不同治法对糖尿病大鼠心脏病变影响的实验研究★
作者:李赛美* 熊曼琪* 林安钟* 郑高飞* 许庆文* 郑海霞* 胡永珍* 何敏*
单位:
关键词:中医治法;心脏病;中药疗法;心肌;超微结构;糖尿病;并发症;疾病模型;动物
新中医991018 提要 采用STZ大鼠,电镜观察了中医不同治法对糖尿病心肌病变影响。运用STZ+冠状动脉结扎致心肌缺血模型,观察不同治法抗心肌缺血作用。结果发现糖尿病大鼠心肌明显异常,中药各组对超微病理有不同程度改善,尤以泻热通下,益气养阴组为优;各组能显著降低心肌缺血面积,提高存活率(P<0.05~0.01),尤以综合+水蛭组明显。综合组、综合+水蛭组对ECG T波异常有显著改善作用。表明糖尿病不同阶段,心脏病变辨治重心有别。
, 百拇医药
为比较中医不同治法对糖尿病心脏病动物模型的预防作用,我们以加味桃核承气汤及拆方为基础,观察了不同治法对链脲佐菌素(STZ)大鼠心脏病变超微结构影响及复加冠状动脉结扎致心肌缺血的预防作用,现报道如下。
1 材料和方法
1.1 实验动物 采用清洁级SD雄性大鼠共88只,重200~280 g,随机分为正常组8只,造模组12只,模型+中药组68只(因组分不同,再分为5组,详见后)。中药按成人剂量25倍给予(成人以60kg标准计算,方药剂量见后),正常及模型组灌服等量蒸馏水,连续40天后电镜观察心肌改变;抗心肌缺血实验则在STZ造模40天基础上再分模型与中药组,各组中药制成注射剂,按5g/kg生药给予,正常及模型组腹腔注射(ip)等量蒸馏水。
1.2 药物及试剂 综合组(加味桃核承气汤组):黄芪30g,生地黄15g,麦冬、玄参各12g,桃仁10g,大黄、桂枝各6g,芒硝、甘草各3g。益气养阴组:黄芪30g,生地黄15g,玄参、麦冬各12g。活血化瘀组:桃仁10g,桂枝、熟大黄各6g。泻热通下组:生大黄6g,芒硝、甘草各3g。综合+水蛭组即加味桃核承气汤+水蛭10g。上述中药除芒硝外,均用水1:5容积浸泡30分钟,加热煎煮30分钟,滤取煎液,复渣,2次煎液合并,水液浓缩至含生药2g/ml,4℃存用。针剂组方同前,由广州中医药大学第一附属医院临床药理研究室制备(生药2g/ml)。造模试剂STZ为SIGMA公司产品。N-BT购自上海前进试剂厂。
, 百拇医药
1.3 实验方法 糖尿病动物模型复制,所有大鼠禁食12小时,造模组按60mg/kg体重的剂量ipSTZ(溶于0.1 M柠檬酸缓冲液,pH 4.4);正常组ip等量的柠檬酸缓冲液。1周后复查空腹血糖>11.1 mmol/L确认为糖尿病模型。电镜标本制备,将左心室切成1mm3小块,2.5%戊二醛固定,0.1 M磷酸缓冲液冲洗,1%锇酸固定,磷酸缓冲液冲洗,酒精丙酮系列脱水,Epon812环氧树脂包埋,AO超薄切片机切片,醋酸钠和柠檬酸铅染色,最后置JEN-1200 EX透射电镜下观察拍照。糖尿病心肌缺血模型复制,参考《药理实验方法学》结扎冠状动脉引起心肌梗塞法。糖尿病造模成功后,普通饲料喂养40天,大白鼠予1.5%戊巴比妥麻醉(2mg/kg),在人工呼吸条件下开胸,剪断左侧胸廓第3~5肋,剪开心包膜暴露心脏,用小圆针和0号线在左心耳下缘穿越左冠状动脉,于肺动脉圆锥旁出针。中药或蒸馏水于冠脉结扎前30分钟注射。分别于冠脉结扎前、术后10分钟、20分钟、30分钟、60分钟、90分钟、120分钟测录ECG,观察HR、T波、异律率,并计算动物2小时存活率。
, 百拇医药
心肌缺血区测算:取出心脏用0.125% N-BT将心脏切片染色,分别称出全心及不着色的心肌重量,计算心肌缺血面积。
1.4 数据处理 组间比较与组内比较均采用配对t检验。
2 结果
2.1 正常组与模型组血糖、体重、心脏重量/体重的比较 表略。结果显示,造模后模型组体重明显下降,血糖升高,且心脏重量增高,与正常组比较差异有非常显著性意义(P<0.01),正常组40天后血糖也有所提高。
