闭孔神经卡压综合征
作者:牛春雨 霍钧力 郝建伟
单位:462500 河南省舞阳钢铁公司职工医院骨科
关键词:
中华骨科杂志000916
闭孔神经卡压综合征是指由于闭孔神经在通过闭孔的膜骨性管道时,受压而引起的以同侧下肢股内侧疼痛为主的一组症状与体征。自1985~1998年间我们共收治4例闭孔神经卡压综合征患者。均予以手术探查、神经松解,疗效满意。
临床资料
本组患者均为男性,年龄35~50岁。病程1个月~6个月。其中2例有外伤史,4例均有不同程度的股内侧肌萎缩,肌力2~3级。4例均经手术治愈。术后随访2~3年,肌力恢复至4~5级,股内侧皮肤感觉完全恢复。
, 百拇医药
典型病例
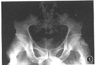
例1男,38岁。右股内侧疼痛、麻木3个月,加重20d,伴同侧髋关节酸沉,行走、咳嗽、用力排便时症状加重。曾在外院以“股内侧筋膜炎”治疗2个月无效,于1990年12月15日收入我院。查体:股内收肌轻度萎缩,股内侧自腹股沟至膝上3cm处皮肤触痛觉减退,股内收肌肌力3级,右髋关节伸、屈正常,外展时疼痛沿股内侧放射至膝。右下肢肌电图提示闭孔神经中度损伤,骨盆X线片显示,右侧闭孔内上方有一骨化影向闭孔内延伸(图1)。诊断为右闭孔神经卡压综合征。于腰麻下,自右耻骨支向股内侧下方做弧行切口,切断长收肌肌腱止点,找出闭孔神经,向上分离至闭孔处。术中见闭孔膜部分骨化,挤压闭孔神经及闭孔血管,被挤压的局部神经明显变细,外膜增厚,无弹性。切断部分闭孔内肌并切除部分骨化物及闭孔膜,充分松解闭孔神经,止血后缝合长收肌腱性部分。术后10d拆线,下床活动,髋关节及下肢症状消失。3个月后肌力恢复至5级,局部皮肤感觉恢复。
, 百拇医药
图1 骨盆X线片示,右侧闭孔内上方有一骨化影响闭孔内延伸
例2男,46岁。1998年1月15日因外伤致左侧坐骨、耻骨支骨折,骨盆X线片示,骨折移位,左侧闭孔变形(图2),嘱其卧床休息。3周后,逐渐出现左股内侧疼痛,放射至膝内侧上方,股内侧皮肤感觉迟钝,夜间出现股内侧肌颤,咳嗽时症状加重,左闭孔处有深压痛,并向左股内侧放射。诊断:左坐骨、耻骨骨折继发左闭孔神经卡压综合征。给予质量分数为2%的利多卡因3ml、醋酸泼尼松龙50mg封闭治疗,每周1次,共5次。因疗效不明显而行闭孔神经探查术。术中见左耻骨骨折的两断端及瘢痕嵌压闭孔神经。切除瘢痕及部分闭孔膜,并切断闭孔外肌的一部分,充分松解闭孔神经及闭孔动脉。术后第2d,股内侧疼痛消失,2周后感觉逐渐恢复。
图2 骨盆X线片示,左坐骨、耻骨支骨折,闭孔变形
, 百拇医药
讨论
一、解剖学基础及临床意义
闭孔为坐骨、耻骨之间的大孔,边缘锐利,闭孔膜附着其上。闭孔管为一纤维-骨性管道,长约2~3cm,闭孔管自外上向前下有内外两口,闭孔动脉、静脉、神经由此通过,闭孔管的内口充填以脂肪组织,正常时仅能容纳指尖[1]。闭孔神经为含感觉、运动的混合神经,由第1腰椎至第4腰椎的前支构成,在穿越闭孔管后分为前、后两支,前支下行支配股薄肌、短收肌、长收肌及其表面皮肤;后支支配大收肌[2]。闭孔神经在闭孔管处尚发出髋关节支。无论是骨性病变或闭孔膜周围的软组织病变,均可构成对闭孔神经的卡压。闭孔管周围病变,如局部组织充血、水肿、钙化、增生、骨折移位及骨痂形成等均有可能使闭孔神经受到卡压。本组4例中2例是由于骨折后移位及其以后的骨痂生长而压迫闭孔神经,1例为闭孔膜骨化而引起的压迫症状,另1例术中见局部软组织增生嵌压闭孔神经。
, http://www.100md.com 二、诊断及鉴别诊断
