct Neurosury,1998,70(Suppl 1):229~236.
收稿日期:2000-03-09, 百拇医药
单位:林红 许国英 慕容慎行(福建医科大学附属第一医院神经内科,福州 350005);曹代荣(福建医科大学附属第一医院MRI室,福州 350005)
关键词:辐射损伤;脑;磁共振成像
福建医科大学学报000236
中图分类号:R742.804;R445.2 文献标识码:A
文章编号:1000-2235(2000)02-0186-02
放射性脑病(radiation encephalopathy,REP)可在脑瘤、颅外或颈部恶性肿瘤、白血病、脑和脊髓等放射治疗(放疗)时发生,是放疗后较为严重的并发症,REP逐渐引起临床的重视。对本病早发现、早诊断、早治疗,可取得较好疗效。笔者就1993~1999年确诊的18例REP,结合脑部核磁共振(MRI) 检查资料进行分析。
, 百拇医药
1 临床资料
1.1 一般资料 18例均系住院患者,男性14例,女性4例,年龄50.9±8.3 岁(27~64岁)。病因:17例发生于鼻咽癌放疗后,1例发生于乳腺癌根治术后锁骨上淋巴结放疗后。所有病例放疗前诊断均经病理证实。7例放疗平均剂量75.66±3.11 Gy(46.70~106 Gy),其余患者剂量不详。最后一次放疗至REP发病的时间(潜伏期)为4个月至9年10个月,平均3年2个月。
1.2 临床表现 急性或亚急性起病4例,渐进性起病14例。头痛、头晕11例(61.1%);构音障碍、饮水呛咳、吞咽障碍14例(77.8%);一侧或双侧肢体无力8例(44.4%);听力下降6例(33.3%);复视4例(22.2%);共济失调6例(33.3%);精神障碍:言语增多、胡言乱语、哭笑无常、记忆障碍4例(22.2%);意识障碍2例(11.1%)。
1.3 磁共振检查 全部病例的MRI均见异常信号。9例行Gd-DTPA增强检查。
, 百拇医药
MRI表现 (1)病灶部位:病灶分布多以照射区为中心,脑白质受累为主,位于颞叶、脑干及小脑。累及一侧或双侧颞叶7例(26.9%),桥脑7例(26.9%),中脑4例(15.4%),延髓6例(23.1%),小脑2例(7.7%)。(2)病灶形态:多呈不规则形大片状或斑片状、椭圆形或圆形。(3)病灶信号改变:T1加权成像(T1WI)病灶信号强度为低信号或等信号(图A)。其中1例左颞叶低信号灶内见囊状水样信号。T2加权成像(T2WI)病灶信号强度均为高信号(图B)。(4)增强效应:9例静脉注射Gd-DTPA增强后,7例病灶可见环行强化或病灶不均匀强化影(图C),2例无强化。(5)占位效应:本组2例单侧病变显示明显占位效应。
1.4 治疗效果 所有病例均采用皮质类固醇治疗,其中15例采用地塞米松10~20 mg静脉滴注10~15天,3例采用大剂量甲基强的松龙500~1000 mg静脉滴注冲击治疗后逐渐减量为强的松口服,维持3~6个月。全部患者均同时予以神经细胞激活剂、适当脱水降颅压、改善微循环等对症治疗。出院时痊愈及好转12例,无变化4例,死亡2例;总有效率66.7%。
, 百拇医药
附图 放射性脑病MRI表现
A:平扫轴位T1WI双侧颞叶片状长T1信号,境界欠清.B:平扫轴位T2WI上述病灶呈长T2信号.C:增强矢状位T1WI上述病灶呈不规则环状强化.