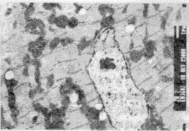
2.2 心肌电镜观察 正常组:肌原纤维纵向平行排列,肌丝分布均匀,排列紧密整齐,Z线和M线清晰可见,肌节的长度和位置相当。肌原纤维之间有密集的线粒体,其基质浓密,嵴多且排列有序,心肌纤维排列紧凑,毛细血管基底膜较薄(图1)。模型组:心肌纤维中脂滴增多并有空泡,有很多糖原颗粒沉积。肌原纤维排列紊乱,肌节缩短,肌丝断裂、坏死或溶解。闰盘粘合膜间隙呈囊样扩张。线粒体排列无序、移位,或肿胀、变性、坏死,少数钙化固缩,嵴间隙扩张,嵴稀少或排列混乱。毛细血管常有粒细胞或淋巴细胞,基底膜增厚。常见结缔组织从Z线侵入肌纤维(图2)。泻热通下组:绝大部分心肌纤维正常,肌丝排列整齐均匀,线粒体在肌丝束之间排列有序,基质浓度大,嵴密集,少有糖原颗粒沉积。偶见脂滴或空泡,个别线粒体肿胀,闰盘扩张较少,此组病变改善显著(图3)。益气养阴组:心肌纤维中脂滴和空泡较多,有许多糖原颗粒,个别肌丝断裂,线粒体变性。但绝大部分肌丝正常,此组病变有所改善(图4)。综合组:大部分心肌纤维正常,但发现有肌丝排列混乱、收缩、断裂、溶解。线粒体肿胀,嵴间隙扩张。有糖原颗粒沉积。毛细血管内有淋巴细胞。此组病变有些改善,但不显著(图5)。活血化瘀组:大部分心肌纤维正常,但也出现肌丝收缩成带状,彼此分离,其间有水肿,少数线粒体肿胀或固缩钙化,闰盘粘合膜间隙扩张。此组病变改善不明显(图6)。综合+水蛭组:心肌纤维中脂滴和空泡较多见。肌丝收缩、分离、溶解等现象比较严重,部分线粒体钙化固缩,闰盘粘合膜间隙扩张。此组病变仍较严重(图7)。
, 百拇医药
2.3 各组心肌缺血面积、ECG异律率及2小时存活率比较 见表1、表2。结果表明,模型+结扎组,心肌缺血面积较正常+结扎组显著增大(P<0.01),2小时存活率降低(P<0.05);模型+治疗+结扎组,虽缺血面积尚未达到正常+结扎组水平(P<0.05),但已较模型组有显著改善(P<0.01),存活率提高(P<0.05),已接近正常水平,其异律率也呈现正常<治疗<模型,依次上升趋势,但其差异无显著性意义。中药治疗组内比较:综合+水蛭组较综合或益气养阴组心肌缺血面积有显著改善(P<0.05),2小时存活率以活血化瘀组最低(P<0.05),可能与其提高异律率有关,其余各组差异无显著性意义。
表1 各组心肌缺血面积、ECG异律率及存活率比较 分 组
n
缺血面积
(
±s,%)
, 百拇医药
异律率
(%)
存活率
(%)
正常+结扎
8
11.76±7.52
37.5
100△
模型+结扎
11
31.18±15.48※※
, http://www.100md.com
72.7
63.6
模型+治疗+结扎
59
20.73±11.29※△△
52.5
89.8△
注:与正常+结扎组比较※※P<0.01,※P<0.05;与模型+结扎组比较△△P<0.01,△P<0.05。表2 各组心肌缺血面积、异律率及存活率比较 分 组
n
缺血面积
, 百拇医药
(
±s,%)
异律率
(%)
存活率
(%)
综合组
11
22.96±8.87
63.6
100
益气养阴组
, 百拇医药 12
23.52±13.10
50
91.7
活血化瘀组
11
21.06±13.62
72.7
54.5#
泄热通下组
12
21.06±13.62
, http://www.100md.com 41.7
100
综合+水蛭组
13
15.18±10.93※ △
38.5
100
注:与综合组比较※P<0.05;与益气养阴组比较△P<0.05;与其他各组比较#P<0.05