闭孔神经卡压综合征表现为闭孔神经所支配区域的肌肉疼痛、无力,晚期可有肌萎缩,相应区域的皮肤感觉减退,股内收肌肌力下降、外展受限,闭孔处有深压痛并向下肢内侧放射,腹压增高时症状加重。随着病情的进展,以上症状逐渐加重,可有间歇跛行。由于闭孔神经有支配同侧髋关节的关节支,有的患者可表现有髋关节疼痛、酸沉、无力等症状。肌电图检查提示闭孔神经损伤,闭孔管封闭有助于诊断性治疗。闭孔神经卡压综合征应与高位腰椎间盘突出、股神经受压及闭孔疝等妇科、外科疾病引起的闭孔神经受压相鉴别。
三、治疗及预后
对早期症状较轻者可先行保守治疗,用质量分数为2%的利多卡因3ml加醋酸泼尼松龙50mg进行药物封闭治疗。注射时患者仰卧,在耻骨结节下方1.5cm处用长针头沿耻骨上支方向推进,到达耻骨上支后即可注射。操作时,左手应在腹股沟韧带下方触摸股动脉,以免造成损伤。本组有2例因封闭治疗效果欠佳而行手术探查。手术要点:(1)采用耻骨支向股内下方弧形切口,首先在长收肌止点处切断该肌,牵开后寻找、分离闭孔神经前后支及交汇处。(2)沿闭孔神经探寻到闭孔管外口,找出致压原因,解除压迫,必要时可切断部分闭孔内外肌,以利术后神经功能恢复和避免再次受压。(3)在探查及解除神经压迫时,不可误伤闭孔动脉和静脉。因闭孔血管切断后易回缩至盆腔引起大出血。笔者曾因术中操作不慎误伤1例患者的闭孔动脉,即刻行腹膜外耻骨内侧切开找出闭孔动脉,结扎后得以完成手术。
, 百拇医药
术后效果主要取决于神经受压程度、受压时间的长短和减压是否彻底,若在神经变性前即解除压迫效果好,反之效果差。因此对于重症患者或药物封闭治疗4~6次效果不佳者,应尽早进行手术治疗,以免因神经受压时间过长引起瓦勒氏变性而失去术后恢复机会。
参考文献
1,郭世绂.临床骨科解剖学.第1版.天津:天津科学技术出版社,1988.661-662.
2,司心成.闭孔神经的显微外科解剖学观察.解剖学通报,1981,4:249-252.
(收稿日期:2000-03-06), 百拇医药
单位:462500 河南省舞阳钢铁公司职工医院骨科
关键词:
中华骨科杂志000916
闭孔神经卡压综合征是指由于闭孔神经在通过闭孔的膜骨性管道时,受压而引起的以同侧下肢股内侧疼痛为主的一组症状与体征。自1985~1998年间我们共收治4例闭孔神经卡压综合征患者。均予以手术探查、神经松解,疗效满意。
临床资料
本组患者均为男性,年龄35~50岁。病程1个月~6个月。其中2例有外伤史,4例均有不同程度的股内侧肌萎缩,肌力2~3级。4例均经手术治愈。术后随访2~3年,肌力恢复至4~5级,股内侧皮肤感觉完全恢复。
, 百拇医药
典型病例
例1男,38岁。右股内侧疼痛、麻木3个月,加重20d,伴同侧髋关节酸沉,行走、咳嗽、用力排便时症状加重。曾在外院以“股内侧筋膜炎”治疗2个月无效,于1990年12月15日收入我院。查体:股内收肌轻度萎缩,股内侧自腹股沟至膝上3cm处皮肤触痛觉减退,股内收肌肌力3级,右髋关节伸、屈正常,外展时疼痛沿股内侧放射至膝。右下肢肌电图提示闭孔神经中度损伤,骨盆X线片显示,右侧闭孔内上方有一骨化影向闭孔内延伸(图1)。诊断为右闭孔神经卡压综合征。于腰麻下,自右耻骨支向股内侧下方做弧行切口,切断长收肌肌腱止点,找出闭孔神经,向上分离至闭孔处。术中见闭孔膜部分骨化,挤压闭孔神经及闭孔血管,被挤压的局部神经明显变细,外膜增厚,无弹性。切断部分闭孔内肌并切除部分骨化物及闭孔膜,充分松解闭孔神经,止血后缝合长收肌腱性部分。术后10d拆线,下床活动,髋关节及下肢症状消失。3个月后肌力恢复至5级,局部皮肤感觉恢复。
, 百拇医药
图1 骨盆X线片示,右侧闭孔内上方有一骨化影响闭孔内延伸