2 讨 论
2.1 诊断 结合患者有接受放射治疗史、神经系统症状、体征以及MRI检查,诊断REP不难:(1)有头颈部放射治疗史。有作者认为放射总剂量在50~70 Gy,但每次分剂量均超过或多数超过2 Gy/d,十分容易发病[1],也有人认为放疗总剂量不宜>60 Gy[2]。本组已知的7例放射剂量平均为75.66 Gy,剂量偏大。(2)发生病变的部位与照射野的范围基本一致。本组病例病灶主要分布在颞叶、脑干和小脑。(3)有一定的潜伏期。根据潜伏期的长短,REP分为:暂时性脑病:脑部放疗后数周发生;放射后脑病:一般在脑部放疗后9个月至2年内发生[1]。本组1例潜伏期4个月,其余17例均在9个月以上。(4)临床表现:一般表现为头痛、呕吐、头晕、视乳头水肿等高颅压征象;神经系统定位体征,颞叶受损可有精神症状,脑干受损可有颅神经及锥体束损害症状,小脑受损可出现共济失调等。(5)MRI检查:本组病例病灶主要分布在颞叶、脑干和小脑。MRI主要表现为脑白质区片状或斑片状异常信号,T1WI为低信号或等信号,T2WI为高信号;Gd-DTPA增强后部分病例可见环形或部分环形强化以及不均匀强化,本组2例表现明显的占位效应。(6)可进一步行正电子发射计算机体层摄影(PET)及功能性磁共振和原子磁共振频谱检查,对REP的诊断和鉴别诊断敏感性更高[3]。
, http://www.100md.com
在鉴别诊断方面,REP需与脑转移瘤、鼻咽癌颅内侵入鉴别:(1)当REP出现较大囊样变或有占位征象时,可与脑转移瘤相似,但后者有以下特点:病灶多见于额顶叶,并不以照射区为中心;病变可位于脑灰质、白质的任何部位;可见多个实体瘤结,增强扫描肿瘤呈明显块状强化;占位征象更为明显。(2)与鼻咽癌颅内侵犯鉴别,后者主要改变为:鼻咽部肿块向脑内侵入,冠状面或矢状面扫描可见肿瘤呈连续关系;肿块异常信号压迫脑组织;颅底骨质破坏(卵圆孔、棘孔扩大,岩尖变秃,斜坡破坏)。
MRI对REP的敏感性高,对早期发现REP特别是CT难以显示的脑干、小脑和脊髓的放射性损伤更具有重要价值。
2.2 治疗 尽早使用皮质激素治疗,并予以脑细胞激活剂、适当脱水降颅压以及改善循环等治疗。REP的发病机制有三种学说[4]:放射线直接照射损伤;血管损伤、闭塞,继发缺血改变;免疫机制损伤。激素治疗主要是抑制变态反应,改善血脑屏障与维护其完整的功能,对细胞膜与多酶体有稳定作用,改善脑血管的通透性。本组病例经上述治疗后 ,有效率66.7%,其中2例患者2~3年后脑病症状复发,再用上述治疗仍有效。文献报道使用抗凝剂如华法令和肝素治疗REP 3~6个月,临床症状减轻,推测抗凝剂可以阻止和逆转小血管内皮损伤[5]。此外,高压氧对REP有效,其作用为提高脑组织氧含量,促进细胞和血管的修复[6]。
, 百拇医药
2.3 预防 REP与放射源、单次剂量、总剂量的分割和总的治疗时间有密切关系,放射量越大,面积越广,越易发病。此外,尚与年龄、身体状况、血管硬化情况,多程放射、个体差异、免疫等因素有关。有作者认为照射野在10 cm×6 cm以内,总剂量<60 Gy,总治疗时间6周以内,可不发生严重的REP[2]。因此,正确使用TDF(时间、剂量、分割)和CRE(积累放射效应)是预防REP的关键。此外,在放射治疗期间可加用二硫硫胺、呋喃硫胺等有防辐射作用的药物,其作用是修复体内生物分子的损伤,保持蛋白质和酶的结构和功能完整,降低机体的放射敏感性[2]。
作者简介:林 红(1965~),女,主治医师.
参考文献:
[1]蒋雨平.临床神经疾病学—放射损伤[M].上海:上海医科大学出版社,1999.413~414.
, 百拇医药
[2]赵成三,向明清,王惠人.放射性脑脊髓病临床浅析[J].中华放射医学与防护杂志,1996,16(4):254~255.
[3]王 晨,周良辅,张福林.早期迟发性放射性脑坏死11例报道.中国神经精神疾病杂志,1997,23(2):114~116.
[4]龚启勇,郑国梁,黄其鎏.鼻咽癌放疗后放射性脑病MRI评价[J].实用放射学杂志,1993,9(4):193~196.
[5]Glantz MJ,Burger PC,Friedman Ah,et al.Treatment of radiation-induced nervous system injury with heparin and warfarin[J].Neurology,1994,44(11):2020~2027.
[6]Leber KA,Eder HG,Kovac H.Treatment of cerebral radionecrosis by hyperbaric oxygen therapy[J].Stereotact Funct Neurosury,1998,70(Suppl 1):229~236.
收稿日期:2000-03-09, 百拇医药