2.4 不同治法对冠脉结扎后T波改变的影响 模型组在冠脉结扎术前,T波较正常组已显著性升高,表明在糖尿病成模1个月后,心肌缺血已经存在。在施行冠脉结扎术后,5分种、10分种、20分种、30分种、60分种、90分种,T波仍居高不下,在120分种时差异略有缩小,但仍显著高于正常组。治疗组中,综合+水蛭组于结扎术后30分种,心肌缺血有所改善,T波回落,与模型组比较差异有显著性意义。综合组分别于60分钟、90分钟,T波回落,与模型组比较差异有显著性意义,并接近正常水平,且与自身术前比较,分别于20分钟、60分钟、90分钟、120分钟心肌缺血得到明显改善(另文发表)。
, 百拇医药
3 讨论
辨证论治是中医的特色和优势,积极探寻中医不同治法对糖尿病心脏病的防治作用,对于提高中医对糖尿病心脏病整体辨治水平具有重要意义。本研究表明益气养阴法和泄热通下法对糖尿病大鼠心脏病变形成具有良好阻断作用,其机理可能与其降糖、降脂、改善胰岛素抵抗、抗氧自由基损伤等效应密切相关(另文发表)。中药口服改为腹腔注射,着力观察糖尿病急性心肌缺血时中药的预防作用。初步结果显示:中医益气养阴、活血化瘀、泄热通下任何单一治法对糖尿病心肌缺血均有一定效果,而诸法合用,且重视活血的效果更佳。全程动态观察表明,辨证论治是提高中医疗效的根本。在糖尿病早期,仍以阴虚燥热或气阴不足为主,或益气养阴,或泻热通下,对于糖尿病治疗及并发症预防均有一定作用,活血化瘀法似不提倡早用;在糖尿病中晚期,或有典型心肌缺血症状时,活血化瘀为必用之法,但似不宜单独使用,否则可能因异律率提高而降低疗效。其殊途同归,同病异治机理有待进一步研究。
饲养40天的STZ糖尿病大鼠,即可出现心肌超微结构损害、心脏增大、ECG示T波上抬、心肌缺血,同时伴见高糖、高脂、胰岛素抵抗、氧自由基水平上升(另文发表)。在上述基础上再行冠状动脉结扎,与临床糖尿病冠心病基本吻合,且重复性好,不失为糖尿病心脏病实验研究的较好载体。
, 百拇医药
图1 正常组×5000
图2 模型组×5000
图3 泻热通下组×5000
图4 益气养阴组×5000
图5 综合组×5000
图6 活血化瘀组×6000
图7 综合+水蛭组×6000
★国家中医药管理局青年基金课题(A95-11)
(修回日期:1999-05-24), 百拇医药(李赛美* 熊曼琪* 林安钟* 郑高飞* 许庆文* 郑海霞* 胡永珍* 何敏*)
单位:
关键词:中医治法;心脏病;中药疗法;心肌;超微结构;糖尿病;并发症;疾病模型;动物
新中医991018 提要 采用STZ大鼠,电镜观察了中医不同治法对糖尿病心肌病变影响。运用STZ+冠状动脉结扎致心肌缺血模型,观察不同治法抗心肌缺血作用。结果发现糖尿病大鼠心肌明显异常,中药各组对超微病理有不同程度改善,尤以泻热通下,益气养阴组为优;各组能显著降低心肌缺血面积,提高存活率(P<0.05~0.01),尤以综合+水蛭组明显。综合组、综合+水蛭组对ECG T波异常有显著改善作用。表明糖尿病不同阶段,心脏病变辨治重心有别。
, 百拇医药
为比较中医不同治法对糖尿病心脏病动物模型的预防作用,我们以加味桃核承气汤及拆方为基础,观察了不同治法对链脲佐菌素(STZ)大鼠心脏病变超微结构影响及复加冠状动脉结扎致心肌缺血的预防作用,现报道如下。
1 材料和方法
1.1 实验动物 采用清洁级SD雄性大鼠共88只,重200~280 g,随机分为正常组8只,造模组12只,模型+中药组68只(因组分不同,再分为5组,详见后)。中药按成人剂量25倍给予(成人以60kg标准计算,方药剂量见后),正常及模型组灌服等量蒸馏水,连续40天后电镜观察心肌改变;抗心肌缺血实验则在STZ造模40天基础上再分模型与中药组,各组中药制成注射剂,按5g/kg生药给予,正常及模型组腹腔注射(ip)等量蒸馏水。
1.2 药物及试剂 综合组(加味桃核承气汤组):黄芪30g,生地黄15g,麦冬、玄参各12g,桃仁10g,大黄、桂枝各6g,芒硝、甘草各3g。益气养阴组:黄芪30g,生地黄15g,玄参、麦冬各12g。活血化瘀组:桃仁10g,桂枝、熟大黄各6g。泻热通下组:生大黄6g,芒硝、甘草各3g。综合+水蛭组即加味桃核承气汤+水蛭10g。上述中药除芒硝外,均用水1:5容积浸泡30分钟,加热煎煮30分钟,滤取煎液,复渣,2次煎液合并,水液浓缩至含生药2g/ml,4℃存用。针剂组方同前,由广州中医药大学第一附属医院临床药理研究室制备(生药2g/ml)。造模试剂STZ为SIGMA公司产品。N-BT购自上海前进试剂厂。