例2男,46岁。1998年1月15日因外伤致左侧坐骨、耻骨支骨折,骨盆X线片示,骨折移位,左侧闭孔变形(图2),嘱其卧床休息。3周后,逐渐出现左股内侧疼痛,放射至膝内侧上方,股内侧皮肤感觉迟钝,夜间出现股内侧肌颤,咳嗽时症状加重,左闭孔处有深压痛,并向左股内侧放射。诊断:左坐骨、耻骨骨折继发左闭孔神经卡压综合征。给予质量分数为2%的利多卡因3ml、醋酸泼尼松龙50mg封闭治疗,每周1次,共5次。因疗效不明显而行闭孔神经探查术。术中见左耻骨骨折的两断端及瘢痕嵌压闭孔神经。切除瘢痕及部分闭孔膜,并切断闭孔外肌的一部分,充分松解闭孔神经及闭孔动脉。术后第2d,股内侧疼痛消失,2周后感觉逐渐恢复。
图2 骨盆X线片示,左坐骨、耻骨支骨折,闭孔变形
, 百拇医药
讨论
一、解剖学基础及临床意义
闭孔为坐骨、耻骨之间的大孔,边缘锐利,闭孔膜附着其上。闭孔管为一纤维-骨性管道,长约2~3cm,闭孔管自外上向前下有内外两口,闭孔动脉、静脉、神经由此通过,闭孔管的内口充填以脂肪组织,正常时仅能容纳指尖[1]。闭孔神经为含感觉、运动的混合神经,由第1腰椎至第4腰椎的前支构成,在穿越闭孔管后分为前、后两支,前支下行支配股薄肌、短收肌、长收肌及其表面皮肤;后支支配大收肌[2]。闭孔神经在闭孔管处尚发出髋关节支。无论是骨性病变或闭孔膜周围的软组织病变,均可构成对闭孔神经的卡压。闭孔管周围病变,如局部组织充血、水肿、钙化、增生、骨折移位及骨痂形成等均有可能使闭孔神经受到卡压。本组4例中2例是由于骨折后移位及其以后的骨痂生长而压迫闭孔神经,1例为闭孔膜骨化而引起的压迫症状,另1例术中见局部软组织增生嵌压闭孔神经。
, http://www.100md.com 二、诊断及鉴别诊断
闭孔神经卡压综合征表现为闭孔神经所支配区域的肌肉疼痛、无力,晚期可有肌萎缩,相应区域的皮肤感觉减退,股内收肌肌力下降、外展受限,闭孔处有深压痛并向下肢内侧放射,腹压增高时症状加重。随着病情的进展,以上症状逐渐加重,可有间歇跛行。由于闭孔神经有支配同侧髋关节的关节支,有的患者可表现有髋关节疼痛、酸沉、无力等症状。肌电图检查提示闭孔神经损伤,闭孔管封闭有助于诊断性治疗。闭孔神经卡压综合征应与高位腰椎间盘突出、股神经受压及闭孔疝等妇科、外科疾病引起的闭孔神经受压相鉴别。
三、治疗及预后
对早期症状较轻者可先行保守治疗,用质量分数为2%的利多卡因3ml加醋酸泼尼松龙50mg进行药物封闭治疗。注射时患者仰卧,在耻骨结节下方1.5cm处用长针头沿耻骨上支方向推进,到达耻骨上支后即可注射。操作时,左手应在腹股沟韧带下方触摸股动脉,以免造成损伤。本组有2例因封闭治疗效果欠佳而行手术探查。手术要点:(1)采用耻骨支向股内下方弧形切口,首先在长收肌止点处切断该肌,牵开后寻找、分离闭孔神经前后支及交汇处。(2)沿闭孔神经探寻到闭孔管外口,找出致压原因,解除压迫,必要时可切断部分闭孔内外肌,以利术后神经功能恢复和避免再次受压。(3)在探查及解除神经压迫时,不可误伤闭孔动脉和静脉。因闭孔血管切断后易回缩至盆腔引起大出血。笔者曾因术中操作不慎误伤1例患者的闭孔动脉,即刻行腹膜外耻骨内侧切开找出闭孔动脉,结扎后得以完成手术。
, 百拇医药
术后效果主要取决于神经受压程度、受压时间的长短和减压是否彻底,若在神经变性前即解除压迫效果好,反之效果差。因此对于重症患者或药物封闭治疗4~6次效果不佳者,应尽早进行手术治疗,以免因神经受压时间过长引起瓦勒氏变性而失去术后恢复机会。
参考文献
1,郭世绂.临床骨科解剖学.第1版.天津:天津科学技术出版社,1988.661-662.
2,司心成.闭孔神经的显微外科解剖学观察.解剖学通报,1981,4:249-252.
(收稿日期:2000-03-06), 百拇医药