, 百拇医药
1.3 实验方法 糖尿病动物模型复制,所有大鼠禁食12小时,造模组按60mg/kg体重的剂量ipSTZ(溶于0.1 M柠檬酸缓冲液,pH 4.4);正常组ip等量的柠檬酸缓冲液。1周后复查空腹血糖>11.1 mmol/L确认为糖尿病模型。电镜标本制备,将左心室切成1mm3小块,2.5%戊二醛固定,0.1 M磷酸缓冲液冲洗,1%锇酸固定,磷酸缓冲液冲洗,酒精丙酮系列脱水,Epon812环氧树脂包埋,AO超薄切片机切片,醋酸钠和柠檬酸铅染色,最后置JEN-1200 EX透射电镜下观察拍照。糖尿病心肌缺血模型复制,参考《药理实验方法学》结扎冠状动脉引起心肌梗塞法。糖尿病造模成功后,普通饲料喂养40天,大白鼠予1.5%戊巴比妥麻醉(2mg/kg),在人工呼吸条件下开胸,剪断左侧胸廓第3~5肋,剪开心包膜暴露心脏,用小圆针和0号线在左心耳下缘穿越左冠状动脉,于肺动脉圆锥旁出针。中药或蒸馏水于冠脉结扎前30分钟注射。分别于冠脉结扎前、术后10分钟、20分钟、30分钟、60分钟、90分钟、120分钟测录ECG,观察HR、T波、异律率,并计算动物2小时存活率。
, 百拇医药
心肌缺血区测算:取出心脏用0.125% N-BT将心脏切片染色,分别称出全心及不着色的心肌重量,计算心肌缺血面积。
1.4 数据处理 组间比较与组内比较均采用配对t检验。
2 结果
2.1 正常组与模型组血糖、体重、心脏重量/体重的比较 表略。结果显示,造模后模型组体重明显下降,血糖升高,且心脏重量增高,与正常组比较差异有非常显著性意义(P<0.01),正常组40天后血糖也有所提高。
2.2 心肌电镜观察 正常组:肌原纤维纵向平行排列,肌丝分布均匀,排列紧密整齐,Z线和M线清晰可见,肌节的长度和位置相当。肌原纤维之间有密集的线粒体,其基质浓密,嵴多且排列有序,心肌纤维排列紧凑,毛细血管基底膜较薄(图1)。模型组:心肌纤维中脂滴增多并有空泡,有很多糖原颗粒沉积。肌原纤维排列紊乱,肌节缩短,肌丝断裂、坏死或溶解。闰盘粘合膜间隙呈囊样扩张。线粒体排列无序、移位,或肿胀、变性、坏死,少数钙化固缩,嵴间隙扩张,嵴稀少或排列混乱。毛细血管常有粒细胞或淋巴细胞,基底膜增厚。常见结缔组织从Z线侵入肌纤维(图2)。泻热通下组:绝大部分心肌纤维正常,肌丝排列整齐均匀,线粒体在肌丝束之间排列有序,基质浓度大,嵴密集,少有糖原颗粒沉积。偶见脂滴或空泡,个别线粒体肿胀,闰盘扩张较少,此组病变改善显著(图3)。益气养阴组:心肌纤维中脂滴和空泡较多,有许多糖原颗粒,个别肌丝断裂,线粒体变性。但绝大部分肌丝正常,此组病变有所改善(图4)。综合组:大部分心肌纤维正常,但发现有肌丝排列混乱、收缩、断裂、溶解。线粒体肿胀,嵴间隙扩张。有糖原颗粒沉积。毛细血管内有淋巴细胞。此组病变有些改善,但不显著(图5)。活血化瘀组:大部分心肌纤维正常,但也出现肌丝收缩成带状,彼此分离,其间有水肿,少数线粒体肿胀或固缩钙化,闰盘粘合膜间隙扩张。此组病变改善不明显(图6)。综合+水蛭组:心肌纤维中脂滴和空泡较多见。肌丝收缩、分离、溶解等现象比较严重,部分线粒体钙化固缩,闰盘粘合膜间隙扩张。此组病变仍较严重(图7)。
, 百拇医药
2.3 各组心肌缺血面积、ECG异律率及2小时存活率比较 见表1、表2。结果表明,模型+结扎组,心肌缺血面积较正常+结扎组显著增大(P<0.01),2小时存活率降低(P<0.05);模型+治疗+结扎组,虽缺血面积尚未达到正常+结扎组水平(P<0.05),但已较模型组有显著改善(P<0.01),存活率提高(P<0.05),已接近正常水平,其异律率也呈现正常<治疗<模型,依次上升趋势,但其差异无显著性意义。中药治疗组内比较:综合+水蛭组较综合或益气养阴组心肌缺血面积有显著改善(P<0.05),2小时存活率以活血化瘀组最低(P<0.05),可能与其提高异律率有关,其余各组差异无显著性意义。
表1 各组心肌缺血面积、ECG异律率及存活率比较 分 组
n
缺血面积
(
, 百拇医药
异律率
(%)
存活率
(%)
正常+结扎
8
11.76±7.52
37.5
100△
模型+结扎
11
31.18±15.48※※
, http://www.100md.com
72.7
63.6
模型+治疗+结扎
59
20.73±11.29※△△
52.5
89.8△
注:与正常+结扎组比较※※P<0.01,※P<0.05;与模型+结扎组比较△△P<0.01,△P<0.05。表2 各组心肌缺血面积、异律率及存活率比较 分 组
n
缺血面积
, 百拇医药
(
异律率
(%)
存活率
(%)
综合组
11
22.96±8.87
63.6
100
益气养阴组
, 百拇医药 12
23.52±13.10
50
91.7
活血化瘀组
11
21.06±13.62
72.7
54.5#
泄热通下组
12
21.06±13.62
, http://www.100md.com 41.7
100
综合+水蛭组
13
15.18±10.93※ △
38.5
100
注:与综合组比较※P<0.05;与益气养阴组比较△P<0.05;与其他各组比较#P<0.05
2.4 不同治法对冠脉结扎后T波改变的影响 模型组在冠脉结扎术前,T波较正常组已显著性升高,表明在糖尿病成模1个月后,心肌缺血已经存在。在施行冠脉结扎术后,5分种、10分种、20分种、30分种、60分种、90分种,T波仍居高不下,在120分种时差异略有缩小,但仍显著高于正常组。治疗组中,综合+水蛭组于结扎术后30分种,心肌缺血有所改善,T波回落,与模型组比较差异有显著性意义。综合组分别于60分钟、90分钟,T波回落,与模型组比较差异有显著性意义,并接近正常水平,且与自身术前比较,分别于20分钟、60分钟、90分钟、120分钟心肌缺血得到明显改善(另文发表)。
, 百拇医药
3 讨论
辨证论治是中医的特色和优势,积极探寻中医不同治法对糖尿病心脏病的防治作用,对于提高中医对糖尿病心脏病整体辨治水平具有重要意义。本研究表明益气养阴法和泄热通下法对糖尿病大鼠心脏病变形成具有良好阻断作用,其机理可能与其降糖、降脂、改善胰岛素抵抗、抗氧自由基损伤等效应密切相关(另文发表)。中药口服改为腹腔注射,着力观察糖尿病急性心肌缺血时中药的预防作用。初步结果显示:中医益气养阴、活血化瘀、泄热通下任何单一治法对糖尿病心肌缺血均有一定效果,而诸法合用,且重视活血的效果更佳。全程动态观察表明,辨证论治是提高中医疗效的根本。在糖尿病早期,仍以阴虚燥热或气阴不足为主,或益气养阴,或泻热通下,对于糖尿病治疗及并发症预防均有一定作用,活血化瘀法似不提倡早用;在糖尿病中晚期,或有典型心肌缺血症状时,活血化瘀为必用之法,但似不宜单独使用,否则可能因异律率提高而降低疗效。其殊途同归,同病异治机理有待进一步研究。
饲养40天的STZ糖尿病大鼠,即可出现心肌超微结构损害、心脏增大、ECG示T波上抬、心肌缺血,同时伴见高糖、高脂、胰岛素抵抗、氧自由基水平上升(另文发表)。在上述基础上再行冠状动脉结扎,与临床糖尿病冠心病基本吻合,且重复性好,不失为糖尿病心脏病实验研究的较好载体。
, 百拇医药
图1 正常组×5000
图2 模型组×5000
图3 泻热通下组×5000
图4 益气养阴组×5000
图5 综合组×5000
图6 活血化瘀组×6000
图7 综合+水蛭组×6000
★国家中医药管理局青年基金课题(A95-11)
(修回日期:1999-05-24), 百拇医药(李赛美* 熊曼琪* 林安钟* 郑高飞* 许庆文* 郑海霞* 胡永珍* 何敏*)